В Киеве жестоко избили известного продюсера и автора хитов KAZKA: что произошло. Фото

Николая Журавлева - автора хитов Kazka жестоко избили в Киеве - фото и подробности

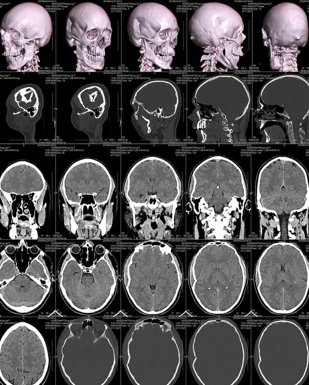
Известного продюсера и автора хитов группы KAZKA Николая Журавлева жестоко избили в собственном подъезде в Киеве.

Об этом рассказал сам Журавлев в своем Instagram.

Реклама
Читайте также:

В Киеве жестоко избили автора хитов KAZKA

"Я был избит в собственном подъезде. Хирург сказал, что с такими травмами обычно в больницу приезжают уже в коме. Но мы с Дианой еще 12 часов после травмы ездили по всему Киеву делали обследования, компьютерную томографию и все остальное", - пишет Николай.

Николая Журавлева избили в Киеве

По словам Журавлева, он пережил операцию по удалению поврежденных костей черепа:

"Пару часов назад прошла операция по удалению поврежденных костей черепа. Через месяц нужна операция по внедрению в голову пластины. Никогда вас ни о чем не просил, но если есть возможность помочь, буду очень благодарен. Обещаю написать ещё больше классной музыки".

Николая Журавлева избили в Киеве

Николая Журавлева избили в Киеве

Отметим, Николай Журавлев является автором хитов для известных артистов, среди которых  KAZKA ,Ольга Бузова, Ханна, Клава Кока, Dilemma.

Больше о звездах 

  • Несмотря на то, что недавно Дима Монатик и его жена Ирина все же приняли решение наконец показать своих сыновей Платона и Даниила, снимки с мальчикам по-прежнему не частое явление в соцсетях пары. А сегодня, в последний день лета, Ирина порадовала пользователей долгожданным кадром.
  • Поклонники американского актера Билли Портера уже привыкли к его эффектным появлениям на публике. Звезда часто выбирает для выходов дерзкий наряд, которое никого не оставляет равнодушным. Не стала исключением и премьера фильма Amazon Studios "Золушка", в котором Билли досталась роль гендерно-нейтральной феи-крестной.

Больше оперативных новостей ищите в Telegram и Viber Новини.LIVE.

нападение Kazka избиение Николай Журавлев
Реклама
DJDT

Версии

Package Название Версия
Django 4.2.7
Python 3.10.9
ajax_select Ajax Selects 3.0.2
colorfield Colorfield 0.14.0
daphne Daphne 4.2.1
debug_toolbar Панель отладки 4.3.0
django_celery_beat Периодические Задачи 2.8.1
django_hosts Hosts 7.0.0
django_q Django Q 1.3.6
django_telegram_logging Django_Telegram_Logging 1.0.2
django_user_agents Django_User_Agents 0.4.0
polymorphic Polymorphic 4.1.0
pymorphy2 Pymorphy2 0.9.1
rangefilter Фильтр диапазона 0.13.3
rest_framework Django REST framework 3.16.1
webpack_loader Webpack Loader 3.2.2

Время

Потребление ресурсов

Ресурс Значение
User CPU time 849.871 мс
System CPU time 0.638 мс
Total CPU time 850.509 мс
Затраченное время 3868.172 мс
Переключений контекста 156 намеренных, 15 вынужденных

Браузерное время

Событие Временная диаграмма С начала навигации в мс (+продолжительность)

Settings from novyny_live.settings.site

Параметр Значение
ABSOLUTE_URL_OVERRIDES {}
ADMINS []
ALLOWED_HOSTS ['novunu.live', '.novunu.live', 'localhost', '127.0.0.1', '[::1]']
APPEND_SLASH True
ASGI_APPLICATION 'novyny_live.asgi.application'
AUTHENTICATION_BACKENDS ('users.auth_backends.EmailOrUsernameBackend',)
AUTH_PASSWORD_VALIDATORS '********************'
AUTH_USER_MODEL 'users.User'
BASE_DIR PosixPath('/var/www/news-site-columnist')
CACHES {'default': {'BACKEND': 'django.core.cache.backends.redis.RedisCache', 'LOCATION': 'redis://127.0.0.1:6379'}, 'file_resubmit': {'BACKEND': 'django.core.cache.backends.filebased.FileBasedCache', 'LOCATION': PosixPath('/var/www/news-site-columnist/file_resubmit_cache')}}
CACHE_MIDDLEWARE_ALIAS 'default'
CACHE_MIDDLEWARE_KEY_PREFIX '********************'
CACHE_MIDDLEWARE_SECONDS 600
CELERY_ACCEPT_CONTENT ['json']
CELERY_BROKER_URL 'redis://127.0.0.1:6379/1'
CELERY_ENABLE_UTC False
CELERY_RESULT_BACKEND 'redis://127.0.0.1:6379/2'
CELERY_RESULT_SERIALIZER 'json'
CELERY_TASK_ALWAYS_EAGER False
CELERY_TASK_QUEUES {'default': {}, 'sitemaps': {}}
CELERY_TASK_ROUTES {'sitemaps.*': {'queue': 'sitemaps'}}
CELERY_TASK_SERIALIZER 'json'
CELERY_TIMEZONE 'Europe/Kiev'
CHANNEL_LAYERS {'default': {'BACKEND': 'channels_redis.core.RedisChannelLayer', 'CONFIG': {'hosts': [('127.0.0.1', 6379)]}}}
CKEDITOR_CONFIGS {'default': {'allowedContent': True, 'autoGrow_onStartup': 'true', 'editorplaceholder': 'Введите текст...', 'embed_provider': '//ckeditor.iframe.ly/api/oembed?url={url}&callback={callback}&api_key=d292da799edc455e287870', 'extraPlugins': ['autoembed', 'autolink', 'embed', 'embedbase', 'image2', 'removeformat', 'selectall', 'sourcedialog', 'textmatch', 'autogrow', 'fixed', 'placeholder', 'clipboard', 'pastefromword', 'mynbsp', 'tagsnews', 'readalsoblock', 'clarificationblock', 'becomecolumnist', 'gallery', 'faq', 'citation', 'guide'], 'filebrowserImageBrowseUrl': '/admin/gallery/image/?_popup=1', 'language': 'uk', 'removePlugins': ['elementspath'], 'scayt_sLang': 'uk_UA', 'toolbar': 'Custom', 'toolbar_Custom': [['Cut', 'Copy', 'Paste', 'PasteText', 'PasteFromWord', '-', 'Undo', 'Redo', '-'], ['Link', 'Unlink', 'Anchor', 'Readalso', 'Readalsoblock', 'Clarificationblock', 'Becomecolumnist'], ['Image', 'Slidergallery', 'Tagsnews', 'Faq', 'Citation', 'Guide', 'Table', 'SpecialChar', 'Embed'], ['SelectAll', 'RemoveFormat', 'Bold', 'Italic', 'Underline'], ['NumberedList', 'BulletedList', '-', 'Outdent', 'Indent', '-', 'JustifyLeft', 'JustifyCenter', 'JustifyRight', 'JustifyBlock'], ['Blockquote', 'Styles', 'Format'], ['Source']], 'width': 'auto'}, 'lang_en': {'allowedContent': True, 'autoGrow_onStartup': 'true', 'editorplaceholder': 'Введите текст...', 'embed_provider': '//ckeditor.iframe.ly/api/oembed?url={url}&callback={callback}&api_key=d292da799edc455e287870', 'extraPlugins': ['autoembed', 'autolink', 'embed', 'embedbase', 'image2', 'removeformat', 'selectall', 'sourcedialog', 'textmatch', 'autogrow', 'fixed', 'placeholder', 'clipboard', 'pastefromword', 'mynbsp', 'tagsnews', 'readalsoblock', 'clarificationblock', 'becomecolumnist', 'gallery', 'faq', 'citation', 'guide'], 'filebrowserImageBrowseUrl': '/admin/gallery/image/?_popup=1', 'language': 'en', 'removePlugins': ['elementspath'], 'scayt_sLang': 'uk_UA', 'toolbar': 'Custom', 'toolbar_Custom': [['Cut', 'Copy', 'Paste', 'PasteText', 'PasteFromWord', '-', 'Undo', 'Redo', '-'], ['Link', 'Unlink', 'Anchor', 'Readalso', 'Readalsoblock', 'Clarificationblock', 'Becomecolumnist'], ['Image', 'Slidergallery', 'Tagsnews', 'Faq', 'Citation', 'Guide', 'Table', 'SpecialChar', 'Embed'], ['SelectAll', 'RemoveFormat', 'Bold', 'Italic', 'Underline'], ['NumberedList', 'BulletedList', '-', 'Outdent', 'Indent', '-', 'JustifyLeft', 'JustifyCenter', 'JustifyRight', 'JustifyBlock'], ['Blockquote', 'Styles', 'Format'], ['Source']], 'width': 'auto'}, 'lang_ru': {'allowedContent': True, 'autoGrow_onStartup': 'true', 'editorplaceholder': 'Введите текст...', 'embed_provider': '//ckeditor.iframe.ly/api/oembed?url={url}&callback={callback}&api_key=d292da799edc455e287870', 'extraPlugins': ['autoembed', 'autolink', 'embed', 'embedbase', 'image2', 'removeformat', 'selectall', 'sourcedialog', 'textmatch', 'autogrow', 'fixed', 'placeholder', 'clipboard', 'pastefromword', 'mynbsp', 'tagsnews', 'readalsoblock', 'clarificationblock', 'becomecolumnist', 'gallery', 'faq', 'citation', 'guide'], 'filebrowserImageBrowseUrl': '/admin/gallery/image/?_popup=1', 'language': 'ru', 'removePlugins': ['elementspath'], 'scayt_sLang': 'uk_UA', 'toolbar': 'Custom', 'toolbar_Custom': [['Cut', 'Copy', 'Paste', 'PasteText', 'PasteFromWord', '-', 'Undo', 'Redo', '-'], ['Link', 'Unlink', 'Anchor', 'Readalso', 'Readalsoblock', 'Clarificationblock', 'Becomecolumnist'], ['Image', 'Slidergallery', 'Tagsnews', 'Faq', 'Citation', 'Guide', 'Table', 'SpecialChar', 'Embed'], ['SelectAll', 'RemoveFormat', 'Bold', 'Italic', 'Underline'], ['NumberedList', 'BulletedList', '-', 'Outdent', 'Indent', '-', 'JustifyLeft', 'JustifyCenter', 'JustifyRight', 'JustifyBlock'], ['Blockquote', 'Styles', 'Format'], ['Source']], 'width': 'auto'}, 'lang_uk': {'allowedContent': True, 'autoGrow_onStartup': 'true', 'editorplaceholder': 'Введите текст...', 'embed_provider': '//ckeditor.iframe.ly/api/oembed?url={url}&callback={callback}&api_key=d292da799edc455e287870', 'extraPlugins': ['autoembed', 'autolink', 'embed', 'embedbase', 'image2', 'removeformat', 'selectall', 'sourcedialog', 'textmatch', 'autogrow', 'fixed', 'placeholder', 'clipboard', 'pastefromword', 'mynbsp', 'tagsnews', 'readalsoblock', 'clarificationblock', 'becomecolumnist', 'gallery', 'faq', 'citation', 'guide'], 'filebrowserImageBrowseUrl': '/admin/gallery/image/?_popup=1', 'language': 'uk', 'removePlugins': ['elementspath'], 'scayt_sLang': 'uk_UA', 'toolbar': 'Custom', 'toolbar_Custom': [['Cut', 'Copy', 'Paste', 'PasteText', 'PasteFromWord', '-', 'Undo', 'Redo', '-'], ['Link', 'Unlink', 'Anchor', 'Readalso', 'Readalsoblock', 'Clarificationblock', 'Becomecolumnist'], ['Image', 'Slidergallery', 'Tagsnews', 'Faq', 'Citation', 'Guide', 'Table', 'SpecialChar', 'Embed'], ['SelectAll', 'RemoveFormat', 'Bold', 'Italic', 'Underline'], ['NumberedList', 'BulletedList', '-', 'Outdent', 'Indent', '-', 'JustifyLeft', 'JustifyCenter', 'JustifyRight', 'JustifyBlock'], ['Blockquote', 'Styles', 'Format'], ['Source']], 'width': 'auto'}, 'simple': {'forcePasteAsPlainText': True, 'height': 150, 'removePlugins': 'stylesheetparser', 'toolbar': [['Bold', 'Italic', 'Underline'], ['NumberedList', 'BulletedList'], ['Link', 'Unlink'], ['RemoveFormat']], 'width': '100%'}, 'stories': {'extraPlugins': ['image2'], 'toolbar': 'Custom', 'toolbar_Custom': [['Cut', 'Copy', 'Paste', 'PasteText', 'PasteFromWord', '-', 'Undo', 'Redo', '-'], ['Link', 'Unlink', 'Anchor'], ['Image', 'Table', 'SpecialChar'], ['SelectAll', 'RemoveFormat', 'Bold', 'Italic', 'Underline'], ['NumberedList', 'BulletedList', '-', 'Outdent', 'Indent', '-', 'JustifyLeft', 'JustifyCenter', 'JustifyRight', 'JustifyBlock'], ['Blockquote', 'Styles', 'Format'], ['Source']], 'width': 'auto'}}
CKEDITOR_UPLOAD_PATH 'ckeditor_uploads/'
CLOUDFLARE_IMAGES_ACCOUNT_HASH '4_JwVYxosZqzJ7gIDJgTLA'
CLOUDFLARE_IMAGES_ACCOUNT_ID 'eb3f89264532d26a3b45d67802a4fcd9'
CLOUDFLARE_IMAGES_API_TOKEN '********************'
CLOUDFLARE_IMAGES_DOMAIN 'novyny.live'
CLOUDFLARE_VIDEOS_ACCOUNT_HASH '4_JwVYxosZqzJ7gIDJgTLA'
CLOUDFLARE_VIDEOS_ACCOUNT_ID 'eb3f89264532d26a3b45d67802a4fcd9'
CLOUDFLARE_VIDEOS_API_TOKEN '********************'
CLOUDFLARE_VIDEOS_CUSTOMER_CODE '194ct854mtpycat8'
CORS_ALLOWED_ORIGINS ['https://googletagmanager.com', 'https://www.googletagmanager.com', 'https://webcache.googleusercontent.com']
CORS_ORIGIN_ALLOW_ALL False
CSRF_COOKIE_AGE 31449600
CSRF_COOKIE_DOMAIN None
CSRF_COOKIE_HTTPONLY False
CSRF_COOKIE_MASKED False
CSRF_COOKIE_NAME 'csrftoken'
CSRF_COOKIE_PATH '/'
CSRF_COOKIE_SAMESITE 'Lax'
CSRF_COOKIE_SECURE False
CSRF_FAILURE_VIEW 'django.views.csrf.csrf_failure'
CSRF_HEADER_NAME 'HTTP_X_CSRFTOKEN'
CSRF_TRUSTED_ORIGINS ['https://None.novunu.live']
CSRF_USE_SESSIONS False
DATABASES {'default': {'ATOMIC_REQUESTS': False, 'AUTOCOMMIT': True, 'CONN_HEALTH_CHECKS': False, 'CONN_MAX_AGE': 0, 'ENGINE': 'django.db.backends.postgresql', 'HOST': 'localhost', 'NAME': 'dev_db', 'OPTIONS': {}, 'PASSWORD': '********************', 'PORT': '5432', 'TEST': {'CHARSET': None, 'COLLATION': None, 'MIGRATE': True, 'MIRROR': None, 'NAME': 'test_novyny_live'}, 'TIME_ZONE': None, 'USER': 'novyny_user'}}
DATABASE_ROUTERS []
DATA_UPLOAD_MAX_MEMORY_SIZE 2621440
DATA_UPLOAD_MAX_NUMBER_FIELDS 1000
DATA_UPLOAD_MAX_NUMBER_FILES 100
DATETIME_FORMAT 'N j, Y, P'
DATETIME_INPUT_FORMATS ['%Y-%m-%d %H:%M:%S', '%Y-%m-%d %H:%M:%S.%f', '%Y-%m-%d %H:%M', '%m/%d/%Y %H:%M:%S', '%m/%d/%Y %H:%M:%S.%f', '%m/%d/%Y %H:%M', '%m/%d/%y %H:%M:%S', '%m/%d/%y %H:%M:%S.%f', '%m/%d/%y %H:%M']
DATE_FORMAT 'N j, Y'
DATE_INPUT_FORMATS ['%Y-%m-%d', '%m/%d/%Y', '%m/%d/%y', '%b %d %Y', '%b %d, %Y', '%d %b %Y', '%d %b, %Y', '%B %d %Y', '%B %d, %Y', '%d %B %Y', '%d %B, %Y']
DEBUG 1
DEBUG_PROPAGATE_EXCEPTIONS False
DEBUG_TOOLBAR_PANELS ['debug_toolbar.panels.versions.VersionsPanel', 'debug_toolbar.panels.timer.TimerPanel', 'debug_toolbar.panels.settings.SettingsPanel', 'debug_toolbar.panels.headers.HeadersPanel', 'debug_toolbar.panels.request.RequestPanel', 'debug_toolbar.panels.sql.SQLPanel', 'debug_toolbar.panels.templates.TemplatesPanel', 'debug_toolbar.panels.cache.CachePanel', 'debug_toolbar.panels.signals.SignalsPanel', 'debug_toolbar.panels.logging.LoggingPanel', 'debug_toolbar.panels.redirects.RedirectsPanel', 'debug_toolbar.panels.profiling.ProfilingPanel', 'template_timings_panel.panels.TemplateTimings.TemplateTimings']
DECIMAL_SEPARATOR '.'
DEEPL_AUTH_KEY '********************'
DEFAULT_AUTO_FIELD 'django.db.models.BigAutoField'
DEFAULT_CHARSET 'utf-8'
DEFAULT_EXCEPTION_REPORTER 'django.views.debug.ExceptionReporter'
DEFAULT_EXCEPTION_REPORTER_FILTER 'django.views.debug.SafeExceptionReporterFilter'
DEFAULT_FILE_STORAGE 'news.storages.MyCloudflareImagesStorage'
DEFAULT_FROM_EMAIL 'webmaster@localhost'
DEFAULT_HOST 'www'
DEFAULT_INDEX_TABLESPACE ''
DEFAULT_SUBDOMAIN ''
DEFAULT_TABLESPACE ''
DISALLOWED_USER_AGENTS []
ELASTICSEARCH_DSL {'default': {'hosts': 'http://localhost:9200'}}
ELASTICSEARCH_DSL_SIGNAL_PROCESSOR 'django_elasticsearch_dsl_polymorphic.signals.PolymorphicRealTimeSignalProcessor'
EMAIL_BACKEND 'django.core.mail.backends.smtp.EmailBackend'
EMAIL_HOST 'localhost'
EMAIL_HOST_PASSWORD '********************'
EMAIL_HOST_USER ''
EMAIL_PORT 25
EMAIL_SSL_CERTFILE None
EMAIL_SSL_KEYFILE '********************'
EMAIL_SUBJECT_PREFIX '[Django] '
EMAIL_TIMEOUT None
EMAIL_USE_LOCALTIME False
EMAIL_USE_SSL False
EMAIL_USE_TLS False
ENABLE_DEBUG_TOOLBAR 1
ENABLE_ELASTICSEARCH '0'
FILE_UPLOAD_DIRECTORY_PERMISSIONS None
FILE_UPLOAD_HANDLERS ['django.core.files.uploadhandler.MemoryFileUploadHandler', 'django.core.files.uploadhandler.TemporaryFileUploadHandler']
FILE_UPLOAD_MAX_MEMORY_SIZE 2621440
FILE_UPLOAD_PERMISSIONS 420
FILE_UPLOAD_TEMP_DIR None
FIRST_DAY_OF_WEEK 0
FIXTURE_DIRS []
FORCE_SCRIPT_NAME None
FORMAT_MODULE_PATH None
FORM_RENDERER 'django.forms.renderers.TemplatesSetting'
GOOGLE_API_KEY_FOR_YOUTUBE '********************'
GOOGLE_APPLICATION_CREDENTIALS './novyny-translate-c430af20fe4e.json'
HOST_PORT ''
HOST_SCHEME 'https'
ICONS_DIR PosixPath('/var/www/news-site-columnist/static/admin/img/custom/menu')
IFRAMELY_API_KEY '********************'
IGNORABLE_404_URLS []
INSTALLED_APPS ['daphne', 'news', 'users', 'gallery', 'olympiad', 'site_settings', 'censorship', 'site_search', 'news_sitemaps', 'django_cloudflare_videos', 'admin_feedback', 'frontend', 'redirects', 'pymorphy2', 'currencies', 'amp_stories', 'vacancies', 'context_section', 'test_indices', 'rangefilter', 'django_celery_beat', 'corsheaders', 'django_user_agents', 'modeltranslation', 'jazzmin', 'django_q', 'django_telegram_logging', 'polymorphic', 'django_countries', 'colorfield', 'django.contrib.admin', 'django.contrib.auth', 'django.contrib.contenttypes', 'django.contrib.sessions', 'django.contrib.messages', 'django.contrib.staticfiles', 'django.contrib.postgres', 'django.contrib.sites', 'django.contrib.sitemaps', 'django.forms', 'rest_framework', 'django_hosts', 'ajax_select', 'debug_toolbar', 'template_timings_panel', 'webpack_loader']
INTERNAL_IPS ['127.0.0.1']
JAZZMIN_SETTINGS {'custom_links': {'news': [{'icon': 'fire-icon.svg', 'name': 'Статистика війни', 'permissions': ['news.view_warstatistics'], 'url': '/admin/news/warstatistics/1/'}, {'icon': 'theme.svg', 'name': 'Элементы сайта', 'permissions': ['news.view_siteelements'], 'url': '/admin/news/siteelements/1/'}]}, 'hide_apps': ['django_q', 'django_cloudflare_videos'], 'hide_models': ['news.ReadAlsoPost', 'news.Region', 'news.WarStatistics', 'news.QuoteAuthor', 'sites.Site', 'news.QuoteOfTheDay', 'news.SiteElements'], 'icons': {'admin_feedback.Feedback': 'advice.svg', 'amp_stories.Story': 'icons8-instagram.svg', 'auth.Group': 'user.svg', 'currencies.Currency': 'ukraine-hryvna.svg', 'currencies.CurrencyCourse': 'currency-exchange.svg', 'django.contrib.auth.models.Group': 'author.svg', 'django.contrib.sites.models.Site': 'website.svg', 'gallery.Gallery': 'gallery.svg', 'gallery.Image': 'gallery.svg', 'news.Category': 'category.svg', 'news.EnglishOnlyPostProxy': 'news.svg', 'news.Post': 'news.svg', 'news.QuoteOfTheDay': 'theme.svg', 'news.SiteElements': 'theme.svg', 'news.SliderItem': 'gallery.svg', 'news.SponsorPost': 'news.svg', 'news.TVHost': 'tv_host.svg', 'news.Tag': 'tag.svg', 'news.Theme': 'theme.svg', 'news.VideoPost': 'video-icon.svg', 'news.VideoProject': 'video-icon.svg', 'redirects.RedirectGroup': 'redirect-group.svg', 'redirects.RedirectURL': 'redirect.svg', 'users.Author': 'author.svg', 'users.User': 'user.svg'}, 'order_with_respect_to': ['auth.Group', 'news', 'news.Post', 'news.EnglishOnlyPostProxy', 'news.VideoPost', 'news.Category', 'news.Theme', 'news.Tag', 'users', 'users.Author', 'users.User', 'gallery'], 'site_logo': 'admin/img/custom/logo.svg'}
JAZZMIN_UI_TWEAKS {'accent': 'accent-primary', 'actions_sticky_top': True, 'body_small_text': False, 'brand_colour': False, 'brand_small_text': True, 'button_classes': {'danger': 'btn-outline-danger', 'info': 'btn-outline-info', 'primary': 'btn-primary', 'secondary': 'btn-outline-secondary', 'success': 'btn-outline-success', 'warning': 'btn-outline-warning'}, 'dark_mode_theme': 'darkly', 'footer_fixed': False, 'footer_small_text': False, 'layout_boxed': False, 'navbar': 'navbar-white navbar-light', 'navbar_fixed': False, 'navbar_small_text': False, 'no_navbar_border': False, 'sidebar': 'sidebar-light-primary', 'sidebar_disable_expand': False, 'sidebar_fixed': True, 'sidebar_nav_child_indent': False, 'sidebar_nav_compact_style': False, 'sidebar_nav_flat_style': False, 'sidebar_nav_legacy_style': False, 'sidebar_nav_small_text': False, 'theme': 'pulse'}
LANGUAGES (('uk', 'Ukrainian'), ('en', 'English'), ('ru', 'Russian'))
LANGUAGES_BIDI ['he', 'ar', 'ar-dz', 'ckb', 'fa', 'ur']
LANGUAGE_CODE 'uk'
LANGUAGE_COOKIE_AGE None
LANGUAGE_COOKIE_DOMAIN None
LANGUAGE_COOKIE_HTTPONLY False
LANGUAGE_COOKIE_NAME 'django_language'
LANGUAGE_COOKIE_PATH '/'
LANGUAGE_COOKIE_SAMESITE None
LANGUAGE_COOKIE_SECURE False
LOCALE_PATHS ('/var/www/news-site-columnist/locale/',)
LOGGING {'disable_existing_loggers': False, 'formatters': {'simple': {'format': '{levelname} {message}', 'style': '{'}, 'verbose': {'format': '{levelname} {asctime} {module} ' '{process:d} {thread:d} {message}', 'style': '{'}}, 'handlers': {'console': {'class': 'logging.StreamHandler', 'formatter': 'simple', 'level': 'DEBUG'}, 'telegram': {'class': 'django_telegram_logging.handler.TelegramHandler', 'level': 'ERROR'}}, 'loggers': {'django': {'handlers': ['console'], 'propagate': True}, 'django.request': {'handlers': ['console'], 'level': 'ERROR', 'propagate': False}}, 'version': 1}
LOGGING_CONFIG 'logging.config.dictConfig'
LOGIN_REDIRECT_URL '/accounts/profile/'
LOGIN_URL '/accounts/login/'
LOGOUT_REDIRECT_URL None
MANAGERS []
MEDIA_ROOT PosixPath('/var/www/news-site-columnist/media')
MEDIA_URL '/media/'
MESSAGE_STORAGE 'django.contrib.messages.storage.session.SessionStorage'
MIDDLEWARE ['django_hosts.middleware.HostsRequestMiddleware', 'redirects.middleware.redirect_middleware.RedirectMiddleware', 'django.middleware.security.SecurityMiddleware', 'django.contrib.sessions.middleware.SessionMiddleware', 'django.middleware.locale.LocaleMiddleware', 'corsheaders.middleware.CorsMiddleware', 'django_user_agents.middleware.UserAgentMiddleware', 'django.middleware.common.CommonMiddleware', 'django.middleware.csrf.CsrfViewMiddleware', 'django.contrib.auth.middleware.AuthenticationMiddleware', 'django.contrib.messages.middleware.MessageMiddleware', 'django.middleware.clickjacking.XFrameOptionsMiddleware', 'debug_toolbar.middleware.DebugToolbarMiddleware', 'news.middleware.my_hosts_request_middleware.MyHostsRequestMiddleware', 'news.middleware.subdomain_middleare.MySubdomainMiddleware']
MIGRATION_MODULES {}
MINFIN_API_KEY '********************'
MODELTRANSLATION_DEFAULT_LANGUAGE 'uk'
MODELTRANSLATION_LANGUAGES ('uk', 'en', 'ru')
MODELTRANSLATION_LANGUAGES_NAMES {'en': 'Английский', 'ru': 'Русский', 'uk': 'Украинский'}
MONTH_DAY_FORMAT 'F j'
MT_LANGUAGES_CHOICES <generator object <genexpr> at 0x7f28ae2cedc0>
NUMBER_GROUPING 0
PARENT_HOST 'novunu.live'
PASSWORD_HASHERS '********************'
PASSWORD_RESET_TIMEOUT '********************'
PING_GOOGLE_SITEMAPS '1'
PREPEND_WWW False
Q_CLUSTER {'ack_failures': True, 'attempt_count': 1, 'compress': True, 'max_attempts': 1, 'name': 'shop', 'redis': {'db': 0, 'host': '127.0.0.1', 'port': 6379}, 'retry': 190, 'timeout': 180, 'workers': 8}
ROOT_HOSTCONF 'novyny_live.hosts'
ROOT_URLCONF 'novyny_live.main_domain_urls'
SECRET_KEY '********************'
SECRET_KEY_FALLBACKS '********************'
SECURE_CONTENT_TYPE_NOSNIFF True
SECURE_CROSS_ORIGIN_OPENER_POLICY 'same-origin'
SECURE_HSTS_INCLUDE_SUBDOMAINS False
SECURE_HSTS_PRELOAD False
SECURE_HSTS_SECONDS 0
SECURE_PROXY_SSL_HEADER None
SECURE_REDIRECT_EXEMPT []
SECURE_REFERRER_POLICY 'no-referrer-when-downgrade'
SECURE_SSL_HOST None
SECURE_SSL_REDIRECT False
SERVER_EMAIL 'root@localhost'
SESSION_CACHE_ALIAS 'default'
SESSION_COOKIE_AGE 1209600
SESSION_COOKIE_DOMAIN None
SESSION_COOKIE_HTTPONLY True
SESSION_COOKIE_NAME 'sessionid'
SESSION_COOKIE_PATH '/'
SESSION_COOKIE_SAMESITE 'Lax'
SESSION_COOKIE_SECURE False
SESSION_ENGINE 'django.contrib.sessions.backends.db'
SESSION_EXPIRE_AT_BROWSER_CLOSE False
SESSION_FILE_PATH None
SESSION_SAVE_EVERY_REQUEST False
SESSION_SERIALIZER 'django.contrib.sessions.serializers.JSONSerializer'
SETTINGS_MODULE 'novyny_live.settings.site'
SHORT_DATETIME_FORMAT 'm/d/Y P'
SHORT_DATE_FORMAT 'm/d/Y'
SIGNING_BACKEND 'django.core.signing.TimestampSigner'
SILENCED_SYSTEM_CHECKS []
SITE_ID 1
SKAYT_LANG_CODES {'en': 'en_US', 'ru': 'ru', 'uk': 'uk_UA'}
STATICFILES_DIRS ['/var/www/news-site-columnist/static', '/var/www/news-site-columnist/news/static']
STATICFILES_FINDERS ['django.contrib.staticfiles.finders.FileSystemFinder', 'django.contrib.staticfiles.finders.AppDirectoriesFinder']
STATICFILES_STORAGE 'django.contrib.staticfiles.storage.StaticFilesStorage'
STATIC_ROOT None
STATIC_URL '/static/'
STORAGES {'default': {'BACKEND': 'news.storages.MyCloudflareImagesStorage'}, 'staticfiles': {'BACKEND': 'django.contrib.staticfiles.storage.StaticFilesStorage'}}
TELEGRAM_LOGGING_CHAT -896657161
TELEGRAM_LOGGING_EMIT_ON_DEBUG False
TELEGRAM_LOGGING_TOKEN '********************'
TEMPLATES [{'APP_DIRS': True, 'BACKEND': 'django.template.backends.django.DjangoTemplates', 'DIRS': [PosixPath('/var/www/news-site-columnist/templates')], 'OPTIONS': {'context_processors': ['django.template.context_processors.debug', 'django.template.context_processors.request', 'django.contrib.auth.context_processors.auth', 'django.contrib.messages.context_processors.messages']}}]
TEMPLATE_CONTEXT_PROCESSORS ('django.core.context_processors.request',)
TEST_NON_SERIALIZED_APPS []
TEST_RUNNER 'django.test.runner.DiscoverRunner'
THOUSAND_SEPARATOR ','
TIME_FORMAT 'P'
TIME_INPUT_FORMATS ['%H:%M:%S', '%H:%M:%S.%f', '%H:%M']
TIME_ZONE 'Europe/Kiev'
TRANSLATABLE_MODEL_MODULES ''
USE_DEPRECATED_PYTZ False
USE_I18N True
USE_L10N True
USE_THOUSAND_SEPARATOR False
USE_TZ True
USE_X_FORWARDED_HOST False
USE_X_FORWARDED_PORT False
WEBPACK_LOADER {'DEFAULT': {'BUNDLE_DIR_NAME': '/frontend/novyny-live-layout/dist/', 'CACHE': False, 'IGNORE': ['.+\\.hot-update.js', '.+\\.map'], 'POLL_INTERVAL': 0.1, 'STATS_FILE': '/var/www/news-site-columnist/frontend/static/frontend/novyny-live-layout/webpack-stats.json'}}
WSGI_APPLICATION 'novyny_live.wsgi.application'
X_FRAME_OPTIONS 'DENY'
YEAR_MONTH_FORMAT 'F Y'

Заголовки

Заголовки запроса

Ключ Значение
Accept */*
Accept-Encoding gzip, br
Cdn-Loop cloudflare; loops=1
Cf-Connecting-Ip 216.73.216.52
Cf-Ipcountry US
Cf-Ray 9ccb36293ee5d434-CMH
Cf-Visitor {"scheme":"https"}
Connection Keep-Alive
Host stars.novunu.live
User-Agent Mozilla/5.0 AppleWebKit/537.36 (KHTML, like Gecko; compatible; ClaudeBot/1.0; [email protected])
X-Forwarded-For 216.73.216.52, 216.73.216.52
X-Forwarded-Proto https
X-Real-Ip 216.73.216.52

Заголовки ответа

Ключ Значение
Content-Type text/html; charset=utf-8

WSGI-окружение

Так как WSGI-окружение наследует окружение сервера, ниже отображены лишь те из переменных, которые важны для нужд отладки.

Ключ Значение
PATH_INFO /ru/v-kieve-zhestoko-izbili-izvestnogo-prodiusera-i-avtora-khitov-kazka-chto-proizoshlo-foto-22135.html
QUERY_STRING
REMOTE_ADDR 127.0.0.1
REQUEST_METHOD GET
SCRIPT_NAME
SERVER_NAME 127.0.0.1
SERVER_PORT 8101
SERVER_PROTOCOL HTTP/1.0
SERVER_SOFTWARE gunicorn/23.0.0

Запрос

View

View функция Аргументы Именованные аргументы URL Name
news.views.post.subdomain_view_post () {'pk': 22135, 'slug': 'v-kieve-zhestoko-izbili-izvestnogo-prodiusera-i-avtora-khitov-kazka-chto-proizoshlo-foto'} post_red

Нет cookies

Нет данных в сессии

Нет GET данных

Нет POST данных

SQL queries from 1 connection

  • default 3042,67 ms (58 запросов including 37 similar and 29 duplicates )
Запрос Временная диаграмма Время (мс) Действие
SELECT "category"."subdomain"
  FROM "category"
SELECT ••• FROM "category"
0,87

Соединение: default

Статус транзакции: Ожидание

/home/youser/.local/share/virtualenvs/news-site-columnist-8tsXn7bh/bin/gunicorn in <module>(8)
  sys.exit(run())

/home/youser/.local/share/virtualenvs/news-site-columnist-8tsXn7bh/lib/python3.10/site-packages/gunicorn/app/wsgiapp.py in run(66)
  WSGIApplication("%(prog)s [OPTIONS] [APP_MODULE]", prog=prog).run()

/home/youser/.local/share/virtualenvs/news-site-columnist-8tsXn7bh/lib/python3.10/site-packages/gunicorn/app/base.py in run(235)
  super().run()

/home/youser/.local/share/virtualenvs/news-site-columnist-8tsXn7bh/lib/python3.10/site-packages/gunicorn/app/base.py in run(71)
  Arbiter(self).run()

/home/youser/.local/share/virtualenvs/news-site-columnist-8tsXn7bh/lib/python3.10/site-packages/gunicorn/arbiter.py in run(210)
  self.manage_workers()

/home/youser/.local/share/virtualenvs/news-site-columnist-8tsXn7bh/lib/python3.10/site-packages/gunicorn/arbiter.py in manage_workers(570)
  self.spawn_workers()

/home/youser/.local/share/virtualenvs/news-site-columnist-8tsXn7bh/lib/python3.10/site-packages/gunicorn/arbiter.py in spawn_workers(641)
  self.spawn_worker()

/home/youser/.local/share/virtualenvs/news-site-columnist-8tsXn7bh/lib/python3.10/site-packages/gunicorn/arbiter.py in spawn_worker(608)
  worker.init_process()

/home/youser/.local/share/virtualenvs/news-site-columnist-8tsXn7bh/lib/python3.10/site-packages/gunicorn/workers/base.py in init_process(143)
  self.run()

/home/youser/.local/share/virtualenvs/news-site-columnist-8tsXn7bh/lib/python3.10/site-packages/gunicorn/workers/sync.py in run(125)
  self.run_for_one(timeout)

/home/youser/.local/share/virtualenvs/news-site-columnist-8tsXn7bh/lib/python3.10/site-packages/gunicorn/workers/sync.py in run_for_one(69)
  self.accept(listener)

/home/youser/.local/share/virtualenvs/news-site-columnist-8tsXn7bh/lib/python3.10/site-packages/gunicorn/workers/sync.py in accept(31)
  self.handle(listener, client, addr)

/home/youser/.local/share/virtualenvs/news-site-columnist-8tsXn7bh/lib/python3.10/site-packages/gunicorn/workers/sync.py in handle(134)
  self.handle_request(listener, req, client, addr)

/home/youser/.local/share/virtualenvs/news-site-columnist-8tsXn7bh/lib/python3.10/site-packages/gunicorn/workers/sync.py in handle_request(177)
  respiter = self.wsgi(environ, resp.start_response)

/home/youser/.local/share/virtualenvs/news-site-columnist-8tsXn7bh/lib/python3.10/site-packages/sentry_sdk/utils.py in runner(1864)
  return sentry_patched_function(*args, **kwargs)

/home/youser/.local/share/virtualenvs/news-site-columnist-8tsXn7bh/lib/python3.10/site-packages/sentry_sdk/integrations/django/__init__.py in sentry_patched_wsgi_handler(191)
  return middleware(environ, start_response)

/home/youser/.local/share/virtualenvs/news-site-columnist-8tsXn7bh/lib/python3.10/site-packages/sentry_sdk/integrations/wsgi.py in __call__(132)
  response = self.app(

/home/youser/.local/share/virtualenvs/news-site-columnist-8tsXn7bh/lib/python3.10/site-packages/sentry_sdk/integrations/django/__init__.py in sentry_patched_get_response(478)
  rv = old_get_response(self, request)

/home/youser/.local/share/virtualenvs/news-site-columnist-8tsXn7bh/lib/python3.10/site-packages/sentry_sdk/integrations/django/middleware.py in __call__(177)
  return f(*args, **kwargs)

/home/youser/.local/share/virtualenvs/news-site-columnist-8tsXn7bh/lib/python3.10/site-packages/sentry_sdk/integrations/django/middleware.py in __call__(177)
  return f(*args, **kwargs)

/var/www/news-site-columnist/redirects/middleware/redirect_middleware.py in __call__(17)
  return self.get_response(request)

/home/youser/.local/share/virtualenvs/news-site-columnist-8tsXn7bh/lib/python3.10/site-packages/sentry_sdk/integrations/django/middleware.py in __call__(177)
  return f(*args, **kwargs)

/home/youser/.local/share/virtualenvs/news-site-columnist-8tsXn7bh/lib/python3.10/site-packages/sentry_sdk/integrations/django/middleware.py in __call__(177)
  return f(*args, **kwargs)

/home/youser/.local/share/virtualenvs/news-site-columnist-8tsXn7bh/lib/python3.10/site-packages/sentry_sdk/integrations/django/middleware.py in __call__(177)
  return f(*args, **kwargs)

/home/youser/.local/share/virtualenvs/news-site-columnist-8tsXn7bh/lib/python3.10/site-packages/sentry_sdk/integrations/django/middleware.py in __call__(177)
  return f(*args, **kwargs)

/home/youser/.local/share/virtualenvs/news-site-columnist-8tsXn7bh/lib/python3.10/site-packages/corsheaders/middleware.py in __call__(53)
  result = self.get_response(request)

/home/youser/.local/share/virtualenvs/news-site-columnist-8tsXn7bh/lib/python3.10/site-packages/sentry_sdk/integrations/django/middleware.py in __call__(177)
  return f(*args, **kwargs)

/home/youser/.local/share/virtualenvs/news-site-columnist-8tsXn7bh/lib/python3.10/site-packages/django_user_agents/middleware.py in __call__(14)
  return self.get_response(request)

/home/youser/.local/share/virtualenvs/news-site-columnist-8tsXn7bh/lib/python3.10/site-packages/sentry_sdk/integrations/django/middleware.py in __call__(177)
  return f(*args, **kwargs)

/home/youser/.local/share/virtualenvs/news-site-columnist-8tsXn7bh/lib/python3.10/site-packages/sentry_sdk/integrations/django/middleware.py in __call__(177)
  return f(*args, **kwargs)

/home/youser/.local/share/virtualenvs/news-site-columnist-8tsXn7bh/lib/python3.10/site-packages/sentry_sdk/integrations/django/middleware.py in __call__(177)
  return f(*args, **kwargs)

/home/youser/.local/share/virtualenvs/news-site-columnist-8tsXn7bh/lib/python3.10/site-packages/sentry_sdk/integrations/django/middleware.py in __call__(177)
  return f(*args, **kwargs)

/home/youser/.local/share/virtualenvs/news-site-columnist-8tsXn7bh/lib/python3.10/site-packages/sentry_sdk/integrations/django/middleware.py in __call__(177)
  return f(*args, **kwargs)

/home/youser/.local/share/virtualenvs/news-site-columnist-8tsXn7bh/lib/python3.10/site-packages/sentry_sdk/integrations/django/middleware.py in __call__(177)
  return f(*args, **kwargs)

/home/youser/.local/share/virtualenvs/news-site-columnist-8tsXn7bh/lib/python3.10/site-packages/sentry_sdk/integrations/django/middleware.py in __call__(177)
  return f(*args, **kwargs)

/home/youser/.local/share/virtualenvs/news-site-columnist-8tsXn7bh/lib/python3.10/site-packages/sentry_sdk/integrations/django/middleware.py in __call__(177)
  return f(*args, **kwargs)

/var/www/news-site-columnist/news/middleware/subdomain_middleare.py in __call__(19)
  if sd != settings.DEFAULT_SUBDOMAIN and sd != 'videos' and sd != 'olympics' and sd not in all_cat_subdomains:

/home/youser/.local/share/virtualenvs/news-site-columnist-8tsXn7bh/lib/python3.10/site-packages/modeltranslation/manager.py in __iter__(570)
  for row in super().__iter__():

/home/youser/.local/share/virtualenvs/news-site-columnist-8tsXn7bh/lib/python3.10/site-packages/modeltranslation/manager.py in __iter__(555)
  for row in super().__iter__():

/home/youser/.local/share/virtualenvs/news-site-columnist-8tsXn7bh/lib/python3.10/site-packages/modeltranslation/manager.py in __iter__(545)
  for row in super().__iter__():

SELECT "category"."id",
       "category"."created_at",
       "category"."updated_at",
       "category"."seo_title",
       "category"."seo_title_uk",
       "category"."seo_title_en",
       "category"."seo_title_ru",
       "category"."seo_description",
       "category"."seo_description_uk",
       "category"."seo_description_en",
       "category"."seo_description_ru",
       "category"."seo_keywords",
       "category"."seo_keywords_uk",
       "category"."seo_keywords_en",
       "category"."seo_keywords_ru",
       "category"."seo_header_one",
       "category"."seo_header_one_uk",
       "category"."seo_header_one_en",
       "category"."seo_header_one_ru",
       "category"."seo_news_title",
       "category"."seo_news_title_uk",
       "category"."seo_news_title_en",
       "category"."seo_news_title_ru",
       "category"."seo_news_description",
       "category"."seo_news_description_uk",
       "category"."seo_news_description_en",
       "category"."seo_news_description_ru",
       "category"."subdomain",
       "category"."parent_id",
       "category"."image",
       "category"."is_active",
       "category"."is_rss_active",
       "category"."is_interesting",
       "category"."ticker_rss_active",
       "category"."show_home",
       "category"."show_home_en",
       "category"."show_video",
       "category"."show_menu",
       "category"."show_menu_uk",
       "category"."show_menu_en",
       "category"."show_menu_ru",
       "category"."show_footer",
       "category"."show_menu_in_en",
       "category"."show_footer_in_en",
       "category"."show_in_search",
       "category"."show_in_header",
       "category"."show_in_header_uk",
       "category"."show_in_header_en",
       "category"."show_in_header_ru",
       "category"."seo_tag_id",
       "category"."sort_weight",
       "category"."sort_weight_en",
       "category"."header_sort_weight",
       "category"."header_sort_weight_uk",
       "category"."header_sort_weight_en",
       "category"."header_sort_weight_ru",
       "category"."footer_sort_weight",
       "category"."menu_sort_weight",
       "category"."name",
       "category"."name_uk",
       "category"."name_en",
       "category"."name_ru",
       "category"."slug",
       "category"."description",
       "category"."description_uk",
       "category"."description_en",
       "category"."description_ru",
       "category"."fb_link",
       "category"."tg_link",
       "category"."show_banner",
       "category"."uk_has_translation",
       "category"."ru_has_translation",
       "category"."en_has_translation",
       "category"."has_infinite_scroll",
       "category"."_show_home_without_subdomain",
       "category"."_show_home_without_subdomain_en",
       "category"."background_id",
       "category"."use_old_design",
       "category"."use_old_design_for_posts",
       "category"."is_context_category",
       "category"."show_stories_on_main",
       "category"."show_posts_table_of_contents",
       "category"."svg_icon"
  FROM "category"
 WHERE "category"."subdomain" = 'stars'
 LIMIT 21
SELECT ••• FROM "category" WHERE "category"."subdomain" = 'stars' LIMIT 21
1,29

Соединение: default

Статус транзакции: Ожидание

/home/youser/.local/share/virtualenvs/news-site-columnist-8tsXn7bh/bin/gunicorn in <module>(8)
  sys.exit(run())

/home/youser/.local/share/virtualenvs/news-site-columnist-8tsXn7bh/lib/python3.10/site-packages/gunicorn/app/wsgiapp.py in run(66)
  WSGIApplication("%(prog)s [OPTIONS] [APP_MODULE]", prog=prog).run()

/home/youser/.local/share/virtualenvs/news-site-columnist-8tsXn7bh/lib/python3.10/site-packages/gunicorn/app/base.py in run(235)
  super().run()

/home/youser/.local/share/virtualenvs/news-site-columnist-8tsXn7bh/lib/python3.10/site-packages/gunicorn/app/base.py in run(71)
  Arbiter(self).run()

/home/youser/.local/share/virtualenvs/news-site-columnist-8tsXn7bh/lib/python3.10/site-packages/gunicorn/arbiter.py in run(210)
  self.manage_workers()

/home/youser/.local/share/virtualenvs/news-site-columnist-8tsXn7bh/lib/python3.10/site-packages/gunicorn/arbiter.py in manage_workers(570)
  self.spawn_workers()

/home/youser/.local/share/virtualenvs/news-site-columnist-8tsXn7bh/lib/python3.10/site-packages/gunicorn/arbiter.py in spawn_workers(641)
  self.spawn_worker()

/home/youser/.local/share/virtualenvs/news-site-columnist-8tsXn7bh/lib/python3.10/site-packages/gunicorn/arbiter.py in spawn_worker(608)
  worker.init_process()

/home/youser/.local/share/virtualenvs/news-site-columnist-8tsXn7bh/lib/python3.10/site-packages/gunicorn/workers/base.py in init_process(143)
  self.run()

/home/youser/.local/share/virtualenvs/news-site-columnist-8tsXn7bh/lib/python3.10/site-packages/gunicorn/workers/sync.py in run(125)
  self.run_for_one(timeout)

/home/youser/.local/share/virtualenvs/news-site-columnist-8tsXn7bh/lib/python3.10/site-packages/gunicorn/workers/sync.py in run_for_one(69)
  self.accept(listener)

/home/youser/.local/share/virtualenvs/news-site-columnist-8tsXn7bh/lib/python3.10/site-packages/gunicorn/workers/sync.py in accept(31)
  self.handle(listener, client, addr)

/home/youser/.local/share/virtualenvs/news-site-columnist-8tsXn7bh/lib/python3.10/site-packages/gunicorn/workers/sync.py in handle(134)
  self.handle_request(listener, req, client, addr)

/home/youser/.local/share/virtualenvs/news-site-columnist-8tsXn7bh/lib/python3.10/site-packages/gunicorn/workers/sync.py in handle_request(177)
  respiter = self.wsgi(environ, resp.start_response)

/home/youser/.local/share/virtualenvs/news-site-columnist-8tsXn7bh/lib/python3.10/site-packages/sentry_sdk/utils.py in runner(1864)
  return sentry_patched_function(*args, **kwargs)

/home/youser/.local/share/virtualenvs/news-site-columnist-8tsXn7bh/lib/python3.10/site-packages/sentry_sdk/integrations/django/__init__.py in sentry_patched_wsgi_handler(191)
  return middleware(environ, start_response)

/home/youser/.local/share/virtualenvs/news-site-columnist-8tsXn7bh/lib/python3.10/site-packages/sentry_sdk/integrations/wsgi.py in __call__(132)
  response = self.app(

/home/youser/.local/share/virtualenvs/news-site-columnist-8tsXn7bh/lib/python3.10/site-packages/sentry_sdk/integrations/django/__init__.py in sentry_patched_get_response(478)
  rv = old_get_response(self, request)

/home/youser/.local/share/virtualenvs/news-site-columnist-8tsXn7bh/lib/python3.10/site-packages/sentry_sdk/integrations/django/middleware.py in __call__(177)
  return f(*args, **kwargs)

/home/youser/.local/share/virtualenvs/news-site-columnist-8tsXn7bh/lib/python3.10/site-packages/sentry_sdk/integrations/django/middleware.py in __call__(177)
  return f(*args, **kwargs)

/var/www/news-site-columnist/redirects/middleware/redirect_middleware.py in __call__(17)
  return self.get_response(request)

/home/youser/.local/share/virtualenvs/news-site-columnist-8tsXn7bh/lib/python3.10/site-packages/sentry_sdk/integrations/django/middleware.py in __call__(177)
  return f(*args, **kwargs)

/home/youser/.local/share/virtualenvs/news-site-columnist-8tsXn7bh/lib/python3.10/site-packages/sentry_sdk/integrations/django/middleware.py in __call__(177)
  return f(*args, **kwargs)

/home/youser/.local/share/virtualenvs/news-site-columnist-8tsXn7bh/lib/python3.10/site-packages/sentry_sdk/integrations/django/middleware.py in __call__(177)
  return f(*args, **kwargs)

/home/youser/.local/share/virtualenvs/news-site-columnist-8tsXn7bh/lib/python3.10/site-packages/sentry_sdk/integrations/django/middleware.py in __call__(177)
  return f(*args, **kwargs)

/home/youser/.local/share/virtualenvs/news-site-columnist-8tsXn7bh/lib/python3.10/site-packages/corsheaders/middleware.py in __call__(53)
  result = self.get_response(request)

/home/youser/.local/share/virtualenvs/news-site-columnist-8tsXn7bh/lib/python3.10/site-packages/sentry_sdk/integrations/django/middleware.py in __call__(177)
  return f(*args, **kwargs)

/home/youser/.local/share/virtualenvs/news-site-columnist-8tsXn7bh/lib/python3.10/site-packages/django_user_agents/middleware.py in __call__(14)
  return self.get_response(request)

/home/youser/.local/share/virtualenvs/news-site-columnist-8tsXn7bh/lib/python3.10/site-packages/sentry_sdk/integrations/django/middleware.py in __call__(177)
  return f(*args, **kwargs)

/home/youser/.local/share/virtualenvs/news-site-columnist-8tsXn7bh/lib/python3.10/site-packages/sentry_sdk/integrations/django/middleware.py in __call__(177)
  return f(*args, **kwargs)

/home/youser/.local/share/virtualenvs/news-site-columnist-8tsXn7bh/lib/python3.10/site-packages/sentry_sdk/integrations/django/middleware.py in __call__(177)
  return f(*args, **kwargs)

/home/youser/.local/share/virtualenvs/news-site-columnist-8tsXn7bh/lib/python3.10/site-packages/sentry_sdk/integrations/django/middleware.py in __call__(177)
  return f(*args, **kwargs)

/home/youser/.local/share/virtualenvs/news-site-columnist-8tsXn7bh/lib/python3.10/site-packages/sentry_sdk/integrations/django/middleware.py in __call__(177)
  return f(*args, **kwargs)

/home/youser/.local/share/virtualenvs/news-site-columnist-8tsXn7bh/lib/python3.10/site-packages/sentry_sdk/integrations/django/middleware.py in __call__(177)
  return f(*args, **kwargs)

/home/youser/.local/share/virtualenvs/news-site-columnist-8tsXn7bh/lib/python3.10/site-packages/sentry_sdk/integrations/django/middleware.py in __call__(177)
  return f(*args, **kwargs)

/home/youser/.local/share/virtualenvs/news-site-columnist-8tsXn7bh/lib/python3.10/site-packages/sentry_sdk/integrations/django/middleware.py in __call__(177)
  return f(*args, **kwargs)

/var/www/news-site-columnist/news/middleware/subdomain_middleare.py in __call__(22)
  response = self.get_response(request)

/home/youser/.local/share/virtualenvs/news-site-columnist-8tsXn7bh/lib/python3.10/site-packages/sentry_sdk/integrations/django/views.py in sentry_wrapped_callback(94)
  return callback(request, *args, **kwargs)

/var/www/news-site-columnist/news/views/post.py in subdomain_view_post(922)
  cat = Category.all_objects.get(subdomain=subdomain)

SELECT "post"."created_at",
       "post"."seo_title",
       "post"."seo_title_uk",
       "post"."seo_title_en",
       "post"."seo_title_ru",
       "post"."seo_description",
       "post"."seo_description_uk",
       "post"."seo_description_en",
       "post"."seo_description_ru",
       "post"."seo_keywords",
       "post"."seo_keywords_uk",
       "post"."seo_keywords_en",
       "post"."seo_keywords_ru",
       "post"."seo_header_one",
       "post"."seo_header_one_uk",
       "post"."seo_header_one_en",
       "post"."seo_header_one_ru",
       "post"."created_by",
       "post"."updated_by",
       "post"."polymorphic_ctype_id",
       "post"."id",
       "post"."head",
       "post"."head_uk",
       "post"."head_en",
       "post"."head_ru",
       "post"."sub_head",
       "post"."sub_head_uk",
       "post"."sub_head_en",
       "post"."sub_head_ru",
       "post"."content",
       "post"."content_uk",
       "post"."content_en",
       "post"."content_ru",
       "post"."author_id",
       "post"."seo_tag_id",
       "post"."publish_at",
       "post"."translated_at",
       "post"."updated_at",
       "post"."show_updated_at",
       "post"."slug",
       "post"."slug_uk",
       "post"."slug_en",
       "post"."slug_ru",
       "post"."aplication_type",
       "post"."last_editor_id",
       "post"."status",
       "post"."show_at_homepage",
       "post"."show_at_news_feed",
       "post"."show_on_broadcast_page",
       "post"."is_category_top",
       "post"."is_homepage_top",
       "post"."is_homepage_top_uk",
       "post"."is_homepage_top_en",
       "post"."is_homepage_top_ru",
       "post"."id_sponsored",
       "post"."is_lightning",
       "post"."is_exclusive",
       "post"."is_photo_report",
       "post"."is_post",
       "post"."is_article",
       "post"."main_page_img_full_width",
       "post"."need_hires",
       "post"."has_photo",
       "post"."has_video",
       "post"."is_editors_choise",
       "post"."show_in_sidebar",
       "post"."category_id",
       "post"."old_category_id",
       "post"."past_region",
       "post"."year_of_war",
       "post"."breaking_news",
       "post"."without_img",
       "post"."show_stories_block",
       "post"."display_type",
       "post"."image",
       "post"."image_alt",
       "post"."image_alt_uk",
       "post"."image_alt_en",
       "post"."image_alt_ru",
       "post"."seo_image",
       "post"."text_under_image",
       "post"."text_under_image_uk",
       "post"."text_under_image_en",
       "post"."text_under_image_ru",
       "post"."image_source",
       "post"."image_source_uk",
       "post"."image_source_en",
       "post"."image_source_ru",
       "post"."theme_id",
       "post"."is_nofollow_disabled",
       "post"."audio_content_id",
       "post"."audio_content_uk_id",
       "post"."audio_content_en_id",
       "post"."audio_content_ru_id",
       "post"."views",
       "post"."views_uk",
       "post"."views_ru",
       "post"."views_analytics",
       "post"."views_analytics_ru",
       "post"."views_analytics_uk",
       "post"."views_analytics_at",
       "post"."busy_by_id",
       "post"."image_editor_id",
       "post"."release_editor_id",
       "post"."special_type",
       "post"."head_longer_than_100",
       "post"."uk_has_translation",
       "post"."ru_has_translation",
       "post"."en_has_translation",
       "post"."homepage_slider_text",
       "post"."homepage_slider_text_uk",
       "post"."homepage_slider_text_en",
       "post"."homepage_slider_text_ru"
  FROM "post"
 INNER JOIN "category"
    ON ("post"."category_id" = "category"."id")
 WHERE ("post"."polymorphic_ctype_id" = 4 AND "category"."slug" = 'shou-biznes' AND "post"."id" = 22135 AND "post"."status" = 2 AND "post"."publish_at" <= '2026-02-12T09:55:40.852424+00:00'::timestamptz)
 LIMIT 21
SELECT ••• FROM "post" INNER JOIN "category" ON ("post"."category_id" = "category"."id") WHERE ("post"."polymorphic_ctype_id" = 4 AND "category"."slug" = 'shou-biznes' AND "post"."id" = 22135 AND "post"."status" = 2 AND "post"."publish_at" <= '2026-02-12T09:55:40.852424+00:00'::timestamptz) LIMIT 21
6 similar queries.
3,62

Соединение: default

Статус транзакции: Ожидание

/home/youser/.local/share/virtualenvs/news-site-columnist-8tsXn7bh/bin/gunicorn in <module>(8)
  sys.exit(run())

/home/youser/.local/share/virtualenvs/news-site-columnist-8tsXn7bh/lib/python3.10/site-packages/gunicorn/app/wsgiapp.py in run(66)
  WSGIApplication("%(prog)s [OPTIONS] [APP_MODULE]", prog=prog).run()

/home/youser/.local/share/virtualenvs/news-site-columnist-8tsXn7bh/lib/python3.10/site-packages/gunicorn/app/base.py in run(235)
  super().run()

/home/youser/.local/share/virtualenvs/news-site-columnist-8tsXn7bh/lib/python3.10/site-packages/gunicorn/app/base.py in run(71)
  Arbiter(self).run()

/home/youser/.local/share/virtualenvs/news-site-columnist-8tsXn7bh/lib/python3.10/site-packages/gunicorn/arbiter.py in run(210)
  self.manage_workers()

/home/youser/.local/share/virtualenvs/news-site-columnist-8tsXn7bh/lib/python3.10/site-packages/gunicorn/arbiter.py in manage_workers(570)
  self.spawn_workers()

/home/youser/.local/share/virtualenvs/news-site-columnist-8tsXn7bh/lib/python3.10/site-packages/gunicorn/arbiter.py in spawn_workers(641)
  self.spawn_worker()

/home/youser/.local/share/virtualenvs/news-site-columnist-8tsXn7bh/lib/python3.10/site-packages/gunicorn/arbiter.py in spawn_worker(608)
  worker.init_process()

/home/youser/.local/share/virtualenvs/news-site-columnist-8tsXn7bh/lib/python3.10/site-packages/gunicorn/workers/base.py in init_process(143)
  self.run()

/home/youser/.local/share/virtualenvs/news-site-columnist-8tsXn7bh/lib/python3.10/site-packages/gunicorn/workers/sync.py in run(125)
  self.run_for_one(timeout)

/home/youser/.local/share/virtualenvs/news-site-columnist-8tsXn7bh/lib/python3.10/site-packages/gunicorn/workers/sync.py in run_for_one(69)
  self.accept(listener)

/home/youser/.local/share/virtualenvs/news-site-columnist-8tsXn7bh/lib/python3.10/site-packages/gunicorn/workers/sync.py in accept(31)
  self.handle(listener, client, addr)

/home/youser/.local/share/virtualenvs/news-site-columnist-8tsXn7bh/lib/python3.10/site-packages/gunicorn/workers/sync.py in handle(134)
  self.handle_request(listener, req, client, addr)

/home/youser/.local/share/virtualenvs/news-site-columnist-8tsXn7bh/lib/python3.10/site-packages/gunicorn/workers/sync.py in handle_request(177)
  respiter = self.wsgi(environ, resp.start_response)

/home/youser/.local/share/virtualenvs/news-site-columnist-8tsXn7bh/lib/python3.10/site-packages/sentry_sdk/utils.py in runner(1864)
  return sentry_patched_function(*args, **kwargs)

/home/youser/.local/share/virtualenvs/news-site-columnist-8tsXn7bh/lib/python3.10/site-packages/sentry_sdk/integrations/django/__init__.py in sentry_patched_wsgi_handler(191)
  return middleware(environ, start_response)

/home/youser/.local/share/virtualenvs/news-site-columnist-8tsXn7bh/lib/python3.10/site-packages/sentry_sdk/integrations/wsgi.py in __call__(132)
  response = self.app(

/home/youser/.local/share/virtualenvs/news-site-columnist-8tsXn7bh/lib/python3.10/site-packages/sentry_sdk/integrations/django/__init__.py in sentry_patched_get_response(478)
  rv = old_get_response(self, request)

/home/youser/.local/share/virtualenvs/news-site-columnist-8tsXn7bh/lib/python3.10/site-packages/sentry_sdk/integrations/django/middleware.py in __call__(177)
  return f(*args, **kwargs)

/home/youser/.local/share/virtualenvs/news-site-columnist-8tsXn7bh/lib/python3.10/site-packages/sentry_sdk/integrations/django/middleware.py in __call__(177)
  return f(*args, **kwargs)

/var/www/news-site-columnist/redirects/middleware/redirect_middleware.py in __call__(17)
  return self.get_response(request)

/home/youser/.local/share/virtualenvs/news-site-columnist-8tsXn7bh/lib/python3.10/site-packages/sentry_sdk/integrations/django/middleware.py in __call__(177)
  return f(*args, **kwargs)

/home/youser/.local/share/virtualenvs/news-site-columnist-8tsXn7bh/lib/python3.10/site-packages/sentry_sdk/integrations/django/middleware.py in __call__(177)
  return f(*args, **kwargs)

/home/youser/.local/share/virtualenvs/news-site-columnist-8tsXn7bh/lib/python3.10/site-packages/sentry_sdk/integrations/django/middleware.py in __call__(177)
  return f(*args, **kwargs)

/home/youser/.local/share/virtualenvs/news-site-columnist-8tsXn7bh/lib/python3.10/site-packages/sentry_sdk/integrations/django/middleware.py in __call__(177)
  return f(*args, **kwargs)

/home/youser/.local/share/virtualenvs/news-site-columnist-8tsXn7bh/lib/python3.10/site-packages/corsheaders/middleware.py in __call__(53)
  result = self.get_response(request)

/home/youser/.local/share/virtualenvs/news-site-columnist-8tsXn7bh/lib/python3.10/site-packages/sentry_sdk/integrations/django/middleware.py in __call__(177)
  return f(*args, **kwargs)

/home/youser/.local/share/virtualenvs/news-site-columnist-8tsXn7bh/lib/python3.10/site-packages/django_user_agents/middleware.py in __call__(14)
  return self.get_response(request)

/home/youser/.local/share/virtualenvs/news-site-columnist-8tsXn7bh/lib/python3.10/site-packages/sentry_sdk/integrations/django/middleware.py in __call__(177)
  return f(*args, **kwargs)

/home/youser/.local/share/virtualenvs/news-site-columnist-8tsXn7bh/lib/python3.10/site-packages/sentry_sdk/integrations/django/middleware.py in __call__(177)
  return f(*args, **kwargs)

/home/youser/.local/share/virtualenvs/news-site-columnist-8tsXn7bh/lib/python3.10/site-packages/sentry_sdk/integrations/django/middleware.py in __call__(177)
  return f(*args, **kwargs)

/home/youser/.local/share/virtualenvs/news-site-columnist-8tsXn7bh/lib/python3.10/site-packages/sentry_sdk/integrations/django/middleware.py in __call__(177)
  return f(*args, **kwargs)

/home/youser/.local/share/virtualenvs/news-site-columnist-8tsXn7bh/lib/python3.10/site-packages/sentry_sdk/integrations/django/middleware.py in __call__(177)
  return f(*args, **kwargs)

/home/youser/.local/share/virtualenvs/news-site-columnist-8tsXn7bh/lib/python3.10/site-packages/sentry_sdk/integrations/django/middleware.py in __call__(177)
  return f(*args, **kwargs)

/home/youser/.local/share/virtualenvs/news-site-columnist-8tsXn7bh/lib/python3.10/site-packages/sentry_sdk/integrations/django/middleware.py in __call__(177)
  return f(*args, **kwargs)

/home/youser/.local/share/virtualenvs/news-site-columnist-8tsXn7bh/lib/python3.10/site-packages/sentry_sdk/integrations/django/middleware.py in __call__(177)
  return f(*args, **kwargs)

/var/www/news-site-columnist/news/middleware/subdomain_middleare.py in __call__(22)
  response = self.get_response(request)

/home/youser/.local/share/virtualenvs/news-site-columnist-8tsXn7bh/lib/python3.10/site-packages/sentry_sdk/integrations/django/views.py in sentry_wrapped_callback(94)
  return callback(request, *args, **kwargs)

/var/www/news-site-columnist/news/views/post.py in subdomain_view_post(923)
  return GetPost.as_view()(

/home/youser/.local/share/virtualenvs/news-site-columnist-8tsXn7bh/lib/python3.10/site-packages/django/views/generic/base.py in view(104)
  return self.dispatch(request, *args, **kwargs)

/home/youser/.local/share/virtualenvs/news-site-columnist-8tsXn7bh/lib/python3.10/site-packages/django/views/generic/base.py in dispatch(143)
  return handler(request, *args, **kwargs)

/var/www/news-site-columnist/news/views/post.py in get(181)
  post = self.get_object()

/var/www/news-site-columnist/news/views/post.py in get_object(120)
  obj = queryset.get()

/home/youser/.local/share/virtualenvs/news-site-columnist-8tsXn7bh/lib/python3.10/site-packages/polymorphic/query.py in _polymorphic_iterator(57)
  o = next(base_iter)

SELECT "post"."created_at",
       "post"."seo_title",
       "post"."seo_title_uk",
       "post"."seo_title_en",
       "post"."seo_title_ru",
       "post"."seo_description",
       "post"."seo_description_uk",
       "post"."seo_description_en",
       "post"."seo_description_ru",
       "post"."seo_keywords",
       "post"."seo_keywords_uk",
       "post"."seo_keywords_en",
       "post"."seo_keywords_ru",
       "post"."seo_header_one",
       "post"."seo_header_one_uk",
       "post"."seo_header_one_en",
       "post"."seo_header_one_ru",
       "post"."created_by",
       "post"."updated_by",
       "post"."polymorphic_ctype_id",
       "post"."id",
       "post"."head",
       "post"."head_uk",
       "post"."head_en",
       "post"."head_ru",
       "post"."sub_head",
       "post"."sub_head_uk",
       "post"."sub_head_en",
       "post"."sub_head_ru",
       "post"."content",
       "post"."content_uk",
       "post"."content_en",
       "post"."content_ru",
       "post"."author_id",
       "post"."seo_tag_id",
       "post"."publish_at",
       "post"."translated_at",
       "post"."updated_at",
       "post"."show_updated_at",
       "post"."slug",
       "post"."slug_uk",
       "post"."slug_en",
       "post"."slug_ru",
       "post"."aplication_type",
       "post"."last_editor_id",
       "post"."status",
       "post"."show_at_homepage",
       "post"."show_at_news_feed",
       "post"."show_on_broadcast_page",
       "post"."is_category_top",
       "post"."is_homepage_top",
       "post"."is_homepage_top_uk",
       "post"."is_homepage_top_en",
       "post"."is_homepage_top_ru",
       "post"."id_sponsored",
       "post"."is_lightning",
       "post"."is_exclusive",
       "post"."is_photo_report",
       "post"."is_post",
       "post"."is_article",
       "post"."main_page_img_full_width",
       "post"."need_hires",
       "post"."has_photo",
       "post"."has_video",
       "post"."is_editors_choise",
       "post"."show_in_sidebar",
       "post"."category_id",
       "post"."old_category_id",
       "post"."past_region",
       "post"."year_of_war",
       "post"."breaking_news",
       "post"."without_img",
       "post"."show_stories_block",
       "post"."display_type",
       "post"."image",
       "post"."image_alt",
       "post"."image_alt_uk",
       "post"."image_alt_en",
       "post"."image_alt_ru",
       "post"."seo_image",
       "post"."text_under_image",
       "post"."text_under_image_uk",
       "post"."text_under_image_en",
       "post"."text_under_image_ru",
       "post"."image_source",
       "post"."image_source_uk",
       "post"."image_source_en",
       "post"."image_source_ru",
       "post"."theme_id",
       "post"."is_nofollow_disabled",
       "post"."audio_content_id",
       "post"."audio_content_uk_id",
       "post"."audio_content_en_id",
       "post"."audio_content_ru_id",
       "post"."views",
       "post"."views_uk",
       "post"."views_ru",
       "post"."views_analytics",
       "post"."views_analytics_ru",
       "post"."views_analytics_uk",
       "post"."views_analytics_at",
       "post"."busy_by_id",
       "post"."image_editor_id",
       "post"."release_editor_id",
       "post"."special_type",
       "post"."head_longer_than_100",
       "post"."uk_has_translation",
       "post"."ru_has_translation",
       "post"."en_has_translation",
       "post"."homepage_slider_text",
       "post"."homepage_slider_text_uk",
       "post"."homepage_slider_text_en",
       "post"."homepage_slider_text_ru"
  FROM "post"
 INNER JOIN "category"
    ON ("post"."category_id" = "category"."id")
 WHERE ("post"."polymorphic_ctype_id" = 4 AND "category"."slug" = 'shou-biznes' AND "post"."id" = 22135 AND "post"."status" = 2 AND "post"."publish_at" <= '2026-02-12T09:55:40.859019+00:00'::timestamptz)
 LIMIT 21
SELECT ••• FROM "post" INNER JOIN "category" ON ("post"."category_id" = "category"."id") WHERE ("post"."polymorphic_ctype_id" = 4 AND "category"."slug" = 'shou-biznes' AND "post"."id" = 22135 AND "post"."status" = 2 AND "post"."publish_at" <= '2026-02-12T09:55:40.859019+00:00'::timestamptz) LIMIT 21
6 similar queries.
1,51

Соединение: default

Статус транзакции: Ожидание

/home/youser/.local/share/virtualenvs/news-site-columnist-8tsXn7bh/bin/gunicorn in <module>(8)
  sys.exit(run())

/home/youser/.local/share/virtualenvs/news-site-columnist-8tsXn7bh/lib/python3.10/site-packages/gunicorn/app/wsgiapp.py in run(66)
  WSGIApplication("%(prog)s [OPTIONS] [APP_MODULE]", prog=prog).run()

/home/youser/.local/share/virtualenvs/news-site-columnist-8tsXn7bh/lib/python3.10/site-packages/gunicorn/app/base.py in run(235)
  super().run()

/home/youser/.local/share/virtualenvs/news-site-columnist-8tsXn7bh/lib/python3.10/site-packages/gunicorn/app/base.py in run(71)
  Arbiter(self).run()

/home/youser/.local/share/virtualenvs/news-site-columnist-8tsXn7bh/lib/python3.10/site-packages/gunicorn/arbiter.py in run(210)
  self.manage_workers()

/home/youser/.local/share/virtualenvs/news-site-columnist-8tsXn7bh/lib/python3.10/site-packages/gunicorn/arbiter.py in manage_workers(570)
  self.spawn_workers()

/home/youser/.local/share/virtualenvs/news-site-columnist-8tsXn7bh/lib/python3.10/site-packages/gunicorn/arbiter.py in spawn_workers(641)
  self.spawn_worker()

/home/youser/.local/share/virtualenvs/news-site-columnist-8tsXn7bh/lib/python3.10/site-packages/gunicorn/arbiter.py in spawn_worker(608)
  worker.init_process()

/home/youser/.local/share/virtualenvs/news-site-columnist-8tsXn7bh/lib/python3.10/site-packages/gunicorn/workers/base.py in init_process(143)
  self.run()

/home/youser/.local/share/virtualenvs/news-site-columnist-8tsXn7bh/lib/python3.10/site-packages/gunicorn/workers/sync.py in run(125)
  self.run_for_one(timeout)

/home/youser/.local/share/virtualenvs/news-site-columnist-8tsXn7bh/lib/python3.10/site-packages/gunicorn/workers/sync.py in run_for_one(69)
  self.accept(listener)

/home/youser/.local/share/virtualenvs/news-site-columnist-8tsXn7bh/lib/python3.10/site-packages/gunicorn/workers/sync.py in accept(31)
  self.handle(listener, client, addr)

/home/youser/.local/share/virtualenvs/news-site-columnist-8tsXn7bh/lib/python3.10/site-packages/gunicorn/workers/sync.py in handle(134)
  self.handle_request(listener, req, client, addr)

/home/youser/.local/share/virtualenvs/news-site-columnist-8tsXn7bh/lib/python3.10/site-packages/gunicorn/workers/sync.py in handle_request(177)
  respiter = self.wsgi(environ, resp.start_response)

/home/youser/.local/share/virtualenvs/news-site-columnist-8tsXn7bh/lib/python3.10/site-packages/sentry_sdk/utils.py in runner(1864)
  return sentry_patched_function(*args, **kwargs)

/home/youser/.local/share/virtualenvs/news-site-columnist-8tsXn7bh/lib/python3.10/site-packages/sentry_sdk/integrations/django/__init__.py in sentry_patched_wsgi_handler(191)
  return middleware(environ, start_response)

/home/youser/.local/share/virtualenvs/news-site-columnist-8tsXn7bh/lib/python3.10/site-packages/sentry_sdk/integrations/wsgi.py in __call__(132)
  response = self.app(

/home/youser/.local/share/virtualenvs/news-site-columnist-8tsXn7bh/lib/python3.10/site-packages/sentry_sdk/integrations/django/__init__.py in sentry_patched_get_response(478)
  rv = old_get_response(self, request)

/home/youser/.local/share/virtualenvs/news-site-columnist-8tsXn7bh/lib/python3.10/site-packages/sentry_sdk/integrations/django/middleware.py in __call__(177)
  return f(*args, **kwargs)

/home/youser/.local/share/virtualenvs/news-site-columnist-8tsXn7bh/lib/python3.10/site-packages/sentry_sdk/integrations/django/middleware.py in __call__(177)
  return f(*args, **kwargs)

/var/www/news-site-columnist/redirects/middleware/redirect_middleware.py in __call__(17)
  return self.get_response(request)

/home/youser/.local/share/virtualenvs/news-site-columnist-8tsXn7bh/lib/python3.10/site-packages/sentry_sdk/integrations/django/middleware.py in __call__(177)
  return f(*args, **kwargs)

/home/youser/.local/share/virtualenvs/news-site-columnist-8tsXn7bh/lib/python3.10/site-packages/sentry_sdk/integrations/django/middleware.py in __call__(177)
  return f(*args, **kwargs)

/home/youser/.local/share/virtualenvs/news-site-columnist-8tsXn7bh/lib/python3.10/site-packages/sentry_sdk/integrations/django/middleware.py in __call__(177)
  return f(*args, **kwargs)

/home/youser/.local/share/virtualenvs/news-site-columnist-8tsXn7bh/lib/python3.10/site-packages/sentry_sdk/integrations/django/middleware.py in __call__(177)
  return f(*args, **kwargs)

/home/youser/.local/share/virtualenvs/news-site-columnist-8tsXn7bh/lib/python3.10/site-packages/corsheaders/middleware.py in __call__(53)
  result = self.get_response(request)

/home/youser/.local/share/virtualenvs/news-site-columnist-8tsXn7bh/lib/python3.10/site-packages/sentry_sdk/integrations/django/middleware.py in __call__(177)
  return f(*args, **kwargs)

/home/youser/.local/share/virtualenvs/news-site-columnist-8tsXn7bh/lib/python3.10/site-packages/django_user_agents/middleware.py in __call__(14)
  return self.get_response(request)

/home/youser/.local/share/virtualenvs/news-site-columnist-8tsXn7bh/lib/python3.10/site-packages/sentry_sdk/integrations/django/middleware.py in __call__(177)
  return f(*args, **kwargs)

/home/youser/.local/share/virtualenvs/news-site-columnist-8tsXn7bh/lib/python3.10/site-packages/sentry_sdk/integrations/django/middleware.py in __call__(177)
  return f(*args, **kwargs)

/home/youser/.local/share/virtualenvs/news-site-columnist-8tsXn7bh/lib/python3.10/site-packages/sentry_sdk/integrations/django/middleware.py in __call__(177)
  return f(*args, **kwargs)

/home/youser/.local/share/virtualenvs/news-site-columnist-8tsXn7bh/lib/python3.10/site-packages/sentry_sdk/integrations/django/middleware.py in __call__(177)
  return f(*args, **kwargs)

/home/youser/.local/share/virtualenvs/news-site-columnist-8tsXn7bh/lib/python3.10/site-packages/sentry_sdk/integrations/django/middleware.py in __call__(177)
  return f(*args, **kwargs)

/home/youser/.local/share/virtualenvs/news-site-columnist-8tsXn7bh/lib/python3.10/site-packages/sentry_sdk/integrations/django/middleware.py in __call__(177)
  return f(*args, **kwargs)

/home/youser/.local/share/virtualenvs/news-site-columnist-8tsXn7bh/lib/python3.10/site-packages/sentry_sdk/integrations/django/middleware.py in __call__(177)
  return f(*args, **kwargs)

/home/youser/.local/share/virtualenvs/news-site-columnist-8tsXn7bh/lib/python3.10/site-packages/sentry_sdk/integrations/django/middleware.py in __call__(177)
  return f(*args, **kwargs)

/var/www/news-site-columnist/news/middleware/subdomain_middleare.py in __call__(22)
  response = self.get_response(request)

/home/youser/.local/share/virtualenvs/news-site-columnist-8tsXn7bh/lib/python3.10/site-packages/sentry_sdk/integrations/django/views.py in sentry_wrapped_callback(94)
  return callback(request, *args, **kwargs)

/var/www/news-site-columnist/news/views/post.py in subdomain_view_post(923)
  return GetPost.as_view()(

/home/youser/.local/share/virtualenvs/news-site-columnist-8tsXn7bh/lib/python3.10/site-packages/django/views/generic/base.py in view(104)
  return self.dispatch(request, *args, **kwargs)

/home/youser/.local/share/virtualenvs/news-site-columnist-8tsXn7bh/lib/python3.10/site-packages/django/views/generic/base.py in dispatch(143)
  return handler(request, *args, **kwargs)

/var/www/news-site-columnist/news/views/post.py in get(187)
  return super().get(request, *args, **kwargs)

/var/www/news-site-columnist/news/views/base.py in get(143)
  post = self.get_object()

/var/www/news-site-columnist/news/views/post.py in get_object(120)
  obj = queryset.get()

/home/youser/.local/share/virtualenvs/news-site-columnist-8tsXn7bh/lib/python3.10/site-packages/polymorphic/query.py in _polymorphic_iterator(57)
  o = next(base_iter)

SELECT "django_content_type"."id",
       "django_content_type"."app_label",
       "django_content_type"."model"
  FROM "django_content_type"
 WHERE ("django_content_type"."app_label" = 'news' AND "django_content_type"."model" = 'broadcastpost')
 LIMIT 21
SELECT ••• FROM "django_content_type" WHERE ("django_content_type"."app_label" = 'news' AND "django_content_type"."model" = 'broadcastpost') LIMIT 21
10 similar queries. Duplicated 4 times.
0,48

Соединение: default

Статус транзакции: Ожидание

/home/youser/.local/share/virtualenvs/news-site-columnist-8tsXn7bh/bin/gunicorn in <module>(8)
  sys.exit(run())

/home/youser/.local/share/virtualenvs/news-site-columnist-8tsXn7bh/lib/python3.10/site-packages/gunicorn/app/wsgiapp.py in run(66)
  WSGIApplication("%(prog)s [OPTIONS] [APP_MODULE]", prog=prog).run()

/home/youser/.local/share/virtualenvs/news-site-columnist-8tsXn7bh/lib/python3.10/site-packages/gunicorn/app/base.py in run(235)
  super().run()

/home/youser/.local/share/virtualenvs/news-site-columnist-8tsXn7bh/lib/python3.10/site-packages/gunicorn/app/base.py in run(71)
  Arbiter(self).run()

/home/youser/.local/share/virtualenvs/news-site-columnist-8tsXn7bh/lib/python3.10/site-packages/gunicorn/arbiter.py in run(210)
  self.manage_workers()

/home/youser/.local/share/virtualenvs/news-site-columnist-8tsXn7bh/lib/python3.10/site-packages/gunicorn/arbiter.py in manage_workers(570)
  self.spawn_workers()

/home/youser/.local/share/virtualenvs/news-site-columnist-8tsXn7bh/lib/python3.10/site-packages/gunicorn/arbiter.py in spawn_workers(641)
  self.spawn_worker()

/home/youser/.local/share/virtualenvs/news-site-columnist-8tsXn7bh/lib/python3.10/site-packages/gunicorn/arbiter.py in spawn_worker(608)
  worker.init_process()

/home/youser/.local/share/virtualenvs/news-site-columnist-8tsXn7bh/lib/python3.10/site-packages/gunicorn/workers/base.py in init_process(143)
  self.run()

/home/youser/.local/share/virtualenvs/news-site-columnist-8tsXn7bh/lib/python3.10/site-packages/gunicorn/workers/sync.py in run(125)
  self.run_for_one(timeout)

/home/youser/.local/share/virtualenvs/news-site-columnist-8tsXn7bh/lib/python3.10/site-packages/gunicorn/workers/sync.py in run_for_one(69)
  self.accept(listener)

/home/youser/.local/share/virtualenvs/news-site-columnist-8tsXn7bh/lib/python3.10/site-packages/gunicorn/workers/sync.py in accept(31)
  self.handle(listener, client, addr)

/home/youser/.local/share/virtualenvs/news-site-columnist-8tsXn7bh/lib/python3.10/site-packages/gunicorn/workers/sync.py in handle(134)
  self.handle_request(listener, req, client, addr)

/home/youser/.local/share/virtualenvs/news-site-columnist-8tsXn7bh/lib/python3.10/site-packages/gunicorn/workers/sync.py in handle_request(177)
  respiter = self.wsgi(environ, resp.start_response)

/home/youser/.local/share/virtualenvs/news-site-columnist-8tsXn7bh/lib/python3.10/site-packages/sentry_sdk/utils.py in runner(1864)
  return sentry_patched_function(*args, **kwargs)

/home/youser/.local/share/virtualenvs/news-site-columnist-8tsXn7bh/lib/python3.10/site-packages/sentry_sdk/integrations/django/__init__.py in sentry_patched_wsgi_handler(191)
  return middleware(environ, start_response)

/home/youser/.local/share/virtualenvs/news-site-columnist-8tsXn7bh/lib/python3.10/site-packages/sentry_sdk/integrations/wsgi.py in __call__(132)
  response = self.app(

/home/youser/.local/share/virtualenvs/news-site-columnist-8tsXn7bh/lib/python3.10/site-packages/sentry_sdk/integrations/django/__init__.py in sentry_patched_get_response(478)
  rv = old_get_response(self, request)

/home/youser/.local/share/virtualenvs/news-site-columnist-8tsXn7bh/lib/python3.10/site-packages/sentry_sdk/integrations/django/middleware.py in __call__(177)
  return f(*args, **kwargs)

/home/youser/.local/share/virtualenvs/news-site-columnist-8tsXn7bh/lib/python3.10/site-packages/sentry_sdk/integrations/django/middleware.py in __call__(177)
  return f(*args, **kwargs)

/var/www/news-site-columnist/redirects/middleware/redirect_middleware.py in __call__(17)
  return self.get_response(request)

/home/youser/.local/share/virtualenvs/news-site-columnist-8tsXn7bh/lib/python3.10/site-packages/sentry_sdk/integrations/django/middleware.py in __call__(177)
  return f(*args, **kwargs)

/home/youser/.local/share/virtualenvs/news-site-columnist-8tsXn7bh/lib/python3.10/site-packages/sentry_sdk/integrations/django/middleware.py in __call__(177)
  return f(*args, **kwargs)

/home/youser/.local/share/virtualenvs/news-site-columnist-8tsXn7bh/lib/python3.10/site-packages/sentry_sdk/integrations/django/middleware.py in __call__(177)
  return f(*args, **kwargs)

/home/youser/.local/share/virtualenvs/news-site-columnist-8tsXn7bh/lib/python3.10/site-packages/sentry_sdk/integrations/django/middleware.py in __call__(177)
  return f(*args, **kwargs)

/home/youser/.local/share/virtualenvs/news-site-columnist-8tsXn7bh/lib/python3.10/site-packages/corsheaders/middleware.py in __call__(53)
  result = self.get_response(request)

/home/youser/.local/share/virtualenvs/news-site-columnist-8tsXn7bh/lib/python3.10/site-packages/sentry_sdk/integrations/django/middleware.py in __call__(177)
  return f(*args, **kwargs)

/home/youser/.local/share/virtualenvs/news-site-columnist-8tsXn7bh/lib/python3.10/site-packages/django_user_agents/middleware.py in __call__(14)
  return self.get_response(request)

/home/youser/.local/share/virtualenvs/news-site-columnist-8tsXn7bh/lib/python3.10/site-packages/sentry_sdk/integrations/django/middleware.py in __call__(177)
  return f(*args, **kwargs)

/home/youser/.local/share/virtualenvs/news-site-columnist-8tsXn7bh/lib/python3.10/site-packages/sentry_sdk/integrations/django/middleware.py in __call__(177)
  return f(*args, **kwargs)

/home/youser/.local/share/virtualenvs/news-site-columnist-8tsXn7bh/lib/python3.10/site-packages/sentry_sdk/integrations/django/middleware.py in __call__(177)
  return f(*args, **kwargs)

/home/youser/.local/share/virtualenvs/news-site-columnist-8tsXn7bh/lib/python3.10/site-packages/sentry_sdk/integrations/django/middleware.py in __call__(177)
  return f(*args, **kwargs)

/home/youser/.local/share/virtualenvs/news-site-columnist-8tsXn7bh/lib/python3.10/site-packages/sentry_sdk/integrations/django/middleware.py in __call__(177)
  return f(*args, **kwargs)

/home/youser/.local/share/virtualenvs/news-site-columnist-8tsXn7bh/lib/python3.10/site-packages/sentry_sdk/integrations/django/middleware.py in __call__(177)
  return f(*args, **kwargs)

/home/youser/.local/share/virtualenvs/news-site-columnist-8tsXn7bh/lib/python3.10/site-packages/sentry_sdk/integrations/django/middleware.py in __call__(177)
  return f(*args, **kwargs)

/home/youser/.local/share/virtualenvs/news-site-columnist-8tsXn7bh/lib/python3.10/site-packages/sentry_sdk/integrations/django/middleware.py in __call__(177)
  return f(*args, **kwargs)

/var/www/news-site-columnist/news/middleware/subdomain_middleare.py in __call__(22)
  response = self.get_response(request)

/home/youser/.local/share/virtualenvs/news-site-columnist-8tsXn7bh/lib/python3.10/site-packages/sentry_sdk/integrations/django/views.py in sentry_wrapped_callback(94)
  return callback(request, *args, **kwargs)

/var/www/news-site-columnist/news/views/post.py in subdomain_view_post(923)
  return GetPost.as_view()(

/home/youser/.local/share/virtualenvs/news-site-columnist-8tsXn7bh/lib/python3.10/site-packages/django/views/generic/base.py in view(104)
  return self.dispatch(request, *args, **kwargs)

/home/youser/.local/share/virtualenvs/news-site-columnist-8tsXn7bh/lib/python3.10/site-packages/django/views/generic/base.py in dispatch(143)
  return handler(request, *args, **kwargs)

/var/www/news-site-columnist/news/views/post.py in get(187)
  return super().get(request, *args, **kwargs)

/var/www/news-site-columnist/news/views/base.py in get(144)
  if not post.is_published:

/var/www/news-site-columnist/news/models/news.py in is_published(708)
  return Post.objects.filter(pk=self.pk).published().exists()

/home/youser/.local/share/virtualenvs/news-site-columnist-8tsXn7bh/lib/python3.10/site-packages/modeltranslation/manager.py in get_queryset(633)
  qs = super().get_queryset()

/home/youser/.local/share/virtualenvs/news-site-columnist-8tsXn7bh/lib/python3.10/site-packages/modeltranslation/manager.py in get_queryset(607)
  qs = super().get_queryset()

/var/www/news-site-columnist/news/models/news.py in get_queryset(51)
  qs = super().get_queryset()

/var/www/news-site-columnist/news/models/news.py in get_queryset(565)
  self.broadcast_ct = ContentType.objects.get(app_label="news", model="broadcastpost")

SELECT "django_content_type"."id",
       "django_content_type"."app_label",
       "django_content_type"."model"
  FROM "django_content_type"
 WHERE ("django_content_type"."app_label" = 'context_section' AND "django_content_type"."model" = 'columnpost')
 LIMIT 21
SELECT ••• FROM "django_content_type" WHERE ("django_content_type"."app_label" = 'context_section' AND "django_content_type"."model" = 'columnpost') LIMIT 21
10 similar queries. Duplicated 4 times.
0,29

Соединение: default

Статус транзакции: Ожидание

/home/youser/.local/share/virtualenvs/news-site-columnist-8tsXn7bh/bin/gunicorn in <module>(8)
  sys.exit(run())

/home/youser/.local/share/virtualenvs/news-site-columnist-8tsXn7bh/lib/python3.10/site-packages/gunicorn/app/wsgiapp.py in run(66)
  WSGIApplication("%(prog)s [OPTIONS] [APP_MODULE]", prog=prog).run()

/home/youser/.local/share/virtualenvs/news-site-columnist-8tsXn7bh/lib/python3.10/site-packages/gunicorn/app/base.py in run(235)
  super().run()

/home/youser/.local/share/virtualenvs/news-site-columnist-8tsXn7bh/lib/python3.10/site-packages/gunicorn/app/base.py in run(71)
  Arbiter(self).run()

/home/youser/.local/share/virtualenvs/news-site-columnist-8tsXn7bh/lib/python3.10/site-packages/gunicorn/arbiter.py in run(210)
  self.manage_workers()

/home/youser/.local/share/virtualenvs/news-site-columnist-8tsXn7bh/lib/python3.10/site-packages/gunicorn/arbiter.py in manage_workers(570)
  self.spawn_workers()

/home/youser/.local/share/virtualenvs/news-site-columnist-8tsXn7bh/lib/python3.10/site-packages/gunicorn/arbiter.py in spawn_workers(641)
  self.spawn_worker()

/home/youser/.local/share/virtualenvs/news-site-columnist-8tsXn7bh/lib/python3.10/site-packages/gunicorn/arbiter.py in spawn_worker(608)
  worker.init_process()

/home/youser/.local/share/virtualenvs/news-site-columnist-8tsXn7bh/lib/python3.10/site-packages/gunicorn/workers/base.py in init_process(143)
  self.run()

/home/youser/.local/share/virtualenvs/news-site-columnist-8tsXn7bh/lib/python3.10/site-packages/gunicorn/workers/sync.py in run(125)
  self.run_for_one(timeout)

/home/youser/.local/share/virtualenvs/news-site-columnist-8tsXn7bh/lib/python3.10/site-packages/gunicorn/workers/sync.py in run_for_one(69)
  self.accept(listener)

/home/youser/.local/share/virtualenvs/news-site-columnist-8tsXn7bh/lib/python3.10/site-packages/gunicorn/workers/sync.py in accept(31)
  self.handle(listener, client, addr)

/home/youser/.local/share/virtualenvs/news-site-columnist-8tsXn7bh/lib/python3.10/site-packages/gunicorn/workers/sync.py in handle(134)
  self.handle_request(listener, req, client, addr)

/home/youser/.local/share/virtualenvs/news-site-columnist-8tsXn7bh/lib/python3.10/site-packages/gunicorn/workers/sync.py in handle_request(177)
  respiter = self.wsgi(environ, resp.start_response)

/home/youser/.local/share/virtualenvs/news-site-columnist-8tsXn7bh/lib/python3.10/site-packages/sentry_sdk/utils.py in runner(1864)
  return sentry_patched_function(*args, **kwargs)

/home/youser/.local/share/virtualenvs/news-site-columnist-8tsXn7bh/lib/python3.10/site-packages/sentry_sdk/integrations/django/__init__.py in sentry_patched_wsgi_handler(191)
  return middleware(environ, start_response)

/home/youser/.local/share/virtualenvs/news-site-columnist-8tsXn7bh/lib/python3.10/site-packages/sentry_sdk/integrations/wsgi.py in __call__(132)
  response = self.app(

/home/youser/.local/share/virtualenvs/news-site-columnist-8tsXn7bh/lib/python3.10/site-packages/sentry_sdk/integrations/django/__init__.py in sentry_patched_get_response(478)
  rv = old_get_response(self, request)

/home/youser/.local/share/virtualenvs/news-site-columnist-8tsXn7bh/lib/python3.10/site-packages/sentry_sdk/integrations/django/middleware.py in __call__(177)
  return f(*args, **kwargs)

/home/youser/.local/share/virtualenvs/news-site-columnist-8tsXn7bh/lib/python3.10/site-packages/sentry_sdk/integrations/django/middleware.py in __call__(177)
  return f(*args, **kwargs)

/var/www/news-site-columnist/redirects/middleware/redirect_middleware.py in __call__(17)
  return self.get_response(request)

/home/youser/.local/share/virtualenvs/news-site-columnist-8tsXn7bh/lib/python3.10/site-packages/sentry_sdk/integrations/django/middleware.py in __call__(177)
  return f(*args, **kwargs)

/home/youser/.local/share/virtualenvs/news-site-columnist-8tsXn7bh/lib/python3.10/site-packages/sentry_sdk/integrations/django/middleware.py in __call__(177)
  return f(*args, **kwargs)

/home/youser/.local/share/virtualenvs/news-site-columnist-8tsXn7bh/lib/python3.10/site-packages/sentry_sdk/integrations/django/middleware.py in __call__(177)
  return f(*args, **kwargs)

/home/youser/.local/share/virtualenvs/news-site-columnist-8tsXn7bh/lib/python3.10/site-packages/sentry_sdk/integrations/django/middleware.py in __call__(177)
  return f(*args, **kwargs)

/home/youser/.local/share/virtualenvs/news-site-columnist-8tsXn7bh/lib/python3.10/site-packages/corsheaders/middleware.py in __call__(53)
  result = self.get_response(request)

/home/youser/.local/share/virtualenvs/news-site-columnist-8tsXn7bh/lib/python3.10/site-packages/sentry_sdk/integrations/django/middleware.py in __call__(177)
  return f(*args, **kwargs)

/home/youser/.local/share/virtualenvs/news-site-columnist-8tsXn7bh/lib/python3.10/site-packages/django_user_agents/middleware.py in __call__(14)
  return self.get_response(request)

/home/youser/.local/share/virtualenvs/news-site-columnist-8tsXn7bh/lib/python3.10/site-packages/sentry_sdk/integrations/django/middleware.py in __call__(177)
  return f(*args, **kwargs)

/home/youser/.local/share/virtualenvs/news-site-columnist-8tsXn7bh/lib/python3.10/site-packages/sentry_sdk/integrations/django/middleware.py in __call__(177)
  return f(*args, **kwargs)

/home/youser/.local/share/virtualenvs/news-site-columnist-8tsXn7bh/lib/python3.10/site-packages/sentry_sdk/integrations/django/middleware.py in __call__(177)
  return f(*args, **kwargs)

/home/youser/.local/share/virtualenvs/news-site-columnist-8tsXn7bh/lib/python3.10/site-packages/sentry_sdk/integrations/django/middleware.py in __call__(177)
  return f(*args, **kwargs)

/home/youser/.local/share/virtualenvs/news-site-columnist-8tsXn7bh/lib/python3.10/site-packages/sentry_sdk/integrations/django/middleware.py in __call__(177)
  return f(*args, **kwargs)

/home/youser/.local/share/virtualenvs/news-site-columnist-8tsXn7bh/lib/python3.10/site-packages/sentry_sdk/integrations/django/middleware.py in __call__(177)
  return f(*args, **kwargs)

/home/youser/.local/share/virtualenvs/news-site-columnist-8tsXn7bh/lib/python3.10/site-packages/sentry_sdk/integrations/django/middleware.py in __call__(177)
  return f(*args, **kwargs)

/home/youser/.local/share/virtualenvs/news-site-columnist-8tsXn7bh/lib/python3.10/site-packages/sentry_sdk/integrations/django/middleware.py in __call__(177)
  return f(*args, **kwargs)

/var/www/news-site-columnist/news/middleware/subdomain_middleare.py in __call__(22)
  response = self.get_response(request)

/home/youser/.local/share/virtualenvs/news-site-columnist-8tsXn7bh/lib/python3.10/site-packages/sentry_sdk/integrations/django/views.py in sentry_wrapped_callback(94)
  return callback(request, *args, **kwargs)

/var/www/news-site-columnist/news/views/post.py in subdomain_view_post(923)
  return GetPost.as_view()(

/home/youser/.local/share/virtualenvs/news-site-columnist-8tsXn7bh/lib/python3.10/site-packages/django/views/generic/base.py in view(104)
  return self.dispatch(request, *args, **kwargs)

/home/youser/.local/share/virtualenvs/news-site-columnist-8tsXn7bh/lib/python3.10/site-packages/django/views/generic/base.py in dispatch(143)
  return handler(request, *args, **kwargs)

/var/www/news-site-columnist/news/views/post.py in get(187)
  return super().get(request, *args, **kwargs)

/var/www/news-site-columnist/news/views/base.py in get(144)
  if not post.is_published:

/var/www/news-site-columnist/news/models/news.py in is_published(708)
  return Post.objects.filter(pk=self.pk).published().exists()

/home/youser/.local/share/virtualenvs/news-site-columnist-8tsXn7bh/lib/python3.10/site-packages/modeltranslation/manager.py in get_queryset(633)
  qs = super().get_queryset()

/home/youser/.local/share/virtualenvs/news-site-columnist-8tsXn7bh/lib/python3.10/site-packages/modeltranslation/manager.py in get_queryset(607)
  qs = super().get_queryset()

/var/www/news-site-columnist/news/models/news.py in get_queryset(51)
  qs = super().get_queryset()

/var/www/news-site-columnist/news/models/news.py in get_queryset(566)
  self.context_post_ct = ContentType.objects.get(app_label="context_section", model="columnpost")

SELECT 1 AS "a"
  FROM "post"
 WHERE (NOT ("post"."polymorphic_ctype_id" = 64 AND "post"."polymorphic_ctype_id" IS NOT NULL) AND NOT ("post"."polymorphic_ctype_id" = 81 AND "post"."polymorphic_ctype_id" IS NOT NULL) AND "post"."ru_has_translation" AND "post"."id" = 22135 AND "post"."status" = 2 AND "post"."publish_at" <= '2026-02-12T09:55:40.865714+00:00'::timestamptz)
 LIMIT 1
SELECT 1 AS "a" FROM "post" WHERE (NOT ("post"."polymorphic_ctype_id" = 64 AND "post"."polymorphic_ctype_id" IS NOT NULL) AND NOT ("post"."polymorphic_ctype_id" = 81 AND "post"."polymorphic_ctype_id" IS NOT NULL) AND "post"."ru_has_translation" AND "post"."id" = 22135 AND "post"."status" = 2 AND "post"."publish_at" <= '2026-02-12T09:55:40.865714+00:00'::timestamptz) LIMIT 1
0,56

Соединение: default

Статус транзакции: Ожидание

/home/youser/.local/share/virtualenvs/news-site-columnist-8tsXn7bh/bin/gunicorn in <module>(8)
  sys.exit(run())

/home/youser/.local/share/virtualenvs/news-site-columnist-8tsXn7bh/lib/python3.10/site-packages/gunicorn/app/wsgiapp.py in run(66)
  WSGIApplication("%(prog)s [OPTIONS] [APP_MODULE]", prog=prog).run()

/home/youser/.local/share/virtualenvs/news-site-columnist-8tsXn7bh/lib/python3.10/site-packages/gunicorn/app/base.py in run(235)
  super().run()

/home/youser/.local/share/virtualenvs/news-site-columnist-8tsXn7bh/lib/python3.10/site-packages/gunicorn/app/base.py in run(71)
  Arbiter(self).run()

/home/youser/.local/share/virtualenvs/news-site-columnist-8tsXn7bh/lib/python3.10/site-packages/gunicorn/arbiter.py in run(210)
  self.manage_workers()

/home/youser/.local/share/virtualenvs/news-site-columnist-8tsXn7bh/lib/python3.10/site-packages/gunicorn/arbiter.py in manage_workers(570)
  self.spawn_workers()

/home/youser/.local/share/virtualenvs/news-site-columnist-8tsXn7bh/lib/python3.10/site-packages/gunicorn/arbiter.py in spawn_workers(641)
  self.spawn_worker()

/home/youser/.local/share/virtualenvs/news-site-columnist-8tsXn7bh/lib/python3.10/site-packages/gunicorn/arbiter.py in spawn_worker(608)
  worker.init_process()

/home/youser/.local/share/virtualenvs/news-site-columnist-8tsXn7bh/lib/python3.10/site-packages/gunicorn/workers/base.py in init_process(143)
  self.run()

/home/youser/.local/share/virtualenvs/news-site-columnist-8tsXn7bh/lib/python3.10/site-packages/gunicorn/workers/sync.py in run(125)
  self.run_for_one(timeout)

/home/youser/.local/share/virtualenvs/news-site-columnist-8tsXn7bh/lib/python3.10/site-packages/gunicorn/workers/sync.py in run_for_one(69)
  self.accept(listener)

/home/youser/.local/share/virtualenvs/news-site-columnist-8tsXn7bh/lib/python3.10/site-packages/gunicorn/workers/sync.py in accept(31)
  self.handle(listener, client, addr)

/home/youser/.local/share/virtualenvs/news-site-columnist-8tsXn7bh/lib/python3.10/site-packages/gunicorn/workers/sync.py in handle(134)
  self.handle_request(listener, req, client, addr)

/home/youser/.local/share/virtualenvs/news-site-columnist-8tsXn7bh/lib/python3.10/site-packages/gunicorn/workers/sync.py in handle_request(177)
  respiter = self.wsgi(environ, resp.start_response)

/home/youser/.local/share/virtualenvs/news-site-columnist-8tsXn7bh/lib/python3.10/site-packages/sentry_sdk/utils.py in runner(1864)
  return sentry_patched_function(*args, **kwargs)

/home/youser/.local/share/virtualenvs/news-site-columnist-8tsXn7bh/lib/python3.10/site-packages/sentry_sdk/integrations/django/__init__.py in sentry_patched_wsgi_handler(191)
  return middleware(environ, start_response)

/home/youser/.local/share/virtualenvs/news-site-columnist-8tsXn7bh/lib/python3.10/site-packages/sentry_sdk/integrations/wsgi.py in __call__(132)
  response = self.app(

/home/youser/.local/share/virtualenvs/news-site-columnist-8tsXn7bh/lib/python3.10/site-packages/sentry_sdk/integrations/django/__init__.py in sentry_patched_get_response(478)
  rv = old_get_response(self, request)

/home/youser/.local/share/virtualenvs/news-site-columnist-8tsXn7bh/lib/python3.10/site-packages/sentry_sdk/integrations/django/middleware.py in __call__(177)
  return f(*args, **kwargs)

/home/youser/.local/share/virtualenvs/news-site-columnist-8tsXn7bh/lib/python3.10/site-packages/sentry_sdk/integrations/django/middleware.py in __call__(177)
  return f(*args, **kwargs)

/var/www/news-site-columnist/redirects/middleware/redirect_middleware.py in __call__(17)
  return self.get_response(request)

/home/youser/.local/share/virtualenvs/news-site-columnist-8tsXn7bh/lib/python3.10/site-packages/sentry_sdk/integrations/django/middleware.py in __call__(177)
  return f(*args, **kwargs)

/home/youser/.local/share/virtualenvs/news-site-columnist-8tsXn7bh/lib/python3.10/site-packages/sentry_sdk/integrations/django/middleware.py in __call__(177)
  return f(*args, **kwargs)

/home/youser/.local/share/virtualenvs/news-site-columnist-8tsXn7bh/lib/python3.10/site-packages/sentry_sdk/integrations/django/middleware.py in __call__(177)
  return f(*args, **kwargs)

/home/youser/.local/share/virtualenvs/news-site-columnist-8tsXn7bh/lib/python3.10/site-packages/sentry_sdk/integrations/django/middleware.py in __call__(177)
  return f(*args, **kwargs)

/home/youser/.local/share/virtualenvs/news-site-columnist-8tsXn7bh/lib/python3.10/site-packages/corsheaders/middleware.py in __call__(53)
  result = self.get_response(request)

/home/youser/.local/share/virtualenvs/news-site-columnist-8tsXn7bh/lib/python3.10/site-packages/sentry_sdk/integrations/django/middleware.py in __call__(177)
  return f(*args, **kwargs)

/home/youser/.local/share/virtualenvs/news-site-columnist-8tsXn7bh/lib/python3.10/site-packages/django_user_agents/middleware.py in __call__(14)
  return self.get_response(request)

/home/youser/.local/share/virtualenvs/news-site-columnist-8tsXn7bh/lib/python3.10/site-packages/sentry_sdk/integrations/django/middleware.py in __call__(177)
  return f(*args, **kwargs)

/home/youser/.local/share/virtualenvs/news-site-columnist-8tsXn7bh/lib/python3.10/site-packages/sentry_sdk/integrations/django/middleware.py in __call__(177)
  return f(*args, **kwargs)

/home/youser/.local/share/virtualenvs/news-site-columnist-8tsXn7bh/lib/python3.10/site-packages/sentry_sdk/integrations/django/middleware.py in __call__(177)
  return f(*args, **kwargs)

/home/youser/.local/share/virtualenvs/news-site-columnist-8tsXn7bh/lib/python3.10/site-packages/sentry_sdk/integrations/django/middleware.py in __call__(177)
  return f(*args, **kwargs)

/home/youser/.local/share/virtualenvs/news-site-columnist-8tsXn7bh/lib/python3.10/site-packages/sentry_sdk/integrations/django/middleware.py in __call__(177)
  return f(*args, **kwargs)

/home/youser/.local/share/virtualenvs/news-site-columnist-8tsXn7bh/lib/python3.10/site-packages/sentry_sdk/integrations/django/middleware.py in __call__(177)
  return f(*args, **kwargs)

/home/youser/.local/share/virtualenvs/news-site-columnist-8tsXn7bh/lib/python3.10/site-packages/sentry_sdk/integrations/django/middleware.py in __call__(177)
  return f(*args, **kwargs)

/home/youser/.local/share/virtualenvs/news-site-columnist-8tsXn7bh/lib/python3.10/site-packages/sentry_sdk/integrations/django/middleware.py in __call__(177)
  return f(*args, **kwargs)

/var/www/news-site-columnist/news/middleware/subdomain_middleare.py in __call__(22)
  response = self.get_response(request)

/home/youser/.local/share/virtualenvs/news-site-columnist-8tsXn7bh/lib/python3.10/site-packages/sentry_sdk/integrations/django/views.py in sentry_wrapped_callback(94)
  return callback(request, *args, **kwargs)

/var/www/news-site-columnist/news/views/post.py in subdomain_view_post(923)
  return GetPost.as_view()(

/home/youser/.local/share/virtualenvs/news-site-columnist-8tsXn7bh/lib/python3.10/site-packages/django/views/generic/base.py in view(104)
  return self.dispatch(request, *args, **kwargs)

/home/youser/.local/share/virtualenvs/news-site-columnist-8tsXn7bh/lib/python3.10/site-packages/django/views/generic/base.py in dispatch(143)
  return handler(request, *args, **kwargs)

/var/www/news-site-columnist/news/views/post.py in get(187)
  return super().get(request, *args, **kwargs)

/var/www/news-site-columnist/news/views/base.py in get(144)
  if not post.is_published:

/var/www/news-site-columnist/news/models/news.py in is_published(708)
  return Post.objects.filter(pk=self.pk).published().exists()

SELECT "post"."created_at",
       "post"."seo_title",
       "post"."seo_title_uk",
       "post"."seo_title_en",
       "post"."seo_title_ru",
       "post"."seo_description",
       "post"."seo_description_uk",
       "post"."seo_description_en",
       "post"."seo_description_ru",
       "post"."seo_keywords",
       "post"."seo_keywords_uk",
       "post"."seo_keywords_en",
       "post"."seo_keywords_ru",
       "post"."seo_header_one",
       "post"."seo_header_one_uk",
       "post"."seo_header_one_en",
       "post"."seo_header_one_ru",
       "post"."created_by",
       "post"."updated_by",
       "post"."polymorphic_ctype_id",
       "post"."id",
       "post"."head",
       "post"."head_uk",
       "post"."head_en",
       "post"."head_ru",
       "post"."sub_head",
       "post"."sub_head_uk",
       "post"."sub_head_en",
       "post"."sub_head_ru",
       "post"."content",
       "post"."content_uk",
       "post"."content_en",
       "post"."content_ru",
       "post"."author_id",
       "post"."seo_tag_id",
       "post"."publish_at",
       "post"."translated_at",
       "post"."updated_at",
       "post"."show_updated_at",
       "post"."slug",
       "post"."slug_uk",
       "post"."slug_en",
       "post"."slug_ru",
       "post"."aplication_type",
       "post"."last_editor_id",
       "post"."status",
       "post"."show_at_homepage",
       "post"."show_at_news_feed",
       "post"."show_on_broadcast_page",
       "post"."is_category_top",
       "post"."is_homepage_top",
       "post"."is_homepage_top_uk",
       "post"."is_homepage_top_en",
       "post"."is_homepage_top_ru",
       "post"."id_sponsored",
       "post"."is_lightning",
       "post"."is_exclusive",
       "post"."is_photo_report",
       "post"."is_post",
       "post"."is_article",
       "post"."main_page_img_full_width",
       "post"."need_hires",
       "post"."has_photo",
       "post"."has_video",
       "post"."is_editors_choise",
       "post"."show_in_sidebar",
       "post"."category_id",
       "post"."old_category_id",
       "post"."past_region",
       "post"."year_of_war",
       "post"."breaking_news",
       "post"."without_img",
       "post"."show_stories_block",
       "post"."display_type",
       "post"."image",
       "post"."image_alt",
       "post"."image_alt_uk",
       "post"."image_alt_en",
       "post"."image_alt_ru",
       "post"."seo_image",
       "post"."text_under_image",
       "post"."text_under_image_uk",
       "post"."text_under_image_en",
       "post"."text_under_image_ru",
       "post"."image_source",
       "post"."image_source_uk",
       "post"."image_source_en",
       "post"."image_source_ru",
       "post"."theme_id",
       "post"."is_nofollow_disabled",
       "post"."audio_content_id",
       "post"."audio_content_uk_id",
       "post"."audio_content_en_id",
       "post"."audio_content_ru_id",
       "post"."views",
       "post"."views_uk",
       "post"."views_ru",
       "post"."views_analytics",
       "post"."views_analytics_ru",
       "post"."views_analytics_uk",
       "post"."views_analytics_at",
       "post"."busy_by_id",
       "post"."image_editor_id",
       "post"."release_editor_id",
       "post"."special_type",
       "post"."head_longer_than_100",
       "post"."uk_has_translation",
       "post"."ru_has_translation",
       "post"."en_has_translation",
       "post"."homepage_slider_text",
       "post"."homepage_slider_text_uk",
       "post"."homepage_slider_text_en",
       "post"."homepage_slider_text_ru"
  FROM "post"
 INNER JOIN "category"
    ON ("post"."category_id" = "category"."id")
 WHERE ("post"."polymorphic_ctype_id" = 4 AND "category"."slug" = 'shou-biznes' AND "post"."id" = 22135 AND "post"."status" = 2 AND "post"."publish_at" <= '2026-02-12T09:55:40.867448+00:00'::timestamptz)
 LIMIT 21
SELECT ••• FROM "post" INNER JOIN "category" ON ("post"."category_id" = "category"."id") WHERE ("post"."polymorphic_ctype_id" = 4 AND "category"."slug" = 'shou-biznes' AND "post"."id" = 22135 AND "post"."status" = 2 AND "post"."publish_at" <= '2026-02-12T09:55:40.867448+00:00'::timestamptz) LIMIT 21
6 similar queries.
1,03

Соединение: default

Статус транзакции: Ожидание

/home/youser/.local/share/virtualenvs/news-site-columnist-8tsXn7bh/bin/gunicorn in <module>(8)
  sys.exit(run())

/home/youser/.local/share/virtualenvs/news-site-columnist-8tsXn7bh/lib/python3.10/site-packages/gunicorn/app/wsgiapp.py in run(66)
  WSGIApplication("%(prog)s [OPTIONS] [APP_MODULE]", prog=prog).run()

/home/youser/.local/share/virtualenvs/news-site-columnist-8tsXn7bh/lib/python3.10/site-packages/gunicorn/app/base.py in run(235)
  super().run()

/home/youser/.local/share/virtualenvs/news-site-columnist-8tsXn7bh/lib/python3.10/site-packages/gunicorn/app/base.py in run(71)
  Arbiter(self).run()

/home/youser/.local/share/virtualenvs/news-site-columnist-8tsXn7bh/lib/python3.10/site-packages/gunicorn/arbiter.py in run(210)
  self.manage_workers()

/home/youser/.local/share/virtualenvs/news-site-columnist-8tsXn7bh/lib/python3.10/site-packages/gunicorn/arbiter.py in manage_workers(570)
  self.spawn_workers()

/home/youser/.local/share/virtualenvs/news-site-columnist-8tsXn7bh/lib/python3.10/site-packages/gunicorn/arbiter.py in spawn_workers(641)
  self.spawn_worker()

/home/youser/.local/share/virtualenvs/news-site-columnist-8tsXn7bh/lib/python3.10/site-packages/gunicorn/arbiter.py in spawn_worker(608)
  worker.init_process()

/home/youser/.local/share/virtualenvs/news-site-columnist-8tsXn7bh/lib/python3.10/site-packages/gunicorn/workers/base.py in init_process(143)
  self.run()

/home/youser/.local/share/virtualenvs/news-site-columnist-8tsXn7bh/lib/python3.10/site-packages/gunicorn/workers/sync.py in run(125)
  self.run_for_one(timeout)

/home/youser/.local/share/virtualenvs/news-site-columnist-8tsXn7bh/lib/python3.10/site-packages/gunicorn/workers/sync.py in run_for_one(69)
  self.accept(listener)

/home/youser/.local/share/virtualenvs/news-site-columnist-8tsXn7bh/lib/python3.10/site-packages/gunicorn/workers/sync.py in accept(31)
  self.handle(listener, client, addr)

/home/youser/.local/share/virtualenvs/news-site-columnist-8tsXn7bh/lib/python3.10/site-packages/gunicorn/workers/sync.py in handle(134)
  self.handle_request(listener, req, client, addr)

/home/youser/.local/share/virtualenvs/news-site-columnist-8tsXn7bh/lib/python3.10/site-packages/gunicorn/workers/sync.py in handle_request(177)
  respiter = self.wsgi(environ, resp.start_response)

/home/youser/.local/share/virtualenvs/news-site-columnist-8tsXn7bh/lib/python3.10/site-packages/sentry_sdk/utils.py in runner(1864)
  return sentry_patched_function(*args, **kwargs)

/home/youser/.local/share/virtualenvs/news-site-columnist-8tsXn7bh/lib/python3.10/site-packages/sentry_sdk/integrations/django/__init__.py in sentry_patched_wsgi_handler(191)
  return middleware(environ, start_response)

/home/youser/.local/share/virtualenvs/news-site-columnist-8tsXn7bh/lib/python3.10/site-packages/sentry_sdk/integrations/wsgi.py in __call__(132)
  response = self.app(

/home/youser/.local/share/virtualenvs/news-site-columnist-8tsXn7bh/lib/python3.10/site-packages/sentry_sdk/integrations/django/__init__.py in sentry_patched_get_response(478)
  rv = old_get_response(self, request)

/home/youser/.local/share/virtualenvs/news-site-columnist-8tsXn7bh/lib/python3.10/site-packages/sentry_sdk/integrations/django/middleware.py in __call__(177)
  return f(*args, **kwargs)

/home/youser/.local/share/virtualenvs/news-site-columnist-8tsXn7bh/lib/python3.10/site-packages/sentry_sdk/integrations/django/middleware.py in __call__(177)
  return f(*args, **kwargs)

/var/www/news-site-columnist/redirects/middleware/redirect_middleware.py in __call__(17)
  return self.get_response(request)

/home/youser/.local/share/virtualenvs/news-site-columnist-8tsXn7bh/lib/python3.10/site-packages/sentry_sdk/integrations/django/middleware.py in __call__(177)
  return f(*args, **kwargs)

/home/youser/.local/share/virtualenvs/news-site-columnist-8tsXn7bh/lib/python3.10/site-packages/sentry_sdk/integrations/django/middleware.py in __call__(177)
  return f(*args, **kwargs)

/home/youser/.local/share/virtualenvs/news-site-columnist-8tsXn7bh/lib/python3.10/site-packages/sentry_sdk/integrations/django/middleware.py in __call__(177)
  return f(*args, **kwargs)

/home/youser/.local/share/virtualenvs/news-site-columnist-8tsXn7bh/lib/python3.10/site-packages/sentry_sdk/integrations/django/middleware.py in __call__(177)
  return f(*args, **kwargs)

/home/youser/.local/share/virtualenvs/news-site-columnist-8tsXn7bh/lib/python3.10/site-packages/corsheaders/middleware.py in __call__(53)
  result = self.get_response(request)

/home/youser/.local/share/virtualenvs/news-site-columnist-8tsXn7bh/lib/python3.10/site-packages/sentry_sdk/integrations/django/middleware.py in __call__(177)
  return f(*args, **kwargs)

/home/youser/.local/share/virtualenvs/news-site-columnist-8tsXn7bh/lib/python3.10/site-packages/django_user_agents/middleware.py in __call__(14)
  return self.get_response(request)

/home/youser/.local/share/virtualenvs/news-site-columnist-8tsXn7bh/lib/python3.10/site-packages/sentry_sdk/integrations/django/middleware.py in __call__(177)
  return f(*args, **kwargs)

/home/youser/.local/share/virtualenvs/news-site-columnist-8tsXn7bh/lib/python3.10/site-packages/sentry_sdk/integrations/django/middleware.py in __call__(177)
  return f(*args, **kwargs)

/home/youser/.local/share/virtualenvs/news-site-columnist-8tsXn7bh/lib/python3.10/site-packages/sentry_sdk/integrations/django/middleware.py in __call__(177)
  return f(*args, **kwargs)

/home/youser/.local/share/virtualenvs/news-site-columnist-8tsXn7bh/lib/python3.10/site-packages/sentry_sdk/integrations/django/middleware.py in __call__(177)
  return f(*args, **kwargs)

/home/youser/.local/share/virtualenvs/news-site-columnist-8tsXn7bh/lib/python3.10/site-packages/sentry_sdk/integrations/django/middleware.py in __call__(177)
  return f(*args, **kwargs)

/home/youser/.local/share/virtualenvs/news-site-columnist-8tsXn7bh/lib/python3.10/site-packages/sentry_sdk/integrations/django/middleware.py in __call__(177)
  return f(*args, **kwargs)

/home/youser/.local/share/virtualenvs/news-site-columnist-8tsXn7bh/lib/python3.10/site-packages/sentry_sdk/integrations/django/middleware.py in __call__(177)
  return f(*args, **kwargs)

/home/youser/.local/share/virtualenvs/news-site-columnist-8tsXn7bh/lib/python3.10/site-packages/sentry_sdk/integrations/django/middleware.py in __call__(177)
  return f(*args, **kwargs)

/var/www/news-site-columnist/news/middleware/subdomain_middleare.py in __call__(22)
  response = self.get_response(request)

/home/youser/.local/share/virtualenvs/news-site-columnist-8tsXn7bh/lib/python3.10/site-packages/sentry_sdk/integrations/django/views.py in sentry_wrapped_callback(94)
  return callback(request, *args, **kwargs)

/var/www/news-site-columnist/news/views/post.py in subdomain_view_post(923)
  return GetPost.as_view()(

/home/youser/.local/share/virtualenvs/news-site-columnist-8tsXn7bh/lib/python3.10/site-packages/django/views/generic/base.py in view(104)
  return self.dispatch(request, *args, **kwargs)

/home/youser/.local/share/virtualenvs/news-site-columnist-8tsXn7bh/lib/python3.10/site-packages/django/views/generic/base.py in dispatch(143)
  return handler(request, *args, **kwargs)

/var/www/news-site-columnist/news/views/post.py in get(187)
  return super().get(request, *args, **kwargs)

/var/www/news-site-columnist/news/views/base.py in get(155)
  return super().get(request, *args, **kwargs)

/var/www/news-site-columnist/news/views/base.py in get(178)
  obj = self.get_object()

/var/www/news-site-columnist/news/views/post.py in get_object(120)
  obj = queryset.get()

/home/youser/.local/share/virtualenvs/news-site-columnist-8tsXn7bh/lib/python3.10/site-packages/polymorphic/query.py in _polymorphic_iterator(57)
  o = next(base_iter)

SELECT "post"."created_at",
       "post"."seo_title",
       "post"."seo_title_uk",
       "post"."seo_title_en",
       "post"."seo_title_ru",
       "post"."seo_description",
       "post"."seo_description_uk",
       "post"."seo_description_en",
       "post"."seo_description_ru",
       "post"."seo_keywords",
       "post"."seo_keywords_uk",
       "post"."seo_keywords_en",
       "post"."seo_keywords_ru",
       "post"."seo_header_one",
       "post"."seo_header_one_uk",
       "post"."seo_header_one_en",
       "post"."seo_header_one_ru",
       "post"."created_by",
       "post"."updated_by",
       "post"."polymorphic_ctype_id",
       "post"."id",
       "post"."head",
       "post"."head_uk",
       "post"."head_en",
       "post"."head_ru",
       "post"."sub_head",
       "post"."sub_head_uk",
       "post"."sub_head_en",
       "post"."sub_head_ru",
       "post"."content",
       "post"."content_uk",
       "post"."content_en",
       "post"."content_ru",
       "post"."author_id",
       "post"."seo_tag_id",
       "post"."publish_at",
       "post"."translated_at",
       "post"."updated_at",
       "post"."show_updated_at",
       "post"."slug",
       "post"."slug_uk",
       "post"."slug_en",
       "post"."slug_ru",
       "post"."aplication_type",
       "post"."last_editor_id",
       "post"."status",
       "post"."show_at_homepage",
       "post"."show_at_news_feed",
       "post"."show_on_broadcast_page",
       "post"."is_category_top",
       "post"."is_homepage_top",
       "post"."is_homepage_top_uk",
       "post"."is_homepage_top_en",
       "post"."is_homepage_top_ru",
       "post"."id_sponsored",
       "post"."is_lightning",
       "post"."is_exclusive",
       "post"."is_photo_report",
       "post"."is_post",
       "post"."is_article",
       "post"."main_page_img_full_width",
       "post"."need_hires",
       "post"."has_photo",
       "post"."has_video",
       "post"."is_editors_choise",
       "post"."show_in_sidebar",
       "post"."category_id",
       "post"."old_category_id",
       "post"."past_region",
       "post"."year_of_war",
       "post"."breaking_news",
       "post"."without_img",
       "post"."show_stories_block",
       "post"."display_type",
       "post"."image",
       "post"."image_alt",
       "post"."image_alt_uk",
       "post"."image_alt_en",
       "post"."image_alt_ru",
       "post"."seo_image",
       "post"."text_under_image",
       "post"."text_under_image_uk",
       "post"."text_under_image_en",
       "post"."text_under_image_ru",
       "post"."image_source",
       "post"."image_source_uk",
       "post"."image_source_en",
       "post"."image_source_ru",
       "post"."theme_id",
       "post"."is_nofollow_disabled",
       "post"."audio_content_id",
       "post"."audio_content_uk_id",
       "post"."audio_content_en_id",
       "post"."audio_content_ru_id",
       "post"."views",
       "post"."views_uk",
       "post"."views_ru",
       "post"."views_analytics",
       "post"."views_analytics_ru",
       "post"."views_analytics_uk",
       "post"."views_analytics_at",
       "post"."busy_by_id",
       "post"."image_editor_id",
       "post"."release_editor_id",
       "post"."special_type",
       "post"."head_longer_than_100",
       "post"."uk_has_translation",
       "post"."ru_has_translation",
       "post"."en_has_translation",
       "post"."homepage_slider_text",
       "post"."homepage_slider_text_uk",
       "post"."homepage_slider_text_en",
       "post"."homepage_slider_text_ru"
  FROM "post"
 INNER JOIN "category"
    ON ("post"."category_id" = "category"."id")
 WHERE ("post"."polymorphic_ctype_id" = 4 AND "category"."slug" = 'shou-biznes' AND "post"."id" = 22135 AND "post"."status" = 2 AND "post"."publish_at" <= '2026-02-12T09:55:40.870750+00:00'::timestamptz)
 LIMIT 21
SELECT ••• FROM "post" INNER JOIN "category" ON ("post"."category_id" = "category"."id") WHERE ("post"."polymorphic_ctype_id" = 4 AND "category"."slug" = 'shou-biznes' AND "post"."id" = 22135 AND "post"."status" = 2 AND "post"."publish_at" <= '2026-02-12T09:55:40.870750+00:00'::timestamptz) LIMIT 21
6 similar queries.
1,07

Соединение: default

Статус транзакции: Ожидание

/home/youser/.local/share/virtualenvs/news-site-columnist-8tsXn7bh/bin/gunicorn in <module>(8)
  sys.exit(run())

/home/youser/.local/share/virtualenvs/news-site-columnist-8tsXn7bh/lib/python3.10/site-packages/gunicorn/app/wsgiapp.py in run(66)
  WSGIApplication("%(prog)s [OPTIONS] [APP_MODULE]", prog=prog).run()

/home/youser/.local/share/virtualenvs/news-site-columnist-8tsXn7bh/lib/python3.10/site-packages/gunicorn/app/base.py in run(235)
  super().run()

/home/youser/.local/share/virtualenvs/news-site-columnist-8tsXn7bh/lib/python3.10/site-packages/gunicorn/app/base.py in run(71)
  Arbiter(self).run()

/home/youser/.local/share/virtualenvs/news-site-columnist-8tsXn7bh/lib/python3.10/site-packages/gunicorn/arbiter.py in run(210)
  self.manage_workers()

/home/youser/.local/share/virtualenvs/news-site-columnist-8tsXn7bh/lib/python3.10/site-packages/gunicorn/arbiter.py in manage_workers(570)
  self.spawn_workers()

/home/youser/.local/share/virtualenvs/news-site-columnist-8tsXn7bh/lib/python3.10/site-packages/gunicorn/arbiter.py in spawn_workers(641)
  self.spawn_worker()

/home/youser/.local/share/virtualenvs/news-site-columnist-8tsXn7bh/lib/python3.10/site-packages/gunicorn/arbiter.py in spawn_worker(608)
  worker.init_process()

/home/youser/.local/share/virtualenvs/news-site-columnist-8tsXn7bh/lib/python3.10/site-packages/gunicorn/workers/base.py in init_process(143)
  self.run()

/home/youser/.local/share/virtualenvs/news-site-columnist-8tsXn7bh/lib/python3.10/site-packages/gunicorn/workers/sync.py in run(125)
  self.run_for_one(timeout)

/home/youser/.local/share/virtualenvs/news-site-columnist-8tsXn7bh/lib/python3.10/site-packages/gunicorn/workers/sync.py in run_for_one(69)
  self.accept(listener)

/home/youser/.local/share/virtualenvs/news-site-columnist-8tsXn7bh/lib/python3.10/site-packages/gunicorn/workers/sync.py in accept(31)
  self.handle(listener, client, addr)

/home/youser/.local/share/virtualenvs/news-site-columnist-8tsXn7bh/lib/python3.10/site-packages/gunicorn/workers/sync.py in handle(134)
  self.handle_request(listener, req, client, addr)

/home/youser/.local/share/virtualenvs/news-site-columnist-8tsXn7bh/lib/python3.10/site-packages/gunicorn/workers/sync.py in handle_request(177)
  respiter = self.wsgi(environ, resp.start_response)

/home/youser/.local/share/virtualenvs/news-site-columnist-8tsXn7bh/lib/python3.10/site-packages/sentry_sdk/utils.py in runner(1864)
  return sentry_patched_function(*args, **kwargs)

/home/youser/.local/share/virtualenvs/news-site-columnist-8tsXn7bh/lib/python3.10/site-packages/sentry_sdk/integrations/django/__init__.py in sentry_patched_wsgi_handler(191)
  return middleware(environ, start_response)

/home/youser/.local/share/virtualenvs/news-site-columnist-8tsXn7bh/lib/python3.10/site-packages/sentry_sdk/integrations/wsgi.py in __call__(132)
  response = self.app(

/home/youser/.local/share/virtualenvs/news-site-columnist-8tsXn7bh/lib/python3.10/site-packages/sentry_sdk/integrations/django/__init__.py in sentry_patched_get_response(478)
  rv = old_get_response(self, request)

/home/youser/.local/share/virtualenvs/news-site-columnist-8tsXn7bh/lib/python3.10/site-packages/sentry_sdk/integrations/django/middleware.py in __call__(177)
  return f(*args, **kwargs)

/home/youser/.local/share/virtualenvs/news-site-columnist-8tsXn7bh/lib/python3.10/site-packages/sentry_sdk/integrations/django/middleware.py in __call__(177)
  return f(*args, **kwargs)

/var/www/news-site-columnist/redirects/middleware/redirect_middleware.py in __call__(17)
  return self.get_response(request)

/home/youser/.local/share/virtualenvs/news-site-columnist-8tsXn7bh/lib/python3.10/site-packages/sentry_sdk/integrations/django/middleware.py in __call__(177)
  return f(*args, **kwargs)

/home/youser/.local/share/virtualenvs/news-site-columnist-8tsXn7bh/lib/python3.10/site-packages/sentry_sdk/integrations/django/middleware.py in __call__(177)
  return f(*args, **kwargs)

/home/youser/.local/share/virtualenvs/news-site-columnist-8tsXn7bh/lib/python3.10/site-packages/sentry_sdk/integrations/django/middleware.py in __call__(177)
  return f(*args, **kwargs)

/home/youser/.local/share/virtualenvs/news-site-columnist-8tsXn7bh/lib/python3.10/site-packages/sentry_sdk/integrations/django/middleware.py in __call__(177)
  return f(*args, **kwargs)

/home/youser/.local/share/virtualenvs/news-site-columnist-8tsXn7bh/lib/python3.10/site-packages/corsheaders/middleware.py in __call__(53)
  result = self.get_response(request)

/home/youser/.local/share/virtualenvs/news-site-columnist-8tsXn7bh/lib/python3.10/site-packages/sentry_sdk/integrations/django/middleware.py in __call__(177)
  return f(*args, **kwargs)

/home/youser/.local/share/virtualenvs/news-site-columnist-8tsXn7bh/lib/python3.10/site-packages/django_user_agents/middleware.py in __call__(14)
  return self.get_response(request)

/home/youser/.local/share/virtualenvs/news-site-columnist-8tsXn7bh/lib/python3.10/site-packages/sentry_sdk/integrations/django/middleware.py in __call__(177)
  return f(*args, **kwargs)

/home/youser/.local/share/virtualenvs/news-site-columnist-8tsXn7bh/lib/python3.10/site-packages/sentry_sdk/integrations/django/middleware.py in __call__(177)
  return f(*args, **kwargs)

/home/youser/.local/share/virtualenvs/news-site-columnist-8tsXn7bh/lib/python3.10/site-packages/sentry_sdk/integrations/django/middleware.py in __call__(177)
  return f(*args, **kwargs)

/home/youser/.local/share/virtualenvs/news-site-columnist-8tsXn7bh/lib/python3.10/site-packages/sentry_sdk/integrations/django/middleware.py in __call__(177)
  return f(*args, **kwargs)

/home/youser/.local/share/virtualenvs/news-site-columnist-8tsXn7bh/lib/python3.10/site-packages/sentry_sdk/integrations/django/middleware.py in __call__(177)
  return f(*args, **kwargs)

/home/youser/.local/share/virtualenvs/news-site-columnist-8tsXn7bh/lib/python3.10/site-packages/sentry_sdk/integrations/django/middleware.py in __call__(177)
  return f(*args, **kwargs)

/home/youser/.local/share/virtualenvs/news-site-columnist-8tsXn7bh/lib/python3.10/site-packages/sentry_sdk/integrations/django/middleware.py in __call__(177)
  return f(*args, **kwargs)

/home/youser/.local/share/virtualenvs/news-site-columnist-8tsXn7bh/lib/python3.10/site-packages/sentry_sdk/integrations/django/middleware.py in __call__(177)
  return f(*args, **kwargs)

/var/www/news-site-columnist/news/middleware/subdomain_middleare.py in __call__(22)
  response = self.get_response(request)

/home/youser/.local/share/virtualenvs/news-site-columnist-8tsXn7bh/lib/python3.10/site-packages/sentry_sdk/integrations/django/views.py in sentry_wrapped_callback(94)
  return callback(request, *args, **kwargs)

/var/www/news-site-columnist/news/views/post.py in subdomain_view_post(923)
  return GetPost.as_view()(

/home/youser/.local/share/virtualenvs/news-site-columnist-8tsXn7bh/lib/python3.10/site-packages/django/views/generic/base.py in view(104)
  return self.dispatch(request, *args, **kwargs)

/home/youser/.local/share/virtualenvs/news-site-columnist-8tsXn7bh/lib/python3.10/site-packages/django/views/generic/base.py in dispatch(143)
  return handler(request, *args, **kwargs)

/var/www/news-site-columnist/news/views/post.py in get(187)
  return super().get(request, *args, **kwargs)

/var/www/news-site-columnist/news/views/base.py in get(155)
  return super().get(request, *args, **kwargs)

/var/www/news-site-columnist/news/views/base.py in get(182)
  resp = super().get(request, *args, **kwargs)

/home/youser/.local/share/virtualenvs/news-site-columnist-8tsXn7bh/lib/python3.10/site-packages/django/views/generic/detail.py in get(108)
  self.object = self.get_object()

/var/www/news-site-columnist/news/views/post.py in get_object(120)
  obj = queryset.get()

/home/youser/.local/share/virtualenvs/news-site-columnist-8tsXn7bh/lib/python3.10/site-packages/polymorphic/query.py in _polymorphic_iterator(57)
  o = next(base_iter)

SELECT "django_content_type"."id",
       "django_content_type"."app_label",
       "django_content_type"."model"
  FROM "django_content_type"
 WHERE ("django_content_type"."app_label" = 'news' AND "django_content_type"."model" = 'broadcastpost')
 LIMIT 21
SELECT ••• FROM "django_content_type" WHERE ("django_content_type"."app_label" = 'news' AND "django_content_type"."model" = 'broadcastpost') LIMIT 21
10 similar queries. Duplicated 4 times.
0,45

Соединение: default

Статус транзакции: Ожидание

/home/youser/.local/share/virtualenvs/news-site-columnist-8tsXn7bh/bin/gunicorn in <module>(8)
  sys.exit(run())

/home/youser/.local/share/virtualenvs/news-site-columnist-8tsXn7bh/lib/python3.10/site-packages/gunicorn/app/wsgiapp.py in run(66)
  WSGIApplication("%(prog)s [OPTIONS] [APP_MODULE]", prog=prog).run()

/home/youser/.local/share/virtualenvs/news-site-columnist-8tsXn7bh/lib/python3.10/site-packages/gunicorn/app/base.py in run(235)
  super().run()

/home/youser/.local/share/virtualenvs/news-site-columnist-8tsXn7bh/lib/python3.10/site-packages/gunicorn/app/base.py in run(71)
  Arbiter(self).run()

/home/youser/.local/share/virtualenvs/news-site-columnist-8tsXn7bh/lib/python3.10/site-packages/gunicorn/arbiter.py in run(210)
  self.manage_workers()

/home/youser/.local/share/virtualenvs/news-site-columnist-8tsXn7bh/lib/python3.10/site-packages/gunicorn/arbiter.py in manage_workers(570)
  self.spawn_workers()

/home/youser/.local/share/virtualenvs/news-site-columnist-8tsXn7bh/lib/python3.10/site-packages/gunicorn/arbiter.py in spawn_workers(641)
  self.spawn_worker()

/home/youser/.local/share/virtualenvs/news-site-columnist-8tsXn7bh/lib/python3.10/site-packages/gunicorn/arbiter.py in spawn_worker(608)
  worker.init_process()

/home/youser/.local/share/virtualenvs/news-site-columnist-8tsXn7bh/lib/python3.10/site-packages/gunicorn/workers/base.py in init_process(143)
  self.run()

/home/youser/.local/share/virtualenvs/news-site-columnist-8tsXn7bh/lib/python3.10/site-packages/gunicorn/workers/sync.py in run(125)
  self.run_for_one(timeout)

/home/youser/.local/share/virtualenvs/news-site-columnist-8tsXn7bh/lib/python3.10/site-packages/gunicorn/workers/sync.py in run_for_one(69)
  self.accept(listener)

/home/youser/.local/share/virtualenvs/news-site-columnist-8tsXn7bh/lib/python3.10/site-packages/gunicorn/workers/sync.py in accept(31)
  self.handle(listener, client, addr)

/home/youser/.local/share/virtualenvs/news-site-columnist-8tsXn7bh/lib/python3.10/site-packages/gunicorn/workers/sync.py in handle(134)
  self.handle_request(listener, req, client, addr)

/home/youser/.local/share/virtualenvs/news-site-columnist-8tsXn7bh/lib/python3.10/site-packages/gunicorn/workers/sync.py in handle_request(177)
  respiter = self.wsgi(environ, resp.start_response)

/home/youser/.local/share/virtualenvs/news-site-columnist-8tsXn7bh/lib/python3.10/site-packages/sentry_sdk/utils.py in runner(1864)
  return sentry_patched_function(*args, **kwargs)

/home/youser/.local/share/virtualenvs/news-site-columnist-8tsXn7bh/lib/python3.10/site-packages/sentry_sdk/integrations/django/__init__.py in sentry_patched_wsgi_handler(191)
  return middleware(environ, start_response)

/home/youser/.local/share/virtualenvs/news-site-columnist-8tsXn7bh/lib/python3.10/site-packages/sentry_sdk/integrations/wsgi.py in __call__(132)
  response = self.app(

/home/youser/.local/share/virtualenvs/news-site-columnist-8tsXn7bh/lib/python3.10/site-packages/sentry_sdk/integrations/django/__init__.py in sentry_patched_get_response(478)
  rv = old_get_response(self, request)

/home/youser/.local/share/virtualenvs/news-site-columnist-8tsXn7bh/lib/python3.10/site-packages/sentry_sdk/integrations/django/middleware.py in __call__(177)
  return f(*args, **kwargs)

/home/youser/.local/share/virtualenvs/news-site-columnist-8tsXn7bh/lib/python3.10/site-packages/sentry_sdk/integrations/django/middleware.py in __call__(177)
  return f(*args, **kwargs)

/var/www/news-site-columnist/redirects/middleware/redirect_middleware.py in __call__(17)
  return self.get_response(request)

/home/youser/.local/share/virtualenvs/news-site-columnist-8tsXn7bh/lib/python3.10/site-packages/sentry_sdk/integrations/django/middleware.py in __call__(177)
  return f(*args, **kwargs)

/home/youser/.local/share/virtualenvs/news-site-columnist-8tsXn7bh/lib/python3.10/site-packages/sentry_sdk/integrations/django/middleware.py in __call__(177)
  return f(*args, **kwargs)

/home/youser/.local/share/virtualenvs/news-site-columnist-8tsXn7bh/lib/python3.10/site-packages/sentry_sdk/integrations/django/middleware.py in __call__(177)
  return f(*args, **kwargs)

/home/youser/.local/share/virtualenvs/news-site-columnist-8tsXn7bh/lib/python3.10/site-packages/sentry_sdk/integrations/django/middleware.py in __call__(177)
  return f(*args, **kwargs)

/home/youser/.local/share/virtualenvs/news-site-columnist-8tsXn7bh/lib/python3.10/site-packages/corsheaders/middleware.py in __call__(53)
  result = self.get_response(request)

/home/youser/.local/share/virtualenvs/news-site-columnist-8tsXn7bh/lib/python3.10/site-packages/sentry_sdk/integrations/django/middleware.py in __call__(177)
  return f(*args, **kwargs)

/home/youser/.local/share/virtualenvs/news-site-columnist-8tsXn7bh/lib/python3.10/site-packages/django_user_agents/middleware.py in __call__(14)
  return self.get_response(request)

/home/youser/.local/share/virtualenvs/news-site-columnist-8tsXn7bh/lib/python3.10/site-packages/sentry_sdk/integrations/django/middleware.py in __call__(177)
  return f(*args, **kwargs)

/home/youser/.local/share/virtualenvs/news-site-columnist-8tsXn7bh/lib/python3.10/site-packages/sentry_sdk/integrations/django/middleware.py in __call__(177)
  return f(*args, **kwargs)

/home/youser/.local/share/virtualenvs/news-site-columnist-8tsXn7bh/lib/python3.10/site-packages/sentry_sdk/integrations/django/middleware.py in __call__(177)
  return f(*args, **kwargs)

/home/youser/.local/share/virtualenvs/news-site-columnist-8tsXn7bh/lib/python3.10/site-packages/sentry_sdk/integrations/django/middleware.py in __call__(177)
  return f(*args, **kwargs)

/home/youser/.local/share/virtualenvs/news-site-columnist-8tsXn7bh/lib/python3.10/site-packages/sentry_sdk/integrations/django/middleware.py in __call__(177)
  return f(*args, **kwargs)

/home/youser/.local/share/virtualenvs/news-site-columnist-8tsXn7bh/lib/python3.10/site-packages/sentry_sdk/integrations/django/middleware.py in __call__(177)
  return f(*args, **kwargs)

/home/youser/.local/share/virtualenvs/news-site-columnist-8tsXn7bh/lib/python3.10/site-packages/sentry_sdk/integrations/django/middleware.py in __call__(177)
  return f(*args, **kwargs)

/home/youser/.local/share/virtualenvs/news-site-columnist-8tsXn7bh/lib/python3.10/site-packages/sentry_sdk/integrations/django/middleware.py in __call__(177)
  return f(*args, **kwargs)

/var/www/news-site-columnist/news/middleware/subdomain_middleare.py in __call__(22)
  response = self.get_response(request)

/home/youser/.local/share/virtualenvs/news-site-columnist-8tsXn7bh/lib/python3.10/site-packages/sentry_sdk/integrations/django/views.py in sentry_wrapped_callback(94)
  return callback(request, *args, **kwargs)

/var/www/news-site-columnist/news/views/post.py in subdomain_view_post(923)
  return GetPost.as_view()(

/home/youser/.local/share/virtualenvs/news-site-columnist-8tsXn7bh/lib/python3.10/site-packages/django/views/generic/base.py in view(104)
  return self.dispatch(request, *args, **kwargs)

/home/youser/.local/share/virtualenvs/news-site-columnist-8tsXn7bh/lib/python3.10/site-packages/django/views/generic/base.py in dispatch(143)
  return handler(request, *args, **kwargs)

/var/www/news-site-columnist/news/views/post.py in get(187)
  return super().get(request, *args, **kwargs)

/var/www/news-site-columnist/news/views/base.py in get(155)
  return super().get(request, *args, **kwargs)

/var/www/news-site-columnist/news/views/base.py in get(182)
  resp = super().get(request, *args, **kwargs)

/home/youser/.local/share/virtualenvs/news-site-columnist-8tsXn7bh/lib/python3.10/site-packages/django/views/generic/detail.py in get(109)
  context = self.get_context_data(object=self.object)

/var/www/news-site-columnist/news/views/post.py in get_context_data(135)
  qs = Post.objects.filter(

/home/youser/.local/share/virtualenvs/news-site-columnist-8tsXn7bh/lib/python3.10/site-packages/modeltranslation/manager.py in get_queryset(633)
  qs = super().get_queryset()

/home/youser/.local/share/virtualenvs/news-site-columnist-8tsXn7bh/lib/python3.10/site-packages/modeltranslation/manager.py in get_queryset(607)
  qs = super().get_queryset()

/var/www/news-site-columnist/news/models/news.py in get_queryset(51)
  qs = super().get_queryset()

/var/www/news-site-columnist/news/models/news.py in get_queryset(565)
  self.broadcast_ct = ContentType.objects.get(app_label="news", model="broadcastpost")

SELECT "django_content_type"."id",
       "django_content_type"."app_label",
       "django_content_type"."model"
  FROM "django_content_type"
 WHERE ("django_content_type"."app_label" = 'context_section' AND "django_content_type"."model" = 'columnpost')
 LIMIT 21
SELECT ••• FROM "django_content_type" WHERE ("django_content_type"."app_label" = 'context_section' AND "django_content_type"."model" = 'columnpost') LIMIT 21
10 similar queries. Duplicated 4 times.
0,28

Соединение: default

Статус транзакции: Ожидание

/home/youser/.local/share/virtualenvs/news-site-columnist-8tsXn7bh/bin/gunicorn in <module>(8)
  sys.exit(run())

/home/youser/.local/share/virtualenvs/news-site-columnist-8tsXn7bh/lib/python3.10/site-packages/gunicorn/app/wsgiapp.py in run(66)
  WSGIApplication("%(prog)s [OPTIONS] [APP_MODULE]", prog=prog).run()

/home/youser/.local/share/virtualenvs/news-site-columnist-8tsXn7bh/lib/python3.10/site-packages/gunicorn/app/base.py in run(235)
  super().run()

/home/youser/.local/share/virtualenvs/news-site-columnist-8tsXn7bh/lib/python3.10/site-packages/gunicorn/app/base.py in run(71)
  Arbiter(self).run()

/home/youser/.local/share/virtualenvs/news-site-columnist-8tsXn7bh/lib/python3.10/site-packages/gunicorn/arbiter.py in run(210)
  self.manage_workers()

/home/youser/.local/share/virtualenvs/news-site-columnist-8tsXn7bh/lib/python3.10/site-packages/gunicorn/arbiter.py in manage_workers(570)
  self.spawn_workers()

/home/youser/.local/share/virtualenvs/news-site-columnist-8tsXn7bh/lib/python3.10/site-packages/gunicorn/arbiter.py in spawn_workers(641)
  self.spawn_worker()

/home/youser/.local/share/virtualenvs/news-site-columnist-8tsXn7bh/lib/python3.10/site-packages/gunicorn/arbiter.py in spawn_worker(608)
  worker.init_process()

/home/youser/.local/share/virtualenvs/news-site-columnist-8tsXn7bh/lib/python3.10/site-packages/gunicorn/workers/base.py in init_process(143)
  self.run()

/home/youser/.local/share/virtualenvs/news-site-columnist-8tsXn7bh/lib/python3.10/site-packages/gunicorn/workers/sync.py in run(125)
  self.run_for_one(timeout)

/home/youser/.local/share/virtualenvs/news-site-columnist-8tsXn7bh/lib/python3.10/site-packages/gunicorn/workers/sync.py in run_for_one(69)
  self.accept(listener)

/home/youser/.local/share/virtualenvs/news-site-columnist-8tsXn7bh/lib/python3.10/site-packages/gunicorn/workers/sync.py in accept(31)
  self.handle(listener, client, addr)

/home/youser/.local/share/virtualenvs/news-site-columnist-8tsXn7bh/lib/python3.10/site-packages/gunicorn/workers/sync.py in handle(134)
  self.handle_request(listener, req, client, addr)

/home/youser/.local/share/virtualenvs/news-site-columnist-8tsXn7bh/lib/python3.10/site-packages/gunicorn/workers/sync.py in handle_request(177)
  respiter = self.wsgi(environ, resp.start_response)

/home/youser/.local/share/virtualenvs/news-site-columnist-8tsXn7bh/lib/python3.10/site-packages/sentry_sdk/utils.py in runner(1864)
  return sentry_patched_function(*args, **kwargs)

/home/youser/.local/share/virtualenvs/news-site-columnist-8tsXn7bh/lib/python3.10/site-packages/sentry_sdk/integrations/django/__init__.py in sentry_patched_wsgi_handler(191)
  return middleware(environ, start_response)

/home/youser/.local/share/virtualenvs/news-site-columnist-8tsXn7bh/lib/python3.10/site-packages/sentry_sdk/integrations/wsgi.py in __call__(132)
  response = self.app(

/home/youser/.local/share/virtualenvs/news-site-columnist-8tsXn7bh/lib/python3.10/site-packages/sentry_sdk/integrations/django/__init__.py in sentry_patched_get_response(478)
  rv = old_get_response(self, request)

/home/youser/.local/share/virtualenvs/news-site-columnist-8tsXn7bh/lib/python3.10/site-packages/sentry_sdk/integrations/django/middleware.py in __call__(177)
  return f(*args, **kwargs)

/home/youser/.local/share/virtualenvs/news-site-columnist-8tsXn7bh/lib/python3.10/site-packages/sentry_sdk/integrations/django/middleware.py in __call__(177)
  return f(*args, **kwargs)

/var/www/news-site-columnist/redirects/middleware/redirect_middleware.py in __call__(17)
  return self.get_response(request)

/home/youser/.local/share/virtualenvs/news-site-columnist-8tsXn7bh/lib/python3.10/site-packages/sentry_sdk/integrations/django/middleware.py in __call__(177)
  return f(*args, **kwargs)

/home/youser/.local/share/virtualenvs/news-site-columnist-8tsXn7bh/lib/python3.10/site-packages/sentry_sdk/integrations/django/middleware.py in __call__(177)
  return f(*args, **kwargs)

/home/youser/.local/share/virtualenvs/news-site-columnist-8tsXn7bh/lib/python3.10/site-packages/sentry_sdk/integrations/django/middleware.py in __call__(177)
  return f(*args, **kwargs)

/home/youser/.local/share/virtualenvs/news-site-columnist-8tsXn7bh/lib/python3.10/site-packages/sentry_sdk/integrations/django/middleware.py in __call__(177)
  return f(*args, **kwargs)

/home/youser/.local/share/virtualenvs/news-site-columnist-8tsXn7bh/lib/python3.10/site-packages/corsheaders/middleware.py in __call__(53)
  result = self.get_response(request)

/home/youser/.local/share/virtualenvs/news-site-columnist-8tsXn7bh/lib/python3.10/site-packages/sentry_sdk/integrations/django/middleware.py in __call__(177)
  return f(*args, **kwargs)

/home/youser/.local/share/virtualenvs/news-site-columnist-8tsXn7bh/lib/python3.10/site-packages/django_user_agents/middleware.py in __call__(14)
  return self.get_response(request)

/home/youser/.local/share/virtualenvs/news-site-columnist-8tsXn7bh/lib/python3.10/site-packages/sentry_sdk/integrations/django/middleware.py in __call__(177)
  return f(*args, **kwargs)

/home/youser/.local/share/virtualenvs/news-site-columnist-8tsXn7bh/lib/python3.10/site-packages/sentry_sdk/integrations/django/middleware.py in __call__(177)
  return f(*args, **kwargs)

/home/youser/.local/share/virtualenvs/news-site-columnist-8tsXn7bh/lib/python3.10/site-packages/sentry_sdk/integrations/django/middleware.py in __call__(177)
  return f(*args, **kwargs)

/home/youser/.local/share/virtualenvs/news-site-columnist-8tsXn7bh/lib/python3.10/site-packages/sentry_sdk/integrations/django/middleware.py in __call__(177)
  return f(*args, **kwargs)

/home/youser/.local/share/virtualenvs/news-site-columnist-8tsXn7bh/lib/python3.10/site-packages/sentry_sdk/integrations/django/middleware.py in __call__(177)
  return f(*args, **kwargs)

/home/youser/.local/share/virtualenvs/news-site-columnist-8tsXn7bh/lib/python3.10/site-packages/sentry_sdk/integrations/django/middleware.py in __call__(177)
  return f(*args, **kwargs)

/home/youser/.local/share/virtualenvs/news-site-columnist-8tsXn7bh/lib/python3.10/site-packages/sentry_sdk/integrations/django/middleware.py in __call__(177)
  return f(*args, **kwargs)

/home/youser/.local/share/virtualenvs/news-site-columnist-8tsXn7bh/lib/python3.10/site-packages/sentry_sdk/integrations/django/middleware.py in __call__(177)
  return f(*args, **kwargs)

/var/www/news-site-columnist/news/middleware/subdomain_middleare.py in __call__(22)
  response = self.get_response(request)

/home/youser/.local/share/virtualenvs/news-site-columnist-8tsXn7bh/lib/python3.10/site-packages/sentry_sdk/integrations/django/views.py in sentry_wrapped_callback(94)
  return callback(request, *args, **kwargs)

/var/www/news-site-columnist/news/views/post.py in subdomain_view_post(923)
  return GetPost.as_view()(

/home/youser/.local/share/virtualenvs/news-site-columnist-8tsXn7bh/lib/python3.10/site-packages/django/views/generic/base.py in view(104)
  return self.dispatch(request, *args, **kwargs)

/home/youser/.local/share/virtualenvs/news-site-columnist-8tsXn7bh/lib/python3.10/site-packages/django/views/generic/base.py in dispatch(143)
  return handler(request, *args, **kwargs)

/var/www/news-site-columnist/news/views/post.py in get(187)
  return super().get(request, *args, **kwargs)

/var/www/news-site-columnist/news/views/base.py in get(155)
  return super().get(request, *args, **kwargs)

/var/www/news-site-columnist/news/views/base.py in get(182)
  resp = super().get(request, *args, **kwargs)

/home/youser/.local/share/virtualenvs/news-site-columnist-8tsXn7bh/lib/python3.10/site-packages/django/views/generic/detail.py in get(109)
  context = self.get_context_data(object=self.object)

/var/www/news-site-columnist/news/views/post.py in get_context_data(135)
  qs = Post.objects.filter(

/home/youser/.local/share/virtualenvs/news-site-columnist-8tsXn7bh/lib/python3.10/site-packages/modeltranslation/manager.py in get_queryset(633)
  qs = super().get_queryset()

/home/youser/.local/share/virtualenvs/news-site-columnist-8tsXn7bh/lib/python3.10/site-packages/modeltranslation/manager.py in get_queryset(607)
  qs = super().get_queryset()

/var/www/news-site-columnist/news/models/news.py in get_queryset(51)
  qs = super().get_queryset()

/var/www/news-site-columnist/news/models/news.py in get_queryset(566)
  self.context_post_ct = ContentType.objects.get(app_label="context_section", model="columnpost")

SELECT "post"."created_at",
       "post"."seo_title",
       "post"."seo_title_uk",
       "post"."seo_title_en",
       "post"."seo_title_ru",
       "post"."seo_description",
       "post"."seo_description_uk",
       "post"."seo_description_en",
       "post"."seo_description_ru",
       "post"."seo_keywords",
       "post"."seo_keywords_uk",
       "post"."seo_keywords_en",
       "post"."seo_keywords_ru",
       "post"."seo_header_one",
       "post"."seo_header_one_uk",
       "post"."seo_header_one_en",
       "post"."seo_header_one_ru",
       "post"."created_by",
       "post"."updated_by",
       "post"."polymorphic_ctype_id",
       "post"."id",
       "post"."head",
       "post"."head_uk",
       "post"."head_en",
       "post"."head_ru",
       "post"."sub_head",
       "post"."sub_head_uk",
       "post"."sub_head_en",
       "post"."sub_head_ru",
       "post"."content",
       "post"."content_uk",
       "post"."content_en",
       "post"."content_ru",
       "post"."author_id",
       "post"."seo_tag_id",
       "post"."publish_at",
       "post"."translated_at",
       "post"."updated_at",
       "post"."show_updated_at",
       "post"."slug",
       "post"."slug_uk",
       "post"."slug_en",
       "post"."slug_ru",
       "post"."aplication_type",
       "post"."last_editor_id",
       "post"."status",
       "post"."show_at_homepage",
       "post"."show_at_news_feed",
       "post"."show_on_broadcast_page",
       "post"."is_category_top",
       "post"."is_homepage_top",
       "post"."is_homepage_top_uk",
       "post"."is_homepage_top_en",
       "post"."is_homepage_top_ru",
       "post"."id_sponsored",
       "post"."is_lightning",
       "post"."is_exclusive",
       "post"."is_photo_report",
       "post"."is_post",
       "post"."is_article",
       "post"."main_page_img_full_width",
       "post"."need_hires",
       "post"."has_photo",
       "post"."has_video",
       "post"."is_editors_choise",
       "post"."show_in_sidebar",
       "post"."category_id",
       "post"."old_category_id",
       "post"."past_region",
       "post"."year_of_war",
       "post"."breaking_news",
       "post"."without_img",
       "post"."show_stories_block",
       "post"."display_type",
       "post"."image",
       "post"."image_alt",
       "post"."image_alt_uk",
       "post"."image_alt_en",
       "post"."image_alt_ru",
       "post"."seo_image",
       "post"."text_under_image",
       "post"."text_under_image_uk",
       "post"."text_under_image_en",
       "post"."text_under_image_ru",
       "post"."image_source",
       "post"."image_source_uk",
       "post"."image_source_en",
       "post"."image_source_ru",
       "post"."theme_id",
       "post"."is_nofollow_disabled",
       "post"."audio_content_id",
       "post"."audio_content_uk_id",
       "post"."audio_content_en_id",
       "post"."audio_content_ru_id",
       "post"."views",
       "post"."views_uk",
       "post"."views_ru",
       "post"."views_analytics",
       "post"."views_analytics_ru",
       "post"."views_analytics_uk",
       "post"."views_analytics_at",
       "post"."busy_by_id",
       "post"."image_editor_id",
       "post"."release_editor_id",
       "post"."special_type",
       "post"."head_longer_than_100",
       "post"."uk_has_translation",
       "post"."ru_has_translation",
       "post"."en_has_translation",
       "post"."homepage_slider_text",
       "post"."homepage_slider_text_uk",
       "post"."homepage_slider_text_en",
       "post"."homepage_slider_text_ru"
  FROM "post"
 INNER JOIN "category"
    ON ("post"."category_id" = "category"."id")
 WHERE ("post"."polymorphic_ctype_id" = 4 AND "category"."slug" = 'shou-biznes' AND "post"."id" = 22135 AND "post"."status" = 2 AND "post"."publish_at" <= '2026-02-12T09:55:40.878276+00:00'::timestamptz)
 LIMIT 21
SELECT ••• FROM "post" INNER JOIN "category" ON ("post"."category_id" = "category"."id") WHERE ("post"."polymorphic_ctype_id" = 4 AND "category"."slug" = 'shou-biznes' AND "post"."id" = 22135 AND "post"."status" = 2 AND "post"."publish_at" <= '2026-02-12T09:55:40.878276+00:00'::timestamptz) LIMIT 21
6 similar queries.
1,06

Соединение: default

Статус транзакции: Ожидание

/home/youser/.local/share/virtualenvs/news-site-columnist-8tsXn7bh/bin/gunicorn in <module>(8)
  sys.exit(run())

/home/youser/.local/share/virtualenvs/news-site-columnist-8tsXn7bh/lib/python3.10/site-packages/gunicorn/app/wsgiapp.py in run(66)
  WSGIApplication("%(prog)s [OPTIONS] [APP_MODULE]", prog=prog).run()

/home/youser/.local/share/virtualenvs/news-site-columnist-8tsXn7bh/lib/python3.10/site-packages/gunicorn/app/base.py in run(235)
  super().run()

/home/youser/.local/share/virtualenvs/news-site-columnist-8tsXn7bh/lib/python3.10/site-packages/gunicorn/app/base.py in run(71)
  Arbiter(self).run()

/home/youser/.local/share/virtualenvs/news-site-columnist-8tsXn7bh/lib/python3.10/site-packages/gunicorn/arbiter.py in run(210)
  self.manage_workers()

/home/youser/.local/share/virtualenvs/news-site-columnist-8tsXn7bh/lib/python3.10/site-packages/gunicorn/arbiter.py in manage_workers(570)
  self.spawn_workers()

/home/youser/.local/share/virtualenvs/news-site-columnist-8tsXn7bh/lib/python3.10/site-packages/gunicorn/arbiter.py in spawn_workers(641)
  self.spawn_worker()

/home/youser/.local/share/virtualenvs/news-site-columnist-8tsXn7bh/lib/python3.10/site-packages/gunicorn/arbiter.py in spawn_worker(608)
  worker.init_process()

/home/youser/.local/share/virtualenvs/news-site-columnist-8tsXn7bh/lib/python3.10/site-packages/gunicorn/workers/base.py in init_process(143)
  self.run()

/home/youser/.local/share/virtualenvs/news-site-columnist-8tsXn7bh/lib/python3.10/site-packages/gunicorn/workers/sync.py in run(125)
  self.run_for_one(timeout)

/home/youser/.local/share/virtualenvs/news-site-columnist-8tsXn7bh/lib/python3.10/site-packages/gunicorn/workers/sync.py in run_for_one(69)
  self.accept(listener)

/home/youser/.local/share/virtualenvs/news-site-columnist-8tsXn7bh/lib/python3.10/site-packages/gunicorn/workers/sync.py in accept(31)
  self.handle(listener, client, addr)

/home/youser/.local/share/virtualenvs/news-site-columnist-8tsXn7bh/lib/python3.10/site-packages/gunicorn/workers/sync.py in handle(134)
  self.handle_request(listener, req, client, addr)

/home/youser/.local/share/virtualenvs/news-site-columnist-8tsXn7bh/lib/python3.10/site-packages/gunicorn/workers/sync.py in handle_request(177)
  respiter = self.wsgi(environ, resp.start_response)

/home/youser/.local/share/virtualenvs/news-site-columnist-8tsXn7bh/lib/python3.10/site-packages/sentry_sdk/utils.py in runner(1864)
  return sentry_patched_function(*args, **kwargs)

/home/youser/.local/share/virtualenvs/news-site-columnist-8tsXn7bh/lib/python3.10/site-packages/sentry_sdk/integrations/django/__init__.py in sentry_patched_wsgi_handler(191)
  return middleware(environ, start_response)

/home/youser/.local/share/virtualenvs/news-site-columnist-8tsXn7bh/lib/python3.10/site-packages/sentry_sdk/integrations/wsgi.py in __call__(132)
  response = self.app(

/home/youser/.local/share/virtualenvs/news-site-columnist-8tsXn7bh/lib/python3.10/site-packages/sentry_sdk/integrations/django/__init__.py in sentry_patched_get_response(478)
  rv = old_get_response(self, request)

/home/youser/.local/share/virtualenvs/news-site-columnist-8tsXn7bh/lib/python3.10/site-packages/sentry_sdk/integrations/django/middleware.py in __call__(177)
  return f(*args, **kwargs)

/home/youser/.local/share/virtualenvs/news-site-columnist-8tsXn7bh/lib/python3.10/site-packages/sentry_sdk/integrations/django/middleware.py in __call__(177)
  return f(*args, **kwargs)

/var/www/news-site-columnist/redirects/middleware/redirect_middleware.py in __call__(17)
  return self.get_response(request)

/home/youser/.local/share/virtualenvs/news-site-columnist-8tsXn7bh/lib/python3.10/site-packages/sentry_sdk/integrations/django/middleware.py in __call__(177)
  return f(*args, **kwargs)

/home/youser/.local/share/virtualenvs/news-site-columnist-8tsXn7bh/lib/python3.10/site-packages/sentry_sdk/integrations/django/middleware.py in __call__(177)
  return f(*args, **kwargs)

/home/youser/.local/share/virtualenvs/news-site-columnist-8tsXn7bh/lib/python3.10/site-packages/sentry_sdk/integrations/django/middleware.py in __call__(177)
  return f(*args, **kwargs)

/home/youser/.local/share/virtualenvs/news-site-columnist-8tsXn7bh/lib/python3.10/site-packages/sentry_sdk/integrations/django/middleware.py in __call__(177)
  return f(*args, **kwargs)

/home/youser/.local/share/virtualenvs/news-site-columnist-8tsXn7bh/lib/python3.10/site-packages/corsheaders/middleware.py in __call__(53)
  result = self.get_response(request)

/home/youser/.local/share/virtualenvs/news-site-columnist-8tsXn7bh/lib/python3.10/site-packages/sentry_sdk/integrations/django/middleware.py in __call__(177)
  return f(*args, **kwargs)

/home/youser/.local/share/virtualenvs/news-site-columnist-8tsXn7bh/lib/python3.10/site-packages/django_user_agents/middleware.py in __call__(14)
  return self.get_response(request)

/home/youser/.local/share/virtualenvs/news-site-columnist-8tsXn7bh/lib/python3.10/site-packages/sentry_sdk/integrations/django/middleware.py in __call__(177)
  return f(*args, **kwargs)

/home/youser/.local/share/virtualenvs/news-site-columnist-8tsXn7bh/lib/python3.10/site-packages/sentry_sdk/integrations/django/middleware.py in __call__(177)
  return f(*args, **kwargs)

/home/youser/.local/share/virtualenvs/news-site-columnist-8tsXn7bh/lib/python3.10/site-packages/sentry_sdk/integrations/django/middleware.py in __call__(177)
  return f(*args, **kwargs)

/home/youser/.local/share/virtualenvs/news-site-columnist-8tsXn7bh/lib/python3.10/site-packages/sentry_sdk/integrations/django/middleware.py in __call__(177)
  return f(*args, **kwargs)

/home/youser/.local/share/virtualenvs/news-site-columnist-8tsXn7bh/lib/python3.10/site-packages/sentry_sdk/integrations/django/middleware.py in __call__(177)
  return f(*args, **kwargs)

/home/youser/.local/share/virtualenvs/news-site-columnist-8tsXn7bh/lib/python3.10/site-packages/sentry_sdk/integrations/django/middleware.py in __call__(177)
  return f(*args, **kwargs)

/home/youser/.local/share/virtualenvs/news-site-columnist-8tsXn7bh/lib/python3.10/site-packages/sentry_sdk/integrations/django/middleware.py in __call__(177)
  return f(*args, **kwargs)

/home/youser/.local/share/virtualenvs/news-site-columnist-8tsXn7bh/lib/python3.10/site-packages/sentry_sdk/integrations/django/middleware.py in __call__(177)
  return f(*args, **kwargs)

/var/www/news-site-columnist/news/middleware/subdomain_middleare.py in __call__(22)
  response = self.get_response(request)

/home/youser/.local/share/virtualenvs/news-site-columnist-8tsXn7bh/lib/python3.10/site-packages/sentry_sdk/integrations/django/views.py in sentry_wrapped_callback(94)
  return callback(request, *args, **kwargs)

/var/www/news-site-columnist/news/views/post.py in subdomain_view_post(923)
  return GetPost.as_view()(

/home/youser/.local/share/virtualenvs/news-site-columnist-8tsXn7bh/lib/python3.10/site-packages/django/views/generic/base.py in view(104)
  return self.dispatch(request, *args, **kwargs)

/home/youser/.local/share/virtualenvs/news-site-columnist-8tsXn7bh/lib/python3.10/site-packages/django/views/generic/base.py in dispatch(143)
  return handler(request, *args, **kwargs)

/var/www/news-site-columnist/news/views/post.py in get(187)
  return super().get(request, *args, **kwargs)

/var/www/news-site-columnist/news/views/base.py in get(155)
  return super().get(request, *args, **kwargs)

/var/www/news-site-columnist/news/views/base.py in get(182)
  resp = super().get(request, *args, **kwargs)

/home/youser/.local/share/virtualenvs/news-site-columnist-8tsXn7bh/lib/python3.10/site-packages/django/views/generic/detail.py in get(109)
  context = self.get_context_data(object=self.object)

/var/www/news-site-columnist/news/views/post.py in get_context_data(140)
  post = self.get_object()

/var/www/news-site-columnist/news/views/post.py in get_object(120)
  obj = queryset.get()

/home/youser/.local/share/virtualenvs/news-site-columnist-8tsXn7bh/lib/python3.10/site-packages/polymorphic/query.py in _polymorphic_iterator(57)
  o = next(base_iter)

SELECT 1 AS "a"
  FROM "news_telegramlinkreplacement"
 LIMIT 1
SELECT 1 AS "a" FROM "news_telegramlinkreplacement" LIMIT 1
0,40

Соединение: default

Статус транзакции: Ожидание

/home/youser/.local/share/virtualenvs/news-site-columnist-8tsXn7bh/bin/gunicorn in <module>(8)
  sys.exit(run())

/home/youser/.local/share/virtualenvs/news-site-columnist-8tsXn7bh/lib/python3.10/site-packages/gunicorn/app/wsgiapp.py in run(66)
  WSGIApplication("%(prog)s [OPTIONS] [APP_MODULE]", prog=prog).run()

/home/youser/.local/share/virtualenvs/news-site-columnist-8tsXn7bh/lib/python3.10/site-packages/gunicorn/app/base.py in run(235)
  super().run()

/home/youser/.local/share/virtualenvs/news-site-columnist-8tsXn7bh/lib/python3.10/site-packages/gunicorn/app/base.py in run(71)
  Arbiter(self).run()

/home/youser/.local/share/virtualenvs/news-site-columnist-8tsXn7bh/lib/python3.10/site-packages/gunicorn/arbiter.py in run(210)
  self.manage_workers()

/home/youser/.local/share/virtualenvs/news-site-columnist-8tsXn7bh/lib/python3.10/site-packages/gunicorn/arbiter.py in manage_workers(570)
  self.spawn_workers()

/home/youser/.local/share/virtualenvs/news-site-columnist-8tsXn7bh/lib/python3.10/site-packages/gunicorn/arbiter.py in spawn_workers(641)
  self.spawn_worker()

/home/youser/.local/share/virtualenvs/news-site-columnist-8tsXn7bh/lib/python3.10/site-packages/gunicorn/arbiter.py in spawn_worker(608)
  worker.init_process()

/home/youser/.local/share/virtualenvs/news-site-columnist-8tsXn7bh/lib/python3.10/site-packages/gunicorn/workers/base.py in init_process(143)
  self.run()

/home/youser/.local/share/virtualenvs/news-site-columnist-8tsXn7bh/lib/python3.10/site-packages/gunicorn/workers/sync.py in run(125)
  self.run_for_one(timeout)

/home/youser/.local/share/virtualenvs/news-site-columnist-8tsXn7bh/lib/python3.10/site-packages/gunicorn/workers/sync.py in run_for_one(69)
  self.accept(listener)

/home/youser/.local/share/virtualenvs/news-site-columnist-8tsXn7bh/lib/python3.10/site-packages/gunicorn/workers/sync.py in accept(31)
  self.handle(listener, client, addr)

/home/youser/.local/share/virtualenvs/news-site-columnist-8tsXn7bh/lib/python3.10/site-packages/gunicorn/workers/sync.py in handle(134)
  self.handle_request(listener, req, client, addr)

/home/youser/.local/share/virtualenvs/news-site-columnist-8tsXn7bh/lib/python3.10/site-packages/gunicorn/workers/sync.py in handle_request(177)
  respiter = self.wsgi(environ, resp.start_response)

/home/youser/.local/share/virtualenvs/news-site-columnist-8tsXn7bh/lib/python3.10/site-packages/sentry_sdk/utils.py in runner(1864)
  return sentry_patched_function(*args, **kwargs)

/home/youser/.local/share/virtualenvs/news-site-columnist-8tsXn7bh/lib/python3.10/site-packages/sentry_sdk/integrations/django/__init__.py in sentry_patched_wsgi_handler(191)
  return middleware(environ, start_response)

/home/youser/.local/share/virtualenvs/news-site-columnist-8tsXn7bh/lib/python3.10/site-packages/sentry_sdk/integrations/wsgi.py in __call__(132)
  response = self.app(

/home/youser/.local/share/virtualenvs/news-site-columnist-8tsXn7bh/lib/python3.10/site-packages/sentry_sdk/integrations/django/__init__.py in sentry_patched_get_response(478)
  rv = old_get_response(self, request)

/home/youser/.local/share/virtualenvs/news-site-columnist-8tsXn7bh/lib/python3.10/site-packages/sentry_sdk/integrations/django/middleware.py in __call__(177)
  return f(*args, **kwargs)

/home/youser/.local/share/virtualenvs/news-site-columnist-8tsXn7bh/lib/python3.10/site-packages/sentry_sdk/integrations/django/middleware.py in __call__(177)
  return f(*args, **kwargs)

/var/www/news-site-columnist/redirects/middleware/redirect_middleware.py in __call__(17)
  return self.get_response(request)

/home/youser/.local/share/virtualenvs/news-site-columnist-8tsXn7bh/lib/python3.10/site-packages/sentry_sdk/integrations/django/middleware.py in __call__(177)
  return f(*args, **kwargs)

/home/youser/.local/share/virtualenvs/news-site-columnist-8tsXn7bh/lib/python3.10/site-packages/sentry_sdk/integrations/django/middleware.py in __call__(177)
  return f(*args, **kwargs)

/home/youser/.local/share/virtualenvs/news-site-columnist-8tsXn7bh/lib/python3.10/site-packages/sentry_sdk/integrations/django/middleware.py in __call__(177)
  return f(*args, **kwargs)

/home/youser/.local/share/virtualenvs/news-site-columnist-8tsXn7bh/lib/python3.10/site-packages/sentry_sdk/integrations/django/middleware.py in __call__(177)
  return f(*args, **kwargs)

/home/youser/.local/share/virtualenvs/news-site-columnist-8tsXn7bh/lib/python3.10/site-packages/corsheaders/middleware.py in __call__(53)
  result = self.get_response(request)

/home/youser/.local/share/virtualenvs/news-site-columnist-8tsXn7bh/lib/python3.10/site-packages/sentry_sdk/integrations/django/middleware.py in __call__(177)
  return f(*args, **kwargs)

/home/youser/.local/share/virtualenvs/news-site-columnist-8tsXn7bh/lib/python3.10/site-packages/django_user_agents/middleware.py in __call__(14)
  return self.get_response(request)

/home/youser/.local/share/virtualenvs/news-site-columnist-8tsXn7bh/lib/python3.10/site-packages/sentry_sdk/integrations/django/middleware.py in __call__(177)
  return f(*args, **kwargs)

/home/youser/.local/share/virtualenvs/news-site-columnist-8tsXn7bh/lib/python3.10/site-packages/sentry_sdk/integrations/django/middleware.py in __call__(177)
  return f(*args, **kwargs)

/home/youser/.local/share/virtualenvs/news-site-columnist-8tsXn7bh/lib/python3.10/site-packages/sentry_sdk/integrations/django/middleware.py in __call__(177)
  return f(*args, **kwargs)

/home/youser/.local/share/virtualenvs/news-site-columnist-8tsXn7bh/lib/python3.10/site-packages/sentry_sdk/integrations/django/middleware.py in __call__(177)
  return f(*args, **kwargs)

/home/youser/.local/share/virtualenvs/news-site-columnist-8tsXn7bh/lib/python3.10/site-packages/sentry_sdk/integrations/django/middleware.py in __call__(177)
  return f(*args, **kwargs)

/home/youser/.local/share/virtualenvs/news-site-columnist-8tsXn7bh/lib/python3.10/site-packages/sentry_sdk/integrations/django/middleware.py in __call__(177)
  return f(*args, **kwargs)

/home/youser/.local/share/virtualenvs/news-site-columnist-8tsXn7bh/lib/python3.10/site-packages/sentry_sdk/integrations/django/middleware.py in __call__(177)
  return f(*args, **kwargs)

/home/youser/.local/share/virtualenvs/news-site-columnist-8tsXn7bh/lib/python3.10/site-packages/sentry_sdk/integrations/django/middleware.py in __call__(177)
  return f(*args, **kwargs)

/var/www/news-site-columnist/news/middleware/subdomain_middleare.py in __call__(22)
  response = self.get_response(request)

/home/youser/.local/share/virtualenvs/news-site-columnist-8tsXn7bh/lib/python3.10/site-packages/sentry_sdk/integrations/django/views.py in sentry_wrapped_callback(94)
  return callback(request, *args, **kwargs)

/var/www/news-site-columnist/news/views/post.py in subdomain_view_post(923)
  return GetPost.as_view()(

/home/youser/.local/share/virtualenvs/news-site-columnist-8tsXn7bh/lib/python3.10/site-packages/django/views/generic/base.py in view(104)
  return self.dispatch(request, *args, **kwargs)

/home/youser/.local/share/virtualenvs/news-site-columnist-8tsXn7bh/lib/python3.10/site-packages/django/views/generic/base.py in dispatch(143)
  return handler(request, *args, **kwargs)

/var/www/news-site-columnist/news/views/post.py in get(187)
  return super().get(request, *args, **kwargs)

/var/www/news-site-columnist/news/views/base.py in get(155)
  return super().get(request, *args, **kwargs)

/var/www/news-site-columnist/news/views/base.py in get(182)
  resp = super().get(request, *args, **kwargs)

/home/youser/.local/share/virtualenvs/news-site-columnist-8tsXn7bh/lib/python3.10/site-packages/django/views/generic/detail.py in get(109)
  context = self.get_context_data(object=self.object)

/var/www/news-site-columnist/news/views/post.py in get_context_data(148)
  data["tlp"] = get_telegram_link_replacement()

/var/www/news-site-columnist/news/utils.py in get_telegram_link_replacement(143)
  if TelegramLinkReplacement.objects.all().exists():

SELECT "django_content_type"."id",
       "django_content_type"."app_label",
       "django_content_type"."model"
  FROM "django_content_type"
 WHERE ("django_content_type"."app_label" = 'news' AND "django_content_type"."model" = 'broadcastpost')
 LIMIT 21
SELECT ••• FROM "django_content_type" WHERE ("django_content_type"."app_label" = 'news' AND "django_content_type"."model" = 'broadcastpost') LIMIT 21
10 similar queries. Duplicated 4 times.
0,56

Соединение: default

Статус транзакции: Ожидание

/home/youser/.local/share/virtualenvs/news-site-columnist-8tsXn7bh/bin/gunicorn in <module>(8)
  sys.exit(run())

/home/youser/.local/share/virtualenvs/news-site-columnist-8tsXn7bh/lib/python3.10/site-packages/gunicorn/app/wsgiapp.py in run(66)
  WSGIApplication("%(prog)s [OPTIONS] [APP_MODULE]", prog=prog).run()

/home/youser/.local/share/virtualenvs/news-site-columnist-8tsXn7bh/lib/python3.10/site-packages/gunicorn/app/base.py in run(235)
  super().run()

/home/youser/.local/share/virtualenvs/news-site-columnist-8tsXn7bh/lib/python3.10/site-packages/gunicorn/app/base.py in run(71)
  Arbiter(self).run()

/home/youser/.local/share/virtualenvs/news-site-columnist-8tsXn7bh/lib/python3.10/site-packages/gunicorn/arbiter.py in run(210)
  self.manage_workers()

/home/youser/.local/share/virtualenvs/news-site-columnist-8tsXn7bh/lib/python3.10/site-packages/gunicorn/arbiter.py in manage_workers(570)
  self.spawn_workers()

/home/youser/.local/share/virtualenvs/news-site-columnist-8tsXn7bh/lib/python3.10/site-packages/gunicorn/arbiter.py in spawn_workers(641)
  self.spawn_worker()

/home/youser/.local/share/virtualenvs/news-site-columnist-8tsXn7bh/lib/python3.10/site-packages/gunicorn/arbiter.py in spawn_worker(608)
  worker.init_process()

/home/youser/.local/share/virtualenvs/news-site-columnist-8tsXn7bh/lib/python3.10/site-packages/gunicorn/workers/base.py in init_process(143)
  self.run()

/home/youser/.local/share/virtualenvs/news-site-columnist-8tsXn7bh/lib/python3.10/site-packages/gunicorn/workers/sync.py in run(125)
  self.run_for_one(timeout)

/home/youser/.local/share/virtualenvs/news-site-columnist-8tsXn7bh/lib/python3.10/site-packages/gunicorn/workers/sync.py in run_for_one(69)
  self.accept(listener)

/home/youser/.local/share/virtualenvs/news-site-columnist-8tsXn7bh/lib/python3.10/site-packages/gunicorn/workers/sync.py in accept(31)
  self.handle(listener, client, addr)

/home/youser/.local/share/virtualenvs/news-site-columnist-8tsXn7bh/lib/python3.10/site-packages/gunicorn/workers/sync.py in handle(134)
  self.handle_request(listener, req, client, addr)

/home/youser/.local/share/virtualenvs/news-site-columnist-8tsXn7bh/lib/python3.10/site-packages/gunicorn/workers/sync.py in handle_request(177)
  respiter = self.wsgi(environ, resp.start_response)

/home/youser/.local/share/virtualenvs/news-site-columnist-8tsXn7bh/lib/python3.10/site-packages/sentry_sdk/utils.py in runner(1864)
  return sentry_patched_function(*args, **kwargs)

/home/youser/.local/share/virtualenvs/news-site-columnist-8tsXn7bh/lib/python3.10/site-packages/sentry_sdk/integrations/django/__init__.py in sentry_patched_wsgi_handler(191)
  return middleware(environ, start_response)

/home/youser/.local/share/virtualenvs/news-site-columnist-8tsXn7bh/lib/python3.10/site-packages/sentry_sdk/integrations/wsgi.py in __call__(132)
  response = self.app(

/home/youser/.local/share/virtualenvs/news-site-columnist-8tsXn7bh/lib/python3.10/site-packages/sentry_sdk/integrations/django/__init__.py in sentry_patched_get_response(478)
  rv = old_get_response(self, request)

/home/youser/.local/share/virtualenvs/news-site-columnist-8tsXn7bh/lib/python3.10/site-packages/sentry_sdk/integrations/django/middleware.py in __call__(177)
  return f(*args, **kwargs)

/home/youser/.local/share/virtualenvs/news-site-columnist-8tsXn7bh/lib/python3.10/site-packages/sentry_sdk/integrations/django/middleware.py in __call__(177)
  return f(*args, **kwargs)

/var/www/news-site-columnist/redirects/middleware/redirect_middleware.py in __call__(17)
  return self.get_response(request)

/home/youser/.local/share/virtualenvs/news-site-columnist-8tsXn7bh/lib/python3.10/site-packages/sentry_sdk/integrations/django/middleware.py in __call__(177)
  return f(*args, **kwargs)

/home/youser/.local/share/virtualenvs/news-site-columnist-8tsXn7bh/lib/python3.10/site-packages/sentry_sdk/integrations/django/middleware.py in __call__(177)
  return f(*args, **kwargs)

/home/youser/.local/share/virtualenvs/news-site-columnist-8tsXn7bh/lib/python3.10/site-packages/sentry_sdk/integrations/django/middleware.py in __call__(177)
  return f(*args, **kwargs)

/home/youser/.local/share/virtualenvs/news-site-columnist-8tsXn7bh/lib/python3.10/site-packages/sentry_sdk/integrations/django/middleware.py in __call__(177)
  return f(*args, **kwargs)

/home/youser/.local/share/virtualenvs/news-site-columnist-8tsXn7bh/lib/python3.10/site-packages/corsheaders/middleware.py in __call__(53)
  result = self.get_response(request)

/home/youser/.local/share/virtualenvs/news-site-columnist-8tsXn7bh/lib/python3.10/site-packages/sentry_sdk/integrations/django/middleware.py in __call__(177)
  return f(*args, **kwargs)

/home/youser/.local/share/virtualenvs/news-site-columnist-8tsXn7bh/lib/python3.10/site-packages/django_user_agents/middleware.py in __call__(14)
  return self.get_response(request)

/home/youser/.local/share/virtualenvs/news-site-columnist-8tsXn7bh/lib/python3.10/site-packages/sentry_sdk/integrations/django/middleware.py in __call__(177)
  return f(*args, **kwargs)

/home/youser/.local/share/virtualenvs/news-site-columnist-8tsXn7bh/lib/python3.10/site-packages/sentry_sdk/integrations/django/middleware.py in __call__(177)
  return f(*args, **kwargs)

/home/youser/.local/share/virtualenvs/news-site-columnist-8tsXn7bh/lib/python3.10/site-packages/sentry_sdk/integrations/django/middleware.py in __call__(177)
  return f(*args, **kwargs)

/home/youser/.local/share/virtualenvs/news-site-columnist-8tsXn7bh/lib/python3.10/site-packages/sentry_sdk/integrations/django/middleware.py in __call__(177)
  return f(*args, **kwargs)

/home/youser/.local/share/virtualenvs/news-site-columnist-8tsXn7bh/lib/python3.10/site-packages/sentry_sdk/integrations/django/middleware.py in __call__(177)
  return f(*args, **kwargs)

/home/youser/.local/share/virtualenvs/news-site-columnist-8tsXn7bh/lib/python3.10/site-packages/sentry_sdk/integrations/django/middleware.py in __call__(177)
  return f(*args, **kwargs)

/home/youser/.local/share/virtualenvs/news-site-columnist-8tsXn7bh/lib/python3.10/site-packages/sentry_sdk/integrations/django/middleware.py in __call__(177)
  return f(*args, **kwargs)

/home/youser/.local/share/virtualenvs/news-site-columnist-8tsXn7bh/lib/python3.10/site-packages/sentry_sdk/integrations/django/middleware.py in __call__(177)
  return f(*args, **kwargs)

/var/www/news-site-columnist/news/middleware/subdomain_middleare.py in __call__(22)
  response = self.get_response(request)

/home/youser/.local/share/virtualenvs/news-site-columnist-8tsXn7bh/lib/python3.10/site-packages/sentry_sdk/integrations/django/views.py in sentry_wrapped_callback(94)
  return callback(request, *args, **kwargs)

/var/www/news-site-columnist/news/views/post.py in subdomain_view_post(923)
  return GetPost.as_view()(

/home/youser/.local/share/virtualenvs/news-site-columnist-8tsXn7bh/lib/python3.10/site-packages/django/views/generic/base.py in view(104)
  return self.dispatch(request, *args, **kwargs)

/home/youser/.local/share/virtualenvs/news-site-columnist-8tsXn7bh/lib/python3.10/site-packages/django/views/generic/base.py in dispatch(143)
  return handler(request, *args, **kwargs)

/var/www/news-site-columnist/news/views/post.py in get(187)
  return super().get(request, *args, **kwargs)

/var/www/news-site-columnist/news/views/base.py in get(155)
  return super().get(request, *args, **kwargs)

/var/www/news-site-columnist/news/views/base.py in get(182)
  resp = super().get(request, *args, **kwargs)

/home/youser/.local/share/virtualenvs/news-site-columnist-8tsXn7bh/lib/python3.10/site-packages/django/views/generic/detail.py in get(109)
  context = self.get_context_data(object=self.object)

/var/www/news-site-columnist/news/views/post.py in get_context_data(148)
  data["tlp"] = get_telegram_link_replacement()

/var/www/news-site-columnist/news/utils.py in get_telegram_link_replacement(148)
  return Post.objects.get(id=tlp.post_id)

/home/youser/.local/share/virtualenvs/news-site-columnist-8tsXn7bh/lib/python3.10/site-packages/modeltranslation/manager.py in get_queryset(633)
  qs = super().get_queryset()

/home/youser/.local/share/virtualenvs/news-site-columnist-8tsXn7bh/lib/python3.10/site-packages/modeltranslation/manager.py in get_queryset(607)
  qs = super().get_queryset()

/var/www/news-site-columnist/news/models/news.py in get_queryset(51)
  qs = super().get_queryset()

/var/www/news-site-columnist/news/models/news.py in get_queryset(565)
  self.broadcast_ct = ContentType.objects.get(app_label="news", model="broadcastpost")

SELECT "django_content_type"."id",
       "django_content_type"."app_label",
       "django_content_type"."model"
  FROM "django_content_type"
 WHERE ("django_content_type"."app_label" = 'context_section' AND "django_content_type"."model" = 'columnpost')
 LIMIT 21
SELECT ••• FROM "django_content_type" WHERE ("django_content_type"."app_label" = 'context_section' AND "django_content_type"."model" = 'columnpost') LIMIT 21
10 similar queries. Duplicated 4 times.
0,43

Соединение: default

Статус транзакции: Ожидание

/home/youser/.local/share/virtualenvs/news-site-columnist-8tsXn7bh/bin/gunicorn in <module>(8)
  sys.exit(run())

/home/youser/.local/share/virtualenvs/news-site-columnist-8tsXn7bh/lib/python3.10/site-packages/gunicorn/app/wsgiapp.py in run(66)
  WSGIApplication("%(prog)s [OPTIONS] [APP_MODULE]", prog=prog).run()

/home/youser/.local/share/virtualenvs/news-site-columnist-8tsXn7bh/lib/python3.10/site-packages/gunicorn/app/base.py in run(235)
  super().run()

/home/youser/.local/share/virtualenvs/news-site-columnist-8tsXn7bh/lib/python3.10/site-packages/gunicorn/app/base.py in run(71)
  Arbiter(self).run()

/home/youser/.local/share/virtualenvs/news-site-columnist-8tsXn7bh/lib/python3.10/site-packages/gunicorn/arbiter.py in run(210)
  self.manage_workers()

/home/youser/.local/share/virtualenvs/news-site-columnist-8tsXn7bh/lib/python3.10/site-packages/gunicorn/arbiter.py in manage_workers(570)
  self.spawn_workers()

/home/youser/.local/share/virtualenvs/news-site-columnist-8tsXn7bh/lib/python3.10/site-packages/gunicorn/arbiter.py in spawn_workers(641)
  self.spawn_worker()

/home/youser/.local/share/virtualenvs/news-site-columnist-8tsXn7bh/lib/python3.10/site-packages/gunicorn/arbiter.py in spawn_worker(608)
  worker.init_process()

/home/youser/.local/share/virtualenvs/news-site-columnist-8tsXn7bh/lib/python3.10/site-packages/gunicorn/workers/base.py in init_process(143)
  self.run()

/home/youser/.local/share/virtualenvs/news-site-columnist-8tsXn7bh/lib/python3.10/site-packages/gunicorn/workers/sync.py in run(125)
  self.run_for_one(timeout)

/home/youser/.local/share/virtualenvs/news-site-columnist-8tsXn7bh/lib/python3.10/site-packages/gunicorn/workers/sync.py in run_for_one(69)
  self.accept(listener)

/home/youser/.local/share/virtualenvs/news-site-columnist-8tsXn7bh/lib/python3.10/site-packages/gunicorn/workers/sync.py in accept(31)
  self.handle(listener, client, addr)

/home/youser/.local/share/virtualenvs/news-site-columnist-8tsXn7bh/lib/python3.10/site-packages/gunicorn/workers/sync.py in handle(134)
  self.handle_request(listener, req, client, addr)

/home/youser/.local/share/virtualenvs/news-site-columnist-8tsXn7bh/lib/python3.10/site-packages/gunicorn/workers/sync.py in handle_request(177)
  respiter = self.wsgi(environ, resp.start_response)

/home/youser/.local/share/virtualenvs/news-site-columnist-8tsXn7bh/lib/python3.10/site-packages/sentry_sdk/utils.py in runner(1864)
  return sentry_patched_function(*args, **kwargs)

/home/youser/.local/share/virtualenvs/news-site-columnist-8tsXn7bh/lib/python3.10/site-packages/sentry_sdk/integrations/django/__init__.py in sentry_patched_wsgi_handler(191)
  return middleware(environ, start_response)

/home/youser/.local/share/virtualenvs/news-site-columnist-8tsXn7bh/lib/python3.10/site-packages/sentry_sdk/integrations/wsgi.py in __call__(132)
  response = self.app(

/home/youser/.local/share/virtualenvs/news-site-columnist-8tsXn7bh/lib/python3.10/site-packages/sentry_sdk/integrations/django/__init__.py in sentry_patched_get_response(478)
  rv = old_get_response(self, request)

/home/youser/.local/share/virtualenvs/news-site-columnist-8tsXn7bh/lib/python3.10/site-packages/sentry_sdk/integrations/django/middleware.py in __call__(177)
  return f(*args, **kwargs)

/home/youser/.local/share/virtualenvs/news-site-columnist-8tsXn7bh/lib/python3.10/site-packages/sentry_sdk/integrations/django/middleware.py in __call__(177)
  return f(*args, **kwargs)

/var/www/news-site-columnist/redirects/middleware/redirect_middleware.py in __call__(17)
  return self.get_response(request)

/home/youser/.local/share/virtualenvs/news-site-columnist-8tsXn7bh/lib/python3.10/site-packages/sentry_sdk/integrations/django/middleware.py in __call__(177)
  return f(*args, **kwargs)

/home/youser/.local/share/virtualenvs/news-site-columnist-8tsXn7bh/lib/python3.10/site-packages/sentry_sdk/integrations/django/middleware.py in __call__(177)
  return f(*args, **kwargs)

/home/youser/.local/share/virtualenvs/news-site-columnist-8tsXn7bh/lib/python3.10/site-packages/sentry_sdk/integrations/django/middleware.py in __call__(177)
  return f(*args, **kwargs)

/home/youser/.local/share/virtualenvs/news-site-columnist-8tsXn7bh/lib/python3.10/site-packages/sentry_sdk/integrations/django/middleware.py in __call__(177)
  return f(*args, **kwargs)

/home/youser/.local/share/virtualenvs/news-site-columnist-8tsXn7bh/lib/python3.10/site-packages/corsheaders/middleware.py in __call__(53)
  result = self.get_response(request)

/home/youser/.local/share/virtualenvs/news-site-columnist-8tsXn7bh/lib/python3.10/site-packages/sentry_sdk/integrations/django/middleware.py in __call__(177)
  return f(*args, **kwargs)

/home/youser/.local/share/virtualenvs/news-site-columnist-8tsXn7bh/lib/python3.10/site-packages/django_user_agents/middleware.py in __call__(14)
  return self.get_response(request)

/home/youser/.local/share/virtualenvs/news-site-columnist-8tsXn7bh/lib/python3.10/site-packages/sentry_sdk/integrations/django/middleware.py in __call__(177)
  return f(*args, **kwargs)

/home/youser/.local/share/virtualenvs/news-site-columnist-8tsXn7bh/lib/python3.10/site-packages/sentry_sdk/integrations/django/middleware.py in __call__(177)
  return f(*args, **kwargs)

/home/youser/.local/share/virtualenvs/news-site-columnist-8tsXn7bh/lib/python3.10/site-packages/sentry_sdk/integrations/django/middleware.py in __call__(177)
  return f(*args, **kwargs)

/home/youser/.local/share/virtualenvs/news-site-columnist-8tsXn7bh/lib/python3.10/site-packages/sentry_sdk/integrations/django/middleware.py in __call__(177)
  return f(*args, **kwargs)

/home/youser/.local/share/virtualenvs/news-site-columnist-8tsXn7bh/lib/python3.10/site-packages/sentry_sdk/integrations/django/middleware.py in __call__(177)
  return f(*args, **kwargs)

/home/youser/.local/share/virtualenvs/news-site-columnist-8tsXn7bh/lib/python3.10/site-packages/sentry_sdk/integrations/django/middleware.py in __call__(177)
  return f(*args, **kwargs)

/home/youser/.local/share/virtualenvs/news-site-columnist-8tsXn7bh/lib/python3.10/site-packages/sentry_sdk/integrations/django/middleware.py in __call__(177)
  return f(*args, **kwargs)

/home/youser/.local/share/virtualenvs/news-site-columnist-8tsXn7bh/lib/python3.10/site-packages/sentry_sdk/integrations/django/middleware.py in __call__(177)
  return f(*args, **kwargs)

/var/www/news-site-columnist/news/middleware/subdomain_middleare.py in __call__(22)
  response = self.get_response(request)

/home/youser/.local/share/virtualenvs/news-site-columnist-8tsXn7bh/lib/python3.10/site-packages/sentry_sdk/integrations/django/views.py in sentry_wrapped_callback(94)
  return callback(request, *args, **kwargs)

/var/www/news-site-columnist/news/views/post.py in subdomain_view_post(923)
  return GetPost.as_view()(

/home/youser/.local/share/virtualenvs/news-site-columnist-8tsXn7bh/lib/python3.10/site-packages/django/views/generic/base.py in view(104)
  return self.dispatch(request, *args, **kwargs)

/home/youser/.local/share/virtualenvs/news-site-columnist-8tsXn7bh/lib/python3.10/site-packages/django/views/generic/base.py in dispatch(143)
  return handler(request, *args, **kwargs)

/var/www/news-site-columnist/news/views/post.py in get(187)
  return super().get(request, *args, **kwargs)

/var/www/news-site-columnist/news/views/base.py in get(155)
  return super().get(request, *args, **kwargs)

/var/www/news-site-columnist/news/views/base.py in get(182)
  resp = super().get(request, *args, **kwargs)

/home/youser/.local/share/virtualenvs/news-site-columnist-8tsXn7bh/lib/python3.10/site-packages/django/views/generic/detail.py in get(109)
  context = self.get_context_data(object=self.object)

/var/www/news-site-columnist/news/views/post.py in get_context_data(148)
  data["tlp"] = get_telegram_link_replacement()

/var/www/news-site-columnist/news/utils.py in get_telegram_link_replacement(148)
  return Post.objects.get(id=tlp.post_id)

/home/youser/.local/share/virtualenvs/news-site-columnist-8tsXn7bh/lib/python3.10/site-packages/modeltranslation/manager.py in get_queryset(633)
  qs = super().get_queryset()

/home/youser/.local/share/virtualenvs/news-site-columnist-8tsXn7bh/lib/python3.10/site-packages/modeltranslation/manager.py in get_queryset(607)
  qs = super().get_queryset()

/var/www/news-site-columnist/news/models/news.py in get_queryset(51)
  qs = super().get_queryset()

/var/www/news-site-columnist/news/models/news.py in get_queryset(566)
  self.context_post_ct = ContentType.objects.get(app_label="context_section", model="columnpost")

SELECT "post"."created_at",
       "post"."seo_title",
       "post"."seo_title_uk",
       "post"."seo_title_en",
       "post"."seo_title_ru",
       "post"."seo_description",
       "post"."seo_description_uk",
       "post"."seo_description_en",
       "post"."seo_description_ru",
       "post"."seo_keywords",
       "post"."seo_keywords_uk",
       "post"."seo_keywords_en",
       "post"."seo_keywords_ru",
       "post"."seo_header_one",
       "post"."seo_header_one_uk",
       "post"."seo_header_one_en",
       "post"."seo_header_one_ru",
       "post"."created_by",
       "post"."updated_by",
       "post"."polymorphic_ctype_id",
       "post"."id",
       "post"."head",
       "post"."head_uk",
       "post"."head_en",
       "post"."head_ru",
       "post"."sub_head",
       "post"."sub_head_uk",
       "post"."sub_head_en",
       "post"."sub_head_ru",
       "post"."content",
       "post"."content_uk",
       "post"."content_en",
       "post"."content_ru",
       "post"."author_id",
       "post"."seo_tag_id",
       "post"."publish_at",
       "post"."translated_at",
       "post"."updated_at",
       "post"."show_updated_at",
       "post"."slug",
       "post"."slug_uk",
       "post"."slug_en",
       "post"."slug_ru",
       "post"."aplication_type",
       "post"."last_editor_id",
       "post"."status",
       "post"."show_at_homepage",
       "post"."show_at_news_feed",
       "post"."show_on_broadcast_page",
       "post"."is_category_top",
       "post"."is_homepage_top",
       "post"."is_homepage_top_uk",
       "post"."is_homepage_top_en",
       "post"."is_homepage_top_ru",
       "post"."id_sponsored",
       "post"."is_lightning",
       "post"."is_exclusive",
       "post"."is_photo_report",
       "post"."is_post",
       "post"."is_article",
       "post"."main_page_img_full_width",
       "post"."need_hires",
       "post"."has_photo",
       "post"."has_video",
       "post"."is_editors_choise",
       "post"."show_in_sidebar",
       "post"."category_id",
       "post"."old_category_id",
       "post"."past_region",
       "post"."year_of_war",
       "post"."breaking_news",
       "post"."without_img",
       "post"."show_stories_block",
       "post"."display_type",
       "post"."image",
       "post"."image_alt",
       "post"."image_alt_uk",
       "post"."image_alt_en",
       "post"."image_alt_ru",
       "post"."seo_image",
       "post"."text_under_image",
       "post"."text_under_image_uk",
       "post"."text_under_image_en",
       "post"."text_under_image_ru",
       "post"."image_source",
       "post"."image_source_uk",
       "post"."image_source_en",
       "post"."image_source_ru",
       "post"."theme_id",
       "post"."is_nofollow_disabled",
       "post"."audio_content_id",
       "post"."audio_content_uk_id",
       "post"."audio_content_en_id",
       "post"."audio_content_ru_id",
       "post"."views",
       "post"."views_uk",
       "post"."views_ru",
       "post"."views_analytics",
       "post"."views_analytics_ru",
       "post"."views_analytics_uk",
       "post"."views_analytics_at",
       "post"."busy_by_id",
       "post"."image_editor_id",
       "post"."release_editor_id",
       "post"."special_type",
       "post"."head_longer_than_100",
       "post"."uk_has_translation",
       "post"."ru_has_translation",
       "post"."en_has_translation",
       "post"."homepage_slider_text",
       "post"."homepage_slider_text_uk",
       "post"."homepage_slider_text_en",
       "post"."homepage_slider_text_ru"
  FROM "post"
 WHERE (NOT ("post"."polymorphic_ctype_id" = 64 AND "post"."polymorphic_ctype_id" IS NOT NULL) AND NOT ("post"."polymorphic_ctype_id" = 81 AND "post"."polymorphic_ctype_id" IS NOT NULL) AND "post"."ru_has_translation" AND "post"."id" = 259281)
 LIMIT 21
SELECT ••• FROM "post" WHERE (NOT ("post"."polymorphic_ctype_id" = 64 AND "post"."polymorphic_ctype_id" IS NOT NULL) AND NOT ("post"."polymorphic_ctype_id" = 81 AND "post"."polymorphic_ctype_id" IS NOT NULL) AND "post"."ru_has_translation" AND "post"."id" = 259281) LIMIT 21
1,83

Соединение: default

Статус транзакции: Ожидание

/home/youser/.local/share/virtualenvs/news-site-columnist-8tsXn7bh/bin/gunicorn in <module>(8)
  sys.exit(run())

/home/youser/.local/share/virtualenvs/news-site-columnist-8tsXn7bh/lib/python3.10/site-packages/gunicorn/app/wsgiapp.py in run(66)
  WSGIApplication("%(prog)s [OPTIONS] [APP_MODULE]", prog=prog).run()

/home/youser/.local/share/virtualenvs/news-site-columnist-8tsXn7bh/lib/python3.10/site-packages/gunicorn/app/base.py in run(235)
  super().run()

/home/youser/.local/share/virtualenvs/news-site-columnist-8tsXn7bh/lib/python3.10/site-packages/gunicorn/app/base.py in run(71)
  Arbiter(self).run()

/home/youser/.local/share/virtualenvs/news-site-columnist-8tsXn7bh/lib/python3.10/site-packages/gunicorn/arbiter.py in run(210)
  self.manage_workers()

/home/youser/.local/share/virtualenvs/news-site-columnist-8tsXn7bh/lib/python3.10/site-packages/gunicorn/arbiter.py in manage_workers(570)
  self.spawn_workers()

/home/youser/.local/share/virtualenvs/news-site-columnist-8tsXn7bh/lib/python3.10/site-packages/gunicorn/arbiter.py in spawn_workers(641)
  self.spawn_worker()

/home/youser/.local/share/virtualenvs/news-site-columnist-8tsXn7bh/lib/python3.10/site-packages/gunicorn/arbiter.py in spawn_worker(608)
  worker.init_process()

/home/youser/.local/share/virtualenvs/news-site-columnist-8tsXn7bh/lib/python3.10/site-packages/gunicorn/workers/base.py in init_process(143)
  self.run()

/home/youser/.local/share/virtualenvs/news-site-columnist-8tsXn7bh/lib/python3.10/site-packages/gunicorn/workers/sync.py in run(125)
  self.run_for_one(timeout)

/home/youser/.local/share/virtualenvs/news-site-columnist-8tsXn7bh/lib/python3.10/site-packages/gunicorn/workers/sync.py in run_for_one(69)
  self.accept(listener)

/home/youser/.local/share/virtualenvs/news-site-columnist-8tsXn7bh/lib/python3.10/site-packages/gunicorn/workers/sync.py in accept(31)
  self.handle(listener, client, addr)

/home/youser/.local/share/virtualenvs/news-site-columnist-8tsXn7bh/lib/python3.10/site-packages/gunicorn/workers/sync.py in handle(134)
  self.handle_request(listener, req, client, addr)

/home/youser/.local/share/virtualenvs/news-site-columnist-8tsXn7bh/lib/python3.10/site-packages/gunicorn/workers/sync.py in handle_request(177)
  respiter = self.wsgi(environ, resp.start_response)

/home/youser/.local/share/virtualenvs/news-site-columnist-8tsXn7bh/lib/python3.10/site-packages/sentry_sdk/utils.py in runner(1864)
  return sentry_patched_function(*args, **kwargs)

/home/youser/.local/share/virtualenvs/news-site-columnist-8tsXn7bh/lib/python3.10/site-packages/sentry_sdk/integrations/django/__init__.py in sentry_patched_wsgi_handler(191)
  return middleware(environ, start_response)

/home/youser/.local/share/virtualenvs/news-site-columnist-8tsXn7bh/lib/python3.10/site-packages/sentry_sdk/integrations/wsgi.py in __call__(132)
  response = self.app(

/home/youser/.local/share/virtualenvs/news-site-columnist-8tsXn7bh/lib/python3.10/site-packages/sentry_sdk/integrations/django/__init__.py in sentry_patched_get_response(478)
  rv = old_get_response(self, request)

/home/youser/.local/share/virtualenvs/news-site-columnist-8tsXn7bh/lib/python3.10/site-packages/sentry_sdk/integrations/django/middleware.py in __call__(177)
  return f(*args, **kwargs)

/home/youser/.local/share/virtualenvs/news-site-columnist-8tsXn7bh/lib/python3.10/site-packages/sentry_sdk/integrations/django/middleware.py in __call__(177)
  return f(*args, **kwargs)

/var/www/news-site-columnist/redirects/middleware/redirect_middleware.py in __call__(17)
  return self.get_response(request)

/home/youser/.local/share/virtualenvs/news-site-columnist-8tsXn7bh/lib/python3.10/site-packages/sentry_sdk/integrations/django/middleware.py in __call__(177)
  return f(*args, **kwargs)

/home/youser/.local/share/virtualenvs/news-site-columnist-8tsXn7bh/lib/python3.10/site-packages/sentry_sdk/integrations/django/middleware.py in __call__(177)
  return f(*args, **kwargs)

/home/youser/.local/share/virtualenvs/news-site-columnist-8tsXn7bh/lib/python3.10/site-packages/sentry_sdk/integrations/django/middleware.py in __call__(177)
  return f(*args, **kwargs)

/home/youser/.local/share/virtualenvs/news-site-columnist-8tsXn7bh/lib/python3.10/site-packages/sentry_sdk/integrations/django/middleware.py in __call__(177)
  return f(*args, **kwargs)

/home/youser/.local/share/virtualenvs/news-site-columnist-8tsXn7bh/lib/python3.10/site-packages/corsheaders/middleware.py in __call__(53)
  result = self.get_response(request)

/home/youser/.local/share/virtualenvs/news-site-columnist-8tsXn7bh/lib/python3.10/site-packages/sentry_sdk/integrations/django/middleware.py in __call__(177)
  return f(*args, **kwargs)

/home/youser/.local/share/virtualenvs/news-site-columnist-8tsXn7bh/lib/python3.10/site-packages/django_user_agents/middleware.py in __call__(14)
  return self.get_response(request)

/home/youser/.local/share/virtualenvs/news-site-columnist-8tsXn7bh/lib/python3.10/site-packages/sentry_sdk/integrations/django/middleware.py in __call__(177)
  return f(*args, **kwargs)

/home/youser/.local/share/virtualenvs/news-site-columnist-8tsXn7bh/lib/python3.10/site-packages/sentry_sdk/integrations/django/middleware.py in __call__(177)
  return f(*args, **kwargs)

/home/youser/.local/share/virtualenvs/news-site-columnist-8tsXn7bh/lib/python3.10/site-packages/sentry_sdk/integrations/django/middleware.py in __call__(177)
  return f(*args, **kwargs)

/home/youser/.local/share/virtualenvs/news-site-columnist-8tsXn7bh/lib/python3.10/site-packages/sentry_sdk/integrations/django/middleware.py in __call__(177)
  return f(*args, **kwargs)

/home/youser/.local/share/virtualenvs/news-site-columnist-8tsXn7bh/lib/python3.10/site-packages/sentry_sdk/integrations/django/middleware.py in __call__(177)
  return f(*args, **kwargs)

/home/youser/.local/share/virtualenvs/news-site-columnist-8tsXn7bh/lib/python3.10/site-packages/sentry_sdk/integrations/django/middleware.py in __call__(177)
  return f(*args, **kwargs)

/home/youser/.local/share/virtualenvs/news-site-columnist-8tsXn7bh/lib/python3.10/site-packages/sentry_sdk/integrations/django/middleware.py in __call__(177)
  return f(*args, **kwargs)

/home/youser/.local/share/virtualenvs/news-site-columnist-8tsXn7bh/lib/python3.10/site-packages/sentry_sdk/integrations/django/middleware.py in __call__(177)
  return f(*args, **kwargs)

/var/www/news-site-columnist/news/middleware/subdomain_middleare.py in __call__(22)
  response = self.get_response(request)

/home/youser/.local/share/virtualenvs/news-site-columnist-8tsXn7bh/lib/python3.10/site-packages/sentry_sdk/integrations/django/views.py in sentry_wrapped_callback(94)
  return callback(request, *args, **kwargs)

/var/www/news-site-columnist/news/views/post.py in subdomain_view_post(923)
  return GetPost.as_view()(

/home/youser/.local/share/virtualenvs/news-site-columnist-8tsXn7bh/lib/python3.10/site-packages/django/views/generic/base.py in view(104)
  return self.dispatch(request, *args, **kwargs)

/home/youser/.local/share/virtualenvs/news-site-columnist-8tsXn7bh/lib/python3.10/site-packages/django/views/generic/base.py in dispatch(143)
  return handler(request, *args, **kwargs)

/var/www/news-site-columnist/news/views/post.py in get(187)
  return super().get(request, *args, **kwargs)

/var/www/news-site-columnist/news/views/base.py in get(155)
  return super().get(request, *args, **kwargs)

/var/www/news-site-columnist/news/views/base.py in get(182)
  resp = super().get(request, *args, **kwargs)

/home/youser/.local/share/virtualenvs/news-site-columnist-8tsXn7bh/lib/python3.10/site-packages/django/views/generic/detail.py in get(109)
  context = self.get_context_data(object=self.object)

/var/www/news-site-columnist/news/views/post.py in get_context_data(148)
  data["tlp"] = get_telegram_link_replacement()

/var/www/news-site-columnist/news/utils.py in get_telegram_link_replacement(148)
  return Post.objects.get(id=tlp.post_id)

/home/youser/.local/share/virtualenvs/news-site-columnist-8tsXn7bh/lib/python3.10/site-packages/polymorphic/query.py in _polymorphic_iterator(57)
  o = next(base_iter)

SELECT "post"."created_at",
       "post"."seo_title",
       "post"."seo_title_uk",
       "post"."seo_title_en",
       "post"."seo_title_ru",
       "post"."seo_description",
       "post"."seo_description_uk",
       "post"."seo_description_en",
       "post"."seo_description_ru",
       "post"."seo_keywords",
       "post"."seo_keywords_uk",
       "post"."seo_keywords_en",
       "post"."seo_keywords_ru",
       "post"."seo_header_one",
       "post"."seo_header_one_uk",
       "post"."seo_header_one_en",
       "post"."seo_header_one_ru",
       "post"."created_by",
       "post"."updated_by",
       "post"."polymorphic_ctype_id",
       "post"."id",
       "post"."head",
       "post"."head_uk",
       "post"."head_en",
       "post"."head_ru",
       "post"."sub_head",
       "post"."sub_head_uk",
       "post"."sub_head_en",
       "post"."sub_head_ru",
       "post"."content",
       "post"."content_uk",
       "post"."content_en",
       "post"."content_ru",
       "post"."author_id",
       "post"."seo_tag_id",
       "post"."publish_at",
       "post"."translated_at",
       "post"."updated_at",
       "post"."show_updated_at",
       "post"."slug",
       "post"."slug_uk",
       "post"."slug_en",
       "post"."slug_ru",
       "post"."aplication_type",
       "post"."last_editor_id",
       "post"."status",
       "post"."show_at_homepage",
       "post"."show_at_news_feed",
       "post"."show_on_broadcast_page",
       "post"."is_category_top",
       "post"."is_homepage_top",
       "post"."is_homepage_top_uk",
       "post"."is_homepage_top_en",
       "post"."is_homepage_top_ru",
       "post"."id_sponsored",
       "post"."is_lightning",
       "post"."is_exclusive",
       "post"."is_photo_report",
       "post"."is_post",
       "post"."is_article",
       "post"."main_page_img_full_width",
       "post"."need_hires",
       "post"."has_photo",
       "post"."has_video",
       "post"."is_editors_choise",
       "post"."show_in_sidebar",
       "post"."category_id",
       "post"."old_category_id",
       "post"."past_region",
       "post"."year_of_war",
       "post"."breaking_news",
       "post"."without_img",
       "post"."show_stories_block",
       "post"."display_type",
       "post"."image",
       "post"."image_alt",
       "post"."image_alt_uk",
       "post"."image_alt_en",
       "post"."image_alt_ru",
       "post"."seo_image",
       "post"."text_under_image",
       "post"."text_under_image_uk",
       "post"."text_under_image_en",
       "post"."text_under_image_ru",
       "post"."image_source",
       "post"."image_source_uk",
       "post"."image_source_en",
       "post"."image_source_ru",
       "post"."theme_id",
       "post"."is_nofollow_disabled",
       "post"."audio_content_id",
       "post"."audio_content_uk_id",
       "post"."audio_content_en_id",
       "post"."audio_content_ru_id",
       "post"."views",
       "post"."views_uk",
       "post"."views_ru",
       "post"."views_analytics",
       "post"."views_analytics_ru",
       "post"."views_analytics_uk",
       "post"."views_analytics_at",
       "post"."busy_by_id",
       "post"."image_editor_id",
       "post"."release_editor_id",
       "post"."special_type",
       "post"."head_longer_than_100",
       "post"."uk_has_translation",
       "post"."ru_has_translation",
       "post"."en_has_translation",
       "post"."homepage_slider_text",
       "post"."homepage_slider_text_uk",
       "post"."homepage_slider_text_en",
       "post"."homepage_slider_text_ru",
       "news_videopost"."post_ptr_id",
       "news_videopost"."youtube_video_url",
       "news_videopost"."is_most_important",
       "news_videopost"."additional_image",
       "news_videopost"."video_data",
       "news_videopost"."video_project_id",
       "news_videopost"."is_icon_hidden",
       "news_videopost"."is_custom_image"
  FROM "news_videopost"
 INNER JOIN "post"
    ON ("news_videopost"."post_ptr_id" = "post"."id")
 WHERE "news_videopost"."post_ptr_id" IN (259281)
SELECT ••• FROM "news_videopost" INNER JOIN "post" ON ("news_videopost"."post_ptr_id" = "post"."id") WHERE "news_videopost"."post_ptr_id" IN (259281)
3,04

Соединение: default

Статус транзакции: Ожидание

/home/youser/.local/share/virtualenvs/news-site-columnist-8tsXn7bh/bin/gunicorn in <module>(8)
  sys.exit(run())

/home/youser/.local/share/virtualenvs/news-site-columnist-8tsXn7bh/lib/python3.10/site-packages/gunicorn/app/wsgiapp.py in run(66)
  WSGIApplication("%(prog)s [OPTIONS] [APP_MODULE]", prog=prog).run()

/home/youser/.local/share/virtualenvs/news-site-columnist-8tsXn7bh/lib/python3.10/site-packages/gunicorn/app/base.py in run(235)
  super().run()

/home/youser/.local/share/virtualenvs/news-site-columnist-8tsXn7bh/lib/python3.10/site-packages/gunicorn/app/base.py in run(71)
  Arbiter(self).run()

/home/youser/.local/share/virtualenvs/news-site-columnist-8tsXn7bh/lib/python3.10/site-packages/gunicorn/arbiter.py in run(210)
  self.manage_workers()

/home/youser/.local/share/virtualenvs/news-site-columnist-8tsXn7bh/lib/python3.10/site-packages/gunicorn/arbiter.py in manage_workers(570)
  self.spawn_workers()

/home/youser/.local/share/virtualenvs/news-site-columnist-8tsXn7bh/lib/python3.10/site-packages/gunicorn/arbiter.py in spawn_workers(641)
  self.spawn_worker()

/home/youser/.local/share/virtualenvs/news-site-columnist-8tsXn7bh/lib/python3.10/site-packages/gunicorn/arbiter.py in spawn_worker(608)
  worker.init_process()

/home/youser/.local/share/virtualenvs/news-site-columnist-8tsXn7bh/lib/python3.10/site-packages/gunicorn/workers/base.py in init_process(143)
  self.run()

/home/youser/.local/share/virtualenvs/news-site-columnist-8tsXn7bh/lib/python3.10/site-packages/gunicorn/workers/sync.py in run(125)
  self.run_for_one(timeout)

/home/youser/.local/share/virtualenvs/news-site-columnist-8tsXn7bh/lib/python3.10/site-packages/gunicorn/workers/sync.py in run_for_one(69)
  self.accept(listener)

/home/youser/.local/share/virtualenvs/news-site-columnist-8tsXn7bh/lib/python3.10/site-packages/gunicorn/workers/sync.py in accept(31)
  self.handle(listener, client, addr)

/home/youser/.local/share/virtualenvs/news-site-columnist-8tsXn7bh/lib/python3.10/site-packages/gunicorn/workers/sync.py in handle(134)
  self.handle_request(listener, req, client, addr)

/home/youser/.local/share/virtualenvs/news-site-columnist-8tsXn7bh/lib/python3.10/site-packages/gunicorn/workers/sync.py in handle_request(177)
  respiter = self.wsgi(environ, resp.start_response)

/home/youser/.local/share/virtualenvs/news-site-columnist-8tsXn7bh/lib/python3.10/site-packages/sentry_sdk/utils.py in runner(1864)
  return sentry_patched_function(*args, **kwargs)

/home/youser/.local/share/virtualenvs/news-site-columnist-8tsXn7bh/lib/python3.10/site-packages/sentry_sdk/integrations/django/__init__.py in sentry_patched_wsgi_handler(191)
  return middleware(environ, start_response)

/home/youser/.local/share/virtualenvs/news-site-columnist-8tsXn7bh/lib/python3.10/site-packages/sentry_sdk/integrations/wsgi.py in __call__(132)
  response = self.app(

/home/youser/.local/share/virtualenvs/news-site-columnist-8tsXn7bh/lib/python3.10/site-packages/sentry_sdk/integrations/django/__init__.py in sentry_patched_get_response(478)
  rv = old_get_response(self, request)

/home/youser/.local/share/virtualenvs/news-site-columnist-8tsXn7bh/lib/python3.10/site-packages/sentry_sdk/integrations/django/middleware.py in __call__(177)
  return f(*args, **kwargs)

/home/youser/.local/share/virtualenvs/news-site-columnist-8tsXn7bh/lib/python3.10/site-packages/sentry_sdk/integrations/django/middleware.py in __call__(177)
  return f(*args, **kwargs)

/var/www/news-site-columnist/redirects/middleware/redirect_middleware.py in __call__(17)
  return self.get_response(request)

/home/youser/.local/share/virtualenvs/news-site-columnist-8tsXn7bh/lib/python3.10/site-packages/sentry_sdk/integrations/django/middleware.py in __call__(177)
  return f(*args, **kwargs)

/home/youser/.local/share/virtualenvs/news-site-columnist-8tsXn7bh/lib/python3.10/site-packages/sentry_sdk/integrations/django/middleware.py in __call__(177)
  return f(*args, **kwargs)

/home/youser/.local/share/virtualenvs/news-site-columnist-8tsXn7bh/lib/python3.10/site-packages/sentry_sdk/integrations/django/middleware.py in __call__(177)
  return f(*args, **kwargs)

/home/youser/.local/share/virtualenvs/news-site-columnist-8tsXn7bh/lib/python3.10/site-packages/sentry_sdk/integrations/django/middleware.py in __call__(177)
  return f(*args, **kwargs)

/home/youser/.local/share/virtualenvs/news-site-columnist-8tsXn7bh/lib/python3.10/site-packages/corsheaders/middleware.py in __call__(53)
  result = self.get_response(request)

/home/youser/.local/share/virtualenvs/news-site-columnist-8tsXn7bh/lib/python3.10/site-packages/sentry_sdk/integrations/django/middleware.py in __call__(177)
  return f(*args, **kwargs)

/home/youser/.local/share/virtualenvs/news-site-columnist-8tsXn7bh/lib/python3.10/site-packages/django_user_agents/middleware.py in __call__(14)
  return self.get_response(request)

/home/youser/.local/share/virtualenvs/news-site-columnist-8tsXn7bh/lib/python3.10/site-packages/sentry_sdk/integrations/django/middleware.py in __call__(177)
  return f(*args, **kwargs)

/home/youser/.local/share/virtualenvs/news-site-columnist-8tsXn7bh/lib/python3.10/site-packages/sentry_sdk/integrations/django/middleware.py in __call__(177)
  return f(*args, **kwargs)

/home/youser/.local/share/virtualenvs/news-site-columnist-8tsXn7bh/lib/python3.10/site-packages/sentry_sdk/integrations/django/middleware.py in __call__(177)
  return f(*args, **kwargs)

/home/youser/.local/share/virtualenvs/news-site-columnist-8tsXn7bh/lib/python3.10/site-packages/sentry_sdk/integrations/django/middleware.py in __call__(177)
  return f(*args, **kwargs)

/home/youser/.local/share/virtualenvs/news-site-columnist-8tsXn7bh/lib/python3.10/site-packages/sentry_sdk/integrations/django/middleware.py in __call__(177)
  return f(*args, **kwargs)

/home/youser/.local/share/virtualenvs/news-site-columnist-8tsXn7bh/lib/python3.10/site-packages/sentry_sdk/integrations/django/middleware.py in __call__(177)
  return f(*args, **kwargs)

/home/youser/.local/share/virtualenvs/news-site-columnist-8tsXn7bh/lib/python3.10/site-packages/sentry_sdk/integrations/django/middleware.py in __call__(177)
  return f(*args, **kwargs)

/home/youser/.local/share/virtualenvs/news-site-columnist-8tsXn7bh/lib/python3.10/site-packages/sentry_sdk/integrations/django/middleware.py in __call__(177)
  return f(*args, **kwargs)

/var/www/news-site-columnist/news/middleware/subdomain_middleare.py in __call__(22)
  response = self.get_response(request)

/home/youser/.local/share/virtualenvs/news-site-columnist-8tsXn7bh/lib/python3.10/site-packages/sentry_sdk/integrations/django/views.py in sentry_wrapped_callback(94)
  return callback(request, *args, **kwargs)

/var/www/news-site-columnist/news/views/post.py in subdomain_view_post(923)
  return GetPost.as_view()(

/home/youser/.local/share/virtualenvs/news-site-columnist-8tsXn7bh/lib/python3.10/site-packages/django/views/generic/base.py in view(104)
  return self.dispatch(request, *args, **kwargs)

/home/youser/.local/share/virtualenvs/news-site-columnist-8tsXn7bh/lib/python3.10/site-packages/django/views/generic/base.py in dispatch(143)
  return handler(request, *args, **kwargs)

/var/www/news-site-columnist/news/views/post.py in get(187)
  return super().get(request, *args, **kwargs)

/var/www/news-site-columnist/news/views/base.py in get(155)
  return super().get(request, *args, **kwargs)

/var/www/news-site-columnist/news/views/base.py in get(182)
  resp = super().get(request, *args, **kwargs)

/home/youser/.local/share/virtualenvs/news-site-columnist-8tsXn7bh/lib/python3.10/site-packages/django/views/generic/detail.py in get(109)
  context = self.get_context_data(object=self.object)

/var/www/news-site-columnist/news/views/post.py in get_context_data(148)
  data["tlp"] = get_telegram_link_replacement()

/var/www/news-site-columnist/news/utils.py in get_telegram_link_replacement(148)
  return Post.objects.get(id=tlp.post_id)

/home/youser/.local/share/virtualenvs/news-site-columnist-8tsXn7bh/lib/python3.10/site-packages/polymorphic/query.py in _polymorphic_iterator(63)
  real_results = self.queryset._get_real_instances(base_result_objects)

/home/youser/.local/share/virtualenvs/news-site-columnist-8tsXn7bh/lib/python3.10/site-packages/polymorphic/query.py in _get_real_instances(439)
  real_objects_dict = {

SELECT "category"."id",
       "category"."created_at",
       "category"."updated_at",
       "category"."seo_title",
       "category"."seo_title_uk",
       "category"."seo_title_en",
       "category"."seo_title_ru",
       "category"."seo_description",
       "category"."seo_description_uk",
       "category"."seo_description_en",
       "category"."seo_description_ru",
       "category"."seo_keywords",
       "category"."seo_keywords_uk",
       "category"."seo_keywords_en",
       "category"."seo_keywords_ru",
       "category"."seo_header_one",
       "category"."seo_header_one_uk",
       "category"."seo_header_one_en",
       "category"."seo_header_one_ru",
       "category"."seo_news_title",
       "category"."seo_news_title_uk",
       "category"."seo_news_title_en",
       "category"."seo_news_title_ru",
       "category"."seo_news_description",
       "category"."seo_news_description_uk",
       "category"."seo_news_description_en",
       "category"."seo_news_description_ru",
       "category"."subdomain",
       "category"."parent_id",
       "category"."image",
       "category"."is_active",
       "category"."is_rss_active",
       "category"."is_interesting",
       "category"."ticker_rss_active",
       "category"."show_home",
       "category"."show_home_en",
       "category"."show_video",
       "category"."show_menu",
       "category"."show_menu_uk",
       "category"."show_menu_en",
       "category"."show_menu_ru",
       "category"."show_footer",
       "category"."show_menu_in_en",
       "category"."show_footer_in_en",
       "category"."show_in_search",
       "category"."show_in_header",
       "category"."show_in_header_uk",
       "category"."show_in_header_en",
       "category"."show_in_header_ru",
       "category"."seo_tag_id",
       "category"."sort_weight",
       "category"."sort_weight_en",
       "category"."header_sort_weight",
       "category"."header_sort_weight_uk",
       "category"."header_sort_weight_en",
       "category"."header_sort_weight_ru",
       "category"."footer_sort_weight",
       "category"."menu_sort_weight",
       "category"."name",
       "category"."name_uk",
       "category"."name_en",
       "category"."name_ru",
       "category"."slug",
       "category"."description",
       "category"."description_uk",
       "category"."description_en",
       "category"."description_ru",
       "category"."fb_link",
       "category"."tg_link",
       "category"."show_banner",
       "category"."uk_has_translation",
       "category"."ru_has_translation",
       "category"."en_has_translation",
       "category"."has_infinite_scroll",
       "category"."_show_home_without_subdomain",
       "category"."_show_home_without_subdomain_en",
       "category"."background_id",
       "category"."use_old_design",
       "category"."use_old_design_for_posts",
       "category"."is_context_category",
       "category"."show_stories_on_main",
       "category"."show_posts_table_of_contents",
       "category"."svg_icon"
  FROM "category"
 WHERE "category"."id" = 15
 LIMIT 21
SELECT ••• FROM "category" WHERE "category"."id" = 15 LIMIT 21
9 similar queries. Duplicated 3 times.
1,04

Соединение: default

Статус транзакции: Ожидание

/home/youser/.local/share/virtualenvs/news-site-columnist-8tsXn7bh/bin/gunicorn in <module>(8)
  sys.exit(run())

/home/youser/.local/share/virtualenvs/news-site-columnist-8tsXn7bh/lib/python3.10/site-packages/gunicorn/app/wsgiapp.py in run(66)
  WSGIApplication("%(prog)s [OPTIONS] [APP_MODULE]", prog=prog).run()

/home/youser/.local/share/virtualenvs/news-site-columnist-8tsXn7bh/lib/python3.10/site-packages/gunicorn/app/base.py in run(235)
  super().run()

/home/youser/.local/share/virtualenvs/news-site-columnist-8tsXn7bh/lib/python3.10/site-packages/gunicorn/app/base.py in run(71)
  Arbiter(self).run()

/home/youser/.local/share/virtualenvs/news-site-columnist-8tsXn7bh/lib/python3.10/site-packages/gunicorn/arbiter.py in run(210)
  self.manage_workers()

/home/youser/.local/share/virtualenvs/news-site-columnist-8tsXn7bh/lib/python3.10/site-packages/gunicorn/arbiter.py in manage_workers(570)
  self.spawn_workers()

/home/youser/.local/share/virtualenvs/news-site-columnist-8tsXn7bh/lib/python3.10/site-packages/gunicorn/arbiter.py in spawn_workers(641)
  self.spawn_worker()

/home/youser/.local/share/virtualenvs/news-site-columnist-8tsXn7bh/lib/python3.10/site-packages/gunicorn/arbiter.py in spawn_worker(608)
  worker.init_process()

/home/youser/.local/share/virtualenvs/news-site-columnist-8tsXn7bh/lib/python3.10/site-packages/gunicorn/workers/base.py in init_process(143)
  self.run()

/home/youser/.local/share/virtualenvs/news-site-columnist-8tsXn7bh/lib/python3.10/site-packages/gunicorn/workers/sync.py in run(125)
  self.run_for_one(timeout)

/home/youser/.local/share/virtualenvs/news-site-columnist-8tsXn7bh/lib/python3.10/site-packages/gunicorn/workers/sync.py in run_for_one(69)
  self.accept(listener)

/home/youser/.local/share/virtualenvs/news-site-columnist-8tsXn7bh/lib/python3.10/site-packages/gunicorn/workers/sync.py in accept(31)
  self.handle(listener, client, addr)

/home/youser/.local/share/virtualenvs/news-site-columnist-8tsXn7bh/lib/python3.10/site-packages/gunicorn/workers/sync.py in handle(134)
  self.handle_request(listener, req, client, addr)

/home/youser/.local/share/virtualenvs/news-site-columnist-8tsXn7bh/lib/python3.10/site-packages/gunicorn/workers/sync.py in handle_request(177)
  respiter = self.wsgi(environ, resp.start_response)

/home/youser/.local/share/virtualenvs/news-site-columnist-8tsXn7bh/lib/python3.10/site-packages/sentry_sdk/utils.py in runner(1864)
  return sentry_patched_function(*args, **kwargs)

/home/youser/.local/share/virtualenvs/news-site-columnist-8tsXn7bh/lib/python3.10/site-packages/sentry_sdk/integrations/django/__init__.py in sentry_patched_wsgi_handler(191)
  return middleware(environ, start_response)

/home/youser/.local/share/virtualenvs/news-site-columnist-8tsXn7bh/lib/python3.10/site-packages/sentry_sdk/integrations/wsgi.py in __call__(132)
  response = self.app(

/home/youser/.local/share/virtualenvs/news-site-columnist-8tsXn7bh/lib/python3.10/site-packages/sentry_sdk/integrations/django/__init__.py in sentry_patched_get_response(478)
  rv = old_get_response(self, request)

/home/youser/.local/share/virtualenvs/news-site-columnist-8tsXn7bh/lib/python3.10/site-packages/sentry_sdk/integrations/django/middleware.py in __call__(177)
  return f(*args, **kwargs)

/home/youser/.local/share/virtualenvs/news-site-columnist-8tsXn7bh/lib/python3.10/site-packages/sentry_sdk/integrations/django/middleware.py in __call__(177)
  return f(*args, **kwargs)

/var/www/news-site-columnist/redirects/middleware/redirect_middleware.py in __call__(17)
  return self.get_response(request)

/home/youser/.local/share/virtualenvs/news-site-columnist-8tsXn7bh/lib/python3.10/site-packages/sentry_sdk/integrations/django/middleware.py in __call__(177)
  return f(*args, **kwargs)

/home/youser/.local/share/virtualenvs/news-site-columnist-8tsXn7bh/lib/python3.10/site-packages/sentry_sdk/integrations/django/middleware.py in __call__(177)
  return f(*args, **kwargs)

/home/youser/.local/share/virtualenvs/news-site-columnist-8tsXn7bh/lib/python3.10/site-packages/sentry_sdk/integrations/django/middleware.py in __call__(177)
  return f(*args, **kwargs)

/home/youser/.local/share/virtualenvs/news-site-columnist-8tsXn7bh/lib/python3.10/site-packages/sentry_sdk/integrations/django/middleware.py in __call__(177)
  return f(*args, **kwargs)

/home/youser/.local/share/virtualenvs/news-site-columnist-8tsXn7bh/lib/python3.10/site-packages/corsheaders/middleware.py in __call__(53)
  result = self.get_response(request)

/home/youser/.local/share/virtualenvs/news-site-columnist-8tsXn7bh/lib/python3.10/site-packages/sentry_sdk/integrations/django/middleware.py in __call__(177)
  return f(*args, **kwargs)

/home/youser/.local/share/virtualenvs/news-site-columnist-8tsXn7bh/lib/python3.10/site-packages/django_user_agents/middleware.py in __call__(14)
  return self.get_response(request)

/home/youser/.local/share/virtualenvs/news-site-columnist-8tsXn7bh/lib/python3.10/site-packages/sentry_sdk/integrations/django/middleware.py in __call__(177)
  return f(*args, **kwargs)

/home/youser/.local/share/virtualenvs/news-site-columnist-8tsXn7bh/lib/python3.10/site-packages/sentry_sdk/integrations/django/middleware.py in __call__(177)
  return f(*args, **kwargs)

/home/youser/.local/share/virtualenvs/news-site-columnist-8tsXn7bh/lib/python3.10/site-packages/sentry_sdk/integrations/django/middleware.py in __call__(177)
  return f(*args, **kwargs)

/home/youser/.local/share/virtualenvs/news-site-columnist-8tsXn7bh/lib/python3.10/site-packages/sentry_sdk/integrations/django/middleware.py in __call__(177)
  return f(*args, **kwargs)

/home/youser/.local/share/virtualenvs/news-site-columnist-8tsXn7bh/lib/python3.10/site-packages/sentry_sdk/integrations/django/middleware.py in __call__(177)
  return f(*args, **kwargs)

/home/youser/.local/share/virtualenvs/news-site-columnist-8tsXn7bh/lib/python3.10/site-packages/sentry_sdk/integrations/django/middleware.py in __call__(177)
  return f(*args, **kwargs)

/home/youser/.local/share/virtualenvs/news-site-columnist-8tsXn7bh/lib/python3.10/site-packages/sentry_sdk/integrations/django/middleware.py in __call__(177)
  return f(*args, **kwargs)

/home/youser/.local/share/virtualenvs/news-site-columnist-8tsXn7bh/lib/python3.10/site-packages/sentry_sdk/integrations/django/middleware.py in __call__(177)
  return f(*args, **kwargs)

/var/www/news-site-columnist/news/middleware/subdomain_middleare.py in __call__(22)
  response = self.get_response(request)

/home/youser/.local/share/virtualenvs/news-site-columnist-8tsXn7bh/lib/python3.10/site-packages/sentry_sdk/integrations/django/views.py in sentry_wrapped_callback(94)
  return callback(request, *args, **kwargs)

/var/www/news-site-columnist/news/views/post.py in subdomain_view_post(923)
  return GetPost.as_view()(

/home/youser/.local/share/virtualenvs/news-site-columnist-8tsXn7bh/lib/python3.10/site-packages/django/views/generic/base.py in view(104)
  return self.dispatch(request, *args, **kwargs)

/home/youser/.local/share/virtualenvs/news-site-columnist-8tsXn7bh/lib/python3.10/site-packages/django/views/generic/base.py in dispatch(143)
  return handler(request, *args, **kwargs)

/var/www/news-site-columnist/news/views/post.py in get(187)
  return super().get(request, *args, **kwargs)

/var/www/news-site-columnist/news/views/base.py in get(155)
  return super().get(request, *args, **kwargs)

/var/www/news-site-columnist/news/views/base.py in get(182)
  resp = super().get(request, *args, **kwargs)

/home/youser/.local/share/virtualenvs/news-site-columnist-8tsXn7bh/lib/python3.10/site-packages/django/views/generic/detail.py in get(109)
  context = self.get_context_data(object=self.object)

/var/www/news-site-columnist/news/views/post.py in get_context_data(150)
  data['use_old_design'] = post.category.use_old_design_for_posts if post.category else False

SELECT "author"."id",
       "author"."created_at",
       "author"."updated_at",
       "author"."created_by",
       "author"."updated_by",
       "author"."name",
       "author"."name_uk",
       "author"."name_en",
       "author"."name_ru",
       "author"."slug",
       "author"."sort_weight",
       "author"."facebook_url",
       "author"."linked_in_url",
       "author"."instagram_url",
       "author"."rss_url",
       "author"."is_columnist",
       "author"."show_check_mark",
       "author"."gender",
       "author"."is_active",
       "author"."is_chief",
       "author"."is_chief_deputy",
       "author"."image",
       "author"."description",
       "author"."description_uk",
       "author"."description_en",
       "author"."description_ru",
       "author"."show_at_redaction_page",
       "author"."redaction_region",
       "author"."position",
       "author"."position_uk",
       "author"."position_en",
       "author"."position_ru",
       "author"."seo_title",
       "author"."seo_title_uk",
       "author"."seo_title_en",
       "author"."seo_title_ru",
       "author"."seo_description",
       "author"."seo_description_uk",
       "author"."seo_description_en",
       "author"."seo_description_ru"
  FROM "author"
 WHERE "author"."id" = 39
 LIMIT 21
SELECT ••• FROM "author" WHERE "author"."id" = 39 LIMIT 21
2 similar queries. Duplicated 2 times.
1,77

Соединение: default

Статус транзакции: Ожидание

/home/youser/.local/share/virtualenvs/news-site-columnist-8tsXn7bh/bin/gunicorn in <module>(8)
  sys.exit(run())

/home/youser/.local/share/virtualenvs/news-site-columnist-8tsXn7bh/lib/python3.10/site-packages/gunicorn/app/wsgiapp.py in run(66)
  WSGIApplication("%(prog)s [OPTIONS] [APP_MODULE]", prog=prog).run()

/home/youser/.local/share/virtualenvs/news-site-columnist-8tsXn7bh/lib/python3.10/site-packages/gunicorn/app/base.py in run(235)
  super().run()

/home/youser/.local/share/virtualenvs/news-site-columnist-8tsXn7bh/lib/python3.10/site-packages/gunicorn/app/base.py in run(71)
  Arbiter(self).run()

/home/youser/.local/share/virtualenvs/news-site-columnist-8tsXn7bh/lib/python3.10/site-packages/gunicorn/arbiter.py in run(210)
  self.manage_workers()

/home/youser/.local/share/virtualenvs/news-site-columnist-8tsXn7bh/lib/python3.10/site-packages/gunicorn/arbiter.py in manage_workers(570)
  self.spawn_workers()

/home/youser/.local/share/virtualenvs/news-site-columnist-8tsXn7bh/lib/python3.10/site-packages/gunicorn/arbiter.py in spawn_workers(641)
  self.spawn_worker()

/home/youser/.local/share/virtualenvs/news-site-columnist-8tsXn7bh/lib/python3.10/site-packages/gunicorn/arbiter.py in spawn_worker(608)
  worker.init_process()

/home/youser/.local/share/virtualenvs/news-site-columnist-8tsXn7bh/lib/python3.10/site-packages/gunicorn/workers/base.py in init_process(143)
  self.run()

/home/youser/.local/share/virtualenvs/news-site-columnist-8tsXn7bh/lib/python3.10/site-packages/gunicorn/workers/sync.py in run(125)
  self.run_for_one(timeout)

/home/youser/.local/share/virtualenvs/news-site-columnist-8tsXn7bh/lib/python3.10/site-packages/gunicorn/workers/sync.py in run_for_one(69)
  self.accept(listener)

/home/youser/.local/share/virtualenvs/news-site-columnist-8tsXn7bh/lib/python3.10/site-packages/gunicorn/workers/sync.py in accept(31)
  self.handle(listener, client, addr)

/home/youser/.local/share/virtualenvs/news-site-columnist-8tsXn7bh/lib/python3.10/site-packages/gunicorn/workers/sync.py in handle(134)
  self.handle_request(listener, req, client, addr)

/home/youser/.local/share/virtualenvs/news-site-columnist-8tsXn7bh/lib/python3.10/site-packages/gunicorn/workers/sync.py in handle_request(177)
  respiter = self.wsgi(environ, resp.start_response)

/home/youser/.local/share/virtualenvs/news-site-columnist-8tsXn7bh/lib/python3.10/site-packages/sentry_sdk/utils.py in runner(1864)
  return sentry_patched_function(*args, **kwargs)

/home/youser/.local/share/virtualenvs/news-site-columnist-8tsXn7bh/lib/python3.10/site-packages/sentry_sdk/integrations/django/__init__.py in sentry_patched_wsgi_handler(191)
  return middleware(environ, start_response)

/home/youser/.local/share/virtualenvs/news-site-columnist-8tsXn7bh/lib/python3.10/site-packages/sentry_sdk/integrations/wsgi.py in __call__(132)
  response = self.app(

/home/youser/.local/share/virtualenvs/news-site-columnist-8tsXn7bh/lib/python3.10/site-packages/sentry_sdk/integrations/django/__init__.py in sentry_patched_get_response(478)
  rv = old_get_response(self, request)

/home/youser/.local/share/virtualenvs/news-site-columnist-8tsXn7bh/lib/python3.10/site-packages/sentry_sdk/integrations/django/middleware.py in __call__(177)
  return f(*args, **kwargs)

/home/youser/.local/share/virtualenvs/news-site-columnist-8tsXn7bh/lib/python3.10/site-packages/sentry_sdk/integrations/django/middleware.py in __call__(177)
  return f(*args, **kwargs)

/var/www/news-site-columnist/redirects/middleware/redirect_middleware.py in __call__(17)
  return self.get_response(request)

/home/youser/.local/share/virtualenvs/news-site-columnist-8tsXn7bh/lib/python3.10/site-packages/sentry_sdk/integrations/django/middleware.py in __call__(177)
  return f(*args, **kwargs)

/home/youser/.local/share/virtualenvs/news-site-columnist-8tsXn7bh/lib/python3.10/site-packages/sentry_sdk/integrations/django/middleware.py in __call__(177)
  return f(*args, **kwargs)

/home/youser/.local/share/virtualenvs/news-site-columnist-8tsXn7bh/lib/python3.10/site-packages/sentry_sdk/integrations/django/middleware.py in __call__(177)
  return f(*args, **kwargs)

/home/youser/.local/share/virtualenvs/news-site-columnist-8tsXn7bh/lib/python3.10/site-packages/sentry_sdk/integrations/django/middleware.py in __call__(177)
  return f(*args, **kwargs)

/home/youser/.local/share/virtualenvs/news-site-columnist-8tsXn7bh/lib/python3.10/site-packages/corsheaders/middleware.py in __call__(53)
  result = self.get_response(request)

/home/youser/.local/share/virtualenvs/news-site-columnist-8tsXn7bh/lib/python3.10/site-packages/sentry_sdk/integrations/django/middleware.py in __call__(177)
  return f(*args, **kwargs)

/home/youser/.local/share/virtualenvs/news-site-columnist-8tsXn7bh/lib/python3.10/site-packages/django_user_agents/middleware.py in __call__(14)
  return self.get_response(request)

/home/youser/.local/share/virtualenvs/news-site-columnist-8tsXn7bh/lib/python3.10/site-packages/sentry_sdk/integrations/django/middleware.py in __call__(177)
  return f(*args, **kwargs)

/home/youser/.local/share/virtualenvs/news-site-columnist-8tsXn7bh/lib/python3.10/site-packages/sentry_sdk/integrations/django/middleware.py in __call__(177)
  return f(*args, **kwargs)

/home/youser/.local/share/virtualenvs/news-site-columnist-8tsXn7bh/lib/python3.10/site-packages/sentry_sdk/integrations/django/middleware.py in __call__(177)
  return f(*args, **kwargs)

/home/youser/.local/share/virtualenvs/news-site-columnist-8tsXn7bh/lib/python3.10/site-packages/sentry_sdk/integrations/django/middleware.py in __call__(177)
  return f(*args, **kwargs)

/home/youser/.local/share/virtualenvs/news-site-columnist-8tsXn7bh/lib/python3.10/site-packages/sentry_sdk/integrations/django/middleware.py in __call__(177)
  return f(*args, **kwargs)

/home/youser/.local/share/virtualenvs/news-site-columnist-8tsXn7bh/lib/python3.10/site-packages/sentry_sdk/integrations/django/middleware.py in __call__(177)
  return f(*args, **kwargs)

/home/youser/.local/share/virtualenvs/news-site-columnist-8tsXn7bh/lib/python3.10/site-packages/sentry_sdk/integrations/django/middleware.py in __call__(177)
  return f(*args, **kwargs)

/home/youser/.local/share/virtualenvs/news-site-columnist-8tsXn7bh/lib/python3.10/site-packages/sentry_sdk/integrations/django/middleware.py in __call__(177)
  return f(*args, **kwargs)

/var/www/news-site-columnist/news/middleware/subdomain_middleare.py in __call__(22)
  response = self.get_response(request)

/home/youser/.local/share/virtualenvs/news-site-columnist-8tsXn7bh/lib/python3.10/site-packages/sentry_sdk/integrations/django/views.py in sentry_wrapped_callback(94)
  return callback(request, *args, **kwargs)

/var/www/news-site-columnist/news/views/post.py in subdomain_view_post(923)
  return GetPost.as_view()(

/home/youser/.local/share/virtualenvs/news-site-columnist-8tsXn7bh/lib/python3.10/site-packages/django/views/generic/base.py in view(104)
  return self.dispatch(request, *args, **kwargs)

/home/youser/.local/share/virtualenvs/news-site-columnist-8tsXn7bh/lib/python3.10/site-packages/django/views/generic/base.py in dispatch(143)
  return handler(request, *args, **kwargs)

/var/www/news-site-columnist/news/views/post.py in get(187)
  return super().get(request, *args, **kwargs)

/var/www/news-site-columnist/news/views/base.py in get(155)
  return super().get(request, *args, **kwargs)

/var/www/news-site-columnist/news/views/base.py in get(182)
  resp = super().get(request, *args, **kwargs)

/home/youser/.local/share/virtualenvs/news-site-columnist-8tsXn7bh/lib/python3.10/site-packages/django/views/generic/detail.py in get(109)
  context = self.get_context_data(object=self.object)

/var/www/news-site-columnist/news/views/post.py in get_context_data(154)
  if post.author:

SELECT "users_user"."id",
       "users_user"."password",
       "users_user"."last_login",
       "users_user"."is_superuser",
       "users_user"."first_name",
       "users_user"."last_name",
       "users_user"."is_staff",
       "users_user"."is_active",
       "users_user"."date_joined",
       "users_user"."created_at",
       "users_user"."updated_at",
       "users_user"."created_by",
       "users_user"."updated_by",
       "users_user"."full_name",
       "users_user"."email",
       "users_user"."news_author_id",
       "users_user"."freelancer",
       "users_user"."username",
       "users_user"."can_translate_to_english"
  FROM "users_user"
 WHERE "users_user"."news_author_id" = 39
 LIMIT 21
SELECT ••• FROM "users_user" WHERE "users_user"."news_author_id" = 39 LIMIT 21
1,35

Соединение: default

Статус транзакции: Ожидание

/home/youser/.local/share/virtualenvs/news-site-columnist-8tsXn7bh/bin/gunicorn in <module>(8)
  sys.exit(run())

/home/youser/.local/share/virtualenvs/news-site-columnist-8tsXn7bh/lib/python3.10/site-packages/gunicorn/app/wsgiapp.py in run(66)
  WSGIApplication("%(prog)s [OPTIONS] [APP_MODULE]", prog=prog).run()

/home/youser/.local/share/virtualenvs/news-site-columnist-8tsXn7bh/lib/python3.10/site-packages/gunicorn/app/base.py in run(235)
  super().run()

/home/youser/.local/share/virtualenvs/news-site-columnist-8tsXn7bh/lib/python3.10/site-packages/gunicorn/app/base.py in run(71)
  Arbiter(self).run()

/home/youser/.local/share/virtualenvs/news-site-columnist-8tsXn7bh/lib/python3.10/site-packages/gunicorn/arbiter.py in run(210)
  self.manage_workers()

/home/youser/.local/share/virtualenvs/news-site-columnist-8tsXn7bh/lib/python3.10/site-packages/gunicorn/arbiter.py in manage_workers(570)
  self.spawn_workers()

/home/youser/.local/share/virtualenvs/news-site-columnist-8tsXn7bh/lib/python3.10/site-packages/gunicorn/arbiter.py in spawn_workers(641)
  self.spawn_worker()

/home/youser/.local/share/virtualenvs/news-site-columnist-8tsXn7bh/lib/python3.10/site-packages/gunicorn/arbiter.py in spawn_worker(608)
  worker.init_process()

/home/youser/.local/share/virtualenvs/news-site-columnist-8tsXn7bh/lib/python3.10/site-packages/gunicorn/workers/base.py in init_process(143)
  self.run()

/home/youser/.local/share/virtualenvs/news-site-columnist-8tsXn7bh/lib/python3.10/site-packages/gunicorn/workers/sync.py in run(125)
  self.run_for_one(timeout)

/home/youser/.local/share/virtualenvs/news-site-columnist-8tsXn7bh/lib/python3.10/site-packages/gunicorn/workers/sync.py in run_for_one(69)
  self.accept(listener)

/home/youser/.local/share/virtualenvs/news-site-columnist-8tsXn7bh/lib/python3.10/site-packages/gunicorn/workers/sync.py in accept(31)
  self.handle(listener, client, addr)

/home/youser/.local/share/virtualenvs/news-site-columnist-8tsXn7bh/lib/python3.10/site-packages/gunicorn/workers/sync.py in handle(134)
  self.handle_request(listener, req, client, addr)

/home/youser/.local/share/virtualenvs/news-site-columnist-8tsXn7bh/lib/python3.10/site-packages/gunicorn/workers/sync.py in handle_request(177)
  respiter = self.wsgi(environ, resp.start_response)

/home/youser/.local/share/virtualenvs/news-site-columnist-8tsXn7bh/lib/python3.10/site-packages/sentry_sdk/utils.py in runner(1864)
  return sentry_patched_function(*args, **kwargs)

/home/youser/.local/share/virtualenvs/news-site-columnist-8tsXn7bh/lib/python3.10/site-packages/sentry_sdk/integrations/django/__init__.py in sentry_patched_wsgi_handler(191)
  return middleware(environ, start_response)

/home/youser/.local/share/virtualenvs/news-site-columnist-8tsXn7bh/lib/python3.10/site-packages/sentry_sdk/integrations/wsgi.py in __call__(132)
  response = self.app(

/home/youser/.local/share/virtualenvs/news-site-columnist-8tsXn7bh/lib/python3.10/site-packages/sentry_sdk/integrations/django/__init__.py in sentry_patched_get_response(478)
  rv = old_get_response(self, request)

/home/youser/.local/share/virtualenvs/news-site-columnist-8tsXn7bh/lib/python3.10/site-packages/sentry_sdk/integrations/django/middleware.py in __call__(177)
  return f(*args, **kwargs)

/home/youser/.local/share/virtualenvs/news-site-columnist-8tsXn7bh/lib/python3.10/site-packages/sentry_sdk/integrations/django/middleware.py in __call__(177)
  return f(*args, **kwargs)

/var/www/news-site-columnist/redirects/middleware/redirect_middleware.py in __call__(17)
  return self.get_response(request)

/home/youser/.local/share/virtualenvs/news-site-columnist-8tsXn7bh/lib/python3.10/site-packages/sentry_sdk/integrations/django/middleware.py in __call__(177)
  return f(*args, **kwargs)

/home/youser/.local/share/virtualenvs/news-site-columnist-8tsXn7bh/lib/python3.10/site-packages/sentry_sdk/integrations/django/middleware.py in __call__(177)
  return f(*args, **kwargs)

/home/youser/.local/share/virtualenvs/news-site-columnist-8tsXn7bh/lib/python3.10/site-packages/sentry_sdk/integrations/django/middleware.py in __call__(177)
  return f(*args, **kwargs)

/home/youser/.local/share/virtualenvs/news-site-columnist-8tsXn7bh/lib/python3.10/site-packages/sentry_sdk/integrations/django/middleware.py in __call__(177)
  return f(*args, **kwargs)

/home/youser/.local/share/virtualenvs/news-site-columnist-8tsXn7bh/lib/python3.10/site-packages/corsheaders/middleware.py in __call__(53)
  result = self.get_response(request)

/home/youser/.local/share/virtualenvs/news-site-columnist-8tsXn7bh/lib/python3.10/site-packages/sentry_sdk/integrations/django/middleware.py in __call__(177)
  return f(*args, **kwargs)

/home/youser/.local/share/virtualenvs/news-site-columnist-8tsXn7bh/lib/python3.10/site-packages/django_user_agents/middleware.py in __call__(14)
  return self.get_response(request)

/home/youser/.local/share/virtualenvs/news-site-columnist-8tsXn7bh/lib/python3.10/site-packages/sentry_sdk/integrations/django/middleware.py in __call__(177)
  return f(*args, **kwargs)

/home/youser/.local/share/virtualenvs/news-site-columnist-8tsXn7bh/lib/python3.10/site-packages/sentry_sdk/integrations/django/middleware.py in __call__(177)
  return f(*args, **kwargs)

/home/youser/.local/share/virtualenvs/news-site-columnist-8tsXn7bh/lib/python3.10/site-packages/sentry_sdk/integrations/django/middleware.py in __call__(177)
  return f(*args, **kwargs)

/home/youser/.local/share/virtualenvs/news-site-columnist-8tsXn7bh/lib/python3.10/site-packages/sentry_sdk/integrations/django/middleware.py in __call__(177)
  return f(*args, **kwargs)

/home/youser/.local/share/virtualenvs/news-site-columnist-8tsXn7bh/lib/python3.10/site-packages/sentry_sdk/integrations/django/middleware.py in __call__(177)
  return f(*args, **kwargs)

/home/youser/.local/share/virtualenvs/news-site-columnist-8tsXn7bh/lib/python3.10/site-packages/sentry_sdk/integrations/django/middleware.py in __call__(177)
  return f(*args, **kwargs)

/home/youser/.local/share/virtualenvs/news-site-columnist-8tsXn7bh/lib/python3.10/site-packages/sentry_sdk/integrations/django/middleware.py in __call__(177)
  return f(*args, **kwargs)

/home/youser/.local/share/virtualenvs/news-site-columnist-8tsXn7bh/lib/python3.10/site-packages/sentry_sdk/integrations/django/middleware.py in __call__(177)
  return f(*args, **kwargs)

/var/www/news-site-columnist/news/middleware/subdomain_middleare.py in __call__(22)
  response = self.get_response(request)

/home/youser/.local/share/virtualenvs/news-site-columnist-8tsXn7bh/lib/python3.10/site-packages/sentry_sdk/integrations/django/views.py in sentry_wrapped_callback(94)
  return callback(request, *args, **kwargs)

/var/www/news-site-columnist/news/views/post.py in subdomain_view_post(923)
  return GetPost.as_view()(

/home/youser/.local/share/virtualenvs/news-site-columnist-8tsXn7bh/lib/python3.10/site-packages/django/views/generic/base.py in view(104)
  return self.dispatch(request, *args, **kwargs)

/home/youser/.local/share/virtualenvs/news-site-columnist-8tsXn7bh/lib/python3.10/site-packages/django/views/generic/base.py in dispatch(143)
  return handler(request, *args, **kwargs)

/var/www/news-site-columnist/news/views/post.py in get(187)
  return super().get(request, *args, **kwargs)

/var/www/news-site-columnist/news/views/base.py in get(155)
  return super().get(request, *args, **kwargs)

/var/www/news-site-columnist/news/views/base.py in get(182)
  resp = super().get(request, *args, **kwargs)

/home/youser/.local/share/virtualenvs/news-site-columnist-8tsXn7bh/lib/python3.10/site-packages/django/views/generic/detail.py in get(109)
  context = self.get_context_data(object=self.object)

/var/www/news-site-columnist/news/views/post.py in get_context_data(155)
  user = User.objects.get(news_author=post.author.id)

SELECT "post"."created_at",
       "post"."seo_title",
       "post"."seo_title_uk",
       "post"."seo_title_en",
       "post"."seo_title_ru",
       "post"."seo_description",
       "post"."seo_description_uk",
       "post"."seo_description_en",
       "post"."seo_description_ru",
       "post"."seo_keywords",
       "post"."seo_keywords_uk",
       "post"."seo_keywords_en",
       "post"."seo_keywords_ru",
       "post"."seo_header_one",
       "post"."seo_header_one_uk",
       "post"."seo_header_one_en",
       "post"."seo_header_one_ru",
       "post"."created_by",
       "post"."updated_by",
       "post"."polymorphic_ctype_id",
       "post"."id",
       "post"."head",
       "post"."head_uk",
       "post"."head_en",
       "post"."head_ru",
       "post"."sub_head",
       "post"."sub_head_uk",
       "post"."sub_head_en",
       "post"."sub_head_ru",
       "post"."content",
       "post"."content_uk",
       "post"."content_en",
       "post"."content_ru",
       "post"."author_id",
       "post"."seo_tag_id",
       "post"."publish_at",
       "post"."translated_at",
       "post"."updated_at",
       "post"."show_updated_at",
       "post"."slug",
       "post"."slug_uk",
       "post"."slug_en",
       "post"."slug_ru",
       "post"."aplication_type",
       "post"."last_editor_id",
       "post"."status",
       "post"."show_at_homepage",
       "post"."show_at_news_feed",
       "post"."show_on_broadcast_page",
       "post"."is_category_top",
       "post"."is_homepage_top",
       "post"."is_homepage_top_uk",
       "post"."is_homepage_top_en",
       "post"."is_homepage_top_ru",
       "post"."id_sponsored",
       "post"."is_lightning",
       "post"."is_exclusive",
       "post"."is_photo_report",
       "post"."is_post",
       "post"."is_article",
       "post"."main_page_img_full_width",
       "post"."need_hires",
       "post"."has_photo",
       "post"."has_video",
       "post"."is_editors_choise",
       "post"."show_in_sidebar",
       "post"."category_id",
       "post"."old_category_id",
       "post"."past_region",
       "post"."year_of_war",
       "post"."breaking_news",
       "post"."without_img",
       "post"."show_stories_block",
       "post"."display_type",
       "post"."image",
       "post"."image_alt",
       "post"."image_alt_uk",
       "post"."image_alt_en",
       "post"."image_alt_ru",
       "post"."seo_image",
       "post"."text_under_image",
       "post"."text_under_image_uk",
       "post"."text_under_image_en",
       "post"."text_under_image_ru",
       "post"."image_source",
       "post"."image_source_uk",
       "post"."image_source_en",
       "post"."image_source_ru",
       "post"."theme_id",
       "post"."is_nofollow_disabled",
       "post"."audio_content_id",
       "post"."audio_content_uk_id",
       "post"."audio_content_en_id",
       "post"."audio_content_ru_id",
       "post"."views",
       "post"."views_uk",
       "post"."views_ru",
       "post"."views_analytics",
       "post"."views_analytics_ru",
       "post"."views_analytics_uk",
       "post"."views_analytics_at",
       "post"."busy_by_id",
       "post"."image_editor_id",
       "post"."release_editor_id",
       "post"."special_type",
       "post"."head_longer_than_100",
       "post"."uk_has_translation",
       "post"."ru_has_translation",
       "post"."en_has_translation",
       "post"."homepage_slider_text",
       "post"."homepage_slider_text_uk",
       "post"."homepage_slider_text_en",
       "post"."homepage_slider_text_ru"
  FROM "post"
 INNER JOIN "category"
    ON ("post"."category_id" = "category"."id")
 WHERE ("post"."polymorphic_ctype_id" = 4 AND "category"."slug" = 'shou-biznes' AND "post"."id" = 22135 AND "post"."status" = 2 AND "post"."publish_at" <= '2026-02-12T09:55:40.904770+00:00'::timestamptz)
 LIMIT 21
SELECT ••• FROM "post" INNER JOIN "category" ON ("post"."category_id" = "category"."id") WHERE ("post"."polymorphic_ctype_id" = 4 AND "category"."slug" = 'shou-biznes' AND "post"."id" = 22135 AND "post"."status" = 2 AND "post"."publish_at" <= '2026-02-12T09:55:40.904770+00:00'::timestamptz) LIMIT 21
6 similar queries.
1,23

Соединение: default

Статус транзакции: Ожидание

/home/youser/.local/share/virtualenvs/news-site-columnist-8tsXn7bh/bin/gunicorn in <module>(8)
  sys.exit(run())

/home/youser/.local/share/virtualenvs/news-site-columnist-8tsXn7bh/lib/python3.10/site-packages/gunicorn/app/wsgiapp.py in run(66)
  WSGIApplication("%(prog)s [OPTIONS] [APP_MODULE]", prog=prog).run()

/home/youser/.local/share/virtualenvs/news-site-columnist-8tsXn7bh/lib/python3.10/site-packages/gunicorn/app/base.py in run(235)
  super().run()

/home/youser/.local/share/virtualenvs/news-site-columnist-8tsXn7bh/lib/python3.10/site-packages/gunicorn/app/base.py in run(71)
  Arbiter(self).run()

/home/youser/.local/share/virtualenvs/news-site-columnist-8tsXn7bh/lib/python3.10/site-packages/gunicorn/arbiter.py in run(210)
  self.manage_workers()

/home/youser/.local/share/virtualenvs/news-site-columnist-8tsXn7bh/lib/python3.10/site-packages/gunicorn/arbiter.py in manage_workers(570)
  self.spawn_workers()

/home/youser/.local/share/virtualenvs/news-site-columnist-8tsXn7bh/lib/python3.10/site-packages/gunicorn/arbiter.py in spawn_workers(641)
  self.spawn_worker()

/home/youser/.local/share/virtualenvs/news-site-columnist-8tsXn7bh/lib/python3.10/site-packages/gunicorn/arbiter.py in spawn_worker(608)
  worker.init_process()

/home/youser/.local/share/virtualenvs/news-site-columnist-8tsXn7bh/lib/python3.10/site-packages/gunicorn/workers/base.py in init_process(143)
  self.run()

/home/youser/.local/share/virtualenvs/news-site-columnist-8tsXn7bh/lib/python3.10/site-packages/gunicorn/workers/sync.py in run(125)
  self.run_for_one(timeout)

/home/youser/.local/share/virtualenvs/news-site-columnist-8tsXn7bh/lib/python3.10/site-packages/gunicorn/workers/sync.py in run_for_one(69)
  self.accept(listener)

/home/youser/.local/share/virtualenvs/news-site-columnist-8tsXn7bh/lib/python3.10/site-packages/gunicorn/workers/sync.py in accept(31)
  self.handle(listener, client, addr)

/home/youser/.local/share/virtualenvs/news-site-columnist-8tsXn7bh/lib/python3.10/site-packages/gunicorn/workers/sync.py in handle(134)
  self.handle_request(listener, req, client, addr)

/home/youser/.local/share/virtualenvs/news-site-columnist-8tsXn7bh/lib/python3.10/site-packages/gunicorn/workers/sync.py in handle_request(177)
  respiter = self.wsgi(environ, resp.start_response)

/home/youser/.local/share/virtualenvs/news-site-columnist-8tsXn7bh/lib/python3.10/site-packages/sentry_sdk/utils.py in runner(1864)
  return sentry_patched_function(*args, **kwargs)

/home/youser/.local/share/virtualenvs/news-site-columnist-8tsXn7bh/lib/python3.10/site-packages/sentry_sdk/integrations/django/__init__.py in sentry_patched_wsgi_handler(191)
  return middleware(environ, start_response)

/home/youser/.local/share/virtualenvs/news-site-columnist-8tsXn7bh/lib/python3.10/site-packages/sentry_sdk/integrations/wsgi.py in __call__(132)
  response = self.app(

/home/youser/.local/share/virtualenvs/news-site-columnist-8tsXn7bh/lib/python3.10/site-packages/sentry_sdk/integrations/django/__init__.py in sentry_patched_get_response(478)
  rv = old_get_response(self, request)

/home/youser/.local/share/virtualenvs/news-site-columnist-8tsXn7bh/lib/python3.10/site-packages/sentry_sdk/integrations/django/middleware.py in __call__(177)
  return f(*args, **kwargs)

/home/youser/.local/share/virtualenvs/news-site-columnist-8tsXn7bh/lib/python3.10/site-packages/sentry_sdk/integrations/django/middleware.py in __call__(177)
  return f(*args, **kwargs)

/var/www/news-site-columnist/redirects/middleware/redirect_middleware.py in __call__(17)
  return self.get_response(request)

/home/youser/.local/share/virtualenvs/news-site-columnist-8tsXn7bh/lib/python3.10/site-packages/sentry_sdk/integrations/django/middleware.py in __call__(177)
  return f(*args, **kwargs)

/home/youser/.local/share/virtualenvs/news-site-columnist-8tsXn7bh/lib/python3.10/site-packages/sentry_sdk/integrations/django/middleware.py in __call__(177)
  return f(*args, **kwargs)

/home/youser/.local/share/virtualenvs/news-site-columnist-8tsXn7bh/lib/python3.10/site-packages/sentry_sdk/integrations/django/middleware.py in __call__(177)
  return f(*args, **kwargs)

/home/youser/.local/share/virtualenvs/news-site-columnist-8tsXn7bh/lib/python3.10/site-packages/sentry_sdk/integrations/django/middleware.py in __call__(177)
  return f(*args, **kwargs)

/home/youser/.local/share/virtualenvs/news-site-columnist-8tsXn7bh/lib/python3.10/site-packages/corsheaders/middleware.py in __call__(53)
  result = self.get_response(request)

/home/youser/.local/share/virtualenvs/news-site-columnist-8tsXn7bh/lib/python3.10/site-packages/sentry_sdk/integrations/django/middleware.py in __call__(177)
  return f(*args, **kwargs)

/home/youser/.local/share/virtualenvs/news-site-columnist-8tsXn7bh/lib/python3.10/site-packages/django_user_agents/middleware.py in __call__(14)
  return self.get_response(request)

/home/youser/.local/share/virtualenvs/news-site-columnist-8tsXn7bh/lib/python3.10/site-packages/sentry_sdk/integrations/django/middleware.py in __call__(177)
  return f(*args, **kwargs)

/home/youser/.local/share/virtualenvs/news-site-columnist-8tsXn7bh/lib/python3.10/site-packages/sentry_sdk/integrations/django/middleware.py in __call__(177)
  return f(*args, **kwargs)

/home/youser/.local/share/virtualenvs/news-site-columnist-8tsXn7bh/lib/python3.10/site-packages/sentry_sdk/integrations/django/middleware.py in __call__(177)
  return f(*args, **kwargs)

/home/youser/.local/share/virtualenvs/news-site-columnist-8tsXn7bh/lib/python3.10/site-packages/sentry_sdk/integrations/django/middleware.py in __call__(177)
  return f(*args, **kwargs)

/home/youser/.local/share/virtualenvs/news-site-columnist-8tsXn7bh/lib/python3.10/site-packages/sentry_sdk/integrations/django/middleware.py in __call__(177)
  return f(*args, **kwargs)

/home/youser/.local/share/virtualenvs/news-site-columnist-8tsXn7bh/lib/python3.10/site-packages/sentry_sdk/integrations/django/middleware.py in __call__(177)
  return f(*args, **kwargs)

/home/youser/.local/share/virtualenvs/news-site-columnist-8tsXn7bh/lib/python3.10/site-packages/sentry_sdk/integrations/django/middleware.py in __call__(177)
  return f(*args, **kwargs)

/home/youser/.local/share/virtualenvs/news-site-columnist-8tsXn7bh/lib/python3.10/site-packages/sentry_sdk/integrations/django/middleware.py in __call__(177)
  return f(*args, **kwargs)

/var/www/news-site-columnist/news/middleware/subdomain_middleare.py in __call__(22)
  response = self.get_response(request)

/home/youser/.local/share/virtualenvs/news-site-columnist-8tsXn7bh/lib/python3.10/site-packages/sentry_sdk/integrations/django/views.py in sentry_wrapped_callback(94)
  return callback(request, *args, **kwargs)

/var/www/news-site-columnist/news/views/post.py in subdomain_view_post(923)
  return GetPost.as_view()(

/home/youser/.local/share/virtualenvs/news-site-columnist-8tsXn7bh/lib/python3.10/site-packages/django/views/generic/base.py in view(104)
  return self.dispatch(request, *args, **kwargs)

/home/youser/.local/share/virtualenvs/news-site-columnist-8tsXn7bh/lib/python3.10/site-packages/django/views/generic/base.py in dispatch(143)
  return handler(request, *args, **kwargs)

/var/www/news-site-columnist/news/views/post.py in get(187)
  return super().get(request, *args, **kwargs)

/var/www/news-site-columnist/news/views/base.py in get(155)
  return super().get(request, *args, **kwargs)

/var/www/news-site-columnist/news/views/base.py in get(182)
  resp = super().get(request, *args, **kwargs)

/home/youser/.local/share/virtualenvs/news-site-columnist-8tsXn7bh/lib/python3.10/site-packages/django/views/generic/detail.py in get(110)
  return self.render_to_response(context)

/home/youser/.local/share/virtualenvs/news-site-columnist-8tsXn7bh/lib/python3.10/site-packages/django/views/generic/base.py in render_to_response(200)
  template=self.get_template_names(),

/var/www/news-site-columnist/news/views/post.py in get_template_names(108)
  object = self.get_object()

/var/www/news-site-columnist/news/views/post.py in get_object(120)
  obj = queryset.get()

/home/youser/.local/share/virtualenvs/news-site-columnist-8tsXn7bh/lib/python3.10/site-packages/polymorphic/query.py in _polymorphic_iterator(57)
  o = next(base_iter)

SELECT "category"."id",
       "category"."created_at",
       "category"."updated_at",
       "category"."seo_title",
       "category"."seo_title_uk",
       "category"."seo_title_en",
       "category"."seo_title_ru",
       "category"."seo_description",
       "category"."seo_description_uk",
       "category"."seo_description_en",
       "category"."seo_description_ru",
       "category"."seo_keywords",
       "category"."seo_keywords_uk",
       "category"."seo_keywords_en",
       "category"."seo_keywords_ru",
       "category"."seo_header_one",
       "category"."seo_header_one_uk",
       "category"."seo_header_one_en",
       "category"."seo_header_one_ru",
       "category"."seo_news_title",
       "category"."seo_news_title_uk",
       "category"."seo_news_title_en",
       "category"."seo_news_title_ru",
       "category"."seo_news_description",
       "category"."seo_news_description_uk",
       "category"."seo_news_description_en",
       "category"."seo_news_description_ru",
       "category"."subdomain",
       "category"."parent_id",
       "category"."image",
       "category"."is_active",
       "category"."is_rss_active",
       "category"."is_interesting",
       "category"."ticker_rss_active",
       "category"."show_home",
       "category"."show_home_en",
       "category"."show_video",
       "category"."show_menu",
       "category"."show_menu_uk",
       "category"."show_menu_en",
       "category"."show_menu_ru",
       "category"."show_footer",
       "category"."show_menu_in_en",
       "category"."show_footer_in_en",
       "category"."show_in_search",
       "category"."show_in_header",
       "category"."show_in_header_uk",
       "category"."show_in_header_en",
       "category"."show_in_header_ru",
       "category"."seo_tag_id",
       "category"."sort_weight",
       "category"."sort_weight_en",
       "category"."header_sort_weight",
       "category"."header_sort_weight_uk",
       "category"."header_sort_weight_en",
       "category"."header_sort_weight_ru",
       "category"."footer_sort_weight",
       "category"."menu_sort_weight",
       "category"."name",
       "category"."name_uk",
       "category"."name_en",
       "category"."name_ru",
       "category"."slug",
       "category"."description",
       "category"."description_uk",
       "category"."description_en",
       "category"."description_ru",
       "category"."fb_link",
       "category"."tg_link",
       "category"."show_banner",
       "category"."uk_has_translation",
       "category"."ru_has_translation",
       "category"."en_has_translation",
       "category"."has_infinite_scroll",
       "category"."_show_home_without_subdomain",
       "category"."_show_home_without_subdomain_en",
       "category"."background_id",
       "category"."use_old_design",
       "category"."use_old_design_for_posts",
       "category"."is_context_category",
       "category"."show_stories_on_main",
       "category"."show_posts_table_of_contents",
       "category"."svg_icon"
  FROM "category"
 WHERE "category"."id" = 15
 LIMIT 21
SELECT ••• FROM "category" WHERE "category"."id" = 15 LIMIT 21
9 similar queries. Duplicated 3 times.
0,53

Соединение: default

Статус транзакции: Ожидание

/home/youser/.local/share/virtualenvs/news-site-columnist-8tsXn7bh/bin/gunicorn in <module>(8)
  sys.exit(run())

/home/youser/.local/share/virtualenvs/news-site-columnist-8tsXn7bh/lib/python3.10/site-packages/gunicorn/app/wsgiapp.py in run(66)
  WSGIApplication("%(prog)s [OPTIONS] [APP_MODULE]", prog=prog).run()

/home/youser/.local/share/virtualenvs/news-site-columnist-8tsXn7bh/lib/python3.10/site-packages/gunicorn/app/base.py in run(235)
  super().run()

/home/youser/.local/share/virtualenvs/news-site-columnist-8tsXn7bh/lib/python3.10/site-packages/gunicorn/app/base.py in run(71)
  Arbiter(self).run()

/home/youser/.local/share/virtualenvs/news-site-columnist-8tsXn7bh/lib/python3.10/site-packages/gunicorn/arbiter.py in run(210)
  self.manage_workers()

/home/youser/.local/share/virtualenvs/news-site-columnist-8tsXn7bh/lib/python3.10/site-packages/gunicorn/arbiter.py in manage_workers(570)
  self.spawn_workers()

/home/youser/.local/share/virtualenvs/news-site-columnist-8tsXn7bh/lib/python3.10/site-packages/gunicorn/arbiter.py in spawn_workers(641)
  self.spawn_worker()

/home/youser/.local/share/virtualenvs/news-site-columnist-8tsXn7bh/lib/python3.10/site-packages/gunicorn/arbiter.py in spawn_worker(608)
  worker.init_process()

/home/youser/.local/share/virtualenvs/news-site-columnist-8tsXn7bh/lib/python3.10/site-packages/gunicorn/workers/base.py in init_process(143)
  self.run()

/home/youser/.local/share/virtualenvs/news-site-columnist-8tsXn7bh/lib/python3.10/site-packages/gunicorn/workers/sync.py in run(125)
  self.run_for_one(timeout)

/home/youser/.local/share/virtualenvs/news-site-columnist-8tsXn7bh/lib/python3.10/site-packages/gunicorn/workers/sync.py in run_for_one(69)
  self.accept(listener)

/home/youser/.local/share/virtualenvs/news-site-columnist-8tsXn7bh/lib/python3.10/site-packages/gunicorn/workers/sync.py in accept(31)
  self.handle(listener, client, addr)

/home/youser/.local/share/virtualenvs/news-site-columnist-8tsXn7bh/lib/python3.10/site-packages/gunicorn/workers/sync.py in handle(134)
  self.handle_request(listener, req, client, addr)

/home/youser/.local/share/virtualenvs/news-site-columnist-8tsXn7bh/lib/python3.10/site-packages/gunicorn/workers/sync.py in handle_request(177)
  respiter = self.wsgi(environ, resp.start_response)

/home/youser/.local/share/virtualenvs/news-site-columnist-8tsXn7bh/lib/python3.10/site-packages/sentry_sdk/utils.py in runner(1864)
  return sentry_patched_function(*args, **kwargs)

/home/youser/.local/share/virtualenvs/news-site-columnist-8tsXn7bh/lib/python3.10/site-packages/sentry_sdk/integrations/django/__init__.py in sentry_patched_wsgi_handler(191)
  return middleware(environ, start_response)

/home/youser/.local/share/virtualenvs/news-site-columnist-8tsXn7bh/lib/python3.10/site-packages/sentry_sdk/integrations/wsgi.py in __call__(132)
  response = self.app(

/home/youser/.local/share/virtualenvs/news-site-columnist-8tsXn7bh/lib/python3.10/site-packages/sentry_sdk/integrations/django/__init__.py in sentry_patched_get_response(478)
  rv = old_get_response(self, request)

/home/youser/.local/share/virtualenvs/news-site-columnist-8tsXn7bh/lib/python3.10/site-packages/sentry_sdk/integrations/django/middleware.py in __call__(177)
  return f(*args, **kwargs)

/home/youser/.local/share/virtualenvs/news-site-columnist-8tsXn7bh/lib/python3.10/site-packages/sentry_sdk/integrations/django/middleware.py in __call__(177)
  return f(*args, **kwargs)

/var/www/news-site-columnist/redirects/middleware/redirect_middleware.py in __call__(17)
  return self.get_response(request)

/home/youser/.local/share/virtualenvs/news-site-columnist-8tsXn7bh/lib/python3.10/site-packages/sentry_sdk/integrations/django/middleware.py in __call__(177)
  return f(*args, **kwargs)

/home/youser/.local/share/virtualenvs/news-site-columnist-8tsXn7bh/lib/python3.10/site-packages/sentry_sdk/integrations/django/middleware.py in __call__(177)
  return f(*args, **kwargs)

/home/youser/.local/share/virtualenvs/news-site-columnist-8tsXn7bh/lib/python3.10/site-packages/sentry_sdk/integrations/django/middleware.py in __call__(177)
  return f(*args, **kwargs)

/home/youser/.local/share/virtualenvs/news-site-columnist-8tsXn7bh/lib/python3.10/site-packages/sentry_sdk/integrations/django/middleware.py in __call__(177)
  return f(*args, **kwargs)

/home/youser/.local/share/virtualenvs/news-site-columnist-8tsXn7bh/lib/python3.10/site-packages/corsheaders/middleware.py in __call__(53)
  result = self.get_response(request)

/home/youser/.local/share/virtualenvs/news-site-columnist-8tsXn7bh/lib/python3.10/site-packages/sentry_sdk/integrations/django/middleware.py in __call__(177)
  return f(*args, **kwargs)

/home/youser/.local/share/virtualenvs/news-site-columnist-8tsXn7bh/lib/python3.10/site-packages/django_user_agents/middleware.py in __call__(14)
  return self.get_response(request)

/home/youser/.local/share/virtualenvs/news-site-columnist-8tsXn7bh/lib/python3.10/site-packages/sentry_sdk/integrations/django/middleware.py in __call__(177)
  return f(*args, **kwargs)

/home/youser/.local/share/virtualenvs/news-site-columnist-8tsXn7bh/lib/python3.10/site-packages/sentry_sdk/integrations/django/middleware.py in __call__(177)
  return f(*args, **kwargs)

/home/youser/.local/share/virtualenvs/news-site-columnist-8tsXn7bh/lib/python3.10/site-packages/sentry_sdk/integrations/django/middleware.py in __call__(177)
  return f(*args, **kwargs)

/home/youser/.local/share/virtualenvs/news-site-columnist-8tsXn7bh/lib/python3.10/site-packages/sentry_sdk/integrations/django/middleware.py in __call__(177)
  return f(*args, **kwargs)

/home/youser/.local/share/virtualenvs/news-site-columnist-8tsXn7bh/lib/python3.10/site-packages/sentry_sdk/integrations/django/middleware.py in __call__(177)
  return f(*args, **kwargs)

/home/youser/.local/share/virtualenvs/news-site-columnist-8tsXn7bh/lib/python3.10/site-packages/sentry_sdk/integrations/django/middleware.py in __call__(177)
  return f(*args, **kwargs)

/home/youser/.local/share/virtualenvs/news-site-columnist-8tsXn7bh/lib/python3.10/site-packages/sentry_sdk/integrations/django/middleware.py in __call__(177)
  return f(*args, **kwargs)

/home/youser/.local/share/virtualenvs/news-site-columnist-8tsXn7bh/lib/python3.10/site-packages/sentry_sdk/integrations/django/middleware.py in __call__(177)
  return f(*args, **kwargs)

/var/www/news-site-columnist/news/middleware/subdomain_middleare.py in __call__(22)
  response = self.get_response(request)

/home/youser/.local/share/virtualenvs/news-site-columnist-8tsXn7bh/lib/python3.10/site-packages/sentry_sdk/integrations/django/views.py in sentry_wrapped_callback(94)
  return callback(request, *args, **kwargs)

/var/www/news-site-columnist/news/views/post.py in subdomain_view_post(923)
  return GetPost.as_view()(

/home/youser/.local/share/virtualenvs/news-site-columnist-8tsXn7bh/lib/python3.10/site-packages/django/views/generic/base.py in view(104)
  return self.dispatch(request, *args, **kwargs)

/home/youser/.local/share/virtualenvs/news-site-columnist-8tsXn7bh/lib/python3.10/site-packages/django/views/generic/base.py in dispatch(143)
  return handler(request, *args, **kwargs)

/var/www/news-site-columnist/news/views/post.py in get(187)
  return super().get(request, *args, **kwargs)

/var/www/news-site-columnist/news/views/base.py in get(155)
  return super().get(request, *args, **kwargs)

/var/www/news-site-columnist/news/views/base.py in get(182)
  resp = super().get(request, *args, **kwargs)

/home/youser/.local/share/virtualenvs/news-site-columnist-8tsXn7bh/lib/python3.10/site-packages/django/views/generic/detail.py in get(110)
  return self.render_to_response(context)

/home/youser/.local/share/virtualenvs/news-site-columnist-8tsXn7bh/lib/python3.10/site-packages/django/views/generic/base.py in render_to_response(200)
  template=self.get_template_names(),

/var/www/news-site-columnist/news/views/post.py in get_template_names(109)
  if object.category and object.category.use_old_design_for_posts:

SELECT "category"."id",
       "category"."created_at",
       "category"."updated_at",
       "category"."seo_title",
       "category"."seo_title_uk",
       "category"."seo_title_en",
       "category"."seo_title_ru",
       "category"."seo_description",
       "category"."seo_description_uk",
       "category"."seo_description_en",
       "category"."seo_description_ru",
       "category"."seo_keywords",
       "category"."seo_keywords_uk",
       "category"."seo_keywords_en",
       "category"."seo_keywords_ru",
       "category"."seo_header_one",
       "category"."seo_header_one_uk",
       "category"."seo_header_one_en",
       "category"."seo_header_one_ru",
       "category"."seo_news_title",
       "category"."seo_news_title_uk",
       "category"."seo_news_title_en",
       "category"."seo_news_title_ru",
       "category"."seo_news_description",
       "category"."seo_news_description_uk",
       "category"."seo_news_description_en",
       "category"."seo_news_description_ru",
       "category"."subdomain",
       "category"."parent_id",
       "category"."image",
       "category"."is_active",
       "category"."is_rss_active",
       "category"."is_interesting",
       "category"."ticker_rss_active",
       "category"."show_home",
       "category"."show_home_en",
       "category"."show_video",
       "category"."show_menu",
       "category"."show_menu_uk",
       "category"."show_menu_en",
       "category"."show_menu_ru",
       "category"."show_footer",
       "category"."show_menu_in_en",
       "category"."show_footer_in_en",
       "category"."show_in_search",
       "category"."show_in_header",
       "category"."show_in_header_uk",
       "category"."show_in_header_en",
       "category"."show_in_header_ru",
       "category"."seo_tag_id",
       "category"."sort_weight",
       "category"."sort_weight_en",
       "category"."header_sort_weight",
       "category"."header_sort_weight_uk",
       "category"."header_sort_weight_en",
       "category"."header_sort_weight_ru",
       "category"."footer_sort_weight",
       "category"."menu_sort_weight",
       "category"."name",
       "category"."name_uk",
       "category"."name_en",
       "category"."name_ru",
       "category"."slug",
       "category"."description",
       "category"."description_uk",
       "category"."description_en",
       "category"."description_ru",
       "category"."fb_link",
       "category"."tg_link",
       "category"."show_banner",
       "category"."uk_has_translation",
       "category"."ru_has_translation",
       "category"."en_has_translation",
       "category"."has_infinite_scroll",
       "category"."_show_home_without_subdomain",
       "category"."_show_home_without_subdomain_en",
       "category"."background_id",
       "category"."use_old_design",
       "category"."use_old_design_for_posts",
       "category"."is_context_category",
       "category"."show_stories_on_main",
       "category"."show_posts_table_of_contents",
       "category"."svg_icon"
  FROM "category"
 WHERE "category"."id" = 15
 LIMIT 21
SELECT ••• FROM "category" WHERE "category"."id" = 15 LIMIT 21
9 similar queries. Duplicated 3 times.
0,65

Соединение: default

Статус транзакции: Ожидание

/home/youser/.local/share/virtualenvs/news-site-columnist-8tsXn7bh/bin/gunicorn in <module>(8)
  sys.exit(run())

/home/youser/.local/share/virtualenvs/news-site-columnist-8tsXn7bh/lib/python3.10/site-packages/gunicorn/app/wsgiapp.py in run(66)
  WSGIApplication("%(prog)s [OPTIONS] [APP_MODULE]", prog=prog).run()

/home/youser/.local/share/virtualenvs/news-site-columnist-8tsXn7bh/lib/python3.10/site-packages/gunicorn/app/base.py in run(235)
  super().run()

/home/youser/.local/share/virtualenvs/news-site-columnist-8tsXn7bh/lib/python3.10/site-packages/gunicorn/app/base.py in run(71)
  Arbiter(self).run()

/home/youser/.local/share/virtualenvs/news-site-columnist-8tsXn7bh/lib/python3.10/site-packages/gunicorn/arbiter.py in run(210)
  self.manage_workers()

/home/youser/.local/share/virtualenvs/news-site-columnist-8tsXn7bh/lib/python3.10/site-packages/gunicorn/arbiter.py in manage_workers(570)
  self.spawn_workers()

/home/youser/.local/share/virtualenvs/news-site-columnist-8tsXn7bh/lib/python3.10/site-packages/gunicorn/arbiter.py in spawn_workers(641)
  self.spawn_worker()

/home/youser/.local/share/virtualenvs/news-site-columnist-8tsXn7bh/lib/python3.10/site-packages/gunicorn/arbiter.py in spawn_worker(608)
  worker.init_process()

/home/youser/.local/share/virtualenvs/news-site-columnist-8tsXn7bh/lib/python3.10/site-packages/gunicorn/workers/base.py in init_process(143)
  self.run()

/home/youser/.local/share/virtualenvs/news-site-columnist-8tsXn7bh/lib/python3.10/site-packages/gunicorn/workers/sync.py in run(125)
  self.run_for_one(timeout)

/home/youser/.local/share/virtualenvs/news-site-columnist-8tsXn7bh/lib/python3.10/site-packages/gunicorn/workers/sync.py in run_for_one(69)
  self.accept(listener)

/home/youser/.local/share/virtualenvs/news-site-columnist-8tsXn7bh/lib/python3.10/site-packages/gunicorn/workers/sync.py in accept(31)
  self.handle(listener, client, addr)

/home/youser/.local/share/virtualenvs/news-site-columnist-8tsXn7bh/lib/python3.10/site-packages/gunicorn/workers/sync.py in handle(134)
  self.handle_request(listener, req, client, addr)

/home/youser/.local/share/virtualenvs/news-site-columnist-8tsXn7bh/lib/python3.10/site-packages/gunicorn/workers/sync.py in handle_request(177)
  respiter = self.wsgi(environ, resp.start_response)

/home/youser/.local/share/virtualenvs/news-site-columnist-8tsXn7bh/lib/python3.10/site-packages/sentry_sdk/utils.py in runner(1864)
  return sentry_patched_function(*args, **kwargs)

/home/youser/.local/share/virtualenvs/news-site-columnist-8tsXn7bh/lib/python3.10/site-packages/sentry_sdk/integrations/django/__init__.py in sentry_patched_wsgi_handler(191)
  return middleware(environ, start_response)

/home/youser/.local/share/virtualenvs/news-site-columnist-8tsXn7bh/lib/python3.10/site-packages/sentry_sdk/integrations/wsgi.py in __call__(132)
  response = self.app(

/home/youser/.local/share/virtualenvs/news-site-columnist-8tsXn7bh/lib/python3.10/site-packages/sentry_sdk/integrations/django/__init__.py in sentry_patched_get_response(478)
  rv = old_get_response(self, request)

/home/youser/.local/share/virtualenvs/news-site-columnist-8tsXn7bh/lib/python3.10/site-packages/sentry_sdk/integrations/django/middleware.py in __call__(177)
  return f(*args, **kwargs)

/home/youser/.local/share/virtualenvs/news-site-columnist-8tsXn7bh/lib/python3.10/site-packages/sentry_sdk/integrations/django/middleware.py in __call__(177)
  return f(*args, **kwargs)

/var/www/news-site-columnist/redirects/middleware/redirect_middleware.py in __call__(17)
  return self.get_response(request)

/home/youser/.local/share/virtualenvs/news-site-columnist-8tsXn7bh/lib/python3.10/site-packages/sentry_sdk/integrations/django/middleware.py in __call__(177)
  return f(*args, **kwargs)

/home/youser/.local/share/virtualenvs/news-site-columnist-8tsXn7bh/lib/python3.10/site-packages/sentry_sdk/integrations/django/middleware.py in __call__(177)
  return f(*args, **kwargs)

/home/youser/.local/share/virtualenvs/news-site-columnist-8tsXn7bh/lib/python3.10/site-packages/sentry_sdk/integrations/django/middleware.py in __call__(177)
  return f(*args, **kwargs)

/home/youser/.local/share/virtualenvs/news-site-columnist-8tsXn7bh/lib/python3.10/site-packages/sentry_sdk/integrations/django/middleware.py in __call__(177)
  return f(*args, **kwargs)

/home/youser/.local/share/virtualenvs/news-site-columnist-8tsXn7bh/lib/python3.10/site-packages/corsheaders/middleware.py in __call__(53)
  result = self.get_response(request)

/home/youser/.local/share/virtualenvs/news-site-columnist-8tsXn7bh/lib/python3.10/site-packages/sentry_sdk/integrations/django/middleware.py in __call__(177)
  return f(*args, **kwargs)

/home/youser/.local/share/virtualenvs/news-site-columnist-8tsXn7bh/lib/python3.10/site-packages/django_user_agents/middleware.py in __call__(14)
  return self.get_response(request)

/home/youser/.local/share/virtualenvs/news-site-columnist-8tsXn7bh/lib/python3.10/site-packages/sentry_sdk/integrations/django/middleware.py in __call__(177)
  return f(*args, **kwargs)

/home/youser/.local/share/virtualenvs/news-site-columnist-8tsXn7bh/lib/python3.10/site-packages/sentry_sdk/integrations/django/middleware.py in __call__(177)
  return f(*args, **kwargs)

/home/youser/.local/share/virtualenvs/news-site-columnist-8tsXn7bh/lib/python3.10/site-packages/sentry_sdk/integrations/django/middleware.py in __call__(177)
  return f(*args, **kwargs)

/home/youser/.local/share/virtualenvs/news-site-columnist-8tsXn7bh/lib/python3.10/site-packages/sentry_sdk/integrations/django/middleware.py in __call__(177)
  return f(*args, **kwargs)

/home/youser/.local/share/virtualenvs/news-site-columnist-8tsXn7bh/lib/python3.10/site-packages/sentry_sdk/integrations/django/middleware.py in __call__(177)
  return f(*args, **kwargs)

/home/youser/.local/share/virtualenvs/news-site-columnist-8tsXn7bh/lib/python3.10/site-packages/sentry_sdk/integrations/django/middleware.py in __call__(177)
  return f(*args, **kwargs)

/home/youser/.local/share/virtualenvs/news-site-columnist-8tsXn7bh/lib/python3.10/site-packages/sentry_sdk/integrations/django/middleware.py in __call__(177)
  return f(*args, **kwargs)

/home/youser/.local/share/virtualenvs/news-site-columnist-8tsXn7bh/lib/python3.10/site-packages/sentry_sdk/integrations/django/middleware.py in __call__(177)
  return f(*args, **kwargs)

/var/www/news-site-columnist/news/middleware/subdomain_middleare.py in __call__(22)
  response = self.get_response(request)

/home/youser/.local/share/virtualenvs/news-site-columnist-8tsXn7bh/lib/python3.10/site-packages/sentry_sdk/integrations/django/views.py in sentry_patched_render(41)
  return old_render(self)

/home/youser/.local/share/virtualenvs/news-site-columnist-8tsXn7bh/lib/python3.10/site-packages/django/template/response.py in render(114)
  self.content = self.rendered_content

/home/youser/.local/share/virtualenvs/news-site-columnist-8tsXn7bh/lib/python3.10/site-packages/sentry_sdk/utils.py in runner(1864)
  return sentry_patched_function(*args, **kwargs)

/home/youser/.local/share/virtualenvs/news-site-columnist-8tsXn7bh/lib/python3.10/site-packages/sentry_sdk/integrations/django/templates.py in rendered_content(77)
  return real_rendered_content.fget(self)

/home/youser/.local/share/virtualenvs/news-site-columnist-8tsXn7bh/lib/python3.10/site-packages/django/template/response.py in rendered_content(92)
  return template.render(context, self._request)

/home/youser/.local/share/virtualenvs/news-site-columnist-8tsXn7bh/lib/python3.10/site-packages/django/template/backends/django.py in render(61)
  return self.template.render(context)

/home/youser/.local/share/virtualenvs/news-site-columnist-8tsXn7bh/lib/python3.10/site-packages/template_timings_panel/panels/TemplateTimings.py in timing_hook(139)
  result = func(self, *args, **kwargs)

/home/youser/.local/share/virtualenvs/news-site-columnist-8tsXn7bh/lib/python3.10/site-packages/django/template/base.py in render(175)
  return self._render(context)

/home/youser/.local/share/virtualenvs/news-site-columnist-8tsXn7bh/lib/python3.10/site-packages/django/test/utils.py in instrumented_test_render(112)
  return self.nodelist.render(context)

/home/youser/.local/share/virtualenvs/news-site-columnist-8tsXn7bh/lib/python3.10/site-packages/django/template/base.py in render(1005)
  return SafeString("".join([node.render_annotated(context) for node in self]))

/home/youser/.local/share/virtualenvs/news-site-columnist-8tsXn7bh/lib/python3.10/site-packages/django/template/base.py in <listcomp>(1005)
  return SafeString("".join([node.render_annotated(context) for node in self]))

/home/youser/.local/share/virtualenvs/news-site-columnist-8tsXn7bh/lib/python3.10/site-packages/django/template/base.py in render_annotated(966)
  return self.render(context)

/home/youser/.local/share/virtualenvs/news-site-columnist-8tsXn7bh/lib/python3.10/site-packages/django/template/loader_tags.py in render(157)
  return compiled_parent._render(context)

/home/youser/.local/share/virtualenvs/news-site-columnist-8tsXn7bh/lib/python3.10/site-packages/django/test/utils.py in instrumented_test_render(112)
  return self.nodelist.render(context)

/home/youser/.local/share/virtualenvs/news-site-columnist-8tsXn7bh/lib/python3.10/site-packages/django/template/base.py in render(1005)
  return SafeString("".join([node.render_annotated(context) for node in self]))

/home/youser/.local/share/virtualenvs/news-site-columnist-8tsXn7bh/lib/python3.10/site-packages/django/template/base.py in <listcomp>(1005)
  return SafeString("".join([node.render_annotated(context) for node in self]))

/home/youser/.local/share/virtualenvs/news-site-columnist-8tsXn7bh/lib/python3.10/site-packages/django/template/base.py in render_annotated(966)
  return self.render(context)

/home/youser/.local/share/virtualenvs/news-site-columnist-8tsXn7bh/lib/python3.10/site-packages/template_timings_panel/panels/TemplateTimings.py in timing_hook(139)
  result = func(self, *args, **kwargs)

/home/youser/.local/share/virtualenvs/news-site-columnist-8tsXn7bh/lib/python3.10/site-packages/django/template/loader_tags.py in render(63)
  result = block.nodelist.render(context)

/home/youser/.local/share/virtualenvs/news-site-columnist-8tsXn7bh/lib/python3.10/site-packages/django/template/base.py in render(1005)
  return SafeString("".join([node.render_annotated(context) for node in self]))

/home/youser/.local/share/virtualenvs/news-site-columnist-8tsXn7bh/lib/python3.10/site-packages/django/template/base.py in <listcomp>(1005)
  return SafeString("".join([node.render_annotated(context) for node in self]))

/home/youser/.local/share/virtualenvs/news-site-columnist-8tsXn7bh/lib/python3.10/site-packages/django/template/base.py in render_annotated(966)
  return self.render(context)

/home/youser/.local/share/virtualenvs/news-site-columnist-8tsXn7bh/lib/python3.10/site-packages/django/template/library.py in render(237)
  output = self.func(*resolved_args, **resolved_kwargs)

/var/www/news-site-columnist/news/templatetags/custom_tags.py in get_post_absolute_url(621)
  return post.get_absolute_url()

/var/www/news-site-columnist/news/models/news.py in get_absolute_url(1017)
  category = self.category

32 <meta name="robots" content="noindex, nofollow">
33 {% endif %}
34 {% get_current_language as LANGUAGE_CODE %}
35 {% get_post_absolute_url post LANGUAGE_CODE as post_url %}
36 <meta property="og:image" content="{{ post.image.url }}">
37 <meta name="twitter:image" content="{{ post.image.url }}">
38
39 <link rel="amphtml" href="{{ request.build_absolute_uri|remove_query_params }}/amp">

/var/www/news-site-columnist/news/templates/news/single_post.html

SELECT "author"."id",
       "author"."created_at",
       "author"."updated_at",
       "author"."created_by",
       "author"."updated_by",
       "author"."name",
       "author"."name_uk",
       "author"."name_en",
       "author"."name_ru",
       "author"."slug",
       "author"."sort_weight",
       "author"."facebook_url",
       "author"."linked_in_url",
       "author"."instagram_url",
       "author"."rss_url",
       "author"."is_columnist",
       "author"."show_check_mark",
       "author"."gender",
       "author"."is_active",
       "author"."is_chief",
       "author"."is_chief_deputy",
       "author"."image",
       "author"."description",
       "author"."description_uk",
       "author"."description_en",
       "author"."description_ru",
       "author"."show_at_redaction_page",
       "author"."redaction_region",
       "author"."position",
       "author"."position_uk",
       "author"."position_en",
       "author"."position_ru",
       "author"."seo_title",
       "author"."seo_title_uk",
       "author"."seo_title_en",
       "author"."seo_title_ru",
       "author"."seo_description",
       "author"."seo_description_uk",
       "author"."seo_description_en",
       "author"."seo_description_ru"
  FROM "author"
 WHERE "author"."id" = 39
 LIMIT 21
SELECT ••• FROM "author" WHERE "author"."id" = 39 LIMIT 21
2 similar queries. Duplicated 2 times.
0,43

Соединение: default

Статус транзакции: Ожидание

/home/youser/.local/share/virtualenvs/news-site-columnist-8tsXn7bh/bin/gunicorn in <module>(8)
  sys.exit(run())

/home/youser/.local/share/virtualenvs/news-site-columnist-8tsXn7bh/lib/python3.10/site-packages/gunicorn/app/wsgiapp.py in run(66)
  WSGIApplication("%(prog)s [OPTIONS] [APP_MODULE]", prog=prog).run()

/home/youser/.local/share/virtualenvs/news-site-columnist-8tsXn7bh/lib/python3.10/site-packages/gunicorn/app/base.py in run(235)
  super().run()

/home/youser/.local/share/virtualenvs/news-site-columnist-8tsXn7bh/lib/python3.10/site-packages/gunicorn/app/base.py in run(71)
  Arbiter(self).run()

/home/youser/.local/share/virtualenvs/news-site-columnist-8tsXn7bh/lib/python3.10/site-packages/gunicorn/arbiter.py in run(210)
  self.manage_workers()

/home/youser/.local/share/virtualenvs/news-site-columnist-8tsXn7bh/lib/python3.10/site-packages/gunicorn/arbiter.py in manage_workers(570)
  self.spawn_workers()

/home/youser/.local/share/virtualenvs/news-site-columnist-8tsXn7bh/lib/python3.10/site-packages/gunicorn/arbiter.py in spawn_workers(641)
  self.spawn_worker()

/home/youser/.local/share/virtualenvs/news-site-columnist-8tsXn7bh/lib/python3.10/site-packages/gunicorn/arbiter.py in spawn_worker(608)
  worker.init_process()

/home/youser/.local/share/virtualenvs/news-site-columnist-8tsXn7bh/lib/python3.10/site-packages/gunicorn/workers/base.py in init_process(143)
  self.run()

/home/youser/.local/share/virtualenvs/news-site-columnist-8tsXn7bh/lib/python3.10/site-packages/gunicorn/workers/sync.py in run(125)
  self.run_for_one(timeout)

/home/youser/.local/share/virtualenvs/news-site-columnist-8tsXn7bh/lib/python3.10/site-packages/gunicorn/workers/sync.py in run_for_one(69)
  self.accept(listener)

/home/youser/.local/share/virtualenvs/news-site-columnist-8tsXn7bh/lib/python3.10/site-packages/gunicorn/workers/sync.py in accept(31)
  self.handle(listener, client, addr)

/home/youser/.local/share/virtualenvs/news-site-columnist-8tsXn7bh/lib/python3.10/site-packages/gunicorn/workers/sync.py in handle(134)
  self.handle_request(listener, req, client, addr)

/home/youser/.local/share/virtualenvs/news-site-columnist-8tsXn7bh/lib/python3.10/site-packages/gunicorn/workers/sync.py in handle_request(177)
  respiter = self.wsgi(environ, resp.start_response)

/home/youser/.local/share/virtualenvs/news-site-columnist-8tsXn7bh/lib/python3.10/site-packages/sentry_sdk/utils.py in runner(1864)
  return sentry_patched_function(*args, **kwargs)

/home/youser/.local/share/virtualenvs/news-site-columnist-8tsXn7bh/lib/python3.10/site-packages/sentry_sdk/integrations/django/__init__.py in sentry_patched_wsgi_handler(191)
  return middleware(environ, start_response)

/home/youser/.local/share/virtualenvs/news-site-columnist-8tsXn7bh/lib/python3.10/site-packages/sentry_sdk/integrations/wsgi.py in __call__(132)
  response = self.app(

/home/youser/.local/share/virtualenvs/news-site-columnist-8tsXn7bh/lib/python3.10/site-packages/sentry_sdk/integrations/django/__init__.py in sentry_patched_get_response(478)
  rv = old_get_response(self, request)

/home/youser/.local/share/virtualenvs/news-site-columnist-8tsXn7bh/lib/python3.10/site-packages/sentry_sdk/integrations/django/middleware.py in __call__(177)
  return f(*args, **kwargs)

/home/youser/.local/share/virtualenvs/news-site-columnist-8tsXn7bh/lib/python3.10/site-packages/sentry_sdk/integrations/django/middleware.py in __call__(177)
  return f(*args, **kwargs)

/var/www/news-site-columnist/redirects/middleware/redirect_middleware.py in __call__(17)
  return self.get_response(request)

/home/youser/.local/share/virtualenvs/news-site-columnist-8tsXn7bh/lib/python3.10/site-packages/sentry_sdk/integrations/django/middleware.py in __call__(177)
  return f(*args, **kwargs)

/home/youser/.local/share/virtualenvs/news-site-columnist-8tsXn7bh/lib/python3.10/site-packages/sentry_sdk/integrations/django/middleware.py in __call__(177)
  return f(*args, **kwargs)

/home/youser/.local/share/virtualenvs/news-site-columnist-8tsXn7bh/lib/python3.10/site-packages/sentry_sdk/integrations/django/middleware.py in __call__(177)
  return f(*args, **kwargs)

/home/youser/.local/share/virtualenvs/news-site-columnist-8tsXn7bh/lib/python3.10/site-packages/sentry_sdk/integrations/django/middleware.py in __call__(177)
  return f(*args, **kwargs)

/home/youser/.local/share/virtualenvs/news-site-columnist-8tsXn7bh/lib/python3.10/site-packages/corsheaders/middleware.py in __call__(53)
  result = self.get_response(request)

/home/youser/.local/share/virtualenvs/news-site-columnist-8tsXn7bh/lib/python3.10/site-packages/sentry_sdk/integrations/django/middleware.py in __call__(177)
  return f(*args, **kwargs)

/home/youser/.local/share/virtualenvs/news-site-columnist-8tsXn7bh/lib/python3.10/site-packages/django_user_agents/middleware.py in __call__(14)
  return self.get_response(request)

/home/youser/.local/share/virtualenvs/news-site-columnist-8tsXn7bh/lib/python3.10/site-packages/sentry_sdk/integrations/django/middleware.py in __call__(177)
  return f(*args, **kwargs)

/home/youser/.local/share/virtualenvs/news-site-columnist-8tsXn7bh/lib/python3.10/site-packages/sentry_sdk/integrations/django/middleware.py in __call__(177)
  return f(*args, **kwargs)

/home/youser/.local/share/virtualenvs/news-site-columnist-8tsXn7bh/lib/python3.10/site-packages/sentry_sdk/integrations/django/middleware.py in __call__(177)
  return f(*args, **kwargs)

/home/youser/.local/share/virtualenvs/news-site-columnist-8tsXn7bh/lib/python3.10/site-packages/sentry_sdk/integrations/django/middleware.py in __call__(177)
  return f(*args, **kwargs)

/home/youser/.local/share/virtualenvs/news-site-columnist-8tsXn7bh/lib/python3.10/site-packages/sentry_sdk/integrations/django/middleware.py in __call__(177)
  return f(*args, **kwargs)

/home/youser/.local/share/virtualenvs/news-site-columnist-8tsXn7bh/lib/python3.10/site-packages/sentry_sdk/integrations/django/middleware.py in __call__(177)
  return f(*args, **kwargs)

/home/youser/.local/share/virtualenvs/news-site-columnist-8tsXn7bh/lib/python3.10/site-packages/sentry_sdk/integrations/django/middleware.py in __call__(177)
  return f(*args, **kwargs)

/home/youser/.local/share/virtualenvs/news-site-columnist-8tsXn7bh/lib/python3.10/site-packages/sentry_sdk/integrations/django/middleware.py in __call__(177)
  return f(*args, **kwargs)

/var/www/news-site-columnist/news/middleware/subdomain_middleare.py in __call__(22)
  response = self.get_response(request)

/home/youser/.local/share/virtualenvs/news-site-columnist-8tsXn7bh/lib/python3.10/site-packages/sentry_sdk/integrations/django/views.py in sentry_patched_render(41)
  return old_render(self)

/home/youser/.local/share/virtualenvs/news-site-columnist-8tsXn7bh/lib/python3.10/site-packages/django/template/response.py in render(114)
  self.content = self.rendered_content

/home/youser/.local/share/virtualenvs/news-site-columnist-8tsXn7bh/lib/python3.10/site-packages/sentry_sdk/utils.py in runner(1864)
  return sentry_patched_function(*args, **kwargs)

/home/youser/.local/share/virtualenvs/news-site-columnist-8tsXn7bh/lib/python3.10/site-packages/sentry_sdk/integrations/django/templates.py in rendered_content(77)
  return real_rendered_content.fget(self)

/home/youser/.local/share/virtualenvs/news-site-columnist-8tsXn7bh/lib/python3.10/site-packages/django/template/response.py in rendered_content(92)
  return template.render(context, self._request)

/home/youser/.local/share/virtualenvs/news-site-columnist-8tsXn7bh/lib/python3.10/site-packages/django/template/backends/django.py in render(61)
  return self.template.render(context)

/home/youser/.local/share/virtualenvs/news-site-columnist-8tsXn7bh/lib/python3.10/site-packages/template_timings_panel/panels/TemplateTimings.py in timing_hook(139)
  result = func(self, *args, **kwargs)

/home/youser/.local/share/virtualenvs/news-site-columnist-8tsXn7bh/lib/python3.10/site-packages/django/template/base.py in render(175)
  return self._render(context)

/home/youser/.local/share/virtualenvs/news-site-columnist-8tsXn7bh/lib/python3.10/site-packages/django/test/utils.py in instrumented_test_render(112)
  return self.nodelist.render(context)

/home/youser/.local/share/virtualenvs/news-site-columnist-8tsXn7bh/lib/python3.10/site-packages/django/template/base.py in render(1005)
  return SafeString("".join([node.render_annotated(context) for node in self]))

/home/youser/.local/share/virtualenvs/news-site-columnist-8tsXn7bh/lib/python3.10/site-packages/django/template/base.py in <listcomp>(1005)
  return SafeString("".join([node.render_annotated(context) for node in self]))

/home/youser/.local/share/virtualenvs/news-site-columnist-8tsXn7bh/lib/python3.10/site-packages/django/template/base.py in render_annotated(966)
  return self.render(context)

/home/youser/.local/share/virtualenvs/news-site-columnist-8tsXn7bh/lib/python3.10/site-packages/django/template/loader_tags.py in render(157)
  return compiled_parent._render(context)

/home/youser/.local/share/virtualenvs/news-site-columnist-8tsXn7bh/lib/python3.10/site-packages/django/test/utils.py in instrumented_test_render(112)
  return self.nodelist.render(context)

/home/youser/.local/share/virtualenvs/news-site-columnist-8tsXn7bh/lib/python3.10/site-packages/django/template/base.py in render(1005)
  return SafeString("".join([node.render_annotated(context) for node in self]))

/home/youser/.local/share/virtualenvs/news-site-columnist-8tsXn7bh/lib/python3.10/site-packages/django/template/base.py in <listcomp>(1005)
  return SafeString("".join([node.render_annotated(context) for node in self]))

/home/youser/.local/share/virtualenvs/news-site-columnist-8tsXn7bh/lib/python3.10/site-packages/django/template/base.py in render_annotated(966)
  return self.render(context)

/home/youser/.local/share/virtualenvs/news-site-columnist-8tsXn7bh/lib/python3.10/site-packages/template_timings_panel/panels/TemplateTimings.py in timing_hook(139)
  result = func(self, *args, **kwargs)

/home/youser/.local/share/virtualenvs/news-site-columnist-8tsXn7bh/lib/python3.10/site-packages/django/template/loader_tags.py in render(63)
  result = block.nodelist.render(context)

/home/youser/.local/share/virtualenvs/news-site-columnist-8tsXn7bh/lib/python3.10/site-packages/django/template/base.py in render(1005)
  return SafeString("".join([node.render_annotated(context) for node in self]))

/home/youser/.local/share/virtualenvs/news-site-columnist-8tsXn7bh/lib/python3.10/site-packages/django/template/base.py in <listcomp>(1005)
  return SafeString("".join([node.render_annotated(context) for node in self]))

/home/youser/.local/share/virtualenvs/news-site-columnist-8tsXn7bh/lib/python3.10/site-packages/django/template/base.py in render_annotated(966)
  return self.render(context)

/home/youser/.local/share/virtualenvs/news-site-columnist-8tsXn7bh/lib/python3.10/site-packages/template_timings_panel/panels/TemplateTimings.py in timing_hook(139)
  result = func(self, *args, **kwargs)

/home/youser/.local/share/virtualenvs/news-site-columnist-8tsXn7bh/lib/python3.10/site-packages/django/template/loader_tags.py in render(63)
  result = block.nodelist.render(context)

/home/youser/.local/share/virtualenvs/news-site-columnist-8tsXn7bh/lib/python3.10/site-packages/django/template/base.py in render(1005)
  return SafeString("".join([node.render_annotated(context) for node in self]))

/home/youser/.local/share/virtualenvs/news-site-columnist-8tsXn7bh/lib/python3.10/site-packages/django/template/base.py in <listcomp>(1005)
  return SafeString("".join([node.render_annotated(context) for node in self]))

/home/youser/.local/share/virtualenvs/news-site-columnist-8tsXn7bh/lib/python3.10/site-packages/django/template/base.py in render_annotated(966)
  return self.render(context)

/home/youser/.local/share/virtualenvs/news-site-columnist-8tsXn7bh/lib/python3.10/site-packages/django/template/loader_tags.py in render(208)
  return template.render(context)

/home/youser/.local/share/virtualenvs/news-site-columnist-8tsXn7bh/lib/python3.10/site-packages/template_timings_panel/panels/TemplateTimings.py in timing_hook(139)
  result = func(self, *args, **kwargs)

/home/youser/.local/share/virtualenvs/news-site-columnist-8tsXn7bh/lib/python3.10/site-packages/django/template/base.py in render(177)
  return self._render(context)

/home/youser/.local/share/virtualenvs/news-site-columnist-8tsXn7bh/lib/python3.10/site-packages/django/test/utils.py in instrumented_test_render(112)
  return self.nodelist.render(context)

/home/youser/.local/share/virtualenvs/news-site-columnist-8tsXn7bh/lib/python3.10/site-packages/django/template/base.py in render(1005)
  return SafeString("".join([node.render_annotated(context) for node in self]))

/home/youser/.local/share/virtualenvs/news-site-columnist-8tsXn7bh/lib/python3.10/site-packages/django/template/base.py in <listcomp>(1005)
  return SafeString("".join([node.render_annotated(context) for node in self]))

/home/youser/.local/share/virtualenvs/news-site-columnist-8tsXn7bh/lib/python3.10/site-packages/django/template/base.py in render_annotated(966)
  return self.render(context)

/home/youser/.local/share/virtualenvs/news-site-columnist-8tsXn7bh/lib/python3.10/site-packages/django/template/defaulttags.py in render(541)
  return self.nodelist.render(context)

/home/youser/.local/share/virtualenvs/news-site-columnist-8tsXn7bh/lib/python3.10/site-packages/django/template/base.py in render(1005)
  return SafeString("".join([node.render_annotated(context) for node in self]))

/home/youser/.local/share/virtualenvs/news-site-columnist-8tsXn7bh/lib/python3.10/site-packages/django/template/base.py in <listcomp>(1005)
  return SafeString("".join([node.render_annotated(context) for node in self]))

/home/youser/.local/share/virtualenvs/news-site-columnist-8tsXn7bh/lib/python3.10/site-packages/django/template/base.py in render_annotated(966)
  return self.render(context)

/home/youser/.local/share/virtualenvs/news-site-columnist-8tsXn7bh/lib/python3.10/site-packages/django/template/base.py in render(1064)
  output = self.filter_expression.resolve(context)

/home/youser/.local/share/virtualenvs/news-site-columnist-8tsXn7bh/lib/python3.10/site-packages/django/template/base.py in resolve(715)
  obj = self.var.resolve(context)

/home/youser/.local/share/virtualenvs/news-site-columnist-8tsXn7bh/lib/python3.10/site-packages/django/template/base.py in resolve(847)
  value = self._resolve_lookup(context)

/home/youser/.local/share/virtualenvs/news-site-columnist-8tsXn7bh/lib/python3.10/site-packages/django/template/base.py in _resolve_lookup(890)
  current = getattr(current, bit)

78 "image": [{% if seo_image %}"{{ seo_image|cf_image_variant:'1x1' }}", "{{ seo_image|cf_image_variant:'4x3' }}", "{{ seo_image|cf_image_variant:'16x9' }}"{% endif %}],
79 "author": [{
80 "@type": "Person",
81 "@id": "{{ post.author.get_absolute_url }}#person",
82 "name": "{{ post.author.name|escapejs }}",
83 "url": "{{ post.author.get_absolute_url }}",
84 "jobTitle": "{{ post.author.position|escapejs }}"
85 }],

/var/www/news-site-columnist/news/templates/news/includes/structured_data.html

SELECT "tag"."id",
       "tag"."created_at",
       "tag"."updated_at",
       "tag"."created_by",
       "tag"."updated_by",
       "tag"."slug",
       "tag"."name",
       "tag"."name_uk",
       "tag"."name_en",
       "tag"."name_ru",
       "tag"."description",
       "tag"."description_uk",
       "tag"."description_en",
       "tag"."description_ru",
       "tag"."seo_title",
       "tag"."seo_title_uk",
       "tag"."seo_title_en",
       "tag"."seo_title_ru",
       "tag"."seo_description",
       "tag"."seo_description_uk",
       "tag"."seo_description_en",
       "tag"."seo_description_ru",
       "tag"."is_active",
       "tag"."show_in_tags_sitemap"
  FROM "tag"
 INNER JOIN "post_tags"
    ON ("tag"."id" = "post_tags"."tag_id")
 WHERE "post_tags"."post_id" = 22135
SELECT ••• FROM "tag" INNER JOIN "post_tags" ON ("tag"."id" = "post_tags"."tag_id") WHERE "post_tags"."post_id" = 22135
3 similar queries. Duplicated 3 times.
1,71

Соединение: default

Статус транзакции: Ожидание

/home/youser/.local/share/virtualenvs/news-site-columnist-8tsXn7bh/bin/gunicorn in <module>(8)
  sys.exit(run())

/home/youser/.local/share/virtualenvs/news-site-columnist-8tsXn7bh/lib/python3.10/site-packages/gunicorn/app/wsgiapp.py in run(66)
  WSGIApplication("%(prog)s [OPTIONS] [APP_MODULE]", prog=prog).run()

/home/youser/.local/share/virtualenvs/news-site-columnist-8tsXn7bh/lib/python3.10/site-packages/gunicorn/app/base.py in run(235)
  super().run()

/home/youser/.local/share/virtualenvs/news-site-columnist-8tsXn7bh/lib/python3.10/site-packages/gunicorn/app/base.py in run(71)
  Arbiter(self).run()

/home/youser/.local/share/virtualenvs/news-site-columnist-8tsXn7bh/lib/python3.10/site-packages/gunicorn/arbiter.py in run(210)
  self.manage_workers()

/home/youser/.local/share/virtualenvs/news-site-columnist-8tsXn7bh/lib/python3.10/site-packages/gunicorn/arbiter.py in manage_workers(570)
  self.spawn_workers()

/home/youser/.local/share/virtualenvs/news-site-columnist-8tsXn7bh/lib/python3.10/site-packages/gunicorn/arbiter.py in spawn_workers(641)
  self.spawn_worker()

/home/youser/.local/share/virtualenvs/news-site-columnist-8tsXn7bh/lib/python3.10/site-packages/gunicorn/arbiter.py in spawn_worker(608)
  worker.init_process()

/home/youser/.local/share/virtualenvs/news-site-columnist-8tsXn7bh/lib/python3.10/site-packages/gunicorn/workers/base.py in init_process(143)
  self.run()

/home/youser/.local/share/virtualenvs/news-site-columnist-8tsXn7bh/lib/python3.10/site-packages/gunicorn/workers/sync.py in run(125)
  self.run_for_one(timeout)

/home/youser/.local/share/virtualenvs/news-site-columnist-8tsXn7bh/lib/python3.10/site-packages/gunicorn/workers/sync.py in run_for_one(69)
  self.accept(listener)

/home/youser/.local/share/virtualenvs/news-site-columnist-8tsXn7bh/lib/python3.10/site-packages/gunicorn/workers/sync.py in accept(31)
  self.handle(listener, client, addr)

/home/youser/.local/share/virtualenvs/news-site-columnist-8tsXn7bh/lib/python3.10/site-packages/gunicorn/workers/sync.py in handle(134)
  self.handle_request(listener, req, client, addr)

/home/youser/.local/share/virtualenvs/news-site-columnist-8tsXn7bh/lib/python3.10/site-packages/gunicorn/workers/sync.py in handle_request(177)
  respiter = self.wsgi(environ, resp.start_response)

/home/youser/.local/share/virtualenvs/news-site-columnist-8tsXn7bh/lib/python3.10/site-packages/sentry_sdk/utils.py in runner(1864)
  return sentry_patched_function(*args, **kwargs)

/home/youser/.local/share/virtualenvs/news-site-columnist-8tsXn7bh/lib/python3.10/site-packages/sentry_sdk/integrations/django/__init__.py in sentry_patched_wsgi_handler(191)
  return middleware(environ, start_response)

/home/youser/.local/share/virtualenvs/news-site-columnist-8tsXn7bh/lib/python3.10/site-packages/sentry_sdk/integrations/wsgi.py in __call__(132)
  response = self.app(

/home/youser/.local/share/virtualenvs/news-site-columnist-8tsXn7bh/lib/python3.10/site-packages/sentry_sdk/integrations/django/__init__.py in sentry_patched_get_response(478)
  rv = old_get_response(self, request)

/home/youser/.local/share/virtualenvs/news-site-columnist-8tsXn7bh/lib/python3.10/site-packages/sentry_sdk/integrations/django/middleware.py in __call__(177)
  return f(*args, **kwargs)

/home/youser/.local/share/virtualenvs/news-site-columnist-8tsXn7bh/lib/python3.10/site-packages/sentry_sdk/integrations/django/middleware.py in __call__(177)
  return f(*args, **kwargs)

/var/www/news-site-columnist/redirects/middleware/redirect_middleware.py in __call__(17)
  return self.get_response(request)

/home/youser/.local/share/virtualenvs/news-site-columnist-8tsXn7bh/lib/python3.10/site-packages/sentry_sdk/integrations/django/middleware.py in __call__(177)
  return f(*args, **kwargs)

/home/youser/.local/share/virtualenvs/news-site-columnist-8tsXn7bh/lib/python3.10/site-packages/sentry_sdk/integrations/django/middleware.py in __call__(177)
  return f(*args, **kwargs)

/home/youser/.local/share/virtualenvs/news-site-columnist-8tsXn7bh/lib/python3.10/site-packages/sentry_sdk/integrations/django/middleware.py in __call__(177)
  return f(*args, **kwargs)

/home/youser/.local/share/virtualenvs/news-site-columnist-8tsXn7bh/lib/python3.10/site-packages/sentry_sdk/integrations/django/middleware.py in __call__(177)
  return f(*args, **kwargs)

/home/youser/.local/share/virtualenvs/news-site-columnist-8tsXn7bh/lib/python3.10/site-packages/corsheaders/middleware.py in __call__(53)
  result = self.get_response(request)

/home/youser/.local/share/virtualenvs/news-site-columnist-8tsXn7bh/lib/python3.10/site-packages/sentry_sdk/integrations/django/middleware.py in __call__(177)
  return f(*args, **kwargs)

/home/youser/.local/share/virtualenvs/news-site-columnist-8tsXn7bh/lib/python3.10/site-packages/django_user_agents/middleware.py in __call__(14)
  return self.get_response(request)

/home/youser/.local/share/virtualenvs/news-site-columnist-8tsXn7bh/lib/python3.10/site-packages/sentry_sdk/integrations/django/middleware.py in __call__(177)
  return f(*args, **kwargs)

/home/youser/.local/share/virtualenvs/news-site-columnist-8tsXn7bh/lib/python3.10/site-packages/sentry_sdk/integrations/django/middleware.py in __call__(177)
  return f(*args, **kwargs)

/home/youser/.local/share/virtualenvs/news-site-columnist-8tsXn7bh/lib/python3.10/site-packages/sentry_sdk/integrations/django/middleware.py in __call__(177)
  return f(*args, **kwargs)

/home/youser/.local/share/virtualenvs/news-site-columnist-8tsXn7bh/lib/python3.10/site-packages/sentry_sdk/integrations/django/middleware.py in __call__(177)
  return f(*args, **kwargs)

/home/youser/.local/share/virtualenvs/news-site-columnist-8tsXn7bh/lib/python3.10/site-packages/sentry_sdk/integrations/django/middleware.py in __call__(177)
  return f(*args, **kwargs)

/home/youser/.local/share/virtualenvs/news-site-columnist-8tsXn7bh/lib/python3.10/site-packages/sentry_sdk/integrations/django/middleware.py in __call__(177)
  return f(*args, **kwargs)

/home/youser/.local/share/virtualenvs/news-site-columnist-8tsXn7bh/lib/python3.10/site-packages/sentry_sdk/integrations/django/middleware.py in __call__(177)
  return f(*args, **kwargs)

/home/youser/.local/share/virtualenvs/news-site-columnist-8tsXn7bh/lib/python3.10/site-packages/sentry_sdk/integrations/django/middleware.py in __call__(177)
  return f(*args, **kwargs)

/var/www/news-site-columnist/news/middleware/subdomain_middleare.py in __call__(22)
  response = self.get_response(request)

/home/youser/.local/share/virtualenvs/news-site-columnist-8tsXn7bh/lib/python3.10/site-packages/sentry_sdk/integrations/django/views.py in sentry_patched_render(41)
  return old_render(self)

/home/youser/.local/share/virtualenvs/news-site-columnist-8tsXn7bh/lib/python3.10/site-packages/django/template/response.py in render(114)
  self.content = self.rendered_content

/home/youser/.local/share/virtualenvs/news-site-columnist-8tsXn7bh/lib/python3.10/site-packages/sentry_sdk/utils.py in runner(1864)
  return sentry_patched_function(*args, **kwargs)

/home/youser/.local/share/virtualenvs/news-site-columnist-8tsXn7bh/lib/python3.10/site-packages/sentry_sdk/integrations/django/templates.py in rendered_content(77)
  return real_rendered_content.fget(self)

/home/youser/.local/share/virtualenvs/news-site-columnist-8tsXn7bh/lib/python3.10/site-packages/django/template/response.py in rendered_content(92)
  return template.render(context, self._request)

/home/youser/.local/share/virtualenvs/news-site-columnist-8tsXn7bh/lib/python3.10/site-packages/django/template/backends/django.py in render(61)
  return self.template.render(context)

/home/youser/.local/share/virtualenvs/news-site-columnist-8tsXn7bh/lib/python3.10/site-packages/template_timings_panel/panels/TemplateTimings.py in timing_hook(139)
  result = func(self, *args, **kwargs)

/home/youser/.local/share/virtualenvs/news-site-columnist-8tsXn7bh/lib/python3.10/site-packages/django/template/base.py in render(175)
  return self._render(context)

/home/youser/.local/share/virtualenvs/news-site-columnist-8tsXn7bh/lib/python3.10/site-packages/django/test/utils.py in instrumented_test_render(112)
  return self.nodelist.render(context)

/home/youser/.local/share/virtualenvs/news-site-columnist-8tsXn7bh/lib/python3.10/site-packages/django/template/base.py in render(1005)
  return SafeString("".join([node.render_annotated(context) for node in self]))

/home/youser/.local/share/virtualenvs/news-site-columnist-8tsXn7bh/lib/python3.10/site-packages/django/template/base.py in <listcomp>(1005)
  return SafeString("".join([node.render_annotated(context) for node in self]))

/home/youser/.local/share/virtualenvs/news-site-columnist-8tsXn7bh/lib/python3.10/site-packages/django/template/base.py in render_annotated(966)
  return self.render(context)

/home/youser/.local/share/virtualenvs/news-site-columnist-8tsXn7bh/lib/python3.10/site-packages/django/template/loader_tags.py in render(157)
  return compiled_parent._render(context)

/home/youser/.local/share/virtualenvs/news-site-columnist-8tsXn7bh/lib/python3.10/site-packages/django/test/utils.py in instrumented_test_render(112)
  return self.nodelist.render(context)

/home/youser/.local/share/virtualenvs/news-site-columnist-8tsXn7bh/lib/python3.10/site-packages/django/template/base.py in render(1005)
  return SafeString("".join([node.render_annotated(context) for node in self]))

/home/youser/.local/share/virtualenvs/news-site-columnist-8tsXn7bh/lib/python3.10/site-packages/django/template/base.py in <listcomp>(1005)
  return SafeString("".join([node.render_annotated(context) for node in self]))

/home/youser/.local/share/virtualenvs/news-site-columnist-8tsXn7bh/lib/python3.10/site-packages/django/template/base.py in render_annotated(966)
  return self.render(context)

/home/youser/.local/share/virtualenvs/news-site-columnist-8tsXn7bh/lib/python3.10/site-packages/template_timings_panel/panels/TemplateTimings.py in timing_hook(139)
  result = func(self, *args, **kwargs)

/home/youser/.local/share/virtualenvs/news-site-columnist-8tsXn7bh/lib/python3.10/site-packages/django/template/loader_tags.py in render(63)
  result = block.nodelist.render(context)

/home/youser/.local/share/virtualenvs/news-site-columnist-8tsXn7bh/lib/python3.10/site-packages/django/template/base.py in render(1005)
  return SafeString("".join([node.render_annotated(context) for node in self]))

/home/youser/.local/share/virtualenvs/news-site-columnist-8tsXn7bh/lib/python3.10/site-packages/django/template/base.py in <listcomp>(1005)
  return SafeString("".join([node.render_annotated(context) for node in self]))

/home/youser/.local/share/virtualenvs/news-site-columnist-8tsXn7bh/lib/python3.10/site-packages/django/template/base.py in render_annotated(966)
  return self.render(context)

/home/youser/.local/share/virtualenvs/news-site-columnist-8tsXn7bh/lib/python3.10/site-packages/template_timings_panel/panels/TemplateTimings.py in timing_hook(139)
  result = func(self, *args, **kwargs)

/home/youser/.local/share/virtualenvs/news-site-columnist-8tsXn7bh/lib/python3.10/site-packages/django/template/loader_tags.py in render(63)
  result = block.nodelist.render(context)

/home/youser/.local/share/virtualenvs/news-site-columnist-8tsXn7bh/lib/python3.10/site-packages/django/template/base.py in render(1005)
  return SafeString("".join([node.render_annotated(context) for node in self]))

/home/youser/.local/share/virtualenvs/news-site-columnist-8tsXn7bh/lib/python3.10/site-packages/django/template/base.py in <listcomp>(1005)
  return SafeString("".join([node.render_annotated(context) for node in self]))

/home/youser/.local/share/virtualenvs/news-site-columnist-8tsXn7bh/lib/python3.10/site-packages/django/template/base.py in render_annotated(966)
  return self.render(context)

/home/youser/.local/share/virtualenvs/news-site-columnist-8tsXn7bh/lib/python3.10/site-packages/django/template/loader_tags.py in render(208)
  return template.render(context)

/home/youser/.local/share/virtualenvs/news-site-columnist-8tsXn7bh/lib/python3.10/site-packages/template_timings_panel/panels/TemplateTimings.py in timing_hook(139)
  result = func(self, *args, **kwargs)

/home/youser/.local/share/virtualenvs/news-site-columnist-8tsXn7bh/lib/python3.10/site-packages/django/template/base.py in render(177)
  return self._render(context)

/home/youser/.local/share/virtualenvs/news-site-columnist-8tsXn7bh/lib/python3.10/site-packages/django/test/utils.py in instrumented_test_render(112)
  return self.nodelist.render(context)

/home/youser/.local/share/virtualenvs/news-site-columnist-8tsXn7bh/lib/python3.10/site-packages/django/template/base.py in render(1005)
  return SafeString("".join([node.render_annotated(context) for node in self]))

/home/youser/.local/share/virtualenvs/news-site-columnist-8tsXn7bh/lib/python3.10/site-packages/django/template/base.py in <listcomp>(1005)
  return SafeString("".join([node.render_annotated(context) for node in self]))

/home/youser/.local/share/virtualenvs/news-site-columnist-8tsXn7bh/lib/python3.10/site-packages/django/template/base.py in render_annotated(966)
  return self.render(context)

/home/youser/.local/share/virtualenvs/news-site-columnist-8tsXn7bh/lib/python3.10/site-packages/django/template/defaulttags.py in render(541)
  return self.nodelist.render(context)

/home/youser/.local/share/virtualenvs/news-site-columnist-8tsXn7bh/lib/python3.10/site-packages/django/template/base.py in render(1005)
  return SafeString("".join([node.render_annotated(context) for node in self]))

/home/youser/.local/share/virtualenvs/news-site-columnist-8tsXn7bh/lib/python3.10/site-packages/django/template/base.py in <listcomp>(1005)
  return SafeString("".join([node.render_annotated(context) for node in self]))

/home/youser/.local/share/virtualenvs/news-site-columnist-8tsXn7bh/lib/python3.10/site-packages/django/template/base.py in render_annotated(966)
  return self.render(context)

/home/youser/.local/share/virtualenvs/news-site-columnist-8tsXn7bh/lib/python3.10/site-packages/django/template/defaulttags.py in render(320)
  if match:

84 "jobTitle": "{{ post.author.position|escapejs }}"
85 }],
86 "articleSection": "{% if is_column_post %}{% trans 'Контекст' %}{% else %}{{ post.category.name|default_if_none:''|escapejs }}{% endif %}",
87 "keywords": [{% if post.tags.all %}{% for tag in post.tags.all %}"{{ tag.name|escapejs }}"{% if not forloop.last %}, {% endif %}{% endfor %}{% endif %}],
88 "isAccessibleForFree": true,
89 "publisher": {"@id": "https://novyny.live/#organization"}
90 }
91 ]

/var/www/news-site-columnist/news/templates/news/includes/structured_data.html

SELECT "tag"."id",
       "tag"."created_at",
       "tag"."updated_at",
       "tag"."created_by",
       "tag"."updated_by",
       "tag"."slug",
       "tag"."name",
       "tag"."name_uk",
       "tag"."name_en",
       "tag"."name_ru",
       "tag"."description",
       "tag"."description_uk",
       "tag"."description_en",
       "tag"."description_ru",
       "tag"."seo_title",
       "tag"."seo_title_uk",
       "tag"."seo_title_en",
       "tag"."seo_title_ru",
       "tag"."seo_description",
       "tag"."seo_description_uk",
       "tag"."seo_description_en",
       "tag"."seo_description_ru",
       "tag"."is_active",
       "tag"."show_in_tags_sitemap"
  FROM "tag"
 INNER JOIN "post_tags"
    ON ("tag"."id" = "post_tags"."tag_id")
 WHERE "post_tags"."post_id" = 22135
SELECT ••• FROM "tag" INNER JOIN "post_tags" ON ("tag"."id" = "post_tags"."tag_id") WHERE "post_tags"."post_id" = 22135
3 similar queries. Duplicated 3 times.
0,87

Соединение: default

Статус транзакции: Ожидание

/home/youser/.local/share/virtualenvs/news-site-columnist-8tsXn7bh/bin/gunicorn in <module>(8)
  sys.exit(run())

/home/youser/.local/share/virtualenvs/news-site-columnist-8tsXn7bh/lib/python3.10/site-packages/gunicorn/app/wsgiapp.py in run(66)
  WSGIApplication("%(prog)s [OPTIONS] [APP_MODULE]", prog=prog).run()

/home/youser/.local/share/virtualenvs/news-site-columnist-8tsXn7bh/lib/python3.10/site-packages/gunicorn/app/base.py in run(235)
  super().run()

/home/youser/.local/share/virtualenvs/news-site-columnist-8tsXn7bh/lib/python3.10/site-packages/gunicorn/app/base.py in run(71)
  Arbiter(self).run()

/home/youser/.local/share/virtualenvs/news-site-columnist-8tsXn7bh/lib/python3.10/site-packages/gunicorn/arbiter.py in run(210)
  self.manage_workers()

/home/youser/.local/share/virtualenvs/news-site-columnist-8tsXn7bh/lib/python3.10/site-packages/gunicorn/arbiter.py in manage_workers(570)
  self.spawn_workers()

/home/youser/.local/share/virtualenvs/news-site-columnist-8tsXn7bh/lib/python3.10/site-packages/gunicorn/arbiter.py in spawn_workers(641)
  self.spawn_worker()

/home/youser/.local/share/virtualenvs/news-site-columnist-8tsXn7bh/lib/python3.10/site-packages/gunicorn/arbiter.py in spawn_worker(608)
  worker.init_process()

/home/youser/.local/share/virtualenvs/news-site-columnist-8tsXn7bh/lib/python3.10/site-packages/gunicorn/workers/base.py in init_process(143)
  self.run()

/home/youser/.local/share/virtualenvs/news-site-columnist-8tsXn7bh/lib/python3.10/site-packages/gunicorn/workers/sync.py in run(125)
  self.run_for_one(timeout)

/home/youser/.local/share/virtualenvs/news-site-columnist-8tsXn7bh/lib/python3.10/site-packages/gunicorn/workers/sync.py in run_for_one(69)
  self.accept(listener)

/home/youser/.local/share/virtualenvs/news-site-columnist-8tsXn7bh/lib/python3.10/site-packages/gunicorn/workers/sync.py in accept(31)
  self.handle(listener, client, addr)

/home/youser/.local/share/virtualenvs/news-site-columnist-8tsXn7bh/lib/python3.10/site-packages/gunicorn/workers/sync.py in handle(134)
  self.handle_request(listener, req, client, addr)

/home/youser/.local/share/virtualenvs/news-site-columnist-8tsXn7bh/lib/python3.10/site-packages/gunicorn/workers/sync.py in handle_request(177)
  respiter = self.wsgi(environ, resp.start_response)

/home/youser/.local/share/virtualenvs/news-site-columnist-8tsXn7bh/lib/python3.10/site-packages/sentry_sdk/utils.py in runner(1864)
  return sentry_patched_function(*args, **kwargs)

/home/youser/.local/share/virtualenvs/news-site-columnist-8tsXn7bh/lib/python3.10/site-packages/sentry_sdk/integrations/django/__init__.py in sentry_patched_wsgi_handler(191)
  return middleware(environ, start_response)

/home/youser/.local/share/virtualenvs/news-site-columnist-8tsXn7bh/lib/python3.10/site-packages/sentry_sdk/integrations/wsgi.py in __call__(132)
  response = self.app(

/home/youser/.local/share/virtualenvs/news-site-columnist-8tsXn7bh/lib/python3.10/site-packages/sentry_sdk/integrations/django/__init__.py in sentry_patched_get_response(478)
  rv = old_get_response(self, request)

/home/youser/.local/share/virtualenvs/news-site-columnist-8tsXn7bh/lib/python3.10/site-packages/sentry_sdk/integrations/django/middleware.py in __call__(177)
  return f(*args, **kwargs)

/home/youser/.local/share/virtualenvs/news-site-columnist-8tsXn7bh/lib/python3.10/site-packages/sentry_sdk/integrations/django/middleware.py in __call__(177)
  return f(*args, **kwargs)

/var/www/news-site-columnist/redirects/middleware/redirect_middleware.py in __call__(17)
  return self.get_response(request)

/home/youser/.local/share/virtualenvs/news-site-columnist-8tsXn7bh/lib/python3.10/site-packages/sentry_sdk/integrations/django/middleware.py in __call__(177)
  return f(*args, **kwargs)

/home/youser/.local/share/virtualenvs/news-site-columnist-8tsXn7bh/lib/python3.10/site-packages/sentry_sdk/integrations/django/middleware.py in __call__(177)
  return f(*args, **kwargs)

/home/youser/.local/share/virtualenvs/news-site-columnist-8tsXn7bh/lib/python3.10/site-packages/sentry_sdk/integrations/django/middleware.py in __call__(177)
  return f(*args, **kwargs)

/home/youser/.local/share/virtualenvs/news-site-columnist-8tsXn7bh/lib/python3.10/site-packages/sentry_sdk/integrations/django/middleware.py in __call__(177)
  return f(*args, **kwargs)

/home/youser/.local/share/virtualenvs/news-site-columnist-8tsXn7bh/lib/python3.10/site-packages/corsheaders/middleware.py in __call__(53)
  result = self.get_response(request)

/home/youser/.local/share/virtualenvs/news-site-columnist-8tsXn7bh/lib/python3.10/site-packages/sentry_sdk/integrations/django/middleware.py in __call__(177)
  return f(*args, **kwargs)

/home/youser/.local/share/virtualenvs/news-site-columnist-8tsXn7bh/lib/python3.10/site-packages/django_user_agents/middleware.py in __call__(14)
  return self.get_response(request)

/home/youser/.local/share/virtualenvs/news-site-columnist-8tsXn7bh/lib/python3.10/site-packages/sentry_sdk/integrations/django/middleware.py in __call__(177)
  return f(*args, **kwargs)

/home/youser/.local/share/virtualenvs/news-site-columnist-8tsXn7bh/lib/python3.10/site-packages/sentry_sdk/integrations/django/middleware.py in __call__(177)
  return f(*args, **kwargs)

/home/youser/.local/share/virtualenvs/news-site-columnist-8tsXn7bh/lib/python3.10/site-packages/sentry_sdk/integrations/django/middleware.py in __call__(177)
  return f(*args, **kwargs)

/home/youser/.local/share/virtualenvs/news-site-columnist-8tsXn7bh/lib/python3.10/site-packages/sentry_sdk/integrations/django/middleware.py in __call__(177)
  return f(*args, **kwargs)

/home/youser/.local/share/virtualenvs/news-site-columnist-8tsXn7bh/lib/python3.10/site-packages/sentry_sdk/integrations/django/middleware.py in __call__(177)
  return f(*args, **kwargs)

/home/youser/.local/share/virtualenvs/news-site-columnist-8tsXn7bh/lib/python3.10/site-packages/sentry_sdk/integrations/django/middleware.py in __call__(177)
  return f(*args, **kwargs)

/home/youser/.local/share/virtualenvs/news-site-columnist-8tsXn7bh/lib/python3.10/site-packages/sentry_sdk/integrations/django/middleware.py in __call__(177)
  return f(*args, **kwargs)

/home/youser/.local/share/virtualenvs/news-site-columnist-8tsXn7bh/lib/python3.10/site-packages/sentry_sdk/integrations/django/middleware.py in __call__(177)
  return f(*args, **kwargs)

/var/www/news-site-columnist/news/middleware/subdomain_middleare.py in __call__(22)
  response = self.get_response(request)

/home/youser/.local/share/virtualenvs/news-site-columnist-8tsXn7bh/lib/python3.10/site-packages/sentry_sdk/integrations/django/views.py in sentry_patched_render(41)
  return old_render(self)

/home/youser/.local/share/virtualenvs/news-site-columnist-8tsXn7bh/lib/python3.10/site-packages/django/template/response.py in render(114)
  self.content = self.rendered_content

/home/youser/.local/share/virtualenvs/news-site-columnist-8tsXn7bh/lib/python3.10/site-packages/sentry_sdk/utils.py in runner(1864)
  return sentry_patched_function(*args, **kwargs)

/home/youser/.local/share/virtualenvs/news-site-columnist-8tsXn7bh/lib/python3.10/site-packages/sentry_sdk/integrations/django/templates.py in rendered_content(77)
  return real_rendered_content.fget(self)

/home/youser/.local/share/virtualenvs/news-site-columnist-8tsXn7bh/lib/python3.10/site-packages/django/template/response.py in rendered_content(92)
  return template.render(context, self._request)

/home/youser/.local/share/virtualenvs/news-site-columnist-8tsXn7bh/lib/python3.10/site-packages/django/template/backends/django.py in render(61)
  return self.template.render(context)

/home/youser/.local/share/virtualenvs/news-site-columnist-8tsXn7bh/lib/python3.10/site-packages/template_timings_panel/panels/TemplateTimings.py in timing_hook(139)
  result = func(self, *args, **kwargs)

/home/youser/.local/share/virtualenvs/news-site-columnist-8tsXn7bh/lib/python3.10/site-packages/django/template/base.py in render(175)
  return self._render(context)

/home/youser/.local/share/virtualenvs/news-site-columnist-8tsXn7bh/lib/python3.10/site-packages/django/test/utils.py in instrumented_test_render(112)
  return self.nodelist.render(context)

/home/youser/.local/share/virtualenvs/news-site-columnist-8tsXn7bh/lib/python3.10/site-packages/django/template/base.py in render(1005)
  return SafeString("".join([node.render_annotated(context) for node in self]))

/home/youser/.local/share/virtualenvs/news-site-columnist-8tsXn7bh/lib/python3.10/site-packages/django/template/base.py in <listcomp>(1005)
  return SafeString("".join([node.render_annotated(context) for node in self]))

/home/youser/.local/share/virtualenvs/news-site-columnist-8tsXn7bh/lib/python3.10/site-packages/django/template/base.py in render_annotated(966)
  return self.render(context)

/home/youser/.local/share/virtualenvs/news-site-columnist-8tsXn7bh/lib/python3.10/site-packages/django/template/loader_tags.py in render(157)
  return compiled_parent._render(context)

/home/youser/.local/share/virtualenvs/news-site-columnist-8tsXn7bh/lib/python3.10/site-packages/django/test/utils.py in instrumented_test_render(112)
  return self.nodelist.render(context)

/home/youser/.local/share/virtualenvs/news-site-columnist-8tsXn7bh/lib/python3.10/site-packages/django/template/base.py in render(1005)
  return SafeString("".join([node.render_annotated(context) for node in self]))

/home/youser/.local/share/virtualenvs/news-site-columnist-8tsXn7bh/lib/python3.10/site-packages/django/template/base.py in <listcomp>(1005)
  return SafeString("".join([node.render_annotated(context) for node in self]))

/home/youser/.local/share/virtualenvs/news-site-columnist-8tsXn7bh/lib/python3.10/site-packages/django/template/base.py in render_annotated(966)
  return self.render(context)

/home/youser/.local/share/virtualenvs/news-site-columnist-8tsXn7bh/lib/python3.10/site-packages/template_timings_panel/panels/TemplateTimings.py in timing_hook(139)
  result = func(self, *args, **kwargs)

/home/youser/.local/share/virtualenvs/news-site-columnist-8tsXn7bh/lib/python3.10/site-packages/django/template/loader_tags.py in render(63)
  result = block.nodelist.render(context)

/home/youser/.local/share/virtualenvs/news-site-columnist-8tsXn7bh/lib/python3.10/site-packages/django/template/base.py in render(1005)
  return SafeString("".join([node.render_annotated(context) for node in self]))

/home/youser/.local/share/virtualenvs/news-site-columnist-8tsXn7bh/lib/python3.10/site-packages/django/template/base.py in <listcomp>(1005)
  return SafeString("".join([node.render_annotated(context) for node in self]))

/home/youser/.local/share/virtualenvs/news-site-columnist-8tsXn7bh/lib/python3.10/site-packages/django/template/base.py in render_annotated(966)
  return self.render(context)

/home/youser/.local/share/virtualenvs/news-site-columnist-8tsXn7bh/lib/python3.10/site-packages/template_timings_panel/panels/TemplateTimings.py in timing_hook(139)
  result = func(self, *args, **kwargs)

/home/youser/.local/share/virtualenvs/news-site-columnist-8tsXn7bh/lib/python3.10/site-packages/django/template/loader_tags.py in render(63)
  result = block.nodelist.render(context)

/home/youser/.local/share/virtualenvs/news-site-columnist-8tsXn7bh/lib/python3.10/site-packages/django/template/base.py in render(1005)
  return SafeString("".join([node.render_annotated(context) for node in self]))

/home/youser/.local/share/virtualenvs/news-site-columnist-8tsXn7bh/lib/python3.10/site-packages/django/template/base.py in <listcomp>(1005)
  return SafeString("".join([node.render_annotated(context) for node in self]))

/home/youser/.local/share/virtualenvs/news-site-columnist-8tsXn7bh/lib/python3.10/site-packages/django/template/base.py in render_annotated(966)
  return self.render(context)

/home/youser/.local/share/virtualenvs/news-site-columnist-8tsXn7bh/lib/python3.10/site-packages/django/template/loader_tags.py in render(208)
  return template.render(context)

/home/youser/.local/share/virtualenvs/news-site-columnist-8tsXn7bh/lib/python3.10/site-packages/template_timings_panel/panels/TemplateTimings.py in timing_hook(139)
  result = func(self, *args, **kwargs)

/home/youser/.local/share/virtualenvs/news-site-columnist-8tsXn7bh/lib/python3.10/site-packages/django/template/base.py in render(177)
  return self._render(context)

/home/youser/.local/share/virtualenvs/news-site-columnist-8tsXn7bh/lib/python3.10/site-packages/django/test/utils.py in instrumented_test_render(112)
  return self.nodelist.render(context)

/home/youser/.local/share/virtualenvs/news-site-columnist-8tsXn7bh/lib/python3.10/site-packages/django/template/base.py in render(1005)
  return SafeString("".join([node.render_annotated(context) for node in self]))

/home/youser/.local/share/virtualenvs/news-site-columnist-8tsXn7bh/lib/python3.10/site-packages/django/template/base.py in <listcomp>(1005)
  return SafeString("".join([node.render_annotated(context) for node in self]))

/home/youser/.local/share/virtualenvs/news-site-columnist-8tsXn7bh/lib/python3.10/site-packages/django/template/base.py in render_annotated(966)
  return self.render(context)

/home/youser/.local/share/virtualenvs/news-site-columnist-8tsXn7bh/lib/python3.10/site-packages/django/template/defaulttags.py in render(541)
  return self.nodelist.render(context)

/home/youser/.local/share/virtualenvs/news-site-columnist-8tsXn7bh/lib/python3.10/site-packages/django/template/base.py in render(1005)
  return SafeString("".join([node.render_annotated(context) for node in self]))

/home/youser/.local/share/virtualenvs/news-site-columnist-8tsXn7bh/lib/python3.10/site-packages/django/template/base.py in <listcomp>(1005)
  return SafeString("".join([node.render_annotated(context) for node in self]))

/home/youser/.local/share/virtualenvs/news-site-columnist-8tsXn7bh/lib/python3.10/site-packages/django/template/base.py in render_annotated(966)
  return self.render(context)

/home/youser/.local/share/virtualenvs/news-site-columnist-8tsXn7bh/lib/python3.10/site-packages/django/template/defaulttags.py in render(321)
  return nodelist.render(context)

/home/youser/.local/share/virtualenvs/news-site-columnist-8tsXn7bh/lib/python3.10/site-packages/django/template/base.py in render(1005)
  return SafeString("".join([node.render_annotated(context) for node in self]))

/home/youser/.local/share/virtualenvs/news-site-columnist-8tsXn7bh/lib/python3.10/site-packages/django/template/base.py in <listcomp>(1005)
  return SafeString("".join([node.render_annotated(context) for node in self]))

/home/youser/.local/share/virtualenvs/news-site-columnist-8tsXn7bh/lib/python3.10/site-packages/django/template/base.py in render_annotated(966)
  return self.render(context)

/home/youser/.local/share/virtualenvs/news-site-columnist-8tsXn7bh/lib/python3.10/site-packages/django/template/defaulttags.py in render(194)
  len_values = len(values)

84 "jobTitle": "{{ post.author.position|escapejs }}"
85 }],
86 "articleSection": "{% if is_column_post %}{% trans 'Контекст' %}{% else %}{{ post.category.name|default_if_none:''|escapejs }}{% endif %}",
87 "keywords": [{% if post.tags.all %}{% for tag in post.tags.all %}"{{ tag.name|escapejs }}"{% if not forloop.last %}, {% endif %}{% endfor %}{% endif %}],
88 "isAccessibleForFree": true,
89 "publisher": {"@id": "https://novyny.live/#organization"}
90 }
91 ]

/var/www/news-site-columnist/news/templates/news/includes/structured_data.html

SELECT "category"."id",
       "category"."created_at",
       "category"."updated_at",
       "category"."seo_title",
       "category"."seo_title_uk",
       "category"."seo_title_en",
       "category"."seo_title_ru",
       "category"."seo_description",
       "category"."seo_description_uk",
       "category"."seo_description_en",
       "category"."seo_description_ru",
       "category"."seo_keywords",
       "category"."seo_keywords_uk",
       "category"."seo_keywords_en",
       "category"."seo_keywords_ru",
       "category"."seo_header_one",
       "category"."seo_header_one_uk",
       "category"."seo_header_one_en",
       "category"."seo_header_one_ru",
       "category"."seo_news_title",
       "category"."seo_news_title_uk",
       "category"."seo_news_title_en",
       "category"."seo_news_title_ru",
       "category"."seo_news_description",
       "category"."seo_news_description_uk",
       "category"."seo_news_description_en",
       "category"."seo_news_description_ru",
       "category"."subdomain",
       "category"."parent_id",
       "category"."image",
       "category"."is_active",
       "category"."is_rss_active",
       "category"."is_interesting",
       "category"."ticker_rss_active",
       "category"."show_home",
       "category"."show_home_en",
       "category"."show_video",
       "category"."show_menu",
       "category"."show_menu_uk",
       "category"."show_menu_en",
       "category"."show_menu_ru",
       "category"."show_footer",
       "category"."show_menu_in_en",
       "category"."show_footer_in_en",
       "category"."show_in_search",
       "category"."show_in_header",
       "category"."show_in_header_uk",
       "category"."show_in_header_en",
       "category"."show_in_header_ru",
       "category"."seo_tag_id",
       "category"."sort_weight",
       "category"."sort_weight_en",
       "category"."header_sort_weight",
       "category"."header_sort_weight_uk",
       "category"."header_sort_weight_en",
       "category"."header_sort_weight_ru",
       "category"."footer_sort_weight",
       "category"."menu_sort_weight",
       "category"."name",
       "category"."name_uk",
       "category"."name_en",
       "category"."name_ru",
       "category"."slug",
       "category"."description",
       "category"."description_uk",
       "category"."description_en",
       "category"."description_ru",
       "category"."fb_link",
       "category"."tg_link",
       "category"."show_banner",
       "category"."uk_has_translation",
       "category"."ru_has_translation",
       "category"."en_has_translation",
       "category"."has_infinite_scroll",
       "category"."_show_home_without_subdomain",
       "category"."_show_home_without_subdomain_en",
       "category"."background_id",
       "category"."use_old_design",
       "category"."use_old_design_for_posts",
       "category"."is_context_category",
       "category"."show_stories_on_main",
       "category"."show_posts_table_of_contents",
       "category"."svg_icon"
  FROM "category"
 WHERE ("category"."ru_has_translation" AND NOT "category"."is_context_category" AND "category"."show_in_header_ru")
 ORDER BY "category"."header_sort_weight_ru" DESC
SELECT ••• FROM "category" WHERE ("category"."ru_has_translation" AND NOT "category"."is_context_category" AND "category"."show_in_header_ru") ORDER BY "category"."header_sort_weight_ru" DESC
3 similar queries. Duplicated 3 times.
2,18

Соединение: default

Статус транзакции: Ожидание

/home/youser/.local/share/virtualenvs/news-site-columnist-8tsXn7bh/bin/gunicorn in <module>(8)
  sys.exit(run())

/home/youser/.local/share/virtualenvs/news-site-columnist-8tsXn7bh/lib/python3.10/site-packages/gunicorn/app/wsgiapp.py in run(66)
  WSGIApplication("%(prog)s [OPTIONS] [APP_MODULE]", prog=prog).run()

/home/youser/.local/share/virtualenvs/news-site-columnist-8tsXn7bh/lib/python3.10/site-packages/gunicorn/app/base.py in run(235)
  super().run()

/home/youser/.local/share/virtualenvs/news-site-columnist-8tsXn7bh/lib/python3.10/site-packages/gunicorn/app/base.py in run(71)
  Arbiter(self).run()

/home/youser/.local/share/virtualenvs/news-site-columnist-8tsXn7bh/lib/python3.10/site-packages/gunicorn/arbiter.py in run(210)
  self.manage_workers()

/home/youser/.local/share/virtualenvs/news-site-columnist-8tsXn7bh/lib/python3.10/site-packages/gunicorn/arbiter.py in manage_workers(570)
  self.spawn_workers()

/home/youser/.local/share/virtualenvs/news-site-columnist-8tsXn7bh/lib/python3.10/site-packages/gunicorn/arbiter.py in spawn_workers(641)
  self.spawn_worker()

/home/youser/.local/share/virtualenvs/news-site-columnist-8tsXn7bh/lib/python3.10/site-packages/gunicorn/arbiter.py in spawn_worker(608)
  worker.init_process()

/home/youser/.local/share/virtualenvs/news-site-columnist-8tsXn7bh/lib/python3.10/site-packages/gunicorn/workers/base.py in init_process(143)
  self.run()

/home/youser/.local/share/virtualenvs/news-site-columnist-8tsXn7bh/lib/python3.10/site-packages/gunicorn/workers/sync.py in run(125)
  self.run_for_one(timeout)

/home/youser/.local/share/virtualenvs/news-site-columnist-8tsXn7bh/lib/python3.10/site-packages/gunicorn/workers/sync.py in run_for_one(69)
  self.accept(listener)

/home/youser/.local/share/virtualenvs/news-site-columnist-8tsXn7bh/lib/python3.10/site-packages/gunicorn/workers/sync.py in accept(31)
  self.handle(listener, client, addr)

/home/youser/.local/share/virtualenvs/news-site-columnist-8tsXn7bh/lib/python3.10/site-packages/gunicorn/workers/sync.py in handle(134)
  self.handle_request(listener, req, client, addr)

/home/youser/.local/share/virtualenvs/news-site-columnist-8tsXn7bh/lib/python3.10/site-packages/gunicorn/workers/sync.py in handle_request(177)
  respiter = self.wsgi(environ, resp.start_response)

/home/youser/.local/share/virtualenvs/news-site-columnist-8tsXn7bh/lib/python3.10/site-packages/sentry_sdk/utils.py in runner(1864)
  return sentry_patched_function(*args, **kwargs)

/home/youser/.local/share/virtualenvs/news-site-columnist-8tsXn7bh/lib/python3.10/site-packages/sentry_sdk/integrations/django/__init__.py in sentry_patched_wsgi_handler(191)
  return middleware(environ, start_response)

/home/youser/.local/share/virtualenvs/news-site-columnist-8tsXn7bh/lib/python3.10/site-packages/sentry_sdk/integrations/wsgi.py in __call__(132)
  response = self.app(

/home/youser/.local/share/virtualenvs/news-site-columnist-8tsXn7bh/lib/python3.10/site-packages/sentry_sdk/integrations/django/__init__.py in sentry_patched_get_response(478)
  rv = old_get_response(self, request)

/home/youser/.local/share/virtualenvs/news-site-columnist-8tsXn7bh/lib/python3.10/site-packages/sentry_sdk/integrations/django/middleware.py in __call__(177)
  return f(*args, **kwargs)

/home/youser/.local/share/virtualenvs/news-site-columnist-8tsXn7bh/lib/python3.10/site-packages/sentry_sdk/integrations/django/middleware.py in __call__(177)
  return f(*args, **kwargs)

/var/www/news-site-columnist/redirects/middleware/redirect_middleware.py in __call__(17)
  return self.get_response(request)

/home/youser/.local/share/virtualenvs/news-site-columnist-8tsXn7bh/lib/python3.10/site-packages/sentry_sdk/integrations/django/middleware.py in __call__(177)
  return f(*args, **kwargs)

/home/youser/.local/share/virtualenvs/news-site-columnist-8tsXn7bh/lib/python3.10/site-packages/sentry_sdk/integrations/django/middleware.py in __call__(177)
  return f(*args, **kwargs)

/home/youser/.local/share/virtualenvs/news-site-columnist-8tsXn7bh/lib/python3.10/site-packages/sentry_sdk/integrations/django/middleware.py in __call__(177)
  return f(*args, **kwargs)

/home/youser/.local/share/virtualenvs/news-site-columnist-8tsXn7bh/lib/python3.10/site-packages/sentry_sdk/integrations/django/middleware.py in __call__(177)
  return f(*args, **kwargs)

/home/youser/.local/share/virtualenvs/news-site-columnist-8tsXn7bh/lib/python3.10/site-packages/corsheaders/middleware.py in __call__(53)
  result = self.get_response(request)

/home/youser/.local/share/virtualenvs/news-site-columnist-8tsXn7bh/lib/python3.10/site-packages/sentry_sdk/integrations/django/middleware.py in __call__(177)
  return f(*args, **kwargs)

/home/youser/.local/share/virtualenvs/news-site-columnist-8tsXn7bh/lib/python3.10/site-packages/django_user_agents/middleware.py in __call__(14)
  return self.get_response(request)

/home/youser/.local/share/virtualenvs/news-site-columnist-8tsXn7bh/lib/python3.10/site-packages/sentry_sdk/integrations/django/middleware.py in __call__(177)
  return f(*args, **kwargs)

/home/youser/.local/share/virtualenvs/news-site-columnist-8tsXn7bh/lib/python3.10/site-packages/sentry_sdk/integrations/django/middleware.py in __call__(177)
  return f(*args, **kwargs)

/home/youser/.local/share/virtualenvs/news-site-columnist-8tsXn7bh/lib/python3.10/site-packages/sentry_sdk/integrations/django/middleware.py in __call__(177)
  return f(*args, **kwargs)

/home/youser/.local/share/virtualenvs/news-site-columnist-8tsXn7bh/lib/python3.10/site-packages/sentry_sdk/integrations/django/middleware.py in __call__(177)
  return f(*args, **kwargs)

/home/youser/.local/share/virtualenvs/news-site-columnist-8tsXn7bh/lib/python3.10/site-packages/sentry_sdk/integrations/django/middleware.py in __call__(177)
  return f(*args, **kwargs)

/home/youser/.local/share/virtualenvs/news-site-columnist-8tsXn7bh/lib/python3.10/site-packages/sentry_sdk/integrations/django/middleware.py in __call__(177)
  return f(*args, **kwargs)

/home/youser/.local/share/virtualenvs/news-site-columnist-8tsXn7bh/lib/python3.10/site-packages/sentry_sdk/integrations/django/middleware.py in __call__(177)
  return f(*args, **kwargs)

/home/youser/.local/share/virtualenvs/news-site-columnist-8tsXn7bh/lib/python3.10/site-packages/sentry_sdk/integrations/django/middleware.py in __call__(177)
  return f(*args, **kwargs)

/var/www/news-site-columnist/news/middleware/subdomain_middleare.py in __call__(22)
  response = self.get_response(request)

/home/youser/.local/share/virtualenvs/news-site-columnist-8tsXn7bh/lib/python3.10/site-packages/sentry_sdk/integrations/django/views.py in sentry_patched_render(41)
  return old_render(self)

/home/youser/.local/share/virtualenvs/news-site-columnist-8tsXn7bh/lib/python3.10/site-packages/django/template/response.py in render(114)
  self.content = self.rendered_content

/home/youser/.local/share/virtualenvs/news-site-columnist-8tsXn7bh/lib/python3.10/site-packages/sentry_sdk/utils.py in runner(1864)
  return sentry_patched_function(*args, **kwargs)

/home/youser/.local/share/virtualenvs/news-site-columnist-8tsXn7bh/lib/python3.10/site-packages/sentry_sdk/integrations/django/templates.py in rendered_content(77)
  return real_rendered_content.fget(self)

/home/youser/.local/share/virtualenvs/news-site-columnist-8tsXn7bh/lib/python3.10/site-packages/django/template/response.py in rendered_content(92)
  return template.render(context, self._request)

/home/youser/.local/share/virtualenvs/news-site-columnist-8tsXn7bh/lib/python3.10/site-packages/django/template/backends/django.py in render(61)
  return self.template.render(context)

/home/youser/.local/share/virtualenvs/news-site-columnist-8tsXn7bh/lib/python3.10/site-packages/template_timings_panel/panels/TemplateTimings.py in timing_hook(139)
  result = func(self, *args, **kwargs)

/home/youser/.local/share/virtualenvs/news-site-columnist-8tsXn7bh/lib/python3.10/site-packages/django/template/base.py in render(175)
  return self._render(context)

/home/youser/.local/share/virtualenvs/news-site-columnist-8tsXn7bh/lib/python3.10/site-packages/django/test/utils.py in instrumented_test_render(112)
  return self.nodelist.render(context)

/home/youser/.local/share/virtualenvs/news-site-columnist-8tsXn7bh/lib/python3.10/site-packages/django/template/base.py in render(1005)
  return SafeString("".join([node.render_annotated(context) for node in self]))

/home/youser/.local/share/virtualenvs/news-site-columnist-8tsXn7bh/lib/python3.10/site-packages/django/template/base.py in <listcomp>(1005)
  return SafeString("".join([node.render_annotated(context) for node in self]))

/home/youser/.local/share/virtualenvs/news-site-columnist-8tsXn7bh/lib/python3.10/site-packages/django/template/base.py in render_annotated(966)
  return self.render(context)

/home/youser/.local/share/virtualenvs/news-site-columnist-8tsXn7bh/lib/python3.10/site-packages/django/template/loader_tags.py in render(157)
  return compiled_parent._render(context)

/home/youser/.local/share/virtualenvs/news-site-columnist-8tsXn7bh/lib/python3.10/site-packages/django/test/utils.py in instrumented_test_render(112)
  return self.nodelist.render(context)

/home/youser/.local/share/virtualenvs/news-site-columnist-8tsXn7bh/lib/python3.10/site-packages/django/template/base.py in render(1005)
  return SafeString("".join([node.render_annotated(context) for node in self]))

/home/youser/.local/share/virtualenvs/news-site-columnist-8tsXn7bh/lib/python3.10/site-packages/django/template/base.py in <listcomp>(1005)
  return SafeString("".join([node.render_annotated(context) for node in self]))

/home/youser/.local/share/virtualenvs/news-site-columnist-8tsXn7bh/lib/python3.10/site-packages/django/template/base.py in render_annotated(966)
  return self.render(context)

/home/youser/.local/share/virtualenvs/news-site-columnist-8tsXn7bh/lib/python3.10/site-packages/template_timings_panel/panels/TemplateTimings.py in timing_hook(139)
  result = func(self, *args, **kwargs)

/home/youser/.local/share/virtualenvs/news-site-columnist-8tsXn7bh/lib/python3.10/site-packages/django/template/loader_tags.py in render(63)
  result = block.nodelist.render(context)

/home/youser/.local/share/virtualenvs/news-site-columnist-8tsXn7bh/lib/python3.10/site-packages/django/template/base.py in render(1005)
  return SafeString("".join([node.render_annotated(context) for node in self]))

/home/youser/.local/share/virtualenvs/news-site-columnist-8tsXn7bh/lib/python3.10/site-packages/django/template/base.py in <listcomp>(1005)
  return SafeString("".join([node.render_annotated(context) for node in self]))

/home/youser/.local/share/virtualenvs/news-site-columnist-8tsXn7bh/lib/python3.10/site-packages/django/template/base.py in render_annotated(966)
  return self.render(context)

/home/youser/.local/share/virtualenvs/news-site-columnist-8tsXn7bh/lib/python3.10/site-packages/django/template/loader_tags.py in render(208)
  return template.render(context)

/home/youser/.local/share/virtualenvs/news-site-columnist-8tsXn7bh/lib/python3.10/site-packages/template_timings_panel/panels/TemplateTimings.py in timing_hook(139)
  result = func(self, *args, **kwargs)

/home/youser/.local/share/virtualenvs/news-site-columnist-8tsXn7bh/lib/python3.10/site-packages/django/template/base.py in render(177)
  return self._render(context)

/home/youser/.local/share/virtualenvs/news-site-columnist-8tsXn7bh/lib/python3.10/site-packages/django/test/utils.py in instrumented_test_render(112)
  return self.nodelist.render(context)

/home/youser/.local/share/virtualenvs/news-site-columnist-8tsXn7bh/lib/python3.10/site-packages/django/template/base.py in render(1005)
  return SafeString("".join([node.render_annotated(context) for node in self]))

/home/youser/.local/share/virtualenvs/news-site-columnist-8tsXn7bh/lib/python3.10/site-packages/django/template/base.py in <listcomp>(1005)
  return SafeString("".join([node.render_annotated(context) for node in self]))

/home/youser/.local/share/virtualenvs/news-site-columnist-8tsXn7bh/lib/python3.10/site-packages/django/template/base.py in render_annotated(966)
  return self.render(context)

/home/youser/.local/share/virtualenvs/news-site-columnist-8tsXn7bh/lib/python3.10/site-packages/django/template/library.py in render(237)
  output = self.func(*resolved_args, **resolved_kwargs)

/var/www/news-site-columnist/news/templatetags/custom_tags.py in get_navigation_items(50)
  for cat in categories.all():

10 </a>
11 <div class="header__center">
12 <nav class="nav">
13 {% get_navigation_items as navigation_items %}
14 {% for item in navigation_items %}
15 {% if item.is_region %}
16 <div class="nav__item nav__item-submenu">
17 <a class="hover-dark-text" href="{{ item.link }}">

/var/www/news-site-columnist/news/templates/new-design/components/header.html

SELECT "category"."id",
       "category"."created_at",
       "category"."updated_at",
       "category"."seo_title",
       "category"."seo_title_uk",
       "category"."seo_title_en",
       "category"."seo_title_ru",
       "category"."seo_description",
       "category"."seo_description_uk",
       "category"."seo_description_en",
       "category"."seo_description_ru",
       "category"."seo_keywords",
       "category"."seo_keywords_uk",
       "category"."seo_keywords_en",
       "category"."seo_keywords_ru",
       "category"."seo_header_one",
       "category"."seo_header_one_uk",
       "category"."seo_header_one_en",
       "category"."seo_header_one_ru",
       "category"."seo_news_title",
       "category"."seo_news_title_uk",
       "category"."seo_news_title_en",
       "category"."seo_news_title_ru",
       "category"."seo_news_description",
       "category"."seo_news_description_uk",
       "category"."seo_news_description_en",
       "category"."seo_news_description_ru",
       "category"."subdomain",
       "category"."parent_id",
       "category"."image",
       "category"."is_active",
       "category"."is_rss_active",
       "category"."is_interesting",
       "category"."ticker_rss_active",
       "category"."show_home",
       "category"."show_home_en",
       "category"."show_video",
       "category"."show_menu",
       "category"."show_menu_uk",
       "category"."show_menu_en",
       "category"."show_menu_ru",
       "category"."show_footer",
       "category"."show_menu_in_en",
       "category"."show_footer_in_en",
       "category"."show_in_search",
       "category"."show_in_header",
       "category"."show_in_header_uk",
       "category"."show_in_header_en",
       "category"."show_in_header_ru",
       "category"."seo_tag_id",
       "category"."sort_weight",
       "category"."sort_weight_en",
       "category"."header_sort_weight",
       "category"."header_sort_weight_uk",
       "category"."header_sort_weight_en",
       "category"."header_sort_weight_ru",
       "category"."footer_sort_weight",
       "category"."menu_sort_weight",
       "category"."name",
       "category"."name_uk",
       "category"."name_en",
       "category"."name_ru",
       "category"."slug",
       "category"."description",
       "category"."description_uk",
       "category"."description_en",
       "category"."description_ru",
       "category"."fb_link",
       "category"."tg_link",
       "category"."show_banner",
       "category"."uk_has_translation",
       "category"."ru_has_translation",
       "category"."en_has_translation",
       "category"."has_infinite_scroll",
       "category"."_show_home_without_subdomain",
       "category"."_show_home_without_subdomain_en",
       "category"."background_id",
       "category"."use_old_design",
       "category"."use_old_design_for_posts",
       "category"."is_context_category",
       "category"."show_stories_on_main",
       "category"."show_posts_table_of_contents",
       "category"."svg_icon"
  FROM "category"
 WHERE ("category"."ru_has_translation" AND NOT "category"."is_context_category" AND "category"."name_uk" IN ('Київ', 'Одеса', 'Харків', 'Львів'))
SELECT ••• FROM "category" WHERE ("category"."ru_has_translation" AND NOT "category"."is_context_category" AND "category"."name_uk" IN ('Київ', 'Одеса', 'Харків', 'Львів'))
2 similar queries. Duplicated 2 times.
3,88

Соединение: default

Статус транзакции: Ожидание

/home/youser/.local/share/virtualenvs/news-site-columnist-8tsXn7bh/bin/gunicorn in <module>(8)
  sys.exit(run())

/home/youser/.local/share/virtualenvs/news-site-columnist-8tsXn7bh/lib/python3.10/site-packages/gunicorn/app/wsgiapp.py in run(66)
  WSGIApplication("%(prog)s [OPTIONS] [APP_MODULE]", prog=prog).run()

/home/youser/.local/share/virtualenvs/news-site-columnist-8tsXn7bh/lib/python3.10/site-packages/gunicorn/app/base.py in run(235)
  super().run()

/home/youser/.local/share/virtualenvs/news-site-columnist-8tsXn7bh/lib/python3.10/site-packages/gunicorn/app/base.py in run(71)
  Arbiter(self).run()

/home/youser/.local/share/virtualenvs/news-site-columnist-8tsXn7bh/lib/python3.10/site-packages/gunicorn/arbiter.py in run(210)
  self.manage_workers()

/home/youser/.local/share/virtualenvs/news-site-columnist-8tsXn7bh/lib/python3.10/site-packages/gunicorn/arbiter.py in manage_workers(570)
  self.spawn_workers()

/home/youser/.local/share/virtualenvs/news-site-columnist-8tsXn7bh/lib/python3.10/site-packages/gunicorn/arbiter.py in spawn_workers(641)
  self.spawn_worker()

/home/youser/.local/share/virtualenvs/news-site-columnist-8tsXn7bh/lib/python3.10/site-packages/gunicorn/arbiter.py in spawn_worker(608)
  worker.init_process()

/home/youser/.local/share/virtualenvs/news-site-columnist-8tsXn7bh/lib/python3.10/site-packages/gunicorn/workers/base.py in init_process(143)
  self.run()

/home/youser/.local/share/virtualenvs/news-site-columnist-8tsXn7bh/lib/python3.10/site-packages/gunicorn/workers/sync.py in run(125)
  self.run_for_one(timeout)

/home/youser/.local/share/virtualenvs/news-site-columnist-8tsXn7bh/lib/python3.10/site-packages/gunicorn/workers/sync.py in run_for_one(69)
  self.accept(listener)

/home/youser/.local/share/virtualenvs/news-site-columnist-8tsXn7bh/lib/python3.10/site-packages/gunicorn/workers/sync.py in accept(31)
  self.handle(listener, client, addr)

/home/youser/.local/share/virtualenvs/news-site-columnist-8tsXn7bh/lib/python3.10/site-packages/gunicorn/workers/sync.py in handle(134)
  self.handle_request(listener, req, client, addr)

/home/youser/.local/share/virtualenvs/news-site-columnist-8tsXn7bh/lib/python3.10/site-packages/gunicorn/workers/sync.py in handle_request(177)
  respiter = self.wsgi(environ, resp.start_response)

/home/youser/.local/share/virtualenvs/news-site-columnist-8tsXn7bh/lib/python3.10/site-packages/sentry_sdk/utils.py in runner(1864)
  return sentry_patched_function(*args, **kwargs)

/home/youser/.local/share/virtualenvs/news-site-columnist-8tsXn7bh/lib/python3.10/site-packages/sentry_sdk/integrations/django/__init__.py in sentry_patched_wsgi_handler(191)
  return middleware(environ, start_response)

/home/youser/.local/share/virtualenvs/news-site-columnist-8tsXn7bh/lib/python3.10/site-packages/sentry_sdk/integrations/wsgi.py in __call__(132)
  response = self.app(

/home/youser/.local/share/virtualenvs/news-site-columnist-8tsXn7bh/lib/python3.10/site-packages/sentry_sdk/integrations/django/__init__.py in sentry_patched_get_response(478)
  rv = old_get_response(self, request)

/home/youser/.local/share/virtualenvs/news-site-columnist-8tsXn7bh/lib/python3.10/site-packages/sentry_sdk/integrations/django/middleware.py in __call__(177)
  return f(*args, **kwargs)

/home/youser/.local/share/virtualenvs/news-site-columnist-8tsXn7bh/lib/python3.10/site-packages/sentry_sdk/integrations/django/middleware.py in __call__(177)
  return f(*args, **kwargs)

/var/www/news-site-columnist/redirects/middleware/redirect_middleware.py in __call__(17)
  return self.get_response(request)

/home/youser/.local/share/virtualenvs/news-site-columnist-8tsXn7bh/lib/python3.10/site-packages/sentry_sdk/integrations/django/middleware.py in __call__(177)
  return f(*args, **kwargs)

/home/youser/.local/share/virtualenvs/news-site-columnist-8tsXn7bh/lib/python3.10/site-packages/sentry_sdk/integrations/django/middleware.py in __call__(177)
  return f(*args, **kwargs)

/home/youser/.local/share/virtualenvs/news-site-columnist-8tsXn7bh/lib/python3.10/site-packages/sentry_sdk/integrations/django/middleware.py in __call__(177)
  return f(*args, **kwargs)

/home/youser/.local/share/virtualenvs/news-site-columnist-8tsXn7bh/lib/python3.10/site-packages/sentry_sdk/integrations/django/middleware.py in __call__(177)
  return f(*args, **kwargs)

/home/youser/.local/share/virtualenvs/news-site-columnist-8tsXn7bh/lib/python3.10/site-packages/corsheaders/middleware.py in __call__(53)
  result = self.get_response(request)

/home/youser/.local/share/virtualenvs/news-site-columnist-8tsXn7bh/lib/python3.10/site-packages/sentry_sdk/integrations/django/middleware.py in __call__(177)
  return f(*args, **kwargs)

/home/youser/.local/share/virtualenvs/news-site-columnist-8tsXn7bh/lib/python3.10/site-packages/django_user_agents/middleware.py in __call__(14)
  return self.get_response(request)

/home/youser/.local/share/virtualenvs/news-site-columnist-8tsXn7bh/lib/python3.10/site-packages/sentry_sdk/integrations/django/middleware.py in __call__(177)
  return f(*args, **kwargs)

/home/youser/.local/share/virtualenvs/news-site-columnist-8tsXn7bh/lib/python3.10/site-packages/sentry_sdk/integrations/django/middleware.py in __call__(177)
  return f(*args, **kwargs)

/home/youser/.local/share/virtualenvs/news-site-columnist-8tsXn7bh/lib/python3.10/site-packages/sentry_sdk/integrations/django/middleware.py in __call__(177)
  return f(*args, **kwargs)

/home/youser/.local/share/virtualenvs/news-site-columnist-8tsXn7bh/lib/python3.10/site-packages/sentry_sdk/integrations/django/middleware.py in __call__(177)
  return f(*args, **kwargs)

/home/youser/.local/share/virtualenvs/news-site-columnist-8tsXn7bh/lib/python3.10/site-packages/sentry_sdk/integrations/django/middleware.py in __call__(177)
  return f(*args, **kwargs)

/home/youser/.local/share/virtualenvs/news-site-columnist-8tsXn7bh/lib/python3.10/site-packages/sentry_sdk/integrations/django/middleware.py in __call__(177)
  return f(*args, **kwargs)

/home/youser/.local/share/virtualenvs/news-site-columnist-8tsXn7bh/lib/python3.10/site-packages/sentry_sdk/integrations/django/middleware.py in __call__(177)
  return f(*args, **kwargs)

/home/youser/.local/share/virtualenvs/news-site-columnist-8tsXn7bh/lib/python3.10/site-packages/sentry_sdk/integrations/django/middleware.py in __call__(177)
  return f(*args, **kwargs)

/var/www/news-site-columnist/news/middleware/subdomain_middleare.py in __call__(22)
  response = self.get_response(request)

/home/youser/.local/share/virtualenvs/news-site-columnist-8tsXn7bh/lib/python3.10/site-packages/sentry_sdk/integrations/django/views.py in sentry_patched_render(41)
  return old_render(self)

/home/youser/.local/share/virtualenvs/news-site-columnist-8tsXn7bh/lib/python3.10/site-packages/django/template/response.py in render(114)
  self.content = self.rendered_content

/home/youser/.local/share/virtualenvs/news-site-columnist-8tsXn7bh/lib/python3.10/site-packages/sentry_sdk/utils.py in runner(1864)
  return sentry_patched_function(*args, **kwargs)

/home/youser/.local/share/virtualenvs/news-site-columnist-8tsXn7bh/lib/python3.10/site-packages/sentry_sdk/integrations/django/templates.py in rendered_content(77)
  return real_rendered_content.fget(self)

/home/youser/.local/share/virtualenvs/news-site-columnist-8tsXn7bh/lib/python3.10/site-packages/django/template/response.py in rendered_content(92)
  return template.render(context, self._request)

/home/youser/.local/share/virtualenvs/news-site-columnist-8tsXn7bh/lib/python3.10/site-packages/django/template/backends/django.py in render(61)
  return self.template.render(context)

/home/youser/.local/share/virtualenvs/news-site-columnist-8tsXn7bh/lib/python3.10/site-packages/template_timings_panel/panels/TemplateTimings.py in timing_hook(139)
  result = func(self, *args, **kwargs)

/home/youser/.local/share/virtualenvs/news-site-columnist-8tsXn7bh/lib/python3.10/site-packages/django/template/base.py in render(175)
  return self._render(context)

/home/youser/.local/share/virtualenvs/news-site-columnist-8tsXn7bh/lib/python3.10/site-packages/django/test/utils.py in instrumented_test_render(112)
  return self.nodelist.render(context)

/home/youser/.local/share/virtualenvs/news-site-columnist-8tsXn7bh/lib/python3.10/site-packages/django/template/base.py in render(1005)
  return SafeString("".join([node.render_annotated(context) for node in self]))

/home/youser/.local/share/virtualenvs/news-site-columnist-8tsXn7bh/lib/python3.10/site-packages/django/template/base.py in <listcomp>(1005)
  return SafeString("".join([node.render_annotated(context) for node in self]))

/home/youser/.local/share/virtualenvs/news-site-columnist-8tsXn7bh/lib/python3.10/site-packages/django/template/base.py in render_annotated(966)
  return self.render(context)

/home/youser/.local/share/virtualenvs/news-site-columnist-8tsXn7bh/lib/python3.10/site-packages/django/template/loader_tags.py in render(157)
  return compiled_parent._render(context)

/home/youser/.local/share/virtualenvs/news-site-columnist-8tsXn7bh/lib/python3.10/site-packages/django/test/utils.py in instrumented_test_render(112)
  return self.nodelist.render(context)

/home/youser/.local/share/virtualenvs/news-site-columnist-8tsXn7bh/lib/python3.10/site-packages/django/template/base.py in render(1005)
  return SafeString("".join([node.render_annotated(context) for node in self]))

/home/youser/.local/share/virtualenvs/news-site-columnist-8tsXn7bh/lib/python3.10/site-packages/django/template/base.py in <listcomp>(1005)
  return SafeString("".join([node.render_annotated(context) for node in self]))

/home/youser/.local/share/virtualenvs/news-site-columnist-8tsXn7bh/lib/python3.10/site-packages/django/template/base.py in render_annotated(966)
  return self.render(context)

/home/youser/.local/share/virtualenvs/news-site-columnist-8tsXn7bh/lib/python3.10/site-packages/template_timings_panel/panels/TemplateTimings.py in timing_hook(139)
  result = func(self, *args, **kwargs)

/home/youser/.local/share/virtualenvs/news-site-columnist-8tsXn7bh/lib/python3.10/site-packages/django/template/loader_tags.py in render(63)
  result = block.nodelist.render(context)

/home/youser/.local/share/virtualenvs/news-site-columnist-8tsXn7bh/lib/python3.10/site-packages/django/template/base.py in render(1005)
  return SafeString("".join([node.render_annotated(context) for node in self]))

/home/youser/.local/share/virtualenvs/news-site-columnist-8tsXn7bh/lib/python3.10/site-packages/django/template/base.py in <listcomp>(1005)
  return SafeString("".join([node.render_annotated(context) for node in self]))

/home/youser/.local/share/virtualenvs/news-site-columnist-8tsXn7bh/lib/python3.10/site-packages/django/template/base.py in render_annotated(966)
  return self.render(context)

/home/youser/.local/share/virtualenvs/news-site-columnist-8tsXn7bh/lib/python3.10/site-packages/django/template/loader_tags.py in render(208)
  return template.render(context)

/home/youser/.local/share/virtualenvs/news-site-columnist-8tsXn7bh/lib/python3.10/site-packages/template_timings_panel/panels/TemplateTimings.py in timing_hook(139)
  result = func(self, *args, **kwargs)

/home/youser/.local/share/virtualenvs/news-site-columnist-8tsXn7bh/lib/python3.10/site-packages/django/template/base.py in render(177)
  return self._render(context)

/home/youser/.local/share/virtualenvs/news-site-columnist-8tsXn7bh/lib/python3.10/site-packages/django/test/utils.py in instrumented_test_render(112)
  return self.nodelist.render(context)

/home/youser/.local/share/virtualenvs/news-site-columnist-8tsXn7bh/lib/python3.10/site-packages/django/template/base.py in render(1005)
  return SafeString("".join([node.render_annotated(context) for node in self]))

/home/youser/.local/share/virtualenvs/news-site-columnist-8tsXn7bh/lib/python3.10/site-packages/django/template/base.py in <listcomp>(1005)
  return SafeString("".join([node.render_annotated(context) for node in self]))

/home/youser/.local/share/virtualenvs/news-site-columnist-8tsXn7bh/lib/python3.10/site-packages/django/template/base.py in render_annotated(966)
  return self.render(context)

/home/youser/.local/share/virtualenvs/news-site-columnist-8tsXn7bh/lib/python3.10/site-packages/django/template/defaulttags.py in render(238)
  nodelist.append(node.render_annotated(context))

/home/youser/.local/share/virtualenvs/news-site-columnist-8tsXn7bh/lib/python3.10/site-packages/django/template/base.py in render_annotated(966)
  return self.render(context)

/home/youser/.local/share/virtualenvs/news-site-columnist-8tsXn7bh/lib/python3.10/site-packages/django/template/defaulttags.py in render(321)
  return nodelist.render(context)

/home/youser/.local/share/virtualenvs/news-site-columnist-8tsXn7bh/lib/python3.10/site-packages/django/template/base.py in render(1005)
  return SafeString("".join([node.render_annotated(context) for node in self]))

/home/youser/.local/share/virtualenvs/news-site-columnist-8tsXn7bh/lib/python3.10/site-packages/django/template/base.py in <listcomp>(1005)
  return SafeString("".join([node.render_annotated(context) for node in self]))

/home/youser/.local/share/virtualenvs/news-site-columnist-8tsXn7bh/lib/python3.10/site-packages/django/template/base.py in render_annotated(966)
  return self.render(context)

/home/youser/.local/share/virtualenvs/news-site-columnist-8tsXn7bh/lib/python3.10/site-packages/django/template/defaulttags.py in render(194)
  len_values = len(values)

28 </a>
29 <nav class="nav__submenu">
30 {% get_regions_categoires as regions %}
31 {% for region in regions %}
32 <a href="{{ region.get_absolute_url }}" class="nav__submenu_itm">{{ region.name }}</a>
33 {% endfor %}
34 </nav>
35 </div>

/var/www/news-site-columnist/news/templates/new-design/components/header.html

SELECT "site_settings_mobiletoolbaritem"."id",
       "site_settings_mobiletoolbaritem"."photo",
       "site_settings_mobiletoolbaritem"."photo_2",
       "site_settings_mobiletoolbaritem"."title",
       "site_settings_mobiletoolbaritem"."title_uk",
       "site_settings_mobiletoolbaritem"."title_en",
       "site_settings_mobiletoolbaritem"."title_ru",
       "site_settings_mobiletoolbaritem"."link",
       "site_settings_mobiletoolbaritem"."link_uk",
       "site_settings_mobiletoolbaritem"."link_en",
       "site_settings_mobiletoolbaritem"."link_ru",
       "site_settings_mobiletoolbaritem"."sort_weight",
       "site_settings_mobiletoolbaritem"."analytics_class"
  FROM "site_settings_mobiletoolbaritem"
 WHERE "site_settings_mobiletoolbaritem"."title_uk" = 'Допомога'
 LIMIT 21
SELECT ••• FROM "site_settings_mobiletoolbaritem" WHERE "site_settings_mobiletoolbaritem"."title_uk" = 'Допомога' LIMIT 21
0,98

Соединение: default

Статус транзакции: Ожидание

/home/youser/.local/share/virtualenvs/news-site-columnist-8tsXn7bh/bin/gunicorn in <module>(8)
  sys.exit(run())

/home/youser/.local/share/virtualenvs/news-site-columnist-8tsXn7bh/lib/python3.10/site-packages/gunicorn/app/wsgiapp.py in run(66)
  WSGIApplication("%(prog)s [OPTIONS] [APP_MODULE]", prog=prog).run()

/home/youser/.local/share/virtualenvs/news-site-columnist-8tsXn7bh/lib/python3.10/site-packages/gunicorn/app/base.py in run(235)
  super().run()

/home/youser/.local/share/virtualenvs/news-site-columnist-8tsXn7bh/lib/python3.10/site-packages/gunicorn/app/base.py in run(71)
  Arbiter(self).run()

/home/youser/.local/share/virtualenvs/news-site-columnist-8tsXn7bh/lib/python3.10/site-packages/gunicorn/arbiter.py in run(210)
  self.manage_workers()

/home/youser/.local/share/virtualenvs/news-site-columnist-8tsXn7bh/lib/python3.10/site-packages/gunicorn/arbiter.py in manage_workers(570)
  self.spawn_workers()

/home/youser/.local/share/virtualenvs/news-site-columnist-8tsXn7bh/lib/python3.10/site-packages/gunicorn/arbiter.py in spawn_workers(641)
  self.spawn_worker()

/home/youser/.local/share/virtualenvs/news-site-columnist-8tsXn7bh/lib/python3.10/site-packages/gunicorn/arbiter.py in spawn_worker(608)
  worker.init_process()

/home/youser/.local/share/virtualenvs/news-site-columnist-8tsXn7bh/lib/python3.10/site-packages/gunicorn/workers/base.py in init_process(143)
  self.run()

/home/youser/.local/share/virtualenvs/news-site-columnist-8tsXn7bh/lib/python3.10/site-packages/gunicorn/workers/sync.py in run(125)
  self.run_for_one(timeout)

/home/youser/.local/share/virtualenvs/news-site-columnist-8tsXn7bh/lib/python3.10/site-packages/gunicorn/workers/sync.py in run_for_one(69)
  self.accept(listener)

/home/youser/.local/share/virtualenvs/news-site-columnist-8tsXn7bh/lib/python3.10/site-packages/gunicorn/workers/sync.py in accept(31)
  self.handle(listener, client, addr)

/home/youser/.local/share/virtualenvs/news-site-columnist-8tsXn7bh/lib/python3.10/site-packages/gunicorn/workers/sync.py in handle(134)
  self.handle_request(listener, req, client, addr)

/home/youser/.local/share/virtualenvs/news-site-columnist-8tsXn7bh/lib/python3.10/site-packages/gunicorn/workers/sync.py in handle_request(177)
  respiter = self.wsgi(environ, resp.start_response)

/home/youser/.local/share/virtualenvs/news-site-columnist-8tsXn7bh/lib/python3.10/site-packages/sentry_sdk/utils.py in runner(1864)
  return sentry_patched_function(*args, **kwargs)

/home/youser/.local/share/virtualenvs/news-site-columnist-8tsXn7bh/lib/python3.10/site-packages/sentry_sdk/integrations/django/__init__.py in sentry_patched_wsgi_handler(191)
  return middleware(environ, start_response)

/home/youser/.local/share/virtualenvs/news-site-columnist-8tsXn7bh/lib/python3.10/site-packages/sentry_sdk/integrations/wsgi.py in __call__(132)
  response = self.app(

/home/youser/.local/share/virtualenvs/news-site-columnist-8tsXn7bh/lib/python3.10/site-packages/sentry_sdk/integrations/django/__init__.py in sentry_patched_get_response(478)
  rv = old_get_response(self, request)

/home/youser/.local/share/virtualenvs/news-site-columnist-8tsXn7bh/lib/python3.10/site-packages/sentry_sdk/integrations/django/middleware.py in __call__(177)
  return f(*args, **kwargs)

/home/youser/.local/share/virtualenvs/news-site-columnist-8tsXn7bh/lib/python3.10/site-packages/sentry_sdk/integrations/django/middleware.py in __call__(177)
  return f(*args, **kwargs)

/var/www/news-site-columnist/redirects/middleware/redirect_middleware.py in __call__(17)
  return self.get_response(request)

/home/youser/.local/share/virtualenvs/news-site-columnist-8tsXn7bh/lib/python3.10/site-packages/sentry_sdk/integrations/django/middleware.py in __call__(177)
  return f(*args, **kwargs)

/home/youser/.local/share/virtualenvs/news-site-columnist-8tsXn7bh/lib/python3.10/site-packages/sentry_sdk/integrations/django/middleware.py in __call__(177)
  return f(*args, **kwargs)

/home/youser/.local/share/virtualenvs/news-site-columnist-8tsXn7bh/lib/python3.10/site-packages/sentry_sdk/integrations/django/middleware.py in __call__(177)
  return f(*args, **kwargs)

/home/youser/.local/share/virtualenvs/news-site-columnist-8tsXn7bh/lib/python3.10/site-packages/sentry_sdk/integrations/django/middleware.py in __call__(177)
  return f(*args, **kwargs)

/home/youser/.local/share/virtualenvs/news-site-columnist-8tsXn7bh/lib/python3.10/site-packages/corsheaders/middleware.py in __call__(53)
  result = self.get_response(request)

/home/youser/.local/share/virtualenvs/news-site-columnist-8tsXn7bh/lib/python3.10/site-packages/sentry_sdk/integrations/django/middleware.py in __call__(177)
  return f(*args, **kwargs)

/home/youser/.local/share/virtualenvs/news-site-columnist-8tsXn7bh/lib/python3.10/site-packages/django_user_agents/middleware.py in __call__(14)
  return self.get_response(request)

/home/youser/.local/share/virtualenvs/news-site-columnist-8tsXn7bh/lib/python3.10/site-packages/sentry_sdk/integrations/django/middleware.py in __call__(177)
  return f(*args, **kwargs)

/home/youser/.local/share/virtualenvs/news-site-columnist-8tsXn7bh/lib/python3.10/site-packages/sentry_sdk/integrations/django/middleware.py in __call__(177)
  return f(*args, **kwargs)

/home/youser/.local/share/virtualenvs/news-site-columnist-8tsXn7bh/lib/python3.10/site-packages/sentry_sdk/integrations/django/middleware.py in __call__(177)
  return f(*args, **kwargs)

/home/youser/.local/share/virtualenvs/news-site-columnist-8tsXn7bh/lib/python3.10/site-packages/sentry_sdk/integrations/django/middleware.py in __call__(177)
  return f(*args, **kwargs)

/home/youser/.local/share/virtualenvs/news-site-columnist-8tsXn7bh/lib/python3.10/site-packages/sentry_sdk/integrations/django/middleware.py in __call__(177)
  return f(*args, **kwargs)

/home/youser/.local/share/virtualenvs/news-site-columnist-8tsXn7bh/lib/python3.10/site-packages/sentry_sdk/integrations/django/middleware.py in __call__(177)
  return f(*args, **kwargs)

/home/youser/.local/share/virtualenvs/news-site-columnist-8tsXn7bh/lib/python3.10/site-packages/sentry_sdk/integrations/django/middleware.py in __call__(177)
  return f(*args, **kwargs)

/home/youser/.local/share/virtualenvs/news-site-columnist-8tsXn7bh/lib/python3.10/site-packages/sentry_sdk/integrations/django/middleware.py in __call__(177)
  return f(*args, **kwargs)

/var/www/news-site-columnist/news/middleware/subdomain_middleare.py in __call__(22)
  response = self.get_response(request)

/home/youser/.local/share/virtualenvs/news-site-columnist-8tsXn7bh/lib/python3.10/site-packages/sentry_sdk/integrations/django/views.py in sentry_patched_render(41)
  return old_render(self)

/home/youser/.local/share/virtualenvs/news-site-columnist-8tsXn7bh/lib/python3.10/site-packages/django/template/response.py in render(114)
  self.content = self.rendered_content

/home/youser/.local/share/virtualenvs/news-site-columnist-8tsXn7bh/lib/python3.10/site-packages/sentry_sdk/utils.py in runner(1864)
  return sentry_patched_function(*args, **kwargs)

/home/youser/.local/share/virtualenvs/news-site-columnist-8tsXn7bh/lib/python3.10/site-packages/sentry_sdk/integrations/django/templates.py in rendered_content(77)
  return real_rendered_content.fget(self)

/home/youser/.local/share/virtualenvs/news-site-columnist-8tsXn7bh/lib/python3.10/site-packages/django/template/response.py in rendered_content(92)
  return template.render(context, self._request)

/home/youser/.local/share/virtualenvs/news-site-columnist-8tsXn7bh/lib/python3.10/site-packages/django/template/backends/django.py in render(61)
  return self.template.render(context)

/home/youser/.local/share/virtualenvs/news-site-columnist-8tsXn7bh/lib/python3.10/site-packages/template_timings_panel/panels/TemplateTimings.py in timing_hook(139)
  result = func(self, *args, **kwargs)

/home/youser/.local/share/virtualenvs/news-site-columnist-8tsXn7bh/lib/python3.10/site-packages/django/template/base.py in render(175)
  return self._render(context)

/home/youser/.local/share/virtualenvs/news-site-columnist-8tsXn7bh/lib/python3.10/site-packages/django/test/utils.py in instrumented_test_render(112)
  return self.nodelist.render(context)

/home/youser/.local/share/virtualenvs/news-site-columnist-8tsXn7bh/lib/python3.10/site-packages/django/template/base.py in render(1005)
  return SafeString("".join([node.render_annotated(context) for node in self]))

/home/youser/.local/share/virtualenvs/news-site-columnist-8tsXn7bh/lib/python3.10/site-packages/django/template/base.py in <listcomp>(1005)
  return SafeString("".join([node.render_annotated(context) for node in self]))

/home/youser/.local/share/virtualenvs/news-site-columnist-8tsXn7bh/lib/python3.10/site-packages/django/template/base.py in render_annotated(966)
  return self.render(context)

/home/youser/.local/share/virtualenvs/news-site-columnist-8tsXn7bh/lib/python3.10/site-packages/django/template/loader_tags.py in render(157)
  return compiled_parent._render(context)

/home/youser/.local/share/virtualenvs/news-site-columnist-8tsXn7bh/lib/python3.10/site-packages/django/test/utils.py in instrumented_test_render(112)
  return self.nodelist.render(context)

/home/youser/.local/share/virtualenvs/news-site-columnist-8tsXn7bh/lib/python3.10/site-packages/django/template/base.py in render(1005)
  return SafeString("".join([node.render_annotated(context) for node in self]))

/home/youser/.local/share/virtualenvs/news-site-columnist-8tsXn7bh/lib/python3.10/site-packages/django/template/base.py in <listcomp>(1005)
  return SafeString("".join([node.render_annotated(context) for node in self]))

/home/youser/.local/share/virtualenvs/news-site-columnist-8tsXn7bh/lib/python3.10/site-packages/django/template/base.py in render_annotated(966)
  return self.render(context)

/home/youser/.local/share/virtualenvs/news-site-columnist-8tsXn7bh/lib/python3.10/site-packages/template_timings_panel/panels/TemplateTimings.py in timing_hook(139)
  result = func(self, *args, **kwargs)

/home/youser/.local/share/virtualenvs/news-site-columnist-8tsXn7bh/lib/python3.10/site-packages/django/template/loader_tags.py in render(63)
  result = block.nodelist.render(context)

/home/youser/.local/share/virtualenvs/news-site-columnist-8tsXn7bh/lib/python3.10/site-packages/django/template/base.py in render(1005)
  return SafeString("".join([node.render_annotated(context) for node in self]))

/home/youser/.local/share/virtualenvs/news-site-columnist-8tsXn7bh/lib/python3.10/site-packages/django/template/base.py in <listcomp>(1005)
  return SafeString("".join([node.render_annotated(context) for node in self]))

/home/youser/.local/share/virtualenvs/news-site-columnist-8tsXn7bh/lib/python3.10/site-packages/django/template/base.py in render_annotated(966)
  return self.render(context)

/home/youser/.local/share/virtualenvs/news-site-columnist-8tsXn7bh/lib/python3.10/site-packages/django/template/loader_tags.py in render(208)
  return template.render(context)

/home/youser/.local/share/virtualenvs/news-site-columnist-8tsXn7bh/lib/python3.10/site-packages/template_timings_panel/panels/TemplateTimings.py in timing_hook(139)
  result = func(self, *args, **kwargs)

/home/youser/.local/share/virtualenvs/news-site-columnist-8tsXn7bh/lib/python3.10/site-packages/django/template/base.py in render(177)
  return self._render(context)

/home/youser/.local/share/virtualenvs/news-site-columnist-8tsXn7bh/lib/python3.10/site-packages/django/test/utils.py in instrumented_test_render(112)
  return self.nodelist.render(context)

/home/youser/.local/share/virtualenvs/news-site-columnist-8tsXn7bh/lib/python3.10/site-packages/django/template/base.py in render(1005)
  return SafeString("".join([node.render_annotated(context) for node in self]))

/home/youser/.local/share/virtualenvs/news-site-columnist-8tsXn7bh/lib/python3.10/site-packages/django/template/base.py in <listcomp>(1005)
  return SafeString("".join([node.render_annotated(context) for node in self]))

/home/youser/.local/share/virtualenvs/news-site-columnist-8tsXn7bh/lib/python3.10/site-packages/django/template/base.py in render_annotated(966)
  return self.render(context)

/home/youser/.local/share/virtualenvs/news-site-columnist-8tsXn7bh/lib/python3.10/site-packages/django/template/library.py in render(237)
  output = self.func(*resolved_args, **resolved_kwargs)

/var/www/news-site-columnist/news/templatetags/component_tags.py in get_support_buttton_link(650)
  mti = MobileToolbarItem.objects.get(

54 {% endif %}
55 </div>
56 <div class="header__right">
57 {% get_support_buttton_link as support_button_link %}
58 <a class="header__supportBtn" href="{{support_button_link}}" target="_blank">
59 <img src="{% static 'news/img/base/heart-icon.png' %}"
60 width="20"
61 height="20"

/var/www/news-site-columnist/news/templates/new-design/components/header.html

SELECT "category"."id",
       "category"."created_at",
       "category"."updated_at",
       "category"."seo_title",
       "category"."seo_title_uk",
       "category"."seo_title_en",
       "category"."seo_title_ru",
       "category"."seo_description",
       "category"."seo_description_uk",
       "category"."seo_description_en",
       "category"."seo_description_ru",
       "category"."seo_keywords",
       "category"."seo_keywords_uk",
       "category"."seo_keywords_en",
       "category"."seo_keywords_ru",
       "category"."seo_header_one",
       "category"."seo_header_one_uk",
       "category"."seo_header_one_en",
       "category"."seo_header_one_ru",
       "category"."seo_news_title",
       "category"."seo_news_title_uk",
       "category"."seo_news_title_en",
       "category"."seo_news_title_ru",
       "category"."seo_news_description",
       "category"."seo_news_description_uk",
       "category"."seo_news_description_en",
       "category"."seo_news_description_ru",
       "category"."subdomain",
       "category"."parent_id",
       "category"."image",
       "category"."is_active",
       "category"."is_rss_active",
       "category"."is_interesting",
       "category"."ticker_rss_active",
       "category"."show_home",
       "category"."show_home_en",
       "category"."show_video",
       "category"."show_menu",
       "category"."show_menu_uk",
       "category"."show_menu_en",
       "category"."show_menu_ru",
       "category"."show_footer",
       "category"."show_menu_in_en",
       "category"."show_footer_in_en",
       "category"."show_in_search",
       "category"."show_in_header",
       "category"."show_in_header_uk",
       "category"."show_in_header_en",
       "category"."show_in_header_ru",
       "category"."seo_tag_id",
       "category"."sort_weight",
       "category"."sort_weight_en",
       "category"."header_sort_weight",
       "category"."header_sort_weight_uk",
       "category"."header_sort_weight_en",
       "category"."header_sort_weight_ru",
       "category"."footer_sort_weight",
       "category"."menu_sort_weight",
       "category"."name",
       "category"."name_uk",
       "category"."name_en",
       "category"."name_ru",
       "category"."slug",
       "category"."description",
       "category"."description_uk",
       "category"."description_en",
       "category"."description_ru",
       "category"."fb_link",
       "category"."tg_link",
       "category"."show_banner",
       "category"."uk_has_translation",
       "category"."ru_has_translation",
       "category"."en_has_translation",
       "category"."has_infinite_scroll",
       "category"."_show_home_without_subdomain",
       "category"."_show_home_without_subdomain_en",
       "category"."background_id",
       "category"."use_old_design",
       "category"."use_old_design_for_posts",
       "category"."is_context_category",
       "category"."show_stories_on_main",
       "category"."show_posts_table_of_contents",
       "category"."svg_icon"
  FROM "category"
 WHERE ("category"."ru_has_translation" AND NOT "category"."is_context_category" AND "category"."show_in_header_ru")
 ORDER BY "category"."header_sort_weight_ru" DESC
SELECT ••• FROM "category" WHERE ("category"."ru_has_translation" AND NOT "category"."is_context_category" AND "category"."show_in_header_ru") ORDER BY "category"."header_sort_weight_ru" DESC
3 similar queries. Duplicated 3 times.
0,80

Соединение: default

Статус транзакции: Ожидание

/home/youser/.local/share/virtualenvs/news-site-columnist-8tsXn7bh/bin/gunicorn in <module>(8)
  sys.exit(run())

/home/youser/.local/share/virtualenvs/news-site-columnist-8tsXn7bh/lib/python3.10/site-packages/gunicorn/app/wsgiapp.py in run(66)
  WSGIApplication("%(prog)s [OPTIONS] [APP_MODULE]", prog=prog).run()

/home/youser/.local/share/virtualenvs/news-site-columnist-8tsXn7bh/lib/python3.10/site-packages/gunicorn/app/base.py in run(235)
  super().run()

/home/youser/.local/share/virtualenvs/news-site-columnist-8tsXn7bh/lib/python3.10/site-packages/gunicorn/app/base.py in run(71)
  Arbiter(self).run()

/home/youser/.local/share/virtualenvs/news-site-columnist-8tsXn7bh/lib/python3.10/site-packages/gunicorn/arbiter.py in run(210)
  self.manage_workers()

/home/youser/.local/share/virtualenvs/news-site-columnist-8tsXn7bh/lib/python3.10/site-packages/gunicorn/arbiter.py in manage_workers(570)
  self.spawn_workers()

/home/youser/.local/share/virtualenvs/news-site-columnist-8tsXn7bh/lib/python3.10/site-packages/gunicorn/arbiter.py in spawn_workers(641)
  self.spawn_worker()

/home/youser/.local/share/virtualenvs/news-site-columnist-8tsXn7bh/lib/python3.10/site-packages/gunicorn/arbiter.py in spawn_worker(608)
  worker.init_process()

/home/youser/.local/share/virtualenvs/news-site-columnist-8tsXn7bh/lib/python3.10/site-packages/gunicorn/workers/base.py in init_process(143)
  self.run()

/home/youser/.local/share/virtualenvs/news-site-columnist-8tsXn7bh/lib/python3.10/site-packages/gunicorn/workers/sync.py in run(125)
  self.run_for_one(timeout)

/home/youser/.local/share/virtualenvs/news-site-columnist-8tsXn7bh/lib/python3.10/site-packages/gunicorn/workers/sync.py in run_for_one(69)
  self.accept(listener)

/home/youser/.local/share/virtualenvs/news-site-columnist-8tsXn7bh/lib/python3.10/site-packages/gunicorn/workers/sync.py in accept(31)
  self.handle(listener, client, addr)

/home/youser/.local/share/virtualenvs/news-site-columnist-8tsXn7bh/lib/python3.10/site-packages/gunicorn/workers/sync.py in handle(134)
  self.handle_request(listener, req, client, addr)

/home/youser/.local/share/virtualenvs/news-site-columnist-8tsXn7bh/lib/python3.10/site-packages/gunicorn/workers/sync.py in handle_request(177)
  respiter = self.wsgi(environ, resp.start_response)

/home/youser/.local/share/virtualenvs/news-site-columnist-8tsXn7bh/lib/python3.10/site-packages/sentry_sdk/utils.py in runner(1864)
  return sentry_patched_function(*args, **kwargs)

/home/youser/.local/share/virtualenvs/news-site-columnist-8tsXn7bh/lib/python3.10/site-packages/sentry_sdk/integrations/django/__init__.py in sentry_patched_wsgi_handler(191)
  return middleware(environ, start_response)

/home/youser/.local/share/virtualenvs/news-site-columnist-8tsXn7bh/lib/python3.10/site-packages/sentry_sdk/integrations/wsgi.py in __call__(132)
  response = self.app(

/home/youser/.local/share/virtualenvs/news-site-columnist-8tsXn7bh/lib/python3.10/site-packages/sentry_sdk/integrations/django/__init__.py in sentry_patched_get_response(478)
  rv = old_get_response(self, request)

/home/youser/.local/share/virtualenvs/news-site-columnist-8tsXn7bh/lib/python3.10/site-packages/sentry_sdk/integrations/django/middleware.py in __call__(177)
  return f(*args, **kwargs)

/home/youser/.local/share/virtualenvs/news-site-columnist-8tsXn7bh/lib/python3.10/site-packages/sentry_sdk/integrations/django/middleware.py in __call__(177)
  return f(*args, **kwargs)

/var/www/news-site-columnist/redirects/middleware/redirect_middleware.py in __call__(17)
  return self.get_response(request)

/home/youser/.local/share/virtualenvs/news-site-columnist-8tsXn7bh/lib/python3.10/site-packages/sentry_sdk/integrations/django/middleware.py in __call__(177)
  return f(*args, **kwargs)

/home/youser/.local/share/virtualenvs/news-site-columnist-8tsXn7bh/lib/python3.10/site-packages/sentry_sdk/integrations/django/middleware.py in __call__(177)
  return f(*args, **kwargs)

/home/youser/.local/share/virtualenvs/news-site-columnist-8tsXn7bh/lib/python3.10/site-packages/sentry_sdk/integrations/django/middleware.py in __call__(177)
  return f(*args, **kwargs)

/home/youser/.local/share/virtualenvs/news-site-columnist-8tsXn7bh/lib/python3.10/site-packages/sentry_sdk/integrations/django/middleware.py in __call__(177)
  return f(*args, **kwargs)

/home/youser/.local/share/virtualenvs/news-site-columnist-8tsXn7bh/lib/python3.10/site-packages/corsheaders/middleware.py in __call__(53)
  result = self.get_response(request)

/home/youser/.local/share/virtualenvs/news-site-columnist-8tsXn7bh/lib/python3.10/site-packages/sentry_sdk/integrations/django/middleware.py in __call__(177)
  return f(*args, **kwargs)

/home/youser/.local/share/virtualenvs/news-site-columnist-8tsXn7bh/lib/python3.10/site-packages/django_user_agents/middleware.py in __call__(14)
  return self.get_response(request)

/home/youser/.local/share/virtualenvs/news-site-columnist-8tsXn7bh/lib/python3.10/site-packages/sentry_sdk/integrations/django/middleware.py in __call__(177)
  return f(*args, **kwargs)

/home/youser/.local/share/virtualenvs/news-site-columnist-8tsXn7bh/lib/python3.10/site-packages/sentry_sdk/integrations/django/middleware.py in __call__(177)
  return f(*args, **kwargs)

/home/youser/.local/share/virtualenvs/news-site-columnist-8tsXn7bh/lib/python3.10/site-packages/sentry_sdk/integrations/django/middleware.py in __call__(177)
  return f(*args, **kwargs)

/home/youser/.local/share/virtualenvs/news-site-columnist-8tsXn7bh/lib/python3.10/site-packages/sentry_sdk/integrations/django/middleware.py in __call__(177)
  return f(*args, **kwargs)

/home/youser/.local/share/virtualenvs/news-site-columnist-8tsXn7bh/lib/python3.10/site-packages/sentry_sdk/integrations/django/middleware.py in __call__(177)
  return f(*args, **kwargs)

/home/youser/.local/share/virtualenvs/news-site-columnist-8tsXn7bh/lib/python3.10/site-packages/sentry_sdk/integrations/django/middleware.py in __call__(177)
  return f(*args, **kwargs)

/home/youser/.local/share/virtualenvs/news-site-columnist-8tsXn7bh/lib/python3.10/site-packages/sentry_sdk/integrations/django/middleware.py in __call__(177)
  return f(*args, **kwargs)

/home/youser/.local/share/virtualenvs/news-site-columnist-8tsXn7bh/lib/python3.10/site-packages/sentry_sdk/integrations/django/middleware.py in __call__(177)
  return f(*args, **kwargs)

/var/www/news-site-columnist/news/middleware/subdomain_middleare.py in __call__(22)
  response = self.get_response(request)

/home/youser/.local/share/virtualenvs/news-site-columnist-8tsXn7bh/lib/python3.10/site-packages/sentry_sdk/integrations/django/views.py in sentry_patched_render(41)
  return old_render(self)

/home/youser/.local/share/virtualenvs/news-site-columnist-8tsXn7bh/lib/python3.10/site-packages/django/template/response.py in render(114)
  self.content = self.rendered_content

/home/youser/.local/share/virtualenvs/news-site-columnist-8tsXn7bh/lib/python3.10/site-packages/sentry_sdk/utils.py in runner(1864)
  return sentry_patched_function(*args, **kwargs)

/home/youser/.local/share/virtualenvs/news-site-columnist-8tsXn7bh/lib/python3.10/site-packages/sentry_sdk/integrations/django/templates.py in rendered_content(77)
  return real_rendered_content.fget(self)

/home/youser/.local/share/virtualenvs/news-site-columnist-8tsXn7bh/lib/python3.10/site-packages/django/template/response.py in rendered_content(92)
  return template.render(context, self._request)

/home/youser/.local/share/virtualenvs/news-site-columnist-8tsXn7bh/lib/python3.10/site-packages/django/template/backends/django.py in render(61)
  return self.template.render(context)

/home/youser/.local/share/virtualenvs/news-site-columnist-8tsXn7bh/lib/python3.10/site-packages/template_timings_panel/panels/TemplateTimings.py in timing_hook(139)
  result = func(self, *args, **kwargs)

/home/youser/.local/share/virtualenvs/news-site-columnist-8tsXn7bh/lib/python3.10/site-packages/django/template/base.py in render(175)
  return self._render(context)

/home/youser/.local/share/virtualenvs/news-site-columnist-8tsXn7bh/lib/python3.10/site-packages/django/test/utils.py in instrumented_test_render(112)
  return self.nodelist.render(context)

/home/youser/.local/share/virtualenvs/news-site-columnist-8tsXn7bh/lib/python3.10/site-packages/django/template/base.py in render(1005)
  return SafeString("".join([node.render_annotated(context) for node in self]))

/home/youser/.local/share/virtualenvs/news-site-columnist-8tsXn7bh/lib/python3.10/site-packages/django/template/base.py in <listcomp>(1005)
  return SafeString("".join([node.render_annotated(context) for node in self]))

/home/youser/.local/share/virtualenvs/news-site-columnist-8tsXn7bh/lib/python3.10/site-packages/django/template/base.py in render_annotated(966)
  return self.render(context)

/home/youser/.local/share/virtualenvs/news-site-columnist-8tsXn7bh/lib/python3.10/site-packages/django/template/loader_tags.py in render(157)
  return compiled_parent._render(context)

/home/youser/.local/share/virtualenvs/news-site-columnist-8tsXn7bh/lib/python3.10/site-packages/django/test/utils.py in instrumented_test_render(112)
  return self.nodelist.render(context)

/home/youser/.local/share/virtualenvs/news-site-columnist-8tsXn7bh/lib/python3.10/site-packages/django/template/base.py in render(1005)
  return SafeString("".join([node.render_annotated(context) for node in self]))

/home/youser/.local/share/virtualenvs/news-site-columnist-8tsXn7bh/lib/python3.10/site-packages/django/template/base.py in <listcomp>(1005)
  return SafeString("".join([node.render_annotated(context) for node in self]))

/home/youser/.local/share/virtualenvs/news-site-columnist-8tsXn7bh/lib/python3.10/site-packages/django/template/base.py in render_annotated(966)
  return self.render(context)

/home/youser/.local/share/virtualenvs/news-site-columnist-8tsXn7bh/lib/python3.10/site-packages/template_timings_panel/panels/TemplateTimings.py in timing_hook(139)
  result = func(self, *args, **kwargs)

/home/youser/.local/share/virtualenvs/news-site-columnist-8tsXn7bh/lib/python3.10/site-packages/django/template/loader_tags.py in render(63)
  result = block.nodelist.render(context)

/home/youser/.local/share/virtualenvs/news-site-columnist-8tsXn7bh/lib/python3.10/site-packages/django/template/base.py in render(1005)
  return SafeString("".join([node.render_annotated(context) for node in self]))

/home/youser/.local/share/virtualenvs/news-site-columnist-8tsXn7bh/lib/python3.10/site-packages/django/template/base.py in <listcomp>(1005)
  return SafeString("".join([node.render_annotated(context) for node in self]))

/home/youser/.local/share/virtualenvs/news-site-columnist-8tsXn7bh/lib/python3.10/site-packages/django/template/base.py in render_annotated(966)
  return self.render(context)

/home/youser/.local/share/virtualenvs/news-site-columnist-8tsXn7bh/lib/python3.10/site-packages/django/template/loader_tags.py in render(208)
  return template.render(context)

/home/youser/.local/share/virtualenvs/news-site-columnist-8tsXn7bh/lib/python3.10/site-packages/template_timings_panel/panels/TemplateTimings.py in timing_hook(139)
  result = func(self, *args, **kwargs)

/home/youser/.local/share/virtualenvs/news-site-columnist-8tsXn7bh/lib/python3.10/site-packages/django/template/base.py in render(177)
  return self._render(context)

/home/youser/.local/share/virtualenvs/news-site-columnist-8tsXn7bh/lib/python3.10/site-packages/django/test/utils.py in instrumented_test_render(112)
  return self.nodelist.render(context)

/home/youser/.local/share/virtualenvs/news-site-columnist-8tsXn7bh/lib/python3.10/site-packages/django/template/base.py in render(1005)
  return SafeString("".join([node.render_annotated(context) for node in self]))

/home/youser/.local/share/virtualenvs/news-site-columnist-8tsXn7bh/lib/python3.10/site-packages/django/template/base.py in <listcomp>(1005)
  return SafeString("".join([node.render_annotated(context) for node in self]))

/home/youser/.local/share/virtualenvs/news-site-columnist-8tsXn7bh/lib/python3.10/site-packages/django/template/base.py in render_annotated(966)
  return self.render(context)

/home/youser/.local/share/virtualenvs/news-site-columnist-8tsXn7bh/lib/python3.10/site-packages/django/template/library.py in render(237)
  output = self.func(*resolved_args, **resolved_kwargs)

/var/www/news-site-columnist/news/templatetags/custom_tags.py in get_navigation_items(50)
  for cat in categories.all():

119 </div>
120 <div class="header-mobile-subnav">
121 <div class="header-mobile-subnav__container">
122 {% get_navigation_items as navigation_items %}
123 <div class="container {% if LANGUAGE_CODE == 'en' %}header-mobile-subnav__container_en{% endif %}">
124 {% for item in navigation_items %}
125 {% if item.is_region %}
126 <div class="header-categories__mainItem-title nav__item-submenu header-mobile-subnav__item">

/var/www/news-site-columnist/news/templates/new-design/components/header.html

SELECT "category"."id",
       "category"."created_at",
       "category"."updated_at",
       "category"."seo_title",
       "category"."seo_title_uk",
       "category"."seo_title_en",
       "category"."seo_title_ru",
       "category"."seo_description",
       "category"."seo_description_uk",
       "category"."seo_description_en",
       "category"."seo_description_ru",
       "category"."seo_keywords",
       "category"."seo_keywords_uk",
       "category"."seo_keywords_en",
       "category"."seo_keywords_ru",
       "category"."seo_header_one",
       "category"."seo_header_one_uk",
       "category"."seo_header_one_en",
       "category"."seo_header_one_ru",
       "category"."seo_news_title",
       "category"."seo_news_title_uk",
       "category"."seo_news_title_en",
       "category"."seo_news_title_ru",
       "category"."seo_news_description",
       "category"."seo_news_description_uk",
       "category"."seo_news_description_en",
       "category"."seo_news_description_ru",
       "category"."subdomain",
       "category"."parent_id",
       "category"."image",
       "category"."is_active",
       "category"."is_rss_active",
       "category"."is_interesting",
       "category"."ticker_rss_active",
       "category"."show_home",
       "category"."show_home_en",
       "category"."show_video",
       "category"."show_menu",
       "category"."show_menu_uk",
       "category"."show_menu_en",
       "category"."show_menu_ru",
       "category"."show_footer",
       "category"."show_menu_in_en",
       "category"."show_footer_in_en",
       "category"."show_in_search",
       "category"."show_in_header",
       "category"."show_in_header_uk",
       "category"."show_in_header_en",
       "category"."show_in_header_ru",
       "category"."seo_tag_id",
       "category"."sort_weight",
       "category"."sort_weight_en",
       "category"."header_sort_weight",
       "category"."header_sort_weight_uk",
       "category"."header_sort_weight_en",
       "category"."header_sort_weight_ru",
       "category"."footer_sort_weight",
       "category"."menu_sort_weight",
       "category"."name",
       "category"."name_uk",
       "category"."name_en",
       "category"."name_ru",
       "category"."slug",
       "category"."description",
       "category"."description_uk",
       "category"."description_en",
       "category"."description_ru",
       "category"."fb_link",
       "category"."tg_link",
       "category"."show_banner",
       "category"."uk_has_translation",
       "category"."ru_has_translation",
       "category"."en_has_translation",
       "category"."has_infinite_scroll",
       "category"."_show_home_without_subdomain",
       "category"."_show_home_without_subdomain_en",
       "category"."background_id",
       "category"."use_old_design",
       "category"."use_old_design_for_posts",
       "category"."is_context_category",
       "category"."show_stories_on_main",
       "category"."show_posts_table_of_contents",
       "category"."svg_icon"
  FROM "category"
 WHERE ("category"."ru_has_translation" AND NOT "category"."is_context_category" AND "category"."name_uk" IN ('Київ', 'Одеса', 'Харків', 'Львів'))
SELECT ••• FROM "category" WHERE ("category"."ru_has_translation" AND NOT "category"."is_context_category" AND "category"."name_uk" IN ('Київ', 'Одеса', 'Харків', 'Львів'))
2 similar queries. Duplicated 2 times.
1,38

Соединение: default

Статус транзакции: Ожидание

/home/youser/.local/share/virtualenvs/news-site-columnist-8tsXn7bh/bin/gunicorn in <module>(8)
  sys.exit(run())

/home/youser/.local/share/virtualenvs/news-site-columnist-8tsXn7bh/lib/python3.10/site-packages/gunicorn/app/wsgiapp.py in run(66)
  WSGIApplication("%(prog)s [OPTIONS] [APP_MODULE]", prog=prog).run()

/home/youser/.local/share/virtualenvs/news-site-columnist-8tsXn7bh/lib/python3.10/site-packages/gunicorn/app/base.py in run(235)
  super().run()

/home/youser/.local/share/virtualenvs/news-site-columnist-8tsXn7bh/lib/python3.10/site-packages/gunicorn/app/base.py in run(71)
  Arbiter(self).run()

/home/youser/.local/share/virtualenvs/news-site-columnist-8tsXn7bh/lib/python3.10/site-packages/gunicorn/arbiter.py in run(210)
  self.manage_workers()

/home/youser/.local/share/virtualenvs/news-site-columnist-8tsXn7bh/lib/python3.10/site-packages/gunicorn/arbiter.py in manage_workers(570)
  self.spawn_workers()

/home/youser/.local/share/virtualenvs/news-site-columnist-8tsXn7bh/lib/python3.10/site-packages/gunicorn/arbiter.py in spawn_workers(641)
  self.spawn_worker()

/home/youser/.local/share/virtualenvs/news-site-columnist-8tsXn7bh/lib/python3.10/site-packages/gunicorn/arbiter.py in spawn_worker(608)
  worker.init_process()

/home/youser/.local/share/virtualenvs/news-site-columnist-8tsXn7bh/lib/python3.10/site-packages/gunicorn/workers/base.py in init_process(143)
  self.run()

/home/youser/.local/share/virtualenvs/news-site-columnist-8tsXn7bh/lib/python3.10/site-packages/gunicorn/workers/sync.py in run(125)
  self.run_for_one(timeout)

/home/youser/.local/share/virtualenvs/news-site-columnist-8tsXn7bh/lib/python3.10/site-packages/gunicorn/workers/sync.py in run_for_one(69)
  self.accept(listener)

/home/youser/.local/share/virtualenvs/news-site-columnist-8tsXn7bh/lib/python3.10/site-packages/gunicorn/workers/sync.py in accept(31)
  self.handle(listener, client, addr)

/home/youser/.local/share/virtualenvs/news-site-columnist-8tsXn7bh/lib/python3.10/site-packages/gunicorn/workers/sync.py in handle(134)
  self.handle_request(listener, req, client, addr)

/home/youser/.local/share/virtualenvs/news-site-columnist-8tsXn7bh/lib/python3.10/site-packages/gunicorn/workers/sync.py in handle_request(177)
  respiter = self.wsgi(environ, resp.start_response)

/home/youser/.local/share/virtualenvs/news-site-columnist-8tsXn7bh/lib/python3.10/site-packages/sentry_sdk/utils.py in runner(1864)
  return sentry_patched_function(*args, **kwargs)

/home/youser/.local/share/virtualenvs/news-site-columnist-8tsXn7bh/lib/python3.10/site-packages/sentry_sdk/integrations/django/__init__.py in sentry_patched_wsgi_handler(191)
  return middleware(environ, start_response)

/home/youser/.local/share/virtualenvs/news-site-columnist-8tsXn7bh/lib/python3.10/site-packages/sentry_sdk/integrations/wsgi.py in __call__(132)
  response = self.app(

/home/youser/.local/share/virtualenvs/news-site-columnist-8tsXn7bh/lib/python3.10/site-packages/sentry_sdk/integrations/django/__init__.py in sentry_patched_get_response(478)
  rv = old_get_response(self, request)

/home/youser/.local/share/virtualenvs/news-site-columnist-8tsXn7bh/lib/python3.10/site-packages/sentry_sdk/integrations/django/middleware.py in __call__(177)
  return f(*args, **kwargs)

/home/youser/.local/share/virtualenvs/news-site-columnist-8tsXn7bh/lib/python3.10/site-packages/sentry_sdk/integrations/django/middleware.py in __call__(177)
  return f(*args, **kwargs)

/var/www/news-site-columnist/redirects/middleware/redirect_middleware.py in __call__(17)
  return self.get_response(request)

/home/youser/.local/share/virtualenvs/news-site-columnist-8tsXn7bh/lib/python3.10/site-packages/sentry_sdk/integrations/django/middleware.py in __call__(177)
  return f(*args, **kwargs)

/home/youser/.local/share/virtualenvs/news-site-columnist-8tsXn7bh/lib/python3.10/site-packages/sentry_sdk/integrations/django/middleware.py in __call__(177)
  return f(*args, **kwargs)

/home/youser/.local/share/virtualenvs/news-site-columnist-8tsXn7bh/lib/python3.10/site-packages/sentry_sdk/integrations/django/middleware.py in __call__(177)
  return f(*args, **kwargs)

/home/youser/.local/share/virtualenvs/news-site-columnist-8tsXn7bh/lib/python3.10/site-packages/sentry_sdk/integrations/django/middleware.py in __call__(177)
  return f(*args, **kwargs)

/home/youser/.local/share/virtualenvs/news-site-columnist-8tsXn7bh/lib/python3.10/site-packages/corsheaders/middleware.py in __call__(53)
  result = self.get_response(request)

/home/youser/.local/share/virtualenvs/news-site-columnist-8tsXn7bh/lib/python3.10/site-packages/sentry_sdk/integrations/django/middleware.py in __call__(177)
  return f(*args, **kwargs)

/home/youser/.local/share/virtualenvs/news-site-columnist-8tsXn7bh/lib/python3.10/site-packages/django_user_agents/middleware.py in __call__(14)
  return self.get_response(request)

/home/youser/.local/share/virtualenvs/news-site-columnist-8tsXn7bh/lib/python3.10/site-packages/sentry_sdk/integrations/django/middleware.py in __call__(177)
  return f(*args, **kwargs)

/home/youser/.local/share/virtualenvs/news-site-columnist-8tsXn7bh/lib/python3.10/site-packages/sentry_sdk/integrations/django/middleware.py in __call__(177)
  return f(*args, **kwargs)

/home/youser/.local/share/virtualenvs/news-site-columnist-8tsXn7bh/lib/python3.10/site-packages/sentry_sdk/integrations/django/middleware.py in __call__(177)
  return f(*args, **kwargs)

/home/youser/.local/share/virtualenvs/news-site-columnist-8tsXn7bh/lib/python3.10/site-packages/sentry_sdk/integrations/django/middleware.py in __call__(177)
  return f(*args, **kwargs)

/home/youser/.local/share/virtualenvs/news-site-columnist-8tsXn7bh/lib/python3.10/site-packages/sentry_sdk/integrations/django/middleware.py in __call__(177)
  return f(*args, **kwargs)

/home/youser/.local/share/virtualenvs/news-site-columnist-8tsXn7bh/lib/python3.10/site-packages/sentry_sdk/integrations/django/middleware.py in __call__(177)
  return f(*args, **kwargs)

/home/youser/.local/share/virtualenvs/news-site-columnist-8tsXn7bh/lib/python3.10/site-packages/sentry_sdk/integrations/django/middleware.py in __call__(177)
  return f(*args, **kwargs)

/home/youser/.local/share/virtualenvs/news-site-columnist-8tsXn7bh/lib/python3.10/site-packages/sentry_sdk/integrations/django/middleware.py in __call__(177)
  return f(*args, **kwargs)

/var/www/news-site-columnist/news/middleware/subdomain_middleare.py in __call__(22)
  response = self.get_response(request)

/home/youser/.local/share/virtualenvs/news-site-columnist-8tsXn7bh/lib/python3.10/site-packages/sentry_sdk/integrations/django/views.py in sentry_patched_render(41)
  return old_render(self)

/home/youser/.local/share/virtualenvs/news-site-columnist-8tsXn7bh/lib/python3.10/site-packages/django/template/response.py in render(114)
  self.content = self.rendered_content

/home/youser/.local/share/virtualenvs/news-site-columnist-8tsXn7bh/lib/python3.10/site-packages/sentry_sdk/utils.py in runner(1864)
  return sentry_patched_function(*args, **kwargs)

/home/youser/.local/share/virtualenvs/news-site-columnist-8tsXn7bh/lib/python3.10/site-packages/sentry_sdk/integrations/django/templates.py in rendered_content(77)
  return real_rendered_content.fget(self)

/home/youser/.local/share/virtualenvs/news-site-columnist-8tsXn7bh/lib/python3.10/site-packages/django/template/response.py in rendered_content(92)
  return template.render(context, self._request)

/home/youser/.local/share/virtualenvs/news-site-columnist-8tsXn7bh/lib/python3.10/site-packages/django/template/backends/django.py in render(61)
  return self.template.render(context)

/home/youser/.local/share/virtualenvs/news-site-columnist-8tsXn7bh/lib/python3.10/site-packages/template_timings_panel/panels/TemplateTimings.py in timing_hook(139)
  result = func(self, *args, **kwargs)

/home/youser/.local/share/virtualenvs/news-site-columnist-8tsXn7bh/lib/python3.10/site-packages/django/template/base.py in render(175)
  return self._render(context)

/home/youser/.local/share/virtualenvs/news-site-columnist-8tsXn7bh/lib/python3.10/site-packages/django/test/utils.py in instrumented_test_render(112)
  return self.nodelist.render(context)

/home/youser/.local/share/virtualenvs/news-site-columnist-8tsXn7bh/lib/python3.10/site-packages/django/template/base.py in render(1005)
  return SafeString("".join([node.render_annotated(context) for node in self]))

/home/youser/.local/share/virtualenvs/news-site-columnist-8tsXn7bh/lib/python3.10/site-packages/django/template/base.py in <listcomp>(1005)
  return SafeString("".join([node.render_annotated(context) for node in self]))

/home/youser/.local/share/virtualenvs/news-site-columnist-8tsXn7bh/lib/python3.10/site-packages/django/template/base.py in render_annotated(966)
  return self.render(context)

/home/youser/.local/share/virtualenvs/news-site-columnist-8tsXn7bh/lib/python3.10/site-packages/django/template/loader_tags.py in render(157)
  return compiled_parent._render(context)

/home/youser/.local/share/virtualenvs/news-site-columnist-8tsXn7bh/lib/python3.10/site-packages/django/test/utils.py in instrumented_test_render(112)
  return self.nodelist.render(context)

/home/youser/.local/share/virtualenvs/news-site-columnist-8tsXn7bh/lib/python3.10/site-packages/django/template/base.py in render(1005)
  return SafeString("".join([node.render_annotated(context) for node in self]))

/home/youser/.local/share/virtualenvs/news-site-columnist-8tsXn7bh/lib/python3.10/site-packages/django/template/base.py in <listcomp>(1005)
  return SafeString("".join([node.render_annotated(context) for node in self]))

/home/youser/.local/share/virtualenvs/news-site-columnist-8tsXn7bh/lib/python3.10/site-packages/django/template/base.py in render_annotated(966)
  return self.render(context)

/home/youser/.local/share/virtualenvs/news-site-columnist-8tsXn7bh/lib/python3.10/site-packages/template_timings_panel/panels/TemplateTimings.py in timing_hook(139)
  result = func(self, *args, **kwargs)

/home/youser/.local/share/virtualenvs/news-site-columnist-8tsXn7bh/lib/python3.10/site-packages/django/template/loader_tags.py in render(63)
  result = block.nodelist.render(context)

/home/youser/.local/share/virtualenvs/news-site-columnist-8tsXn7bh/lib/python3.10/site-packages/django/template/base.py in render(1005)
  return SafeString("".join([node.render_annotated(context) for node in self]))

/home/youser/.local/share/virtualenvs/news-site-columnist-8tsXn7bh/lib/python3.10/site-packages/django/template/base.py in <listcomp>(1005)
  return SafeString("".join([node.render_annotated(context) for node in self]))

/home/youser/.local/share/virtualenvs/news-site-columnist-8tsXn7bh/lib/python3.10/site-packages/django/template/base.py in render_annotated(966)
  return self.render(context)

/home/youser/.local/share/virtualenvs/news-site-columnist-8tsXn7bh/lib/python3.10/site-packages/django/template/loader_tags.py in render(208)
  return template.render(context)

/home/youser/.local/share/virtualenvs/news-site-columnist-8tsXn7bh/lib/python3.10/site-packages/template_timings_panel/panels/TemplateTimings.py in timing_hook(139)
  result = func(self, *args, **kwargs)

/home/youser/.local/share/virtualenvs/news-site-columnist-8tsXn7bh/lib/python3.10/site-packages/django/template/base.py in render(177)
  return self._render(context)

/home/youser/.local/share/virtualenvs/news-site-columnist-8tsXn7bh/lib/python3.10/site-packages/django/test/utils.py in instrumented_test_render(112)
  return self.nodelist.render(context)

/home/youser/.local/share/virtualenvs/news-site-columnist-8tsXn7bh/lib/python3.10/site-packages/django/template/base.py in render(1005)
  return SafeString("".join([node.render_annotated(context) for node in self]))

/home/youser/.local/share/virtualenvs/news-site-columnist-8tsXn7bh/lib/python3.10/site-packages/django/template/base.py in <listcomp>(1005)
  return SafeString("".join([node.render_annotated(context) for node in self]))

/home/youser/.local/share/virtualenvs/news-site-columnist-8tsXn7bh/lib/python3.10/site-packages/django/template/base.py in render_annotated(966)
  return self.render(context)

/home/youser/.local/share/virtualenvs/news-site-columnist-8tsXn7bh/lib/python3.10/site-packages/django/template/defaulttags.py in render(238)
  nodelist.append(node.render_annotated(context))

/home/youser/.local/share/virtualenvs/news-site-columnist-8tsXn7bh/lib/python3.10/site-packages/django/template/base.py in render_annotated(966)
  return self.render(context)

/home/youser/.local/share/virtualenvs/news-site-columnist-8tsXn7bh/lib/python3.10/site-packages/django/template/defaulttags.py in render(321)
  return nodelist.render(context)

/home/youser/.local/share/virtualenvs/news-site-columnist-8tsXn7bh/lib/python3.10/site-packages/django/template/base.py in render(1005)
  return SafeString("".join([node.render_annotated(context) for node in self]))

/home/youser/.local/share/virtualenvs/news-site-columnist-8tsXn7bh/lib/python3.10/site-packages/django/template/base.py in <listcomp>(1005)
  return SafeString("".join([node.render_annotated(context) for node in self]))

/home/youser/.local/share/virtualenvs/news-site-columnist-8tsXn7bh/lib/python3.10/site-packages/django/template/base.py in render_annotated(966)
  return self.render(context)

/home/youser/.local/share/virtualenvs/news-site-columnist-8tsXn7bh/lib/python3.10/site-packages/django/template/defaulttags.py in render(194)
  len_values = len(values)

138 </a>
139 <nav class="nav__submenu">
140 {% get_regions_categoires as regions %}
141 {% for region in regions %}
142 <a href="{{ region.get_absolute_url }}" class="nav__submenu_itm">{{ region.name }}</a>
143 {% endfor %}
144 </nav>
145 </div>

/var/www/news-site-columnist/news/templates/new-design/components/header.html

SELECT "category"."id",
       "category"."created_at",
       "category"."updated_at",
       "category"."seo_title",
       "category"."seo_title_uk",
       "category"."seo_title_en",
       "category"."seo_title_ru",
       "category"."seo_description",
       "category"."seo_description_uk",
       "category"."seo_description_en",
       "category"."seo_description_ru",
       "category"."seo_keywords",
       "category"."seo_keywords_uk",
       "category"."seo_keywords_en",
       "category"."seo_keywords_ru",
       "category"."seo_header_one",
       "category"."seo_header_one_uk",
       "category"."seo_header_one_en",
       "category"."seo_header_one_ru",
       "category"."seo_news_title",
       "category"."seo_news_title_uk",
       "category"."seo_news_title_en",
       "category"."seo_news_title_ru",
       "category"."seo_news_description",
       "category"."seo_news_description_uk",
       "category"."seo_news_description_en",
       "category"."seo_news_description_ru",
       "category"."subdomain",
       "category"."parent_id",
       "category"."image",
       "category"."is_active",
       "category"."is_rss_active",
       "category"."is_interesting",
       "category"."ticker_rss_active",
       "category"."show_home",
       "category"."show_home_en",
       "category"."show_video",
       "category"."show_menu",
       "category"."show_menu_uk",
       "category"."show_menu_en",
       "category"."show_menu_ru",
       "category"."show_footer",
       "category"."show_menu_in_en",
       "category"."show_footer_in_en",
       "category"."show_in_search",
       "category"."show_in_header",
       "category"."show_in_header_uk",
       "category"."show_in_header_en",
       "category"."show_in_header_ru",
       "category"."seo_tag_id",
       "category"."sort_weight",
       "category"."sort_weight_en",
       "category"."header_sort_weight",
       "category"."header_sort_weight_uk",
       "category"."header_sort_weight_en",
       "category"."header_sort_weight_ru",
       "category"."footer_sort_weight",
       "category"."menu_sort_weight",
       "category"."name",
       "category"."name_uk",
       "category"."name_en",
       "category"."name_ru",
       "category"."slug",
       "category"."description",
       "category"."description_uk",
       "category"."description_en",
       "category"."description_ru",
       "category"."fb_link",
       "category"."tg_link",
       "category"."show_banner",
       "category"."uk_has_translation",
       "category"."ru_has_translation",
       "category"."en_has_translation",
       "category"."has_infinite_scroll",
       "category"."_show_home_without_subdomain",
       "category"."_show_home_without_subdomain_en",
       "category"."background_id",
       "category"."use_old_design",
       "category"."use_old_design_for_posts",
       "category"."is_context_category",
       "category"."show_stories_on_main",
       "category"."show_posts_table_of_contents",
       "category"."svg_icon"
  FROM "category"
 WHERE ("category"."ru_has_translation" AND NOT "category"."is_context_category" AND "category"."is_active" AND "category"."parent_id" IS NULL)
SELECT ••• FROM "category" WHERE ("category"."ru_has_translation" AND NOT "category"."is_context_category" AND "category"."is_active" AND "category"."parent_id" IS NULL)
1,60

Соединение: default

Статус транзакции: Ожидание

/home/youser/.local/share/virtualenvs/news-site-columnist-8tsXn7bh/bin/gunicorn in <module>(8)
  sys.exit(run())

/home/youser/.local/share/virtualenvs/news-site-columnist-8tsXn7bh/lib/python3.10/site-packages/gunicorn/app/wsgiapp.py in run(66)
  WSGIApplication("%(prog)s [OPTIONS] [APP_MODULE]", prog=prog).run()

/home/youser/.local/share/virtualenvs/news-site-columnist-8tsXn7bh/lib/python3.10/site-packages/gunicorn/app/base.py in run(235)
  super().run()

/home/youser/.local/share/virtualenvs/news-site-columnist-8tsXn7bh/lib/python3.10/site-packages/gunicorn/app/base.py in run(71)
  Arbiter(self).run()

/home/youser/.local/share/virtualenvs/news-site-columnist-8tsXn7bh/lib/python3.10/site-packages/gunicorn/arbiter.py in run(210)
  self.manage_workers()

/home/youser/.local/share/virtualenvs/news-site-columnist-8tsXn7bh/lib/python3.10/site-packages/gunicorn/arbiter.py in manage_workers(570)
  self.spawn_workers()

/home/youser/.local/share/virtualenvs/news-site-columnist-8tsXn7bh/lib/python3.10/site-packages/gunicorn/arbiter.py in spawn_workers(641)
  self.spawn_worker()

/home/youser/.local/share/virtualenvs/news-site-columnist-8tsXn7bh/lib/python3.10/site-packages/gunicorn/arbiter.py in spawn_worker(608)
  worker.init_process()

/home/youser/.local/share/virtualenvs/news-site-columnist-8tsXn7bh/lib/python3.10/site-packages/gunicorn/workers/base.py in init_process(143)
  self.run()

/home/youser/.local/share/virtualenvs/news-site-columnist-8tsXn7bh/lib/python3.10/site-packages/gunicorn/workers/sync.py in run(125)
  self.run_for_one(timeout)

/home/youser/.local/share/virtualenvs/news-site-columnist-8tsXn7bh/lib/python3.10/site-packages/gunicorn/workers/sync.py in run_for_one(69)
  self.accept(listener)

/home/youser/.local/share/virtualenvs/news-site-columnist-8tsXn7bh/lib/python3.10/site-packages/gunicorn/workers/sync.py in accept(31)
  self.handle(listener, client, addr)

/home/youser/.local/share/virtualenvs/news-site-columnist-8tsXn7bh/lib/python3.10/site-packages/gunicorn/workers/sync.py in handle(134)
  self.handle_request(listener, req, client, addr)

/home/youser/.local/share/virtualenvs/news-site-columnist-8tsXn7bh/lib/python3.10/site-packages/gunicorn/workers/sync.py in handle_request(177)
  respiter = self.wsgi(environ, resp.start_response)

/home/youser/.local/share/virtualenvs/news-site-columnist-8tsXn7bh/lib/python3.10/site-packages/sentry_sdk/utils.py in runner(1864)
  return sentry_patched_function(*args, **kwargs)

/home/youser/.local/share/virtualenvs/news-site-columnist-8tsXn7bh/lib/python3.10/site-packages/sentry_sdk/integrations/django/__init__.py in sentry_patched_wsgi_handler(191)
  return middleware(environ, start_response)

/home/youser/.local/share/virtualenvs/news-site-columnist-8tsXn7bh/lib/python3.10/site-packages/sentry_sdk/integrations/wsgi.py in __call__(132)
  response = self.app(

/home/youser/.local/share/virtualenvs/news-site-columnist-8tsXn7bh/lib/python3.10/site-packages/sentry_sdk/integrations/django/__init__.py in sentry_patched_get_response(478)
  rv = old_get_response(self, request)

/home/youser/.local/share/virtualenvs/news-site-columnist-8tsXn7bh/lib/python3.10/site-packages/sentry_sdk/integrations/django/middleware.py in __call__(177)
  return f(*args, **kwargs)

/home/youser/.local/share/virtualenvs/news-site-columnist-8tsXn7bh/lib/python3.10/site-packages/sentry_sdk/integrations/django/middleware.py in __call__(177)
  return f(*args, **kwargs)

/var/www/news-site-columnist/redirects/middleware/redirect_middleware.py in __call__(17)
  return self.get_response(request)

/home/youser/.local/share/virtualenvs/news-site-columnist-8tsXn7bh/lib/python3.10/site-packages/sentry_sdk/integrations/django/middleware.py in __call__(177)
  return f(*args, **kwargs)

/home/youser/.local/share/virtualenvs/news-site-columnist-8tsXn7bh/lib/python3.10/site-packages/sentry_sdk/integrations/django/middleware.py in __call__(177)
  return f(*args, **kwargs)

/home/youser/.local/share/virtualenvs/news-site-columnist-8tsXn7bh/lib/python3.10/site-packages/sentry_sdk/integrations/django/middleware.py in __call__(177)
  return f(*args, **kwargs)

/home/youser/.local/share/virtualenvs/news-site-columnist-8tsXn7bh/lib/python3.10/site-packages/sentry_sdk/integrations/django/middleware.py in __call__(177)
  return f(*args, **kwargs)

/home/youser/.local/share/virtualenvs/news-site-columnist-8tsXn7bh/lib/python3.10/site-packages/corsheaders/middleware.py in __call__(53)
  result = self.get_response(request)

/home/youser/.local/share/virtualenvs/news-site-columnist-8tsXn7bh/lib/python3.10/site-packages/sentry_sdk/integrations/django/middleware.py in __call__(177)
  return f(*args, **kwargs)

/home/youser/.local/share/virtualenvs/news-site-columnist-8tsXn7bh/lib/python3.10/site-packages/django_user_agents/middleware.py in __call__(14)
  return self.get_response(request)

/home/youser/.local/share/virtualenvs/news-site-columnist-8tsXn7bh/lib/python3.10/site-packages/sentry_sdk/integrations/django/middleware.py in __call__(177)
  return f(*args, **kwargs)

/home/youser/.local/share/virtualenvs/news-site-columnist-8tsXn7bh/lib/python3.10/site-packages/sentry_sdk/integrations/django/middleware.py in __call__(177)
  return f(*args, **kwargs)

/home/youser/.local/share/virtualenvs/news-site-columnist-8tsXn7bh/lib/python3.10/site-packages/sentry_sdk/integrations/django/middleware.py in __call__(177)
  return f(*args, **kwargs)

/home/youser/.local/share/virtualenvs/news-site-columnist-8tsXn7bh/lib/python3.10/site-packages/sentry_sdk/integrations/django/middleware.py in __call__(177)
  return f(*args, **kwargs)

/home/youser/.local/share/virtualenvs/news-site-columnist-8tsXn7bh/lib/python3.10/site-packages/sentry_sdk/integrations/django/middleware.py in __call__(177)
  return f(*args, **kwargs)

/home/youser/.local/share/virtualenvs/news-site-columnist-8tsXn7bh/lib/python3.10/site-packages/sentry_sdk/integrations/django/middleware.py in __call__(177)
  return f(*args, **kwargs)

/home/youser/.local/share/virtualenvs/news-site-columnist-8tsXn7bh/lib/python3.10/site-packages/sentry_sdk/integrations/django/middleware.py in __call__(177)
  return f(*args, **kwargs)

/home/youser/.local/share/virtualenvs/news-site-columnist-8tsXn7bh/lib/python3.10/site-packages/sentry_sdk/integrations/django/middleware.py in __call__(177)
  return f(*args, **kwargs)

/var/www/news-site-columnist/news/middleware/subdomain_middleare.py in __call__(22)
  response = self.get_response(request)

/home/youser/.local/share/virtualenvs/news-site-columnist-8tsXn7bh/lib/python3.10/site-packages/sentry_sdk/integrations/django/views.py in sentry_patched_render(41)
  return old_render(self)

/home/youser/.local/share/virtualenvs/news-site-columnist-8tsXn7bh/lib/python3.10/site-packages/django/template/response.py in render(114)
  self.content = self.rendered_content

/home/youser/.local/share/virtualenvs/news-site-columnist-8tsXn7bh/lib/python3.10/site-packages/sentry_sdk/utils.py in runner(1864)
  return sentry_patched_function(*args, **kwargs)

/home/youser/.local/share/virtualenvs/news-site-columnist-8tsXn7bh/lib/python3.10/site-packages/sentry_sdk/integrations/django/templates.py in rendered_content(77)
  return real_rendered_content.fget(self)

/home/youser/.local/share/virtualenvs/news-site-columnist-8tsXn7bh/lib/python3.10/site-packages/django/template/response.py in rendered_content(92)
  return template.render(context, self._request)

/home/youser/.local/share/virtualenvs/news-site-columnist-8tsXn7bh/lib/python3.10/site-packages/django/template/backends/django.py in render(61)
  return self.template.render(context)

/home/youser/.local/share/virtualenvs/news-site-columnist-8tsXn7bh/lib/python3.10/site-packages/template_timings_panel/panels/TemplateTimings.py in timing_hook(139)
  result = func(self, *args, **kwargs)

/home/youser/.local/share/virtualenvs/news-site-columnist-8tsXn7bh/lib/python3.10/site-packages/django/template/base.py in render(175)
  return self._render(context)

/home/youser/.local/share/virtualenvs/news-site-columnist-8tsXn7bh/lib/python3.10/site-packages/django/test/utils.py in instrumented_test_render(112)
  return self.nodelist.render(context)

/home/youser/.local/share/virtualenvs/news-site-columnist-8tsXn7bh/lib/python3.10/site-packages/django/template/base.py in render(1005)
  return SafeString("".join([node.render_annotated(context) for node in self]))

/home/youser/.local/share/virtualenvs/news-site-columnist-8tsXn7bh/lib/python3.10/site-packages/django/template/base.py in <listcomp>(1005)
  return SafeString("".join([node.render_annotated(context) for node in self]))

/home/youser/.local/share/virtualenvs/news-site-columnist-8tsXn7bh/lib/python3.10/site-packages/django/template/base.py in render_annotated(966)
  return self.render(context)

/home/youser/.local/share/virtualenvs/news-site-columnist-8tsXn7bh/lib/python3.10/site-packages/django/template/loader_tags.py in render(157)
  return compiled_parent._render(context)

/home/youser/.local/share/virtualenvs/news-site-columnist-8tsXn7bh/lib/python3.10/site-packages/django/test/utils.py in instrumented_test_render(112)
  return self.nodelist.render(context)

/home/youser/.local/share/virtualenvs/news-site-columnist-8tsXn7bh/lib/python3.10/site-packages/django/template/base.py in render(1005)
  return SafeString("".join([node.render_annotated(context) for node in self]))

/home/youser/.local/share/virtualenvs/news-site-columnist-8tsXn7bh/lib/python3.10/site-packages/django/template/base.py in <listcomp>(1005)
  return SafeString("".join([node.render_annotated(context) for node in self]))

/home/youser/.local/share/virtualenvs/news-site-columnist-8tsXn7bh/lib/python3.10/site-packages/django/template/base.py in render_annotated(966)
  return self.render(context)

/home/youser/.local/share/virtualenvs/news-site-columnist-8tsXn7bh/lib/python3.10/site-packages/template_timings_panel/panels/TemplateTimings.py in timing_hook(139)
  result = func(self, *args, **kwargs)

/home/youser/.local/share/virtualenvs/news-site-columnist-8tsXn7bh/lib/python3.10/site-packages/django/template/loader_tags.py in render(63)
  result = block.nodelist.render(context)

/home/youser/.local/share/virtualenvs/news-site-columnist-8tsXn7bh/lib/python3.10/site-packages/django/template/base.py in render(1005)
  return SafeString("".join([node.render_annotated(context) for node in self]))

/home/youser/.local/share/virtualenvs/news-site-columnist-8tsXn7bh/lib/python3.10/site-packages/django/template/base.py in <listcomp>(1005)
  return SafeString("".join([node.render_annotated(context) for node in self]))

/home/youser/.local/share/virtualenvs/news-site-columnist-8tsXn7bh/lib/python3.10/site-packages/django/template/base.py in render_annotated(966)
  return self.render(context)

/home/youser/.local/share/virtualenvs/news-site-columnist-8tsXn7bh/lib/python3.10/site-packages/django/template/loader_tags.py in render(208)
  return template.render(context)

/home/youser/.local/share/virtualenvs/news-site-columnist-8tsXn7bh/lib/python3.10/site-packages/template_timings_panel/panels/TemplateTimings.py in timing_hook(139)
  result = func(self, *args, **kwargs)

/home/youser/.local/share/virtualenvs/news-site-columnist-8tsXn7bh/lib/python3.10/site-packages/django/template/base.py in render(177)
  return self._render(context)

/home/youser/.local/share/virtualenvs/news-site-columnist-8tsXn7bh/lib/python3.10/site-packages/django/test/utils.py in instrumented_test_render(112)
  return self.nodelist.render(context)

/home/youser/.local/share/virtualenvs/news-site-columnist-8tsXn7bh/lib/python3.10/site-packages/django/template/base.py in render(1005)
  return SafeString("".join([node.render_annotated(context) for node in self]))

/home/youser/.local/share/virtualenvs/news-site-columnist-8tsXn7bh/lib/python3.10/site-packages/django/template/base.py in <listcomp>(1005)
  return SafeString("".join([node.render_annotated(context) for node in self]))

/home/youser/.local/share/virtualenvs/news-site-columnist-8tsXn7bh/lib/python3.10/site-packages/django/template/base.py in render_annotated(966)
  return self.render(context)

/home/youser/.local/share/virtualenvs/news-site-columnist-8tsXn7bh/lib/python3.10/site-packages/django/template/loader_tags.py in render(208)
  return template.render(context)

/home/youser/.local/share/virtualenvs/news-site-columnist-8tsXn7bh/lib/python3.10/site-packages/template_timings_panel/panels/TemplateTimings.py in timing_hook(139)
  result = func(self, *args, **kwargs)

/home/youser/.local/share/virtualenvs/news-site-columnist-8tsXn7bh/lib/python3.10/site-packages/django/template/base.py in render(177)
  return self._render(context)

/home/youser/.local/share/virtualenvs/news-site-columnist-8tsXn7bh/lib/python3.10/site-packages/django/test/utils.py in instrumented_test_render(112)
  return self.nodelist.render(context)

/home/youser/.local/share/virtualenvs/news-site-columnist-8tsXn7bh/lib/python3.10/site-packages/django/template/base.py in render(1005)
  return SafeString("".join([node.render_annotated(context) for node in self]))

/home/youser/.local/share/virtualenvs/news-site-columnist-8tsXn7bh/lib/python3.10/site-packages/django/template/base.py in <listcomp>(1005)
  return SafeString("".join([node.render_annotated(context) for node in self]))

/home/youser/.local/share/virtualenvs/news-site-columnist-8tsXn7bh/lib/python3.10/site-packages/django/template/base.py in render_annotated(966)
  return self.render(context)

/home/youser/.local/share/virtualenvs/news-site-columnist-8tsXn7bh/lib/python3.10/site-packages/django/template/defaulttags.py in render(194)
  len_values = len(values)

18
19 <div class="dropdown-content dropdown-content-categories">
20 {% get_categories as categories %}
21 {% for c in categories %}<span class="dropdown__item" data-value="{{ c.pk }}">{{ c.name }}</span>{% endfor %}
22 </div>
23
24 <button type="submit"
25 class="search__submit-btn"

/var/www/news-site-columnist/news/templates/new-design/components/header-popup.html

SELECT "site_search_searchquery"."id",
       "site_search_searchquery"."query",
       "site_search_searchquery"."created_at",
       "site_search_searchquery"."is_censored",
       "site_search_searchquery"."count"
  FROM "site_search_searchquery"
 WHERE NOT "site_search_searchquery"."is_censored"
 ORDER BY "site_search_searchquery"."count" DESC
 LIMIT 8
SELECT ••• FROM "site_search_searchquery" WHERE NOT "site_search_searchquery"."is_censored" ORDER BY "site_search_searchquery"."count" DESC LIMIT 8
0,72

Соединение: default

Статус транзакции: Ожидание

/home/youser/.local/share/virtualenvs/news-site-columnist-8tsXn7bh/bin/gunicorn in <module>(8)
  sys.exit(run())

/home/youser/.local/share/virtualenvs/news-site-columnist-8tsXn7bh/lib/python3.10/site-packages/gunicorn/app/wsgiapp.py in run(66)
  WSGIApplication("%(prog)s [OPTIONS] [APP_MODULE]", prog=prog).run()

/home/youser/.local/share/virtualenvs/news-site-columnist-8tsXn7bh/lib/python3.10/site-packages/gunicorn/app/base.py in run(235)
  super().run()

/home/youser/.local/share/virtualenvs/news-site-columnist-8tsXn7bh/lib/python3.10/site-packages/gunicorn/app/base.py in run(71)
  Arbiter(self).run()

/home/youser/.local/share/virtualenvs/news-site-columnist-8tsXn7bh/lib/python3.10/site-packages/gunicorn/arbiter.py in run(210)
  self.manage_workers()

/home/youser/.local/share/virtualenvs/news-site-columnist-8tsXn7bh/lib/python3.10/site-packages/gunicorn/arbiter.py in manage_workers(570)
  self.spawn_workers()

/home/youser/.local/share/virtualenvs/news-site-columnist-8tsXn7bh/lib/python3.10/site-packages/gunicorn/arbiter.py in spawn_workers(641)
  self.spawn_worker()

/home/youser/.local/share/virtualenvs/news-site-columnist-8tsXn7bh/lib/python3.10/site-packages/gunicorn/arbiter.py in spawn_worker(608)
  worker.init_process()

/home/youser/.local/share/virtualenvs/news-site-columnist-8tsXn7bh/lib/python3.10/site-packages/gunicorn/workers/base.py in init_process(143)
  self.run()

/home/youser/.local/share/virtualenvs/news-site-columnist-8tsXn7bh/lib/python3.10/site-packages/gunicorn/workers/sync.py in run(125)
  self.run_for_one(timeout)

/home/youser/.local/share/virtualenvs/news-site-columnist-8tsXn7bh/lib/python3.10/site-packages/gunicorn/workers/sync.py in run_for_one(69)
  self.accept(listener)

/home/youser/.local/share/virtualenvs/news-site-columnist-8tsXn7bh/lib/python3.10/site-packages/gunicorn/workers/sync.py in accept(31)
  self.handle(listener, client, addr)

/home/youser/.local/share/virtualenvs/news-site-columnist-8tsXn7bh/lib/python3.10/site-packages/gunicorn/workers/sync.py in handle(134)
  self.handle_request(listener, req, client, addr)

/home/youser/.local/share/virtualenvs/news-site-columnist-8tsXn7bh/lib/python3.10/site-packages/gunicorn/workers/sync.py in handle_request(177)
  respiter = self.wsgi(environ, resp.start_response)

/home/youser/.local/share/virtualenvs/news-site-columnist-8tsXn7bh/lib/python3.10/site-packages/sentry_sdk/utils.py in runner(1864)
  return sentry_patched_function(*args, **kwargs)

/home/youser/.local/share/virtualenvs/news-site-columnist-8tsXn7bh/lib/python3.10/site-packages/sentry_sdk/integrations/django/__init__.py in sentry_patched_wsgi_handler(191)
  return middleware(environ, start_response)

/home/youser/.local/share/virtualenvs/news-site-columnist-8tsXn7bh/lib/python3.10/site-packages/sentry_sdk/integrations/wsgi.py in __call__(132)
  response = self.app(

/home/youser/.local/share/virtualenvs/news-site-columnist-8tsXn7bh/lib/python3.10/site-packages/sentry_sdk/integrations/django/__init__.py in sentry_patched_get_response(478)
  rv = old_get_response(self, request)

/home/youser/.local/share/virtualenvs/news-site-columnist-8tsXn7bh/lib/python3.10/site-packages/sentry_sdk/integrations/django/middleware.py in __call__(177)
  return f(*args, **kwargs)

/home/youser/.local/share/virtualenvs/news-site-columnist-8tsXn7bh/lib/python3.10/site-packages/sentry_sdk/integrations/django/middleware.py in __call__(177)
  return f(*args, **kwargs)

/var/www/news-site-columnist/redirects/middleware/redirect_middleware.py in __call__(17)
  return self.get_response(request)

/home/youser/.local/share/virtualenvs/news-site-columnist-8tsXn7bh/lib/python3.10/site-packages/sentry_sdk/integrations/django/middleware.py in __call__(177)
  return f(*args, **kwargs)

/home/youser/.local/share/virtualenvs/news-site-columnist-8tsXn7bh/lib/python3.10/site-packages/sentry_sdk/integrations/django/middleware.py in __call__(177)
  return f(*args, **kwargs)

/home/youser/.local/share/virtualenvs/news-site-columnist-8tsXn7bh/lib/python3.10/site-packages/sentry_sdk/integrations/django/middleware.py in __call__(177)
  return f(*args, **kwargs)

/home/youser/.local/share/virtualenvs/news-site-columnist-8tsXn7bh/lib/python3.10/site-packages/sentry_sdk/integrations/django/middleware.py in __call__(177)
  return f(*args, **kwargs)

/home/youser/.local/share/virtualenvs/news-site-columnist-8tsXn7bh/lib/python3.10/site-packages/corsheaders/middleware.py in __call__(53)
  result = self.get_response(request)

/home/youser/.local/share/virtualenvs/news-site-columnist-8tsXn7bh/lib/python3.10/site-packages/sentry_sdk/integrations/django/middleware.py in __call__(177)
  return f(*args, **kwargs)

/home/youser/.local/share/virtualenvs/news-site-columnist-8tsXn7bh/lib/python3.10/site-packages/django_user_agents/middleware.py in __call__(14)
  return self.get_response(request)

/home/youser/.local/share/virtualenvs/news-site-columnist-8tsXn7bh/lib/python3.10/site-packages/sentry_sdk/integrations/django/middleware.py in __call__(177)
  return f(*args, **kwargs)

/home/youser/.local/share/virtualenvs/news-site-columnist-8tsXn7bh/lib/python3.10/site-packages/sentry_sdk/integrations/django/middleware.py in __call__(177)
  return f(*args, **kwargs)

/home/youser/.local/share/virtualenvs/news-site-columnist-8tsXn7bh/lib/python3.10/site-packages/sentry_sdk/integrations/django/middleware.py in __call__(177)
  return f(*args, **kwargs)

/home/youser/.local/share/virtualenvs/news-site-columnist-8tsXn7bh/lib/python3.10/site-packages/sentry_sdk/integrations/django/middleware.py in __call__(177)
  return f(*args, **kwargs)

/home/youser/.local/share/virtualenvs/news-site-columnist-8tsXn7bh/lib/python3.10/site-packages/sentry_sdk/integrations/django/middleware.py in __call__(177)
  return f(*args, **kwargs)

/home/youser/.local/share/virtualenvs/news-site-columnist-8tsXn7bh/lib/python3.10/site-packages/sentry_sdk/integrations/django/middleware.py in __call__(177)
  return f(*args, **kwargs)

/home/youser/.local/share/virtualenvs/news-site-columnist-8tsXn7bh/lib/python3.10/site-packages/sentry_sdk/integrations/django/middleware.py in __call__(177)
  return f(*args, **kwargs)

/home/youser/.local/share/virtualenvs/news-site-columnist-8tsXn7bh/lib/python3.10/site-packages/sentry_sdk/integrations/django/middleware.py in __call__(177)
  return f(*args, **kwargs)

/var/www/news-site-columnist/news/middleware/subdomain_middleare.py in __call__(22)
  response = self.get_response(request)

/home/youser/.local/share/virtualenvs/news-site-columnist-8tsXn7bh/lib/python3.10/site-packages/sentry_sdk/integrations/django/views.py in sentry_patched_render(41)
  return old_render(self)

/home/youser/.local/share/virtualenvs/news-site-columnist-8tsXn7bh/lib/python3.10/site-packages/django/template/response.py in render(114)
  self.content = self.rendered_content

/home/youser/.local/share/virtualenvs/news-site-columnist-8tsXn7bh/lib/python3.10/site-packages/sentry_sdk/utils.py in runner(1864)
  return sentry_patched_function(*args, **kwargs)

/home/youser/.local/share/virtualenvs/news-site-columnist-8tsXn7bh/lib/python3.10/site-packages/sentry_sdk/integrations/django/templates.py in rendered_content(77)
  return real_rendered_content.fget(self)

/home/youser/.local/share/virtualenvs/news-site-columnist-8tsXn7bh/lib/python3.10/site-packages/django/template/response.py in rendered_content(92)
  return template.render(context, self._request)

/home/youser/.local/share/virtualenvs/news-site-columnist-8tsXn7bh/lib/python3.10/site-packages/django/template/backends/django.py in render(61)
  return self.template.render(context)

/home/youser/.local/share/virtualenvs/news-site-columnist-8tsXn7bh/lib/python3.10/site-packages/template_timings_panel/panels/TemplateTimings.py in timing_hook(139)
  result = func(self, *args, **kwargs)

/home/youser/.local/share/virtualenvs/news-site-columnist-8tsXn7bh/lib/python3.10/site-packages/django/template/base.py in render(175)
  return self._render(context)

/home/youser/.local/share/virtualenvs/news-site-columnist-8tsXn7bh/lib/python3.10/site-packages/django/test/utils.py in instrumented_test_render(112)
  return self.nodelist.render(context)

/home/youser/.local/share/virtualenvs/news-site-columnist-8tsXn7bh/lib/python3.10/site-packages/django/template/base.py in render(1005)
  return SafeString("".join([node.render_annotated(context) for node in self]))

/home/youser/.local/share/virtualenvs/news-site-columnist-8tsXn7bh/lib/python3.10/site-packages/django/template/base.py in <listcomp>(1005)
  return SafeString("".join([node.render_annotated(context) for node in self]))

/home/youser/.local/share/virtualenvs/news-site-columnist-8tsXn7bh/lib/python3.10/site-packages/django/template/base.py in render_annotated(966)
  return self.render(context)

/home/youser/.local/share/virtualenvs/news-site-columnist-8tsXn7bh/lib/python3.10/site-packages/django/template/loader_tags.py in render(157)
  return compiled_parent._render(context)

/home/youser/.local/share/virtualenvs/news-site-columnist-8tsXn7bh/lib/python3.10/site-packages/django/test/utils.py in instrumented_test_render(112)
  return self.nodelist.render(context)

/home/youser/.local/share/virtualenvs/news-site-columnist-8tsXn7bh/lib/python3.10/site-packages/django/template/base.py in render(1005)
  return SafeString("".join([node.render_annotated(context) for node in self]))

/home/youser/.local/share/virtualenvs/news-site-columnist-8tsXn7bh/lib/python3.10/site-packages/django/template/base.py in <listcomp>(1005)
  return SafeString("".join([node.render_annotated(context) for node in self]))

/home/youser/.local/share/virtualenvs/news-site-columnist-8tsXn7bh/lib/python3.10/site-packages/django/template/base.py in render_annotated(966)
  return self.render(context)

/home/youser/.local/share/virtualenvs/news-site-columnist-8tsXn7bh/lib/python3.10/site-packages/template_timings_panel/panels/TemplateTimings.py in timing_hook(139)
  result = func(self, *args, **kwargs)

/home/youser/.local/share/virtualenvs/news-site-columnist-8tsXn7bh/lib/python3.10/site-packages/django/template/loader_tags.py in render(63)
  result = block.nodelist.render(context)

/home/youser/.local/share/virtualenvs/news-site-columnist-8tsXn7bh/lib/python3.10/site-packages/django/template/base.py in render(1005)
  return SafeString("".join([node.render_annotated(context) for node in self]))

/home/youser/.local/share/virtualenvs/news-site-columnist-8tsXn7bh/lib/python3.10/site-packages/django/template/base.py in <listcomp>(1005)
  return SafeString("".join([node.render_annotated(context) for node in self]))

/home/youser/.local/share/virtualenvs/news-site-columnist-8tsXn7bh/lib/python3.10/site-packages/django/template/base.py in render_annotated(966)
  return self.render(context)

/home/youser/.local/share/virtualenvs/news-site-columnist-8tsXn7bh/lib/python3.10/site-packages/django/template/loader_tags.py in render(208)
  return template.render(context)

/home/youser/.local/share/virtualenvs/news-site-columnist-8tsXn7bh/lib/python3.10/site-packages/template_timings_panel/panels/TemplateTimings.py in timing_hook(139)
  result = func(self, *args, **kwargs)

/home/youser/.local/share/virtualenvs/news-site-columnist-8tsXn7bh/lib/python3.10/site-packages/django/template/base.py in render(177)
  return self._render(context)

/home/youser/.local/share/virtualenvs/news-site-columnist-8tsXn7bh/lib/python3.10/site-packages/django/test/utils.py in instrumented_test_render(112)
  return self.nodelist.render(context)

/home/youser/.local/share/virtualenvs/news-site-columnist-8tsXn7bh/lib/python3.10/site-packages/django/template/base.py in render(1005)
  return SafeString("".join([node.render_annotated(context) for node in self]))

/home/youser/.local/share/virtualenvs/news-site-columnist-8tsXn7bh/lib/python3.10/site-packages/django/template/base.py in <listcomp>(1005)
  return SafeString("".join([node.render_annotated(context) for node in self]))

/home/youser/.local/share/virtualenvs/news-site-columnist-8tsXn7bh/lib/python3.10/site-packages/django/template/base.py in render_annotated(966)
  return self.render(context)

/home/youser/.local/share/virtualenvs/news-site-columnist-8tsXn7bh/lib/python3.10/site-packages/django/template/loader_tags.py in render(208)
  return template.render(context)

/home/youser/.local/share/virtualenvs/news-site-columnist-8tsXn7bh/lib/python3.10/site-packages/template_timings_panel/panels/TemplateTimings.py in timing_hook(139)
  result = func(self, *args, **kwargs)

/home/youser/.local/share/virtualenvs/news-site-columnist-8tsXn7bh/lib/python3.10/site-packages/django/template/base.py in render(177)
  return self._render(context)

/home/youser/.local/share/virtualenvs/news-site-columnist-8tsXn7bh/lib/python3.10/site-packages/django/test/utils.py in instrumented_test_render(112)
  return self.nodelist.render(context)

/home/youser/.local/share/virtualenvs/news-site-columnist-8tsXn7bh/lib/python3.10/site-packages/django/template/base.py in render(1005)
  return SafeString("".join([node.render_annotated(context) for node in self]))

/home/youser/.local/share/virtualenvs/news-site-columnist-8tsXn7bh/lib/python3.10/site-packages/django/template/base.py in <listcomp>(1005)
  return SafeString("".join([node.render_annotated(context) for node in self]))

/home/youser/.local/share/virtualenvs/news-site-columnist-8tsXn7bh/lib/python3.10/site-packages/django/template/base.py in render_annotated(966)
  return self.render(context)

/home/youser/.local/share/virtualenvs/news-site-columnist-8tsXn7bh/lib/python3.10/site-packages/django/template/defaulttags.py in render(321)
  return nodelist.render(context)

/home/youser/.local/share/virtualenvs/news-site-columnist-8tsXn7bh/lib/python3.10/site-packages/django/template/base.py in render(1005)
  return SafeString("".join([node.render_annotated(context) for node in self]))

/home/youser/.local/share/virtualenvs/news-site-columnist-8tsXn7bh/lib/python3.10/site-packages/django/template/base.py in <listcomp>(1005)
  return SafeString("".join([node.render_annotated(context) for node in self]))

/home/youser/.local/share/virtualenvs/news-site-columnist-8tsXn7bh/lib/python3.10/site-packages/django/template/base.py in render_annotated(966)
  return self.render(context)

/home/youser/.local/share/virtualenvs/news-site-columnist-8tsXn7bh/lib/python3.10/site-packages/django/template/loader_tags.py in render(208)
  return template.render(context)

/home/youser/.local/share/virtualenvs/news-site-columnist-8tsXn7bh/lib/python3.10/site-packages/template_timings_panel/panels/TemplateTimings.py in timing_hook(139)
  result = func(self, *args, **kwargs)

/home/youser/.local/share/virtualenvs/news-site-columnist-8tsXn7bh/lib/python3.10/site-packages/django/template/base.py in render(177)
  return self._render(context)

/home/youser/.local/share/virtualenvs/news-site-columnist-8tsXn7bh/lib/python3.10/site-packages/django/test/utils.py in instrumented_test_render(112)
  return self.nodelist.render(context)

/home/youser/.local/share/virtualenvs/news-site-columnist-8tsXn7bh/lib/python3.10/site-packages/django/template/base.py in render(1005)
  return SafeString("".join([node.render_annotated(context) for node in self]))

/home/youser/.local/share/virtualenvs/news-site-columnist-8tsXn7bh/lib/python3.10/site-packages/django/template/base.py in <listcomp>(1005)
  return SafeString("".join([node.render_annotated(context) for node in self]))

/home/youser/.local/share/virtualenvs/news-site-columnist-8tsXn7bh/lib/python3.10/site-packages/django/template/base.py in render_annotated(966)
  return self.render(context)

/home/youser/.local/share/virtualenvs/news-site-columnist-8tsXn7bh/lib/python3.10/site-packages/django/template/library.py in render(237)
  output = self.func(*resolved_args, **resolved_kwargs)

/var/www/news-site-columnist/site_search/templatetags/search_tags.py in get_popular_searches(18)
  chunked_searches = chunk_queryset(popular_searches, 2)

/var/www/news-site-columnist/site_search/templatetags/search_tags.py in chunk_queryset(15)
  args = [iter(queryset)] * chunk_size

1 {% load i18n search_tags %}
2 <div class="popular-searches {{ class }}">
3 <p class="popular-searches__title">{% trans "Популярні запити" %}</p>
4 {% get_popular_searches as chunked_searches %}
5 {% for row in chunked_searches %}
6 <div class="popular-searches__items">
7 {% for search in row %}
8 {% if search %}

/var/www/news-site-columnist/news/templates/new-design/components/search/popular-searches.html

SELECT "category"."id",
       "category"."created_at",
       "category"."updated_at",
       "category"."seo_title",
       "category"."seo_title_uk",
       "category"."seo_title_en",
       "category"."seo_title_ru",
       "category"."seo_description",
       "category"."seo_description_uk",
       "category"."seo_description_en",
       "category"."seo_description_ru",
       "category"."seo_keywords",
       "category"."seo_keywords_uk",
       "category"."seo_keywords_en",
       "category"."seo_keywords_ru",
       "category"."seo_header_one",
       "category"."seo_header_one_uk",
       "category"."seo_header_one_en",
       "category"."seo_header_one_ru",
       "category"."seo_news_title",
       "category"."seo_news_title_uk",
       "category"."seo_news_title_en",
       "category"."seo_news_title_ru",
       "category"."seo_news_description",
       "category"."seo_news_description_uk",
       "category"."seo_news_description_en",
       "category"."seo_news_description_ru",
       "category"."subdomain",
       "category"."parent_id",
       "category"."image",
       "category"."is_active",
       "category"."is_rss_active",
       "category"."is_interesting",
       "category"."ticker_rss_active",
       "category"."show_home",
       "category"."show_home_en",
       "category"."show_video",
       "category"."show_menu",
       "category"."show_menu_uk",
       "category"."show_menu_en",
       "category"."show_menu_ru",
       "category"."show_footer",
       "category"."show_menu_in_en",
       "category"."show_footer_in_en",
       "category"."show_in_search",
       "category"."show_in_header",
       "category"."show_in_header_uk",
       "category"."show_in_header_en",
       "category"."show_in_header_ru",
       "category"."seo_tag_id",
       "category"."sort_weight",
       "category"."sort_weight_en",
       "category"."header_sort_weight",
       "category"."header_sort_weight_uk",
       "category"."header_sort_weight_en",
       "category"."header_sort_weight_ru",
       "category"."footer_sort_weight",
       "category"."menu_sort_weight",
       "category"."name",
       "category"."name_uk",
       "category"."name_en",
       "category"."name_ru",
       "category"."slug",
       "category"."description",
       "category"."description_uk",
       "category"."description_en",
       "category"."description_ru",
       "category"."fb_link",
       "category"."tg_link",
       "category"."show_banner",
       "category"."uk_has_translation",
       "category"."ru_has_translation",
       "category"."en_has_translation",
       "category"."has_infinite_scroll",
       "category"."_show_home_without_subdomain",
       "category"."_show_home_without_subdomain_en",
       "category"."background_id",
       "category"."use_old_design",
       "category"."use_old_design_for_posts",
       "category"."is_context_category",
       "category"."show_stories_on_main",
       "category"."show_posts_table_of_contents",
       "category"."svg_icon"
  FROM "category"
 WHERE ("category"."ru_has_translation" AND NOT "category"."is_context_category" AND "category"."show_in_header_ru")
 ORDER BY "category"."header_sort_weight_ru" DESC
SELECT ••• FROM "category" WHERE ("category"."ru_has_translation" AND NOT "category"."is_context_category" AND "category"."show_in_header_ru") ORDER BY "category"."header_sort_weight_ru" DESC
3 similar queries. Duplicated 3 times.
0,74

Соединение: default

Статус транзакции: Ожидание

/home/youser/.local/share/virtualenvs/news-site-columnist-8tsXn7bh/bin/gunicorn in <module>(8)
  sys.exit(run())

/home/youser/.local/share/virtualenvs/news-site-columnist-8tsXn7bh/lib/python3.10/site-packages/gunicorn/app/wsgiapp.py in run(66)
  WSGIApplication("%(prog)s [OPTIONS] [APP_MODULE]", prog=prog).run()

/home/youser/.local/share/virtualenvs/news-site-columnist-8tsXn7bh/lib/python3.10/site-packages/gunicorn/app/base.py in run(235)
  super().run()

/home/youser/.local/share/virtualenvs/news-site-columnist-8tsXn7bh/lib/python3.10/site-packages/gunicorn/app/base.py in run(71)
  Arbiter(self).run()

/home/youser/.local/share/virtualenvs/news-site-columnist-8tsXn7bh/lib/python3.10/site-packages/gunicorn/arbiter.py in run(210)
  self.manage_workers()

/home/youser/.local/share/virtualenvs/news-site-columnist-8tsXn7bh/lib/python3.10/site-packages/gunicorn/arbiter.py in manage_workers(570)
  self.spawn_workers()

/home/youser/.local/share/virtualenvs/news-site-columnist-8tsXn7bh/lib/python3.10/site-packages/gunicorn/arbiter.py in spawn_workers(641)
  self.spawn_worker()

/home/youser/.local/share/virtualenvs/news-site-columnist-8tsXn7bh/lib/python3.10/site-packages/gunicorn/arbiter.py in spawn_worker(608)
  worker.init_process()

/home/youser/.local/share/virtualenvs/news-site-columnist-8tsXn7bh/lib/python3.10/site-packages/gunicorn/workers/base.py in init_process(143)
  self.run()

/home/youser/.local/share/virtualenvs/news-site-columnist-8tsXn7bh/lib/python3.10/site-packages/gunicorn/workers/sync.py in run(125)
  self.run_for_one(timeout)

/home/youser/.local/share/virtualenvs/news-site-columnist-8tsXn7bh/lib/python3.10/site-packages/gunicorn/workers/sync.py in run_for_one(69)
  self.accept(listener)

/home/youser/.local/share/virtualenvs/news-site-columnist-8tsXn7bh/lib/python3.10/site-packages/gunicorn/workers/sync.py in accept(31)
  self.handle(listener, client, addr)

/home/youser/.local/share/virtualenvs/news-site-columnist-8tsXn7bh/lib/python3.10/site-packages/gunicorn/workers/sync.py in handle(134)
  self.handle_request(listener, req, client, addr)

/home/youser/.local/share/virtualenvs/news-site-columnist-8tsXn7bh/lib/python3.10/site-packages/gunicorn/workers/sync.py in handle_request(177)
  respiter = self.wsgi(environ, resp.start_response)

/home/youser/.local/share/virtualenvs/news-site-columnist-8tsXn7bh/lib/python3.10/site-packages/sentry_sdk/utils.py in runner(1864)
  return sentry_patched_function(*args, **kwargs)

/home/youser/.local/share/virtualenvs/news-site-columnist-8tsXn7bh/lib/python3.10/site-packages/sentry_sdk/integrations/django/__init__.py in sentry_patched_wsgi_handler(191)
  return middleware(environ, start_response)

/home/youser/.local/share/virtualenvs/news-site-columnist-8tsXn7bh/lib/python3.10/site-packages/sentry_sdk/integrations/wsgi.py in __call__(132)
  response = self.app(

/home/youser/.local/share/virtualenvs/news-site-columnist-8tsXn7bh/lib/python3.10/site-packages/sentry_sdk/integrations/django/__init__.py in sentry_patched_get_response(478)
  rv = old_get_response(self, request)

/home/youser/.local/share/virtualenvs/news-site-columnist-8tsXn7bh/lib/python3.10/site-packages/sentry_sdk/integrations/django/middleware.py in __call__(177)
  return f(*args, **kwargs)

/home/youser/.local/share/virtualenvs/news-site-columnist-8tsXn7bh/lib/python3.10/site-packages/sentry_sdk/integrations/django/middleware.py in __call__(177)
  return f(*args, **kwargs)

/var/www/news-site-columnist/redirects/middleware/redirect_middleware.py in __call__(17)
  return self.get_response(request)

/home/youser/.local/share/virtualenvs/news-site-columnist-8tsXn7bh/lib/python3.10/site-packages/sentry_sdk/integrations/django/middleware.py in __call__(177)
  return f(*args, **kwargs)

/home/youser/.local/share/virtualenvs/news-site-columnist-8tsXn7bh/lib/python3.10/site-packages/sentry_sdk/integrations/django/middleware.py in __call__(177)
  return f(*args, **kwargs)

/home/youser/.local/share/virtualenvs/news-site-columnist-8tsXn7bh/lib/python3.10/site-packages/sentry_sdk/integrations/django/middleware.py in __call__(177)
  return f(*args, **kwargs)

/home/youser/.local/share/virtualenvs/news-site-columnist-8tsXn7bh/lib/python3.10/site-packages/sentry_sdk/integrations/django/middleware.py in __call__(177)
  return f(*args, **kwargs)

/home/youser/.local/share/virtualenvs/news-site-columnist-8tsXn7bh/lib/python3.10/site-packages/corsheaders/middleware.py in __call__(53)
  result = self.get_response(request)

/home/youser/.local/share/virtualenvs/news-site-columnist-8tsXn7bh/lib/python3.10/site-packages/sentry_sdk/integrations/django/middleware.py in __call__(177)
  return f(*args, **kwargs)

/home/youser/.local/share/virtualenvs/news-site-columnist-8tsXn7bh/lib/python3.10/site-packages/django_user_agents/middleware.py in __call__(14)
  return self.get_response(request)

/home/youser/.local/share/virtualenvs/news-site-columnist-8tsXn7bh/lib/python3.10/site-packages/sentry_sdk/integrations/django/middleware.py in __call__(177)
  return f(*args, **kwargs)

/home/youser/.local/share/virtualenvs/news-site-columnist-8tsXn7bh/lib/python3.10/site-packages/sentry_sdk/integrations/django/middleware.py in __call__(177)
  return f(*args, **kwargs)

/home/youser/.local/share/virtualenvs/news-site-columnist-8tsXn7bh/lib/python3.10/site-packages/sentry_sdk/integrations/django/middleware.py in __call__(177)
  return f(*args, **kwargs)

/home/youser/.local/share/virtualenvs/news-site-columnist-8tsXn7bh/lib/python3.10/site-packages/sentry_sdk/integrations/django/middleware.py in __call__(177)
  return f(*args, **kwargs)

/home/youser/.local/share/virtualenvs/news-site-columnist-8tsXn7bh/lib/python3.10/site-packages/sentry_sdk/integrations/django/middleware.py in __call__(177)
  return f(*args, **kwargs)

/home/youser/.local/share/virtualenvs/news-site-columnist-8tsXn7bh/lib/python3.10/site-packages/sentry_sdk/integrations/django/middleware.py in __call__(177)
  return f(*args, **kwargs)

/home/youser/.local/share/virtualenvs/news-site-columnist-8tsXn7bh/lib/python3.10/site-packages/sentry_sdk/integrations/django/middleware.py in __call__(177)
  return f(*args, **kwargs)

/home/youser/.local/share/virtualenvs/news-site-columnist-8tsXn7bh/lib/python3.10/site-packages/sentry_sdk/integrations/django/middleware.py in __call__(177)
  return f(*args, **kwargs)

/var/www/news-site-columnist/news/middleware/subdomain_middleare.py in __call__(22)
  response = self.get_response(request)

/home/youser/.local/share/virtualenvs/news-site-columnist-8tsXn7bh/lib/python3.10/site-packages/sentry_sdk/integrations/django/views.py in sentry_patched_render(41)
  return old_render(self)

/home/youser/.local/share/virtualenvs/news-site-columnist-8tsXn7bh/lib/python3.10/site-packages/django/template/response.py in render(114)
  self.content = self.rendered_content

/home/youser/.local/share/virtualenvs/news-site-columnist-8tsXn7bh/lib/python3.10/site-packages/sentry_sdk/utils.py in runner(1864)
  return sentry_patched_function(*args, **kwargs)

/home/youser/.local/share/virtualenvs/news-site-columnist-8tsXn7bh/lib/python3.10/site-packages/sentry_sdk/integrations/django/templates.py in rendered_content(77)
  return real_rendered_content.fget(self)

/home/youser/.local/share/virtualenvs/news-site-columnist-8tsXn7bh/lib/python3.10/site-packages/django/template/response.py in rendered_content(92)
  return template.render(context, self._request)

/home/youser/.local/share/virtualenvs/news-site-columnist-8tsXn7bh/lib/python3.10/site-packages/django/template/backends/django.py in render(61)
  return self.template.render(context)

/home/youser/.local/share/virtualenvs/news-site-columnist-8tsXn7bh/lib/python3.10/site-packages/template_timings_panel/panels/TemplateTimings.py in timing_hook(139)
  result = func(self, *args, **kwargs)

/home/youser/.local/share/virtualenvs/news-site-columnist-8tsXn7bh/lib/python3.10/site-packages/django/template/base.py in render(175)
  return self._render(context)

/home/youser/.local/share/virtualenvs/news-site-columnist-8tsXn7bh/lib/python3.10/site-packages/django/test/utils.py in instrumented_test_render(112)
  return self.nodelist.render(context)

/home/youser/.local/share/virtualenvs/news-site-columnist-8tsXn7bh/lib/python3.10/site-packages/django/template/base.py in render(1005)
  return SafeString("".join([node.render_annotated(context) for node in self]))

/home/youser/.local/share/virtualenvs/news-site-columnist-8tsXn7bh/lib/python3.10/site-packages/django/template/base.py in <listcomp>(1005)
  return SafeString("".join([node.render_annotated(context) for node in self]))

/home/youser/.local/share/virtualenvs/news-site-columnist-8tsXn7bh/lib/python3.10/site-packages/django/template/base.py in render_annotated(966)
  return self.render(context)

/home/youser/.local/share/virtualenvs/news-site-columnist-8tsXn7bh/lib/python3.10/site-packages/django/template/loader_tags.py in render(157)
  return compiled_parent._render(context)

/home/youser/.local/share/virtualenvs/news-site-columnist-8tsXn7bh/lib/python3.10/site-packages/django/test/utils.py in instrumented_test_render(112)
  return self.nodelist.render(context)

/home/youser/.local/share/virtualenvs/news-site-columnist-8tsXn7bh/lib/python3.10/site-packages/django/template/base.py in render(1005)
  return SafeString("".join([node.render_annotated(context) for node in self]))

/home/youser/.local/share/virtualenvs/news-site-columnist-8tsXn7bh/lib/python3.10/site-packages/django/template/base.py in <listcomp>(1005)
  return SafeString("".join([node.render_annotated(context) for node in self]))

/home/youser/.local/share/virtualenvs/news-site-columnist-8tsXn7bh/lib/python3.10/site-packages/django/template/base.py in render_annotated(966)
  return self.render(context)

/home/youser/.local/share/virtualenvs/news-site-columnist-8tsXn7bh/lib/python3.10/site-packages/template_timings_panel/panels/TemplateTimings.py in timing_hook(139)
  result = func(self, *args, **kwargs)

/home/youser/.local/share/virtualenvs/news-site-columnist-8tsXn7bh/lib/python3.10/site-packages/django/template/loader_tags.py in render(63)
  result = block.nodelist.render(context)

/home/youser/.local/share/virtualenvs/news-site-columnist-8tsXn7bh/lib/python3.10/site-packages/django/template/base.py in render(1005)
  return SafeString("".join([node.render_annotated(context) for node in self]))

/home/youser/.local/share/virtualenvs/news-site-columnist-8tsXn7bh/lib/python3.10/site-packages/django/template/base.py in <listcomp>(1005)
  return SafeString("".join([node.render_annotated(context) for node in self]))

/home/youser/.local/share/virtualenvs/news-site-columnist-8tsXn7bh/lib/python3.10/site-packages/django/template/base.py in render_annotated(966)
  return self.render(context)

/home/youser/.local/share/virtualenvs/news-site-columnist-8tsXn7bh/lib/python3.10/site-packages/django/template/loader_tags.py in render(208)
  return template.render(context)

/home/youser/.local/share/virtualenvs/news-site-columnist-8tsXn7bh/lib/python3.10/site-packages/template_timings_panel/panels/TemplateTimings.py in timing_hook(139)
  result = func(self, *args, **kwargs)

/home/youser/.local/share/virtualenvs/news-site-columnist-8tsXn7bh/lib/python3.10/site-packages/django/template/base.py in render(177)
  return self._render(context)

/home/youser/.local/share/virtualenvs/news-site-columnist-8tsXn7bh/lib/python3.10/site-packages/django/test/utils.py in instrumented_test_render(112)
  return self.nodelist.render(context)

/home/youser/.local/share/virtualenvs/news-site-columnist-8tsXn7bh/lib/python3.10/site-packages/django/template/base.py in render(1005)
  return SafeString("".join([node.render_annotated(context) for node in self]))

/home/youser/.local/share/virtualenvs/news-site-columnist-8tsXn7bh/lib/python3.10/site-packages/django/template/base.py in <listcomp>(1005)
  return SafeString("".join([node.render_annotated(context) for node in self]))

/home/youser/.local/share/virtualenvs/news-site-columnist-8tsXn7bh/lib/python3.10/site-packages/django/template/base.py in render_annotated(966)
  return self.render(context)

/home/youser/.local/share/virtualenvs/news-site-columnist-8tsXn7bh/lib/python3.10/site-packages/django/template/loader_tags.py in render(208)
  return template.render(context)

/home/youser/.local/share/virtualenvs/news-site-columnist-8tsXn7bh/lib/python3.10/site-packages/template_timings_panel/panels/TemplateTimings.py in timing_hook(139)
  result = func(self, *args, **kwargs)

/home/youser/.local/share/virtualenvs/news-site-columnist-8tsXn7bh/lib/python3.10/site-packages/django/template/base.py in render(177)
  return self._render(context)

/home/youser/.local/share/virtualenvs/news-site-columnist-8tsXn7bh/lib/python3.10/site-packages/django/test/utils.py in instrumented_test_render(112)
  return self.nodelist.render(context)

/home/youser/.local/share/virtualenvs/news-site-columnist-8tsXn7bh/lib/python3.10/site-packages/django/template/base.py in render(1005)
  return SafeString("".join([node.render_annotated(context) for node in self]))

/home/youser/.local/share/virtualenvs/news-site-columnist-8tsXn7bh/lib/python3.10/site-packages/django/template/base.py in <listcomp>(1005)
  return SafeString("".join([node.render_annotated(context) for node in self]))

/home/youser/.local/share/virtualenvs/news-site-columnist-8tsXn7bh/lib/python3.10/site-packages/django/template/base.py in render_annotated(966)
  return self.render(context)

/home/youser/.local/share/virtualenvs/news-site-columnist-8tsXn7bh/lib/python3.10/site-packages/django/template/library.py in render(237)
  output = self.func(*resolved_args, **resolved_kwargs)

/var/www/news-site-columnist/news/templatetags/custom_tags.py in get_navigation_items(50)
  for cat in categories.all():

62 {% endfor %}
63 </nav>
64 </div> {% endcomment %}
65 {% get_navigation_items as navigation_items %}
66 {% comment %} {% for item in navigation_items %}
67 <div class="header-categories__item header-categories__item_mob-only">
68 <div class="header-categories__mainItem">
69 <a href="{{ item.link }}" class="header-categories__mainItem-title">{{ item.name }}</a>

/var/www/news-site-columnist/news/templates/new-design/components/header-popup.html

SELECT "category"."id",
       "category"."created_at",
       "category"."updated_at",
       "category"."seo_title",
       "category"."seo_title_uk",
       "category"."seo_title_en",
       "category"."seo_title_ru",
       "category"."seo_description",
       "category"."seo_description_uk",
       "category"."seo_description_en",
       "category"."seo_description_ru",
       "category"."seo_keywords",
       "category"."seo_keywords_uk",
       "category"."seo_keywords_en",
       "category"."seo_keywords_ru",
       "category"."seo_header_one",
       "category"."seo_header_one_uk",
       "category"."seo_header_one_en",
       "category"."seo_header_one_ru",
       "category"."seo_news_title",
       "category"."seo_news_title_uk",
       "category"."seo_news_title_en",
       "category"."seo_news_title_ru",
       "category"."seo_news_description",
       "category"."seo_news_description_uk",
       "category"."seo_news_description_en",
       "category"."seo_news_description_ru",
       "category"."subdomain",
       "category"."parent_id",
       "category"."image",
       "category"."is_active",
       "category"."is_rss_active",
       "category"."is_interesting",
       "category"."ticker_rss_active",
       "category"."show_home",
       "category"."show_home_en",
       "category"."show_video",
       "category"."show_menu",
       "category"."show_menu_uk",
       "category"."show_menu_en",
       "category"."show_menu_ru",
       "category"."show_footer",
       "category"."show_menu_in_en",
       "category"."show_footer_in_en",
       "category"."show_in_search",
       "category"."show_in_header",
       "category"."show_in_header_uk",
       "category"."show_in_header_en",
       "category"."show_in_header_ru",
       "category"."seo_tag_id",
       "category"."sort_weight",
       "category"."sort_weight_en",
       "category"."header_sort_weight",
       "category"."header_sort_weight_uk",
       "category"."header_sort_weight_en",
       "category"."header_sort_weight_ru",
       "category"."footer_sort_weight",
       "category"."menu_sort_weight",
       "category"."name",
       "category"."name_uk",
       "category"."name_en",
       "category"."name_ru",
       "category"."slug",
       "category"."description",
       "category"."description_uk",
       "category"."description_en",
       "category"."description_ru",
       "category"."fb_link",
       "category"."tg_link",
       "category"."show_banner",
       "category"."uk_has_translation",
       "category"."ru_has_translation",
       "category"."en_has_translation",
       "category"."has_infinite_scroll",
       "category"."_show_home_without_subdomain",
       "category"."_show_home_without_subdomain_en",
       "category"."background_id",
       "category"."use_old_design",
       "category"."use_old_design_for_posts",
       "category"."is_context_category",
       "category"."show_stories_on_main",
       "category"."show_posts_table_of_contents",
       "category"."svg_icon"
  FROM "category"
 WHERE ("category"."ru_has_translation" AND NOT "category"."is_context_category" AND "category"."is_active" AND "category"."parent_id" IS NULL AND "category"."show_menu_ru")
 ORDER BY "category"."menu_sort_weight" DESC,
          "category"."name_ru" ASC
SELECT ••• FROM "category" WHERE ("category"."ru_has_translation" AND NOT "category"."is_context_category" AND "category"."is_active" AND "category"."parent_id" IS NULL AND "category"."show_menu_ru") ORDER BY "category"."menu_sort_weight" DESC, "category"."name_ru" ASC
1,01

Соединение: default

Статус транзакции: Ожидание

/home/youser/.local/share/virtualenvs/news-site-columnist-8tsXn7bh/bin/gunicorn in <module>(8)
  sys.exit(run())

/home/youser/.local/share/virtualenvs/news-site-columnist-8tsXn7bh/lib/python3.10/site-packages/gunicorn/app/wsgiapp.py in run(66)
  WSGIApplication("%(prog)s [OPTIONS] [APP_MODULE]", prog=prog).run()

/home/youser/.local/share/virtualenvs/news-site-columnist-8tsXn7bh/lib/python3.10/site-packages/gunicorn/app/base.py in run(235)
  super().run()

/home/youser/.local/share/virtualenvs/news-site-columnist-8tsXn7bh/lib/python3.10/site-packages/gunicorn/app/base.py in run(71)
  Arbiter(self).run()

/home/youser/.local/share/virtualenvs/news-site-columnist-8tsXn7bh/lib/python3.10/site-packages/gunicorn/arbiter.py in run(210)
  self.manage_workers()

/home/youser/.local/share/virtualenvs/news-site-columnist-8tsXn7bh/lib/python3.10/site-packages/gunicorn/arbiter.py in manage_workers(570)
  self.spawn_workers()

/home/youser/.local/share/virtualenvs/news-site-columnist-8tsXn7bh/lib/python3.10/site-packages/gunicorn/arbiter.py in spawn_workers(641)
  self.spawn_worker()

/home/youser/.local/share/virtualenvs/news-site-columnist-8tsXn7bh/lib/python3.10/site-packages/gunicorn/arbiter.py in spawn_worker(608)
  worker.init_process()

/home/youser/.local/share/virtualenvs/news-site-columnist-8tsXn7bh/lib/python3.10/site-packages/gunicorn/workers/base.py in init_process(143)
  self.run()

/home/youser/.local/share/virtualenvs/news-site-columnist-8tsXn7bh/lib/python3.10/site-packages/gunicorn/workers/sync.py in run(125)
  self.run_for_one(timeout)

/home/youser/.local/share/virtualenvs/news-site-columnist-8tsXn7bh/lib/python3.10/site-packages/gunicorn/workers/sync.py in run_for_one(69)
  self.accept(listener)

/home/youser/.local/share/virtualenvs/news-site-columnist-8tsXn7bh/lib/python3.10/site-packages/gunicorn/workers/sync.py in accept(31)
  self.handle(listener, client, addr)

/home/youser/.local/share/virtualenvs/news-site-columnist-8tsXn7bh/lib/python3.10/site-packages/gunicorn/workers/sync.py in handle(134)
  self.handle_request(listener, req, client, addr)

/home/youser/.local/share/virtualenvs/news-site-columnist-8tsXn7bh/lib/python3.10/site-packages/gunicorn/workers/sync.py in handle_request(177)
  respiter = self.wsgi(environ, resp.start_response)

/home/youser/.local/share/virtualenvs/news-site-columnist-8tsXn7bh/lib/python3.10/site-packages/sentry_sdk/utils.py in runner(1864)
  return sentry_patched_function(*args, **kwargs)

/home/youser/.local/share/virtualenvs/news-site-columnist-8tsXn7bh/lib/python3.10/site-packages/sentry_sdk/integrations/django/__init__.py in sentry_patched_wsgi_handler(191)
  return middleware(environ, start_response)

/home/youser/.local/share/virtualenvs/news-site-columnist-8tsXn7bh/lib/python3.10/site-packages/sentry_sdk/integrations/wsgi.py in __call__(132)
  response = self.app(

/home/youser/.local/share/virtualenvs/news-site-columnist-8tsXn7bh/lib/python3.10/site-packages/sentry_sdk/integrations/django/__init__.py in sentry_patched_get_response(478)
  rv = old_get_response(self, request)

/home/youser/.local/share/virtualenvs/news-site-columnist-8tsXn7bh/lib/python3.10/site-packages/sentry_sdk/integrations/django/middleware.py in __call__(177)
  return f(*args, **kwargs)

/home/youser/.local/share/virtualenvs/news-site-columnist-8tsXn7bh/lib/python3.10/site-packages/sentry_sdk/integrations/django/middleware.py in __call__(177)
  return f(*args, **kwargs)

/var/www/news-site-columnist/redirects/middleware/redirect_middleware.py in __call__(17)
  return self.get_response(request)

/home/youser/.local/share/virtualenvs/news-site-columnist-8tsXn7bh/lib/python3.10/site-packages/sentry_sdk/integrations/django/middleware.py in __call__(177)
  return f(*args, **kwargs)

/home/youser/.local/share/virtualenvs/news-site-columnist-8tsXn7bh/lib/python3.10/site-packages/sentry_sdk/integrations/django/middleware.py in __call__(177)
  return f(*args, **kwargs)

/home/youser/.local/share/virtualenvs/news-site-columnist-8tsXn7bh/lib/python3.10/site-packages/sentry_sdk/integrations/django/middleware.py in __call__(177)
  return f(*args, **kwargs)

/home/youser/.local/share/virtualenvs/news-site-columnist-8tsXn7bh/lib/python3.10/site-packages/sentry_sdk/integrations/django/middleware.py in __call__(177)
  return f(*args, **kwargs)

/home/youser/.local/share/virtualenvs/news-site-columnist-8tsXn7bh/lib/python3.10/site-packages/corsheaders/middleware.py in __call__(53)
  result = self.get_response(request)

/home/youser/.local/share/virtualenvs/news-site-columnist-8tsXn7bh/lib/python3.10/site-packages/sentry_sdk/integrations/django/middleware.py in __call__(177)
  return f(*args, **kwargs)

/home/youser/.local/share/virtualenvs/news-site-columnist-8tsXn7bh/lib/python3.10/site-packages/django_user_agents/middleware.py in __call__(14)
  return self.get_response(request)

/home/youser/.local/share/virtualenvs/news-site-columnist-8tsXn7bh/lib/python3.10/site-packages/sentry_sdk/integrations/django/middleware.py in __call__(177)
  return f(*args, **kwargs)

/home/youser/.local/share/virtualenvs/news-site-columnist-8tsXn7bh/lib/python3.10/site-packages/sentry_sdk/integrations/django/middleware.py in __call__(177)
  return f(*args, **kwargs)

/home/youser/.local/share/virtualenvs/news-site-columnist-8tsXn7bh/lib/python3.10/site-packages/sentry_sdk/integrations/django/middleware.py in __call__(177)
  return f(*args, **kwargs)

/home/youser/.local/share/virtualenvs/news-site-columnist-8tsXn7bh/lib/python3.10/site-packages/sentry_sdk/integrations/django/middleware.py in __call__(177)
  return f(*args, **kwargs)

/home/youser/.local/share/virtualenvs/news-site-columnist-8tsXn7bh/lib/python3.10/site-packages/sentry_sdk/integrations/django/middleware.py in __call__(177)
  return f(*args, **kwargs)

/home/youser/.local/share/virtualenvs/news-site-columnist-8tsXn7bh/lib/python3.10/site-packages/sentry_sdk/integrations/django/middleware.py in __call__(177)
  return f(*args, **kwargs)

/home/youser/.local/share/virtualenvs/news-site-columnist-8tsXn7bh/lib/python3.10/site-packages/sentry_sdk/integrations/django/middleware.py in __call__(177)
  return f(*args, **kwargs)

/home/youser/.local/share/virtualenvs/news-site-columnist-8tsXn7bh/lib/python3.10/site-packages/sentry_sdk/integrations/django/middleware.py in __call__(177)
  return f(*args, **kwargs)

/var/www/news-site-columnist/news/middleware/subdomain_middleare.py in __call__(22)
  response = self.get_response(request)

/home/youser/.local/share/virtualenvs/news-site-columnist-8tsXn7bh/lib/python3.10/site-packages/sentry_sdk/integrations/django/views.py in sentry_patched_render(41)
  return old_render(self)

/home/youser/.local/share/virtualenvs/news-site-columnist-8tsXn7bh/lib/python3.10/site-packages/django/template/response.py in render(114)
  self.content = self.rendered_content

/home/youser/.local/share/virtualenvs/news-site-columnist-8tsXn7bh/lib/python3.10/site-packages/sentry_sdk/utils.py in runner(1864)
  return sentry_patched_function(*args, **kwargs)

/home/youser/.local/share/virtualenvs/news-site-columnist-8tsXn7bh/lib/python3.10/site-packages/sentry_sdk/integrations/django/templates.py in rendered_content(77)
  return real_rendered_content.fget(self)

/home/youser/.local/share/virtualenvs/news-site-columnist-8tsXn7bh/lib/python3.10/site-packages/django/template/response.py in rendered_content(92)
  return template.render(context, self._request)

/home/youser/.local/share/virtualenvs/news-site-columnist-8tsXn7bh/lib/python3.10/site-packages/django/template/backends/django.py in render(61)
  return self.template.render(context)

/home/youser/.local/share/virtualenvs/news-site-columnist-8tsXn7bh/lib/python3.10/site-packages/template_timings_panel/panels/TemplateTimings.py in timing_hook(139)
  result = func(self, *args, **kwargs)

/home/youser/.local/share/virtualenvs/news-site-columnist-8tsXn7bh/lib/python3.10/site-packages/django/template/base.py in render(175)
  return self._render(context)

/home/youser/.local/share/virtualenvs/news-site-columnist-8tsXn7bh/lib/python3.10/site-packages/django/test/utils.py in instrumented_test_render(112)
  return self.nodelist.render(context)

/home/youser/.local/share/virtualenvs/news-site-columnist-8tsXn7bh/lib/python3.10/site-packages/django/template/base.py in render(1005)
  return SafeString("".join([node.render_annotated(context) for node in self]))

/home/youser/.local/share/virtualenvs/news-site-columnist-8tsXn7bh/lib/python3.10/site-packages/django/template/base.py in <listcomp>(1005)
  return SafeString("".join([node.render_annotated(context) for node in self]))

/home/youser/.local/share/virtualenvs/news-site-columnist-8tsXn7bh/lib/python3.10/site-packages/django/template/base.py in render_annotated(966)
  return self.render(context)

/home/youser/.local/share/virtualenvs/news-site-columnist-8tsXn7bh/lib/python3.10/site-packages/django/template/loader_tags.py in render(157)
  return compiled_parent._render(context)

/home/youser/.local/share/virtualenvs/news-site-columnist-8tsXn7bh/lib/python3.10/site-packages/django/test/utils.py in instrumented_test_render(112)
  return self.nodelist.render(context)

/home/youser/.local/share/virtualenvs/news-site-columnist-8tsXn7bh/lib/python3.10/site-packages/django/template/base.py in render(1005)
  return SafeString("".join([node.render_annotated(context) for node in self]))

/home/youser/.local/share/virtualenvs/news-site-columnist-8tsXn7bh/lib/python3.10/site-packages/django/template/base.py in <listcomp>(1005)
  return SafeString("".join([node.render_annotated(context) for node in self]))

/home/youser/.local/share/virtualenvs/news-site-columnist-8tsXn7bh/lib/python3.10/site-packages/django/template/base.py in render_annotated(966)
  return self.render(context)

/home/youser/.local/share/virtualenvs/news-site-columnist-8tsXn7bh/lib/python3.10/site-packages/template_timings_panel/panels/TemplateTimings.py in timing_hook(139)
  result = func(self, *args, **kwargs)

/home/youser/.local/share/virtualenvs/news-site-columnist-8tsXn7bh/lib/python3.10/site-packages/django/template/loader_tags.py in render(63)
  result = block.nodelist.render(context)

/home/youser/.local/share/virtualenvs/news-site-columnist-8tsXn7bh/lib/python3.10/site-packages/django/template/base.py in render(1005)
  return SafeString("".join([node.render_annotated(context) for node in self]))

/home/youser/.local/share/virtualenvs/news-site-columnist-8tsXn7bh/lib/python3.10/site-packages/django/template/base.py in <listcomp>(1005)
  return SafeString("".join([node.render_annotated(context) for node in self]))

/home/youser/.local/share/virtualenvs/news-site-columnist-8tsXn7bh/lib/python3.10/site-packages/django/template/base.py in render_annotated(966)
  return self.render(context)

/home/youser/.local/share/virtualenvs/news-site-columnist-8tsXn7bh/lib/python3.10/site-packages/django/template/loader_tags.py in render(208)
  return template.render(context)

/home/youser/.local/share/virtualenvs/news-site-columnist-8tsXn7bh/lib/python3.10/site-packages/template_timings_panel/panels/TemplateTimings.py in timing_hook(139)
  result = func(self, *args, **kwargs)

/home/youser/.local/share/virtualenvs/news-site-columnist-8tsXn7bh/lib/python3.10/site-packages/django/template/base.py in render(177)
  return self._render(context)

/home/youser/.local/share/virtualenvs/news-site-columnist-8tsXn7bh/lib/python3.10/site-packages/django/test/utils.py in instrumented_test_render(112)
  return self.nodelist.render(context)

/home/youser/.local/share/virtualenvs/news-site-columnist-8tsXn7bh/lib/python3.10/site-packages/django/template/base.py in render(1005)
  return SafeString("".join([node.render_annotated(context) for node in self]))

/home/youser/.local/share/virtualenvs/news-site-columnist-8tsXn7bh/lib/python3.10/site-packages/django/template/base.py in <listcomp>(1005)
  return SafeString("".join([node.render_annotated(context) for node in self]))

/home/youser/.local/share/virtualenvs/news-site-columnist-8tsXn7bh/lib/python3.10/site-packages/django/template/base.py in render_annotated(966)
  return self.render(context)

/home/youser/.local/share/virtualenvs/news-site-columnist-8tsXn7bh/lib/python3.10/site-packages/django/template/loader_tags.py in render(208)
  return template.render(context)

/home/youser/.local/share/virtualenvs/news-site-columnist-8tsXn7bh/lib/python3.10/site-packages/template_timings_panel/panels/TemplateTimings.py in timing_hook(139)
  result = func(self, *args, **kwargs)

/home/youser/.local/share/virtualenvs/news-site-columnist-8tsXn7bh/lib/python3.10/site-packages/django/template/base.py in render(177)
  return self._render(context)

/home/youser/.local/share/virtualenvs/news-site-columnist-8tsXn7bh/lib/python3.10/site-packages/django/test/utils.py in instrumented_test_render(112)
  return self.nodelist.render(context)

/home/youser/.local/share/virtualenvs/news-site-columnist-8tsXn7bh/lib/python3.10/site-packages/django/template/base.py in render(1005)
  return SafeString("".join([node.render_annotated(context) for node in self]))

/home/youser/.local/share/virtualenvs/news-site-columnist-8tsXn7bh/lib/python3.10/site-packages/django/template/base.py in <listcomp>(1005)
  return SafeString("".join([node.render_annotated(context) for node in self]))

/home/youser/.local/share/virtualenvs/news-site-columnist-8tsXn7bh/lib/python3.10/site-packages/django/template/base.py in render_annotated(966)
  return self.render(context)

/home/youser/.local/share/virtualenvs/news-site-columnist-8tsXn7bh/lib/python3.10/site-packages/django/template/defaulttags.py in render(194)
  len_values = len(values)

70 </div>
71 </div>
72 {% endfor %} {% endcomment %}
73 {% for p_cat in parent_categories_menu %}
74 <div class="header-categories__item">
75 <div class="header-categories__mainItem">
76 <a href="{{ p_cat.get_absolute_url }}"
77 class="header-categories__mainItem-title hover-dark-text">{{ p_cat.name }}</a>

/var/www/news-site-columnist/news/templates/new-design/components/header-popup.html

SELECT "category"."id",
       "category"."created_at",
       "category"."updated_at",
       "category"."seo_title",
       "category"."seo_title_uk",
       "category"."seo_title_en",
       "category"."seo_title_ru",
       "category"."seo_description",
       "category"."seo_description_uk",
       "category"."seo_description_en",
       "category"."seo_description_ru",
       "category"."seo_keywords",
       "category"."seo_keywords_uk",
       "category"."seo_keywords_en",
       "category"."seo_keywords_ru",
       "category"."seo_header_one",
       "category"."seo_header_one_uk",
       "category"."seo_header_one_en",
       "category"."seo_header_one_ru",
       "category"."seo_news_title",
       "category"."seo_news_title_uk",
       "category"."seo_news_title_en",
       "category"."seo_news_title_ru",
       "category"."seo_news_description",
       "category"."seo_news_description_uk",
       "category"."seo_news_description_en",
       "category"."seo_news_description_ru",
       "category"."subdomain",
       "category"."parent_id",
       "category"."image",
       "category"."is_active",
       "category"."is_rss_active",
       "category"."is_interesting",
       "category"."ticker_rss_active",
       "category"."show_home",
       "category"."show_home_en",
       "category"."show_video",
       "category"."show_menu",
       "category"."show_menu_uk",
       "category"."show_menu_en",
       "category"."show_menu_ru",
       "category"."show_footer",
       "category"."show_menu_in_en",
       "category"."show_footer_in_en",
       "category"."show_in_search",
       "category"."show_in_header",
       "category"."show_in_header_uk",
       "category"."show_in_header_en",
       "category"."show_in_header_ru",
       "category"."seo_tag_id",
       "category"."sort_weight",
       "category"."sort_weight_en",
       "category"."header_sort_weight",
       "category"."header_sort_weight_uk",
       "category"."header_sort_weight_en",
       "category"."header_sort_weight_ru",
       "category"."footer_sort_weight",
       "category"."menu_sort_weight",
       "category"."name",
       "category"."name_uk",
       "category"."name_en",
       "category"."name_ru",
       "category"."slug",
       "category"."description",
       "category"."description_uk",
       "category"."description_en",
       "category"."description_ru",
       "category"."fb_link",
       "category"."tg_link",
       "category"."show_banner",
       "category"."uk_has_translation",
       "category"."ru_has_translation",
       "category"."en_has_translation",
       "category"."has_infinite_scroll",
       "category"."_show_home_without_subdomain",
       "category"."_show_home_without_subdomain_en",
       "category"."background_id",
       "category"."use_old_design",
       "category"."use_old_design_for_posts",
       "category"."is_context_category",
       "category"."show_stories_on_main",
       "category"."show_posts_table_of_contents",
       "category"."svg_icon"
  FROM "category"
 WHERE ("category"."ru_has_translation" AND NOT "category"."is_context_category" AND "category"."show_menu_ru" AND "category"."is_active" AND "category"."parent_id" IN (78465, 78468, 78445, 78501, 78506, 78514, 78519, 78516, 78504, 78456, 78517, 78466, 78508, 43, 78521, 78522, 78515, 78510, 78518, 78505, 78472, 78523, 78483))
 ORDER BY "category"."menu_sort_weight" DESC
SELECT ••• FROM "category" WHERE ("category"."ru_has_translation" AND NOT "category"."is_context_category" AND "category"."show_menu_ru" AND "category"."is_active" AND "category"."parent_id" IN (78465, 78468, 78445, 78501, 78506, 78514, 78519, 78516, 78504, 78456, 78517, 78466, 78508, 43, 78521, 78522, 78515, 78510, 78518, 78505, 78472, 78523, 78483)) ORDER BY "category"."menu_sort_weight" DESC
1,35

Соединение: default

Статус транзакции: Ожидание

/home/youser/.local/share/virtualenvs/news-site-columnist-8tsXn7bh/bin/gunicorn in <module>(8)
  sys.exit(run())

/home/youser/.local/share/virtualenvs/news-site-columnist-8tsXn7bh/lib/python3.10/site-packages/gunicorn/app/wsgiapp.py in run(66)
  WSGIApplication("%(prog)s [OPTIONS] [APP_MODULE]", prog=prog).run()

/home/youser/.local/share/virtualenvs/news-site-columnist-8tsXn7bh/lib/python3.10/site-packages/gunicorn/app/base.py in run(235)
  super().run()

/home/youser/.local/share/virtualenvs/news-site-columnist-8tsXn7bh/lib/python3.10/site-packages/gunicorn/app/base.py in run(71)
  Arbiter(self).run()

/home/youser/.local/share/virtualenvs/news-site-columnist-8tsXn7bh/lib/python3.10/site-packages/gunicorn/arbiter.py in run(210)
  self.manage_workers()

/home/youser/.local/share/virtualenvs/news-site-columnist-8tsXn7bh/lib/python3.10/site-packages/gunicorn/arbiter.py in manage_workers(570)
  self.spawn_workers()

/home/youser/.local/share/virtualenvs/news-site-columnist-8tsXn7bh/lib/python3.10/site-packages/gunicorn/arbiter.py in spawn_workers(641)
  self.spawn_worker()

/home/youser/.local/share/virtualenvs/news-site-columnist-8tsXn7bh/lib/python3.10/site-packages/gunicorn/arbiter.py in spawn_worker(608)
  worker.init_process()

/home/youser/.local/share/virtualenvs/news-site-columnist-8tsXn7bh/lib/python3.10/site-packages/gunicorn/workers/base.py in init_process(143)
  self.run()

/home/youser/.local/share/virtualenvs/news-site-columnist-8tsXn7bh/lib/python3.10/site-packages/gunicorn/workers/sync.py in run(125)
  self.run_for_one(timeout)

/home/youser/.local/share/virtualenvs/news-site-columnist-8tsXn7bh/lib/python3.10/site-packages/gunicorn/workers/sync.py in run_for_one(69)
  self.accept(listener)

/home/youser/.local/share/virtualenvs/news-site-columnist-8tsXn7bh/lib/python3.10/site-packages/gunicorn/workers/sync.py in accept(31)
  self.handle(listener, client, addr)

/home/youser/.local/share/virtualenvs/news-site-columnist-8tsXn7bh/lib/python3.10/site-packages/gunicorn/workers/sync.py in handle(134)
  self.handle_request(listener, req, client, addr)

/home/youser/.local/share/virtualenvs/news-site-columnist-8tsXn7bh/lib/python3.10/site-packages/gunicorn/workers/sync.py in handle_request(177)
  respiter = self.wsgi(environ, resp.start_response)

/home/youser/.local/share/virtualenvs/news-site-columnist-8tsXn7bh/lib/python3.10/site-packages/sentry_sdk/utils.py in runner(1864)
  return sentry_patched_function(*args, **kwargs)

/home/youser/.local/share/virtualenvs/news-site-columnist-8tsXn7bh/lib/python3.10/site-packages/sentry_sdk/integrations/django/__init__.py in sentry_patched_wsgi_handler(191)
  return middleware(environ, start_response)

/home/youser/.local/share/virtualenvs/news-site-columnist-8tsXn7bh/lib/python3.10/site-packages/sentry_sdk/integrations/wsgi.py in __call__(132)
  response = self.app(

/home/youser/.local/share/virtualenvs/news-site-columnist-8tsXn7bh/lib/python3.10/site-packages/sentry_sdk/integrations/django/__init__.py in sentry_patched_get_response(478)
  rv = old_get_response(self, request)

/home/youser/.local/share/virtualenvs/news-site-columnist-8tsXn7bh/lib/python3.10/site-packages/sentry_sdk/integrations/django/middleware.py in __call__(177)
  return f(*args, **kwargs)

/home/youser/.local/share/virtualenvs/news-site-columnist-8tsXn7bh/lib/python3.10/site-packages/sentry_sdk/integrations/django/middleware.py in __call__(177)
  return f(*args, **kwargs)

/var/www/news-site-columnist/redirects/middleware/redirect_middleware.py in __call__(17)
  return self.get_response(request)

/home/youser/.local/share/virtualenvs/news-site-columnist-8tsXn7bh/lib/python3.10/site-packages/sentry_sdk/integrations/django/middleware.py in __call__(177)
  return f(*args, **kwargs)

/home/youser/.local/share/virtualenvs/news-site-columnist-8tsXn7bh/lib/python3.10/site-packages/sentry_sdk/integrations/django/middleware.py in __call__(177)
  return f(*args, **kwargs)

/home/youser/.local/share/virtualenvs/news-site-columnist-8tsXn7bh/lib/python3.10/site-packages/sentry_sdk/integrations/django/middleware.py in __call__(177)
  return f(*args, **kwargs)

/home/youser/.local/share/virtualenvs/news-site-columnist-8tsXn7bh/lib/python3.10/site-packages/sentry_sdk/integrations/django/middleware.py in __call__(177)
  return f(*args, **kwargs)

/home/youser/.local/share/virtualenvs/news-site-columnist-8tsXn7bh/lib/python3.10/site-packages/corsheaders/middleware.py in __call__(53)
  result = self.get_response(request)

/home/youser/.local/share/virtualenvs/news-site-columnist-8tsXn7bh/lib/python3.10/site-packages/sentry_sdk/integrations/django/middleware.py in __call__(177)
  return f(*args, **kwargs)

/home/youser/.local/share/virtualenvs/news-site-columnist-8tsXn7bh/lib/python3.10/site-packages/django_user_agents/middleware.py in __call__(14)
  return self.get_response(request)

/home/youser/.local/share/virtualenvs/news-site-columnist-8tsXn7bh/lib/python3.10/site-packages/sentry_sdk/integrations/django/middleware.py in __call__(177)
  return f(*args, **kwargs)

/home/youser/.local/share/virtualenvs/news-site-columnist-8tsXn7bh/lib/python3.10/site-packages/sentry_sdk/integrations/django/middleware.py in __call__(177)
  return f(*args, **kwargs)

/home/youser/.local/share/virtualenvs/news-site-columnist-8tsXn7bh/lib/python3.10/site-packages/sentry_sdk/integrations/django/middleware.py in __call__(177)
  return f(*args, **kwargs)

/home/youser/.local/share/virtualenvs/news-site-columnist-8tsXn7bh/lib/python3.10/site-packages/sentry_sdk/integrations/django/middleware.py in __call__(177)
  return f(*args, **kwargs)

/home/youser/.local/share/virtualenvs/news-site-columnist-8tsXn7bh/lib/python3.10/site-packages/sentry_sdk/integrations/django/middleware.py in __call__(177)
  return f(*args, **kwargs)

/home/youser/.local/share/virtualenvs/news-site-columnist-8tsXn7bh/lib/python3.10/site-packages/sentry_sdk/integrations/django/middleware.py in __call__(177)
  return f(*args, **kwargs)

/home/youser/.local/share/virtualenvs/news-site-columnist-8tsXn7bh/lib/python3.10/site-packages/sentry_sdk/integrations/django/middleware.py in __call__(177)
  return f(*args, **kwargs)

/home/youser/.local/share/virtualenvs/news-site-columnist-8tsXn7bh/lib/python3.10/site-packages/sentry_sdk/integrations/django/middleware.py in __call__(177)
  return f(*args, **kwargs)

/var/www/news-site-columnist/news/middleware/subdomain_middleare.py in __call__(22)
  response = self.get_response(request)

/home/youser/.local/share/virtualenvs/news-site-columnist-8tsXn7bh/lib/python3.10/site-packages/sentry_sdk/integrations/django/views.py in sentry_patched_render(41)
  return old_render(self)

/home/youser/.local/share/virtualenvs/news-site-columnist-8tsXn7bh/lib/python3.10/site-packages/django/template/response.py in render(114)
  self.content = self.rendered_content

/home/youser/.local/share/virtualenvs/news-site-columnist-8tsXn7bh/lib/python3.10/site-packages/sentry_sdk/utils.py in runner(1864)
  return sentry_patched_function(*args, **kwargs)

/home/youser/.local/share/virtualenvs/news-site-columnist-8tsXn7bh/lib/python3.10/site-packages/sentry_sdk/integrations/django/templates.py in rendered_content(77)
  return real_rendered_content.fget(self)

/home/youser/.local/share/virtualenvs/news-site-columnist-8tsXn7bh/lib/python3.10/site-packages/django/template/response.py in rendered_content(92)
  return template.render(context, self._request)

/home/youser/.local/share/virtualenvs/news-site-columnist-8tsXn7bh/lib/python3.10/site-packages/django/template/backends/django.py in render(61)
  return self.template.render(context)

/home/youser/.local/share/virtualenvs/news-site-columnist-8tsXn7bh/lib/python3.10/site-packages/template_timings_panel/panels/TemplateTimings.py in timing_hook(139)
  result = func(self, *args, **kwargs)

/home/youser/.local/share/virtualenvs/news-site-columnist-8tsXn7bh/lib/python3.10/site-packages/django/template/base.py in render(175)
  return self._render(context)

/home/youser/.local/share/virtualenvs/news-site-columnist-8tsXn7bh/lib/python3.10/site-packages/django/test/utils.py in instrumented_test_render(112)
  return self.nodelist.render(context)

/home/youser/.local/share/virtualenvs/news-site-columnist-8tsXn7bh/lib/python3.10/site-packages/django/template/base.py in render(1005)
  return SafeString("".join([node.render_annotated(context) for node in self]))

/home/youser/.local/share/virtualenvs/news-site-columnist-8tsXn7bh/lib/python3.10/site-packages/django/template/base.py in <listcomp>(1005)
  return SafeString("".join([node.render_annotated(context) for node in self]))

/home/youser/.local/share/virtualenvs/news-site-columnist-8tsXn7bh/lib/python3.10/site-packages/django/template/base.py in render_annotated(966)
  return self.render(context)

/home/youser/.local/share/virtualenvs/news-site-columnist-8tsXn7bh/lib/python3.10/site-packages/django/template/loader_tags.py in render(157)
  return compiled_parent._render(context)

/home/youser/.local/share/virtualenvs/news-site-columnist-8tsXn7bh/lib/python3.10/site-packages/django/test/utils.py in instrumented_test_render(112)
  return self.nodelist.render(context)

/home/youser/.local/share/virtualenvs/news-site-columnist-8tsXn7bh/lib/python3.10/site-packages/django/template/base.py in render(1005)
  return SafeString("".join([node.render_annotated(context) for node in self]))

/home/youser/.local/share/virtualenvs/news-site-columnist-8tsXn7bh/lib/python3.10/site-packages/django/template/base.py in <listcomp>(1005)
  return SafeString("".join([node.render_annotated(context) for node in self]))

/home/youser/.local/share/virtualenvs/news-site-columnist-8tsXn7bh/lib/python3.10/site-packages/django/template/base.py in render_annotated(966)
  return self.render(context)

/home/youser/.local/share/virtualenvs/news-site-columnist-8tsXn7bh/lib/python3.10/site-packages/template_timings_panel/panels/TemplateTimings.py in timing_hook(139)
  result = func(self, *args, **kwargs)

/home/youser/.local/share/virtualenvs/news-site-columnist-8tsXn7bh/lib/python3.10/site-packages/django/template/loader_tags.py in render(63)
  result = block.nodelist.render(context)

/home/youser/.local/share/virtualenvs/news-site-columnist-8tsXn7bh/lib/python3.10/site-packages/django/template/base.py in render(1005)
  return SafeString("".join([node.render_annotated(context) for node in self]))

/home/youser/.local/share/virtualenvs/news-site-columnist-8tsXn7bh/lib/python3.10/site-packages/django/template/base.py in <listcomp>(1005)
  return SafeString("".join([node.render_annotated(context) for node in self]))

/home/youser/.local/share/virtualenvs/news-site-columnist-8tsXn7bh/lib/python3.10/site-packages/django/template/base.py in render_annotated(966)
  return self.render(context)

/home/youser/.local/share/virtualenvs/news-site-columnist-8tsXn7bh/lib/python3.10/site-packages/django/template/loader_tags.py in render(208)
  return template.render(context)

/home/youser/.local/share/virtualenvs/news-site-columnist-8tsXn7bh/lib/python3.10/site-packages/template_timings_panel/panels/TemplateTimings.py in timing_hook(139)
  result = func(self, *args, **kwargs)

/home/youser/.local/share/virtualenvs/news-site-columnist-8tsXn7bh/lib/python3.10/site-packages/django/template/base.py in render(177)
  return self._render(context)

/home/youser/.local/share/virtualenvs/news-site-columnist-8tsXn7bh/lib/python3.10/site-packages/django/test/utils.py in instrumented_test_render(112)
  return self.nodelist.render(context)

/home/youser/.local/share/virtualenvs/news-site-columnist-8tsXn7bh/lib/python3.10/site-packages/django/template/base.py in render(1005)
  return SafeString("".join([node.render_annotated(context) for node in self]))

/home/youser/.local/share/virtualenvs/news-site-columnist-8tsXn7bh/lib/python3.10/site-packages/django/template/base.py in <listcomp>(1005)
  return SafeString("".join([node.render_annotated(context) for node in self]))

/home/youser/.local/share/virtualenvs/news-site-columnist-8tsXn7bh/lib/python3.10/site-packages/django/template/base.py in render_annotated(966)
  return self.render(context)

/home/youser/.local/share/virtualenvs/news-site-columnist-8tsXn7bh/lib/python3.10/site-packages/django/template/loader_tags.py in render(208)
  return template.render(context)

/home/youser/.local/share/virtualenvs/news-site-columnist-8tsXn7bh/lib/python3.10/site-packages/template_timings_panel/panels/TemplateTimings.py in timing_hook(139)
  result = func(self, *args, **kwargs)

/home/youser/.local/share/virtualenvs/news-site-columnist-8tsXn7bh/lib/python3.10/site-packages/django/template/base.py in render(177)
  return self._render(context)

/home/youser/.local/share/virtualenvs/news-site-columnist-8tsXn7bh/lib/python3.10/site-packages/django/test/utils.py in instrumented_test_render(112)
  return self.nodelist.render(context)

/home/youser/.local/share/virtualenvs/news-site-columnist-8tsXn7bh/lib/python3.10/site-packages/django/template/base.py in render(1005)
  return SafeString("".join([node.render_annotated(context) for node in self]))

/home/youser/.local/share/virtualenvs/news-site-columnist-8tsXn7bh/lib/python3.10/site-packages/django/template/base.py in <listcomp>(1005)
  return SafeString("".join([node.render_annotated(context) for node in self]))

/home/youser/.local/share/virtualenvs/news-site-columnist-8tsXn7bh/lib/python3.10/site-packages/django/template/base.py in render_annotated(966)
  return self.render(context)

/home/youser/.local/share/virtualenvs/news-site-columnist-8tsXn7bh/lib/python3.10/site-packages/django/template/defaulttags.py in render(194)
  len_values = len(values)

70 </div>
71 </div>
72 {% endfor %} {% endcomment %}
73 {% for p_cat in parent_categories_menu %}
74 <div class="header-categories__item">
75 <div class="header-categories__mainItem">
76 <a href="{{ p_cat.get_absolute_url }}"
77 class="header-categories__mainItem-title hover-dark-text">{{ p_cat.name }}</a>

/var/www/news-site-columnist/news/templates/new-design/components/header-popup.html

SELECT "post"."created_at",
       "post"."seo_title",
       "post"."seo_title_uk",
       "post"."seo_title_en",
       "post"."seo_title_ru",
       "post"."seo_description",
       "post"."seo_description_uk",
       "post"."seo_description_en",
       "post"."seo_description_ru",
       "post"."seo_keywords",
       "post"."seo_keywords_uk",
       "post"."seo_keywords_en",
       "post"."seo_keywords_ru",
       "post"."seo_header_one",
       "post"."seo_header_one_uk",
       "post"."seo_header_one_en",
       "post"."seo_header_one_ru",
       "post"."created_by",
       "post"."updated_by",
       "post"."polymorphic_ctype_id",
       "post"."id",
       "post"."head",
       "post"."head_uk",
       "post"."head_en",
       "post"."head_ru",
       "post"."sub_head",
       "post"."sub_head_uk",
       "post"."sub_head_en",
       "post"."sub_head_ru",
       "post"."content",
       "post"."content_uk",
       "post"."content_en",
       "post"."content_ru",
       "post"."author_id",
       "post"."seo_tag_id",
       "post"."publish_at",
       "post"."translated_at",
       "post"."updated_at",
       "post"."show_updated_at",
       "post"."slug",
       "post"."slug_uk",
       "post"."slug_en",
       "post"."slug_ru",
       "post"."aplication_type",
       "post"."last_editor_id",
       "post"."status",
       "post"."show_at_homepage",
       "post"."show_at_news_feed",
       "post"."show_on_broadcast_page",
       "post"."is_category_top",
       "post"."is_homepage_top",
       "post"."is_homepage_top_uk",
       "post"."is_homepage_top_en",
       "post"."is_homepage_top_ru",
       "post"."id_sponsored",
       "post"."is_lightning",
       "post"."is_exclusive",
       "post"."is_photo_report",
       "post"."is_post",
       "post"."is_article",
       "post"."main_page_img_full_width",
       "post"."need_hires",
       "post"."has_photo",
       "post"."has_video",
       "post"."is_editors_choise",
       "post"."show_in_sidebar",
       "post"."category_id",
       "post"."old_category_id",
       "post"."past_region",
       "post"."year_of_war",
       "post"."breaking_news",
       "post"."without_img",
       "post"."show_stories_block",
       "post"."display_type",
       "post"."image",
       "post"."image_alt",
       "post"."image_alt_uk",
       "post"."image_alt_en",
       "post"."image_alt_ru",
       "post"."seo_image",
       "post"."text_under_image",
       "post"."text_under_image_uk",
       "post"."text_under_image_en",
       "post"."text_under_image_ru",
       "post"."image_source",
       "post"."image_source_uk",
       "post"."image_source_en",
       "post"."image_source_ru",
       "post"."theme_id",
       "post"."is_nofollow_disabled",
       "post"."audio_content_id",
       "post"."audio_content_uk_id",
       "post"."audio_content_en_id",
       "post"."audio_content_ru_id",
       "post"."views",
       "post"."views_uk",
       "post"."views_ru",
       "post"."views_analytics",
       "post"."views_analytics_ru",
       "post"."views_analytics_uk",
       "post"."views_analytics_at",
       "post"."busy_by_id",
       "post"."image_editor_id",
       "post"."release_editor_id",
       "post"."special_type",
       "post"."head_longer_than_100",
       "post"."uk_has_translation",
       "post"."ru_has_translation",
       "post"."en_has_translation",
       "post"."homepage_slider_text",
       "post"."homepage_slider_text_uk",
       "post"."homepage_slider_text_en",
       "post"."homepage_slider_text_ru"
  FROM "post"
 WHERE "post"."id" = 259018
 LIMIT 21
SELECT ••• FROM "post" WHERE "post"."id" = 259018 LIMIT 21
2,08

Соединение: default

Статус транзакции: Ожидание

/home/youser/.local/share/virtualenvs/news-site-columnist-8tsXn7bh/bin/gunicorn in <module>(8)
  sys.exit(run())

/home/youser/.local/share/virtualenvs/news-site-columnist-8tsXn7bh/lib/python3.10/site-packages/gunicorn/app/wsgiapp.py in run(66)
  WSGIApplication("%(prog)s [OPTIONS] [APP_MODULE]", prog=prog).run()

/home/youser/.local/share/virtualenvs/news-site-columnist-8tsXn7bh/lib/python3.10/site-packages/gunicorn/app/base.py in run(235)
  super().run()

/home/youser/.local/share/virtualenvs/news-site-columnist-8tsXn7bh/lib/python3.10/site-packages/gunicorn/app/base.py in run(71)
  Arbiter(self).run()

/home/youser/.local/share/virtualenvs/news-site-columnist-8tsXn7bh/lib/python3.10/site-packages/gunicorn/arbiter.py in run(210)
  self.manage_workers()

/home/youser/.local/share/virtualenvs/news-site-columnist-8tsXn7bh/lib/python3.10/site-packages/gunicorn/arbiter.py in manage_workers(570)
  self.spawn_workers()

/home/youser/.local/share/virtualenvs/news-site-columnist-8tsXn7bh/lib/python3.10/site-packages/gunicorn/arbiter.py in spawn_workers(641)
  self.spawn_worker()

/home/youser/.local/share/virtualenvs/news-site-columnist-8tsXn7bh/lib/python3.10/site-packages/gunicorn/arbiter.py in spawn_worker(608)
  worker.init_process()

/home/youser/.local/share/virtualenvs/news-site-columnist-8tsXn7bh/lib/python3.10/site-packages/gunicorn/workers/base.py in init_process(143)
  self.run()

/home/youser/.local/share/virtualenvs/news-site-columnist-8tsXn7bh/lib/python3.10/site-packages/gunicorn/workers/sync.py in run(125)
  self.run_for_one(timeout)

/home/youser/.local/share/virtualenvs/news-site-columnist-8tsXn7bh/lib/python3.10/site-packages/gunicorn/workers/sync.py in run_for_one(69)
  self.accept(listener)

/home/youser/.local/share/virtualenvs/news-site-columnist-8tsXn7bh/lib/python3.10/site-packages/gunicorn/workers/sync.py in accept(31)
  self.handle(listener, client, addr)

/home/youser/.local/share/virtualenvs/news-site-columnist-8tsXn7bh/lib/python3.10/site-packages/gunicorn/workers/sync.py in handle(134)
  self.handle_request(listener, req, client, addr)

/home/youser/.local/share/virtualenvs/news-site-columnist-8tsXn7bh/lib/python3.10/site-packages/gunicorn/workers/sync.py in handle_request(177)
  respiter = self.wsgi(environ, resp.start_response)

/home/youser/.local/share/virtualenvs/news-site-columnist-8tsXn7bh/lib/python3.10/site-packages/sentry_sdk/utils.py in runner(1864)
  return sentry_patched_function(*args, **kwargs)

/home/youser/.local/share/virtualenvs/news-site-columnist-8tsXn7bh/lib/python3.10/site-packages/sentry_sdk/integrations/django/__init__.py in sentry_patched_wsgi_handler(191)
  return middleware(environ, start_response)

/home/youser/.local/share/virtualenvs/news-site-columnist-8tsXn7bh/lib/python3.10/site-packages/sentry_sdk/integrations/wsgi.py in __call__(132)
  response = self.app(

/home/youser/.local/share/virtualenvs/news-site-columnist-8tsXn7bh/lib/python3.10/site-packages/sentry_sdk/integrations/django/__init__.py in sentry_patched_get_response(478)
  rv = old_get_response(self, request)

/home/youser/.local/share/virtualenvs/news-site-columnist-8tsXn7bh/lib/python3.10/site-packages/sentry_sdk/integrations/django/middleware.py in __call__(177)
  return f(*args, **kwargs)

/home/youser/.local/share/virtualenvs/news-site-columnist-8tsXn7bh/lib/python3.10/site-packages/sentry_sdk/integrations/django/middleware.py in __call__(177)
  return f(*args, **kwargs)

/var/www/news-site-columnist/redirects/middleware/redirect_middleware.py in __call__(17)
  return self.get_response(request)

/home/youser/.local/share/virtualenvs/news-site-columnist-8tsXn7bh/lib/python3.10/site-packages/sentry_sdk/integrations/django/middleware.py in __call__(177)
  return f(*args, **kwargs)

/home/youser/.local/share/virtualenvs/news-site-columnist-8tsXn7bh/lib/python3.10/site-packages/sentry_sdk/integrations/django/middleware.py in __call__(177)
  return f(*args, **kwargs)

/home/youser/.local/share/virtualenvs/news-site-columnist-8tsXn7bh/lib/python3.10/site-packages/sentry_sdk/integrations/django/middleware.py in __call__(177)
  return f(*args, **kwargs)

/home/youser/.local/share/virtualenvs/news-site-columnist-8tsXn7bh/lib/python3.10/site-packages/sentry_sdk/integrations/django/middleware.py in __call__(177)
  return f(*args, **kwargs)

/home/youser/.local/share/virtualenvs/news-site-columnist-8tsXn7bh/lib/python3.10/site-packages/corsheaders/middleware.py in __call__(53)
  result = self.get_response(request)

/home/youser/.local/share/virtualenvs/news-site-columnist-8tsXn7bh/lib/python3.10/site-packages/sentry_sdk/integrations/django/middleware.py in __call__(177)
  return f(*args, **kwargs)

/home/youser/.local/share/virtualenvs/news-site-columnist-8tsXn7bh/lib/python3.10/site-packages/django_user_agents/middleware.py in __call__(14)
  return self.get_response(request)

/home/youser/.local/share/virtualenvs/news-site-columnist-8tsXn7bh/lib/python3.10/site-packages/sentry_sdk/integrations/django/middleware.py in __call__(177)
  return f(*args, **kwargs)

/home/youser/.local/share/virtualenvs/news-site-columnist-8tsXn7bh/lib/python3.10/site-packages/sentry_sdk/integrations/django/middleware.py in __call__(177)
  return f(*args, **kwargs)

/home/youser/.local/share/virtualenvs/news-site-columnist-8tsXn7bh/lib/python3.10/site-packages/sentry_sdk/integrations/django/middleware.py in __call__(177)
  return f(*args, **kwargs)

/home/youser/.local/share/virtualenvs/news-site-columnist-8tsXn7bh/lib/python3.10/site-packages/sentry_sdk/integrations/django/middleware.py in __call__(177)
  return f(*args, **kwargs)

/home/youser/.local/share/virtualenvs/news-site-columnist-8tsXn7bh/lib/python3.10/site-packages/sentry_sdk/integrations/django/middleware.py in __call__(177)
  return f(*args, **kwargs)

/home/youser/.local/share/virtualenvs/news-site-columnist-8tsXn7bh/lib/python3.10/site-packages/sentry_sdk/integrations/django/middleware.py in __call__(177)
  return f(*args, **kwargs)

/home/youser/.local/share/virtualenvs/news-site-columnist-8tsXn7bh/lib/python3.10/site-packages/sentry_sdk/integrations/django/middleware.py in __call__(177)
  return f(*args, **kwargs)

/home/youser/.local/share/virtualenvs/news-site-columnist-8tsXn7bh/lib/python3.10/site-packages/sentry_sdk/integrations/django/middleware.py in __call__(177)
  return f(*args, **kwargs)

/var/www/news-site-columnist/news/middleware/subdomain_middleare.py in __call__(22)
  response = self.get_response(request)

/home/youser/.local/share/virtualenvs/news-site-columnist-8tsXn7bh/lib/python3.10/site-packages/sentry_sdk/integrations/django/views.py in sentry_patched_render(41)
  return old_render(self)

/home/youser/.local/share/virtualenvs/news-site-columnist-8tsXn7bh/lib/python3.10/site-packages/django/template/response.py in render(114)
  self.content = self.rendered_content

/home/youser/.local/share/virtualenvs/news-site-columnist-8tsXn7bh/lib/python3.10/site-packages/sentry_sdk/utils.py in runner(1864)
  return sentry_patched_function(*args, **kwargs)

/home/youser/.local/share/virtualenvs/news-site-columnist-8tsXn7bh/lib/python3.10/site-packages/sentry_sdk/integrations/django/templates.py in rendered_content(77)
  return real_rendered_content.fget(self)

/home/youser/.local/share/virtualenvs/news-site-columnist-8tsXn7bh/lib/python3.10/site-packages/django/template/response.py in rendered_content(92)
  return template.render(context, self._request)

/home/youser/.local/share/virtualenvs/news-site-columnist-8tsXn7bh/lib/python3.10/site-packages/django/template/backends/django.py in render(61)
  return self.template.render(context)

/home/youser/.local/share/virtualenvs/news-site-columnist-8tsXn7bh/lib/python3.10/site-packages/template_timings_panel/panels/TemplateTimings.py in timing_hook(139)
  result = func(self, *args, **kwargs)

/home/youser/.local/share/virtualenvs/news-site-columnist-8tsXn7bh/lib/python3.10/site-packages/django/template/base.py in render(175)
  return self._render(context)

/home/youser/.local/share/virtualenvs/news-site-columnist-8tsXn7bh/lib/python3.10/site-packages/django/test/utils.py in instrumented_test_render(112)
  return self.nodelist.render(context)

/home/youser/.local/share/virtualenvs/news-site-columnist-8tsXn7bh/lib/python3.10/site-packages/django/template/base.py in render(1005)
  return SafeString("".join([node.render_annotated(context) for node in self]))

/home/youser/.local/share/virtualenvs/news-site-columnist-8tsXn7bh/lib/python3.10/site-packages/django/template/base.py in <listcomp>(1005)
  return SafeString("".join([node.render_annotated(context) for node in self]))

/home/youser/.local/share/virtualenvs/news-site-columnist-8tsXn7bh/lib/python3.10/site-packages/django/template/base.py in render_annotated(966)
  return self.render(context)

/home/youser/.local/share/virtualenvs/news-site-columnist-8tsXn7bh/lib/python3.10/site-packages/django/template/loader_tags.py in render(157)
  return compiled_parent._render(context)

/home/youser/.local/share/virtualenvs/news-site-columnist-8tsXn7bh/lib/python3.10/site-packages/django/test/utils.py in instrumented_test_render(112)
  return self.nodelist.render(context)

/home/youser/.local/share/virtualenvs/news-site-columnist-8tsXn7bh/lib/python3.10/site-packages/django/template/base.py in render(1005)
  return SafeString("".join([node.render_annotated(context) for node in self]))

/home/youser/.local/share/virtualenvs/news-site-columnist-8tsXn7bh/lib/python3.10/site-packages/django/template/base.py in <listcomp>(1005)
  return SafeString("".join([node.render_annotated(context) for node in self]))

/home/youser/.local/share/virtualenvs/news-site-columnist-8tsXn7bh/lib/python3.10/site-packages/django/template/base.py in render_annotated(966)
  return self.render(context)

/home/youser/.local/share/virtualenvs/news-site-columnist-8tsXn7bh/lib/python3.10/site-packages/template_timings_panel/panels/TemplateTimings.py in timing_hook(139)
  result = func(self, *args, **kwargs)

/home/youser/.local/share/virtualenvs/news-site-columnist-8tsXn7bh/lib/python3.10/site-packages/django/template/loader_tags.py in render(63)
  result = block.nodelist.render(context)

/home/youser/.local/share/virtualenvs/news-site-columnist-8tsXn7bh/lib/python3.10/site-packages/django/template/base.py in render(1005)
  return SafeString("".join([node.render_annotated(context) for node in self]))

/home/youser/.local/share/virtualenvs/news-site-columnist-8tsXn7bh/lib/python3.10/site-packages/django/template/base.py in <listcomp>(1005)
  return SafeString("".join([node.render_annotated(context) for node in self]))

/home/youser/.local/share/virtualenvs/news-site-columnist-8tsXn7bh/lib/python3.10/site-packages/django/template/base.py in render_annotated(966)
  return self.render(context)

/home/youser/.local/share/virtualenvs/news-site-columnist-8tsXn7bh/lib/python3.10/site-packages/django/template/loader_tags.py in render(208)
  return template.render(context)

/home/youser/.local/share/virtualenvs/news-site-columnist-8tsXn7bh/lib/python3.10/site-packages/template_timings_panel/panels/TemplateTimings.py in timing_hook(139)
  result = func(self, *args, **kwargs)

/home/youser/.local/share/virtualenvs/news-site-columnist-8tsXn7bh/lib/python3.10/site-packages/django/template/base.py in render(177)
  return self._render(context)

/home/youser/.local/share/virtualenvs/news-site-columnist-8tsXn7bh/lib/python3.10/site-packages/django/test/utils.py in instrumented_test_render(112)
  return self.nodelist.render(context)

/home/youser/.local/share/virtualenvs/news-site-columnist-8tsXn7bh/lib/python3.10/site-packages/django/template/base.py in render(1005)
  return SafeString("".join([node.render_annotated(context) for node in self]))

/home/youser/.local/share/virtualenvs/news-site-columnist-8tsXn7bh/lib/python3.10/site-packages/django/template/base.py in <listcomp>(1005)
  return SafeString("".join([node.render_annotated(context) for node in self]))

/home/youser/.local/share/virtualenvs/news-site-columnist-8tsXn7bh/lib/python3.10/site-packages/django/template/base.py in render_annotated(966)
  return self.render(context)

/home/youser/.local/share/virtualenvs/news-site-columnist-8tsXn7bh/lib/python3.10/site-packages/django/template/defaulttags.py in render(321)
  return nodelist.render(context)

/home/youser/.local/share/virtualenvs/news-site-columnist-8tsXn7bh/lib/python3.10/site-packages/django/template/base.py in render(1005)
  return SafeString("".join([node.render_annotated(context) for node in self]))

/home/youser/.local/share/virtualenvs/news-site-columnist-8tsXn7bh/lib/python3.10/site-packages/django/template/base.py in <listcomp>(1005)
  return SafeString("".join([node.render_annotated(context) for node in self]))

/home/youser/.local/share/virtualenvs/news-site-columnist-8tsXn7bh/lib/python3.10/site-packages/django/template/base.py in render_annotated(966)
  return self.render(context)

/home/youser/.local/share/virtualenvs/news-site-columnist-8tsXn7bh/lib/python3.10/site-packages/django/template/defaulttags.py in render(314)
  match = condition.eval(context)

/home/youser/.local/share/virtualenvs/news-site-columnist-8tsXn7bh/lib/python3.10/site-packages/django/template/smartif.py in eval(60)
  return func(context, self.first, self.second)

/home/youser/.local/share/virtualenvs/news-site-columnist-8tsXn7bh/lib/python3.10/site-packages/django/template/smartif.py in <lambda>(98)
  "and": infix(7, lambda context, x, y: x.eval(context) and y.eval(context)),

/home/youser/.local/share/virtualenvs/news-site-columnist-8tsXn7bh/lib/python3.10/site-packages/django/template/defaulttags.py in eval(877)
  return self.value.resolve(context, ignore_failures=True)

/home/youser/.local/share/virtualenvs/news-site-columnist-8tsXn7bh/lib/python3.10/site-packages/django/template/base.py in resolve(715)
  obj = self.var.resolve(context)

/home/youser/.local/share/virtualenvs/news-site-columnist-8tsXn7bh/lib/python3.10/site-packages/django/template/base.py in resolve(847)
  value = self._resolve_lookup(context)

/home/youser/.local/share/virtualenvs/news-site-columnist-8tsXn7bh/lib/python3.10/site-packages/django/template/base.py in _resolve_lookup(890)
  current = getattr(current, bit)

2 {% get_site_elements as se %}
3 {% get_current_language as LANGUAGE_CODE %}
4 {% if LANGUAGE_CODE != 'en' %}
5 {% if se.pinned_to_header_post and post_id != se.pinned_to_header_post.id %}
6 {% if request.COOKIES.hot_line_closed_id != se.pinned_to_header_post.id|stringformat:"s" %}
7 <div data-id="{{se.pinned_to_header_post.id}}" class="hot-line-wrapper">
8 <div class="hot-line {{ class }}">
9 <div class="container">

/var/www/news-site-columnist/news/templates/new-design/components/hot-line.html

SELECT "category"."id",
       "category"."created_at",
       "category"."updated_at",
       "category"."seo_title",
       "category"."seo_title_uk",
       "category"."seo_title_en",
       "category"."seo_title_ru",
       "category"."seo_description",
       "category"."seo_description_uk",
       "category"."seo_description_en",
       "category"."seo_description_ru",
       "category"."seo_keywords",
       "category"."seo_keywords_uk",
       "category"."seo_keywords_en",
       "category"."seo_keywords_ru",
       "category"."seo_header_one",
       "category"."seo_header_one_uk",
       "category"."seo_header_one_en",
       "category"."seo_header_one_ru",
       "category"."seo_news_title",
       "category"."seo_news_title_uk",
       "category"."seo_news_title_en",
       "category"."seo_news_title_ru",
       "category"."seo_news_description",
       "category"."seo_news_description_uk",
       "category"."seo_news_description_en",
       "category"."seo_news_description_ru",
       "category"."subdomain",
       "category"."parent_id",
       "category"."image",
       "category"."is_active",
       "category"."is_rss_active",
       "category"."is_interesting",
       "category"."ticker_rss_active",
       "category"."show_home",
       "category"."show_home_en",
       "category"."show_video",
       "category"."show_menu",
       "category"."show_menu_uk",
       "category"."show_menu_en",
       "category"."show_menu_ru",
       "category"."show_footer",
       "category"."show_menu_in_en",
       "category"."show_footer_in_en",
       "category"."show_in_search",
       "category"."show_in_header",
       "category"."show_in_header_uk",
       "category"."show_in_header_en",
       "category"."show_in_header_ru",
       "category"."seo_tag_id",
       "category"."sort_weight",
       "category"."sort_weight_en",
       "category"."header_sort_weight",
       "category"."header_sort_weight_uk",
       "category"."header_sort_weight_en",
       "category"."header_sort_weight_ru",
       "category"."footer_sort_weight",
       "category"."menu_sort_weight",
       "category"."name",
       "category"."name_uk",
       "category"."name_en",
       "category"."name_ru",
       "category"."slug",
       "category"."description",
       "category"."description_uk",
       "category"."description_en",
       "category"."description_ru",
       "category"."fb_link",
       "category"."tg_link",
       "category"."show_banner",
       "category"."uk_has_translation",
       "category"."ru_has_translation",
       "category"."en_has_translation",
       "category"."has_infinite_scroll",
       "category"."_show_home_without_subdomain",
       "category"."_show_home_without_subdomain_en",
       "category"."background_id",
       "category"."use_old_design",
       "category"."use_old_design_for_posts",
       "category"."is_context_category",
       "category"."show_stories_on_main",
       "category"."show_posts_table_of_contents",
       "category"."svg_icon"
  FROM "category"
 WHERE "category"."id" = 2
 LIMIT 21
SELECT ••• FROM "category" WHERE "category"."id" = 2 LIMIT 21
9 similar queries.
1,28

Соединение: default

Статус транзакции: Ожидание

/home/youser/.local/share/virtualenvs/news-site-columnist-8tsXn7bh/bin/gunicorn in <module>(8)
  sys.exit(run())

/home/youser/.local/share/virtualenvs/news-site-columnist-8tsXn7bh/lib/python3.10/site-packages/gunicorn/app/wsgiapp.py in run(66)
  WSGIApplication("%(prog)s [OPTIONS] [APP_MODULE]", prog=prog).run()

/home/youser/.local/share/virtualenvs/news-site-columnist-8tsXn7bh/lib/python3.10/site-packages/gunicorn/app/base.py in run(235)
  super().run()

/home/youser/.local/share/virtualenvs/news-site-columnist-8tsXn7bh/lib/python3.10/site-packages/gunicorn/app/base.py in run(71)
  Arbiter(self).run()

/home/youser/.local/share/virtualenvs/news-site-columnist-8tsXn7bh/lib/python3.10/site-packages/gunicorn/arbiter.py in run(210)
  self.manage_workers()

/home/youser/.local/share/virtualenvs/news-site-columnist-8tsXn7bh/lib/python3.10/site-packages/gunicorn/arbiter.py in manage_workers(570)
  self.spawn_workers()

/home/youser/.local/share/virtualenvs/news-site-columnist-8tsXn7bh/lib/python3.10/site-packages/gunicorn/arbiter.py in spawn_workers(641)
  self.spawn_worker()

/home/youser/.local/share/virtualenvs/news-site-columnist-8tsXn7bh/lib/python3.10/site-packages/gunicorn/arbiter.py in spawn_worker(608)
  worker.init_process()

/home/youser/.local/share/virtualenvs/news-site-columnist-8tsXn7bh/lib/python3.10/site-packages/gunicorn/workers/base.py in init_process(143)
  self.run()

/home/youser/.local/share/virtualenvs/news-site-columnist-8tsXn7bh/lib/python3.10/site-packages/gunicorn/workers/sync.py in run(125)
  self.run_for_one(timeout)

/home/youser/.local/share/virtualenvs/news-site-columnist-8tsXn7bh/lib/python3.10/site-packages/gunicorn/workers/sync.py in run_for_one(69)
  self.accept(listener)

/home/youser/.local/share/virtualenvs/news-site-columnist-8tsXn7bh/lib/python3.10/site-packages/gunicorn/workers/sync.py in accept(31)
  self.handle(listener, client, addr)

/home/youser/.local/share/virtualenvs/news-site-columnist-8tsXn7bh/lib/python3.10/site-packages/gunicorn/workers/sync.py in handle(134)
  self.handle_request(listener, req, client, addr)

/home/youser/.local/share/virtualenvs/news-site-columnist-8tsXn7bh/lib/python3.10/site-packages/gunicorn/workers/sync.py in handle_request(177)
  respiter = self.wsgi(environ, resp.start_response)

/home/youser/.local/share/virtualenvs/news-site-columnist-8tsXn7bh/lib/python3.10/site-packages/sentry_sdk/utils.py in runner(1864)
  return sentry_patched_function(*args, **kwargs)

/home/youser/.local/share/virtualenvs/news-site-columnist-8tsXn7bh/lib/python3.10/site-packages/sentry_sdk/integrations/django/__init__.py in sentry_patched_wsgi_handler(191)
  return middleware(environ, start_response)

/home/youser/.local/share/virtualenvs/news-site-columnist-8tsXn7bh/lib/python3.10/site-packages/sentry_sdk/integrations/wsgi.py in __call__(132)
  response = self.app(

/home/youser/.local/share/virtualenvs/news-site-columnist-8tsXn7bh/lib/python3.10/site-packages/sentry_sdk/integrations/django/__init__.py in sentry_patched_get_response(478)
  rv = old_get_response(self, request)

/home/youser/.local/share/virtualenvs/news-site-columnist-8tsXn7bh/lib/python3.10/site-packages/sentry_sdk/integrations/django/middleware.py in __call__(177)
  return f(*args, **kwargs)

/home/youser/.local/share/virtualenvs/news-site-columnist-8tsXn7bh/lib/python3.10/site-packages/sentry_sdk/integrations/django/middleware.py in __call__(177)
  return f(*args, **kwargs)

/var/www/news-site-columnist/redirects/middleware/redirect_middleware.py in __call__(17)
  return self.get_response(request)

/home/youser/.local/share/virtualenvs/news-site-columnist-8tsXn7bh/lib/python3.10/site-packages/sentry_sdk/integrations/django/middleware.py in __call__(177)
  return f(*args, **kwargs)

/home/youser/.local/share/virtualenvs/news-site-columnist-8tsXn7bh/lib/python3.10/site-packages/sentry_sdk/integrations/django/middleware.py in __call__(177)
  return f(*args, **kwargs)

/home/youser/.local/share/virtualenvs/news-site-columnist-8tsXn7bh/lib/python3.10/site-packages/sentry_sdk/integrations/django/middleware.py in __call__(177)
  return f(*args, **kwargs)

/home/youser/.local/share/virtualenvs/news-site-columnist-8tsXn7bh/lib/python3.10/site-packages/sentry_sdk/integrations/django/middleware.py in __call__(177)
  return f(*args, **kwargs)

/home/youser/.local/share/virtualenvs/news-site-columnist-8tsXn7bh/lib/python3.10/site-packages/corsheaders/middleware.py in __call__(53)
  result = self.get_response(request)

/home/youser/.local/share/virtualenvs/news-site-columnist-8tsXn7bh/lib/python3.10/site-packages/sentry_sdk/integrations/django/middleware.py in __call__(177)
  return f(*args, **kwargs)

/home/youser/.local/share/virtualenvs/news-site-columnist-8tsXn7bh/lib/python3.10/site-packages/django_user_agents/middleware.py in __call__(14)
  return self.get_response(request)

/home/youser/.local/share/virtualenvs/news-site-columnist-8tsXn7bh/lib/python3.10/site-packages/sentry_sdk/integrations/django/middleware.py in __call__(177)
  return f(*args, **kwargs)

/home/youser/.local/share/virtualenvs/news-site-columnist-8tsXn7bh/lib/python3.10/site-packages/sentry_sdk/integrations/django/middleware.py in __call__(177)
  return f(*args, **kwargs)

/home/youser/.local/share/virtualenvs/news-site-columnist-8tsXn7bh/lib/python3.10/site-packages/sentry_sdk/integrations/django/middleware.py in __call__(177)
  return f(*args, **kwargs)

/home/youser/.local/share/virtualenvs/news-site-columnist-8tsXn7bh/lib/python3.10/site-packages/sentry_sdk/integrations/django/middleware.py in __call__(177)
  return f(*args, **kwargs)

/home/youser/.local/share/virtualenvs/news-site-columnist-8tsXn7bh/lib/python3.10/site-packages/sentry_sdk/integrations/django/middleware.py in __call__(177)
  return f(*args, **kwargs)

/home/youser/.local/share/virtualenvs/news-site-columnist-8tsXn7bh/lib/python3.10/site-packages/sentry_sdk/integrations/django/middleware.py in __call__(177)
  return f(*args, **kwargs)

/home/youser/.local/share/virtualenvs/news-site-columnist-8tsXn7bh/lib/python3.10/site-packages/sentry_sdk/integrations/django/middleware.py in __call__(177)
  return f(*args, **kwargs)

/home/youser/.local/share/virtualenvs/news-site-columnist-8tsXn7bh/lib/python3.10/site-packages/sentry_sdk/integrations/django/middleware.py in __call__(177)
  return f(*args, **kwargs)

/var/www/news-site-columnist/news/middleware/subdomain_middleare.py in __call__(22)
  response = self.get_response(request)

/home/youser/.local/share/virtualenvs/news-site-columnist-8tsXn7bh/lib/python3.10/site-packages/sentry_sdk/integrations/django/views.py in sentry_patched_render(41)
  return old_render(self)

/home/youser/.local/share/virtualenvs/news-site-columnist-8tsXn7bh/lib/python3.10/site-packages/django/template/response.py in render(114)
  self.content = self.rendered_content

/home/youser/.local/share/virtualenvs/news-site-columnist-8tsXn7bh/lib/python3.10/site-packages/sentry_sdk/utils.py in runner(1864)
  return sentry_patched_function(*args, **kwargs)

/home/youser/.local/share/virtualenvs/news-site-columnist-8tsXn7bh/lib/python3.10/site-packages/sentry_sdk/integrations/django/templates.py in rendered_content(77)
  return real_rendered_content.fget(self)

/home/youser/.local/share/virtualenvs/news-site-columnist-8tsXn7bh/lib/python3.10/site-packages/django/template/response.py in rendered_content(92)
  return template.render(context, self._request)

/home/youser/.local/share/virtualenvs/news-site-columnist-8tsXn7bh/lib/python3.10/site-packages/django/template/backends/django.py in render(61)
  return self.template.render(context)

/home/youser/.local/share/virtualenvs/news-site-columnist-8tsXn7bh/lib/python3.10/site-packages/template_timings_panel/panels/TemplateTimings.py in timing_hook(139)
  result = func(self, *args, **kwargs)

/home/youser/.local/share/virtualenvs/news-site-columnist-8tsXn7bh/lib/python3.10/site-packages/django/template/base.py in render(175)
  return self._render(context)

/home/youser/.local/share/virtualenvs/news-site-columnist-8tsXn7bh/lib/python3.10/site-packages/django/test/utils.py in instrumented_test_render(112)
  return self.nodelist.render(context)

/home/youser/.local/share/virtualenvs/news-site-columnist-8tsXn7bh/lib/python3.10/site-packages/django/template/base.py in render(1005)
  return SafeString("".join([node.render_annotated(context) for node in self]))

/home/youser/.local/share/virtualenvs/news-site-columnist-8tsXn7bh/lib/python3.10/site-packages/django/template/base.py in <listcomp>(1005)
  return SafeString("".join([node.render_annotated(context) for node in self]))

/home/youser/.local/share/virtualenvs/news-site-columnist-8tsXn7bh/lib/python3.10/site-packages/django/template/base.py in render_annotated(966)
  return self.render(context)

/home/youser/.local/share/virtualenvs/news-site-columnist-8tsXn7bh/lib/python3.10/site-packages/django/template/loader_tags.py in render(157)
  return compiled_parent._render(context)

/home/youser/.local/share/virtualenvs/news-site-columnist-8tsXn7bh/lib/python3.10/site-packages/django/test/utils.py in instrumented_test_render(112)
  return self.nodelist.render(context)

/home/youser/.local/share/virtualenvs/news-site-columnist-8tsXn7bh/lib/python3.10/site-packages/django/template/base.py in render(1005)
  return SafeString("".join([node.render_annotated(context) for node in self]))

/home/youser/.local/share/virtualenvs/news-site-columnist-8tsXn7bh/lib/python3.10/site-packages/django/template/base.py in <listcomp>(1005)
  return SafeString("".join([node.render_annotated(context) for node in self]))

/home/youser/.local/share/virtualenvs/news-site-columnist-8tsXn7bh/lib/python3.10/site-packages/django/template/base.py in render_annotated(966)
  return self.render(context)

/home/youser/.local/share/virtualenvs/news-site-columnist-8tsXn7bh/lib/python3.10/site-packages/template_timings_panel/panels/TemplateTimings.py in timing_hook(139)
  result = func(self, *args, **kwargs)

/home/youser/.local/share/virtualenvs/news-site-columnist-8tsXn7bh/lib/python3.10/site-packages/django/template/loader_tags.py in render(63)
  result = block.nodelist.render(context)

/home/youser/.local/share/virtualenvs/news-site-columnist-8tsXn7bh/lib/python3.10/site-packages/django/template/base.py in render(1005)
  return SafeString("".join([node.render_annotated(context) for node in self]))

/home/youser/.local/share/virtualenvs/news-site-columnist-8tsXn7bh/lib/python3.10/site-packages/django/template/base.py in <listcomp>(1005)
  return SafeString("".join([node.render_annotated(context) for node in self]))

/home/youser/.local/share/virtualenvs/news-site-columnist-8tsXn7bh/lib/python3.10/site-packages/django/template/base.py in render_annotated(966)
  return self.render(context)

/home/youser/.local/share/virtualenvs/news-site-columnist-8tsXn7bh/lib/python3.10/site-packages/django/template/loader_tags.py in render(208)
  return template.render(context)

/home/youser/.local/share/virtualenvs/news-site-columnist-8tsXn7bh/lib/python3.10/site-packages/template_timings_panel/panels/TemplateTimings.py in timing_hook(139)
  result = func(self, *args, **kwargs)

/home/youser/.local/share/virtualenvs/news-site-columnist-8tsXn7bh/lib/python3.10/site-packages/django/template/base.py in render(177)
  return self._render(context)

/home/youser/.local/share/virtualenvs/news-site-columnist-8tsXn7bh/lib/python3.10/site-packages/django/test/utils.py in instrumented_test_render(112)
  return self.nodelist.render(context)

/home/youser/.local/share/virtualenvs/news-site-columnist-8tsXn7bh/lib/python3.10/site-packages/django/template/base.py in render(1005)
  return SafeString("".join([node.render_annotated(context) for node in self]))

/home/youser/.local/share/virtualenvs/news-site-columnist-8tsXn7bh/lib/python3.10/site-packages/django/template/base.py in <listcomp>(1005)
  return SafeString("".join([node.render_annotated(context) for node in self]))

/home/youser/.local/share/virtualenvs/news-site-columnist-8tsXn7bh/lib/python3.10/site-packages/django/template/base.py in render_annotated(966)
  return self.render(context)

/home/youser/.local/share/virtualenvs/news-site-columnist-8tsXn7bh/lib/python3.10/site-packages/django/template/defaulttags.py in render(321)
  return nodelist.render(context)

/home/youser/.local/share/virtualenvs/news-site-columnist-8tsXn7bh/lib/python3.10/site-packages/django/template/base.py in render(1005)
  return SafeString("".join([node.render_annotated(context) for node in self]))

/home/youser/.local/share/virtualenvs/news-site-columnist-8tsXn7bh/lib/python3.10/site-packages/django/template/base.py in <listcomp>(1005)
  return SafeString("".join([node.render_annotated(context) for node in self]))

/home/youser/.local/share/virtualenvs/news-site-columnist-8tsXn7bh/lib/python3.10/site-packages/django/template/base.py in render_annotated(966)
  return self.render(context)

/home/youser/.local/share/virtualenvs/news-site-columnist-8tsXn7bh/lib/python3.10/site-packages/django/template/defaulttags.py in render(321)
  return nodelist.render(context)

/home/youser/.local/share/virtualenvs/news-site-columnist-8tsXn7bh/lib/python3.10/site-packages/django/template/base.py in render(1005)
  return SafeString("".join([node.render_annotated(context) for node in self]))

/home/youser/.local/share/virtualenvs/news-site-columnist-8tsXn7bh/lib/python3.10/site-packages/django/template/base.py in <listcomp>(1005)
  return SafeString("".join([node.render_annotated(context) for node in self]))

/home/youser/.local/share/virtualenvs/news-site-columnist-8tsXn7bh/lib/python3.10/site-packages/django/template/base.py in render_annotated(966)
  return self.render(context)

/home/youser/.local/share/virtualenvs/news-site-columnist-8tsXn7bh/lib/python3.10/site-packages/django/template/defaulttags.py in render(321)
  return nodelist.render(context)

/home/youser/.local/share/virtualenvs/news-site-columnist-8tsXn7bh/lib/python3.10/site-packages/django/template/base.py in render(1005)
  return SafeString("".join([node.render_annotated(context) for node in self]))

/home/youser/.local/share/virtualenvs/news-site-columnist-8tsXn7bh/lib/python3.10/site-packages/django/template/base.py in <listcomp>(1005)
  return SafeString("".join([node.render_annotated(context) for node in self]))

/home/youser/.local/share/virtualenvs/news-site-columnist-8tsXn7bh/lib/python3.10/site-packages/django/template/base.py in render_annotated(966)
  return self.render(context)

/home/youser/.local/share/virtualenvs/news-site-columnist-8tsXn7bh/lib/python3.10/site-packages/django/template/base.py in render(1064)
  output = self.filter_expression.resolve(context)

/home/youser/.local/share/virtualenvs/news-site-columnist-8tsXn7bh/lib/python3.10/site-packages/django/template/base.py in resolve(715)
  obj = self.var.resolve(context)

/home/youser/.local/share/virtualenvs/news-site-columnist-8tsXn7bh/lib/python3.10/site-packages/django/template/base.py in resolve(847)
  value = self._resolve_lookup(context)

/home/youser/.local/share/virtualenvs/news-site-columnist-8tsXn7bh/lib/python3.10/site-packages/django/template/base.py in _resolve_lookup(914)
  current = current()

/var/www/news-site-columnist/news/models/news.py in get_absolute_url(1017)
  category = self.category

7 <div data-id="{{se.pinned_to_header_post.id}}" class="hot-line-wrapper">
8 <div class="hot-line {{ class }}">
9 <div class="container">
10 <a href="{{ se.pinned_to_header_post.get_absolute_url }}"
11 class="hot-line__link" target="_blank">
12 <span>{{ se.pinned_to_header_post.head }}</span>
13 </a>
14 <button class="hot-line__close">

/var/www/news-site-columnist/news/templates/new-design/components/hot-line.html

SELECT "users_user"."id",
       "users_user"."password",
       "users_user"."last_login",
       "users_user"."is_superuser",
       "users_user"."first_name",
       "users_user"."last_name",
       "users_user"."is_staff",
       "users_user"."is_active",
       "users_user"."date_joined",
       "users_user"."created_at",
       "users_user"."updated_at",
       "users_user"."created_by",
       "users_user"."updated_by",
       "users_user"."full_name",
       "users_user"."email",
       "users_user"."news_author_id",
       "users_user"."freelancer",
       "users_user"."username",
       "users_user"."can_translate_to_english"
  FROM "users_user"
 INNER JOIN "post_authors"
    ON ("users_user"."id" = "post_authors"."user_id")
 WHERE "post_authors"."post_id" = 22135
SELECT ••• FROM "users_user" INNER JOIN "post_authors" ON ("users_user"."id" = "post_authors"."user_id") WHERE "post_authors"."post_id" = 22135
2 similar queries. Duplicated 2 times.
1,47

Соединение: default

Статус транзакции: Ожидание

/home/youser/.local/share/virtualenvs/news-site-columnist-8tsXn7bh/bin/gunicorn in <module>(8)
  sys.exit(run())

/home/youser/.local/share/virtualenvs/news-site-columnist-8tsXn7bh/lib/python3.10/site-packages/gunicorn/app/wsgiapp.py in run(66)
  WSGIApplication("%(prog)s [OPTIONS] [APP_MODULE]", prog=prog).run()

/home/youser/.local/share/virtualenvs/news-site-columnist-8tsXn7bh/lib/python3.10/site-packages/gunicorn/app/base.py in run(235)
  super().run()

/home/youser/.local/share/virtualenvs/news-site-columnist-8tsXn7bh/lib/python3.10/site-packages/gunicorn/app/base.py in run(71)
  Arbiter(self).run()

/home/youser/.local/share/virtualenvs/news-site-columnist-8tsXn7bh/lib/python3.10/site-packages/gunicorn/arbiter.py in run(210)
  self.manage_workers()

/home/youser/.local/share/virtualenvs/news-site-columnist-8tsXn7bh/lib/python3.10/site-packages/gunicorn/arbiter.py in manage_workers(570)
  self.spawn_workers()

/home/youser/.local/share/virtualenvs/news-site-columnist-8tsXn7bh/lib/python3.10/site-packages/gunicorn/arbiter.py in spawn_workers(641)
  self.spawn_worker()

/home/youser/.local/share/virtualenvs/news-site-columnist-8tsXn7bh/lib/python3.10/site-packages/gunicorn/arbiter.py in spawn_worker(608)
  worker.init_process()

/home/youser/.local/share/virtualenvs/news-site-columnist-8tsXn7bh/lib/python3.10/site-packages/gunicorn/workers/base.py in init_process(143)
  self.run()

/home/youser/.local/share/virtualenvs/news-site-columnist-8tsXn7bh/lib/python3.10/site-packages/gunicorn/workers/sync.py in run(125)
  self.run_for_one(timeout)

/home/youser/.local/share/virtualenvs/news-site-columnist-8tsXn7bh/lib/python3.10/site-packages/gunicorn/workers/sync.py in run_for_one(69)
  self.accept(listener)

/home/youser/.local/share/virtualenvs/news-site-columnist-8tsXn7bh/lib/python3.10/site-packages/gunicorn/workers/sync.py in accept(31)
  self.handle(listener, client, addr)

/home/youser/.local/share/virtualenvs/news-site-columnist-8tsXn7bh/lib/python3.10/site-packages/gunicorn/workers/sync.py in handle(134)
  self.handle_request(listener, req, client, addr)

/home/youser/.local/share/virtualenvs/news-site-columnist-8tsXn7bh/lib/python3.10/site-packages/gunicorn/workers/sync.py in handle_request(177)
  respiter = self.wsgi(environ, resp.start_response)

/home/youser/.local/share/virtualenvs/news-site-columnist-8tsXn7bh/lib/python3.10/site-packages/sentry_sdk/utils.py in runner(1864)
  return sentry_patched_function(*args, **kwargs)

/home/youser/.local/share/virtualenvs/news-site-columnist-8tsXn7bh/lib/python3.10/site-packages/sentry_sdk/integrations/django/__init__.py in sentry_patched_wsgi_handler(191)
  return middleware(environ, start_response)

/home/youser/.local/share/virtualenvs/news-site-columnist-8tsXn7bh/lib/python3.10/site-packages/sentry_sdk/integrations/wsgi.py in __call__(132)
  response = self.app(

/home/youser/.local/share/virtualenvs/news-site-columnist-8tsXn7bh/lib/python3.10/site-packages/sentry_sdk/integrations/django/__init__.py in sentry_patched_get_response(478)
  rv = old_get_response(self, request)

/home/youser/.local/share/virtualenvs/news-site-columnist-8tsXn7bh/lib/python3.10/site-packages/sentry_sdk/integrations/django/middleware.py in __call__(177)
  return f(*args, **kwargs)

/home/youser/.local/share/virtualenvs/news-site-columnist-8tsXn7bh/lib/python3.10/site-packages/sentry_sdk/integrations/django/middleware.py in __call__(177)
  return f(*args, **kwargs)

/var/www/news-site-columnist/redirects/middleware/redirect_middleware.py in __call__(17)
  return self.get_response(request)

/home/youser/.local/share/virtualenvs/news-site-columnist-8tsXn7bh/lib/python3.10/site-packages/sentry_sdk/integrations/django/middleware.py in __call__(177)
  return f(*args, **kwargs)

/home/youser/.local/share/virtualenvs/news-site-columnist-8tsXn7bh/lib/python3.10/site-packages/sentry_sdk/integrations/django/middleware.py in __call__(177)
  return f(*args, **kwargs)

/home/youser/.local/share/virtualenvs/news-site-columnist-8tsXn7bh/lib/python3.10/site-packages/sentry_sdk/integrations/django/middleware.py in __call__(177)
  return f(*args, **kwargs)

/home/youser/.local/share/virtualenvs/news-site-columnist-8tsXn7bh/lib/python3.10/site-packages/sentry_sdk/integrations/django/middleware.py in __call__(177)
  return f(*args, **kwargs)

/home/youser/.local/share/virtualenvs/news-site-columnist-8tsXn7bh/lib/python3.10/site-packages/corsheaders/middleware.py in __call__(53)
  result = self.get_response(request)

/home/youser/.local/share/virtualenvs/news-site-columnist-8tsXn7bh/lib/python3.10/site-packages/sentry_sdk/integrations/django/middleware.py in __call__(177)
  return f(*args, **kwargs)

/home/youser/.local/share/virtualenvs/news-site-columnist-8tsXn7bh/lib/python3.10/site-packages/django_user_agents/middleware.py in __call__(14)
  return self.get_response(request)

/home/youser/.local/share/virtualenvs/news-site-columnist-8tsXn7bh/lib/python3.10/site-packages/sentry_sdk/integrations/django/middleware.py in __call__(177)
  return f(*args, **kwargs)

/home/youser/.local/share/virtualenvs/news-site-columnist-8tsXn7bh/lib/python3.10/site-packages/sentry_sdk/integrations/django/middleware.py in __call__(177)
  return f(*args, **kwargs)

/home/youser/.local/share/virtualenvs/news-site-columnist-8tsXn7bh/lib/python3.10/site-packages/sentry_sdk/integrations/django/middleware.py in __call__(177)
  return f(*args, **kwargs)

/home/youser/.local/share/virtualenvs/news-site-columnist-8tsXn7bh/lib/python3.10/site-packages/sentry_sdk/integrations/django/middleware.py in __call__(177)
  return f(*args, **kwargs)

/home/youser/.local/share/virtualenvs/news-site-columnist-8tsXn7bh/lib/python3.10/site-packages/sentry_sdk/integrations/django/middleware.py in __call__(177)
  return f(*args, **kwargs)

/home/youser/.local/share/virtualenvs/news-site-columnist-8tsXn7bh/lib/python3.10/site-packages/sentry_sdk/integrations/django/middleware.py in __call__(177)
  return f(*args, **kwargs)

/home/youser/.local/share/virtualenvs/news-site-columnist-8tsXn7bh/lib/python3.10/site-packages/sentry_sdk/integrations/django/middleware.py in __call__(177)
  return f(*args, **kwargs)

/home/youser/.local/share/virtualenvs/news-site-columnist-8tsXn7bh/lib/python3.10/site-packages/sentry_sdk/integrations/django/middleware.py in __call__(177)
  return f(*args, **kwargs)

/var/www/news-site-columnist/news/middleware/subdomain_middleare.py in __call__(22)
  response = self.get_response(request)

/home/youser/.local/share/virtualenvs/news-site-columnist-8tsXn7bh/lib/python3.10/site-packages/sentry_sdk/integrations/django/views.py in sentry_patched_render(41)
  return old_render(self)

/home/youser/.local/share/virtualenvs/news-site-columnist-8tsXn7bh/lib/python3.10/site-packages/django/template/response.py in render(114)
  self.content = self.rendered_content

/home/youser/.local/share/virtualenvs/news-site-columnist-8tsXn7bh/lib/python3.10/site-packages/sentry_sdk/utils.py in runner(1864)
  return sentry_patched_function(*args, **kwargs)

/home/youser/.local/share/virtualenvs/news-site-columnist-8tsXn7bh/lib/python3.10/site-packages/sentry_sdk/integrations/django/templates.py in rendered_content(77)
  return real_rendered_content.fget(self)

/home/youser/.local/share/virtualenvs/news-site-columnist-8tsXn7bh/lib/python3.10/site-packages/django/template/response.py in rendered_content(92)
  return template.render(context, self._request)

/home/youser/.local/share/virtualenvs/news-site-columnist-8tsXn7bh/lib/python3.10/site-packages/django/template/backends/django.py in render(61)
  return self.template.render(context)

/home/youser/.local/share/virtualenvs/news-site-columnist-8tsXn7bh/lib/python3.10/site-packages/template_timings_panel/panels/TemplateTimings.py in timing_hook(139)
  result = func(self, *args, **kwargs)

/home/youser/.local/share/virtualenvs/news-site-columnist-8tsXn7bh/lib/python3.10/site-packages/django/template/base.py in render(175)
  return self._render(context)

/home/youser/.local/share/virtualenvs/news-site-columnist-8tsXn7bh/lib/python3.10/site-packages/django/test/utils.py in instrumented_test_render(112)
  return self.nodelist.render(context)

/home/youser/.local/share/virtualenvs/news-site-columnist-8tsXn7bh/lib/python3.10/site-packages/django/template/base.py in render(1005)
  return SafeString("".join([node.render_annotated(context) for node in self]))

/home/youser/.local/share/virtualenvs/news-site-columnist-8tsXn7bh/lib/python3.10/site-packages/django/template/base.py in <listcomp>(1005)
  return SafeString("".join([node.render_annotated(context) for node in self]))

/home/youser/.local/share/virtualenvs/news-site-columnist-8tsXn7bh/lib/python3.10/site-packages/django/template/base.py in render_annotated(966)
  return self.render(context)

/home/youser/.local/share/virtualenvs/news-site-columnist-8tsXn7bh/lib/python3.10/site-packages/django/template/loader_tags.py in render(157)
  return compiled_parent._render(context)

/home/youser/.local/share/virtualenvs/news-site-columnist-8tsXn7bh/lib/python3.10/site-packages/django/test/utils.py in instrumented_test_render(112)
  return self.nodelist.render(context)

/home/youser/.local/share/virtualenvs/news-site-columnist-8tsXn7bh/lib/python3.10/site-packages/django/template/base.py in render(1005)
  return SafeString("".join([node.render_annotated(context) for node in self]))

/home/youser/.local/share/virtualenvs/news-site-columnist-8tsXn7bh/lib/python3.10/site-packages/django/template/base.py in <listcomp>(1005)
  return SafeString("".join([node.render_annotated(context) for node in self]))

/home/youser/.local/share/virtualenvs/news-site-columnist-8tsXn7bh/lib/python3.10/site-packages/django/template/base.py in render_annotated(966)
  return self.render(context)

/home/youser/.local/share/virtualenvs/news-site-columnist-8tsXn7bh/lib/python3.10/site-packages/template_timings_panel/panels/TemplateTimings.py in timing_hook(139)
  result = func(self, *args, **kwargs)

/home/youser/.local/share/virtualenvs/news-site-columnist-8tsXn7bh/lib/python3.10/site-packages/django/template/loader_tags.py in render(63)
  result = block.nodelist.render(context)

/home/youser/.local/share/virtualenvs/news-site-columnist-8tsXn7bh/lib/python3.10/site-packages/django/template/base.py in render(1005)
  return SafeString("".join([node.render_annotated(context) for node in self]))

/home/youser/.local/share/virtualenvs/news-site-columnist-8tsXn7bh/lib/python3.10/site-packages/django/template/base.py in <listcomp>(1005)
  return SafeString("".join([node.render_annotated(context) for node in self]))

/home/youser/.local/share/virtualenvs/news-site-columnist-8tsXn7bh/lib/python3.10/site-packages/django/template/base.py in render_annotated(966)
  return self.render(context)

/home/youser/.local/share/virtualenvs/news-site-columnist-8tsXn7bh/lib/python3.10/site-packages/template_timings_panel/panels/TemplateTimings.py in timing_hook(139)
  result = func(self, *args, **kwargs)

/home/youser/.local/share/virtualenvs/news-site-columnist-8tsXn7bh/lib/python3.10/site-packages/django/template/loader_tags.py in render(63)
  result = block.nodelist.render(context)

/home/youser/.local/share/virtualenvs/news-site-columnist-8tsXn7bh/lib/python3.10/site-packages/django/template/base.py in render(1005)
  return SafeString("".join([node.render_annotated(context) for node in self]))

/home/youser/.local/share/virtualenvs/news-site-columnist-8tsXn7bh/lib/python3.10/site-packages/django/template/base.py in <listcomp>(1005)
  return SafeString("".join([node.render_annotated(context) for node in self]))

/home/youser/.local/share/virtualenvs/news-site-columnist-8tsXn7bh/lib/python3.10/site-packages/django/template/base.py in render_annotated(966)
  return self.render(context)

/home/youser/.local/share/virtualenvs/news-site-columnist-8tsXn7bh/lib/python3.10/site-packages/django/template/loader_tags.py in render(208)
  return template.render(context)

/home/youser/.local/share/virtualenvs/news-site-columnist-8tsXn7bh/lib/python3.10/site-packages/template_timings_panel/panels/TemplateTimings.py in timing_hook(139)
  result = func(self, *args, **kwargs)

/home/youser/.local/share/virtualenvs/news-site-columnist-8tsXn7bh/lib/python3.10/site-packages/django/template/base.py in render(177)
  return self._render(context)

/home/youser/.local/share/virtualenvs/news-site-columnist-8tsXn7bh/lib/python3.10/site-packages/django/test/utils.py in instrumented_test_render(112)
  return self.nodelist.render(context)

/home/youser/.local/share/virtualenvs/news-site-columnist-8tsXn7bh/lib/python3.10/site-packages/django/template/base.py in render(1005)
  return SafeString("".join([node.render_annotated(context) for node in self]))

/home/youser/.local/share/virtualenvs/news-site-columnist-8tsXn7bh/lib/python3.10/site-packages/django/template/base.py in <listcomp>(1005)
  return SafeString("".join([node.render_annotated(context) for node in self]))

/home/youser/.local/share/virtualenvs/news-site-columnist-8tsXn7bh/lib/python3.10/site-packages/django/template/base.py in render_annotated(966)
  return self.render(context)

/home/youser/.local/share/virtualenvs/news-site-columnist-8tsXn7bh/lib/python3.10/site-packages/django/template/defaulttags.py in render(314)
  match = condition.eval(context)

/home/youser/.local/share/virtualenvs/news-site-columnist-8tsXn7bh/lib/python3.10/site-packages/django/template/smartif.py in eval(60)
  return func(context, self.first, self.second)

/home/youser/.local/share/virtualenvs/news-site-columnist-8tsXn7bh/lib/python3.10/site-packages/django/template/smartif.py in <lambda>(106)
  ">": infix(10, lambda context, x, y: x.eval(context) > y.eval(context)),

/home/youser/.local/share/virtualenvs/news-site-columnist-8tsXn7bh/lib/python3.10/site-packages/django/template/defaulttags.py in eval(877)
  return self.value.resolve(context, ignore_failures=True)

/home/youser/.local/share/virtualenvs/news-site-columnist-8tsXn7bh/lib/python3.10/site-packages/django/template/base.py in resolve(742)
  new_obj = func(obj, *arg_vals)

/home/youser/.local/share/virtualenvs/news-site-columnist-8tsXn7bh/lib/python3.10/site-packages/django/template/defaultfilters.py in length(609)
  return len(value)

26
27 </div>
28 <div>
29 {% if post.authors.all|length > 1 %}
30
31 <div class="article-author__popup">
32
33 {% for author in post.authors.all %}

/var/www/news-site-columnist/news/templates/news/includes/post_content.html

SELECT "users_user"."id",
       "users_user"."password",
       "users_user"."last_login",
       "users_user"."is_superuser",
       "users_user"."first_name",
       "users_user"."last_name",
       "users_user"."is_staff",
       "users_user"."is_active",
       "users_user"."date_joined",
       "users_user"."created_at",
       "users_user"."updated_at",
       "users_user"."created_by",
       "users_user"."updated_by",
       "users_user"."full_name",
       "users_user"."email",
       "users_user"."news_author_id",
       "users_user"."freelancer",
       "users_user"."username",
       "users_user"."can_translate_to_english"
  FROM "users_user"
 INNER JOIN "post_authors"
    ON ("users_user"."id" = "post_authors"."user_id")
 WHERE "post_authors"."post_id" = 22135
SELECT ••• FROM "users_user" INNER JOIN "post_authors" ON ("users_user"."id" = "post_authors"."user_id") WHERE "post_authors"."post_id" = 22135
2 similar queries. Duplicated 2 times.
0,96

Соединение: default

Статус транзакции: Ожидание

/home/youser/.local/share/virtualenvs/news-site-columnist-8tsXn7bh/bin/gunicorn in <module>(8)
  sys.exit(run())

/home/youser/.local/share/virtualenvs/news-site-columnist-8tsXn7bh/lib/python3.10/site-packages/gunicorn/app/wsgiapp.py in run(66)
  WSGIApplication("%(prog)s [OPTIONS] [APP_MODULE]", prog=prog).run()

/home/youser/.local/share/virtualenvs/news-site-columnist-8tsXn7bh/lib/python3.10/site-packages/gunicorn/app/base.py in run(235)
  super().run()

/home/youser/.local/share/virtualenvs/news-site-columnist-8tsXn7bh/lib/python3.10/site-packages/gunicorn/app/base.py in run(71)
  Arbiter(self).run()

/home/youser/.local/share/virtualenvs/news-site-columnist-8tsXn7bh/lib/python3.10/site-packages/gunicorn/arbiter.py in run(210)
  self.manage_workers()

/home/youser/.local/share/virtualenvs/news-site-columnist-8tsXn7bh/lib/python3.10/site-packages/gunicorn/arbiter.py in manage_workers(570)
  self.spawn_workers()

/home/youser/.local/share/virtualenvs/news-site-columnist-8tsXn7bh/lib/python3.10/site-packages/gunicorn/arbiter.py in spawn_workers(641)
  self.spawn_worker()

/home/youser/.local/share/virtualenvs/news-site-columnist-8tsXn7bh/lib/python3.10/site-packages/gunicorn/arbiter.py in spawn_worker(608)
  worker.init_process()

/home/youser/.local/share/virtualenvs/news-site-columnist-8tsXn7bh/lib/python3.10/site-packages/gunicorn/workers/base.py in init_process(143)
  self.run()

/home/youser/.local/share/virtualenvs/news-site-columnist-8tsXn7bh/lib/python3.10/site-packages/gunicorn/workers/sync.py in run(125)
  self.run_for_one(timeout)

/home/youser/.local/share/virtualenvs/news-site-columnist-8tsXn7bh/lib/python3.10/site-packages/gunicorn/workers/sync.py in run_for_one(69)
  self.accept(listener)

/home/youser/.local/share/virtualenvs/news-site-columnist-8tsXn7bh/lib/python3.10/site-packages/gunicorn/workers/sync.py in accept(31)
  self.handle(listener, client, addr)

/home/youser/.local/share/virtualenvs/news-site-columnist-8tsXn7bh/lib/python3.10/site-packages/gunicorn/workers/sync.py in handle(134)
  self.handle_request(listener, req, client, addr)

/home/youser/.local/share/virtualenvs/news-site-columnist-8tsXn7bh/lib/python3.10/site-packages/gunicorn/workers/sync.py in handle_request(177)
  respiter = self.wsgi(environ, resp.start_response)

/home/youser/.local/share/virtualenvs/news-site-columnist-8tsXn7bh/lib/python3.10/site-packages/sentry_sdk/utils.py in runner(1864)
  return sentry_patched_function(*args, **kwargs)

/home/youser/.local/share/virtualenvs/news-site-columnist-8tsXn7bh/lib/python3.10/site-packages/sentry_sdk/integrations/django/__init__.py in sentry_patched_wsgi_handler(191)
  return middleware(environ, start_response)

/home/youser/.local/share/virtualenvs/news-site-columnist-8tsXn7bh/lib/python3.10/site-packages/sentry_sdk/integrations/wsgi.py in __call__(132)
  response = self.app(

/home/youser/.local/share/virtualenvs/news-site-columnist-8tsXn7bh/lib/python3.10/site-packages/sentry_sdk/integrations/django/__init__.py in sentry_patched_get_response(478)
  rv = old_get_response(self, request)

/home/youser/.local/share/virtualenvs/news-site-columnist-8tsXn7bh/lib/python3.10/site-packages/sentry_sdk/integrations/django/middleware.py in __call__(177)
  return f(*args, **kwargs)

/home/youser/.local/share/virtualenvs/news-site-columnist-8tsXn7bh/lib/python3.10/site-packages/sentry_sdk/integrations/django/middleware.py in __call__(177)
  return f(*args, **kwargs)

/var/www/news-site-columnist/redirects/middleware/redirect_middleware.py in __call__(17)
  return self.get_response(request)

/home/youser/.local/share/virtualenvs/news-site-columnist-8tsXn7bh/lib/python3.10/site-packages/sentry_sdk/integrations/django/middleware.py in __call__(177)
  return f(*args, **kwargs)

/home/youser/.local/share/virtualenvs/news-site-columnist-8tsXn7bh/lib/python3.10/site-packages/sentry_sdk/integrations/django/middleware.py in __call__(177)
  return f(*args, **kwargs)

/home/youser/.local/share/virtualenvs/news-site-columnist-8tsXn7bh/lib/python3.10/site-packages/sentry_sdk/integrations/django/middleware.py in __call__(177)
  return f(*args, **kwargs)

/home/youser/.local/share/virtualenvs/news-site-columnist-8tsXn7bh/lib/python3.10/site-packages/sentry_sdk/integrations/django/middleware.py in __call__(177)
  return f(*args, **kwargs)

/home/youser/.local/share/virtualenvs/news-site-columnist-8tsXn7bh/lib/python3.10/site-packages/corsheaders/middleware.py in __call__(53)
  result = self.get_response(request)

/home/youser/.local/share/virtualenvs/news-site-columnist-8tsXn7bh/lib/python3.10/site-packages/sentry_sdk/integrations/django/middleware.py in __call__(177)
  return f(*args, **kwargs)

/home/youser/.local/share/virtualenvs/news-site-columnist-8tsXn7bh/lib/python3.10/site-packages/django_user_agents/middleware.py in __call__(14)
  return self.get_response(request)

/home/youser/.local/share/virtualenvs/news-site-columnist-8tsXn7bh/lib/python3.10/site-packages/sentry_sdk/integrations/django/middleware.py in __call__(177)
  return f(*args, **kwargs)

/home/youser/.local/share/virtualenvs/news-site-columnist-8tsXn7bh/lib/python3.10/site-packages/sentry_sdk/integrations/django/middleware.py in __call__(177)
  return f(*args, **kwargs)

/home/youser/.local/share/virtualenvs/news-site-columnist-8tsXn7bh/lib/python3.10/site-packages/sentry_sdk/integrations/django/middleware.py in __call__(177)
  return f(*args, **kwargs)

/home/youser/.local/share/virtualenvs/news-site-columnist-8tsXn7bh/lib/python3.10/site-packages/sentry_sdk/integrations/django/middleware.py in __call__(177)
  return f(*args, **kwargs)

/home/youser/.local/share/virtualenvs/news-site-columnist-8tsXn7bh/lib/python3.10/site-packages/sentry_sdk/integrations/django/middleware.py in __call__(177)
  return f(*args, **kwargs)

/home/youser/.local/share/virtualenvs/news-site-columnist-8tsXn7bh/lib/python3.10/site-packages/sentry_sdk/integrations/django/middleware.py in __call__(177)
  return f(*args, **kwargs)

/home/youser/.local/share/virtualenvs/news-site-columnist-8tsXn7bh/lib/python3.10/site-packages/sentry_sdk/integrations/django/middleware.py in __call__(177)
  return f(*args, **kwargs)

/home/youser/.local/share/virtualenvs/news-site-columnist-8tsXn7bh/lib/python3.10/site-packages/sentry_sdk/integrations/django/middleware.py in __call__(177)
  return f(*args, **kwargs)

/var/www/news-site-columnist/news/middleware/subdomain_middleare.py in __call__(22)
  response = self.get_response(request)

/home/youser/.local/share/virtualenvs/news-site-columnist-8tsXn7bh/lib/python3.10/site-packages/sentry_sdk/integrations/django/views.py in sentry_patched_render(41)
  return old_render(self)

/home/youser/.local/share/virtualenvs/news-site-columnist-8tsXn7bh/lib/python3.10/site-packages/django/template/response.py in render(114)
  self.content = self.rendered_content

/home/youser/.local/share/virtualenvs/news-site-columnist-8tsXn7bh/lib/python3.10/site-packages/sentry_sdk/utils.py in runner(1864)
  return sentry_patched_function(*args, **kwargs)

/home/youser/.local/share/virtualenvs/news-site-columnist-8tsXn7bh/lib/python3.10/site-packages/sentry_sdk/integrations/django/templates.py in rendered_content(77)
  return real_rendered_content.fget(self)

/home/youser/.local/share/virtualenvs/news-site-columnist-8tsXn7bh/lib/python3.10/site-packages/django/template/response.py in rendered_content(92)
  return template.render(context, self._request)

/home/youser/.local/share/virtualenvs/news-site-columnist-8tsXn7bh/lib/python3.10/site-packages/django/template/backends/django.py in render(61)
  return self.template.render(context)

/home/youser/.local/share/virtualenvs/news-site-columnist-8tsXn7bh/lib/python3.10/site-packages/template_timings_panel/panels/TemplateTimings.py in timing_hook(139)
  result = func(self, *args, **kwargs)

/home/youser/.local/share/virtualenvs/news-site-columnist-8tsXn7bh/lib/python3.10/site-packages/django/template/base.py in render(175)
  return self._render(context)

/home/youser/.local/share/virtualenvs/news-site-columnist-8tsXn7bh/lib/python3.10/site-packages/django/test/utils.py in instrumented_test_render(112)
  return self.nodelist.render(context)

/home/youser/.local/share/virtualenvs/news-site-columnist-8tsXn7bh/lib/python3.10/site-packages/django/template/base.py in render(1005)
  return SafeString("".join([node.render_annotated(context) for node in self]))

/home/youser/.local/share/virtualenvs/news-site-columnist-8tsXn7bh/lib/python3.10/site-packages/django/template/base.py in <listcomp>(1005)
  return SafeString("".join([node.render_annotated(context) for node in self]))

/home/youser/.local/share/virtualenvs/news-site-columnist-8tsXn7bh/lib/python3.10/site-packages/django/template/base.py in render_annotated(966)
  return self.render(context)

/home/youser/.local/share/virtualenvs/news-site-columnist-8tsXn7bh/lib/python3.10/site-packages/django/template/loader_tags.py in render(157)
  return compiled_parent._render(context)

/home/youser/.local/share/virtualenvs/news-site-columnist-8tsXn7bh/lib/python3.10/site-packages/django/test/utils.py in instrumented_test_render(112)
  return self.nodelist.render(context)

/home/youser/.local/share/virtualenvs/news-site-columnist-8tsXn7bh/lib/python3.10/site-packages/django/template/base.py in render(1005)
  return SafeString("".join([node.render_annotated(context) for node in self]))

/home/youser/.local/share/virtualenvs/news-site-columnist-8tsXn7bh/lib/python3.10/site-packages/django/template/base.py in <listcomp>(1005)
  return SafeString("".join([node.render_annotated(context) for node in self]))

/home/youser/.local/share/virtualenvs/news-site-columnist-8tsXn7bh/lib/python3.10/site-packages/django/template/base.py in render_annotated(966)
  return self.render(context)

/home/youser/.local/share/virtualenvs/news-site-columnist-8tsXn7bh/lib/python3.10/site-packages/template_timings_panel/panels/TemplateTimings.py in timing_hook(139)
  result = func(self, *args, **kwargs)

/home/youser/.local/share/virtualenvs/news-site-columnist-8tsXn7bh/lib/python3.10/site-packages/django/template/loader_tags.py in render(63)
  result = block.nodelist.render(context)

/home/youser/.local/share/virtualenvs/news-site-columnist-8tsXn7bh/lib/python3.10/site-packages/django/template/base.py in render(1005)
  return SafeString("".join([node.render_annotated(context) for node in self]))

/home/youser/.local/share/virtualenvs/news-site-columnist-8tsXn7bh/lib/python3.10/site-packages/django/template/base.py in <listcomp>(1005)
  return SafeString("".join([node.render_annotated(context) for node in self]))

/home/youser/.local/share/virtualenvs/news-site-columnist-8tsXn7bh/lib/python3.10/site-packages/django/template/base.py in render_annotated(966)
  return self.render(context)

/home/youser/.local/share/virtualenvs/news-site-columnist-8tsXn7bh/lib/python3.10/site-packages/template_timings_panel/panels/TemplateTimings.py in timing_hook(139)
  result = func(self, *args, **kwargs)

/home/youser/.local/share/virtualenvs/news-site-columnist-8tsXn7bh/lib/python3.10/site-packages/django/template/loader_tags.py in render(63)
  result = block.nodelist.render(context)

/home/youser/.local/share/virtualenvs/news-site-columnist-8tsXn7bh/lib/python3.10/site-packages/django/template/base.py in render(1005)
  return SafeString("".join([node.render_annotated(context) for node in self]))

/home/youser/.local/share/virtualenvs/news-site-columnist-8tsXn7bh/lib/python3.10/site-packages/django/template/base.py in <listcomp>(1005)
  return SafeString("".join([node.render_annotated(context) for node in self]))

/home/youser/.local/share/virtualenvs/news-site-columnist-8tsXn7bh/lib/python3.10/site-packages/django/template/base.py in render_annotated(966)
  return self.render(context)

/home/youser/.local/share/virtualenvs/news-site-columnist-8tsXn7bh/lib/python3.10/site-packages/django/template/loader_tags.py in render(208)
  return template.render(context)

/home/youser/.local/share/virtualenvs/news-site-columnist-8tsXn7bh/lib/python3.10/site-packages/template_timings_panel/panels/TemplateTimings.py in timing_hook(139)
  result = func(self, *args, **kwargs)

/home/youser/.local/share/virtualenvs/news-site-columnist-8tsXn7bh/lib/python3.10/site-packages/django/template/base.py in render(177)
  return self._render(context)

/home/youser/.local/share/virtualenvs/news-site-columnist-8tsXn7bh/lib/python3.10/site-packages/django/test/utils.py in instrumented_test_render(112)
  return self.nodelist.render(context)

/home/youser/.local/share/virtualenvs/news-site-columnist-8tsXn7bh/lib/python3.10/site-packages/django/template/base.py in render(1005)
  return SafeString("".join([node.render_annotated(context) for node in self]))

/home/youser/.local/share/virtualenvs/news-site-columnist-8tsXn7bh/lib/python3.10/site-packages/django/template/base.py in <listcomp>(1005)
  return SafeString("".join([node.render_annotated(context) for node in self]))

/home/youser/.local/share/virtualenvs/news-site-columnist-8tsXn7bh/lib/python3.10/site-packages/django/template/base.py in render_annotated(966)
  return self.render(context)

/home/youser/.local/share/virtualenvs/news-site-columnist-8tsXn7bh/lib/python3.10/site-packages/django/template/defaulttags.py in render(314)
  match = condition.eval(context)

/home/youser/.local/share/virtualenvs/news-site-columnist-8tsXn7bh/lib/python3.10/site-packages/django/template/smartif.py in eval(60)
  return func(context, self.first, self.second)

/home/youser/.local/share/virtualenvs/news-site-columnist-8tsXn7bh/lib/python3.10/site-packages/django/template/smartif.py in <lambda>(106)
  ">": infix(10, lambda context, x, y: x.eval(context) > y.eval(context)),

/home/youser/.local/share/virtualenvs/news-site-columnist-8tsXn7bh/lib/python3.10/site-packages/django/template/defaulttags.py in eval(877)
  return self.value.resolve(context, ignore_failures=True)

/home/youser/.local/share/virtualenvs/news-site-columnist-8tsXn7bh/lib/python3.10/site-packages/django/template/base.py in resolve(742)
  new_obj = func(obj, *arg_vals)

/home/youser/.local/share/virtualenvs/news-site-columnist-8tsXn7bh/lib/python3.10/site-packages/django/template/defaultfilters.py in length(609)
  return len(value)

194 </a>
195 </div>
196 <div>
197 {% if post.authors.all|length > 1 %}
198
199 <div class="article-author__popup">
200
201 {% for author in post.authors.all %}

/var/www/news-site-columnist/news/templates/news/includes/post_content.html

SELECT "tag"."id",
       "tag"."created_at",
       "tag"."updated_at",
       "tag"."created_by",
       "tag"."updated_by",
       "tag"."slug",
       "tag"."name",
       "tag"."name_uk",
       "tag"."name_en",
       "tag"."name_ru",
       "tag"."description",
       "tag"."description_uk",
       "tag"."description_en",
       "tag"."description_ru",
       "tag"."seo_title",
       "tag"."seo_title_uk",
       "tag"."seo_title_en",
       "tag"."seo_title_ru",
       "tag"."seo_description",
       "tag"."seo_description_uk",
       "tag"."seo_description_en",
       "tag"."seo_description_ru",
       "tag"."is_active",
       "tag"."show_in_tags_sitemap"
  FROM "tag"
 INNER JOIN "post_tags"
    ON ("tag"."id" = "post_tags"."tag_id")
 WHERE "post_tags"."post_id" = 22135
SELECT ••• FROM "tag" INNER JOIN "post_tags" ON ("tag"."id" = "post_tags"."tag_id") WHERE "post_tags"."post_id" = 22135
3 similar queries. Duplicated 3 times.
1,04

Соединение: default

Статус транзакции: Ожидание

/home/youser/.local/share/virtualenvs/news-site-columnist-8tsXn7bh/bin/gunicorn in <module>(8)
  sys.exit(run())

/home/youser/.local/share/virtualenvs/news-site-columnist-8tsXn7bh/lib/python3.10/site-packages/gunicorn/app/wsgiapp.py in run(66)
  WSGIApplication("%(prog)s [OPTIONS] [APP_MODULE]", prog=prog).run()

/home/youser/.local/share/virtualenvs/news-site-columnist-8tsXn7bh/lib/python3.10/site-packages/gunicorn/app/base.py in run(235)
  super().run()

/home/youser/.local/share/virtualenvs/news-site-columnist-8tsXn7bh/lib/python3.10/site-packages/gunicorn/app/base.py in run(71)
  Arbiter(self).run()

/home/youser/.local/share/virtualenvs/news-site-columnist-8tsXn7bh/lib/python3.10/site-packages/gunicorn/arbiter.py in run(210)
  self.manage_workers()

/home/youser/.local/share/virtualenvs/news-site-columnist-8tsXn7bh/lib/python3.10/site-packages/gunicorn/arbiter.py in manage_workers(570)
  self.spawn_workers()

/home/youser/.local/share/virtualenvs/news-site-columnist-8tsXn7bh/lib/python3.10/site-packages/gunicorn/arbiter.py in spawn_workers(641)
  self.spawn_worker()

/home/youser/.local/share/virtualenvs/news-site-columnist-8tsXn7bh/lib/python3.10/site-packages/gunicorn/arbiter.py in spawn_worker(608)
  worker.init_process()

/home/youser/.local/share/virtualenvs/news-site-columnist-8tsXn7bh/lib/python3.10/site-packages/gunicorn/workers/base.py in init_process(143)
  self.run()

/home/youser/.local/share/virtualenvs/news-site-columnist-8tsXn7bh/lib/python3.10/site-packages/gunicorn/workers/sync.py in run(125)
  self.run_for_one(timeout)

/home/youser/.local/share/virtualenvs/news-site-columnist-8tsXn7bh/lib/python3.10/site-packages/gunicorn/workers/sync.py in run_for_one(69)
  self.accept(listener)

/home/youser/.local/share/virtualenvs/news-site-columnist-8tsXn7bh/lib/python3.10/site-packages/gunicorn/workers/sync.py in accept(31)
  self.handle(listener, client, addr)

/home/youser/.local/share/virtualenvs/news-site-columnist-8tsXn7bh/lib/python3.10/site-packages/gunicorn/workers/sync.py in handle(134)
  self.handle_request(listener, req, client, addr)

/home/youser/.local/share/virtualenvs/news-site-columnist-8tsXn7bh/lib/python3.10/site-packages/gunicorn/workers/sync.py in handle_request(177)
  respiter = self.wsgi(environ, resp.start_response)

/home/youser/.local/share/virtualenvs/news-site-columnist-8tsXn7bh/lib/python3.10/site-packages/sentry_sdk/utils.py in runner(1864)
  return sentry_patched_function(*args, **kwargs)

/home/youser/.local/share/virtualenvs/news-site-columnist-8tsXn7bh/lib/python3.10/site-packages/sentry_sdk/integrations/django/__init__.py in sentry_patched_wsgi_handler(191)
  return middleware(environ, start_response)

/home/youser/.local/share/virtualenvs/news-site-columnist-8tsXn7bh/lib/python3.10/site-packages/sentry_sdk/integrations/wsgi.py in __call__(132)
  response = self.app(

/home/youser/.local/share/virtualenvs/news-site-columnist-8tsXn7bh/lib/python3.10/site-packages/sentry_sdk/integrations/django/__init__.py in sentry_patched_get_response(478)
  rv = old_get_response(self, request)

/home/youser/.local/share/virtualenvs/news-site-columnist-8tsXn7bh/lib/python3.10/site-packages/sentry_sdk/integrations/django/middleware.py in __call__(177)
  return f(*args, **kwargs)

/home/youser/.local/share/virtualenvs/news-site-columnist-8tsXn7bh/lib/python3.10/site-packages/sentry_sdk/integrations/django/middleware.py in __call__(177)
  return f(*args, **kwargs)

/var/www/news-site-columnist/redirects/middleware/redirect_middleware.py in __call__(17)
  return self.get_response(request)

/home/youser/.local/share/virtualenvs/news-site-columnist-8tsXn7bh/lib/python3.10/site-packages/sentry_sdk/integrations/django/middleware.py in __call__(177)
  return f(*args, **kwargs)

/home/youser/.local/share/virtualenvs/news-site-columnist-8tsXn7bh/lib/python3.10/site-packages/sentry_sdk/integrations/django/middleware.py in __call__(177)
  return f(*args, **kwargs)

/home/youser/.local/share/virtualenvs/news-site-columnist-8tsXn7bh/lib/python3.10/site-packages/sentry_sdk/integrations/django/middleware.py in __call__(177)
  return f(*args, **kwargs)

/home/youser/.local/share/virtualenvs/news-site-columnist-8tsXn7bh/lib/python3.10/site-packages/sentry_sdk/integrations/django/middleware.py in __call__(177)
  return f(*args, **kwargs)

/home/youser/.local/share/virtualenvs/news-site-columnist-8tsXn7bh/lib/python3.10/site-packages/corsheaders/middleware.py in __call__(53)
  result = self.get_response(request)

/home/youser/.local/share/virtualenvs/news-site-columnist-8tsXn7bh/lib/python3.10/site-packages/sentry_sdk/integrations/django/middleware.py in __call__(177)
  return f(*args, **kwargs)

/home/youser/.local/share/virtualenvs/news-site-columnist-8tsXn7bh/lib/python3.10/site-packages/django_user_agents/middleware.py in __call__(14)
  return self.get_response(request)

/home/youser/.local/share/virtualenvs/news-site-columnist-8tsXn7bh/lib/python3.10/site-packages/sentry_sdk/integrations/django/middleware.py in __call__(177)
  return f(*args, **kwargs)

/home/youser/.local/share/virtualenvs/news-site-columnist-8tsXn7bh/lib/python3.10/site-packages/sentry_sdk/integrations/django/middleware.py in __call__(177)
  return f(*args, **kwargs)

/home/youser/.local/share/virtualenvs/news-site-columnist-8tsXn7bh/lib/python3.10/site-packages/sentry_sdk/integrations/django/middleware.py in __call__(177)
  return f(*args, **kwargs)

/home/youser/.local/share/virtualenvs/news-site-columnist-8tsXn7bh/lib/python3.10/site-packages/sentry_sdk/integrations/django/middleware.py in __call__(177)
  return f(*args, **kwargs)

/home/youser/.local/share/virtualenvs/news-site-columnist-8tsXn7bh/lib/python3.10/site-packages/sentry_sdk/integrations/django/middleware.py in __call__(177)
  return f(*args, **kwargs)

/home/youser/.local/share/virtualenvs/news-site-columnist-8tsXn7bh/lib/python3.10/site-packages/sentry_sdk/integrations/django/middleware.py in __call__(177)
  return f(*args, **kwargs)

/home/youser/.local/share/virtualenvs/news-site-columnist-8tsXn7bh/lib/python3.10/site-packages/sentry_sdk/integrations/django/middleware.py in __call__(177)
  return f(*args, **kwargs)

/home/youser/.local/share/virtualenvs/news-site-columnist-8tsXn7bh/lib/python3.10/site-packages/sentry_sdk/integrations/django/middleware.py in __call__(177)
  return f(*args, **kwargs)

/var/www/news-site-columnist/news/middleware/subdomain_middleare.py in __call__(22)
  response = self.get_response(request)

/home/youser/.local/share/virtualenvs/news-site-columnist-8tsXn7bh/lib/python3.10/site-packages/sentry_sdk/integrations/django/views.py in sentry_patched_render(41)
  return old_render(self)

/home/youser/.local/share/virtualenvs/news-site-columnist-8tsXn7bh/lib/python3.10/site-packages/django/template/response.py in render(114)
  self.content = self.rendered_content

/home/youser/.local/share/virtualenvs/news-site-columnist-8tsXn7bh/lib/python3.10/site-packages/sentry_sdk/utils.py in runner(1864)
  return sentry_patched_function(*args, **kwargs)

/home/youser/.local/share/virtualenvs/news-site-columnist-8tsXn7bh/lib/python3.10/site-packages/sentry_sdk/integrations/django/templates.py in rendered_content(77)
  return real_rendered_content.fget(self)

/home/youser/.local/share/virtualenvs/news-site-columnist-8tsXn7bh/lib/python3.10/site-packages/django/template/response.py in rendered_content(92)
  return template.render(context, self._request)

/home/youser/.local/share/virtualenvs/news-site-columnist-8tsXn7bh/lib/python3.10/site-packages/django/template/backends/django.py in render(61)
  return self.template.render(context)

/home/youser/.local/share/virtualenvs/news-site-columnist-8tsXn7bh/lib/python3.10/site-packages/template_timings_panel/panels/TemplateTimings.py in timing_hook(139)
  result = func(self, *args, **kwargs)

/home/youser/.local/share/virtualenvs/news-site-columnist-8tsXn7bh/lib/python3.10/site-packages/django/template/base.py in render(175)
  return self._render(context)

/home/youser/.local/share/virtualenvs/news-site-columnist-8tsXn7bh/lib/python3.10/site-packages/django/test/utils.py in instrumented_test_render(112)
  return self.nodelist.render(context)

/home/youser/.local/share/virtualenvs/news-site-columnist-8tsXn7bh/lib/python3.10/site-packages/django/template/base.py in render(1005)
  return SafeString("".join([node.render_annotated(context) for node in self]))

/home/youser/.local/share/virtualenvs/news-site-columnist-8tsXn7bh/lib/python3.10/site-packages/django/template/base.py in <listcomp>(1005)
  return SafeString("".join([node.render_annotated(context) for node in self]))

/home/youser/.local/share/virtualenvs/news-site-columnist-8tsXn7bh/lib/python3.10/site-packages/django/template/base.py in render_annotated(966)
  return self.render(context)

/home/youser/.local/share/virtualenvs/news-site-columnist-8tsXn7bh/lib/python3.10/site-packages/django/template/loader_tags.py in render(157)
  return compiled_parent._render(context)

/home/youser/.local/share/virtualenvs/news-site-columnist-8tsXn7bh/lib/python3.10/site-packages/django/test/utils.py in instrumented_test_render(112)
  return self.nodelist.render(context)

/home/youser/.local/share/virtualenvs/news-site-columnist-8tsXn7bh/lib/python3.10/site-packages/django/template/base.py in render(1005)
  return SafeString("".join([node.render_annotated(context) for node in self]))

/home/youser/.local/share/virtualenvs/news-site-columnist-8tsXn7bh/lib/python3.10/site-packages/django/template/base.py in <listcomp>(1005)
  return SafeString("".join([node.render_annotated(context) for node in self]))

/home/youser/.local/share/virtualenvs/news-site-columnist-8tsXn7bh/lib/python3.10/site-packages/django/template/base.py in render_annotated(966)
  return self.render(context)

/home/youser/.local/share/virtualenvs/news-site-columnist-8tsXn7bh/lib/python3.10/site-packages/template_timings_panel/panels/TemplateTimings.py in timing_hook(139)
  result = func(self, *args, **kwargs)

/home/youser/.local/share/virtualenvs/news-site-columnist-8tsXn7bh/lib/python3.10/site-packages/django/template/loader_tags.py in render(63)
  result = block.nodelist.render(context)

/home/youser/.local/share/virtualenvs/news-site-columnist-8tsXn7bh/lib/python3.10/site-packages/django/template/base.py in render(1005)
  return SafeString("".join([node.render_annotated(context) for node in self]))

/home/youser/.local/share/virtualenvs/news-site-columnist-8tsXn7bh/lib/python3.10/site-packages/django/template/base.py in <listcomp>(1005)
  return SafeString("".join([node.render_annotated(context) for node in self]))

/home/youser/.local/share/virtualenvs/news-site-columnist-8tsXn7bh/lib/python3.10/site-packages/django/template/base.py in render_annotated(966)
  return self.render(context)

/home/youser/.local/share/virtualenvs/news-site-columnist-8tsXn7bh/lib/python3.10/site-packages/template_timings_panel/panels/TemplateTimings.py in timing_hook(139)
  result = func(self, *args, **kwargs)

/home/youser/.local/share/virtualenvs/news-site-columnist-8tsXn7bh/lib/python3.10/site-packages/django/template/loader_tags.py in render(63)
  result = block.nodelist.render(context)

/home/youser/.local/share/virtualenvs/news-site-columnist-8tsXn7bh/lib/python3.10/site-packages/django/template/base.py in render(1005)
  return SafeString("".join([node.render_annotated(context) for node in self]))

/home/youser/.local/share/virtualenvs/news-site-columnist-8tsXn7bh/lib/python3.10/site-packages/django/template/base.py in <listcomp>(1005)
  return SafeString("".join([node.render_annotated(context) for node in self]))

/home/youser/.local/share/virtualenvs/news-site-columnist-8tsXn7bh/lib/python3.10/site-packages/django/template/base.py in render_annotated(966)
  return self.render(context)

/home/youser/.local/share/virtualenvs/news-site-columnist-8tsXn7bh/lib/python3.10/site-packages/django/template/loader_tags.py in render(208)
  return template.render(context)

/home/youser/.local/share/virtualenvs/news-site-columnist-8tsXn7bh/lib/python3.10/site-packages/template_timings_panel/panels/TemplateTimings.py in timing_hook(139)
  result = func(self, *args, **kwargs)

/home/youser/.local/share/virtualenvs/news-site-columnist-8tsXn7bh/lib/python3.10/site-packages/django/template/base.py in render(177)
  return self._render(context)

/home/youser/.local/share/virtualenvs/news-site-columnist-8tsXn7bh/lib/python3.10/site-packages/django/test/utils.py in instrumented_test_render(112)
  return self.nodelist.render(context)

/home/youser/.local/share/virtualenvs/news-site-columnist-8tsXn7bh/lib/python3.10/site-packages/django/template/base.py in render(1005)
  return SafeString("".join([node.render_annotated(context) for node in self]))

/home/youser/.local/share/virtualenvs/news-site-columnist-8tsXn7bh/lib/python3.10/site-packages/django/template/base.py in <listcomp>(1005)
  return SafeString("".join([node.render_annotated(context) for node in self]))

/home/youser/.local/share/virtualenvs/news-site-columnist-8tsXn7bh/lib/python3.10/site-packages/django/template/base.py in render_annotated(966)
  return self.render(context)

/home/youser/.local/share/virtualenvs/news-site-columnist-8tsXn7bh/lib/python3.10/site-packages/django/template/defaulttags.py in render(321)
  return nodelist.render(context)

/home/youser/.local/share/virtualenvs/news-site-columnist-8tsXn7bh/lib/python3.10/site-packages/django/template/base.py in render(1005)
  return SafeString("".join([node.render_annotated(context) for node in self]))

/home/youser/.local/share/virtualenvs/news-site-columnist-8tsXn7bh/lib/python3.10/site-packages/django/template/base.py in <listcomp>(1005)
  return SafeString("".join([node.render_annotated(context) for node in self]))

/home/youser/.local/share/virtualenvs/news-site-columnist-8tsXn7bh/lib/python3.10/site-packages/django/template/base.py in render_annotated(966)
  return self.render(context)

/home/youser/.local/share/virtualenvs/news-site-columnist-8tsXn7bh/lib/python3.10/site-packages/django/template/defaulttags.py in render(194)
  len_values = len(values)

247 {% endblock %}
248 {% if not only_post %}
249 <div class="article-categories">
250 {% for tag in post.tags.all %}
251 <a href="{% host_url 'news:home' host 'www' %}tag/{{ tag.slug }}"
252 target="_blank"
253 class="article-categories__item">{{ tag.name }}</a>
254 {% endfor %}

/var/www/news-site-columnist/news/templates/news/includes/post_content.html

SELECT "django_content_type"."id",
       "django_content_type"."app_label",
       "django_content_type"."model"
  FROM "django_content_type"
 WHERE ("django_content_type"."app_label" = 'news' AND "django_content_type"."model" = 'broadcastpost')
 LIMIT 21
SELECT ••• FROM "django_content_type" WHERE ("django_content_type"."app_label" = 'news' AND "django_content_type"."model" = 'broadcastpost') LIMIT 21
10 similar queries. Duplicated 4 times.
0,43

Соединение: default

Статус транзакции: Ожидание

/home/youser/.local/share/virtualenvs/news-site-columnist-8tsXn7bh/bin/gunicorn in <module>(8)
  sys.exit(run())

/home/youser/.local/share/virtualenvs/news-site-columnist-8tsXn7bh/lib/python3.10/site-packages/gunicorn/app/wsgiapp.py in run(66)
  WSGIApplication("%(prog)s [OPTIONS] [APP_MODULE]", prog=prog).run()

/home/youser/.local/share/virtualenvs/news-site-columnist-8tsXn7bh/lib/python3.10/site-packages/gunicorn/app/base.py in run(235)
  super().run()

/home/youser/.local/share/virtualenvs/news-site-columnist-8tsXn7bh/lib/python3.10/site-packages/gunicorn/app/base.py in run(71)
  Arbiter(self).run()

/home/youser/.local/share/virtualenvs/news-site-columnist-8tsXn7bh/lib/python3.10/site-packages/gunicorn/arbiter.py in run(210)
  self.manage_workers()

/home/youser/.local/share/virtualenvs/news-site-columnist-8tsXn7bh/lib/python3.10/site-packages/gunicorn/arbiter.py in manage_workers(570)
  self.spawn_workers()

/home/youser/.local/share/virtualenvs/news-site-columnist-8tsXn7bh/lib/python3.10/site-packages/gunicorn/arbiter.py in spawn_workers(641)
  self.spawn_worker()

/home/youser/.local/share/virtualenvs/news-site-columnist-8tsXn7bh/lib/python3.10/site-packages/gunicorn/arbiter.py in spawn_worker(608)
  worker.init_process()

/home/youser/.local/share/virtualenvs/news-site-columnist-8tsXn7bh/lib/python3.10/site-packages/gunicorn/workers/base.py in init_process(143)
  self.run()

/home/youser/.local/share/virtualenvs/news-site-columnist-8tsXn7bh/lib/python3.10/site-packages/gunicorn/workers/sync.py in run(125)
  self.run_for_one(timeout)

/home/youser/.local/share/virtualenvs/news-site-columnist-8tsXn7bh/lib/python3.10/site-packages/gunicorn/workers/sync.py in run_for_one(69)
  self.accept(listener)

/home/youser/.local/share/virtualenvs/news-site-columnist-8tsXn7bh/lib/python3.10/site-packages/gunicorn/workers/sync.py in accept(31)
  self.handle(listener, client, addr)

/home/youser/.local/share/virtualenvs/news-site-columnist-8tsXn7bh/lib/python3.10/site-packages/gunicorn/workers/sync.py in handle(134)
  self.handle_request(listener, req, client, addr)

/home/youser/.local/share/virtualenvs/news-site-columnist-8tsXn7bh/lib/python3.10/site-packages/gunicorn/workers/sync.py in handle_request(177)
  respiter = self.wsgi(environ, resp.start_response)

/home/youser/.local/share/virtualenvs/news-site-columnist-8tsXn7bh/lib/python3.10/site-packages/sentry_sdk/utils.py in runner(1864)
  return sentry_patched_function(*args, **kwargs)

/home/youser/.local/share/virtualenvs/news-site-columnist-8tsXn7bh/lib/python3.10/site-packages/sentry_sdk/integrations/django/__init__.py in sentry_patched_wsgi_handler(191)
  return middleware(environ, start_response)

/home/youser/.local/share/virtualenvs/news-site-columnist-8tsXn7bh/lib/python3.10/site-packages/sentry_sdk/integrations/wsgi.py in __call__(132)
  response = self.app(

/home/youser/.local/share/virtualenvs/news-site-columnist-8tsXn7bh/lib/python3.10/site-packages/sentry_sdk/integrations/django/__init__.py in sentry_patched_get_response(478)
  rv = old_get_response(self, request)

/home/youser/.local/share/virtualenvs/news-site-columnist-8tsXn7bh/lib/python3.10/site-packages/sentry_sdk/integrations/django/middleware.py in __call__(177)
  return f(*args, **kwargs)

/home/youser/.local/share/virtualenvs/news-site-columnist-8tsXn7bh/lib/python3.10/site-packages/sentry_sdk/integrations/django/middleware.py in __call__(177)
  return f(*args, **kwargs)

/var/www/news-site-columnist/redirects/middleware/redirect_middleware.py in __call__(17)
  return self.get_response(request)

/home/youser/.local/share/virtualenvs/news-site-columnist-8tsXn7bh/lib/python3.10/site-packages/sentry_sdk/integrations/django/middleware.py in __call__(177)
  return f(*args, **kwargs)

/home/youser/.local/share/virtualenvs/news-site-columnist-8tsXn7bh/lib/python3.10/site-packages/sentry_sdk/integrations/django/middleware.py in __call__(177)
  return f(*args, **kwargs)

/home/youser/.local/share/virtualenvs/news-site-columnist-8tsXn7bh/lib/python3.10/site-packages/sentry_sdk/integrations/django/middleware.py in __call__(177)
  return f(*args, **kwargs)

/home/youser/.local/share/virtualenvs/news-site-columnist-8tsXn7bh/lib/python3.10/site-packages/sentry_sdk/integrations/django/middleware.py in __call__(177)
  return f(*args, **kwargs)

/home/youser/.local/share/virtualenvs/news-site-columnist-8tsXn7bh/lib/python3.10/site-packages/corsheaders/middleware.py in __call__(53)
  result = self.get_response(request)

/home/youser/.local/share/virtualenvs/news-site-columnist-8tsXn7bh/lib/python3.10/site-packages/sentry_sdk/integrations/django/middleware.py in __call__(177)
  return f(*args, **kwargs)

/home/youser/.local/share/virtualenvs/news-site-columnist-8tsXn7bh/lib/python3.10/site-packages/django_user_agents/middleware.py in __call__(14)
  return self.get_response(request)

/home/youser/.local/share/virtualenvs/news-site-columnist-8tsXn7bh/lib/python3.10/site-packages/sentry_sdk/integrations/django/middleware.py in __call__(177)
  return f(*args, **kwargs)

/home/youser/.local/share/virtualenvs/news-site-columnist-8tsXn7bh/lib/python3.10/site-packages/sentry_sdk/integrations/django/middleware.py in __call__(177)
  return f(*args, **kwargs)

/home/youser/.local/share/virtualenvs/news-site-columnist-8tsXn7bh/lib/python3.10/site-packages/sentry_sdk/integrations/django/middleware.py in __call__(177)
  return f(*args, **kwargs)

/home/youser/.local/share/virtualenvs/news-site-columnist-8tsXn7bh/lib/python3.10/site-packages/sentry_sdk/integrations/django/middleware.py in __call__(177)
  return f(*args, **kwargs)

/home/youser/.local/share/virtualenvs/news-site-columnist-8tsXn7bh/lib/python3.10/site-packages/sentry_sdk/integrations/django/middleware.py in __call__(177)
  return f(*args, **kwargs)

/home/youser/.local/share/virtualenvs/news-site-columnist-8tsXn7bh/lib/python3.10/site-packages/sentry_sdk/integrations/django/middleware.py in __call__(177)
  return f(*args, **kwargs)

/home/youser/.local/share/virtualenvs/news-site-columnist-8tsXn7bh/lib/python3.10/site-packages/sentry_sdk/integrations/django/middleware.py in __call__(177)
  return f(*args, **kwargs)

/home/youser/.local/share/virtualenvs/news-site-columnist-8tsXn7bh/lib/python3.10/site-packages/sentry_sdk/integrations/django/middleware.py in __call__(177)
  return f(*args, **kwargs)

/var/www/news-site-columnist/news/middleware/subdomain_middleare.py in __call__(22)
  response = self.get_response(request)

/home/youser/.local/share/virtualenvs/news-site-columnist-8tsXn7bh/lib/python3.10/site-packages/sentry_sdk/integrations/django/views.py in sentry_patched_render(41)
  return old_render(self)

/home/youser/.local/share/virtualenvs/news-site-columnist-8tsXn7bh/lib/python3.10/site-packages/django/template/response.py in render(114)
  self.content = self.rendered_content

/home/youser/.local/share/virtualenvs/news-site-columnist-8tsXn7bh/lib/python3.10/site-packages/sentry_sdk/utils.py in runner(1864)
  return sentry_patched_function(*args, **kwargs)

/home/youser/.local/share/virtualenvs/news-site-columnist-8tsXn7bh/lib/python3.10/site-packages/sentry_sdk/integrations/django/templates.py in rendered_content(77)
  return real_rendered_content.fget(self)

/home/youser/.local/share/virtualenvs/news-site-columnist-8tsXn7bh/lib/python3.10/site-packages/django/template/response.py in rendered_content(92)
  return template.render(context, self._request)

/home/youser/.local/share/virtualenvs/news-site-columnist-8tsXn7bh/lib/python3.10/site-packages/django/template/backends/django.py in render(61)
  return self.template.render(context)

/home/youser/.local/share/virtualenvs/news-site-columnist-8tsXn7bh/lib/python3.10/site-packages/template_timings_panel/panels/TemplateTimings.py in timing_hook(139)
  result = func(self, *args, **kwargs)

/home/youser/.local/share/virtualenvs/news-site-columnist-8tsXn7bh/lib/python3.10/site-packages/django/template/base.py in render(175)
  return self._render(context)

/home/youser/.local/share/virtualenvs/news-site-columnist-8tsXn7bh/lib/python3.10/site-packages/django/test/utils.py in instrumented_test_render(112)
  return self.nodelist.render(context)

/home/youser/.local/share/virtualenvs/news-site-columnist-8tsXn7bh/lib/python3.10/site-packages/django/template/base.py in render(1005)
  return SafeString("".join([node.render_annotated(context) for node in self]))

/home/youser/.local/share/virtualenvs/news-site-columnist-8tsXn7bh/lib/python3.10/site-packages/django/template/base.py in <listcomp>(1005)
  return SafeString("".join([node.render_annotated(context) for node in self]))

/home/youser/.local/share/virtualenvs/news-site-columnist-8tsXn7bh/lib/python3.10/site-packages/django/template/base.py in render_annotated(966)
  return self.render(context)

/home/youser/.local/share/virtualenvs/news-site-columnist-8tsXn7bh/lib/python3.10/site-packages/django/template/loader_tags.py in render(157)
  return compiled_parent._render(context)

/home/youser/.local/share/virtualenvs/news-site-columnist-8tsXn7bh/lib/python3.10/site-packages/django/test/utils.py in instrumented_test_render(112)
  return self.nodelist.render(context)

/home/youser/.local/share/virtualenvs/news-site-columnist-8tsXn7bh/lib/python3.10/site-packages/django/template/base.py in render(1005)
  return SafeString("".join([node.render_annotated(context) for node in self]))

/home/youser/.local/share/virtualenvs/news-site-columnist-8tsXn7bh/lib/python3.10/site-packages/django/template/base.py in <listcomp>(1005)
  return SafeString("".join([node.render_annotated(context) for node in self]))

/home/youser/.local/share/virtualenvs/news-site-columnist-8tsXn7bh/lib/python3.10/site-packages/django/template/base.py in render_annotated(966)
  return self.render(context)

/home/youser/.local/share/virtualenvs/news-site-columnist-8tsXn7bh/lib/python3.10/site-packages/template_timings_panel/panels/TemplateTimings.py in timing_hook(139)
  result = func(self, *args, **kwargs)

/home/youser/.local/share/virtualenvs/news-site-columnist-8tsXn7bh/lib/python3.10/site-packages/django/template/loader_tags.py in render(63)
  result = block.nodelist.render(context)

/home/youser/.local/share/virtualenvs/news-site-columnist-8tsXn7bh/lib/python3.10/site-packages/django/template/base.py in render(1005)
  return SafeString("".join([node.render_annotated(context) for node in self]))

/home/youser/.local/share/virtualenvs/news-site-columnist-8tsXn7bh/lib/python3.10/site-packages/django/template/base.py in <listcomp>(1005)
  return SafeString("".join([node.render_annotated(context) for node in self]))

/home/youser/.local/share/virtualenvs/news-site-columnist-8tsXn7bh/lib/python3.10/site-packages/django/template/base.py in render_annotated(966)
  return self.render(context)

/home/youser/.local/share/virtualenvs/news-site-columnist-8tsXn7bh/lib/python3.10/site-packages/template_timings_panel/panels/TemplateTimings.py in timing_hook(139)
  result = func(self, *args, **kwargs)

/home/youser/.local/share/virtualenvs/news-site-columnist-8tsXn7bh/lib/python3.10/site-packages/django/template/loader_tags.py in render(63)
  result = block.nodelist.render(context)

/home/youser/.local/share/virtualenvs/news-site-columnist-8tsXn7bh/lib/python3.10/site-packages/django/template/base.py in render(1005)
  return SafeString("".join([node.render_annotated(context) for node in self]))

/home/youser/.local/share/virtualenvs/news-site-columnist-8tsXn7bh/lib/python3.10/site-packages/django/template/base.py in <listcomp>(1005)
  return SafeString("".join([node.render_annotated(context) for node in self]))

/home/youser/.local/share/virtualenvs/news-site-columnist-8tsXn7bh/lib/python3.10/site-packages/django/template/base.py in render_annotated(966)
  return self.render(context)

/home/youser/.local/share/virtualenvs/news-site-columnist-8tsXn7bh/lib/python3.10/site-packages/django/template/loader_tags.py in render(208)
  return template.render(context)

/home/youser/.local/share/virtualenvs/news-site-columnist-8tsXn7bh/lib/python3.10/site-packages/template_timings_panel/panels/TemplateTimings.py in timing_hook(139)
  result = func(self, *args, **kwargs)

/home/youser/.local/share/virtualenvs/news-site-columnist-8tsXn7bh/lib/python3.10/site-packages/django/template/base.py in render(177)
  return self._render(context)

/home/youser/.local/share/virtualenvs/news-site-columnist-8tsXn7bh/lib/python3.10/site-packages/django/test/utils.py in instrumented_test_render(112)
  return self.nodelist.render(context)

/home/youser/.local/share/virtualenvs/news-site-columnist-8tsXn7bh/lib/python3.10/site-packages/django/template/base.py in render(1005)
  return SafeString("".join([node.render_annotated(context) for node in self]))

/home/youser/.local/share/virtualenvs/news-site-columnist-8tsXn7bh/lib/python3.10/site-packages/django/template/base.py in <listcomp>(1005)
  return SafeString("".join([node.render_annotated(context) for node in self]))

/home/youser/.local/share/virtualenvs/news-site-columnist-8tsXn7bh/lib/python3.10/site-packages/django/template/base.py in render_annotated(966)
  return self.render(context)

/home/youser/.local/share/virtualenvs/news-site-columnist-8tsXn7bh/lib/python3.10/site-packages/django/template/defaulttags.py in render(321)
  return nodelist.render(context)

/home/youser/.local/share/virtualenvs/news-site-columnist-8tsXn7bh/lib/python3.10/site-packages/django/template/base.py in render(1005)
  return SafeString("".join([node.render_annotated(context) for node in self]))

/home/youser/.local/share/virtualenvs/news-site-columnist-8tsXn7bh/lib/python3.10/site-packages/django/template/base.py in <listcomp>(1005)
  return SafeString("".join([node.render_annotated(context) for node in self]))

/home/youser/.local/share/virtualenvs/news-site-columnist-8tsXn7bh/lib/python3.10/site-packages/django/template/base.py in render_annotated(966)
  return self.render(context)

/home/youser/.local/share/virtualenvs/news-site-columnist-8tsXn7bh/lib/python3.10/site-packages/django/template/loader_tags.py in render(208)
  return template.render(context)

/home/youser/.local/share/virtualenvs/news-site-columnist-8tsXn7bh/lib/python3.10/site-packages/template_timings_panel/panels/TemplateTimings.py in timing_hook(139)
  result = func(self, *args, **kwargs)

/home/youser/.local/share/virtualenvs/news-site-columnist-8tsXn7bh/lib/python3.10/site-packages/django/template/base.py in render(177)
  return self._render(context)

/home/youser/.local/share/virtualenvs/news-site-columnist-8tsXn7bh/lib/python3.10/site-packages/django/test/utils.py in instrumented_test_render(112)
  return self.nodelist.render(context)

/home/youser/.local/share/virtualenvs/news-site-columnist-8tsXn7bh/lib/python3.10/site-packages/django/template/base.py in render(1005)
  return SafeString("".join([node.render_annotated(context) for node in self]))

/home/youser/.local/share/virtualenvs/news-site-columnist-8tsXn7bh/lib/python3.10/site-packages/django/template/base.py in <listcomp>(1005)
  return SafeString("".join([node.render_annotated(context) for node in self]))

/home/youser/.local/share/virtualenvs/news-site-columnist-8tsXn7bh/lib/python3.10/site-packages/django/template/base.py in render_annotated(966)
  return self.render(context)

/home/youser/.local/share/virtualenvs/news-site-columnist-8tsXn7bh/lib/python3.10/site-packages/django/template/defaulttags.py in render(321)
  return nodelist.render(context)

/home/youser/.local/share/virtualenvs/news-site-columnist-8tsXn7bh/lib/python3.10/site-packages/django/template/base.py in render(1005)
  return SafeString("".join([node.render_annotated(context) for node in self]))

/home/youser/.local/share/virtualenvs/news-site-columnist-8tsXn7bh/lib/python3.10/site-packages/django/template/base.py in <listcomp>(1005)
  return SafeString("".join([node.render_annotated(context) for node in self]))

/home/youser/.local/share/virtualenvs/news-site-columnist-8tsXn7bh/lib/python3.10/site-packages/django/template/base.py in render_annotated(966)
  return self.render(context)

/home/youser/.local/share/virtualenvs/news-site-columnist-8tsXn7bh/lib/python3.10/site-packages/django/template/defaulttags.py in render(321)
  return nodelist.render(context)

/home/youser/.local/share/virtualenvs/news-site-columnist-8tsXn7bh/lib/python3.10/site-packages/django/template/base.py in render(1005)
  return SafeString("".join([node.render_annotated(context) for node in self]))

/home/youser/.local/share/virtualenvs/news-site-columnist-8tsXn7bh/lib/python3.10/site-packages/django/template/base.py in <listcomp>(1005)
  return SafeString("".join([node.render_annotated(context) for node in self]))

/home/youser/.local/share/virtualenvs/news-site-columnist-8tsXn7bh/lib/python3.10/site-packages/django/template/base.py in render_annotated(966)
  return self.render(context)

/home/youser/.local/share/virtualenvs/news-site-columnist-8tsXn7bh/lib/python3.10/site-packages/template_timings_panel/panels/TemplateTimings.py in timing_hook(139)
  result = func(self, *args, **kwargs)

/home/youser/.local/share/virtualenvs/news-site-columnist-8tsXn7bh/lib/python3.10/site-packages/django/template/loader_tags.py in render(54)
  result = self.nodelist.render(context)

/home/youser/.local/share/virtualenvs/news-site-columnist-8tsXn7bh/lib/python3.10/site-packages/django/template/base.py in render(1005)
  return SafeString("".join([node.render_annotated(context) for node in self]))

/home/youser/.local/share/virtualenvs/news-site-columnist-8tsXn7bh/lib/python3.10/site-packages/django/template/base.py in <listcomp>(1005)
  return SafeString("".join([node.render_annotated(context) for node in self]))

/home/youser/.local/share/virtualenvs/news-site-columnist-8tsXn7bh/lib/python3.10/site-packages/django/template/base.py in render_annotated(966)
  return self.render(context)

/home/youser/.local/share/virtualenvs/news-site-columnist-8tsXn7bh/lib/python3.10/site-packages/django/template/library.py in render(237)
  output = self.func(*resolved_args, **resolved_kwargs)

/var/www/news-site-columnist/news/templatetags/component_tags.py in news_sidebar(216)
  return base_sidebar(

/var/www/news-site-columnist/news/templatetags/component_tags.py in base_sidebar(188)
  context_data = sidebar_object.render(filters, True, use_old_design) | {

/var/www/news-site-columnist/news/templatetags/component_tags.py in render(83)
  qs = self.get_queryset()

/var/www/news-site-columnist/news/templatetags/component_tags.py in get_queryset(63)
  Post.with_columns

/home/youser/.local/share/virtualenvs/news-site-columnist-8tsXn7bh/lib/python3.10/site-packages/modeltranslation/manager.py in get_queryset(633)
  qs = super().get_queryset()

/home/youser/.local/share/virtualenvs/news-site-columnist-8tsXn7bh/lib/python3.10/site-packages/modeltranslation/manager.py in get_queryset(607)
  qs = super().get_queryset()

/var/www/news-site-columnist/news/models/news.py in get_queryset(582)
  self.broadcast_ct = ContentType.objects.get(app_label="news", model="broadcastpost")

SELECT "django_content_type"."id",
       "django_content_type"."app_label",
       "django_content_type"."model"
  FROM "django_content_type"
 WHERE ("django_content_type"."app_label" = 'news' AND "django_content_type"."model" = 'videopost')
 LIMIT 21
SELECT ••• FROM "django_content_type" WHERE ("django_content_type"."app_label" = 'news' AND "django_content_type"."model" = 'videopost') LIMIT 21
10 similar queries. Duplicated 2 times.
0,44

Соединение: default

Статус транзакции: Ожидание

/home/youser/.local/share/virtualenvs/news-site-columnist-8tsXn7bh/bin/gunicorn in <module>(8)
  sys.exit(run())

/home/youser/.local/share/virtualenvs/news-site-columnist-8tsXn7bh/lib/python3.10/site-packages/gunicorn/app/wsgiapp.py in run(66)
  WSGIApplication("%(prog)s [OPTIONS] [APP_MODULE]", prog=prog).run()

/home/youser/.local/share/virtualenvs/news-site-columnist-8tsXn7bh/lib/python3.10/site-packages/gunicorn/app/base.py in run(235)
  super().run()

/home/youser/.local/share/virtualenvs/news-site-columnist-8tsXn7bh/lib/python3.10/site-packages/gunicorn/app/base.py in run(71)
  Arbiter(self).run()

/home/youser/.local/share/virtualenvs/news-site-columnist-8tsXn7bh/lib/python3.10/site-packages/gunicorn/arbiter.py in run(210)
  self.manage_workers()

/home/youser/.local/share/virtualenvs/news-site-columnist-8tsXn7bh/lib/python3.10/site-packages/gunicorn/arbiter.py in manage_workers(570)
  self.spawn_workers()

/home/youser/.local/share/virtualenvs/news-site-columnist-8tsXn7bh/lib/python3.10/site-packages/gunicorn/arbiter.py in spawn_workers(641)
  self.spawn_worker()

/home/youser/.local/share/virtualenvs/news-site-columnist-8tsXn7bh/lib/python3.10/site-packages/gunicorn/arbiter.py in spawn_worker(608)
  worker.init_process()

/home/youser/.local/share/virtualenvs/news-site-columnist-8tsXn7bh/lib/python3.10/site-packages/gunicorn/workers/base.py in init_process(143)
  self.run()

/home/youser/.local/share/virtualenvs/news-site-columnist-8tsXn7bh/lib/python3.10/site-packages/gunicorn/workers/sync.py in run(125)
  self.run_for_one(timeout)

/home/youser/.local/share/virtualenvs/news-site-columnist-8tsXn7bh/lib/python3.10/site-packages/gunicorn/workers/sync.py in run_for_one(69)
  self.accept(listener)

/home/youser/.local/share/virtualenvs/news-site-columnist-8tsXn7bh/lib/python3.10/site-packages/gunicorn/workers/sync.py in accept(31)
  self.handle(listener, client, addr)

/home/youser/.local/share/virtualenvs/news-site-columnist-8tsXn7bh/lib/python3.10/site-packages/gunicorn/workers/sync.py in handle(134)
  self.handle_request(listener, req, client, addr)

/home/youser/.local/share/virtualenvs/news-site-columnist-8tsXn7bh/lib/python3.10/site-packages/gunicorn/workers/sync.py in handle_request(177)
  respiter = self.wsgi(environ, resp.start_response)

/home/youser/.local/share/virtualenvs/news-site-columnist-8tsXn7bh/lib/python3.10/site-packages/sentry_sdk/utils.py in runner(1864)
  return sentry_patched_function(*args, **kwargs)

/home/youser/.local/share/virtualenvs/news-site-columnist-8tsXn7bh/lib/python3.10/site-packages/sentry_sdk/integrations/django/__init__.py in sentry_patched_wsgi_handler(191)
  return middleware(environ, start_response)

/home/youser/.local/share/virtualenvs/news-site-columnist-8tsXn7bh/lib/python3.10/site-packages/sentry_sdk/integrations/wsgi.py in __call__(132)
  response = self.app(

/home/youser/.local/share/virtualenvs/news-site-columnist-8tsXn7bh/lib/python3.10/site-packages/sentry_sdk/integrations/django/__init__.py in sentry_patched_get_response(478)
  rv = old_get_response(self, request)

/home/youser/.local/share/virtualenvs/news-site-columnist-8tsXn7bh/lib/python3.10/site-packages/sentry_sdk/integrations/django/middleware.py in __call__(177)
  return f(*args, **kwargs)

/home/youser/.local/share/virtualenvs/news-site-columnist-8tsXn7bh/lib/python3.10/site-packages/sentry_sdk/integrations/django/middleware.py in __call__(177)
  return f(*args, **kwargs)

/var/www/news-site-columnist/redirects/middleware/redirect_middleware.py in __call__(17)
  return self.get_response(request)

/home/youser/.local/share/virtualenvs/news-site-columnist-8tsXn7bh/lib/python3.10/site-packages/sentry_sdk/integrations/django/middleware.py in __call__(177)
  return f(*args, **kwargs)

/home/youser/.local/share/virtualenvs/news-site-columnist-8tsXn7bh/lib/python3.10/site-packages/sentry_sdk/integrations/django/middleware.py in __call__(177)
  return f(*args, **kwargs)

/home/youser/.local/share/virtualenvs/news-site-columnist-8tsXn7bh/lib/python3.10/site-packages/sentry_sdk/integrations/django/middleware.py in __call__(177)
  return f(*args, **kwargs)

/home/youser/.local/share/virtualenvs/news-site-columnist-8tsXn7bh/lib/python3.10/site-packages/sentry_sdk/integrations/django/middleware.py in __call__(177)
  return f(*args, **kwargs)

/home/youser/.local/share/virtualenvs/news-site-columnist-8tsXn7bh/lib/python3.10/site-packages/corsheaders/middleware.py in __call__(53)
  result = self.get_response(request)

/home/youser/.local/share/virtualenvs/news-site-columnist-8tsXn7bh/lib/python3.10/site-packages/sentry_sdk/integrations/django/middleware.py in __call__(177)
  return f(*args, **kwargs)

/home/youser/.local/share/virtualenvs/news-site-columnist-8tsXn7bh/lib/python3.10/site-packages/django_user_agents/middleware.py in __call__(14)
  return self.get_response(request)

/home/youser/.local/share/virtualenvs/news-site-columnist-8tsXn7bh/lib/python3.10/site-packages/sentry_sdk/integrations/django/middleware.py in __call__(177)
  return f(*args, **kwargs)

/home/youser/.local/share/virtualenvs/news-site-columnist-8tsXn7bh/lib/python3.10/site-packages/sentry_sdk/integrations/django/middleware.py in __call__(177)
  return f(*args, **kwargs)

/home/youser/.local/share/virtualenvs/news-site-columnist-8tsXn7bh/lib/python3.10/site-packages/sentry_sdk/integrations/django/middleware.py in __call__(177)
  return f(*args, **kwargs)

/home/youser/.local/share/virtualenvs/news-site-columnist-8tsXn7bh/lib/python3.10/site-packages/sentry_sdk/integrations/django/middleware.py in __call__(177)
  return f(*args, **kwargs)

/home/youser/.local/share/virtualenvs/news-site-columnist-8tsXn7bh/lib/python3.10/site-packages/sentry_sdk/integrations/django/middleware.py in __call__(177)
  return f(*args, **kwargs)

/home/youser/.local/share/virtualenvs/news-site-columnist-8tsXn7bh/lib/python3.10/site-packages/sentry_sdk/integrations/django/middleware.py in __call__(177)
  return f(*args, **kwargs)

/home/youser/.local/share/virtualenvs/news-site-columnist-8tsXn7bh/lib/python3.10/site-packages/sentry_sdk/integrations/django/middleware.py in __call__(177)
  return f(*args, **kwargs)

/home/youser/.local/share/virtualenvs/news-site-columnist-8tsXn7bh/lib/python3.10/site-packages/sentry_sdk/integrations/django/middleware.py in __call__(177)
  return f(*args, **kwargs)

/var/www/news-site-columnist/news/middleware/subdomain_middleare.py in __call__(22)
  response = self.get_response(request)

/home/youser/.local/share/virtualenvs/news-site-columnist-8tsXn7bh/lib/python3.10/site-packages/sentry_sdk/integrations/django/views.py in sentry_patched_render(41)
  return old_render(self)

/home/youser/.local/share/virtualenvs/news-site-columnist-8tsXn7bh/lib/python3.10/site-packages/django/template/response.py in render(114)
  self.content = self.rendered_content

/home/youser/.local/share/virtualenvs/news-site-columnist-8tsXn7bh/lib/python3.10/site-packages/sentry_sdk/utils.py in runner(1864)
  return sentry_patched_function(*args, **kwargs)

/home/youser/.local/share/virtualenvs/news-site-columnist-8tsXn7bh/lib/python3.10/site-packages/sentry_sdk/integrations/django/templates.py in rendered_content(77)
  return real_rendered_content.fget(self)

/home/youser/.local/share/virtualenvs/news-site-columnist-8tsXn7bh/lib/python3.10/site-packages/django/template/response.py in rendered_content(92)
  return template.render(context, self._request)

/home/youser/.local/share/virtualenvs/news-site-columnist-8tsXn7bh/lib/python3.10/site-packages/django/template/backends/django.py in render(61)
  return self.template.render(context)

/home/youser/.local/share/virtualenvs/news-site-columnist-8tsXn7bh/lib/python3.10/site-packages/template_timings_panel/panels/TemplateTimings.py in timing_hook(139)
  result = func(self, *args, **kwargs)

/home/youser/.local/share/virtualenvs/news-site-columnist-8tsXn7bh/lib/python3.10/site-packages/django/template/base.py in render(175)
  return self._render(context)

/home/youser/.local/share/virtualenvs/news-site-columnist-8tsXn7bh/lib/python3.10/site-packages/django/test/utils.py in instrumented_test_render(112)
  return self.nodelist.render(context)

/home/youser/.local/share/virtualenvs/news-site-columnist-8tsXn7bh/lib/python3.10/site-packages/django/template/base.py in render(1005)
  return SafeString("".join([node.render_annotated(context) for node in self]))

/home/youser/.local/share/virtualenvs/news-site-columnist-8tsXn7bh/lib/python3.10/site-packages/django/template/base.py in <listcomp>(1005)
  return SafeString("".join([node.render_annotated(context) for node in self]))

/home/youser/.local/share/virtualenvs/news-site-columnist-8tsXn7bh/lib/python3.10/site-packages/django/template/base.py in render_annotated(966)
  return self.render(context)

/home/youser/.local/share/virtualenvs/news-site-columnist-8tsXn7bh/lib/python3.10/site-packages/django/template/loader_tags.py in render(157)
  return compiled_parent._render(context)

/home/youser/.local/share/virtualenvs/news-site-columnist-8tsXn7bh/lib/python3.10/site-packages/django/test/utils.py in instrumented_test_render(112)
  return self.nodelist.render(context)

/home/youser/.local/share/virtualenvs/news-site-columnist-8tsXn7bh/lib/python3.10/site-packages/django/template/base.py in render(1005)
  return SafeString("".join([node.render_annotated(context) for node in self]))

/home/youser/.local/share/virtualenvs/news-site-columnist-8tsXn7bh/lib/python3.10/site-packages/django/template/base.py in <listcomp>(1005)
  return SafeString("".join([node.render_annotated(context) for node in self]))

/home/youser/.local/share/virtualenvs/news-site-columnist-8tsXn7bh/lib/python3.10/site-packages/django/template/base.py in render_annotated(966)
  return self.render(context)

/home/youser/.local/share/virtualenvs/news-site-columnist-8tsXn7bh/lib/python3.10/site-packages/template_timings_panel/panels/TemplateTimings.py in timing_hook(139)
  result = func(self, *args, **kwargs)

/home/youser/.local/share/virtualenvs/news-site-columnist-8tsXn7bh/lib/python3.10/site-packages/django/template/loader_tags.py in render(63)
  result = block.nodelist.render(context)

/home/youser/.local/share/virtualenvs/news-site-columnist-8tsXn7bh/lib/python3.10/site-packages/django/template/base.py in render(1005)
  return SafeString("".join([node.render_annotated(context) for node in self]))

/home/youser/.local/share/virtualenvs/news-site-columnist-8tsXn7bh/lib/python3.10/site-packages/django/template/base.py in <listcomp>(1005)
  return SafeString("".join([node.render_annotated(context) for node in self]))

/home/youser/.local/share/virtualenvs/news-site-columnist-8tsXn7bh/lib/python3.10/site-packages/django/template/base.py in render_annotated(966)
  return self.render(context)

/home/youser/.local/share/virtualenvs/news-site-columnist-8tsXn7bh/lib/python3.10/site-packages/template_timings_panel/panels/TemplateTimings.py in timing_hook(139)
  result = func(self, *args, **kwargs)

/home/youser/.local/share/virtualenvs/news-site-columnist-8tsXn7bh/lib/python3.10/site-packages/django/template/loader_tags.py in render(63)
  result = block.nodelist.render(context)

/home/youser/.local/share/virtualenvs/news-site-columnist-8tsXn7bh/lib/python3.10/site-packages/django/template/base.py in render(1005)
  return SafeString("".join([node.render_annotated(context) for node in self]))

/home/youser/.local/share/virtualenvs/news-site-columnist-8tsXn7bh/lib/python3.10/site-packages/django/template/base.py in <listcomp>(1005)
  return SafeString("".join([node.render_annotated(context) for node in self]))

/home/youser/.local/share/virtualenvs/news-site-columnist-8tsXn7bh/lib/python3.10/site-packages/django/template/base.py in render_annotated(966)
  return self.render(context)

/home/youser/.local/share/virtualenvs/news-site-columnist-8tsXn7bh/lib/python3.10/site-packages/django/template/loader_tags.py in render(208)
  return template.render(context)

/home/youser/.local/share/virtualenvs/news-site-columnist-8tsXn7bh/lib/python3.10/site-packages/template_timings_panel/panels/TemplateTimings.py in timing_hook(139)
  result = func(self, *args, **kwargs)

/home/youser/.local/share/virtualenvs/news-site-columnist-8tsXn7bh/lib/python3.10/site-packages/django/template/base.py in render(177)
  return self._render(context)

/home/youser/.local/share/virtualenvs/news-site-columnist-8tsXn7bh/lib/python3.10/site-packages/django/test/utils.py in instrumented_test_render(112)
  return self.nodelist.render(context)

/home/youser/.local/share/virtualenvs/news-site-columnist-8tsXn7bh/lib/python3.10/site-packages/django/template/base.py in render(1005)
  return SafeString("".join([node.render_annotated(context) for node in self]))

/home/youser/.local/share/virtualenvs/news-site-columnist-8tsXn7bh/lib/python3.10/site-packages/django/template/base.py in <listcomp>(1005)
  return SafeString("".join([node.render_annotated(context) for node in self]))

/home/youser/.local/share/virtualenvs/news-site-columnist-8tsXn7bh/lib/python3.10/site-packages/django/template/base.py in render_annotated(966)
  return self.render(context)

/home/youser/.local/share/virtualenvs/news-site-columnist-8tsXn7bh/lib/python3.10/site-packages/django/template/defaulttags.py in render(321)
  return nodelist.render(context)

/home/youser/.local/share/virtualenvs/news-site-columnist-8tsXn7bh/lib/python3.10/site-packages/django/template/base.py in render(1005)
  return SafeString("".join([node.render_annotated(context) for node in self]))

/home/youser/.local/share/virtualenvs/news-site-columnist-8tsXn7bh/lib/python3.10/site-packages/django/template/base.py in <listcomp>(1005)
  return SafeString("".join([node.render_annotated(context) for node in self]))

/home/youser/.local/share/virtualenvs/news-site-columnist-8tsXn7bh/lib/python3.10/site-packages/django/template/base.py in render_annotated(966)
  return self.render(context)

/home/youser/.local/share/virtualenvs/news-site-columnist-8tsXn7bh/lib/python3.10/site-packages/django/template/loader_tags.py in render(208)
  return template.render(context)

/home/youser/.local/share/virtualenvs/news-site-columnist-8tsXn7bh/lib/python3.10/site-packages/template_timings_panel/panels/TemplateTimings.py in timing_hook(139)
  result = func(self, *args, **kwargs)

/home/youser/.local/share/virtualenvs/news-site-columnist-8tsXn7bh/lib/python3.10/site-packages/django/template/base.py in render(177)
  return self._render(context)

/home/youser/.local/share/virtualenvs/news-site-columnist-8tsXn7bh/lib/python3.10/site-packages/django/test/utils.py in instrumented_test_render(112)
  return self.nodelist.render(context)

/home/youser/.local/share/virtualenvs/news-site-columnist-8tsXn7bh/lib/python3.10/site-packages/django/template/base.py in render(1005)
  return SafeString("".join([node.render_annotated(context) for node in self]))

/home/youser/.local/share/virtualenvs/news-site-columnist-8tsXn7bh/lib/python3.10/site-packages/django/template/base.py in <listcomp>(1005)
  return SafeString("".join([node.render_annotated(context) for node in self]))

/home/youser/.local/share/virtualenvs/news-site-columnist-8tsXn7bh/lib/python3.10/site-packages/django/template/base.py in render_annotated(966)
  return self.render(context)

/home/youser/.local/share/virtualenvs/news-site-columnist-8tsXn7bh/lib/python3.10/site-packages/django/template/defaulttags.py in render(321)
  return nodelist.render(context)

/home/youser/.local/share/virtualenvs/news-site-columnist-8tsXn7bh/lib/python3.10/site-packages/django/template/base.py in render(1005)
  return SafeString("".join([node.render_annotated(context) for node in self]))

/home/youser/.local/share/virtualenvs/news-site-columnist-8tsXn7bh/lib/python3.10/site-packages/django/template/base.py in <listcomp>(1005)
  return SafeString("".join([node.render_annotated(context) for node in self]))

/home/youser/.local/share/virtualenvs/news-site-columnist-8tsXn7bh/lib/python3.10/site-packages/django/template/base.py in render_annotated(966)
  return self.render(context)

/home/youser/.local/share/virtualenvs/news-site-columnist-8tsXn7bh/lib/python3.10/site-packages/django/template/defaulttags.py in render(321)
  return nodelist.render(context)

/home/youser/.local/share/virtualenvs/news-site-columnist-8tsXn7bh/lib/python3.10/site-packages/django/template/base.py in render(1005)
  return SafeString("".join([node.render_annotated(context) for node in self]))

/home/youser/.local/share/virtualenvs/news-site-columnist-8tsXn7bh/lib/python3.10/site-packages/django/template/base.py in <listcomp>(1005)
  return SafeString("".join([node.render_annotated(context) for node in self]))

/home/youser/.local/share/virtualenvs/news-site-columnist-8tsXn7bh/lib/python3.10/site-packages/django/template/base.py in render_annotated(966)
  return self.render(context)

/home/youser/.local/share/virtualenvs/news-site-columnist-8tsXn7bh/lib/python3.10/site-packages/template_timings_panel/panels/TemplateTimings.py in timing_hook(139)
  result = func(self, *args, **kwargs)

/home/youser/.local/share/virtualenvs/news-site-columnist-8tsXn7bh/lib/python3.10/site-packages/django/template/loader_tags.py in render(54)
  result = self.nodelist.render(context)

/home/youser/.local/share/virtualenvs/news-site-columnist-8tsXn7bh/lib/python3.10/site-packages/django/template/base.py in render(1005)
  return SafeString("".join([node.render_annotated(context) for node in self]))

/home/youser/.local/share/virtualenvs/news-site-columnist-8tsXn7bh/lib/python3.10/site-packages/django/template/base.py in <listcomp>(1005)
  return SafeString("".join([node.render_annotated(context) for node in self]))

/home/youser/.local/share/virtualenvs/news-site-columnist-8tsXn7bh/lib/python3.10/site-packages/django/template/base.py in render_annotated(966)
  return self.render(context)

/home/youser/.local/share/virtualenvs/news-site-columnist-8tsXn7bh/lib/python3.10/site-packages/django/template/library.py in render(237)
  output = self.func(*resolved_args, **resolved_kwargs)

/var/www/news-site-columnist/news/templatetags/component_tags.py in news_sidebar(216)
  return base_sidebar(

/var/www/news-site-columnist/news/templatetags/component_tags.py in base_sidebar(188)
  context_data = sidebar_object.render(filters, True, use_old_design) | {

/var/www/news-site-columnist/news/templatetags/component_tags.py in render(83)
  qs = self.get_queryset()

/var/www/news-site-columnist/news/templatetags/component_tags.py in get_queryset(66)
  .annotate_is_videopost_mark()

/var/www/news-site-columnist/news/models/news.py in annotate_is_videopost_mark(456)
  polymorphic_ctype=ContentType.objects.get(

SELECT "django_content_type"."id",
       "django_content_type"."app_label",
       "django_content_type"."model"
  FROM "django_content_type"
 WHERE ("django_content_type"."app_label" = 'news' AND "django_content_type"."model" = 'videopost')
 LIMIT 21
SELECT ••• FROM "django_content_type" WHERE ("django_content_type"."app_label" = 'news' AND "django_content_type"."model" = 'videopost') LIMIT 21
10 similar queries. Duplicated 2 times.
0,60

Соединение: default

Статус транзакции: Ожидание

/home/youser/.local/share/virtualenvs/news-site-columnist-8tsXn7bh/bin/gunicorn in <module>(8)
  sys.exit(run())

/home/youser/.local/share/virtualenvs/news-site-columnist-8tsXn7bh/lib/python3.10/site-packages/gunicorn/app/wsgiapp.py in run(66)
  WSGIApplication("%(prog)s [OPTIONS] [APP_MODULE]", prog=prog).run()

/home/youser/.local/share/virtualenvs/news-site-columnist-8tsXn7bh/lib/python3.10/site-packages/gunicorn/app/base.py in run(235)
  super().run()

/home/youser/.local/share/virtualenvs/news-site-columnist-8tsXn7bh/lib/python3.10/site-packages/gunicorn/app/base.py in run(71)
  Arbiter(self).run()

/home/youser/.local/share/virtualenvs/news-site-columnist-8tsXn7bh/lib/python3.10/site-packages/gunicorn/arbiter.py in run(210)
  self.manage_workers()

/home/youser/.local/share/virtualenvs/news-site-columnist-8tsXn7bh/lib/python3.10/site-packages/gunicorn/arbiter.py in manage_workers(570)
  self.spawn_workers()

/home/youser/.local/share/virtualenvs/news-site-columnist-8tsXn7bh/lib/python3.10/site-packages/gunicorn/arbiter.py in spawn_workers(641)
  self.spawn_worker()

/home/youser/.local/share/virtualenvs/news-site-columnist-8tsXn7bh/lib/python3.10/site-packages/gunicorn/arbiter.py in spawn_worker(608)
  worker.init_process()

/home/youser/.local/share/virtualenvs/news-site-columnist-8tsXn7bh/lib/python3.10/site-packages/gunicorn/workers/base.py in init_process(143)
  self.run()

/home/youser/.local/share/virtualenvs/news-site-columnist-8tsXn7bh/lib/python3.10/site-packages/gunicorn/workers/sync.py in run(125)
  self.run_for_one(timeout)

/home/youser/.local/share/virtualenvs/news-site-columnist-8tsXn7bh/lib/python3.10/site-packages/gunicorn/workers/sync.py in run_for_one(69)
  self.accept(listener)

/home/youser/.local/share/virtualenvs/news-site-columnist-8tsXn7bh/lib/python3.10/site-packages/gunicorn/workers/sync.py in accept(31)
  self.handle(listener, client, addr)

/home/youser/.local/share/virtualenvs/news-site-columnist-8tsXn7bh/lib/python3.10/site-packages/gunicorn/workers/sync.py in handle(134)
  self.handle_request(listener, req, client, addr)

/home/youser/.local/share/virtualenvs/news-site-columnist-8tsXn7bh/lib/python3.10/site-packages/gunicorn/workers/sync.py in handle_request(177)
  respiter = self.wsgi(environ, resp.start_response)

/home/youser/.local/share/virtualenvs/news-site-columnist-8tsXn7bh/lib/python3.10/site-packages/sentry_sdk/utils.py in runner(1864)
  return sentry_patched_function(*args, **kwargs)

/home/youser/.local/share/virtualenvs/news-site-columnist-8tsXn7bh/lib/python3.10/site-packages/sentry_sdk/integrations/django/__init__.py in sentry_patched_wsgi_handler(191)
  return middleware(environ, start_response)

/home/youser/.local/share/virtualenvs/news-site-columnist-8tsXn7bh/lib/python3.10/site-packages/sentry_sdk/integrations/wsgi.py in __call__(132)
  response = self.app(

/home/youser/.local/share/virtualenvs/news-site-columnist-8tsXn7bh/lib/python3.10/site-packages/sentry_sdk/integrations/django/__init__.py in sentry_patched_get_response(478)
  rv = old_get_response(self, request)

/home/youser/.local/share/virtualenvs/news-site-columnist-8tsXn7bh/lib/python3.10/site-packages/sentry_sdk/integrations/django/middleware.py in __call__(177)
  return f(*args, **kwargs)

/home/youser/.local/share/virtualenvs/news-site-columnist-8tsXn7bh/lib/python3.10/site-packages/sentry_sdk/integrations/django/middleware.py in __call__(177)
  return f(*args, **kwargs)

/var/www/news-site-columnist/redirects/middleware/redirect_middleware.py in __call__(17)
  return self.get_response(request)

/home/youser/.local/share/virtualenvs/news-site-columnist-8tsXn7bh/lib/python3.10/site-packages/sentry_sdk/integrations/django/middleware.py in __call__(177)
  return f(*args, **kwargs)

/home/youser/.local/share/virtualenvs/news-site-columnist-8tsXn7bh/lib/python3.10/site-packages/sentry_sdk/integrations/django/middleware.py in __call__(177)
  return f(*args, **kwargs)

/home/youser/.local/share/virtualenvs/news-site-columnist-8tsXn7bh/lib/python3.10/site-packages/sentry_sdk/integrations/django/middleware.py in __call__(177)
  return f(*args, **kwargs)

/home/youser/.local/share/virtualenvs/news-site-columnist-8tsXn7bh/lib/python3.10/site-packages/sentry_sdk/integrations/django/middleware.py in __call__(177)
  return f(*args, **kwargs)

/home/youser/.local/share/virtualenvs/news-site-columnist-8tsXn7bh/lib/python3.10/site-packages/corsheaders/middleware.py in __call__(53)
  result = self.get_response(request)

/home/youser/.local/share/virtualenvs/news-site-columnist-8tsXn7bh/lib/python3.10/site-packages/sentry_sdk/integrations/django/middleware.py in __call__(177)
  return f(*args, **kwargs)

/home/youser/.local/share/virtualenvs/news-site-columnist-8tsXn7bh/lib/python3.10/site-packages/django_user_agents/middleware.py in __call__(14)
  return self.get_response(request)

/home/youser/.local/share/virtualenvs/news-site-columnist-8tsXn7bh/lib/python3.10/site-packages/sentry_sdk/integrations/django/middleware.py in __call__(177)
  return f(*args, **kwargs)

/home/youser/.local/share/virtualenvs/news-site-columnist-8tsXn7bh/lib/python3.10/site-packages/sentry_sdk/integrations/django/middleware.py in __call__(177)
  return f(*args, **kwargs)

/home/youser/.local/share/virtualenvs/news-site-columnist-8tsXn7bh/lib/python3.10/site-packages/sentry_sdk/integrations/django/middleware.py in __call__(177)
  return f(*args, **kwargs)

/home/youser/.local/share/virtualenvs/news-site-columnist-8tsXn7bh/lib/python3.10/site-packages/sentry_sdk/integrations/django/middleware.py in __call__(177)
  return f(*args, **kwargs)

/home/youser/.local/share/virtualenvs/news-site-columnist-8tsXn7bh/lib/python3.10/site-packages/sentry_sdk/integrations/django/middleware.py in __call__(177)
  return f(*args, **kwargs)

/home/youser/.local/share/virtualenvs/news-site-columnist-8tsXn7bh/lib/python3.10/site-packages/sentry_sdk/integrations/django/middleware.py in __call__(177)
  return f(*args, **kwargs)

/home/youser/.local/share/virtualenvs/news-site-columnist-8tsXn7bh/lib/python3.10/site-packages/sentry_sdk/integrations/django/middleware.py in __call__(177)
  return f(*args, **kwargs)

/home/youser/.local/share/virtualenvs/news-site-columnist-8tsXn7bh/lib/python3.10/site-packages/sentry_sdk/integrations/django/middleware.py in __call__(177)
  return f(*args, **kwargs)

/var/www/news-site-columnist/news/middleware/subdomain_middleare.py in __call__(22)
  response = self.get_response(request)

/home/youser/.local/share/virtualenvs/news-site-columnist-8tsXn7bh/lib/python3.10/site-packages/sentry_sdk/integrations/django/views.py in sentry_patched_render(41)
  return old_render(self)

/home/youser/.local/share/virtualenvs/news-site-columnist-8tsXn7bh/lib/python3.10/site-packages/django/template/response.py in render(114)
  self.content = self.rendered_content

/home/youser/.local/share/virtualenvs/news-site-columnist-8tsXn7bh/lib/python3.10/site-packages/sentry_sdk/utils.py in runner(1864)
  return sentry_patched_function(*args, **kwargs)

/home/youser/.local/share/virtualenvs/news-site-columnist-8tsXn7bh/lib/python3.10/site-packages/sentry_sdk/integrations/django/templates.py in rendered_content(77)
  return real_rendered_content.fget(self)

/home/youser/.local/share/virtualenvs/news-site-columnist-8tsXn7bh/lib/python3.10/site-packages/django/template/response.py in rendered_content(92)
  return template.render(context, self._request)

/home/youser/.local/share/virtualenvs/news-site-columnist-8tsXn7bh/lib/python3.10/site-packages/django/template/backends/django.py in render(61)
  return self.template.render(context)

/home/youser/.local/share/virtualenvs/news-site-columnist-8tsXn7bh/lib/python3.10/site-packages/template_timings_panel/panels/TemplateTimings.py in timing_hook(139)
  result = func(self, *args, **kwargs)

/home/youser/.local/share/virtualenvs/news-site-columnist-8tsXn7bh/lib/python3.10/site-packages/django/template/base.py in render(175)
  return self._render(context)

/home/youser/.local/share/virtualenvs/news-site-columnist-8tsXn7bh/lib/python3.10/site-packages/django/test/utils.py in instrumented_test_render(112)
  return self.nodelist.render(context)

/home/youser/.local/share/virtualenvs/news-site-columnist-8tsXn7bh/lib/python3.10/site-packages/django/template/base.py in render(1005)
  return SafeString("".join([node.render_annotated(context) for node in self]))

/home/youser/.local/share/virtualenvs/news-site-columnist-8tsXn7bh/lib/python3.10/site-packages/django/template/base.py in <listcomp>(1005)
  return SafeString("".join([node.render_annotated(context) for node in self]))

/home/youser/.local/share/virtualenvs/news-site-columnist-8tsXn7bh/lib/python3.10/site-packages/django/template/base.py in render_annotated(966)
  return self.render(context)

/home/youser/.local/share/virtualenvs/news-site-columnist-8tsXn7bh/lib/python3.10/site-packages/django/template/loader_tags.py in render(157)
  return compiled_parent._render(context)

/home/youser/.local/share/virtualenvs/news-site-columnist-8tsXn7bh/lib/python3.10/site-packages/django/test/utils.py in instrumented_test_render(112)
  return self.nodelist.render(context)

/home/youser/.local/share/virtualenvs/news-site-columnist-8tsXn7bh/lib/python3.10/site-packages/django/template/base.py in render(1005)
  return SafeString("".join([node.render_annotated(context) for node in self]))

/home/youser/.local/share/virtualenvs/news-site-columnist-8tsXn7bh/lib/python3.10/site-packages/django/template/base.py in <listcomp>(1005)
  return SafeString("".join([node.render_annotated(context) for node in self]))

/home/youser/.local/share/virtualenvs/news-site-columnist-8tsXn7bh/lib/python3.10/site-packages/django/template/base.py in render_annotated(966)
  return self.render(context)

/home/youser/.local/share/virtualenvs/news-site-columnist-8tsXn7bh/lib/python3.10/site-packages/template_timings_panel/panels/TemplateTimings.py in timing_hook(139)
  result = func(self, *args, **kwargs)

/home/youser/.local/share/virtualenvs/news-site-columnist-8tsXn7bh/lib/python3.10/site-packages/django/template/loader_tags.py in render(63)
  result = block.nodelist.render(context)

/home/youser/.local/share/virtualenvs/news-site-columnist-8tsXn7bh/lib/python3.10/site-packages/django/template/base.py in render(1005)
  return SafeString("".join([node.render_annotated(context) for node in self]))

/home/youser/.local/share/virtualenvs/news-site-columnist-8tsXn7bh/lib/python3.10/site-packages/django/template/base.py in <listcomp>(1005)
  return SafeString("".join([node.render_annotated(context) for node in self]))

/home/youser/.local/share/virtualenvs/news-site-columnist-8tsXn7bh/lib/python3.10/site-packages/django/template/base.py in render_annotated(966)
  return self.render(context)

/home/youser/.local/share/virtualenvs/news-site-columnist-8tsXn7bh/lib/python3.10/site-packages/template_timings_panel/panels/TemplateTimings.py in timing_hook(139)
  result = func(self, *args, **kwargs)

/home/youser/.local/share/virtualenvs/news-site-columnist-8tsXn7bh/lib/python3.10/site-packages/django/template/loader_tags.py in render(63)
  result = block.nodelist.render(context)

/home/youser/.local/share/virtualenvs/news-site-columnist-8tsXn7bh/lib/python3.10/site-packages/django/template/base.py in render(1005)
  return SafeString("".join([node.render_annotated(context) for node in self]))

/home/youser/.local/share/virtualenvs/news-site-columnist-8tsXn7bh/lib/python3.10/site-packages/django/template/base.py in <listcomp>(1005)
  return SafeString("".join([node.render_annotated(context) for node in self]))

/home/youser/.local/share/virtualenvs/news-site-columnist-8tsXn7bh/lib/python3.10/site-packages/django/template/base.py in render_annotated(966)
  return self.render(context)

/home/youser/.local/share/virtualenvs/news-site-columnist-8tsXn7bh/lib/python3.10/site-packages/django/template/loader_tags.py in render(208)
  return template.render(context)

/home/youser/.local/share/virtualenvs/news-site-columnist-8tsXn7bh/lib/python3.10/site-packages/template_timings_panel/panels/TemplateTimings.py in timing_hook(139)
  result = func(self, *args, **kwargs)

/home/youser/.local/share/virtualenvs/news-site-columnist-8tsXn7bh/lib/python3.10/site-packages/django/template/base.py in render(177)
  return self._render(context)

/home/youser/.local/share/virtualenvs/news-site-columnist-8tsXn7bh/lib/python3.10/site-packages/django/test/utils.py in instrumented_test_render(112)
  return self.nodelist.render(context)

/home/youser/.local/share/virtualenvs/news-site-columnist-8tsXn7bh/lib/python3.10/site-packages/django/template/base.py in render(1005)
  return SafeString("".join([node.render_annotated(context) for node in self]))

/home/youser/.local/share/virtualenvs/news-site-columnist-8tsXn7bh/lib/python3.10/site-packages/django/template/base.py in <listcomp>(1005)
  return SafeString("".join([node.render_annotated(context) for node in self]))

/home/youser/.local/share/virtualenvs/news-site-columnist-8tsXn7bh/lib/python3.10/site-packages/django/template/base.py in render_annotated(966)
  return self.render(context)

/home/youser/.local/share/virtualenvs/news-site-columnist-8tsXn7bh/lib/python3.10/site-packages/django/template/defaulttags.py in render(321)
  return nodelist.render(context)

/home/youser/.local/share/virtualenvs/news-site-columnist-8tsXn7bh/lib/python3.10/site-packages/django/template/base.py in render(1005)
  return SafeString("".join([node.render_annotated(context) for node in self]))

/home/youser/.local/share/virtualenvs/news-site-columnist-8tsXn7bh/lib/python3.10/site-packages/django/template/base.py in <listcomp>(1005)
  return SafeString("".join([node.render_annotated(context) for node in self]))

/home/youser/.local/share/virtualenvs/news-site-columnist-8tsXn7bh/lib/python3.10/site-packages/django/template/base.py in render_annotated(966)
  return self.render(context)

/home/youser/.local/share/virtualenvs/news-site-columnist-8tsXn7bh/lib/python3.10/site-packages/django/template/loader_tags.py in render(208)
  return template.render(context)

/home/youser/.local/share/virtualenvs/news-site-columnist-8tsXn7bh/lib/python3.10/site-packages/template_timings_panel/panels/TemplateTimings.py in timing_hook(139)
  result = func(self, *args, **kwargs)

/home/youser/.local/share/virtualenvs/news-site-columnist-8tsXn7bh/lib/python3.10/site-packages/django/template/base.py in render(177)
  return self._render(context)

/home/youser/.local/share/virtualenvs/news-site-columnist-8tsXn7bh/lib/python3.10/site-packages/django/test/utils.py in instrumented_test_render(112)
  return self.nodelist.render(context)

/home/youser/.local/share/virtualenvs/news-site-columnist-8tsXn7bh/lib/python3.10/site-packages/django/template/base.py in render(1005)
  return SafeString("".join([node.render_annotated(context) for node in self]))

/home/youser/.local/share/virtualenvs/news-site-columnist-8tsXn7bh/lib/python3.10/site-packages/django/template/base.py in <listcomp>(1005)
  return SafeString("".join([node.render_annotated(context) for node in self]))

/home/youser/.local/share/virtualenvs/news-site-columnist-8tsXn7bh/lib/python3.10/site-packages/django/template/base.py in render_annotated(966)
  return self.render(context)

/home/youser/.local/share/virtualenvs/news-site-columnist-8tsXn7bh/lib/python3.10/site-packages/django/template/defaulttags.py in render(321)
  return nodelist.render(context)

/home/youser/.local/share/virtualenvs/news-site-columnist-8tsXn7bh/lib/python3.10/site-packages/django/template/base.py in render(1005)
  return SafeString("".join([node.render_annotated(context) for node in self]))

/home/youser/.local/share/virtualenvs/news-site-columnist-8tsXn7bh/lib/python3.10/site-packages/django/template/base.py in <listcomp>(1005)
  return SafeString("".join([node.render_annotated(context) for node in self]))

/home/youser/.local/share/virtualenvs/news-site-columnist-8tsXn7bh/lib/python3.10/site-packages/django/template/base.py in render_annotated(966)
  return self.render(context)

/home/youser/.local/share/virtualenvs/news-site-columnist-8tsXn7bh/lib/python3.10/site-packages/django/template/defaulttags.py in render(321)
  return nodelist.render(context)

/home/youser/.local/share/virtualenvs/news-site-columnist-8tsXn7bh/lib/python3.10/site-packages/django/template/base.py in render(1005)
  return SafeString("".join([node.render_annotated(context) for node in self]))

/home/youser/.local/share/virtualenvs/news-site-columnist-8tsXn7bh/lib/python3.10/site-packages/django/template/base.py in <listcomp>(1005)
  return SafeString("".join([node.render_annotated(context) for node in self]))

/home/youser/.local/share/virtualenvs/news-site-columnist-8tsXn7bh/lib/python3.10/site-packages/django/template/base.py in render_annotated(966)
  return self.render(context)

/home/youser/.local/share/virtualenvs/news-site-columnist-8tsXn7bh/lib/python3.10/site-packages/template_timings_panel/panels/TemplateTimings.py in timing_hook(139)
  result = func(self, *args, **kwargs)

/home/youser/.local/share/virtualenvs/news-site-columnist-8tsXn7bh/lib/python3.10/site-packages/django/template/loader_tags.py in render(54)
  result = self.nodelist.render(context)

/home/youser/.local/share/virtualenvs/news-site-columnist-8tsXn7bh/lib/python3.10/site-packages/django/template/base.py in render(1005)
  return SafeString("".join([node.render_annotated(context) for node in self]))

/home/youser/.local/share/virtualenvs/news-site-columnist-8tsXn7bh/lib/python3.10/site-packages/django/template/base.py in <listcomp>(1005)
  return SafeString("".join([node.render_annotated(context) for node in self]))

/home/youser/.local/share/virtualenvs/news-site-columnist-8tsXn7bh/lib/python3.10/site-packages/django/template/base.py in render_annotated(966)
  return self.render(context)

/home/youser/.local/share/virtualenvs/news-site-columnist-8tsXn7bh/lib/python3.10/site-packages/django/template/library.py in render(237)
  output = self.func(*resolved_args, **resolved_kwargs)

/var/www/news-site-columnist/news/templatetags/component_tags.py in news_sidebar(216)
  return base_sidebar(

/var/www/news-site-columnist/news/templatetags/component_tags.py in base_sidebar(188)
  context_data = sidebar_object.render(filters, True, use_old_design) | {

/var/www/news-site-columnist/news/templatetags/component_tags.py in render(83)
  qs = self.get_queryset()

/var/www/news-site-columnist/news/templatetags/component_tags.py in get_queryset(66)
  .annotate_is_videopost_mark()

/var/www/news-site-columnist/news/models/news.py in annotate_is_videopost_mark(466)
  polymorphic_ctype=ContentType.objects.get(

SELECT "django_content_type"."id",
       "django_content_type"."app_label",
       "django_content_type"."model"
  FROM "django_content_type"
 WHERE ("django_content_type"."app_label" = 'context_section' AND "django_content_type"."model" = 'columnpost')
 LIMIT 21
SELECT ••• FROM "django_content_type" WHERE ("django_content_type"."app_label" = 'context_section' AND "django_content_type"."model" = 'columnpost') LIMIT 21
10 similar queries. Duplicated 4 times.
0,44

Соединение: default

Статус транзакции: Ожидание

/home/youser/.local/share/virtualenvs/news-site-columnist-8tsXn7bh/bin/gunicorn in <module>(8)
  sys.exit(run())

/home/youser/.local/share/virtualenvs/news-site-columnist-8tsXn7bh/lib/python3.10/site-packages/gunicorn/app/wsgiapp.py in run(66)
  WSGIApplication("%(prog)s [OPTIONS] [APP_MODULE]", prog=prog).run()

/home/youser/.local/share/virtualenvs/news-site-columnist-8tsXn7bh/lib/python3.10/site-packages/gunicorn/app/base.py in run(235)
  super().run()

/home/youser/.local/share/virtualenvs/news-site-columnist-8tsXn7bh/lib/python3.10/site-packages/gunicorn/app/base.py in run(71)
  Arbiter(self).run()

/home/youser/.local/share/virtualenvs/news-site-columnist-8tsXn7bh/lib/python3.10/site-packages/gunicorn/arbiter.py in run(210)
  self.manage_workers()

/home/youser/.local/share/virtualenvs/news-site-columnist-8tsXn7bh/lib/python3.10/site-packages/gunicorn/arbiter.py in manage_workers(570)
  self.spawn_workers()

/home/youser/.local/share/virtualenvs/news-site-columnist-8tsXn7bh/lib/python3.10/site-packages/gunicorn/arbiter.py in spawn_workers(641)
  self.spawn_worker()

/home/youser/.local/share/virtualenvs/news-site-columnist-8tsXn7bh/lib/python3.10/site-packages/gunicorn/arbiter.py in spawn_worker(608)
  worker.init_process()

/home/youser/.local/share/virtualenvs/news-site-columnist-8tsXn7bh/lib/python3.10/site-packages/gunicorn/workers/base.py in init_process(143)
  self.run()

/home/youser/.local/share/virtualenvs/news-site-columnist-8tsXn7bh/lib/python3.10/site-packages/gunicorn/workers/sync.py in run(125)
  self.run_for_one(timeout)

/home/youser/.local/share/virtualenvs/news-site-columnist-8tsXn7bh/lib/python3.10/site-packages/gunicorn/workers/sync.py in run_for_one(69)
  self.accept(listener)

/home/youser/.local/share/virtualenvs/news-site-columnist-8tsXn7bh/lib/python3.10/site-packages/gunicorn/workers/sync.py in accept(31)
  self.handle(listener, client, addr)

/home/youser/.local/share/virtualenvs/news-site-columnist-8tsXn7bh/lib/python3.10/site-packages/gunicorn/workers/sync.py in handle(134)
  self.handle_request(listener, req, client, addr)

/home/youser/.local/share/virtualenvs/news-site-columnist-8tsXn7bh/lib/python3.10/site-packages/gunicorn/workers/sync.py in handle_request(177)
  respiter = self.wsgi(environ, resp.start_response)

/home/youser/.local/share/virtualenvs/news-site-columnist-8tsXn7bh/lib/python3.10/site-packages/sentry_sdk/utils.py in runner(1864)
  return sentry_patched_function(*args, **kwargs)

/home/youser/.local/share/virtualenvs/news-site-columnist-8tsXn7bh/lib/python3.10/site-packages/sentry_sdk/integrations/django/__init__.py in sentry_patched_wsgi_handler(191)
  return middleware(environ, start_response)

/home/youser/.local/share/virtualenvs/news-site-columnist-8tsXn7bh/lib/python3.10/site-packages/sentry_sdk/integrations/wsgi.py in __call__(132)
  response = self.app(

/home/youser/.local/share/virtualenvs/news-site-columnist-8tsXn7bh/lib/python3.10/site-packages/sentry_sdk/integrations/django/__init__.py in sentry_patched_get_response(478)
  rv = old_get_response(self, request)

/home/youser/.local/share/virtualenvs/news-site-columnist-8tsXn7bh/lib/python3.10/site-packages/sentry_sdk/integrations/django/middleware.py in __call__(177)
  return f(*args, **kwargs)

/home/youser/.local/share/virtualenvs/news-site-columnist-8tsXn7bh/lib/python3.10/site-packages/sentry_sdk/integrations/django/middleware.py in __call__(177)
  return f(*args, **kwargs)

/var/www/news-site-columnist/redirects/middleware/redirect_middleware.py in __call__(17)
  return self.get_response(request)

/home/youser/.local/share/virtualenvs/news-site-columnist-8tsXn7bh/lib/python3.10/site-packages/sentry_sdk/integrations/django/middleware.py in __call__(177)
  return f(*args, **kwargs)

/home/youser/.local/share/virtualenvs/news-site-columnist-8tsXn7bh/lib/python3.10/site-packages/sentry_sdk/integrations/django/middleware.py in __call__(177)
  return f(*args, **kwargs)

/home/youser/.local/share/virtualenvs/news-site-columnist-8tsXn7bh/lib/python3.10/site-packages/sentry_sdk/integrations/django/middleware.py in __call__(177)
  return f(*args, **kwargs)

/home/youser/.local/share/virtualenvs/news-site-columnist-8tsXn7bh/lib/python3.10/site-packages/sentry_sdk/integrations/django/middleware.py in __call__(177)
  return f(*args, **kwargs)

/home/youser/.local/share/virtualenvs/news-site-columnist-8tsXn7bh/lib/python3.10/site-packages/corsheaders/middleware.py in __call__(53)
  result = self.get_response(request)

/home/youser/.local/share/virtualenvs/news-site-columnist-8tsXn7bh/lib/python3.10/site-packages/sentry_sdk/integrations/django/middleware.py in __call__(177)
  return f(*args, **kwargs)

/home/youser/.local/share/virtualenvs/news-site-columnist-8tsXn7bh/lib/python3.10/site-packages/django_user_agents/middleware.py in __call__(14)
  return self.get_response(request)

/home/youser/.local/share/virtualenvs/news-site-columnist-8tsXn7bh/lib/python3.10/site-packages/sentry_sdk/integrations/django/middleware.py in __call__(177)
  return f(*args, **kwargs)

/home/youser/.local/share/virtualenvs/news-site-columnist-8tsXn7bh/lib/python3.10/site-packages/sentry_sdk/integrations/django/middleware.py in __call__(177)
  return f(*args, **kwargs)

/home/youser/.local/share/virtualenvs/news-site-columnist-8tsXn7bh/lib/python3.10/site-packages/sentry_sdk/integrations/django/middleware.py in __call__(177)
  return f(*args, **kwargs)

/home/youser/.local/share/virtualenvs/news-site-columnist-8tsXn7bh/lib/python3.10/site-packages/sentry_sdk/integrations/django/middleware.py in __call__(177)
  return f(*args, **kwargs)

/home/youser/.local/share/virtualenvs/news-site-columnist-8tsXn7bh/lib/python3.10/site-packages/sentry_sdk/integrations/django/middleware.py in __call__(177)
  return f(*args, **kwargs)

/home/youser/.local/share/virtualenvs/news-site-columnist-8tsXn7bh/lib/python3.10/site-packages/sentry_sdk/integrations/django/middleware.py in __call__(177)
  return f(*args, **kwargs)

/home/youser/.local/share/virtualenvs/news-site-columnist-8tsXn7bh/lib/python3.10/site-packages/sentry_sdk/integrations/django/middleware.py in __call__(177)
  return f(*args, **kwargs)

/home/youser/.local/share/virtualenvs/news-site-columnist-8tsXn7bh/lib/python3.10/site-packages/sentry_sdk/integrations/django/middleware.py in __call__(177)
  return f(*args, **kwargs)

/var/www/news-site-columnist/news/middleware/subdomain_middleare.py in __call__(22)
  response = self.get_response(request)

/home/youser/.local/share/virtualenvs/news-site-columnist-8tsXn7bh/lib/python3.10/site-packages/sentry_sdk/integrations/django/views.py in sentry_patched_render(41)
  return old_render(self)

/home/youser/.local/share/virtualenvs/news-site-columnist-8tsXn7bh/lib/python3.10/site-packages/django/template/response.py in render(114)
  self.content = self.rendered_content

/home/youser/.local/share/virtualenvs/news-site-columnist-8tsXn7bh/lib/python3.10/site-packages/sentry_sdk/utils.py in runner(1864)
  return sentry_patched_function(*args, **kwargs)

/home/youser/.local/share/virtualenvs/news-site-columnist-8tsXn7bh/lib/python3.10/site-packages/sentry_sdk/integrations/django/templates.py in rendered_content(77)
  return real_rendered_content.fget(self)

/home/youser/.local/share/virtualenvs/news-site-columnist-8tsXn7bh/lib/python3.10/site-packages/django/template/response.py in rendered_content(92)
  return template.render(context, self._request)

/home/youser/.local/share/virtualenvs/news-site-columnist-8tsXn7bh/lib/python3.10/site-packages/django/template/backends/django.py in render(61)
  return self.template.render(context)

/home/youser/.local/share/virtualenvs/news-site-columnist-8tsXn7bh/lib/python3.10/site-packages/template_timings_panel/panels/TemplateTimings.py in timing_hook(139)
  result = func(self, *args, **kwargs)

/home/youser/.local/share/virtualenvs/news-site-columnist-8tsXn7bh/lib/python3.10/site-packages/django/template/base.py in render(175)
  return self._render(context)

/home/youser/.local/share/virtualenvs/news-site-columnist-8tsXn7bh/lib/python3.10/site-packages/django/test/utils.py in instrumented_test_render(112)
  return self.nodelist.render(context)

/home/youser/.local/share/virtualenvs/news-site-columnist-8tsXn7bh/lib/python3.10/site-packages/django/template/base.py in render(1005)
  return SafeString("".join([node.render_annotated(context) for node in self]))

/home/youser/.local/share/virtualenvs/news-site-columnist-8tsXn7bh/lib/python3.10/site-packages/django/template/base.py in <listcomp>(1005)
  return SafeString("".join([node.render_annotated(context) for node in self]))

/home/youser/.local/share/virtualenvs/news-site-columnist-8tsXn7bh/lib/python3.10/site-packages/django/template/base.py in render_annotated(966)
  return self.render(context)

/home/youser/.local/share/virtualenvs/news-site-columnist-8tsXn7bh/lib/python3.10/site-packages/django/template/loader_tags.py in render(157)
  return compiled_parent._render(context)

/home/youser/.local/share/virtualenvs/news-site-columnist-8tsXn7bh/lib/python3.10/site-packages/django/test/utils.py in instrumented_test_render(112)
  return self.nodelist.render(context)

/home/youser/.local/share/virtualenvs/news-site-columnist-8tsXn7bh/lib/python3.10/site-packages/django/template/base.py in render(1005)
  return SafeString("".join([node.render_annotated(context) for node in self]))

/home/youser/.local/share/virtualenvs/news-site-columnist-8tsXn7bh/lib/python3.10/site-packages/django/template/base.py in <listcomp>(1005)
  return SafeString("".join([node.render_annotated(context) for node in self]))

/home/youser/.local/share/virtualenvs/news-site-columnist-8tsXn7bh/lib/python3.10/site-packages/django/template/base.py in render_annotated(966)
  return self.render(context)

/home/youser/.local/share/virtualenvs/news-site-columnist-8tsXn7bh/lib/python3.10/site-packages/template_timings_panel/panels/TemplateTimings.py in timing_hook(139)
  result = func(self, *args, **kwargs)

/home/youser/.local/share/virtualenvs/news-site-columnist-8tsXn7bh/lib/python3.10/site-packages/django/template/loader_tags.py in render(63)
  result = block.nodelist.render(context)

/home/youser/.local/share/virtualenvs/news-site-columnist-8tsXn7bh/lib/python3.10/site-packages/django/template/base.py in render(1005)
  return SafeString("".join([node.render_annotated(context) for node in self]))

/home/youser/.local/share/virtualenvs/news-site-columnist-8tsXn7bh/lib/python3.10/site-packages/django/template/base.py in <listcomp>(1005)
  return SafeString("".join([node.render_annotated(context) for node in self]))

/home/youser/.local/share/virtualenvs/news-site-columnist-8tsXn7bh/lib/python3.10/site-packages/django/template/base.py in render_annotated(966)
  return self.render(context)

/home/youser/.local/share/virtualenvs/news-site-columnist-8tsXn7bh/lib/python3.10/site-packages/template_timings_panel/panels/TemplateTimings.py in timing_hook(139)
  result = func(self, *args, **kwargs)

/home/youser/.local/share/virtualenvs/news-site-columnist-8tsXn7bh/lib/python3.10/site-packages/django/template/loader_tags.py in render(63)
  result = block.nodelist.render(context)

/home/youser/.local/share/virtualenvs/news-site-columnist-8tsXn7bh/lib/python3.10/site-packages/django/template/base.py in render(1005)
  return SafeString("".join([node.render_annotated(context) for node in self]))

/home/youser/.local/share/virtualenvs/news-site-columnist-8tsXn7bh/lib/python3.10/site-packages/django/template/base.py in <listcomp>(1005)
  return SafeString("".join([node.render_annotated(context) for node in self]))

/home/youser/.local/share/virtualenvs/news-site-columnist-8tsXn7bh/lib/python3.10/site-packages/django/template/base.py in render_annotated(966)
  return self.render(context)

/home/youser/.local/share/virtualenvs/news-site-columnist-8tsXn7bh/lib/python3.10/site-packages/django/template/loader_tags.py in render(208)
  return template.render(context)

/home/youser/.local/share/virtualenvs/news-site-columnist-8tsXn7bh/lib/python3.10/site-packages/template_timings_panel/panels/TemplateTimings.py in timing_hook(139)
  result = func(self, *args, **kwargs)

/home/youser/.local/share/virtualenvs/news-site-columnist-8tsXn7bh/lib/python3.10/site-packages/django/template/base.py in render(177)
  return self._render(context)

/home/youser/.local/share/virtualenvs/news-site-columnist-8tsXn7bh/lib/python3.10/site-packages/django/test/utils.py in instrumented_test_render(112)
  return self.nodelist.render(context)

/home/youser/.local/share/virtualenvs/news-site-columnist-8tsXn7bh/lib/python3.10/site-packages/django/template/base.py in render(1005)
  return SafeString("".join([node.render_annotated(context) for node in self]))

/home/youser/.local/share/virtualenvs/news-site-columnist-8tsXn7bh/lib/python3.10/site-packages/django/template/base.py in <listcomp>(1005)
  return SafeString("".join([node.render_annotated(context) for node in self]))

/home/youser/.local/share/virtualenvs/news-site-columnist-8tsXn7bh/lib/python3.10/site-packages/django/template/base.py in render_annotated(966)
  return self.render(context)

/home/youser/.local/share/virtualenvs/news-site-columnist-8tsXn7bh/lib/python3.10/site-packages/django/template/defaulttags.py in render(321)
  return nodelist.render(context)

/home/youser/.local/share/virtualenvs/news-site-columnist-8tsXn7bh/lib/python3.10/site-packages/django/template/base.py in render(1005)
  return SafeString("".join([node.render_annotated(context) for node in self]))

/home/youser/.local/share/virtualenvs/news-site-columnist-8tsXn7bh/lib/python3.10/site-packages/django/template/base.py in <listcomp>(1005)
  return SafeString("".join([node.render_annotated(context) for node in self]))

/home/youser/.local/share/virtualenvs/news-site-columnist-8tsXn7bh/lib/python3.10/site-packages/django/template/base.py in render_annotated(966)
  return self.render(context)

/home/youser/.local/share/virtualenvs/news-site-columnist-8tsXn7bh/lib/python3.10/site-packages/django/template/loader_tags.py in render(208)
  return template.render(context)

/home/youser/.local/share/virtualenvs/news-site-columnist-8tsXn7bh/lib/python3.10/site-packages/template_timings_panel/panels/TemplateTimings.py in timing_hook(139)
  result = func(self, *args, **kwargs)

/home/youser/.local/share/virtualenvs/news-site-columnist-8tsXn7bh/lib/python3.10/site-packages/django/template/base.py in render(177)
  return self._render(context)

/home/youser/.local/share/virtualenvs/news-site-columnist-8tsXn7bh/lib/python3.10/site-packages/django/test/utils.py in instrumented_test_render(112)
  return self.nodelist.render(context)

/home/youser/.local/share/virtualenvs/news-site-columnist-8tsXn7bh/lib/python3.10/site-packages/django/template/base.py in render(1005)
  return SafeString("".join([node.render_annotated(context) for node in self]))

/home/youser/.local/share/virtualenvs/news-site-columnist-8tsXn7bh/lib/python3.10/site-packages/django/template/base.py in <listcomp>(1005)
  return SafeString("".join([node.render_annotated(context) for node in self]))

/home/youser/.local/share/virtualenvs/news-site-columnist-8tsXn7bh/lib/python3.10/site-packages/django/template/base.py in render_annotated(966)
  return self.render(context)

/home/youser/.local/share/virtualenvs/news-site-columnist-8tsXn7bh/lib/python3.10/site-packages/django/template/defaulttags.py in render(321)
  return nodelist.render(context)

/home/youser/.local/share/virtualenvs/news-site-columnist-8tsXn7bh/lib/python3.10/site-packages/django/template/base.py in render(1005)
  return SafeString("".join([node.render_annotated(context) for node in self]))

/home/youser/.local/share/virtualenvs/news-site-columnist-8tsXn7bh/lib/python3.10/site-packages/django/template/base.py in <listcomp>(1005)
  return SafeString("".join([node.render_annotated(context) for node in self]))

/home/youser/.local/share/virtualenvs/news-site-columnist-8tsXn7bh/lib/python3.10/site-packages/django/template/base.py in render_annotated(966)
  return self.render(context)

/home/youser/.local/share/virtualenvs/news-site-columnist-8tsXn7bh/lib/python3.10/site-packages/django/template/defaulttags.py in render(321)
  return nodelist.render(context)

/home/youser/.local/share/virtualenvs/news-site-columnist-8tsXn7bh/lib/python3.10/site-packages/django/template/base.py in render(1005)
  return SafeString("".join([node.render_annotated(context) for node in self]))

/home/youser/.local/share/virtualenvs/news-site-columnist-8tsXn7bh/lib/python3.10/site-packages/django/template/base.py in <listcomp>(1005)
  return SafeString("".join([node.render_annotated(context) for node in self]))

/home/youser/.local/share/virtualenvs/news-site-columnist-8tsXn7bh/lib/python3.10/site-packages/django/template/base.py in render_annotated(966)
  return self.render(context)

/home/youser/.local/share/virtualenvs/news-site-columnist-8tsXn7bh/lib/python3.10/site-packages/template_timings_panel/panels/TemplateTimings.py in timing_hook(139)
  result = func(self, *args, **kwargs)

/home/youser/.local/share/virtualenvs/news-site-columnist-8tsXn7bh/lib/python3.10/site-packages/django/template/loader_tags.py in render(54)
  result = self.nodelist.render(context)

/home/youser/.local/share/virtualenvs/news-site-columnist-8tsXn7bh/lib/python3.10/site-packages/django/template/base.py in render(1005)
  return SafeString("".join([node.render_annotated(context) for node in self]))

/home/youser/.local/share/virtualenvs/news-site-columnist-8tsXn7bh/lib/python3.10/site-packages/django/template/base.py in <listcomp>(1005)
  return SafeString("".join([node.render_annotated(context) for node in self]))

/home/youser/.local/share/virtualenvs/news-site-columnist-8tsXn7bh/lib/python3.10/site-packages/django/template/base.py in render_annotated(966)
  return self.render(context)

/home/youser/.local/share/virtualenvs/news-site-columnist-8tsXn7bh/lib/python3.10/site-packages/django/template/library.py in render(237)
  output = self.func(*resolved_args, **resolved_kwargs)

/var/www/news-site-columnist/news/templatetags/component_tags.py in news_sidebar(216)
  return base_sidebar(

/var/www/news-site-columnist/news/templatetags/component_tags.py in base_sidebar(188)
  context_data = sidebar_object.render(filters, True, use_old_design) | {

/var/www/news-site-columnist/news/templatetags/component_tags.py in render(83)
  qs = self.get_queryset()

/var/www/news-site-columnist/news/templatetags/component_tags.py in get_queryset(67)
  .annotate_is_column_post()

/var/www/news-site-columnist/news/models/news.py in annotate_is_column_post(480)
  polymorphic_ctype=ContentType.objects.get(

SELECT MAX("__col1")
  FROM (
        SELECT DISTINCT "post"."created_at" AS "col1",
               "post"."seo_title" AS "col2",
               "post"."seo_title_uk" AS "col3",
               "post"."seo_title_en" AS "col4",
               "post"."seo_title_ru" AS "col5",
               "post"."seo_description" AS "col6",
               "post"."seo_description_uk" AS "col7",
               "post"."seo_description_en" AS "col8",
               "post"."seo_description_ru" AS "col9",
               "post"."seo_keywords" AS "col10",
               "post"."seo_keywords_uk" AS "col11",
               "post"."seo_keywords_en" AS "col12",
               "post"."seo_keywords_ru" AS "col13",
               "post"."seo_header_one" AS "col14",
               "post"."seo_header_one_uk" AS "col15",
               "post"."seo_header_one_en" AS "col16",
               "post"."seo_header_one_ru" AS "col17",
               "post"."created_by" AS "col18",
               "post"."updated_by" AS "col19",
               "post"."polymorphic_ctype_id" AS "col20",
               "post"."id" AS "col21",
               "post"."head" AS "col22",
               "post"."head_uk" AS "col23",
               "post"."head_en" AS "col24",
               "post"."head_ru" AS "col25",
               "post"."sub_head" AS "col26",
               "post"."sub_head_uk" AS "col27",
               "post"."sub_head_en" AS "col28",
               "post"."sub_head_ru" AS "col29",
               "post"."content" AS "col30",
               "post"."content_uk" AS "col31",
               "post"."content_en" AS "col32",
               "post"."content_ru" AS "col33",
               "post"."author_id" AS "col34",
               "post"."seo_tag_id" AS "col35",
               "post"."publish_at" AS "col36",
               "post"."translated_at" AS "col37",
               "post"."updated_at" AS "col38",
               "post"."show_updated_at" AS "col39",
               "post"."slug" AS "col40",
               "post"."slug_uk" AS "col41",
               "post"."slug_en" AS "col42",
               "post"."slug_ru" AS "col43",
               "post"."aplication_type" AS "col44",
               "post"."last_editor_id" AS "col45",
               "post"."status" AS "col46",
               "post"."show_at_homepage" AS "col47",
               "post"."show_at_news_feed" AS "col48",
               "post"."show_on_broadcast_page" AS "col49",
               "post"."is_category_top" AS "col50",
               "post"."is_homepage_top" AS "col51",
               "post"."is_homepage_top_uk" AS "col52",
               "post"."is_homepage_top_en" AS "col53",
               "post"."is_homepage_top_ru" AS "col54",
               "post"."id_sponsored" AS "col55",
               "post"."is_lightning" AS "col56",
               "post"."is_exclusive" AS "col57",
               "post"."is_photo_report" AS "col58",
               "post"."is_post" AS "col59",
               "post"."is_article" AS "col60",
               "post"."main_page_img_full_width" AS "col61",
               "post"."need_hires" AS "col62",
               "post"."has_photo" AS "col63",
               "post"."has_video" AS "col64",
               "post"."is_editors_choise" AS "col65",
               "post"."show_in_sidebar" AS "col66",
               "post"."category_id" AS "col67",
               "post"."old_category_id" AS "col68",
               "post"."past_region" AS "col69",
               "post"."year_of_war" AS "col70",
               "post"."breaking_news" AS "col71",
               "post"."without_img" AS "col72",
               "post"."show_stories_block" AS "col73",
               "post"."display_type" AS "col74",
               "post"."image" AS "col75",
               "post"."image_alt" AS "col76",
               "post"."image_alt_uk" AS "col77",
               "post"."image_alt_en" AS "col78",
               "post"."image_alt_ru" AS "col79",
               "post"."seo_image" AS "col80",
               "post"."text_under_image" AS "col81",
               "post"."text_under_image_uk" AS "col82",
               "post"."text_under_image_en" AS "col83",
               "post"."text_under_image_ru" AS "col84",
               "post"."image_source" AS "col85",
               "post"."image_source_uk" AS "col86",
               "post"."image_source_en" AS "col87",
               "post"."image_source_ru" AS "col88",
               "post"."theme_id" AS "col89",
               "post"."is_nofollow_disabled" AS "col90",
               "post"."audio_content_id" AS "col91",
               "post"."audio_content_uk_id" AS "col92",
               "post"."audio_content_en_id" AS "col93",
               "post"."audio_content_ru_id" AS "col94",
               "post"."views" AS "col95",
               "post"."views_uk" AS "col96",
               "post"."views_ru" AS "col97",
               "post"."views_analytics" AS "col98",
               "post"."views_analytics_ru" AS "col99",
               "post"."views_analytics_uk" AS "col100",
               "post"."views_analytics_at" AS "col101",
               "post"."busy_by_id" AS "col102",
               "post"."image_editor_id" AS "col103",
               "post"."release_editor_id" AS "col104",
               "post"."special_type" AS "col105",
               "post"."head_longer_than_100" AS "col106",
               "post"."uk_has_translation" AS "col107",
               "post"."ru_has_translation" AS "col108",
               "post"."en_has_translation" AS "col109",
               "post"."homepage_slider_text" AS "col110",
               "post"."homepage_slider_text_uk" AS "col111",
               "post"."homepage_slider_text_en" AS "col112",
               "post"."homepage_slider_text_ru" AS "col113",
               CASE WHEN "post"."polymorphic_ctype_id" = 60 THEN true
                    ELSE false
                     END AS "is_videopost",
               CASE WHEN "post"."polymorphic_ctype_id" = 60 THEN "news_videopost"."youtube_video_url"
                    ELSE NULL
                     END AS "youtube_video_url",
               CASE WHEN "post"."polymorphic_ctype_id" = 81 THEN true
                    ELSE false
                     END AS "is_column_post",
               "news_videopost"."is_icon_hidden" AS "is_icon_hidden",
               "post"."publish_at" AS "__col1"
          FROM "post"
          LEFT OUTER JOIN "news_videopost"
            ON ("post"."id" = "news_videopost"."post_ptr_id")
         WHERE ("post"."ru_has_translation" AND NOT ("post"."polymorphic_ctype_id" = 64 AND "post"."polymorphic_ctype_id" IS NOT NULL) AND "post"."publish_at" <= '2026-02-12T09:55:41.012004+00:00'::timestamptz AND "post"."status" = 2 AND "post"."show_in_sidebar" AND "post"."show_at_news_feed")
       ) subquery
SELECT MAX("__col1") FROM (SELECT DISTINCT "post"."created_at" AS "col1", "post"."seo_title" AS "col2", "post"."seo_title_uk" AS "col3", "post"."seo_title_en" AS "col4", "post"."seo_title_ru" AS "col5", "post"."seo_description" AS "col6", "post"."seo_description_uk" AS "col7", "post"."seo_description_en" AS "col8", "post"."seo_description_ru" AS "col9", "post"."seo_keywords" AS "col10", "post"."seo_keywords_uk" AS "col11", "post"."seo_keywords_en" AS "col12", "post"."seo_keywords_ru" AS "col13", "post"."seo_header_one" AS "col14", "post"."seo_header_one_uk" AS "col15", "post"."seo_header_one_en" AS "col16", "post"."seo_header_one_ru" AS "col17", "post"."created_by" AS "col18", "post"."updated_by" AS "col19", "post"."polymorphic_ctype_id" AS "col20", "post"."id" AS "col21", "post"."head" AS "col22", "post"."head_uk" AS "col23", "post"."head_en" AS "col24", "post"."head_ru" AS "col25", "post"."sub_head" AS "col26", "post"."sub_head_uk" AS "col27", "post"."sub_head_en" AS "col28", "post"."sub_head_ru" AS "col29", "post"."content" AS "col30", "post"."content_uk" AS "col31", "post"."content_en" AS "col32", "post"."content_ru" AS "col33", "post"."author_id" AS "col34", "post"."seo_tag_id" AS "col35", "post"."publish_at" AS "col36", "post"."translated_at" AS "col37", "post"."updated_at" AS "col38", "post"."show_updated_at" AS "col39", "post"."slug" AS "col40", "post"."slug_uk" AS "col41", "post"."slug_en" AS "col42", "post"."slug_ru" AS "col43", "post"."aplication_type" AS "col44", "post"."last_editor_id" AS "col45", "post"."status" AS "col46", "post"."show_at_homepage" AS "col47", "post"."show_at_news_feed" AS "col48", "post"."show_on_broadcast_page" AS "col49", "post"."is_category_top" AS "col50", "post"."is_homepage_top" AS "col51", "post"."is_homepage_top_uk" AS "col52", "post"."is_homepage_top_en" AS "col53", "post"."is_homepage_top_ru" AS "col54", "post"."id_sponsored" AS "col55", "post"."is_lightning" AS "col56", "post"."is_exclusive" AS "col57", "post"."is_photo_report" AS "col58", "post"."is_post" AS "col59", "post"."is_article" AS "col60", "post"."main_page_img_full_width" AS "col61", "post"."need_hires" AS "col62", "post"."has_photo" AS "col63", "post"."has_video" AS "col64", "post"."is_editors_choise" AS "col65", "post"."show_in_sidebar" AS "col66", "post"."category_id" AS "col67", "post"."old_category_id" AS "col68", "post"."past_region" AS "col69", "post"."year_of_war" AS "col70", "post"."breaking_news" AS "col71", "post"."without_img" AS "col72", "post"."show_stories_block" AS "col73", "post"."display_type" AS "col74", "post"."image" AS "col75", "post"."image_alt" AS "col76", "post"."image_alt_uk" AS "col77", "post"."image_alt_en" AS "col78", "post"."image_alt_ru" AS "col79", "post"."seo_image" AS "col80", "post"."text_under_image" AS "col81", "post"."text_under_image_uk" AS "col82", "post"."text_under_image_en" AS "col83", "post"."text_under_image_ru" AS "col84", "post"."image_source" AS "col85", "post"."image_source_uk" AS "col86", "post"."image_source_en" AS "col87", "post"."image_source_ru" AS "col88", "post"."theme_id" AS "col89", "post"."is_nofollow_disabled" AS "col90", "post"."audio_content_id" AS "col91", "post"."audio_content_uk_id" AS "col92", "post"."audio_content_en_id" AS "col93", "post"."audio_content_ru_id" AS "col94", "post"."views" AS "col95", "post"."views_uk" AS "col96", "post"."views_ru" AS "col97", "post"."views_analytics" AS "col98", "post"."views_analytics_ru" AS "col99", "post"."views_analytics_uk" AS "col100", "post"."views_analytics_at" AS "col101", "post"."busy_by_id" AS "col102", "post"."image_editor_id" AS "col103", "post"."release_editor_id" AS "col104", "post"."special_type" AS "col105", "post"."head_longer_than_100" AS "col106", "post"."uk_has_translation" AS "col107", "post"."ru_has_translation" AS "col108", "post"."en_has_translation" AS "col109", "post"."homepage_slider_text" AS "col110", "post"."homepage_slider_text_uk" AS "col111", "post"."homepage_slider_text_en" AS "col112", "post"."homepage_slider_text_ru" AS "col113", CASE WHEN "post"."polymorphic_ctype_id" = 60 THEN true ELSE false END AS "is_videopost", CASE WHEN "post"."polymorphic_ctype_id" = 60 THEN "news_videopost"."youtube_video_url" ELSE NULL END AS "youtube_video_url", CASE WHEN "post"."polymorphic_ctype_id" = 81 THEN true ELSE false END AS "is_column_post", "news_videopost"."is_icon_hidden" AS "is_icon_hidden", "post"."publish_at" AS "__col1" FROM "post" LEFT OUTER JOIN "news_videopost" ON ("post"."id" = "news_videopost"."post_ptr_id") WHERE ("post"."ru_has_translation" AND NOT ("post"."polymorphic_ctype_id" = 64 AND "post"."polymorphic_ctype_id" IS NOT NULL) AND "post"."publish_at" <= '2026-02-12T09:55:41.012004+00:00'::timestamptz AND "post"."status" = 2 AND "post"."show_in_sidebar" AND "post"."show_at_news_feed")) subquery
2527,68

Соединение: default

Статус транзакции: Ожидание

/home/youser/.local/share/virtualenvs/news-site-columnist-8tsXn7bh/bin/gunicorn in <module>(8)
  sys.exit(run())

/home/youser/.local/share/virtualenvs/news-site-columnist-8tsXn7bh/lib/python3.10/site-packages/gunicorn/app/wsgiapp.py in run(66)
  WSGIApplication("%(prog)s [OPTIONS] [APP_MODULE]", prog=prog).run()

/home/youser/.local/share/virtualenvs/news-site-columnist-8tsXn7bh/lib/python3.10/site-packages/gunicorn/app/base.py in run(235)
  super().run()

/home/youser/.local/share/virtualenvs/news-site-columnist-8tsXn7bh/lib/python3.10/site-packages/gunicorn/app/base.py in run(71)
  Arbiter(self).run()

/home/youser/.local/share/virtualenvs/news-site-columnist-8tsXn7bh/lib/python3.10/site-packages/gunicorn/arbiter.py in run(210)
  self.manage_workers()

/home/youser/.local/share/virtualenvs/news-site-columnist-8tsXn7bh/lib/python3.10/site-packages/gunicorn/arbiter.py in manage_workers(570)
  self.spawn_workers()

/home/youser/.local/share/virtualenvs/news-site-columnist-8tsXn7bh/lib/python3.10/site-packages/gunicorn/arbiter.py in spawn_workers(641)
  self.spawn_worker()

/home/youser/.local/share/virtualenvs/news-site-columnist-8tsXn7bh/lib/python3.10/site-packages/gunicorn/arbiter.py in spawn_worker(608)
  worker.init_process()

/home/youser/.local/share/virtualenvs/news-site-columnist-8tsXn7bh/lib/python3.10/site-packages/gunicorn/workers/base.py in init_process(143)
  self.run()

/home/youser/.local/share/virtualenvs/news-site-columnist-8tsXn7bh/lib/python3.10/site-packages/gunicorn/workers/sync.py in run(125)
  self.run_for_one(timeout)

/home/youser/.local/share/virtualenvs/news-site-columnist-8tsXn7bh/lib/python3.10/site-packages/gunicorn/workers/sync.py in run_for_one(69)
  self.accept(listener)

/home/youser/.local/share/virtualenvs/news-site-columnist-8tsXn7bh/lib/python3.10/site-packages/gunicorn/workers/sync.py in accept(31)
  self.handle(listener, client, addr)

/home/youser/.local/share/virtualenvs/news-site-columnist-8tsXn7bh/lib/python3.10/site-packages/gunicorn/workers/sync.py in handle(134)
  self.handle_request(listener, req, client, addr)

/home/youser/.local/share/virtualenvs/news-site-columnist-8tsXn7bh/lib/python3.10/site-packages/gunicorn/workers/sync.py in handle_request(177)
  respiter = self.wsgi(environ, resp.start_response)

/home/youser/.local/share/virtualenvs/news-site-columnist-8tsXn7bh/lib/python3.10/site-packages/sentry_sdk/utils.py in runner(1864)
  return sentry_patched_function(*args, **kwargs)

/home/youser/.local/share/virtualenvs/news-site-columnist-8tsXn7bh/lib/python3.10/site-packages/sentry_sdk/integrations/django/__init__.py in sentry_patched_wsgi_handler(191)
  return middleware(environ, start_response)

/home/youser/.local/share/virtualenvs/news-site-columnist-8tsXn7bh/lib/python3.10/site-packages/sentry_sdk/integrations/wsgi.py in __call__(132)
  response = self.app(

/home/youser/.local/share/virtualenvs/news-site-columnist-8tsXn7bh/lib/python3.10/site-packages/sentry_sdk/integrations/django/__init__.py in sentry_patched_get_response(478)
  rv = old_get_response(self, request)

/home/youser/.local/share/virtualenvs/news-site-columnist-8tsXn7bh/lib/python3.10/site-packages/sentry_sdk/integrations/django/middleware.py in __call__(177)
  return f(*args, **kwargs)

/home/youser/.local/share/virtualenvs/news-site-columnist-8tsXn7bh/lib/python3.10/site-packages/sentry_sdk/integrations/django/middleware.py in __call__(177)
  return f(*args, **kwargs)

/var/www/news-site-columnist/redirects/middleware/redirect_middleware.py in __call__(17)
  return self.get_response(request)

/home/youser/.local/share/virtualenvs/news-site-columnist-8tsXn7bh/lib/python3.10/site-packages/sentry_sdk/integrations/django/middleware.py in __call__(177)
  return f(*args, **kwargs)

/home/youser/.local/share/virtualenvs/news-site-columnist-8tsXn7bh/lib/python3.10/site-packages/sentry_sdk/integrations/django/middleware.py in __call__(177)
  return f(*args, **kwargs)

/home/youser/.local/share/virtualenvs/news-site-columnist-8tsXn7bh/lib/python3.10/site-packages/sentry_sdk/integrations/django/middleware.py in __call__(177)
  return f(*args, **kwargs)

/home/youser/.local/share/virtualenvs/news-site-columnist-8tsXn7bh/lib/python3.10/site-packages/sentry_sdk/integrations/django/middleware.py in __call__(177)
  return f(*args, **kwargs)

/home/youser/.local/share/virtualenvs/news-site-columnist-8tsXn7bh/lib/python3.10/site-packages/corsheaders/middleware.py in __call__(53)
  result = self.get_response(request)

/home/youser/.local/share/virtualenvs/news-site-columnist-8tsXn7bh/lib/python3.10/site-packages/sentry_sdk/integrations/django/middleware.py in __call__(177)
  return f(*args, **kwargs)

/home/youser/.local/share/virtualenvs/news-site-columnist-8tsXn7bh/lib/python3.10/site-packages/django_user_agents/middleware.py in __call__(14)
  return self.get_response(request)

/home/youser/.local/share/virtualenvs/news-site-columnist-8tsXn7bh/lib/python3.10/site-packages/sentry_sdk/integrations/django/middleware.py in __call__(177)
  return f(*args, **kwargs)

/home/youser/.local/share/virtualenvs/news-site-columnist-8tsXn7bh/lib/python3.10/site-packages/sentry_sdk/integrations/django/middleware.py in __call__(177)
  return f(*args, **kwargs)

/home/youser/.local/share/virtualenvs/news-site-columnist-8tsXn7bh/lib/python3.10/site-packages/sentry_sdk/integrations/django/middleware.py in __call__(177)
  return f(*args, **kwargs)

/home/youser/.local/share/virtualenvs/news-site-columnist-8tsXn7bh/lib/python3.10/site-packages/sentry_sdk/integrations/django/middleware.py in __call__(177)
  return f(*args, **kwargs)

/home/youser/.local/share/virtualenvs/news-site-columnist-8tsXn7bh/lib/python3.10/site-packages/sentry_sdk/integrations/django/middleware.py in __call__(177)
  return f(*args, **kwargs)

/home/youser/.local/share/virtualenvs/news-site-columnist-8tsXn7bh/lib/python3.10/site-packages/sentry_sdk/integrations/django/middleware.py in __call__(177)
  return f(*args, **kwargs)

/home/youser/.local/share/virtualenvs/news-site-columnist-8tsXn7bh/lib/python3.10/site-packages/sentry_sdk/integrations/django/middleware.py in __call__(177)
  return f(*args, **kwargs)

/home/youser/.local/share/virtualenvs/news-site-columnist-8tsXn7bh/lib/python3.10/site-packages/sentry_sdk/integrations/django/middleware.py in __call__(177)
  return f(*args, **kwargs)

/var/www/news-site-columnist/news/middleware/subdomain_middleare.py in __call__(22)
  response = self.get_response(request)

/home/youser/.local/share/virtualenvs/news-site-columnist-8tsXn7bh/lib/python3.10/site-packages/sentry_sdk/integrations/django/views.py in sentry_patched_render(41)
  return old_render(self)

/home/youser/.local/share/virtualenvs/news-site-columnist-8tsXn7bh/lib/python3.10/site-packages/django/template/response.py in render(114)
  self.content = self.rendered_content

/home/youser/.local/share/virtualenvs/news-site-columnist-8tsXn7bh/lib/python3.10/site-packages/sentry_sdk/utils.py in runner(1864)
  return sentry_patched_function(*args, **kwargs)

/home/youser/.local/share/virtualenvs/news-site-columnist-8tsXn7bh/lib/python3.10/site-packages/sentry_sdk/integrations/django/templates.py in rendered_content(77)
  return real_rendered_content.fget(self)

/home/youser/.local/share/virtualenvs/news-site-columnist-8tsXn7bh/lib/python3.10/site-packages/django/template/response.py in rendered_content(92)
  return template.render(context, self._request)

/home/youser/.local/share/virtualenvs/news-site-columnist-8tsXn7bh/lib/python3.10/site-packages/django/template/backends/django.py in render(61)
  return self.template.render(context)

/home/youser/.local/share/virtualenvs/news-site-columnist-8tsXn7bh/lib/python3.10/site-packages/template_timings_panel/panels/TemplateTimings.py in timing_hook(139)
  result = func(self, *args, **kwargs)

/home/youser/.local/share/virtualenvs/news-site-columnist-8tsXn7bh/lib/python3.10/site-packages/django/template/base.py in render(175)
  return self._render(context)

/home/youser/.local/share/virtualenvs/news-site-columnist-8tsXn7bh/lib/python3.10/site-packages/django/test/utils.py in instrumented_test_render(112)
  return self.nodelist.render(context)

/home/youser/.local/share/virtualenvs/news-site-columnist-8tsXn7bh/lib/python3.10/site-packages/django/template/base.py in render(1005)
  return SafeString("".join([node.render_annotated(context) for node in self]))

/home/youser/.local/share/virtualenvs/news-site-columnist-8tsXn7bh/lib/python3.10/site-packages/django/template/base.py in <listcomp>(1005)
  return SafeString("".join([node.render_annotated(context) for node in self]))

/home/youser/.local/share/virtualenvs/news-site-columnist-8tsXn7bh/lib/python3.10/site-packages/django/template/base.py in render_annotated(966)
  return self.render(context)

/home/youser/.local/share/virtualenvs/news-site-columnist-8tsXn7bh/lib/python3.10/site-packages/django/template/loader_tags.py in render(157)
  return compiled_parent._render(context)

/home/youser/.local/share/virtualenvs/news-site-columnist-8tsXn7bh/lib/python3.10/site-packages/django/test/utils.py in instrumented_test_render(112)
  return self.nodelist.render(context)

/home/youser/.local/share/virtualenvs/news-site-columnist-8tsXn7bh/lib/python3.10/site-packages/django/template/base.py in render(1005)
  return SafeString("".join([node.render_annotated(context) for node in self]))

/home/youser/.local/share/virtualenvs/news-site-columnist-8tsXn7bh/lib/python3.10/site-packages/django/template/base.py in <listcomp>(1005)
  return SafeString("".join([node.render_annotated(context) for node in self]))

/home/youser/.local/share/virtualenvs/news-site-columnist-8tsXn7bh/lib/python3.10/site-packages/django/template/base.py in render_annotated(966)
  return self.render(context)

/home/youser/.local/share/virtualenvs/news-site-columnist-8tsXn7bh/lib/python3.10/site-packages/template_timings_panel/panels/TemplateTimings.py in timing_hook(139)
  result = func(self, *args, **kwargs)

/home/youser/.local/share/virtualenvs/news-site-columnist-8tsXn7bh/lib/python3.10/site-packages/django/template/loader_tags.py in render(63)
  result = block.nodelist.render(context)

/home/youser/.local/share/virtualenvs/news-site-columnist-8tsXn7bh/lib/python3.10/site-packages/django/template/base.py in render(1005)
  return SafeString("".join([node.render_annotated(context) for node in self]))

/home/youser/.local/share/virtualenvs/news-site-columnist-8tsXn7bh/lib/python3.10/site-packages/django/template/base.py in <listcomp>(1005)
  return SafeString("".join([node.render_annotated(context) for node in self]))

/home/youser/.local/share/virtualenvs/news-site-columnist-8tsXn7bh/lib/python3.10/site-packages/django/template/base.py in render_annotated(966)
  return self.render(context)

/home/youser/.local/share/virtualenvs/news-site-columnist-8tsXn7bh/lib/python3.10/site-packages/template_timings_panel/panels/TemplateTimings.py in timing_hook(139)
  result = func(self, *args, **kwargs)

/home/youser/.local/share/virtualenvs/news-site-columnist-8tsXn7bh/lib/python3.10/site-packages/django/template/loader_tags.py in render(63)
  result = block.nodelist.render(context)

/home/youser/.local/share/virtualenvs/news-site-columnist-8tsXn7bh/lib/python3.10/site-packages/django/template/base.py in render(1005)
  return SafeString("".join([node.render_annotated(context) for node in self]))

/home/youser/.local/share/virtualenvs/news-site-columnist-8tsXn7bh/lib/python3.10/site-packages/django/template/base.py in <listcomp>(1005)
  return SafeString("".join([node.render_annotated(context) for node in self]))

/home/youser/.local/share/virtualenvs/news-site-columnist-8tsXn7bh/lib/python3.10/site-packages/django/template/base.py in render_annotated(966)
  return self.render(context)

/home/youser/.local/share/virtualenvs/news-site-columnist-8tsXn7bh/lib/python3.10/site-packages/django/template/loader_tags.py in render(208)
  return template.render(context)

/home/youser/.local/share/virtualenvs/news-site-columnist-8tsXn7bh/lib/python3.10/site-packages/template_timings_panel/panels/TemplateTimings.py in timing_hook(139)
  result = func(self, *args, **kwargs)

/home/youser/.local/share/virtualenvs/news-site-columnist-8tsXn7bh/lib/python3.10/site-packages/django/template/base.py in render(177)
  return self._render(context)

/home/youser/.local/share/virtualenvs/news-site-columnist-8tsXn7bh/lib/python3.10/site-packages/django/test/utils.py in instrumented_test_render(112)
  return self.nodelist.render(context)

/home/youser/.local/share/virtualenvs/news-site-columnist-8tsXn7bh/lib/python3.10/site-packages/django/template/base.py in render(1005)
  return SafeString("".join([node.render_annotated(context) for node in self]))

/home/youser/.local/share/virtualenvs/news-site-columnist-8tsXn7bh/lib/python3.10/site-packages/django/template/base.py in <listcomp>(1005)
  return SafeString("".join([node.render_annotated(context) for node in self]))

/home/youser/.local/share/virtualenvs/news-site-columnist-8tsXn7bh/lib/python3.10/site-packages/django/template/base.py in render_annotated(966)
  return self.render(context)

/home/youser/.local/share/virtualenvs/news-site-columnist-8tsXn7bh/lib/python3.10/site-packages/django/template/defaulttags.py in render(321)
  return nodelist.render(context)

/home/youser/.local/share/virtualenvs/news-site-columnist-8tsXn7bh/lib/python3.10/site-packages/django/template/base.py in render(1005)
  return SafeString("".join([node.render_annotated(context) for node in self]))

/home/youser/.local/share/virtualenvs/news-site-columnist-8tsXn7bh/lib/python3.10/site-packages/django/template/base.py in <listcomp>(1005)
  return SafeString("".join([node.render_annotated(context) for node in self]))

/home/youser/.local/share/virtualenvs/news-site-columnist-8tsXn7bh/lib/python3.10/site-packages/django/template/base.py in render_annotated(966)
  return self.render(context)

/home/youser/.local/share/virtualenvs/news-site-columnist-8tsXn7bh/lib/python3.10/site-packages/django/template/loader_tags.py in render(208)
  return template.render(context)

/home/youser/.local/share/virtualenvs/news-site-columnist-8tsXn7bh/lib/python3.10/site-packages/template_timings_panel/panels/TemplateTimings.py in timing_hook(139)
  result = func(self, *args, **kwargs)

/home/youser/.local/share/virtualenvs/news-site-columnist-8tsXn7bh/lib/python3.10/site-packages/django/template/base.py in render(177)
  return self._render(context)

/home/youser/.local/share/virtualenvs/news-site-columnist-8tsXn7bh/lib/python3.10/site-packages/django/test/utils.py in instrumented_test_render(112)
  return self.nodelist.render(context)

/home/youser/.local/share/virtualenvs/news-site-columnist-8tsXn7bh/lib/python3.10/site-packages/django/template/base.py in render(1005)
  return SafeString("".join([node.render_annotated(context) for node in self]))

/home/youser/.local/share/virtualenvs/news-site-columnist-8tsXn7bh/lib/python3.10/site-packages/django/template/base.py in <listcomp>(1005)
  return SafeString("".join([node.render_annotated(context) for node in self]))

/home/youser/.local/share/virtualenvs/news-site-columnist-8tsXn7bh/lib/python3.10/site-packages/django/template/base.py in render_annotated(966)
  return self.render(context)

/home/youser/.local/share/virtualenvs/news-site-columnist-8tsXn7bh/lib/python3.10/site-packages/django/template/defaulttags.py in render(321)
  return nodelist.render(context)

/home/youser/.local/share/virtualenvs/news-site-columnist-8tsXn7bh/lib/python3.10/site-packages/django/template/base.py in render(1005)
  return SafeString("".join([node.render_annotated(context) for node in self]))

/home/youser/.local/share/virtualenvs/news-site-columnist-8tsXn7bh/lib/python3.10/site-packages/django/template/base.py in <listcomp>(1005)
  return SafeString("".join([node.render_annotated(context) for node in self]))

/home/youser/.local/share/virtualenvs/news-site-columnist-8tsXn7bh/lib/python3.10/site-packages/django/template/base.py in render_annotated(966)
  return self.render(context)

/home/youser/.local/share/virtualenvs/news-site-columnist-8tsXn7bh/lib/python3.10/site-packages/django/template/defaulttags.py in render(321)
  return nodelist.render(context)

/home/youser/.local/share/virtualenvs/news-site-columnist-8tsXn7bh/lib/python3.10/site-packages/django/template/base.py in render(1005)
  return SafeString("".join([node.render_annotated(context) for node in self]))

/home/youser/.local/share/virtualenvs/news-site-columnist-8tsXn7bh/lib/python3.10/site-packages/django/template/base.py in <listcomp>(1005)
  return SafeString("".join([node.render_annotated(context) for node in self]))

/home/youser/.local/share/virtualenvs/news-site-columnist-8tsXn7bh/lib/python3.10/site-packages/django/template/base.py in render_annotated(966)
  return self.render(context)

/home/youser/.local/share/virtualenvs/news-site-columnist-8tsXn7bh/lib/python3.10/site-packages/template_timings_panel/panels/TemplateTimings.py in timing_hook(139)
  result = func(self, *args, **kwargs)

/home/youser/.local/share/virtualenvs/news-site-columnist-8tsXn7bh/lib/python3.10/site-packages/django/template/loader_tags.py in render(54)
  result = self.nodelist.render(context)

/home/youser/.local/share/virtualenvs/news-site-columnist-8tsXn7bh/lib/python3.10/site-packages/django/template/base.py in render(1005)
  return SafeString("".join([node.render_annotated(context) for node in self]))

/home/youser/.local/share/virtualenvs/news-site-columnist-8tsXn7bh/lib/python3.10/site-packages/django/template/base.py in <listcomp>(1005)
  return SafeString("".join([node.render_annotated(context) for node in self]))

/home/youser/.local/share/virtualenvs/news-site-columnist-8tsXn7bh/lib/python3.10/site-packages/django/template/base.py in render_annotated(966)
  return self.render(context)

/home/youser/.local/share/virtualenvs/news-site-columnist-8tsXn7bh/lib/python3.10/site-packages/django/template/library.py in render(237)
  output = self.func(*resolved_args, **resolved_kwargs)

/var/www/news-site-columnist/news/templatetags/component_tags.py in news_sidebar(216)
  return base_sidebar(

/var/www/news-site-columnist/news/templatetags/component_tags.py in base_sidebar(188)
  context_data = sidebar_object.render(filters, True, use_old_design) | {

/var/www/news-site-columnist/news/templatetags/component_tags.py in render(95)
  ordered_qs = ordered_qs.by_last_n_days(50)

/var/www/news-site-columnist/news/models/news.py in by_last_n_days(443)
  latest_publish_at = self.aggregate(latest_publish_at=Max('publish_at'))['latest_publish_at']

/home/youser/.local/share/virtualenvs/news-site-columnist-8tsXn7bh/lib/python3.10/site-packages/polymorphic/query.py in aggregate(301)
  return super(PolymorphicQuerySet, qs).aggregate(*args, **kwargs)

SELECT DISTINCT "post"."created_at",
       "post"."seo_title",
       "post"."seo_title_uk",
       "post"."seo_title_en",
       "post"."seo_title_ru",
       "post"."seo_description",
       "post"."seo_description_uk",
       "post"."seo_description_en",
       "post"."seo_description_ru",
       "post"."seo_keywords",
       "post"."seo_keywords_uk",
       "post"."seo_keywords_en",
       "post"."seo_keywords_ru",
       "post"."seo_header_one",
       "post"."seo_header_one_uk",
       "post"."seo_header_one_en",
       "post"."seo_header_one_ru",
       "post"."created_by",
       "post"."updated_by",
       "post"."polymorphic_ctype_id",
       "post"."id",
       "post"."head",
       "post"."head_uk",
       "post"."head_en",
       "post"."head_ru",
       "post"."sub_head",
       "post"."sub_head_uk",
       "post"."sub_head_en",
       "post"."sub_head_ru",
       "post"."content",
       "post"."content_uk",
       "post"."content_en",
       "post"."content_ru",
       "post"."author_id",
       "post"."seo_tag_id",
       "post"."publish_at",
       "post"."translated_at",
       "post"."updated_at",
       "post"."show_updated_at",
       "post"."slug",
       "post"."slug_uk",
       "post"."slug_en",
       "post"."slug_ru",
       "post"."aplication_type",
       "post"."last_editor_id",
       "post"."status",
       "post"."show_at_homepage",
       "post"."show_at_news_feed",
       "post"."show_on_broadcast_page",
       "post"."is_category_top",
       "post"."is_homepage_top",
       "post"."is_homepage_top_uk",
       "post"."is_homepage_top_en",
       "post"."is_homepage_top_ru",
       "post"."id_sponsored",
       "post"."is_lightning",
       "post"."is_exclusive",
       "post"."is_photo_report",
       "post"."is_post",
       "post"."is_article",
       "post"."main_page_img_full_width",
       "post"."need_hires",
       "post"."has_photo",
       "post"."has_video",
       "post"."is_editors_choise",
       "post"."show_in_sidebar",
       "post"."category_id",
       "post"."old_category_id",
       "post"."past_region",
       "post"."year_of_war",
       "post"."breaking_news",
       "post"."without_img",
       "post"."show_stories_block",
       "post"."display_type",
       "post"."image",
       "post"."image_alt",
       "post"."image_alt_uk",
       "post"."image_alt_en",
       "post"."image_alt_ru",
       "post"."seo_image",
       "post"."text_under_image",
       "post"."text_under_image_uk",
       "post"."text_under_image_en",
       "post"."text_under_image_ru",
       "post"."image_source",
       "post"."image_source_uk",
       "post"."image_source_en",
       "post"."image_source_ru",
       "post"."theme_id",
       "post"."is_nofollow_disabled",
       "post"."audio_content_id",
       "post"."audio_content_uk_id",
       "post"."audio_content_en_id",
       "post"."audio_content_ru_id",
       "post"."views",
       "post"."views_uk",
       "post"."views_ru",
       "post"."views_analytics",
       "post"."views_analytics_ru",
       "post"."views_analytics_uk",
       "post"."views_analytics_at",
       "post"."busy_by_id",
       "post"."image_editor_id",
       "post"."release_editor_id",
       "post"."special_type",
       "post"."head_longer_than_100",
       "post"."uk_has_translation",
       "post"."ru_has_translation",
       "post"."en_has_translation",
       "post"."homepage_slider_text",
       "post"."homepage_slider_text_uk",
       "post"."homepage_slider_text_en",
       "post"."homepage_slider_text_ru",
       CASE WHEN "post"."polymorphic_ctype_id" = 60 THEN true
            ELSE false
             END AS "is_videopost",
       CASE WHEN "post"."polymorphic_ctype_id" = 60 THEN "news_videopost"."youtube_video_url"
            ELSE NULL
             END AS "youtube_video_url",
       CASE WHEN "post"."polymorphic_ctype_id" = 81 THEN true
            ELSE false
             END AS "is_column_post",
       "news_videopost"."is_icon_hidden" AS "is_icon_hidden",
       "category"."id",
       "category"."created_at",
       "category"."updated_at",
       "category"."seo_title",
       "category"."seo_title_uk",
       "category"."seo_title_en",
       "category"."seo_title_ru",
       "category"."seo_description",
       "category"."seo_description_uk",
       "category"."seo_description_en",
       "category"."seo_description_ru",
       "category"."seo_keywords",
       "category"."seo_keywords_uk",
       "category"."seo_keywords_en",
       "category"."seo_keywords_ru",
       "category"."seo_header_one",
       "category"."seo_header_one_uk",
       "category"."seo_header_one_en",
       "category"."seo_header_one_ru",
       "category"."seo_news_title",
       "category"."seo_news_title_uk",
       "category"."seo_news_title_en",
       "category"."seo_news_title_ru",
       "category"."seo_news_description",
       "category"."seo_news_description_uk",
       "category"."seo_news_description_en",
       "category"."seo_news_description_ru",
       "category"."subdomain",
       "category"."parent_id",
       "category"."image",
       "category"."is_active",
       "category"."is_rss_active",
       "category"."is_interesting",
       "category"."ticker_rss_active",
       "category"."show_home",
       "category"."show_home_en",
       "category"."show_video",
       "category"."show_menu",
       "category"."show_menu_uk",
       "category"."show_menu_en",
       "category"."show_menu_ru",
       "category"."show_footer",
       "category"."show_menu_in_en",
       "category"."show_footer_in_en",
       "category"."show_in_search",
       "category"."show_in_header",
       "category"."show_in_header_uk",
       "category"."show_in_header_en",
       "category"."show_in_header_ru",
       "category"."seo_tag_id",
       "category"."sort_weight",
       "category"."sort_weight_en",
       "category"."header_sort_weight",
       "category"."header_sort_weight_uk",
       "category"."header_sort_weight_en",
       "category"."header_sort_weight_ru",
       "category"."footer_sort_weight",
       "category"."menu_sort_weight",
       "category"."name",
       "category"."name_uk",
       "category"."name_en",
       "category"."name_ru",
       "category"."slug",
       "category"."description",
       "category"."description_uk",
       "category"."description_en",
       "category"."description_ru",
       "category"."fb_link",
       "category"."tg_link",
       "category"."show_banner",
       "category"."uk_has_translation",
       "category"."ru_has_translation",
       "category"."en_has_translation",
       "category"."has_infinite_scroll",
       "category"."_show_home_without_subdomain",
       "category"."_show_home_without_subdomain_en",
       "category"."background_id",
       "category"."use_old_design",
       "category"."use_old_design_for_posts",
       "category"."is_context_category",
       "category"."show_stories_on_main",
       "category"."show_posts_table_of_contents",
       "category"."svg_icon",
       T5."id",
       T5."created_at",
       T5."updated_at",
       T5."seo_title",
       T5."seo_title_uk",
       T5."seo_title_en",
       T5."seo_title_ru",
       T5."seo_description",
       T5."seo_description_uk",
       T5."seo_description_en",
       T5."seo_description_ru",
       T5."seo_keywords",
       T5."seo_keywords_uk",
       T5."seo_keywords_en",
       T5."seo_keywords_ru",
       T5."seo_header_one",
       T5."seo_header_one_uk",
       T5."seo_header_one_en",
       T5."seo_header_one_ru",
       T5."seo_news_title",
       T5."seo_news_title_uk",
       T5."seo_news_title_en",
       T5."seo_news_title_ru",
       T5."seo_news_description",
       T5."seo_news_description_uk",
       T5."seo_news_description_en",
       T5."seo_news_description_ru",
       T5."subdomain",
       T5."parent_id",
       T5."image",
       T5."is_active",
       T5."is_rss_active",
       T5."is_interesting",
       T5."ticker_rss_active",
       T5."show_home",
       T5."show_home_en",
       T5."show_video",
       T5."show_menu",
       T5."show_menu_uk",
       T5."show_menu_en",
       T5."show_menu_ru",
       T5."show_footer",
       T5."show_menu_in_en",
       T5."show_footer_in_en",
       T5."show_in_search",
       T5."show_in_header",
       T5."show_in_header_uk",
       T5."show_in_header_en",
       T5."show_in_header_ru",
       T5."seo_tag_id",
       T5."sort_weight",
       T5."sort_weight_en",
       T5."header_sort_weight",
       T5."header_sort_weight_uk",
       T5."header_sort_weight_en",
       T5."header_sort_weight_ru",
       T5."footer_sort_weight",
       T5."menu_sort_weight",
       T5."name",
       T5."name_uk",
       T5."name_en",
       T5."name_ru",
       T5."slug",
       T5."description",
       T5."description_uk",
       T5."description_en",
       T5."description_ru",
       T5."fb_link",
       T5."tg_link",
       T5."show_banner",
       T5."uk_has_translation",
       T5."ru_has_translation",
       T5."en_has_translation",
       T5."has_infinite_scroll",
       T5."_show_home_without_subdomain",
       T5."_show_home_without_subdomain_en",
       T5."background_id",
       T5."use_old_design",
       T5."use_old_design_for_posts",
       T5."is_context_category",
       T5."show_stories_on_main",
       T5."show_posts_table_of_contents",
       T5."svg_icon"
  FROM "post"
  LEFT OUTER JOIN "news_videopost"
    ON ("post"."id" = "news_videopost"."post_ptr_id")
  LEFT OUTER JOIN "category"
    ON ("post"."category_id" = "category"."id")
  LEFT OUTER JOIN "category" T5
    ON ("category"."parent_id" = T5."id")
 WHERE ("post"."ru_has_translation" AND NOT ("post"."polymorphic_ctype_id" = 64 AND "post"."polymorphic_ctype_id" IS NOT NULL) AND "post"."publish_at" <= '2026-02-12T09:55:41.012004+00:00'::timestamptz AND "post"."status" = 2 AND "post"."show_in_sidebar" AND "post"."show_at_news_feed" AND "post"."publish_at" >= '2025-07-23T10:02:00+00:00'::timestamptz)
 ORDER BY "post"."publish_at" DESC
 LIMIT 10
SELECT ••• FROM "post" LEFT OUTER JOIN "news_videopost" ON ("post"."id" = "news_videopost"."post_ptr_id") LEFT OUTER JOIN "category" ON ("post"."category_id" = "category"."id") LEFT OUTER JOIN "category" T5 ON ("category"."parent_id" = T5."id") WHERE ("post"."ru_has_translation" AND NOT ("post"."polymorphic_ctype_id" = 64 AND "post"."polymorphic_ctype_id" IS NOT NULL) AND "post"."publish_at" <= '2026-02-12T09:55:41.012004+00:00'::timestamptz AND "post"."status" = 2 AND "post"."show_in_sidebar" AND "post"."show_at_news_feed" AND "post"."publish_at" >= '2025-07-23T10:02:00+00:00'::timestamptz) ORDER BY "post"."publish_at" DESC LIMIT 10
249,05

Соединение: default

Статус транзакции: Ожидание

/home/youser/.local/share/virtualenvs/news-site-columnist-8tsXn7bh/bin/gunicorn in <module>(8)
  sys.exit(run())

/home/youser/.local/share/virtualenvs/news-site-columnist-8tsXn7bh/lib/python3.10/site-packages/gunicorn/app/wsgiapp.py in run(66)
  WSGIApplication("%(prog)s [OPTIONS] [APP_MODULE]", prog=prog).run()

/home/youser/.local/share/virtualenvs/news-site-columnist-8tsXn7bh/lib/python3.10/site-packages/gunicorn/app/base.py in run(235)
  super().run()

/home/youser/.local/share/virtualenvs/news-site-columnist-8tsXn7bh/lib/python3.10/site-packages/gunicorn/app/base.py in run(71)
  Arbiter(self).run()

/home/youser/.local/share/virtualenvs/news-site-columnist-8tsXn7bh/lib/python3.10/site-packages/gunicorn/arbiter.py in run(210)
  self.manage_workers()

/home/youser/.local/share/virtualenvs/news-site-columnist-8tsXn7bh/lib/python3.10/site-packages/gunicorn/arbiter.py in manage_workers(570)
  self.spawn_workers()

/home/youser/.local/share/virtualenvs/news-site-columnist-8tsXn7bh/lib/python3.10/site-packages/gunicorn/arbiter.py in spawn_workers(641)
  self.spawn_worker()

/home/youser/.local/share/virtualenvs/news-site-columnist-8tsXn7bh/lib/python3.10/site-packages/gunicorn/arbiter.py in spawn_worker(608)
  worker.init_process()

/home/youser/.local/share/virtualenvs/news-site-columnist-8tsXn7bh/lib/python3.10/site-packages/gunicorn/workers/base.py in init_process(143)
  self.run()

/home/youser/.local/share/virtualenvs/news-site-columnist-8tsXn7bh/lib/python3.10/site-packages/gunicorn/workers/sync.py in run(125)
  self.run_for_one(timeout)

/home/youser/.local/share/virtualenvs/news-site-columnist-8tsXn7bh/lib/python3.10/site-packages/gunicorn/workers/sync.py in run_for_one(69)
  self.accept(listener)

/home/youser/.local/share/virtualenvs/news-site-columnist-8tsXn7bh/lib/python3.10/site-packages/gunicorn/workers/sync.py in accept(31)
  self.handle(listener, client, addr)

/home/youser/.local/share/virtualenvs/news-site-columnist-8tsXn7bh/lib/python3.10/site-packages/gunicorn/workers/sync.py in handle(134)
  self.handle_request(listener, req, client, addr)

/home/youser/.local/share/virtualenvs/news-site-columnist-8tsXn7bh/lib/python3.10/site-packages/gunicorn/workers/sync.py in handle_request(177)
  respiter = self.wsgi(environ, resp.start_response)

/home/youser/.local/share/virtualenvs/news-site-columnist-8tsXn7bh/lib/python3.10/site-packages/sentry_sdk/utils.py in runner(1864)
  return sentry_patched_function(*args, **kwargs)

/home/youser/.local/share/virtualenvs/news-site-columnist-8tsXn7bh/lib/python3.10/site-packages/sentry_sdk/integrations/django/__init__.py in sentry_patched_wsgi_handler(191)
  return middleware(environ, start_response)

/home/youser/.local/share/virtualenvs/news-site-columnist-8tsXn7bh/lib/python3.10/site-packages/sentry_sdk/integrations/wsgi.py in __call__(132)
  response = self.app(

/home/youser/.local/share/virtualenvs/news-site-columnist-8tsXn7bh/lib/python3.10/site-packages/sentry_sdk/integrations/django/__init__.py in sentry_patched_get_response(478)
  rv = old_get_response(self, request)

/home/youser/.local/share/virtualenvs/news-site-columnist-8tsXn7bh/lib/python3.10/site-packages/sentry_sdk/integrations/django/middleware.py in __call__(177)
  return f(*args, **kwargs)

/home/youser/.local/share/virtualenvs/news-site-columnist-8tsXn7bh/lib/python3.10/site-packages/sentry_sdk/integrations/django/middleware.py in __call__(177)
  return f(*args, **kwargs)

/var/www/news-site-columnist/redirects/middleware/redirect_middleware.py in __call__(17)
  return self.get_response(request)

/home/youser/.local/share/virtualenvs/news-site-columnist-8tsXn7bh/lib/python3.10/site-packages/sentry_sdk/integrations/django/middleware.py in __call__(177)
  return f(*args, **kwargs)

/home/youser/.local/share/virtualenvs/news-site-columnist-8tsXn7bh/lib/python3.10/site-packages/sentry_sdk/integrations/django/middleware.py in __call__(177)
  return f(*args, **kwargs)

/home/youser/.local/share/virtualenvs/news-site-columnist-8tsXn7bh/lib/python3.10/site-packages/sentry_sdk/integrations/django/middleware.py in __call__(177)
  return f(*args, **kwargs)

/home/youser/.local/share/virtualenvs/news-site-columnist-8tsXn7bh/lib/python3.10/site-packages/sentry_sdk/integrations/django/middleware.py in __call__(177)
  return f(*args, **kwargs)

/home/youser/.local/share/virtualenvs/news-site-columnist-8tsXn7bh/lib/python3.10/site-packages/corsheaders/middleware.py in __call__(53)
  result = self.get_response(request)

/home/youser/.local/share/virtualenvs/news-site-columnist-8tsXn7bh/lib/python3.10/site-packages/sentry_sdk/integrations/django/middleware.py in __call__(177)
  return f(*args, **kwargs)

/home/youser/.local/share/virtualenvs/news-site-columnist-8tsXn7bh/lib/python3.10/site-packages/django_user_agents/middleware.py in __call__(14)
  return self.get_response(request)

/home/youser/.local/share/virtualenvs/news-site-columnist-8tsXn7bh/lib/python3.10/site-packages/sentry_sdk/integrations/django/middleware.py in __call__(177)
  return f(*args, **kwargs)

/home/youser/.local/share/virtualenvs/news-site-columnist-8tsXn7bh/lib/python3.10/site-packages/sentry_sdk/integrations/django/middleware.py in __call__(177)
  return f(*args, **kwargs)

/home/youser/.local/share/virtualenvs/news-site-columnist-8tsXn7bh/lib/python3.10/site-packages/sentry_sdk/integrations/django/middleware.py in __call__(177)
  return f(*args, **kwargs)

/home/youser/.local/share/virtualenvs/news-site-columnist-8tsXn7bh/lib/python3.10/site-packages/sentry_sdk/integrations/django/middleware.py in __call__(177)
  return f(*args, **kwargs)

/home/youser/.local/share/virtualenvs/news-site-columnist-8tsXn7bh/lib/python3.10/site-packages/sentry_sdk/integrations/django/middleware.py in __call__(177)
  return f(*args, **kwargs)

/home/youser/.local/share/virtualenvs/news-site-columnist-8tsXn7bh/lib/python3.10/site-packages/sentry_sdk/integrations/django/middleware.py in __call__(177)
  return f(*args, **kwargs)

/home/youser/.local/share/virtualenvs/news-site-columnist-8tsXn7bh/lib/python3.10/site-packages/sentry_sdk/integrations/django/middleware.py in __call__(177)
  return f(*args, **kwargs)

/home/youser/.local/share/virtualenvs/news-site-columnist-8tsXn7bh/lib/python3.10/site-packages/sentry_sdk/integrations/django/middleware.py in __call__(177)
  return f(*args, **kwargs)

/var/www/news-site-columnist/news/middleware/subdomain_middleare.py in __call__(22)
  response = self.get_response(request)

/home/youser/.local/share/virtualenvs/news-site-columnist-8tsXn7bh/lib/python3.10/site-packages/sentry_sdk/integrations/django/views.py in sentry_patched_render(41)
  return old_render(self)

/home/youser/.local/share/virtualenvs/news-site-columnist-8tsXn7bh/lib/python3.10/site-packages/django/template/response.py in render(114)
  self.content = self.rendered_content

/home/youser/.local/share/virtualenvs/news-site-columnist-8tsXn7bh/lib/python3.10/site-packages/sentry_sdk/utils.py in runner(1864)
  return sentry_patched_function(*args, **kwargs)

/home/youser/.local/share/virtualenvs/news-site-columnist-8tsXn7bh/lib/python3.10/site-packages/sentry_sdk/integrations/django/templates.py in rendered_content(77)
  return real_rendered_content.fget(self)

/home/youser/.local/share/virtualenvs/news-site-columnist-8tsXn7bh/lib/python3.10/site-packages/django/template/response.py in rendered_content(92)
  return template.render(context, self._request)

/home/youser/.local/share/virtualenvs/news-site-columnist-8tsXn7bh/lib/python3.10/site-packages/django/template/backends/django.py in render(61)
  return self.template.render(context)

/home/youser/.local/share/virtualenvs/news-site-columnist-8tsXn7bh/lib/python3.10/site-packages/template_timings_panel/panels/TemplateTimings.py in timing_hook(139)
  result = func(self, *args, **kwargs)

/home/youser/.local/share/virtualenvs/news-site-columnist-8tsXn7bh/lib/python3.10/site-packages/django/template/base.py in render(175)
  return self._render(context)

/home/youser/.local/share/virtualenvs/news-site-columnist-8tsXn7bh/lib/python3.10/site-packages/django/test/utils.py in instrumented_test_render(112)
  return self.nodelist.render(context)

/home/youser/.local/share/virtualenvs/news-site-columnist-8tsXn7bh/lib/python3.10/site-packages/django/template/base.py in render(1005)
  return SafeString("".join([node.render_annotated(context) for node in self]))

/home/youser/.local/share/virtualenvs/news-site-columnist-8tsXn7bh/lib/python3.10/site-packages/django/template/base.py in <listcomp>(1005)
  return SafeString("".join([node.render_annotated(context) for node in self]))

/home/youser/.local/share/virtualenvs/news-site-columnist-8tsXn7bh/lib/python3.10/site-packages/django/template/base.py in render_annotated(966)
  return self.render(context)

/home/youser/.local/share/virtualenvs/news-site-columnist-8tsXn7bh/lib/python3.10/site-packages/django/template/loader_tags.py in render(157)
  return compiled_parent._render(context)

/home/youser/.local/share/virtualenvs/news-site-columnist-8tsXn7bh/lib/python3.10/site-packages/django/test/utils.py in instrumented_test_render(112)
  return self.nodelist.render(context)

/home/youser/.local/share/virtualenvs/news-site-columnist-8tsXn7bh/lib/python3.10/site-packages/django/template/base.py in render(1005)
  return SafeString("".join([node.render_annotated(context) for node in self]))

/home/youser/.local/share/virtualenvs/news-site-columnist-8tsXn7bh/lib/python3.10/site-packages/django/template/base.py in <listcomp>(1005)
  return SafeString("".join([node.render_annotated(context) for node in self]))

/home/youser/.local/share/virtualenvs/news-site-columnist-8tsXn7bh/lib/python3.10/site-packages/django/template/base.py in render_annotated(966)
  return self.render(context)

/home/youser/.local/share/virtualenvs/news-site-columnist-8tsXn7bh/lib/python3.10/site-packages/template_timings_panel/panels/TemplateTimings.py in timing_hook(139)
  result = func(self, *args, **kwargs)

/home/youser/.local/share/virtualenvs/news-site-columnist-8tsXn7bh/lib/python3.10/site-packages/django/template/loader_tags.py in render(63)
  result = block.nodelist.render(context)

/home/youser/.local/share/virtualenvs/news-site-columnist-8tsXn7bh/lib/python3.10/site-packages/django/template/base.py in render(1005)
  return SafeString("".join([node.render_annotated(context) for node in self]))

/home/youser/.local/share/virtualenvs/news-site-columnist-8tsXn7bh/lib/python3.10/site-packages/django/template/base.py in <listcomp>(1005)
  return SafeString("".join([node.render_annotated(context) for node in self]))

/home/youser/.local/share/virtualenvs/news-site-columnist-8tsXn7bh/lib/python3.10/site-packages/django/template/base.py in render_annotated(966)
  return self.render(context)

/home/youser/.local/share/virtualenvs/news-site-columnist-8tsXn7bh/lib/python3.10/site-packages/template_timings_panel/panels/TemplateTimings.py in timing_hook(139)
  result = func(self, *args, **kwargs)

/home/youser/.local/share/virtualenvs/news-site-columnist-8tsXn7bh/lib/python3.10/site-packages/django/template/loader_tags.py in render(63)
  result = block.nodelist.render(context)

/home/youser/.local/share/virtualenvs/news-site-columnist-8tsXn7bh/lib/python3.10/site-packages/django/template/base.py in render(1005)
  return SafeString("".join([node.render_annotated(context) for node in self]))

/home/youser/.local/share/virtualenvs/news-site-columnist-8tsXn7bh/lib/python3.10/site-packages/django/template/base.py in <listcomp>(1005)
  return SafeString("".join([node.render_annotated(context) for node in self]))

/home/youser/.local/share/virtualenvs/news-site-columnist-8tsXn7bh/lib/python3.10/site-packages/django/template/base.py in render_annotated(966)
  return self.render(context)

/home/youser/.local/share/virtualenvs/news-site-columnist-8tsXn7bh/lib/python3.10/site-packages/django/template/loader_tags.py in render(208)
  return template.render(context)

/home/youser/.local/share/virtualenvs/news-site-columnist-8tsXn7bh/lib/python3.10/site-packages/template_timings_panel/panels/TemplateTimings.py in timing_hook(139)
  result = func(self, *args, **kwargs)

/home/youser/.local/share/virtualenvs/news-site-columnist-8tsXn7bh/lib/python3.10/site-packages/django/template/base.py in render(177)
  return self._render(context)

/home/youser/.local/share/virtualenvs/news-site-columnist-8tsXn7bh/lib/python3.10/site-packages/django/test/utils.py in instrumented_test_render(112)
  return self.nodelist.render(context)

/home/youser/.local/share/virtualenvs/news-site-columnist-8tsXn7bh/lib/python3.10/site-packages/django/template/base.py in render(1005)
  return SafeString("".join([node.render_annotated(context) for node in self]))

/home/youser/.local/share/virtualenvs/news-site-columnist-8tsXn7bh/lib/python3.10/site-packages/django/template/base.py in <listcomp>(1005)
  return SafeString("".join([node.render_annotated(context) for node in self]))

/home/youser/.local/share/virtualenvs/news-site-columnist-8tsXn7bh/lib/python3.10/site-packages/django/template/base.py in render_annotated(966)
  return self.render(context)

/home/youser/.local/share/virtualenvs/news-site-columnist-8tsXn7bh/lib/python3.10/site-packages/django/template/defaulttags.py in render(321)
  return nodelist.render(context)

/home/youser/.local/share/virtualenvs/news-site-columnist-8tsXn7bh/lib/python3.10/site-packages/django/template/base.py in render(1005)
  return SafeString("".join([node.render_annotated(context) for node in self]))

/home/youser/.local/share/virtualenvs/news-site-columnist-8tsXn7bh/lib/python3.10/site-packages/django/template/base.py in <listcomp>(1005)
  return SafeString("".join([node.render_annotated(context) for node in self]))

/home/youser/.local/share/virtualenvs/news-site-columnist-8tsXn7bh/lib/python3.10/site-packages/django/template/base.py in render_annotated(966)
  return self.render(context)

/home/youser/.local/share/virtualenvs/news-site-columnist-8tsXn7bh/lib/python3.10/site-packages/django/template/loader_tags.py in render(208)
  return template.render(context)

/home/youser/.local/share/virtualenvs/news-site-columnist-8tsXn7bh/lib/python3.10/site-packages/template_timings_panel/panels/TemplateTimings.py in timing_hook(139)
  result = func(self, *args, **kwargs)

/home/youser/.local/share/virtualenvs/news-site-columnist-8tsXn7bh/lib/python3.10/site-packages/django/template/base.py in render(177)
  return self._render(context)

/home/youser/.local/share/virtualenvs/news-site-columnist-8tsXn7bh/lib/python3.10/site-packages/django/test/utils.py in instrumented_test_render(112)
  return self.nodelist.render(context)

/home/youser/.local/share/virtualenvs/news-site-columnist-8tsXn7bh/lib/python3.10/site-packages/django/template/base.py in render(1005)
  return SafeString("".join([node.render_annotated(context) for node in self]))

/home/youser/.local/share/virtualenvs/news-site-columnist-8tsXn7bh/lib/python3.10/site-packages/django/template/base.py in <listcomp>(1005)
  return SafeString("".join([node.render_annotated(context) for node in self]))

/home/youser/.local/share/virtualenvs/news-site-columnist-8tsXn7bh/lib/python3.10/site-packages/django/template/base.py in render_annotated(966)
  return self.render(context)

/home/youser/.local/share/virtualenvs/news-site-columnist-8tsXn7bh/lib/python3.10/site-packages/django/template/defaulttags.py in render(321)
  return nodelist.render(context)

/home/youser/.local/share/virtualenvs/news-site-columnist-8tsXn7bh/lib/python3.10/site-packages/django/template/base.py in render(1005)
  return SafeString("".join([node.render_annotated(context) for node in self]))

/home/youser/.local/share/virtualenvs/news-site-columnist-8tsXn7bh/lib/python3.10/site-packages/django/template/base.py in <listcomp>(1005)
  return SafeString("".join([node.render_annotated(context) for node in self]))

/home/youser/.local/share/virtualenvs/news-site-columnist-8tsXn7bh/lib/python3.10/site-packages/django/template/base.py in render_annotated(966)
  return self.render(context)

/home/youser/.local/share/virtualenvs/news-site-columnist-8tsXn7bh/lib/python3.10/site-packages/django/template/defaulttags.py in render(321)
  return nodelist.render(context)

/home/youser/.local/share/virtualenvs/news-site-columnist-8tsXn7bh/lib/python3.10/site-packages/django/template/base.py in render(1005)
  return SafeString("".join([node.render_annotated(context) for node in self]))

/home/youser/.local/share/virtualenvs/news-site-columnist-8tsXn7bh/lib/python3.10/site-packages/django/template/base.py in <listcomp>(1005)
  return SafeString("".join([node.render_annotated(context) for node in self]))

/home/youser/.local/share/virtualenvs/news-site-columnist-8tsXn7bh/lib/python3.10/site-packages/django/template/base.py in render_annotated(966)
  return self.render(context)

/home/youser/.local/share/virtualenvs/news-site-columnist-8tsXn7bh/lib/python3.10/site-packages/template_timings_panel/panels/TemplateTimings.py in timing_hook(139)
  result = func(self, *args, **kwargs)

/home/youser/.local/share/virtualenvs/news-site-columnist-8tsXn7bh/lib/python3.10/site-packages/django/template/loader_tags.py in render(54)
  result = self.nodelist.render(context)

/home/youser/.local/share/virtualenvs/news-site-columnist-8tsXn7bh/lib/python3.10/site-packages/django/template/base.py in render(1005)
  return SafeString("".join([node.render_annotated(context) for node in self]))

/home/youser/.local/share/virtualenvs/news-site-columnist-8tsXn7bh/lib/python3.10/site-packages/django/template/base.py in <listcomp>(1005)
  return SafeString("".join([node.render_annotated(context) for node in self]))

/home/youser/.local/share/virtualenvs/news-site-columnist-8tsXn7bh/lib/python3.10/site-packages/django/template/base.py in render_annotated(966)
  return self.render(context)

/home/youser/.local/share/virtualenvs/news-site-columnist-8tsXn7bh/lib/python3.10/site-packages/django/template/library.py in render(237)
  output = self.func(*resolved_args, **resolved_kwargs)

/var/www/news-site-columnist/news/templatetags/component_tags.py in news_sidebar(216)
  return base_sidebar(

/var/www/news-site-columnist/news/templatetags/component_tags.py in base_sidebar(202)
  return loader.render_to_string(template, context_data)

/home/youser/.local/share/virtualenvs/news-site-columnist-8tsXn7bh/lib/python3.10/site-packages/django/template/loader.py in render_to_string(62)
  return template.render(context, request)

/home/youser/.local/share/virtualenvs/news-site-columnist-8tsXn7bh/lib/python3.10/site-packages/django/template/backends/django.py in render(61)
  return self.template.render(context)

/home/youser/.local/share/virtualenvs/news-site-columnist-8tsXn7bh/lib/python3.10/site-packages/template_timings_panel/panels/TemplateTimings.py in timing_hook(139)
  result = func(self, *args, **kwargs)

/home/youser/.local/share/virtualenvs/news-site-columnist-8tsXn7bh/lib/python3.10/site-packages/django/template/base.py in render(175)
  return self._render(context)

/home/youser/.local/share/virtualenvs/news-site-columnist-8tsXn7bh/lib/python3.10/site-packages/django/test/utils.py in instrumented_test_render(112)
  return self.nodelist.render(context)

/home/youser/.local/share/virtualenvs/news-site-columnist-8tsXn7bh/lib/python3.10/site-packages/django/template/base.py in render(1005)
  return SafeString("".join([node.render_annotated(context) for node in self]))

/home/youser/.local/share/virtualenvs/news-site-columnist-8tsXn7bh/lib/python3.10/site-packages/django/template/base.py in <listcomp>(1005)
  return SafeString("".join([node.render_annotated(context) for node in self]))

/home/youser/.local/share/virtualenvs/news-site-columnist-8tsXn7bh/lib/python3.10/site-packages/django/template/base.py in render_annotated(966)
  return self.render(context)

/home/youser/.local/share/virtualenvs/news-site-columnist-8tsXn7bh/lib/python3.10/site-packages/django/template/loader_tags.py in render(208)
  return template.render(context)

/home/youser/.local/share/virtualenvs/news-site-columnist-8tsXn7bh/lib/python3.10/site-packages/template_timings_panel/panels/TemplateTimings.py in timing_hook(139)
  result = func(self, *args, **kwargs)

/home/youser/.local/share/virtualenvs/news-site-columnist-8tsXn7bh/lib/python3.10/site-packages/django/template/base.py in render(177)
  return self._render(context)

/home/youser/.local/share/virtualenvs/news-site-columnist-8tsXn7bh/lib/python3.10/site-packages/django/test/utils.py in instrumented_test_render(112)
  return self.nodelist.render(context)

/home/youser/.local/share/virtualenvs/news-site-columnist-8tsXn7bh/lib/python3.10/site-packages/django/template/base.py in render(1005)
  return SafeString("".join([node.render_annotated(context) for node in self]))

/home/youser/.local/share/virtualenvs/news-site-columnist-8tsXn7bh/lib/python3.10/site-packages/django/template/base.py in <listcomp>(1005)
  return SafeString("".join([node.render_annotated(context) for node in self]))

/home/youser/.local/share/virtualenvs/news-site-columnist-8tsXn7bh/lib/python3.10/site-packages/django/template/base.py in render_annotated(966)
  return self.render(context)

/home/youser/.local/share/virtualenvs/news-site-columnist-8tsXn7bh/lib/python3.10/site-packages/django/template/defaulttags.py in render(321)
  return nodelist.render(context)

/home/youser/.local/share/virtualenvs/news-site-columnist-8tsXn7bh/lib/python3.10/site-packages/django/template/base.py in render(1005)
  return SafeString("".join([node.render_annotated(context) for node in self]))

/home/youser/.local/share/virtualenvs/news-site-columnist-8tsXn7bh/lib/python3.10/site-packages/django/template/base.py in <listcomp>(1005)
  return SafeString("".join([node.render_annotated(context) for node in self]))

/home/youser/.local/share/virtualenvs/news-site-columnist-8tsXn7bh/lib/python3.10/site-packages/django/template/base.py in render_annotated(966)
  return self.render(context)

/home/youser/.local/share/virtualenvs/news-site-columnist-8tsXn7bh/lib/python3.10/site-packages/django/template/defaulttags.py in render(368)
  for key, val in groupby(

/home/youser/.local/share/virtualenvs/news-site-columnist-8tsXn7bh/lib/python3.10/site-packages/polymorphic/query.py in _polymorphic_iterator(57)
  o = next(base_iter)

4 {% if LANGUAGE_CODE == 'en' %}
5 {% regroup object_list by translated_at|my_datetime:'d MMMM' as newslist %}
6 {% else %}
7 {% regroup object_list by publish_at|my_datetime:'d MMMM' as newslist %}
8 {% endif %}
9
10 {% for page in newslist %}
11 {% if not class == 'sidebar-popular' %}

/var/www/news-site-columnist/news/templates/new-design/includes/news_sidebars/post_list_quick.html

SELECT DISTINCT "post"."created_at",
       "post"."seo_title",
       "post"."seo_title_uk",
       "post"."seo_title_en",
       "post"."seo_title_ru",
       "post"."seo_description",
       "post"."seo_description_uk",
       "post"."seo_description_en",
       "post"."seo_description_ru",
       "post"."seo_keywords",
       "post"."seo_keywords_uk",
       "post"."seo_keywords_en",
       "post"."seo_keywords_ru",
       "post"."seo_header_one",
       "post"."seo_header_one_uk",
       "post"."seo_header_one_en",
       "post"."seo_header_one_ru",
       "post"."created_by",
       "post"."updated_by",
       "post"."polymorphic_ctype_id",
       "post"."id",
       "post"."head",
       "post"."head_uk",
       "post"."head_en",
       "post"."head_ru",
       "post"."sub_head",
       "post"."sub_head_uk",
       "post"."sub_head_en",
       "post"."sub_head_ru",
       "post"."content",
       "post"."content_uk",
       "post"."content_en",
       "post"."content_ru",
       "post"."author_id",
       "post"."seo_tag_id",
       "post"."publish_at",
       "post"."translated_at",
       "post"."updated_at",
       "post"."show_updated_at",
       "post"."slug",
       "post"."slug_uk",
       "post"."slug_en",
       "post"."slug_ru",
       "post"."aplication_type",
       "post"."last_editor_id",
       "post"."status",
       "post"."show_at_homepage",
       "post"."show_at_news_feed",
       "post"."show_on_broadcast_page",
       "post"."is_category_top",
       "post"."is_homepage_top",
       "post"."is_homepage_top_uk",
       "post"."is_homepage_top_en",
       "post"."is_homepage_top_ru",
       "post"."id_sponsored",
       "post"."is_lightning",
       "post"."is_exclusive",
       "post"."is_photo_report",
       "post"."is_post",
       "post"."is_article",
       "post"."main_page_img_full_width",
       "post"."need_hires",
       "post"."has_photo",
       "post"."has_video",
       "post"."is_editors_choise",
       "post"."show_in_sidebar",
       "post"."category_id",
       "post"."old_category_id",
       "post"."past_region",
       "post"."year_of_war",
       "post"."breaking_news",
       "post"."without_img",
       "post"."show_stories_block",
       "post"."display_type",
       "post"."image",
       "post"."image_alt",
       "post"."image_alt_uk",
       "post"."image_alt_en",
       "post"."image_alt_ru",
       "post"."seo_image",
       "post"."text_under_image",
       "post"."text_under_image_uk",
       "post"."text_under_image_en",
       "post"."text_under_image_ru",
       "post"."image_source",
       "post"."image_source_uk",
       "post"."image_source_en",
       "post"."image_source_ru",
       "post"."theme_id",
       "post"."is_nofollow_disabled",
       "post"."audio_content_id",
       "post"."audio_content_uk_id",
       "post"."audio_content_en_id",
       "post"."audio_content_ru_id",
       "post"."views",
       "post"."views_uk",
       "post"."views_ru",
       "post"."views_analytics",
       "post"."views_analytics_ru",
       "post"."views_analytics_uk",
       "post"."views_analytics_at",
       "post"."busy_by_id",
       "post"."image_editor_id",
       "post"."release_editor_id",
       "post"."special_type",
       "post"."head_longer_than_100",
       "post"."uk_has_translation",
       "post"."ru_has_translation",
       "post"."en_has_translation",
       "post"."homepage_slider_text",
       "post"."homepage_slider_text_uk",
       "post"."homepage_slider_text_en",
       "post"."homepage_slider_text_ru",
       CASE WHEN "post"."polymorphic_ctype_id" = 60 THEN true
            ELSE false
             END AS "is_videopost",
       CASE WHEN "post"."polymorphic_ctype_id" = 60 THEN "news_videopost"."youtube_video_url"
            ELSE NULL
             END AS "youtube_video_url",
       CASE WHEN "post"."polymorphic_ctype_id" = 81 THEN true
            ELSE false
             END AS "is_column_post",
       "news_videopost"."is_icon_hidden" AS "is_icon_hidden",
       "category"."id",
       "category"."created_at",
       "category"."updated_at",
       "category"."seo_title",
       "category"."seo_title_uk",
       "category"."seo_title_en",
       "category"."seo_title_ru",
       "category"."seo_description",
       "category"."seo_description_uk",
       "category"."seo_description_en",
       "category"."seo_description_ru",
       "category"."seo_keywords",
       "category"."seo_keywords_uk",
       "category"."seo_keywords_en",
       "category"."seo_keywords_ru",
       "category"."seo_header_one",
       "category"."seo_header_one_uk",
       "category"."seo_header_one_en",
       "category"."seo_header_one_ru",
       "category"."seo_news_title",
       "category"."seo_news_title_uk",
       "category"."seo_news_title_en",
       "category"."seo_news_title_ru",
       "category"."seo_news_description",
       "category"."seo_news_description_uk",
       "category"."seo_news_description_en",
       "category"."seo_news_description_ru",
       "category"."subdomain",
       "category"."parent_id",
       "category"."image",
       "category"."is_active",
       "category"."is_rss_active",
       "category"."is_interesting",
       "category"."ticker_rss_active",
       "category"."show_home",
       "category"."show_home_en",
       "category"."show_video",
       "category"."show_menu",
       "category"."show_menu_uk",
       "category"."show_menu_en",
       "category"."show_menu_ru",
       "category"."show_footer",
       "category"."show_menu_in_en",
       "category"."show_footer_in_en",
       "category"."show_in_search",
       "category"."show_in_header",
       "category"."show_in_header_uk",
       "category"."show_in_header_en",
       "category"."show_in_header_ru",
       "category"."seo_tag_id",
       "category"."sort_weight",
       "category"."sort_weight_en",
       "category"."header_sort_weight",
       "category"."header_sort_weight_uk",
       "category"."header_sort_weight_en",
       "category"."header_sort_weight_ru",
       "category"."footer_sort_weight",
       "category"."menu_sort_weight",
       "category"."name",
       "category"."name_uk",
       "category"."name_en",
       "category"."name_ru",
       "category"."slug",
       "category"."description",
       "category"."description_uk",
       "category"."description_en",
       "category"."description_ru",
       "category"."fb_link",
       "category"."tg_link",
       "category"."show_banner",
       "category"."uk_has_translation",
       "category"."ru_has_translation",
       "category"."en_has_translation",
       "category"."has_infinite_scroll",
       "category"."_show_home_without_subdomain",
       "category"."_show_home_without_subdomain_en",
       "category"."background_id",
       "category"."use_old_design",
       "category"."use_old_design_for_posts",
       "category"."is_context_category",
       "category"."show_stories_on_main",
       "category"."show_posts_table_of_contents",
       "category"."svg_icon",
       T5."id",
       T5."created_at",
       T5."updated_at",
       T5."seo_title",
       T5."seo_title_uk",
       T5."seo_title_en",
       T5."seo_title_ru",
       T5."seo_description",
       T5."seo_description_uk",
       T5."seo_description_en",
       T5."seo_description_ru",
       T5."seo_keywords",
       T5."seo_keywords_uk",
       T5."seo_keywords_en",
       T5."seo_keywords_ru",
       T5."seo_header_one",
       T5."seo_header_one_uk",
       T5."seo_header_one_en",
       T5."seo_header_one_ru",
       T5."seo_news_title",
       T5."seo_news_title_uk",
       T5."seo_news_title_en",
       T5."seo_news_title_ru",
       T5."seo_news_description",
       T5."seo_news_description_uk",
       T5."seo_news_description_en",
       T5."seo_news_description_ru",
       T5."subdomain",
       T5."parent_id",
       T5."image",
       T5."is_active",
       T5."is_rss_active",
       T5."is_interesting",
       T5."ticker_rss_active",
       T5."show_home",
       T5."show_home_en",
       T5."show_video",
       T5."show_menu",
       T5."show_menu_uk",
       T5."show_menu_en",
       T5."show_menu_ru",
       T5."show_footer",
       T5."show_menu_in_en",
       T5."show_footer_in_en",
       T5."show_in_search",
       T5."show_in_header",
       T5."show_in_header_uk",
       T5."show_in_header_en",
       T5."show_in_header_ru",
       T5."seo_tag_id",
       T5."sort_weight",
       T5."sort_weight_en",
       T5."header_sort_weight",
       T5."header_sort_weight_uk",
       T5."header_sort_weight_en",
       T5."header_sort_weight_ru",
       T5."footer_sort_weight",
       T5."menu_sort_weight",
       T5."name",
       T5."name_uk",
       T5."name_en",
       T5."name_ru",
       T5."slug",
       T5."description",
       T5."description_uk",
       T5."description_en",
       T5."description_ru",
       T5."fb_link",
       T5."tg_link",
       T5."show_banner",
       T5."uk_has_translation",
       T5."ru_has_translation",
       T5."en_has_translation",
       T5."has_infinite_scroll",
       T5."_show_home_without_subdomain",
       T5."_show_home_without_subdomain_en",
       T5."background_id",
       T5."use_old_design",
       T5."use_old_design_for_posts",
       T5."is_context_category",
       T5."show_stories_on_main",
       T5."show_posts_table_of_contents",
       T5."svg_icon"
  FROM "post"
  LEFT OUTER JOIN "news_videopost"
    ON ("post"."id" = "news_videopost"."post_ptr_id")
  LEFT OUTER JOIN "category"
    ON ("post"."category_id" = "category"."id")
  LEFT OUTER JOIN "category" T5
    ON ("category"."parent_id" = T5."id")
 WHERE ("post"."ru_has_translation" AND NOT ("post"."polymorphic_ctype_id" = 64 AND "post"."polymorphic_ctype_id" IS NOT NULL) AND "post"."publish_at" <= '2026-02-12T09:55:41.012004+00:00'::timestamptz AND "post"."status" = 2 AND "post"."show_in_sidebar" AND "post"."show_at_news_feed" AND "post"."publish_at" >= '2025-07-23T10:02:00+00:00'::timestamptz AND "post"."is_post" AND NOT CASE WHEN ("post"."polymorphic_ctype_id" = 60) THEN true ELSE false END)
 ORDER BY "post"."publish_at" DESC
 LIMIT 10
SELECT ••• FROM "post" LEFT OUTER JOIN "news_videopost" ON ("post"."id" = "news_videopost"."post_ptr_id") LEFT OUTER JOIN "category" ON ("post"."category_id" = "category"."id") LEFT OUTER JOIN "category" T5 ON ("category"."parent_id" = T5."id") WHERE ("post"."ru_has_translation" AND NOT ("post"."polymorphic_ctype_id" = 64 AND "post"."polymorphic_ctype_id" IS NOT NULL) AND "post"."publish_at" <= '2026-02-12T09:55:41.012004+00:00'::timestamptz AND "post"."status" = 2 AND "post"."show_in_sidebar" AND "post"."show_at_news_feed" AND "post"."publish_at" >= '2025-07-23T10:02:00+00:00'::timestamptz AND "post"."is_post" AND NOT CASE WHEN ("post"."polymorphic_ctype_id" = 60) THEN true ELSE false END) ORDER BY "post"."publish_at" DESC LIMIT 10
127,22

Соединение: default

Статус транзакции: Ожидание

/home/youser/.local/share/virtualenvs/news-site-columnist-8tsXn7bh/bin/gunicorn in <module>(8)
  sys.exit(run())

/home/youser/.local/share/virtualenvs/news-site-columnist-8tsXn7bh/lib/python3.10/site-packages/gunicorn/app/wsgiapp.py in run(66)
  WSGIApplication("%(prog)s [OPTIONS] [APP_MODULE]", prog=prog).run()

/home/youser/.local/share/virtualenvs/news-site-columnist-8tsXn7bh/lib/python3.10/site-packages/gunicorn/app/base.py in run(235)
  super().run()

/home/youser/.local/share/virtualenvs/news-site-columnist-8tsXn7bh/lib/python3.10/site-packages/gunicorn/app/base.py in run(71)
  Arbiter(self).run()

/home/youser/.local/share/virtualenvs/news-site-columnist-8tsXn7bh/lib/python3.10/site-packages/gunicorn/arbiter.py in run(210)
  self.manage_workers()

/home/youser/.local/share/virtualenvs/news-site-columnist-8tsXn7bh/lib/python3.10/site-packages/gunicorn/arbiter.py in manage_workers(570)
  self.spawn_workers()

/home/youser/.local/share/virtualenvs/news-site-columnist-8tsXn7bh/lib/python3.10/site-packages/gunicorn/arbiter.py in spawn_workers(641)
  self.spawn_worker()

/home/youser/.local/share/virtualenvs/news-site-columnist-8tsXn7bh/lib/python3.10/site-packages/gunicorn/arbiter.py in spawn_worker(608)
  worker.init_process()

/home/youser/.local/share/virtualenvs/news-site-columnist-8tsXn7bh/lib/python3.10/site-packages/gunicorn/workers/base.py in init_process(143)
  self.run()

/home/youser/.local/share/virtualenvs/news-site-columnist-8tsXn7bh/lib/python3.10/site-packages/gunicorn/workers/sync.py in run(125)
  self.run_for_one(timeout)

/home/youser/.local/share/virtualenvs/news-site-columnist-8tsXn7bh/lib/python3.10/site-packages/gunicorn/workers/sync.py in run_for_one(69)
  self.accept(listener)

/home/youser/.local/share/virtualenvs/news-site-columnist-8tsXn7bh/lib/python3.10/site-packages/gunicorn/workers/sync.py in accept(31)
  self.handle(listener, client, addr)

/home/youser/.local/share/virtualenvs/news-site-columnist-8tsXn7bh/lib/python3.10/site-packages/gunicorn/workers/sync.py in handle(134)
  self.handle_request(listener, req, client, addr)

/home/youser/.local/share/virtualenvs/news-site-columnist-8tsXn7bh/lib/python3.10/site-packages/gunicorn/workers/sync.py in handle_request(177)
  respiter = self.wsgi(environ, resp.start_response)

/home/youser/.local/share/virtualenvs/news-site-columnist-8tsXn7bh/lib/python3.10/site-packages/sentry_sdk/utils.py in runner(1864)
  return sentry_patched_function(*args, **kwargs)

/home/youser/.local/share/virtualenvs/news-site-columnist-8tsXn7bh/lib/python3.10/site-packages/sentry_sdk/integrations/django/__init__.py in sentry_patched_wsgi_handler(191)
  return middleware(environ, start_response)

/home/youser/.local/share/virtualenvs/news-site-columnist-8tsXn7bh/lib/python3.10/site-packages/sentry_sdk/integrations/wsgi.py in __call__(132)
  response = self.app(

/home/youser/.local/share/virtualenvs/news-site-columnist-8tsXn7bh/lib/python3.10/site-packages/sentry_sdk/integrations/django/__init__.py in sentry_patched_get_response(478)
  rv = old_get_response(self, request)

/home/youser/.local/share/virtualenvs/news-site-columnist-8tsXn7bh/lib/python3.10/site-packages/sentry_sdk/integrations/django/middleware.py in __call__(177)
  return f(*args, **kwargs)

/home/youser/.local/share/virtualenvs/news-site-columnist-8tsXn7bh/lib/python3.10/site-packages/sentry_sdk/integrations/django/middleware.py in __call__(177)
  return f(*args, **kwargs)

/var/www/news-site-columnist/redirects/middleware/redirect_middleware.py in __call__(17)
  return self.get_response(request)

/home/youser/.local/share/virtualenvs/news-site-columnist-8tsXn7bh/lib/python3.10/site-packages/sentry_sdk/integrations/django/middleware.py in __call__(177)
  return f(*args, **kwargs)

/home/youser/.local/share/virtualenvs/news-site-columnist-8tsXn7bh/lib/python3.10/site-packages/sentry_sdk/integrations/django/middleware.py in __call__(177)
  return f(*args, **kwargs)

/home/youser/.local/share/virtualenvs/news-site-columnist-8tsXn7bh/lib/python3.10/site-packages/sentry_sdk/integrations/django/middleware.py in __call__(177)
  return f(*args, **kwargs)

/home/youser/.local/share/virtualenvs/news-site-columnist-8tsXn7bh/lib/python3.10/site-packages/sentry_sdk/integrations/django/middleware.py in __call__(177)
  return f(*args, **kwargs)

/home/youser/.local/share/virtualenvs/news-site-columnist-8tsXn7bh/lib/python3.10/site-packages/corsheaders/middleware.py in __call__(53)
  result = self.get_response(request)

/home/youser/.local/share/virtualenvs/news-site-columnist-8tsXn7bh/lib/python3.10/site-packages/sentry_sdk/integrations/django/middleware.py in __call__(177)
  return f(*args, **kwargs)

/home/youser/.local/share/virtualenvs/news-site-columnist-8tsXn7bh/lib/python3.10/site-packages/django_user_agents/middleware.py in __call__(14)
  return self.get_response(request)

/home/youser/.local/share/virtualenvs/news-site-columnist-8tsXn7bh/lib/python3.10/site-packages/sentry_sdk/integrations/django/middleware.py in __call__(177)
  return f(*args, **kwargs)

/home/youser/.local/share/virtualenvs/news-site-columnist-8tsXn7bh/lib/python3.10/site-packages/sentry_sdk/integrations/django/middleware.py in __call__(177)
  return f(*args, **kwargs)

/home/youser/.local/share/virtualenvs/news-site-columnist-8tsXn7bh/lib/python3.10/site-packages/sentry_sdk/integrations/django/middleware.py in __call__(177)
  return f(*args, **kwargs)

/home/youser/.local/share/virtualenvs/news-site-columnist-8tsXn7bh/lib/python3.10/site-packages/sentry_sdk/integrations/django/middleware.py in __call__(177)
  return f(*args, **kwargs)

/home/youser/.local/share/virtualenvs/news-site-columnist-8tsXn7bh/lib/python3.10/site-packages/sentry_sdk/integrations/django/middleware.py in __call__(177)
  return f(*args, **kwargs)

/home/youser/.local/share/virtualenvs/news-site-columnist-8tsXn7bh/lib/python3.10/site-packages/sentry_sdk/integrations/django/middleware.py in __call__(177)
  return f(*args, **kwargs)

/home/youser/.local/share/virtualenvs/news-site-columnist-8tsXn7bh/lib/python3.10/site-packages/sentry_sdk/integrations/django/middleware.py in __call__(177)
  return f(*args, **kwargs)

/home/youser/.local/share/virtualenvs/news-site-columnist-8tsXn7bh/lib/python3.10/site-packages/sentry_sdk/integrations/django/middleware.py in __call__(177)
  return f(*args, **kwargs)

/var/www/news-site-columnist/news/middleware/subdomain_middleare.py in __call__(22)
  response = self.get_response(request)

/home/youser/.local/share/virtualenvs/news-site-columnist-8tsXn7bh/lib/python3.10/site-packages/sentry_sdk/integrations/django/views.py in sentry_patched_render(41)
  return old_render(self)

/home/youser/.local/share/virtualenvs/news-site-columnist-8tsXn7bh/lib/python3.10/site-packages/django/template/response.py in render(114)
  self.content = self.rendered_content

/home/youser/.local/share/virtualenvs/news-site-columnist-8tsXn7bh/lib/python3.10/site-packages/sentry_sdk/utils.py in runner(1864)
  return sentry_patched_function(*args, **kwargs)

/home/youser/.local/share/virtualenvs/news-site-columnist-8tsXn7bh/lib/python3.10/site-packages/sentry_sdk/integrations/django/templates.py in rendered_content(77)
  return real_rendered_content.fget(self)

/home/youser/.local/share/virtualenvs/news-site-columnist-8tsXn7bh/lib/python3.10/site-packages/django/template/response.py in rendered_content(92)
  return template.render(context, self._request)

/home/youser/.local/share/virtualenvs/news-site-columnist-8tsXn7bh/lib/python3.10/site-packages/django/template/backends/django.py in render(61)
  return self.template.render(context)

/home/youser/.local/share/virtualenvs/news-site-columnist-8tsXn7bh/lib/python3.10/site-packages/template_timings_panel/panels/TemplateTimings.py in timing_hook(139)
  result = func(self, *args, **kwargs)

/home/youser/.local/share/virtualenvs/news-site-columnist-8tsXn7bh/lib/python3.10/site-packages/django/template/base.py in render(175)
  return self._render(context)

/home/youser/.local/share/virtualenvs/news-site-columnist-8tsXn7bh/lib/python3.10/site-packages/django/test/utils.py in instrumented_test_render(112)
  return self.nodelist.render(context)

/home/youser/.local/share/virtualenvs/news-site-columnist-8tsXn7bh/lib/python3.10/site-packages/django/template/base.py in render(1005)
  return SafeString("".join([node.render_annotated(context) for node in self]))

/home/youser/.local/share/virtualenvs/news-site-columnist-8tsXn7bh/lib/python3.10/site-packages/django/template/base.py in <listcomp>(1005)
  return SafeString("".join([node.render_annotated(context) for node in self]))

/home/youser/.local/share/virtualenvs/news-site-columnist-8tsXn7bh/lib/python3.10/site-packages/django/template/base.py in render_annotated(966)
  return self.render(context)

/home/youser/.local/share/virtualenvs/news-site-columnist-8tsXn7bh/lib/python3.10/site-packages/django/template/loader_tags.py in render(157)
  return compiled_parent._render(context)

/home/youser/.local/share/virtualenvs/news-site-columnist-8tsXn7bh/lib/python3.10/site-packages/django/test/utils.py in instrumented_test_render(112)
  return self.nodelist.render(context)

/home/youser/.local/share/virtualenvs/news-site-columnist-8tsXn7bh/lib/python3.10/site-packages/django/template/base.py in render(1005)
  return SafeString("".join([node.render_annotated(context) for node in self]))

/home/youser/.local/share/virtualenvs/news-site-columnist-8tsXn7bh/lib/python3.10/site-packages/django/template/base.py in <listcomp>(1005)
  return SafeString("".join([node.render_annotated(context) for node in self]))

/home/youser/.local/share/virtualenvs/news-site-columnist-8tsXn7bh/lib/python3.10/site-packages/django/template/base.py in render_annotated(966)
  return self.render(context)

/home/youser/.local/share/virtualenvs/news-site-columnist-8tsXn7bh/lib/python3.10/site-packages/template_timings_panel/panels/TemplateTimings.py in timing_hook(139)
  result = func(self, *args, **kwargs)

/home/youser/.local/share/virtualenvs/news-site-columnist-8tsXn7bh/lib/python3.10/site-packages/django/template/loader_tags.py in render(63)
  result = block.nodelist.render(context)

/home/youser/.local/share/virtualenvs/news-site-columnist-8tsXn7bh/lib/python3.10/site-packages/django/template/base.py in render(1005)
  return SafeString("".join([node.render_annotated(context) for node in self]))

/home/youser/.local/share/virtualenvs/news-site-columnist-8tsXn7bh/lib/python3.10/site-packages/django/template/base.py in <listcomp>(1005)
  return SafeString("".join([node.render_annotated(context) for node in self]))

/home/youser/.local/share/virtualenvs/news-site-columnist-8tsXn7bh/lib/python3.10/site-packages/django/template/base.py in render_annotated(966)
  return self.render(context)

/home/youser/.local/share/virtualenvs/news-site-columnist-8tsXn7bh/lib/python3.10/site-packages/template_timings_panel/panels/TemplateTimings.py in timing_hook(139)
  result = func(self, *args, **kwargs)

/home/youser/.local/share/virtualenvs/news-site-columnist-8tsXn7bh/lib/python3.10/site-packages/django/template/loader_tags.py in render(63)
  result = block.nodelist.render(context)

/home/youser/.local/share/virtualenvs/news-site-columnist-8tsXn7bh/lib/python3.10/site-packages/django/template/base.py in render(1005)
  return SafeString("".join([node.render_annotated(context) for node in self]))

/home/youser/.local/share/virtualenvs/news-site-columnist-8tsXn7bh/lib/python3.10/site-packages/django/template/base.py in <listcomp>(1005)
  return SafeString("".join([node.render_annotated(context) for node in self]))

/home/youser/.local/share/virtualenvs/news-site-columnist-8tsXn7bh/lib/python3.10/site-packages/django/template/base.py in render_annotated(966)
  return self.render(context)

/home/youser/.local/share/virtualenvs/news-site-columnist-8tsXn7bh/lib/python3.10/site-packages/django/template/loader_tags.py in render(208)
  return template.render(context)

/home/youser/.local/share/virtualenvs/news-site-columnist-8tsXn7bh/lib/python3.10/site-packages/template_timings_panel/panels/TemplateTimings.py in timing_hook(139)
  result = func(self, *args, **kwargs)

/home/youser/.local/share/virtualenvs/news-site-columnist-8tsXn7bh/lib/python3.10/site-packages/django/template/base.py in render(177)
  return self._render(context)

/home/youser/.local/share/virtualenvs/news-site-columnist-8tsXn7bh/lib/python3.10/site-packages/django/test/utils.py in instrumented_test_render(112)
  return self.nodelist.render(context)

/home/youser/.local/share/virtualenvs/news-site-columnist-8tsXn7bh/lib/python3.10/site-packages/django/template/base.py in render(1005)
  return SafeString("".join([node.render_annotated(context) for node in self]))

/home/youser/.local/share/virtualenvs/news-site-columnist-8tsXn7bh/lib/python3.10/site-packages/django/template/base.py in <listcomp>(1005)
  return SafeString("".join([node.render_annotated(context) for node in self]))

/home/youser/.local/share/virtualenvs/news-site-columnist-8tsXn7bh/lib/python3.10/site-packages/django/template/base.py in render_annotated(966)
  return self.render(context)

/home/youser/.local/share/virtualenvs/news-site-columnist-8tsXn7bh/lib/python3.10/site-packages/django/template/defaulttags.py in render(321)
  return nodelist.render(context)

/home/youser/.local/share/virtualenvs/news-site-columnist-8tsXn7bh/lib/python3.10/site-packages/django/template/base.py in render(1005)
  return SafeString("".join([node.render_annotated(context) for node in self]))

/home/youser/.local/share/virtualenvs/news-site-columnist-8tsXn7bh/lib/python3.10/site-packages/django/template/base.py in <listcomp>(1005)
  return SafeString("".join([node.render_annotated(context) for node in self]))

/home/youser/.local/share/virtualenvs/news-site-columnist-8tsXn7bh/lib/python3.10/site-packages/django/template/base.py in render_annotated(966)
  return self.render(context)

/home/youser/.local/share/virtualenvs/news-site-columnist-8tsXn7bh/lib/python3.10/site-packages/django/template/loader_tags.py in render(208)
  return template.render(context)

/home/youser/.local/share/virtualenvs/news-site-columnist-8tsXn7bh/lib/python3.10/site-packages/template_timings_panel/panels/TemplateTimings.py in timing_hook(139)
  result = func(self, *args, **kwargs)

/home/youser/.local/share/virtualenvs/news-site-columnist-8tsXn7bh/lib/python3.10/site-packages/django/template/base.py in render(177)
  return self._render(context)

/home/youser/.local/share/virtualenvs/news-site-columnist-8tsXn7bh/lib/python3.10/site-packages/django/test/utils.py in instrumented_test_render(112)
  return self.nodelist.render(context)

/home/youser/.local/share/virtualenvs/news-site-columnist-8tsXn7bh/lib/python3.10/site-packages/django/template/base.py in render(1005)
  return SafeString("".join([node.render_annotated(context) for node in self]))

/home/youser/.local/share/virtualenvs/news-site-columnist-8tsXn7bh/lib/python3.10/site-packages/django/template/base.py in <listcomp>(1005)
  return SafeString("".join([node.render_annotated(context) for node in self]))

/home/youser/.local/share/virtualenvs/news-site-columnist-8tsXn7bh/lib/python3.10/site-packages/django/template/base.py in render_annotated(966)
  return self.render(context)

/home/youser/.local/share/virtualenvs/news-site-columnist-8tsXn7bh/lib/python3.10/site-packages/django/template/defaulttags.py in render(321)
  return nodelist.render(context)

/home/youser/.local/share/virtualenvs/news-site-columnist-8tsXn7bh/lib/python3.10/site-packages/django/template/base.py in render(1005)
  return SafeString("".join([node.render_annotated(context) for node in self]))

/home/youser/.local/share/virtualenvs/news-site-columnist-8tsXn7bh/lib/python3.10/site-packages/django/template/base.py in <listcomp>(1005)
  return SafeString("".join([node.render_annotated(context) for node in self]))

/home/youser/.local/share/virtualenvs/news-site-columnist-8tsXn7bh/lib/python3.10/site-packages/django/template/base.py in render_annotated(966)
  return self.render(context)

/home/youser/.local/share/virtualenvs/news-site-columnist-8tsXn7bh/lib/python3.10/site-packages/django/template/defaulttags.py in render(321)
  return nodelist.render(context)

/home/youser/.local/share/virtualenvs/news-site-columnist-8tsXn7bh/lib/python3.10/site-packages/django/template/base.py in render(1005)
  return SafeString("".join([node.render_annotated(context) for node in self]))

/home/youser/.local/share/virtualenvs/news-site-columnist-8tsXn7bh/lib/python3.10/site-packages/django/template/base.py in <listcomp>(1005)
  return SafeString("".join([node.render_annotated(context) for node in self]))

/home/youser/.local/share/virtualenvs/news-site-columnist-8tsXn7bh/lib/python3.10/site-packages/django/template/base.py in render_annotated(966)
  return self.render(context)

/home/youser/.local/share/virtualenvs/news-site-columnist-8tsXn7bh/lib/python3.10/site-packages/template_timings_panel/panels/TemplateTimings.py in timing_hook(139)
  result = func(self, *args, **kwargs)

/home/youser/.local/share/virtualenvs/news-site-columnist-8tsXn7bh/lib/python3.10/site-packages/django/template/loader_tags.py in render(54)
  result = self.nodelist.render(context)

/home/youser/.local/share/virtualenvs/news-site-columnist-8tsXn7bh/lib/python3.10/site-packages/django/template/base.py in render(1005)
  return SafeString("".join([node.render_annotated(context) for node in self]))

/home/youser/.local/share/virtualenvs/news-site-columnist-8tsXn7bh/lib/python3.10/site-packages/django/template/base.py in <listcomp>(1005)
  return SafeString("".join([node.render_annotated(context) for node in self]))

/home/youser/.local/share/virtualenvs/news-site-columnist-8tsXn7bh/lib/python3.10/site-packages/django/template/base.py in render_annotated(966)
  return self.render(context)

/home/youser/.local/share/virtualenvs/news-site-columnist-8tsXn7bh/lib/python3.10/site-packages/django/template/library.py in render(237)
  output = self.func(*resolved_args, **resolved_kwargs)

/var/www/news-site-columnist/news/templatetags/component_tags.py in news_sidebar(216)
  return base_sidebar(

/var/www/news-site-columnist/news/templatetags/component_tags.py in base_sidebar(202)
  return loader.render_to_string(template, context_data)

/home/youser/.local/share/virtualenvs/news-site-columnist-8tsXn7bh/lib/python3.10/site-packages/django/template/loader.py in render_to_string(62)
  return template.render(context, request)

/home/youser/.local/share/virtualenvs/news-site-columnist-8tsXn7bh/lib/python3.10/site-packages/django/template/backends/django.py in render(61)
  return self.template.render(context)

/home/youser/.local/share/virtualenvs/news-site-columnist-8tsXn7bh/lib/python3.10/site-packages/template_timings_panel/panels/TemplateTimings.py in timing_hook(139)
  result = func(self, *args, **kwargs)

/home/youser/.local/share/virtualenvs/news-site-columnist-8tsXn7bh/lib/python3.10/site-packages/django/template/base.py in render(175)
  return self._render(context)

/home/youser/.local/share/virtualenvs/news-site-columnist-8tsXn7bh/lib/python3.10/site-packages/django/test/utils.py in instrumented_test_render(112)
  return self.nodelist.render(context)

/home/youser/.local/share/virtualenvs/news-site-columnist-8tsXn7bh/lib/python3.10/site-packages/django/template/base.py in render(1005)
  return SafeString("".join([node.render_annotated(context) for node in self]))

/home/youser/.local/share/virtualenvs/news-site-columnist-8tsXn7bh/lib/python3.10/site-packages/django/template/base.py in <listcomp>(1005)
  return SafeString("".join([node.render_annotated(context) for node in self]))

/home/youser/.local/share/virtualenvs/news-site-columnist-8tsXn7bh/lib/python3.10/site-packages/django/template/base.py in render_annotated(966)
  return self.render(context)

/home/youser/.local/share/virtualenvs/news-site-columnist-8tsXn7bh/lib/python3.10/site-packages/django/template/loader_tags.py in render(208)
  return template.render(context)

/home/youser/.local/share/virtualenvs/news-site-columnist-8tsXn7bh/lib/python3.10/site-packages/template_timings_panel/panels/TemplateTimings.py in timing_hook(139)
  result = func(self, *args, **kwargs)

/home/youser/.local/share/virtualenvs/news-site-columnist-8tsXn7bh/lib/python3.10/site-packages/django/template/base.py in render(177)
  return self._render(context)

/home/youser/.local/share/virtualenvs/news-site-columnist-8tsXn7bh/lib/python3.10/site-packages/django/test/utils.py in instrumented_test_render(112)
  return self.nodelist.render(context)

/home/youser/.local/share/virtualenvs/news-site-columnist-8tsXn7bh/lib/python3.10/site-packages/django/template/base.py in render(1005)
  return SafeString("".join([node.render_annotated(context) for node in self]))

/home/youser/.local/share/virtualenvs/news-site-columnist-8tsXn7bh/lib/python3.10/site-packages/django/template/base.py in <listcomp>(1005)
  return SafeString("".join([node.render_annotated(context) for node in self]))

/home/youser/.local/share/virtualenvs/news-site-columnist-8tsXn7bh/lib/python3.10/site-packages/django/template/base.py in render_annotated(966)
  return self.render(context)

/home/youser/.local/share/virtualenvs/news-site-columnist-8tsXn7bh/lib/python3.10/site-packages/django/template/defaulttags.py in render(321)
  return nodelist.render(context)

/home/youser/.local/share/virtualenvs/news-site-columnist-8tsXn7bh/lib/python3.10/site-packages/django/template/base.py in render(1005)
  return SafeString("".join([node.render_annotated(context) for node in self]))

/home/youser/.local/share/virtualenvs/news-site-columnist-8tsXn7bh/lib/python3.10/site-packages/django/template/base.py in <listcomp>(1005)
  return SafeString("".join([node.render_annotated(context) for node in self]))

/home/youser/.local/share/virtualenvs/news-site-columnist-8tsXn7bh/lib/python3.10/site-packages/django/template/base.py in render_annotated(966)
  return self.render(context)

/home/youser/.local/share/virtualenvs/news-site-columnist-8tsXn7bh/lib/python3.10/site-packages/django/template/defaulttags.py in render(368)
  for key, val in groupby(

/home/youser/.local/share/virtualenvs/news-site-columnist-8tsXn7bh/lib/python3.10/site-packages/polymorphic/query.py in _polymorphic_iterator(57)
  o = next(base_iter)

4 {% if LANGUAGE_CODE == 'en' %}
5 {% regroup object_list by translated_at|my_datetime:'d MMMM' as newslist %}
6 {% else %}
7 {% regroup object_list by publish_at|my_datetime:'d MMMM' as newslist %}
8 {% endif %}
9
10 {% for page in newslist %}
11 {% if not class == 'sidebar-popular' %}

/var/www/news-site-columnist/news/templates/new-design/includes/news_sidebars/post_list_quick.html

SELECT DISTINCT "post"."created_at",
       "post"."seo_title",
       "post"."seo_title_uk",
       "post"."seo_title_en",
       "post"."seo_title_ru",
       "post"."seo_description",
       "post"."seo_description_uk",
       "post"."seo_description_en",
       "post"."seo_description_ru",
       "post"."seo_keywords",
       "post"."seo_keywords_uk",
       "post"."seo_keywords_en",
       "post"."seo_keywords_ru",
       "post"."seo_header_one",
       "post"."seo_header_one_uk",
       "post"."seo_header_one_en",
       "post"."seo_header_one_ru",
       "post"."created_by",
       "post"."updated_by",
       "post"."polymorphic_ctype_id",
       "post"."id",
       "post"."head",
       "post"."head_uk",
       "post"."head_en",
       "post"."head_ru",
       "post"."sub_head",
       "post"."sub_head_uk",
       "post"."sub_head_en",
       "post"."sub_head_ru",
       "post"."content",
       "post"."content_uk",
       "post"."content_en",
       "post"."content_ru",
       "post"."author_id",
       "post"."seo_tag_id",
       "post"."publish_at",
       "post"."translated_at",
       "post"."updated_at",
       "post"."show_updated_at",
       "post"."slug",
       "post"."slug_uk",
       "post"."slug_en",
       "post"."slug_ru",
       "post"."aplication_type",
       "post"."last_editor_id",
       "post"."status",
       "post"."show_at_homepage",
       "post"."show_at_news_feed",
       "post"."show_on_broadcast_page",
       "post"."is_category_top",
       "post"."is_homepage_top",
       "post"."is_homepage_top_uk",
       "post"."is_homepage_top_en",
       "post"."is_homepage_top_ru",
       "post"."id_sponsored",
       "post"."is_lightning",
       "post"."is_exclusive",
       "post"."is_photo_report",
       "post"."is_post",
       "post"."is_article",
       "post"."main_page_img_full_width",
       "post"."need_hires",
       "post"."has_photo",
       "post"."has_video",
       "post"."is_editors_choise",
       "post"."show_in_sidebar",
       "post"."category_id",
       "post"."old_category_id",
       "post"."past_region",
       "post"."year_of_war",
       "post"."breaking_news",
       "post"."without_img",
       "post"."show_stories_block",
       "post"."display_type",
       "post"."image",
       "post"."image_alt",
       "post"."image_alt_uk",
       "post"."image_alt_en",
       "post"."image_alt_ru",
       "post"."seo_image",
       "post"."text_under_image",
       "post"."text_under_image_uk",
       "post"."text_under_image_en",
       "post"."text_under_image_ru",
       "post"."image_source",
       "post"."image_source_uk",
       "post"."image_source_en",
       "post"."image_source_ru",
       "post"."theme_id",
       "post"."is_nofollow_disabled",
       "post"."audio_content_id",
       "post"."audio_content_uk_id",
       "post"."audio_content_en_id",
       "post"."audio_content_ru_id",
       "post"."views",
       "post"."views_uk",
       "post"."views_ru",
       "post"."views_analytics",
       "post"."views_analytics_ru",
       "post"."views_analytics_uk",
       "post"."views_analytics_at",
       "post"."busy_by_id",
       "post"."image_editor_id",
       "post"."release_editor_id",
       "post"."special_type",
       "post"."head_longer_than_100",
       "post"."uk_has_translation",
       "post"."ru_has_translation",
       "post"."en_has_translation",
       "post"."homepage_slider_text",
       "post"."homepage_slider_text_uk",
       "post"."homepage_slider_text_en",
       "post"."homepage_slider_text_ru",
       CASE WHEN "post"."polymorphic_ctype_id" = 60 THEN true
            ELSE false
             END AS "is_videopost",
       CASE WHEN "post"."polymorphic_ctype_id" = 60 THEN "news_videopost"."youtube_video_url"
            ELSE NULL
             END AS "youtube_video_url",
       CASE WHEN "post"."polymorphic_ctype_id" = 81 THEN true
            ELSE false
             END AS "is_column_post",
       "news_videopost"."is_icon_hidden" AS "is_icon_hidden",
       "category"."id",
       "category"."created_at",
       "category"."updated_at",
       "category"."seo_title",
       "category"."seo_title_uk",
       "category"."seo_title_en",
       "category"."seo_title_ru",
       "category"."seo_description",
       "category"."seo_description_uk",
       "category"."seo_description_en",
       "category"."seo_description_ru",
       "category"."seo_keywords",
       "category"."seo_keywords_uk",
       "category"."seo_keywords_en",
       "category"."seo_keywords_ru",
       "category"."seo_header_one",
       "category"."seo_header_one_uk",
       "category"."seo_header_one_en",
       "category"."seo_header_one_ru",
       "category"."seo_news_title",
       "category"."seo_news_title_uk",
       "category"."seo_news_title_en",
       "category"."seo_news_title_ru",
       "category"."seo_news_description",
       "category"."seo_news_description_uk",
       "category"."seo_news_description_en",
       "category"."seo_news_description_ru",
       "category"."subdomain",
       "category"."parent_id",
       "category"."image",
       "category"."is_active",
       "category"."is_rss_active",
       "category"."is_interesting",
       "category"."ticker_rss_active",
       "category"."show_home",
       "category"."show_home_en",
       "category"."show_video",
       "category"."show_menu",
       "category"."show_menu_uk",
       "category"."show_menu_en",
       "category"."show_menu_ru",
       "category"."show_footer",
       "category"."show_menu_in_en",
       "category"."show_footer_in_en",
       "category"."show_in_search",
       "category"."show_in_header",
       "category"."show_in_header_uk",
       "category"."show_in_header_en",
       "category"."show_in_header_ru",
       "category"."seo_tag_id",
       "category"."sort_weight",
       "category"."sort_weight_en",
       "category"."header_sort_weight",
       "category"."header_sort_weight_uk",
       "category"."header_sort_weight_en",
       "category"."header_sort_weight_ru",
       "category"."footer_sort_weight",
       "category"."menu_sort_weight",
       "category"."name",
       "category"."name_uk",
       "category"."name_en",
       "category"."name_ru",
       "category"."slug",
       "category"."description",
       "category"."description_uk",
       "category"."description_en",
       "category"."description_ru",
       "category"."fb_link",
       "category"."tg_link",
       "category"."show_banner",
       "category"."uk_has_translation",
       "category"."ru_has_translation",
       "category"."en_has_translation",
       "category"."has_infinite_scroll",
       "category"."_show_home_without_subdomain",
       "category"."_show_home_without_subdomain_en",
       "category"."background_id",
       "category"."use_old_design",
       "category"."use_old_design_for_posts",
       "category"."is_context_category",
       "category"."show_stories_on_main",
       "category"."show_posts_table_of_contents",
       "category"."svg_icon",
       T5."id",
       T5."created_at",
       T5."updated_at",
       T5."seo_title",
       T5."seo_title_uk",
       T5."seo_title_en",
       T5."seo_title_ru",
       T5."seo_description",
       T5."seo_description_uk",
       T5."seo_description_en",
       T5."seo_description_ru",
       T5."seo_keywords",
       T5."seo_keywords_uk",
       T5."seo_keywords_en",
       T5."seo_keywords_ru",
       T5."seo_header_one",
       T5."seo_header_one_uk",
       T5."seo_header_one_en",
       T5."seo_header_one_ru",
       T5."seo_news_title",
       T5."seo_news_title_uk",
       T5."seo_news_title_en",
       T5."seo_news_title_ru",
       T5."seo_news_description",
       T5."seo_news_description_uk",
       T5."seo_news_description_en",
       T5."seo_news_description_ru",
       T5."subdomain",
       T5."parent_id",
       T5."image",
       T5."is_active",
       T5."is_rss_active",
       T5."is_interesting",
       T5."ticker_rss_active",
       T5."show_home",
       T5."show_home_en",
       T5."show_video",
       T5."show_menu",
       T5."show_menu_uk",
       T5."show_menu_en",
       T5."show_menu_ru",
       T5."show_footer",
       T5."show_menu_in_en",
       T5."show_footer_in_en",
       T5."show_in_search",
       T5."show_in_header",
       T5."show_in_header_uk",
       T5."show_in_header_en",
       T5."show_in_header_ru",
       T5."seo_tag_id",
       T5."sort_weight",
       T5."sort_weight_en",
       T5."header_sort_weight",
       T5."header_sort_weight_uk",
       T5."header_sort_weight_en",
       T5."header_sort_weight_ru",
       T5."footer_sort_weight",
       T5."menu_sort_weight",
       T5."name",
       T5."name_uk",
       T5."name_en",
       T5."name_ru",
       T5."slug",
       T5."description",
       T5."description_uk",
       T5."description_en",
       T5."description_ru",
       T5."fb_link",
       T5."tg_link",
       T5."show_banner",
       T5."uk_has_translation",
       T5."ru_has_translation",
       T5."en_has_translation",
       T5."has_infinite_scroll",
       T5."_show_home_without_subdomain",
       T5."_show_home_without_subdomain_en",
       T5."background_id",
       T5."use_old_design",
       T5."use_old_design_for_posts",
       T5."is_context_category",
       T5."show_stories_on_main",
       T5."show_posts_table_of_contents",
       T5."svg_icon"
  FROM "post"
  LEFT OUTER JOIN "news_videopost"
    ON ("post"."id" = "news_videopost"."post_ptr_id")
  LEFT OUTER JOIN "category"
    ON ("post"."category_id" = "category"."id")
  LEFT OUTER JOIN "category" T5
    ON ("category"."parent_id" = T5."id")
 WHERE ("post"."ru_has_translation" AND NOT ("post"."polymorphic_ctype_id" = 64 AND "post"."polymorphic_ctype_id" IS NOT NULL) AND "post"."publish_at" <= '2026-02-12T09:55:41.012004+00:00'::timestamptz AND "post"."status" = 2 AND "post"."show_in_sidebar" AND "post"."show_at_news_feed" AND "post"."publish_at" >= '2025-07-23T10:02:00+00:00'::timestamptz AND "post"."is_article" AND NOT CASE WHEN ("post"."polymorphic_ctype_id" = 60) THEN true ELSE false END)
 ORDER BY "post"."publish_at" DESC
 LIMIT 10
SELECT ••• FROM "post" LEFT OUTER JOIN "news_videopost" ON ("post"."id" = "news_videopost"."post_ptr_id") LEFT OUTER JOIN "category" ON ("post"."category_id" = "category"."id") LEFT OUTER JOIN "category" T5 ON ("category"."parent_id" = T5."id") WHERE ("post"."ru_has_translation" AND NOT ("post"."polymorphic_ctype_id" = 64 AND "post"."polymorphic_ctype_id" IS NOT NULL) AND "post"."publish_at" <= '2026-02-12T09:55:41.012004+00:00'::timestamptz AND "post"."status" = 2 AND "post"."show_in_sidebar" AND "post"."show_at_news_feed" AND "post"."publish_at" >= '2025-07-23T10:02:00+00:00'::timestamptz AND "post"."is_article" AND NOT CASE WHEN ("post"."polymorphic_ctype_id" = 60) THEN true ELSE false END) ORDER BY "post"."publish_at" DESC LIMIT 10
67,21

Соединение: default

Статус транзакции: Ожидание

/home/youser/.local/share/virtualenvs/news-site-columnist-8tsXn7bh/bin/gunicorn in <module>(8)
  sys.exit(run())

/home/youser/.local/share/virtualenvs/news-site-columnist-8tsXn7bh/lib/python3.10/site-packages/gunicorn/app/wsgiapp.py in run(66)
  WSGIApplication("%(prog)s [OPTIONS] [APP_MODULE]", prog=prog).run()

/home/youser/.local/share/virtualenvs/news-site-columnist-8tsXn7bh/lib/python3.10/site-packages/gunicorn/app/base.py in run(235)
  super().run()

/home/youser/.local/share/virtualenvs/news-site-columnist-8tsXn7bh/lib/python3.10/site-packages/gunicorn/app/base.py in run(71)
  Arbiter(self).run()

/home/youser/.local/share/virtualenvs/news-site-columnist-8tsXn7bh/lib/python3.10/site-packages/gunicorn/arbiter.py in run(210)
  self.manage_workers()

/home/youser/.local/share/virtualenvs/news-site-columnist-8tsXn7bh/lib/python3.10/site-packages/gunicorn/arbiter.py in manage_workers(570)
  self.spawn_workers()

/home/youser/.local/share/virtualenvs/news-site-columnist-8tsXn7bh/lib/python3.10/site-packages/gunicorn/arbiter.py in spawn_workers(641)
  self.spawn_worker()

/home/youser/.local/share/virtualenvs/news-site-columnist-8tsXn7bh/lib/python3.10/site-packages/gunicorn/arbiter.py in spawn_worker(608)
  worker.init_process()

/home/youser/.local/share/virtualenvs/news-site-columnist-8tsXn7bh/lib/python3.10/site-packages/gunicorn/workers/base.py in init_process(143)
  self.run()

/home/youser/.local/share/virtualenvs/news-site-columnist-8tsXn7bh/lib/python3.10/site-packages/gunicorn/workers/sync.py in run(125)
  self.run_for_one(timeout)

/home/youser/.local/share/virtualenvs/news-site-columnist-8tsXn7bh/lib/python3.10/site-packages/gunicorn/workers/sync.py in run_for_one(69)
  self.accept(listener)

/home/youser/.local/share/virtualenvs/news-site-columnist-8tsXn7bh/lib/python3.10/site-packages/gunicorn/workers/sync.py in accept(31)
  self.handle(listener, client, addr)

/home/youser/.local/share/virtualenvs/news-site-columnist-8tsXn7bh/lib/python3.10/site-packages/gunicorn/workers/sync.py in handle(134)
  self.handle_request(listener, req, client, addr)

/home/youser/.local/share/virtualenvs/news-site-columnist-8tsXn7bh/lib/python3.10/site-packages/gunicorn/workers/sync.py in handle_request(177)
  respiter = self.wsgi(environ, resp.start_response)

/home/youser/.local/share/virtualenvs/news-site-columnist-8tsXn7bh/lib/python3.10/site-packages/sentry_sdk/utils.py in runner(1864)
  return sentry_patched_function(*args, **kwargs)

/home/youser/.local/share/virtualenvs/news-site-columnist-8tsXn7bh/lib/python3.10/site-packages/sentry_sdk/integrations/django/__init__.py in sentry_patched_wsgi_handler(191)
  return middleware(environ, start_response)

/home/youser/.local/share/virtualenvs/news-site-columnist-8tsXn7bh/lib/python3.10/site-packages/sentry_sdk/integrations/wsgi.py in __call__(132)
  response = self.app(

/home/youser/.local/share/virtualenvs/news-site-columnist-8tsXn7bh/lib/python3.10/site-packages/sentry_sdk/integrations/django/__init__.py in sentry_patched_get_response(478)
  rv = old_get_response(self, request)

/home/youser/.local/share/virtualenvs/news-site-columnist-8tsXn7bh/lib/python3.10/site-packages/sentry_sdk/integrations/django/middleware.py in __call__(177)
  return f(*args, **kwargs)

/home/youser/.local/share/virtualenvs/news-site-columnist-8tsXn7bh/lib/python3.10/site-packages/sentry_sdk/integrations/django/middleware.py in __call__(177)
  return f(*args, **kwargs)

/var/www/news-site-columnist/redirects/middleware/redirect_middleware.py in __call__(17)
  return self.get_response(request)

/home/youser/.local/share/virtualenvs/news-site-columnist-8tsXn7bh/lib/python3.10/site-packages/sentry_sdk/integrations/django/middleware.py in __call__(177)
  return f(*args, **kwargs)

/home/youser/.local/share/virtualenvs/news-site-columnist-8tsXn7bh/lib/python3.10/site-packages/sentry_sdk/integrations/django/middleware.py in __call__(177)
  return f(*args, **kwargs)

/home/youser/.local/share/virtualenvs/news-site-columnist-8tsXn7bh/lib/python3.10/site-packages/sentry_sdk/integrations/django/middleware.py in __call__(177)
  return f(*args, **kwargs)

/home/youser/.local/share/virtualenvs/news-site-columnist-8tsXn7bh/lib/python3.10/site-packages/sentry_sdk/integrations/django/middleware.py in __call__(177)
  return f(*args, **kwargs)

/home/youser/.local/share/virtualenvs/news-site-columnist-8tsXn7bh/lib/python3.10/site-packages/corsheaders/middleware.py in __call__(53)
  result = self.get_response(request)

/home/youser/.local/share/virtualenvs/news-site-columnist-8tsXn7bh/lib/python3.10/site-packages/sentry_sdk/integrations/django/middleware.py in __call__(177)
  return f(*args, **kwargs)

/home/youser/.local/share/virtualenvs/news-site-columnist-8tsXn7bh/lib/python3.10/site-packages/django_user_agents/middleware.py in __call__(14)
  return self.get_response(request)

/home/youser/.local/share/virtualenvs/news-site-columnist-8tsXn7bh/lib/python3.10/site-packages/sentry_sdk/integrations/django/middleware.py in __call__(177)
  return f(*args, **kwargs)

/home/youser/.local/share/virtualenvs/news-site-columnist-8tsXn7bh/lib/python3.10/site-packages/sentry_sdk/integrations/django/middleware.py in __call__(177)
  return f(*args, **kwargs)

/home/youser/.local/share/virtualenvs/news-site-columnist-8tsXn7bh/lib/python3.10/site-packages/sentry_sdk/integrations/django/middleware.py in __call__(177)
  return f(*args, **kwargs)

/home/youser/.local/share/virtualenvs/news-site-columnist-8tsXn7bh/lib/python3.10/site-packages/sentry_sdk/integrations/django/middleware.py in __call__(177)
  return f(*args, **kwargs)

/home/youser/.local/share/virtualenvs/news-site-columnist-8tsXn7bh/lib/python3.10/site-packages/sentry_sdk/integrations/django/middleware.py in __call__(177)
  return f(*args, **kwargs)

/home/youser/.local/share/virtualenvs/news-site-columnist-8tsXn7bh/lib/python3.10/site-packages/sentry_sdk/integrations/django/middleware.py in __call__(177)
  return f(*args, **kwargs)

/home/youser/.local/share/virtualenvs/news-site-columnist-8tsXn7bh/lib/python3.10/site-packages/sentry_sdk/integrations/django/middleware.py in __call__(177)
  return f(*args, **kwargs)

/home/youser/.local/share/virtualenvs/news-site-columnist-8tsXn7bh/lib/python3.10/site-packages/sentry_sdk/integrations/django/middleware.py in __call__(177)
  return f(*args, **kwargs)

/var/www/news-site-columnist/news/middleware/subdomain_middleare.py in __call__(22)
  response = self.get_response(request)

/home/youser/.local/share/virtualenvs/news-site-columnist-8tsXn7bh/lib/python3.10/site-packages/sentry_sdk/integrations/django/views.py in sentry_patched_render(41)
  return old_render(self)

/home/youser/.local/share/virtualenvs/news-site-columnist-8tsXn7bh/lib/python3.10/site-packages/django/template/response.py in render(114)
  self.content = self.rendered_content

/home/youser/.local/share/virtualenvs/news-site-columnist-8tsXn7bh/lib/python3.10/site-packages/sentry_sdk/utils.py in runner(1864)
  return sentry_patched_function(*args, **kwargs)

/home/youser/.local/share/virtualenvs/news-site-columnist-8tsXn7bh/lib/python3.10/site-packages/sentry_sdk/integrations/django/templates.py in rendered_content(77)
  return real_rendered_content.fget(self)

/home/youser/.local/share/virtualenvs/news-site-columnist-8tsXn7bh/lib/python3.10/site-packages/django/template/response.py in rendered_content(92)
  return template.render(context, self._request)

/home/youser/.local/share/virtualenvs/news-site-columnist-8tsXn7bh/lib/python3.10/site-packages/django/template/backends/django.py in render(61)
  return self.template.render(context)

/home/youser/.local/share/virtualenvs/news-site-columnist-8tsXn7bh/lib/python3.10/site-packages/template_timings_panel/panels/TemplateTimings.py in timing_hook(139)
  result = func(self, *args, **kwargs)

/home/youser/.local/share/virtualenvs/news-site-columnist-8tsXn7bh/lib/python3.10/site-packages/django/template/base.py in render(175)
  return self._render(context)

/home/youser/.local/share/virtualenvs/news-site-columnist-8tsXn7bh/lib/python3.10/site-packages/django/test/utils.py in instrumented_test_render(112)
  return self.nodelist.render(context)

/home/youser/.local/share/virtualenvs/news-site-columnist-8tsXn7bh/lib/python3.10/site-packages/django/template/base.py in render(1005)
  return SafeString("".join([node.render_annotated(context) for node in self]))

/home/youser/.local/share/virtualenvs/news-site-columnist-8tsXn7bh/lib/python3.10/site-packages/django/template/base.py in <listcomp>(1005)
  return SafeString("".join([node.render_annotated(context) for node in self]))

/home/youser/.local/share/virtualenvs/news-site-columnist-8tsXn7bh/lib/python3.10/site-packages/django/template/base.py in render_annotated(966)
  return self.render(context)

/home/youser/.local/share/virtualenvs/news-site-columnist-8tsXn7bh/lib/python3.10/site-packages/django/template/loader_tags.py in render(157)
  return compiled_parent._render(context)

/home/youser/.local/share/virtualenvs/news-site-columnist-8tsXn7bh/lib/python3.10/site-packages/django/test/utils.py in instrumented_test_render(112)
  return self.nodelist.render(context)

/home/youser/.local/share/virtualenvs/news-site-columnist-8tsXn7bh/lib/python3.10/site-packages/django/template/base.py in render(1005)
  return SafeString("".join([node.render_annotated(context) for node in self]))

/home/youser/.local/share/virtualenvs/news-site-columnist-8tsXn7bh/lib/python3.10/site-packages/django/template/base.py in <listcomp>(1005)
  return SafeString("".join([node.render_annotated(context) for node in self]))

/home/youser/.local/share/virtualenvs/news-site-columnist-8tsXn7bh/lib/python3.10/site-packages/django/template/base.py in render_annotated(966)
  return self.render(context)

/home/youser/.local/share/virtualenvs/news-site-columnist-8tsXn7bh/lib/python3.10/site-packages/template_timings_panel/panels/TemplateTimings.py in timing_hook(139)
  result = func(self, *args, **kwargs)

/home/youser/.local/share/virtualenvs/news-site-columnist-8tsXn7bh/lib/python3.10/site-packages/django/template/loader_tags.py in render(63)
  result = block.nodelist.render(context)

/home/youser/.local/share/virtualenvs/news-site-columnist-8tsXn7bh/lib/python3.10/site-packages/django/template/base.py in render(1005)
  return SafeString("".join([node.render_annotated(context) for node in self]))

/home/youser/.local/share/virtualenvs/news-site-columnist-8tsXn7bh/lib/python3.10/site-packages/django/template/base.py in <listcomp>(1005)
  return SafeString("".join([node.render_annotated(context) for node in self]))

/home/youser/.local/share/virtualenvs/news-site-columnist-8tsXn7bh/lib/python3.10/site-packages/django/template/base.py in render_annotated(966)
  return self.render(context)

/home/youser/.local/share/virtualenvs/news-site-columnist-8tsXn7bh/lib/python3.10/site-packages/template_timings_panel/panels/TemplateTimings.py in timing_hook(139)
  result = func(self, *args, **kwargs)

/home/youser/.local/share/virtualenvs/news-site-columnist-8tsXn7bh/lib/python3.10/site-packages/django/template/loader_tags.py in render(63)
  result = block.nodelist.render(context)

/home/youser/.local/share/virtualenvs/news-site-columnist-8tsXn7bh/lib/python3.10/site-packages/django/template/base.py in render(1005)
  return SafeString("".join([node.render_annotated(context) for node in self]))

/home/youser/.local/share/virtualenvs/news-site-columnist-8tsXn7bh/lib/python3.10/site-packages/django/template/base.py in <listcomp>(1005)
  return SafeString("".join([node.render_annotated(context) for node in self]))

/home/youser/.local/share/virtualenvs/news-site-columnist-8tsXn7bh/lib/python3.10/site-packages/django/template/base.py in render_annotated(966)
  return self.render(context)

/home/youser/.local/share/virtualenvs/news-site-columnist-8tsXn7bh/lib/python3.10/site-packages/django/template/loader_tags.py in render(208)
  return template.render(context)

/home/youser/.local/share/virtualenvs/news-site-columnist-8tsXn7bh/lib/python3.10/site-packages/template_timings_panel/panels/TemplateTimings.py in timing_hook(139)
  result = func(self, *args, **kwargs)

/home/youser/.local/share/virtualenvs/news-site-columnist-8tsXn7bh/lib/python3.10/site-packages/django/template/base.py in render(177)
  return self._render(context)

/home/youser/.local/share/virtualenvs/news-site-columnist-8tsXn7bh/lib/python3.10/site-packages/django/test/utils.py in instrumented_test_render(112)
  return self.nodelist.render(context)

/home/youser/.local/share/virtualenvs/news-site-columnist-8tsXn7bh/lib/python3.10/site-packages/django/template/base.py in render(1005)
  return SafeString("".join([node.render_annotated(context) for node in self]))

/home/youser/.local/share/virtualenvs/news-site-columnist-8tsXn7bh/lib/python3.10/site-packages/django/template/base.py in <listcomp>(1005)
  return SafeString("".join([node.render_annotated(context) for node in self]))

/home/youser/.local/share/virtualenvs/news-site-columnist-8tsXn7bh/lib/python3.10/site-packages/django/template/base.py in render_annotated(966)
  return self.render(context)

/home/youser/.local/share/virtualenvs/news-site-columnist-8tsXn7bh/lib/python3.10/site-packages/django/template/defaulttags.py in render(321)
  return nodelist.render(context)

/home/youser/.local/share/virtualenvs/news-site-columnist-8tsXn7bh/lib/python3.10/site-packages/django/template/base.py in render(1005)
  return SafeString("".join([node.render_annotated(context) for node in self]))

/home/youser/.local/share/virtualenvs/news-site-columnist-8tsXn7bh/lib/python3.10/site-packages/django/template/base.py in <listcomp>(1005)
  return SafeString("".join([node.render_annotated(context) for node in self]))

/home/youser/.local/share/virtualenvs/news-site-columnist-8tsXn7bh/lib/python3.10/site-packages/django/template/base.py in render_annotated(966)
  return self.render(context)

/home/youser/.local/share/virtualenvs/news-site-columnist-8tsXn7bh/lib/python3.10/site-packages/django/template/loader_tags.py in render(208)
  return template.render(context)

/home/youser/.local/share/virtualenvs/news-site-columnist-8tsXn7bh/lib/python3.10/site-packages/template_timings_panel/panels/TemplateTimings.py in timing_hook(139)
  result = func(self, *args, **kwargs)

/home/youser/.local/share/virtualenvs/news-site-columnist-8tsXn7bh/lib/python3.10/site-packages/django/template/base.py in render(177)
  return self._render(context)

/home/youser/.local/share/virtualenvs/news-site-columnist-8tsXn7bh/lib/python3.10/site-packages/django/test/utils.py in instrumented_test_render(112)
  return self.nodelist.render(context)

/home/youser/.local/share/virtualenvs/news-site-columnist-8tsXn7bh/lib/python3.10/site-packages/django/template/base.py in render(1005)
  return SafeString("".join([node.render_annotated(context) for node in self]))

/home/youser/.local/share/virtualenvs/news-site-columnist-8tsXn7bh/lib/python3.10/site-packages/django/template/base.py in <listcomp>(1005)
  return SafeString("".join([node.render_annotated(context) for node in self]))

/home/youser/.local/share/virtualenvs/news-site-columnist-8tsXn7bh/lib/python3.10/site-packages/django/template/base.py in render_annotated(966)
  return self.render(context)

/home/youser/.local/share/virtualenvs/news-site-columnist-8tsXn7bh/lib/python3.10/site-packages/django/template/defaulttags.py in render(321)
  return nodelist.render(context)

/home/youser/.local/share/virtualenvs/news-site-columnist-8tsXn7bh/lib/python3.10/site-packages/django/template/base.py in render(1005)
  return SafeString("".join([node.render_annotated(context) for node in self]))

/home/youser/.local/share/virtualenvs/news-site-columnist-8tsXn7bh/lib/python3.10/site-packages/django/template/base.py in <listcomp>(1005)
  return SafeString("".join([node.render_annotated(context) for node in self]))

/home/youser/.local/share/virtualenvs/news-site-columnist-8tsXn7bh/lib/python3.10/site-packages/django/template/base.py in render_annotated(966)
  return self.render(context)

/home/youser/.local/share/virtualenvs/news-site-columnist-8tsXn7bh/lib/python3.10/site-packages/django/template/defaulttags.py in render(321)
  return nodelist.render(context)

/home/youser/.local/share/virtualenvs/news-site-columnist-8tsXn7bh/lib/python3.10/site-packages/django/template/base.py in render(1005)
  return SafeString("".join([node.render_annotated(context) for node in self]))

/home/youser/.local/share/virtualenvs/news-site-columnist-8tsXn7bh/lib/python3.10/site-packages/django/template/base.py in <listcomp>(1005)
  return SafeString("".join([node.render_annotated(context) for node in self]))

/home/youser/.local/share/virtualenvs/news-site-columnist-8tsXn7bh/lib/python3.10/site-packages/django/template/base.py in render_annotated(966)
  return self.render(context)

/home/youser/.local/share/virtualenvs/news-site-columnist-8tsXn7bh/lib/python3.10/site-packages/template_timings_panel/panels/TemplateTimings.py in timing_hook(139)
  result = func(self, *args, **kwargs)

/home/youser/.local/share/virtualenvs/news-site-columnist-8tsXn7bh/lib/python3.10/site-packages/django/template/loader_tags.py in render(54)
  result = self.nodelist.render(context)

/home/youser/.local/share/virtualenvs/news-site-columnist-8tsXn7bh/lib/python3.10/site-packages/django/template/base.py in render(1005)
  return SafeString("".join([node.render_annotated(context) for node in self]))

/home/youser/.local/share/virtualenvs/news-site-columnist-8tsXn7bh/lib/python3.10/site-packages/django/template/base.py in <listcomp>(1005)
  return SafeString("".join([node.render_annotated(context) for node in self]))

/home/youser/.local/share/virtualenvs/news-site-columnist-8tsXn7bh/lib/python3.10/site-packages/django/template/base.py in render_annotated(966)
  return self.render(context)

/home/youser/.local/share/virtualenvs/news-site-columnist-8tsXn7bh/lib/python3.10/site-packages/django/template/library.py in render(237)
  output = self.func(*resolved_args, **resolved_kwargs)

/var/www/news-site-columnist/news/templatetags/component_tags.py in news_sidebar(216)
  return base_sidebar(

/var/www/news-site-columnist/news/templatetags/component_tags.py in base_sidebar(202)
  return loader.render_to_string(template, context_data)

/home/youser/.local/share/virtualenvs/news-site-columnist-8tsXn7bh/lib/python3.10/site-packages/django/template/loader.py in render_to_string(62)
  return template.render(context, request)

/home/youser/.local/share/virtualenvs/news-site-columnist-8tsXn7bh/lib/python3.10/site-packages/django/template/backends/django.py in render(61)
  return self.template.render(context)

/home/youser/.local/share/virtualenvs/news-site-columnist-8tsXn7bh/lib/python3.10/site-packages/template_timings_panel/panels/TemplateTimings.py in timing_hook(139)
  result = func(self, *args, **kwargs)

/home/youser/.local/share/virtualenvs/news-site-columnist-8tsXn7bh/lib/python3.10/site-packages/django/template/base.py in render(175)
  return self._render(context)

/home/youser/.local/share/virtualenvs/news-site-columnist-8tsXn7bh/lib/python3.10/site-packages/django/test/utils.py in instrumented_test_render(112)
  return self.nodelist.render(context)

/home/youser/.local/share/virtualenvs/news-site-columnist-8tsXn7bh/lib/python3.10/site-packages/django/template/base.py in render(1005)
  return SafeString("".join([node.render_annotated(context) for node in self]))

/home/youser/.local/share/virtualenvs/news-site-columnist-8tsXn7bh/lib/python3.10/site-packages/django/template/base.py in <listcomp>(1005)
  return SafeString("".join([node.render_annotated(context) for node in self]))

/home/youser/.local/share/virtualenvs/news-site-columnist-8tsXn7bh/lib/python3.10/site-packages/django/template/base.py in render_annotated(966)
  return self.render(context)

/home/youser/.local/share/virtualenvs/news-site-columnist-8tsXn7bh/lib/python3.10/site-packages/django/template/defaulttags.py in render(321)
  return nodelist.render(context)

/home/youser/.local/share/virtualenvs/news-site-columnist-8tsXn7bh/lib/python3.10/site-packages/django/template/base.py in render(1005)
  return SafeString("".join([node.render_annotated(context) for node in self]))

/home/youser/.local/share/virtualenvs/news-site-columnist-8tsXn7bh/lib/python3.10/site-packages/django/template/base.py in <listcomp>(1005)
  return SafeString("".join([node.render_annotated(context) for node in self]))

/home/youser/.local/share/virtualenvs/news-site-columnist-8tsXn7bh/lib/python3.10/site-packages/django/template/base.py in render_annotated(966)
  return self.render(context)

/home/youser/.local/share/virtualenvs/news-site-columnist-8tsXn7bh/lib/python3.10/site-packages/django/template/loader_tags.py in render(208)
  return template.render(context)

/home/youser/.local/share/virtualenvs/news-site-columnist-8tsXn7bh/lib/python3.10/site-packages/template_timings_panel/panels/TemplateTimings.py in timing_hook(139)
  result = func(self, *args, **kwargs)

/home/youser/.local/share/virtualenvs/news-site-columnist-8tsXn7bh/lib/python3.10/site-packages/django/template/base.py in render(177)
  return self._render(context)

/home/youser/.local/share/virtualenvs/news-site-columnist-8tsXn7bh/lib/python3.10/site-packages/django/test/utils.py in instrumented_test_render(112)
  return self.nodelist.render(context)

/home/youser/.local/share/virtualenvs/news-site-columnist-8tsXn7bh/lib/python3.10/site-packages/django/template/base.py in render(1005)
  return SafeString("".join([node.render_annotated(context) for node in self]))

/home/youser/.local/share/virtualenvs/news-site-columnist-8tsXn7bh/lib/python3.10/site-packages/django/template/base.py in <listcomp>(1005)
  return SafeString("".join([node.render_annotated(context) for node in self]))

/home/youser/.local/share/virtualenvs/news-site-columnist-8tsXn7bh/lib/python3.10/site-packages/django/template/base.py in render_annotated(966)
  return self.render(context)

/home/youser/.local/share/virtualenvs/news-site-columnist-8tsXn7bh/lib/python3.10/site-packages/django/template/defaulttags.py in render(321)
  return nodelist.render(context)

/home/youser/.local/share/virtualenvs/news-site-columnist-8tsXn7bh/lib/python3.10/site-packages/django/template/base.py in render(1005)
  return SafeString("".join([node.render_annotated(context) for node in self]))

/home/youser/.local/share/virtualenvs/news-site-columnist-8tsXn7bh/lib/python3.10/site-packages/django/template/base.py in <listcomp>(1005)
  return SafeString("".join([node.render_annotated(context) for node in self]))

/home/youser/.local/share/virtualenvs/news-site-columnist-8tsXn7bh/lib/python3.10/site-packages/django/template/base.py in render_annotated(966)
  return self.render(context)

/home/youser/.local/share/virtualenvs/news-site-columnist-8tsXn7bh/lib/python3.10/site-packages/django/template/defaulttags.py in render(368)
  for key, val in groupby(

/home/youser/.local/share/virtualenvs/news-site-columnist-8tsXn7bh/lib/python3.10/site-packages/polymorphic/query.py in _polymorphic_iterator(57)
  o = next(base_iter)

4 {% if LANGUAGE_CODE == 'en' %}
5 {% regroup object_list by translated_at|my_datetime:'d MMMM' as newslist %}
6 {% else %}
7 {% regroup object_list by publish_at|my_datetime:'d MMMM' as newslist %}
8 {% endif %}
9
10 {% for page in newslist %}
11 {% if not class == 'sidebar-popular' %}

/var/www/news-site-columnist/news/templates/new-design/includes/news_sidebars/post_list_quick.html

SELECT "post"."created_at",
       "post"."seo_title",
       "post"."seo_title_uk",
       "post"."seo_title_en",
       "post"."seo_title_ru",
       "post"."seo_description",
       "post"."seo_description_uk",
       "post"."seo_description_en",
       "post"."seo_description_ru",
       "post"."seo_keywords",
       "post"."seo_keywords_uk",
       "post"."seo_keywords_en",
       "post"."seo_keywords_ru",
       "post"."seo_header_one",
       "post"."seo_header_one_uk",
       "post"."seo_header_one_en",
       "post"."seo_header_one_ru",
       "post"."created_by",
       "post"."updated_by",
       "post"."polymorphic_ctype_id",
       "post"."id",
       "post"."head",
       "post"."head_uk",
       "post"."head_en",
       "post"."head_ru",
       "post"."sub_head",
       "post"."sub_head_uk",
       "post"."sub_head_en",
       "post"."sub_head_ru",
       "post"."content",
       "post"."content_uk",
       "post"."content_en",
       "post"."content_ru",
       "post"."author_id",
       "post"."seo_tag_id",
       "post"."publish_at",
       "post"."translated_at",
       "post"."updated_at",
       "post"."show_updated_at",
       "post"."slug",
       "post"."slug_uk",
       "post"."slug_en",
       "post"."slug_ru",
       "post"."aplication_type",
       "post"."last_editor_id",
       "post"."status",
       "post"."show_at_homepage",
       "post"."show_at_news_feed",
       "post"."show_on_broadcast_page",
       "post"."is_category_top",
       "post"."is_homepage_top",
       "post"."is_homepage_top_uk",
       "post"."is_homepage_top_en",
       "post"."is_homepage_top_ru",
       "post"."id_sponsored",
       "post"."is_lightning",
       "post"."is_exclusive",
       "post"."is_photo_report",
       "post"."is_post",
       "post"."is_article",
       "post"."main_page_img_full_width",
       "post"."need_hires",
       "post"."has_photo",
       "post"."has_video",
       "post"."is_editors_choise",
       "post"."show_in_sidebar",
       "post"."category_id",
       "post"."old_category_id",
       "post"."past_region",
       "post"."year_of_war",
       "post"."breaking_news",
       "post"."without_img",
       "post"."show_stories_block",
       "post"."display_type",
       "post"."image",
       "post"."image_alt",
       "post"."image_alt_uk",
       "post"."image_alt_en",
       "post"."image_alt_ru",
       "post"."seo_image",
       "post"."text_under_image",
       "post"."text_under_image_uk",
       "post"."text_under_image_en",
       "post"."text_under_image_ru",
       "post"."image_source",
       "post"."image_source_uk",
       "post"."image_source_en",
       "post"."image_source_ru",
       "post"."theme_id",
       "post"."is_nofollow_disabled",
       "post"."audio_content_id",
       "post"."audio_content_uk_id",
       "post"."audio_content_en_id",
       "post"."audio_content_ru_id",
       "post"."views",
       "post"."views_uk",
       "post"."views_ru",
       "post"."views_analytics",
       "post"."views_analytics_ru",
       "post"."views_analytics_uk",
       "post"."views_analytics_at",
       "post"."busy_by_id",
       "post"."image_editor_id",
       "post"."release_editor_id",
       "post"."special_type",
       "post"."head_longer_than_100",
       "post"."uk_has_translation",
       "post"."ru_has_translation",
       "post"."en_has_translation",
       "post"."homepage_slider_text",
       "post"."homepage_slider_text_uk",
       "post"."homepage_slider_text_en",
       "post"."homepage_slider_text_ru",
       "news_videopost"."post_ptr_id",
       "news_videopost"."youtube_video_url",
       "news_videopost"."is_most_important",
       "news_videopost"."additional_image",
       "news_videopost"."video_data",
       "news_videopost"."video_project_id",
       "news_videopost"."is_icon_hidden",
       "news_videopost"."is_custom_image"
  FROM "news_videopost"
 INNER JOIN "post"
    ON ("news_videopost"."post_ptr_id" = "post"."id")
 WHERE ("post"."status" = 2 AND "post"."publish_at" <= '2026-02-12T09:55:43.550443+00:00'::timestamptz)
 ORDER BY "post"."publish_at" DESC
 LIMIT 5
SELECT ••• FROM "news_videopost" INNER JOIN "post" ON ("news_videopost"."post_ptr_id" = "post"."id") WHERE ("post"."status" = 2 AND "post"."publish_at" <= '2026-02-12T09:55:43.550443+00:00'::timestamptz) ORDER BY "post"."publish_at" DESC LIMIT 5
10,18

Соединение: default

Статус транзакции: Ожидание

/home/youser/.local/share/virtualenvs/news-site-columnist-8tsXn7bh/bin/gunicorn in <module>(8)
  sys.exit(run())

/home/youser/.local/share/virtualenvs/news-site-columnist-8tsXn7bh/lib/python3.10/site-packages/gunicorn/app/wsgiapp.py in run(66)
  WSGIApplication("%(prog)s [OPTIONS] [APP_MODULE]", prog=prog).run()

/home/youser/.local/share/virtualenvs/news-site-columnist-8tsXn7bh/lib/python3.10/site-packages/gunicorn/app/base.py in run(235)
  super().run()

/home/youser/.local/share/virtualenvs/news-site-columnist-8tsXn7bh/lib/python3.10/site-packages/gunicorn/app/base.py in run(71)
  Arbiter(self).run()

/home/youser/.local/share/virtualenvs/news-site-columnist-8tsXn7bh/lib/python3.10/site-packages/gunicorn/arbiter.py in run(210)
  self.manage_workers()

/home/youser/.local/share/virtualenvs/news-site-columnist-8tsXn7bh/lib/python3.10/site-packages/gunicorn/arbiter.py in manage_workers(570)
  self.spawn_workers()

/home/youser/.local/share/virtualenvs/news-site-columnist-8tsXn7bh/lib/python3.10/site-packages/gunicorn/arbiter.py in spawn_workers(641)
  self.spawn_worker()

/home/youser/.local/share/virtualenvs/news-site-columnist-8tsXn7bh/lib/python3.10/site-packages/gunicorn/arbiter.py in spawn_worker(608)
  worker.init_process()

/home/youser/.local/share/virtualenvs/news-site-columnist-8tsXn7bh/lib/python3.10/site-packages/gunicorn/workers/base.py in init_process(143)
  self.run()

/home/youser/.local/share/virtualenvs/news-site-columnist-8tsXn7bh/lib/python3.10/site-packages/gunicorn/workers/sync.py in run(125)
  self.run_for_one(timeout)

/home/youser/.local/share/virtualenvs/news-site-columnist-8tsXn7bh/lib/python3.10/site-packages/gunicorn/workers/sync.py in run_for_one(69)
  self.accept(listener)

/home/youser/.local/share/virtualenvs/news-site-columnist-8tsXn7bh/lib/python3.10/site-packages/gunicorn/workers/sync.py in accept(31)
  self.handle(listener, client, addr)

/home/youser/.local/share/virtualenvs/news-site-columnist-8tsXn7bh/lib/python3.10/site-packages/gunicorn/workers/sync.py in handle(134)
  self.handle_request(listener, req, client, addr)

/home/youser/.local/share/virtualenvs/news-site-columnist-8tsXn7bh/lib/python3.10/site-packages/gunicorn/workers/sync.py in handle_request(177)
  respiter = self.wsgi(environ, resp.start_response)

/home/youser/.local/share/virtualenvs/news-site-columnist-8tsXn7bh/lib/python3.10/site-packages/sentry_sdk/utils.py in runner(1864)
  return sentry_patched_function(*args, **kwargs)

/home/youser/.local/share/virtualenvs/news-site-columnist-8tsXn7bh/lib/python3.10/site-packages/sentry_sdk/integrations/django/__init__.py in sentry_patched_wsgi_handler(191)
  return middleware(environ, start_response)

/home/youser/.local/share/virtualenvs/news-site-columnist-8tsXn7bh/lib/python3.10/site-packages/sentry_sdk/integrations/wsgi.py in __call__(132)
  response = self.app(

/home/youser/.local/share/virtualenvs/news-site-columnist-8tsXn7bh/lib/python3.10/site-packages/sentry_sdk/integrations/django/__init__.py in sentry_patched_get_response(478)
  rv = old_get_response(self, request)

/home/youser/.local/share/virtualenvs/news-site-columnist-8tsXn7bh/lib/python3.10/site-packages/sentry_sdk/integrations/django/middleware.py in __call__(177)
  return f(*args, **kwargs)

/home/youser/.local/share/virtualenvs/news-site-columnist-8tsXn7bh/lib/python3.10/site-packages/sentry_sdk/integrations/django/middleware.py in __call__(177)
  return f(*args, **kwargs)

/var/www/news-site-columnist/redirects/middleware/redirect_middleware.py in __call__(17)
  return self.get_response(request)

/home/youser/.local/share/virtualenvs/news-site-columnist-8tsXn7bh/lib/python3.10/site-packages/sentry_sdk/integrations/django/middleware.py in __call__(177)
  return f(*args, **kwargs)

/home/youser/.local/share/virtualenvs/news-site-columnist-8tsXn7bh/lib/python3.10/site-packages/sentry_sdk/integrations/django/middleware.py in __call__(177)
  return f(*args, **kwargs)

/home/youser/.local/share/virtualenvs/news-site-columnist-8tsXn7bh/lib/python3.10/site-packages/sentry_sdk/integrations/django/middleware.py in __call__(177)
  return f(*args, **kwargs)

/home/youser/.local/share/virtualenvs/news-site-columnist-8tsXn7bh/lib/python3.10/site-packages/sentry_sdk/integrations/django/middleware.py in __call__(177)
  return f(*args, **kwargs)

/home/youser/.local/share/virtualenvs/news-site-columnist-8tsXn7bh/lib/python3.10/site-packages/corsheaders/middleware.py in __call__(53)
  result = self.get_response(request)

/home/youser/.local/share/virtualenvs/news-site-columnist-8tsXn7bh/lib/python3.10/site-packages/sentry_sdk/integrations/django/middleware.py in __call__(177)
  return f(*args, **kwargs)

/home/youser/.local/share/virtualenvs/news-site-columnist-8tsXn7bh/lib/python3.10/site-packages/django_user_agents/middleware.py in __call__(14)
  return self.get_response(request)

/home/youser/.local/share/virtualenvs/news-site-columnist-8tsXn7bh/lib/python3.10/site-packages/sentry_sdk/integrations/django/middleware.py in __call__(177)
  return f(*args, **kwargs)

/home/youser/.local/share/virtualenvs/news-site-columnist-8tsXn7bh/lib/python3.10/site-packages/sentry_sdk/integrations/django/middleware.py in __call__(177)
  return f(*args, **kwargs)

/home/youser/.local/share/virtualenvs/news-site-columnist-8tsXn7bh/lib/python3.10/site-packages/sentry_sdk/integrations/django/middleware.py in __call__(177)
  return f(*args, **kwargs)

/home/youser/.local/share/virtualenvs/news-site-columnist-8tsXn7bh/lib/python3.10/site-packages/sentry_sdk/integrations/django/middleware.py in __call__(177)
  return f(*args, **kwargs)

/home/youser/.local/share/virtualenvs/news-site-columnist-8tsXn7bh/lib/python3.10/site-packages/sentry_sdk/integrations/django/middleware.py in __call__(177)
  return f(*args, **kwargs)

/home/youser/.local/share/virtualenvs/news-site-columnist-8tsXn7bh/lib/python3.10/site-packages/sentry_sdk/integrations/django/middleware.py in __call__(177)
  return f(*args, **kwargs)

/home/youser/.local/share/virtualenvs/news-site-columnist-8tsXn7bh/lib/python3.10/site-packages/sentry_sdk/integrations/django/middleware.py in __call__(177)
  return f(*args, **kwargs)

/home/youser/.local/share/virtualenvs/news-site-columnist-8tsXn7bh/lib/python3.10/site-packages/sentry_sdk/integrations/django/middleware.py in __call__(177)
  return f(*args, **kwargs)

/var/www/news-site-columnist/news/middleware/subdomain_middleare.py in __call__(22)
  response = self.get_response(request)

/home/youser/.local/share/virtualenvs/news-site-columnist-8tsXn7bh/lib/python3.10/site-packages/sentry_sdk/integrations/django/views.py in sentry_patched_render(41)
  return old_render(self)

/home/youser/.local/share/virtualenvs/news-site-columnist-8tsXn7bh/lib/python3.10/site-packages/django/template/response.py in render(114)
  self.content = self.rendered_content

/home/youser/.local/share/virtualenvs/news-site-columnist-8tsXn7bh/lib/python3.10/site-packages/sentry_sdk/utils.py in runner(1864)
  return sentry_patched_function(*args, **kwargs)

/home/youser/.local/share/virtualenvs/news-site-columnist-8tsXn7bh/lib/python3.10/site-packages/sentry_sdk/integrations/django/templates.py in rendered_content(77)
  return real_rendered_content.fget(self)

/home/youser/.local/share/virtualenvs/news-site-columnist-8tsXn7bh/lib/python3.10/site-packages/django/template/response.py in rendered_content(92)
  return template.render(context, self._request)

/home/youser/.local/share/virtualenvs/news-site-columnist-8tsXn7bh/lib/python3.10/site-packages/django/template/backends/django.py in render(61)
  return self.template.render(context)

/home/youser/.local/share/virtualenvs/news-site-columnist-8tsXn7bh/lib/python3.10/site-packages/template_timings_panel/panels/TemplateTimings.py in timing_hook(139)
  result = func(self, *args, **kwargs)

/home/youser/.local/share/virtualenvs/news-site-columnist-8tsXn7bh/lib/python3.10/site-packages/django/template/base.py in render(175)
  return self._render(context)

/home/youser/.local/share/virtualenvs/news-site-columnist-8tsXn7bh/lib/python3.10/site-packages/django/test/utils.py in instrumented_test_render(112)
  return self.nodelist.render(context)

/home/youser/.local/share/virtualenvs/news-site-columnist-8tsXn7bh/lib/python3.10/site-packages/django/template/base.py in render(1005)
  return SafeString("".join([node.render_annotated(context) for node in self]))

/home/youser/.local/share/virtualenvs/news-site-columnist-8tsXn7bh/lib/python3.10/site-packages/django/template/base.py in <listcomp>(1005)
  return SafeString("".join([node.render_annotated(context) for node in self]))

/home/youser/.local/share/virtualenvs/news-site-columnist-8tsXn7bh/lib/python3.10/site-packages/django/template/base.py in render_annotated(966)
  return self.render(context)

/home/youser/.local/share/virtualenvs/news-site-columnist-8tsXn7bh/lib/python3.10/site-packages/django/template/loader_tags.py in render(157)
  return compiled_parent._render(context)

/home/youser/.local/share/virtualenvs/news-site-columnist-8tsXn7bh/lib/python3.10/site-packages/django/test/utils.py in instrumented_test_render(112)
  return self.nodelist.render(context)

/home/youser/.local/share/virtualenvs/news-site-columnist-8tsXn7bh/lib/python3.10/site-packages/django/template/base.py in render(1005)
  return SafeString("".join([node.render_annotated(context) for node in self]))

/home/youser/.local/share/virtualenvs/news-site-columnist-8tsXn7bh/lib/python3.10/site-packages/django/template/base.py in <listcomp>(1005)
  return SafeString("".join([node.render_annotated(context) for node in self]))

/home/youser/.local/share/virtualenvs/news-site-columnist-8tsXn7bh/lib/python3.10/site-packages/django/template/base.py in render_annotated(966)
  return self.render(context)

/home/youser/.local/share/virtualenvs/news-site-columnist-8tsXn7bh/lib/python3.10/site-packages/template_timings_panel/panels/TemplateTimings.py in timing_hook(139)
  result = func(self, *args, **kwargs)

/home/youser/.local/share/virtualenvs/news-site-columnist-8tsXn7bh/lib/python3.10/site-packages/django/template/loader_tags.py in render(63)
  result = block.nodelist.render(context)

/home/youser/.local/share/virtualenvs/news-site-columnist-8tsXn7bh/lib/python3.10/site-packages/django/template/base.py in render(1005)
  return SafeString("".join([node.render_annotated(context) for node in self]))

/home/youser/.local/share/virtualenvs/news-site-columnist-8tsXn7bh/lib/python3.10/site-packages/django/template/base.py in <listcomp>(1005)
  return SafeString("".join([node.render_annotated(context) for node in self]))

/home/youser/.local/share/virtualenvs/news-site-columnist-8tsXn7bh/lib/python3.10/site-packages/django/template/base.py in render_annotated(966)
  return self.render(context)

/home/youser/.local/share/virtualenvs/news-site-columnist-8tsXn7bh/lib/python3.10/site-packages/template_timings_panel/panels/TemplateTimings.py in timing_hook(139)
  result = func(self, *args, **kwargs)

/home/youser/.local/share/virtualenvs/news-site-columnist-8tsXn7bh/lib/python3.10/site-packages/django/template/loader_tags.py in render(63)
  result = block.nodelist.render(context)

/home/youser/.local/share/virtualenvs/news-site-columnist-8tsXn7bh/lib/python3.10/site-packages/django/template/base.py in render(1005)
  return SafeString("".join([node.render_annotated(context) for node in self]))

/home/youser/.local/share/virtualenvs/news-site-columnist-8tsXn7bh/lib/python3.10/site-packages/django/template/base.py in <listcomp>(1005)
  return SafeString("".join([node.render_annotated(context) for node in self]))

/home/youser/.local/share/virtualenvs/news-site-columnist-8tsXn7bh/lib/python3.10/site-packages/django/template/base.py in render_annotated(966)
  return self.render(context)

/home/youser/.local/share/virtualenvs/news-site-columnist-8tsXn7bh/lib/python3.10/site-packages/django/template/loader_tags.py in render(208)
  return template.render(context)

/home/youser/.local/share/virtualenvs/news-site-columnist-8tsXn7bh/lib/python3.10/site-packages/template_timings_panel/panels/TemplateTimings.py in timing_hook(139)
  result = func(self, *args, **kwargs)

/home/youser/.local/share/virtualenvs/news-site-columnist-8tsXn7bh/lib/python3.10/site-packages/django/template/base.py in render(177)
  return self._render(context)

/home/youser/.local/share/virtualenvs/news-site-columnist-8tsXn7bh/lib/python3.10/site-packages/django/test/utils.py in instrumented_test_render(112)
  return self.nodelist.render(context)

/home/youser/.local/share/virtualenvs/news-site-columnist-8tsXn7bh/lib/python3.10/site-packages/django/template/base.py in render(1005)
  return SafeString("".join([node.render_annotated(context) for node in self]))

/home/youser/.local/share/virtualenvs/news-site-columnist-8tsXn7bh/lib/python3.10/site-packages/django/template/base.py in <listcomp>(1005)
  return SafeString("".join([node.render_annotated(context) for node in self]))

/home/youser/.local/share/virtualenvs/news-site-columnist-8tsXn7bh/lib/python3.10/site-packages/django/template/base.py in render_annotated(966)
  return self.render(context)

/home/youser/.local/share/virtualenvs/news-site-columnist-8tsXn7bh/lib/python3.10/site-packages/django/template/defaulttags.py in render(321)
  return nodelist.render(context)

/home/youser/.local/share/virtualenvs/news-site-columnist-8tsXn7bh/lib/python3.10/site-packages/django/template/base.py in render(1005)
  return SafeString("".join([node.render_annotated(context) for node in self]))

/home/youser/.local/share/virtualenvs/news-site-columnist-8tsXn7bh/lib/python3.10/site-packages/django/template/base.py in <listcomp>(1005)
  return SafeString("".join([node.render_annotated(context) for node in self]))

/home/youser/.local/share/virtualenvs/news-site-columnist-8tsXn7bh/lib/python3.10/site-packages/django/template/base.py in render_annotated(966)
  return self.render(context)

/home/youser/.local/share/virtualenvs/news-site-columnist-8tsXn7bh/lib/python3.10/site-packages/django/template/loader_tags.py in render(208)
  return template.render(context)

/home/youser/.local/share/virtualenvs/news-site-columnist-8tsXn7bh/lib/python3.10/site-packages/template_timings_panel/panels/TemplateTimings.py in timing_hook(139)
  result = func(self, *args, **kwargs)

/home/youser/.local/share/virtualenvs/news-site-columnist-8tsXn7bh/lib/python3.10/site-packages/django/template/base.py in render(177)
  return self._render(context)

/home/youser/.local/share/virtualenvs/news-site-columnist-8tsXn7bh/lib/python3.10/site-packages/django/test/utils.py in instrumented_test_render(112)
  return self.nodelist.render(context)

/home/youser/.local/share/virtualenvs/news-site-columnist-8tsXn7bh/lib/python3.10/site-packages/django/template/base.py in render(1005)
  return SafeString("".join([node.render_annotated(context) for node in self]))

/home/youser/.local/share/virtualenvs/news-site-columnist-8tsXn7bh/lib/python3.10/site-packages/django/template/base.py in <listcomp>(1005)
  return SafeString("".join([node.render_annotated(context) for node in self]))

/home/youser/.local/share/virtualenvs/news-site-columnist-8tsXn7bh/lib/python3.10/site-packages/django/template/base.py in render_annotated(966)
  return self.render(context)

/home/youser/.local/share/virtualenvs/news-site-columnist-8tsXn7bh/lib/python3.10/site-packages/django/template/defaulttags.py in render(321)
  return nodelist.render(context)

/home/youser/.local/share/virtualenvs/news-site-columnist-8tsXn7bh/lib/python3.10/site-packages/django/template/base.py in render(1005)
  return SafeString("".join([node.render_annotated(context) for node in self]))

/home/youser/.local/share/virtualenvs/news-site-columnist-8tsXn7bh/lib/python3.10/site-packages/django/template/base.py in <listcomp>(1005)
  return SafeString("".join([node.render_annotated(context) for node in self]))

/home/youser/.local/share/virtualenvs/news-site-columnist-8tsXn7bh/lib/python3.10/site-packages/django/template/base.py in render_annotated(966)
  return self.render(context)

/home/youser/.local/share/virtualenvs/news-site-columnist-8tsXn7bh/lib/python3.10/site-packages/django/template/defaulttags.py in render(321)
  return nodelist.render(context)

/home/youser/.local/share/virtualenvs/news-site-columnist-8tsXn7bh/lib/python3.10/site-packages/django/template/base.py in render(1005)
  return SafeString("".join([node.render_annotated(context) for node in self]))

/home/youser/.local/share/virtualenvs/news-site-columnist-8tsXn7bh/lib/python3.10/site-packages/django/template/base.py in <listcomp>(1005)
  return SafeString("".join([node.render_annotated(context) for node in self]))

/home/youser/.local/share/virtualenvs/news-site-columnist-8tsXn7bh/lib/python3.10/site-packages/django/template/base.py in render_annotated(966)
  return self.render(context)

/home/youser/.local/share/virtualenvs/news-site-columnist-8tsXn7bh/lib/python3.10/site-packages/template_timings_panel/panels/TemplateTimings.py in timing_hook(139)
  result = func(self, *args, **kwargs)

/home/youser/.local/share/virtualenvs/news-site-columnist-8tsXn7bh/lib/python3.10/site-packages/django/template/loader_tags.py in render(54)
  result = self.nodelist.render(context)

/home/youser/.local/share/virtualenvs/news-site-columnist-8tsXn7bh/lib/python3.10/site-packages/django/template/base.py in render(1005)
  return SafeString("".join([node.render_annotated(context) for node in self]))

/home/youser/.local/share/virtualenvs/news-site-columnist-8tsXn7bh/lib/python3.10/site-packages/django/template/base.py in <listcomp>(1005)
  return SafeString("".join([node.render_annotated(context) for node in self]))

/home/youser/.local/share/virtualenvs/news-site-columnist-8tsXn7bh/lib/python3.10/site-packages/django/template/base.py in render_annotated(966)
  return self.render(context)

/home/youser/.local/share/virtualenvs/news-site-columnist-8tsXn7bh/lib/python3.10/site-packages/django/template/library.py in render(237)
  output = self.func(*resolved_args, **resolved_kwargs)

/var/www/news-site-columnist/news/templatetags/component_tags.py in news_sidebar(216)
  return base_sidebar(

/var/www/news-site-columnist/news/templatetags/component_tags.py in base_sidebar(202)
  return loader.render_to_string(template, context_data)

/home/youser/.local/share/virtualenvs/news-site-columnist-8tsXn7bh/lib/python3.10/site-packages/django/template/loader.py in render_to_string(62)
  return template.render(context, request)

/home/youser/.local/share/virtualenvs/news-site-columnist-8tsXn7bh/lib/python3.10/site-packages/django/template/backends/django.py in render(61)
  return self.template.render(context)

/home/youser/.local/share/virtualenvs/news-site-columnist-8tsXn7bh/lib/python3.10/site-packages/template_timings_panel/panels/TemplateTimings.py in timing_hook(139)
  result = func(self, *args, **kwargs)

/home/youser/.local/share/virtualenvs/news-site-columnist-8tsXn7bh/lib/python3.10/site-packages/django/template/base.py in render(175)
  return self._render(context)

/home/youser/.local/share/virtualenvs/news-site-columnist-8tsXn7bh/lib/python3.10/site-packages/django/test/utils.py in instrumented_test_render(112)
  return self.nodelist.render(context)

/home/youser/.local/share/virtualenvs/news-site-columnist-8tsXn7bh/lib/python3.10/site-packages/django/template/base.py in render(1005)
  return SafeString("".join([node.render_annotated(context) for node in self]))

/home/youser/.local/share/virtualenvs/news-site-columnist-8tsXn7bh/lib/python3.10/site-packages/django/template/base.py in <listcomp>(1005)
  return SafeString("".join([node.render_annotated(context) for node in self]))

/home/youser/.local/share/virtualenvs/news-site-columnist-8tsXn7bh/lib/python3.10/site-packages/django/template/base.py in render_annotated(966)
  return self.render(context)

/home/youser/.local/share/virtualenvs/news-site-columnist-8tsXn7bh/lib/python3.10/site-packages/django/template/defaulttags.py in render(321)
  return nodelist.render(context)

/home/youser/.local/share/virtualenvs/news-site-columnist-8tsXn7bh/lib/python3.10/site-packages/django/template/base.py in render(1005)
  return SafeString("".join([node.render_annotated(context) for node in self]))

/home/youser/.local/share/virtualenvs/news-site-columnist-8tsXn7bh/lib/python3.10/site-packages/django/template/base.py in <listcomp>(1005)
  return SafeString("".join([node.render_annotated(context) for node in self]))

/home/youser/.local/share/virtualenvs/news-site-columnist-8tsXn7bh/lib/python3.10/site-packages/django/template/base.py in render_annotated(966)
  return self.render(context)

/home/youser/.local/share/virtualenvs/news-site-columnist-8tsXn7bh/lib/python3.10/site-packages/django/template/loader_tags.py in render(208)
  return template.render(context)

/home/youser/.local/share/virtualenvs/news-site-columnist-8tsXn7bh/lib/python3.10/site-packages/template_timings_panel/panels/TemplateTimings.py in timing_hook(139)
  result = func(self, *args, **kwargs)

/home/youser/.local/share/virtualenvs/news-site-columnist-8tsXn7bh/lib/python3.10/site-packages/django/template/base.py in render(177)
  return self._render(context)

/home/youser/.local/share/virtualenvs/news-site-columnist-8tsXn7bh/lib/python3.10/site-packages/django/test/utils.py in instrumented_test_render(112)
  return self.nodelist.render(context)

/home/youser/.local/share/virtualenvs/news-site-columnist-8tsXn7bh/lib/python3.10/site-packages/django/template/base.py in render(1005)
  return SafeString("".join([node.render_annotated(context) for node in self]))

/home/youser/.local/share/virtualenvs/news-site-columnist-8tsXn7bh/lib/python3.10/site-packages/django/template/base.py in <listcomp>(1005)
  return SafeString("".join([node.render_annotated(context) for node in self]))

/home/youser/.local/share/virtualenvs/news-site-columnist-8tsXn7bh/lib/python3.10/site-packages/django/template/base.py in render_annotated(966)
  return self.render(context)

/home/youser/.local/share/virtualenvs/news-site-columnist-8tsXn7bh/lib/python3.10/site-packages/django/template/defaulttags.py in render(321)
  return nodelist.render(context)

/home/youser/.local/share/virtualenvs/news-site-columnist-8tsXn7bh/lib/python3.10/site-packages/django/template/base.py in render(1005)
  return SafeString("".join([node.render_annotated(context) for node in self]))

/home/youser/.local/share/virtualenvs/news-site-columnist-8tsXn7bh/lib/python3.10/site-packages/django/template/base.py in <listcomp>(1005)
  return SafeString("".join([node.render_annotated(context) for node in self]))

/home/youser/.local/share/virtualenvs/news-site-columnist-8tsXn7bh/lib/python3.10/site-packages/django/template/base.py in render_annotated(966)
  return self.render(context)

/home/youser/.local/share/virtualenvs/news-site-columnist-8tsXn7bh/lib/python3.10/site-packages/django/template/defaulttags.py in render(368)
  for key, val in groupby(

/home/youser/.local/share/virtualenvs/news-site-columnist-8tsXn7bh/lib/python3.10/site-packages/polymorphic/query.py in _polymorphic_iterator(57)
  o = next(base_iter)

4 {% if LANGUAGE_CODE == 'en' %}
5 {% regroup object_list by translated_at|my_datetime:'d MMMM' as newslist %}
6 {% else %}
7 {% regroup object_list by publish_at|my_datetime:'d MMMM' as newslist %}
8 {% endif %}
9
10 {% for page in newslist %}
11 {% if not class == 'sidebar-popular' %}

/var/www/news-site-columnist/news/templates/new-design/includes/news_sidebars/post_list_quick.html

SELECT "category"."id",
       "category"."created_at",
       "category"."updated_at",
       "category"."seo_title",
       "category"."seo_title_uk",
       "category"."seo_title_en",
       "category"."seo_title_ru",
       "category"."seo_description",
       "category"."seo_description_uk",
       "category"."seo_description_en",
       "category"."seo_description_ru",
       "category"."seo_keywords",
       "category"."seo_keywords_uk",
       "category"."seo_keywords_en",
       "category"."seo_keywords_ru",
       "category"."seo_header_one",
       "category"."seo_header_one_uk",
       "category"."seo_header_one_en",
       "category"."seo_header_one_ru",
       "category"."seo_news_title",
       "category"."seo_news_title_uk",
       "category"."seo_news_title_en",
       "category"."seo_news_title_ru",
       "category"."seo_news_description",
       "category"."seo_news_description_uk",
       "category"."seo_news_description_en",
       "category"."seo_news_description_ru",
       "category"."subdomain",
       "category"."parent_id",
       "category"."image",
       "category"."is_active",
       "category"."is_rss_active",
       "category"."is_interesting",
       "category"."ticker_rss_active",
       "category"."show_home",
       "category"."show_home_en",
       "category"."show_video",
       "category"."show_menu",
       "category"."show_menu_uk",
       "category"."show_menu_en",
       "category"."show_menu_ru",
       "category"."show_footer",
       "category"."show_menu_in_en",
       "category"."show_footer_in_en",
       "category"."show_in_search",
       "category"."show_in_header",
       "category"."show_in_header_uk",
       "category"."show_in_header_en",
       "category"."show_in_header_ru",
       "category"."seo_tag_id",
       "category"."sort_weight",
       "category"."sort_weight_en",
       "category"."header_sort_weight",
       "category"."header_sort_weight_uk",
       "category"."header_sort_weight_en",
       "category"."header_sort_weight_ru",
       "category"."footer_sort_weight",
       "category"."menu_sort_weight",
       "category"."name",
       "category"."name_uk",
       "category"."name_en",
       "category"."name_ru",
       "category"."slug",
       "category"."description",
       "category"."description_uk",
       "category"."description_en",
       "category"."description_ru",
       "category"."fb_link",
       "category"."tg_link",
       "category"."show_banner",
       "category"."uk_has_translation",
       "category"."ru_has_translation",
       "category"."en_has_translation",
       "category"."has_infinite_scroll",
       "category"."_show_home_without_subdomain",
       "category"."_show_home_without_subdomain_en",
       "category"."background_id",
       "category"."use_old_design",
       "category"."use_old_design_for_posts",
       "category"."is_context_category",
       "category"."show_stories_on_main",
       "category"."show_posts_table_of_contents",
       "category"."svg_icon"
  FROM "category"
 WHERE "category"."id" = 78466
 LIMIT 21
SELECT ••• FROM "category" WHERE "category"."id" = 78466 LIMIT 21
9 similar queries. Duplicated 4 times.
0,76

Соединение: default

Статус транзакции: Ожидание

/home/youser/.local/share/virtualenvs/news-site-columnist-8tsXn7bh/bin/gunicorn in <module>(8)
  sys.exit(run())

/home/youser/.local/share/virtualenvs/news-site-columnist-8tsXn7bh/lib/python3.10/site-packages/gunicorn/app/wsgiapp.py in run(66)
  WSGIApplication("%(prog)s [OPTIONS] [APP_MODULE]", prog=prog).run()

/home/youser/.local/share/virtualenvs/news-site-columnist-8tsXn7bh/lib/python3.10/site-packages/gunicorn/app/base.py in run(235)
  super().run()

/home/youser/.local/share/virtualenvs/news-site-columnist-8tsXn7bh/lib/python3.10/site-packages/gunicorn/app/base.py in run(71)
  Arbiter(self).run()

/home/youser/.local/share/virtualenvs/news-site-columnist-8tsXn7bh/lib/python3.10/site-packages/gunicorn/arbiter.py in run(210)
  self.manage_workers()

/home/youser/.local/share/virtualenvs/news-site-columnist-8tsXn7bh/lib/python3.10/site-packages/gunicorn/arbiter.py in manage_workers(570)
  self.spawn_workers()

/home/youser/.local/share/virtualenvs/news-site-columnist-8tsXn7bh/lib/python3.10/site-packages/gunicorn/arbiter.py in spawn_workers(641)
  self.spawn_worker()

/home/youser/.local/share/virtualenvs/news-site-columnist-8tsXn7bh/lib/python3.10/site-packages/gunicorn/arbiter.py in spawn_worker(608)
  worker.init_process()

/home/youser/.local/share/virtualenvs/news-site-columnist-8tsXn7bh/lib/python3.10/site-packages/gunicorn/workers/base.py in init_process(143)
  self.run()

/home/youser/.local/share/virtualenvs/news-site-columnist-8tsXn7bh/lib/python3.10/site-packages/gunicorn/workers/sync.py in run(125)
  self.run_for_one(timeout)

/home/youser/.local/share/virtualenvs/news-site-columnist-8tsXn7bh/lib/python3.10/site-packages/gunicorn/workers/sync.py in run_for_one(69)
  self.accept(listener)

/home/youser/.local/share/virtualenvs/news-site-columnist-8tsXn7bh/lib/python3.10/site-packages/gunicorn/workers/sync.py in accept(31)
  self.handle(listener, client, addr)

/home/youser/.local/share/virtualenvs/news-site-columnist-8tsXn7bh/lib/python3.10/site-packages/gunicorn/workers/sync.py in handle(134)
  self.handle_request(listener, req, client, addr)

/home/youser/.local/share/virtualenvs/news-site-columnist-8tsXn7bh/lib/python3.10/site-packages/gunicorn/workers/sync.py in handle_request(177)
  respiter = self.wsgi(environ, resp.start_response)

/home/youser/.local/share/virtualenvs/news-site-columnist-8tsXn7bh/lib/python3.10/site-packages/sentry_sdk/utils.py in runner(1864)
  return sentry_patched_function(*args, **kwargs)

/home/youser/.local/share/virtualenvs/news-site-columnist-8tsXn7bh/lib/python3.10/site-packages/sentry_sdk/integrations/django/__init__.py in sentry_patched_wsgi_handler(191)
  return middleware(environ, start_response)

/home/youser/.local/share/virtualenvs/news-site-columnist-8tsXn7bh/lib/python3.10/site-packages/sentry_sdk/integrations/wsgi.py in __call__(132)
  response = self.app(

/home/youser/.local/share/virtualenvs/news-site-columnist-8tsXn7bh/lib/python3.10/site-packages/sentry_sdk/integrations/django/__init__.py in sentry_patched_get_response(478)
  rv = old_get_response(self, request)

/home/youser/.local/share/virtualenvs/news-site-columnist-8tsXn7bh/lib/python3.10/site-packages/sentry_sdk/integrations/django/middleware.py in __call__(177)
  return f(*args, **kwargs)

/home/youser/.local/share/virtualenvs/news-site-columnist-8tsXn7bh/lib/python3.10/site-packages/sentry_sdk/integrations/django/middleware.py in __call__(177)
  return f(*args, **kwargs)

/var/www/news-site-columnist/redirects/middleware/redirect_middleware.py in __call__(17)
  return self.get_response(request)

/home/youser/.local/share/virtualenvs/news-site-columnist-8tsXn7bh/lib/python3.10/site-packages/sentry_sdk/integrations/django/middleware.py in __call__(177)
  return f(*args, **kwargs)

/home/youser/.local/share/virtualenvs/news-site-columnist-8tsXn7bh/lib/python3.10/site-packages/sentry_sdk/integrations/django/middleware.py in __call__(177)
  return f(*args, **kwargs)

/home/youser/.local/share/virtualenvs/news-site-columnist-8tsXn7bh/lib/python3.10/site-packages/sentry_sdk/integrations/django/middleware.py in __call__(177)
  return f(*args, **kwargs)

/home/youser/.local/share/virtualenvs/news-site-columnist-8tsXn7bh/lib/python3.10/site-packages/sentry_sdk/integrations/django/middleware.py in __call__(177)
  return f(*args, **kwargs)

/home/youser/.local/share/virtualenvs/news-site-columnist-8tsXn7bh/lib/python3.10/site-packages/corsheaders/middleware.py in __call__(53)
  result = self.get_response(request)

/home/youser/.local/share/virtualenvs/news-site-columnist-8tsXn7bh/lib/python3.10/site-packages/sentry_sdk/integrations/django/middleware.py in __call__(177)
  return f(*args, **kwargs)

/home/youser/.local/share/virtualenvs/news-site-columnist-8tsXn7bh/lib/python3.10/site-packages/django_user_agents/middleware.py in __call__(14)
  return self.get_response(request)

/home/youser/.local/share/virtualenvs/news-site-columnist-8tsXn7bh/lib/python3.10/site-packages/sentry_sdk/integrations/django/middleware.py in __call__(177)
  return f(*args, **kwargs)

/home/youser/.local/share/virtualenvs/news-site-columnist-8tsXn7bh/lib/python3.10/site-packages/sentry_sdk/integrations/django/middleware.py in __call__(177)
  return f(*args, **kwargs)

/home/youser/.local/share/virtualenvs/news-site-columnist-8tsXn7bh/lib/python3.10/site-packages/sentry_sdk/integrations/django/middleware.py in __call__(177)
  return f(*args, **kwargs)

/home/youser/.local/share/virtualenvs/news-site-columnist-8tsXn7bh/lib/python3.10/site-packages/sentry_sdk/integrations/django/middleware.py in __call__(177)
  return f(*args, **kwargs)

/home/youser/.local/share/virtualenvs/news-site-columnist-8tsXn7bh/lib/python3.10/site-packages/sentry_sdk/integrations/django/middleware.py in __call__(177)
  return f(*args, **kwargs)

/home/youser/.local/share/virtualenvs/news-site-columnist-8tsXn7bh/lib/python3.10/site-packages/sentry_sdk/integrations/django/middleware.py in __call__(177)
  return f(*args, **kwargs)

/home/youser/.local/share/virtualenvs/news-site-columnist-8tsXn7bh/lib/python3.10/site-packages/sentry_sdk/integrations/django/middleware.py in __call__(177)
  return f(*args, **kwargs)

/home/youser/.local/share/virtualenvs/news-site-columnist-8tsXn7bh/lib/python3.10/site-packages/sentry_sdk/integrations/django/middleware.py in __call__(177)
  return f(*args, **kwargs)

/var/www/news-site-columnist/news/middleware/subdomain_middleare.py in __call__(22)
  response = self.get_response(request)

/home/youser/.local/share/virtualenvs/news-site-columnist-8tsXn7bh/lib/python3.10/site-packages/sentry_sdk/integrations/django/views.py in sentry_patched_render(41)
  return old_render(self)

/home/youser/.local/share/virtualenvs/news-site-columnist-8tsXn7bh/lib/python3.10/site-packages/django/template/response.py in render(114)
  self.content = self.rendered_content

/home/youser/.local/share/virtualenvs/news-site-columnist-8tsXn7bh/lib/python3.10/site-packages/sentry_sdk/utils.py in runner(1864)
  return sentry_patched_function(*args, **kwargs)

/home/youser/.local/share/virtualenvs/news-site-columnist-8tsXn7bh/lib/python3.10/site-packages/sentry_sdk/integrations/django/templates.py in rendered_content(77)
  return real_rendered_content.fget(self)

/home/youser/.local/share/virtualenvs/news-site-columnist-8tsXn7bh/lib/python3.10/site-packages/django/template/response.py in rendered_content(92)
  return template.render(context, self._request)

/home/youser/.local/share/virtualenvs/news-site-columnist-8tsXn7bh/lib/python3.10/site-packages/django/template/backends/django.py in render(61)
  return self.template.render(context)

/home/youser/.local/share/virtualenvs/news-site-columnist-8tsXn7bh/lib/python3.10/site-packages/template_timings_panel/panels/TemplateTimings.py in timing_hook(139)
  result = func(self, *args, **kwargs)

/home/youser/.local/share/virtualenvs/news-site-columnist-8tsXn7bh/lib/python3.10/site-packages/django/template/base.py in render(175)
  return self._render(context)

/home/youser/.local/share/virtualenvs/news-site-columnist-8tsXn7bh/lib/python3.10/site-packages/django/test/utils.py in instrumented_test_render(112)
  return self.nodelist.render(context)

/home/youser/.local/share/virtualenvs/news-site-columnist-8tsXn7bh/lib/python3.10/site-packages/django/template/base.py in render(1005)
  return SafeString("".join([node.render_annotated(context) for node in self]))

/home/youser/.local/share/virtualenvs/news-site-columnist-8tsXn7bh/lib/python3.10/site-packages/django/template/base.py in <listcomp>(1005)
  return SafeString("".join([node.render_annotated(context) for node in self]))

/home/youser/.local/share/virtualenvs/news-site-columnist-8tsXn7bh/lib/python3.10/site-packages/django/template/base.py in render_annotated(966)
  return self.render(context)

/home/youser/.local/share/virtualenvs/news-site-columnist-8tsXn7bh/lib/python3.10/site-packages/django/template/loader_tags.py in render(157)
  return compiled_parent._render(context)

/home/youser/.local/share/virtualenvs/news-site-columnist-8tsXn7bh/lib/python3.10/site-packages/django/test/utils.py in instrumented_test_render(112)
  return self.nodelist.render(context)

/home/youser/.local/share/virtualenvs/news-site-columnist-8tsXn7bh/lib/python3.10/site-packages/django/template/base.py in render(1005)
  return SafeString("".join([node.render_annotated(context) for node in self]))

/home/youser/.local/share/virtualenvs/news-site-columnist-8tsXn7bh/lib/python3.10/site-packages/django/template/base.py in <listcomp>(1005)
  return SafeString("".join([node.render_annotated(context) for node in self]))

/home/youser/.local/share/virtualenvs/news-site-columnist-8tsXn7bh/lib/python3.10/site-packages/django/template/base.py in render_annotated(966)
  return self.render(context)

/home/youser/.local/share/virtualenvs/news-site-columnist-8tsXn7bh/lib/python3.10/site-packages/template_timings_panel/panels/TemplateTimings.py in timing_hook(139)
  result = func(self, *args, **kwargs)

/home/youser/.local/share/virtualenvs/news-site-columnist-8tsXn7bh/lib/python3.10/site-packages/django/template/loader_tags.py in render(63)
  result = block.nodelist.render(context)

/home/youser/.local/share/virtualenvs/news-site-columnist-8tsXn7bh/lib/python3.10/site-packages/django/template/base.py in render(1005)
  return SafeString("".join([node.render_annotated(context) for node in self]))

/home/youser/.local/share/virtualenvs/news-site-columnist-8tsXn7bh/lib/python3.10/site-packages/django/template/base.py in <listcomp>(1005)
  return SafeString("".join([node.render_annotated(context) for node in self]))

/home/youser/.local/share/virtualenvs/news-site-columnist-8tsXn7bh/lib/python3.10/site-packages/django/template/base.py in render_annotated(966)
  return self.render(context)

/home/youser/.local/share/virtualenvs/news-site-columnist-8tsXn7bh/lib/python3.10/site-packages/template_timings_panel/panels/TemplateTimings.py in timing_hook(139)
  result = func(self, *args, **kwargs)

/home/youser/.local/share/virtualenvs/news-site-columnist-8tsXn7bh/lib/python3.10/site-packages/django/template/loader_tags.py in render(63)
  result = block.nodelist.render(context)

/home/youser/.local/share/virtualenvs/news-site-columnist-8tsXn7bh/lib/python3.10/site-packages/django/template/base.py in render(1005)
  return SafeString("".join([node.render_annotated(context) for node in self]))

/home/youser/.local/share/virtualenvs/news-site-columnist-8tsXn7bh/lib/python3.10/site-packages/django/template/base.py in <listcomp>(1005)
  return SafeString("".join([node.render_annotated(context) for node in self]))

/home/youser/.local/share/virtualenvs/news-site-columnist-8tsXn7bh/lib/python3.10/site-packages/django/template/base.py in render_annotated(966)
  return self.render(context)

/home/youser/.local/share/virtualenvs/news-site-columnist-8tsXn7bh/lib/python3.10/site-packages/django/template/loader_tags.py in render(208)
  return template.render(context)

/home/youser/.local/share/virtualenvs/news-site-columnist-8tsXn7bh/lib/python3.10/site-packages/template_timings_panel/panels/TemplateTimings.py in timing_hook(139)
  result = func(self, *args, **kwargs)

/home/youser/.local/share/virtualenvs/news-site-columnist-8tsXn7bh/lib/python3.10/site-packages/django/template/base.py in render(177)
  return self._render(context)

/home/youser/.local/share/virtualenvs/news-site-columnist-8tsXn7bh/lib/python3.10/site-packages/django/test/utils.py in instrumented_test_render(112)
  return self.nodelist.render(context)

/home/youser/.local/share/virtualenvs/news-site-columnist-8tsXn7bh/lib/python3.10/site-packages/django/template/base.py in render(1005)
  return SafeString("".join([node.render_annotated(context) for node in self]))

/home/youser/.local/share/virtualenvs/news-site-columnist-8tsXn7bh/lib/python3.10/site-packages/django/template/base.py in <listcomp>(1005)
  return SafeString("".join([node.render_annotated(context) for node in self]))

/home/youser/.local/share/virtualenvs/news-site-columnist-8tsXn7bh/lib/python3.10/site-packages/django/template/base.py in render_annotated(966)
  return self.render(context)

/home/youser/.local/share/virtualenvs/news-site-columnist-8tsXn7bh/lib/python3.10/site-packages/django/template/defaulttags.py in render(321)
  return nodelist.render(context)

/home/youser/.local/share/virtualenvs/news-site-columnist-8tsXn7bh/lib/python3.10/site-packages/django/template/base.py in render(1005)
  return SafeString("".join([node.render_annotated(context) for node in self]))

/home/youser/.local/share/virtualenvs/news-site-columnist-8tsXn7bh/lib/python3.10/site-packages/django/template/base.py in <listcomp>(1005)
  return SafeString("".join([node.render_annotated(context) for node in self]))

/home/youser/.local/share/virtualenvs/news-site-columnist-8tsXn7bh/lib/python3.10/site-packages/django/template/base.py in render_annotated(966)
  return self.render(context)

/home/youser/.local/share/virtualenvs/news-site-columnist-8tsXn7bh/lib/python3.10/site-packages/django/template/loader_tags.py in render(208)
  return template.render(context)

/home/youser/.local/share/virtualenvs/news-site-columnist-8tsXn7bh/lib/python3.10/site-packages/template_timings_panel/panels/TemplateTimings.py in timing_hook(139)
  result = func(self, *args, **kwargs)

/home/youser/.local/share/virtualenvs/news-site-columnist-8tsXn7bh/lib/python3.10/site-packages/django/template/base.py in render(177)
  return self._render(context)

/home/youser/.local/share/virtualenvs/news-site-columnist-8tsXn7bh/lib/python3.10/site-packages/django/test/utils.py in instrumented_test_render(112)
  return self.nodelist.render(context)

/home/youser/.local/share/virtualenvs/news-site-columnist-8tsXn7bh/lib/python3.10/site-packages/django/template/base.py in render(1005)
  return SafeString("".join([node.render_annotated(context) for node in self]))

/home/youser/.local/share/virtualenvs/news-site-columnist-8tsXn7bh/lib/python3.10/site-packages/django/template/base.py in <listcomp>(1005)
  return SafeString("".join([node.render_annotated(context) for node in self]))

/home/youser/.local/share/virtualenvs/news-site-columnist-8tsXn7bh/lib/python3.10/site-packages/django/template/base.py in render_annotated(966)
  return self.render(context)

/home/youser/.local/share/virtualenvs/news-site-columnist-8tsXn7bh/lib/python3.10/site-packages/django/template/defaulttags.py in render(321)
  return nodelist.render(context)

/home/youser/.local/share/virtualenvs/news-site-columnist-8tsXn7bh/lib/python3.10/site-packages/django/template/base.py in render(1005)
  return SafeString("".join([node.render_annotated(context) for node in self]))

/home/youser/.local/share/virtualenvs/news-site-columnist-8tsXn7bh/lib/python3.10/site-packages/django/template/base.py in <listcomp>(1005)
  return SafeString("".join([node.render_annotated(context) for node in self]))

/home/youser/.local/share/virtualenvs/news-site-columnist-8tsXn7bh/lib/python3.10/site-packages/django/template/base.py in render_annotated(966)
  return self.render(context)

/home/youser/.local/share/virtualenvs/news-site-columnist-8tsXn7bh/lib/python3.10/site-packages/django/template/defaulttags.py in render(321)
  return nodelist.render(context)

/home/youser/.local/share/virtualenvs/news-site-columnist-8tsXn7bh/lib/python3.10/site-packages/django/template/base.py in render(1005)
  return SafeString("".join([node.render_annotated(context) for node in self]))

/home/youser/.local/share/virtualenvs/news-site-columnist-8tsXn7bh/lib/python3.10/site-packages/django/template/base.py in <listcomp>(1005)
  return SafeString("".join([node.render_annotated(context) for node in self]))

/home/youser/.local/share/virtualenvs/news-site-columnist-8tsXn7bh/lib/python3.10/site-packages/django/template/base.py in render_annotated(966)
  return self.render(context)

/home/youser/.local/share/virtualenvs/news-site-columnist-8tsXn7bh/lib/python3.10/site-packages/template_timings_panel/panels/TemplateTimings.py in timing_hook(139)
  result = func(self, *args, **kwargs)

/home/youser/.local/share/virtualenvs/news-site-columnist-8tsXn7bh/lib/python3.10/site-packages/django/template/loader_tags.py in render(54)
  result = self.nodelist.render(context)

/home/youser/.local/share/virtualenvs/news-site-columnist-8tsXn7bh/lib/python3.10/site-packages/django/template/base.py in render(1005)
  return SafeString("".join([node.render_annotated(context) for node in self]))

/home/youser/.local/share/virtualenvs/news-site-columnist-8tsXn7bh/lib/python3.10/site-packages/django/template/base.py in <listcomp>(1005)
  return SafeString("".join([node.render_annotated(context) for node in self]))

/home/youser/.local/share/virtualenvs/news-site-columnist-8tsXn7bh/lib/python3.10/site-packages/django/template/base.py in render_annotated(966)
  return self.render(context)

/home/youser/.local/share/virtualenvs/news-site-columnist-8tsXn7bh/lib/python3.10/site-packages/django/template/library.py in render(237)
  output = self.func(*resolved_args, **resolved_kwargs)

/var/www/news-site-columnist/news/templatetags/component_tags.py in news_sidebar(216)
  return base_sidebar(

/var/www/news-site-columnist/news/templatetags/component_tags.py in base_sidebar(202)
  return loader.render_to_string(template, context_data)

/home/youser/.local/share/virtualenvs/news-site-columnist-8tsXn7bh/lib/python3.10/site-packages/django/template/loader.py in render_to_string(62)
  return template.render(context, request)

/home/youser/.local/share/virtualenvs/news-site-columnist-8tsXn7bh/lib/python3.10/site-packages/django/template/backends/django.py in render(61)
  return self.template.render(context)

/home/youser/.local/share/virtualenvs/news-site-columnist-8tsXn7bh/lib/python3.10/site-packages/template_timings_panel/panels/TemplateTimings.py in timing_hook(139)
  result = func(self, *args, **kwargs)

/home/youser/.local/share/virtualenvs/news-site-columnist-8tsXn7bh/lib/python3.10/site-packages/django/template/base.py in render(175)
  return self._render(context)

/home/youser/.local/share/virtualenvs/news-site-columnist-8tsXn7bh/lib/python3.10/site-packages/django/test/utils.py in instrumented_test_render(112)
  return self.nodelist.render(context)

/home/youser/.local/share/virtualenvs/news-site-columnist-8tsXn7bh/lib/python3.10/site-packages/django/template/base.py in render(1005)
  return SafeString("".join([node.render_annotated(context) for node in self]))

/home/youser/.local/share/virtualenvs/news-site-columnist-8tsXn7bh/lib/python3.10/site-packages/django/template/base.py in <listcomp>(1005)
  return SafeString("".join([node.render_annotated(context) for node in self]))

/home/youser/.local/share/virtualenvs/news-site-columnist-8tsXn7bh/lib/python3.10/site-packages/django/template/base.py in render_annotated(966)
  return self.render(context)

/home/youser/.local/share/virtualenvs/news-site-columnist-8tsXn7bh/lib/python3.10/site-packages/django/template/defaulttags.py in render(321)
  return nodelist.render(context)

/home/youser/.local/share/virtualenvs/news-site-columnist-8tsXn7bh/lib/python3.10/site-packages/django/template/base.py in render(1005)
  return SafeString("".join([node.render_annotated(context) for node in self]))

/home/youser/.local/share/virtualenvs/news-site-columnist-8tsXn7bh/lib/python3.10/site-packages/django/template/base.py in <listcomp>(1005)
  return SafeString("".join([node.render_annotated(context) for node in self]))

/home/youser/.local/share/virtualenvs/news-site-columnist-8tsXn7bh/lib/python3.10/site-packages/django/template/base.py in render_annotated(966)
  return self.render(context)

/home/youser/.local/share/virtualenvs/news-site-columnist-8tsXn7bh/lib/python3.10/site-packages/django/template/loader_tags.py in render(208)
  return template.render(context)

/home/youser/.local/share/virtualenvs/news-site-columnist-8tsXn7bh/lib/python3.10/site-packages/template_timings_panel/panels/TemplateTimings.py in timing_hook(139)
  result = func(self, *args, **kwargs)

/home/youser/.local/share/virtualenvs/news-site-columnist-8tsXn7bh/lib/python3.10/site-packages/django/template/base.py in render(177)
  return self._render(context)

/home/youser/.local/share/virtualenvs/news-site-columnist-8tsXn7bh/lib/python3.10/site-packages/django/test/utils.py in instrumented_test_render(112)
  return self.nodelist.render(context)

/home/youser/.local/share/virtualenvs/news-site-columnist-8tsXn7bh/lib/python3.10/site-packages/django/template/base.py in render(1005)
  return SafeString("".join([node.render_annotated(context) for node in self]))

/home/youser/.local/share/virtualenvs/news-site-columnist-8tsXn7bh/lib/python3.10/site-packages/django/template/base.py in <listcomp>(1005)
  return SafeString("".join([node.render_annotated(context) for node in self]))

/home/youser/.local/share/virtualenvs/news-site-columnist-8tsXn7bh/lib/python3.10/site-packages/django/template/base.py in render_annotated(966)
  return self.render(context)

/home/youser/.local/share/virtualenvs/news-site-columnist-8tsXn7bh/lib/python3.10/site-packages/django/template/defaulttags.py in render(238)
  nodelist.append(node.render_annotated(context))

/home/youser/.local/share/virtualenvs/news-site-columnist-8tsXn7bh/lib/python3.10/site-packages/django/template/base.py in render_annotated(966)
  return self.render(context)

/home/youser/.local/share/virtualenvs/news-site-columnist-8tsXn7bh/lib/python3.10/site-packages/django/template/defaulttags.py in render(238)
  nodelist.append(node.render_annotated(context))

/home/youser/.local/share/virtualenvs/news-site-columnist-8tsXn7bh/lib/python3.10/site-packages/django/template/base.py in render_annotated(966)
  return self.render(context)

/home/youser/.local/share/virtualenvs/news-site-columnist-8tsXn7bh/lib/python3.10/site-packages/django/template/defaulttags.py in render(321)
  return nodelist.render(context)

/home/youser/.local/share/virtualenvs/news-site-columnist-8tsXn7bh/lib/python3.10/site-packages/django/template/base.py in render(1005)
  return SafeString("".join([node.render_annotated(context) for node in self]))

/home/youser/.local/share/virtualenvs/news-site-columnist-8tsXn7bh/lib/python3.10/site-packages/django/template/base.py in <listcomp>(1005)
  return SafeString("".join([node.render_annotated(context) for node in self]))

/home/youser/.local/share/virtualenvs/news-site-columnist-8tsXn7bh/lib/python3.10/site-packages/django/template/base.py in render_annotated(966)
  return self.render(context)

/home/youser/.local/share/virtualenvs/news-site-columnist-8tsXn7bh/lib/python3.10/site-packages/django/template/defaulttags.py in render(321)
  return nodelist.render(context)

/home/youser/.local/share/virtualenvs/news-site-columnist-8tsXn7bh/lib/python3.10/site-packages/django/template/base.py in render(1005)
  return SafeString("".join([node.render_annotated(context) for node in self]))

/home/youser/.local/share/virtualenvs/news-site-columnist-8tsXn7bh/lib/python3.10/site-packages/django/template/base.py in <listcomp>(1005)
  return SafeString("".join([node.render_annotated(context) for node in self]))

/home/youser/.local/share/virtualenvs/news-site-columnist-8tsXn7bh/lib/python3.10/site-packages/django/template/base.py in render_annotated(966)
  return self.render(context)

/home/youser/.local/share/virtualenvs/news-site-columnist-8tsXn7bh/lib/python3.10/site-packages/django/template/base.py in render(1064)
  output = self.filter_expression.resolve(context)

/home/youser/.local/share/virtualenvs/news-site-columnist-8tsXn7bh/lib/python3.10/site-packages/django/template/base.py in resolve(715)
  obj = self.var.resolve(context)

/home/youser/.local/share/virtualenvs/news-site-columnist-8tsXn7bh/lib/python3.10/site-packages/django/template/base.py in resolve(847)
  value = self._resolve_lookup(context)

/home/youser/.local/share/virtualenvs/news-site-columnist-8tsXn7bh/lib/python3.10/site-packages/django/template/base.py in _resolve_lookup(914)
  current = current()

/var/www/news-site-columnist/news/models/video_news.py in get_absolute_url(178)
  if self.category:

78 {% include "context_section/components/column-item-bg.html" with post=post %}
79 {% else %}
80 {% if post.is_videopost %}
81 <a href="{{ post.get_absolute_url }}" class="video-item__link">
82 <img src="{% get_video_post_image post 'maxresdefault' %}" alt="Text"/>
83 {% if not post.is_icon_hidden %}
84 <span class="video-item__play">
85 <svg width="18" height="21" viewBox="0 0 18 21" fill="none" xmlns="http://www.w3.org/2000/svg">

/var/www/news-site-columnist/news/templates/new-design/includes/news_sidebars/post_list_quick.html

SELECT "category"."id",
       "category"."created_at",
       "category"."updated_at",
       "category"."seo_title",
       "category"."seo_title_uk",
       "category"."seo_title_en",
       "category"."seo_title_ru",
       "category"."seo_description",
       "category"."seo_description_uk",
       "category"."seo_description_en",
       "category"."seo_description_ru",
       "category"."seo_keywords",
       "category"."seo_keywords_uk",
       "category"."seo_keywords_en",
       "category"."seo_keywords_ru",
       "category"."seo_header_one",
       "category"."seo_header_one_uk",
       "category"."seo_header_one_en",
       "category"."seo_header_one_ru",
       "category"."seo_news_title",
       "category"."seo_news_title_uk",
       "category"."seo_news_title_en",
       "category"."seo_news_title_ru",
       "category"."seo_news_description",
       "category"."seo_news_description_uk",
       "category"."seo_news_description_en",
       "category"."seo_news_description_ru",
       "category"."subdomain",
       "category"."parent_id",
       "category"."image",
       "category"."is_active",
       "category"."is_rss_active",
       "category"."is_interesting",
       "category"."ticker_rss_active",
       "category"."show_home",
       "category"."show_home_en",
       "category"."show_video",
       "category"."show_menu",
       "category"."show_menu_uk",
       "category"."show_menu_en",
       "category"."show_menu_ru",
       "category"."show_footer",
       "category"."show_menu_in_en",
       "category"."show_footer_in_en",
       "category"."show_in_search",
       "category"."show_in_header",
       "category"."show_in_header_uk",
       "category"."show_in_header_en",
       "category"."show_in_header_ru",
       "category"."seo_tag_id",
       "category"."sort_weight",
       "category"."sort_weight_en",
       "category"."header_sort_weight",
       "category"."header_sort_weight_uk",
       "category"."header_sort_weight_en",
       "category"."header_sort_weight_ru",
       "category"."footer_sort_weight",
       "category"."menu_sort_weight",
       "category"."name",
       "category"."name_uk",
       "category"."name_en",
       "category"."name_ru",
       "category"."slug",
       "category"."description",
       "category"."description_uk",
       "category"."description_en",
       "category"."description_ru",
       "category"."fb_link",
       "category"."tg_link",
       "category"."show_banner",
       "category"."uk_has_translation",
       "category"."ru_has_translation",
       "category"."en_has_translation",
       "category"."has_infinite_scroll",
       "category"."_show_home_without_subdomain",
       "category"."_show_home_without_subdomain_en",
       "category"."background_id",
       "category"."use_old_design",
       "category"."use_old_design_for_posts",
       "category"."is_context_category",
       "category"."show_stories_on_main",
       "category"."show_posts_table_of_contents",
       "category"."svg_icon"
  FROM "category"
 WHERE "category"."id" = 21
 LIMIT 21
SELECT ••• FROM "category" WHERE "category"."id" = 21 LIMIT 21
9 similar queries.
1,34

Соединение: default

Статус транзакции: Ожидание

/home/youser/.local/share/virtualenvs/news-site-columnist-8tsXn7bh/bin/gunicorn in <module>(8)
  sys.exit(run())

/home/youser/.local/share/virtualenvs/news-site-columnist-8tsXn7bh/lib/python3.10/site-packages/gunicorn/app/wsgiapp.py in run(66)
  WSGIApplication("%(prog)s [OPTIONS] [APP_MODULE]", prog=prog).run()

/home/youser/.local/share/virtualenvs/news-site-columnist-8tsXn7bh/lib/python3.10/site-packages/gunicorn/app/base.py in run(235)
  super().run()

/home/youser/.local/share/virtualenvs/news-site-columnist-8tsXn7bh/lib/python3.10/site-packages/gunicorn/app/base.py in run(71)
  Arbiter(self).run()

/home/youser/.local/share/virtualenvs/news-site-columnist-8tsXn7bh/lib/python3.10/site-packages/gunicorn/arbiter.py in run(210)
  self.manage_workers()

/home/youser/.local/share/virtualenvs/news-site-columnist-8tsXn7bh/lib/python3.10/site-packages/gunicorn/arbiter.py in manage_workers(570)
  self.spawn_workers()

/home/youser/.local/share/virtualenvs/news-site-columnist-8tsXn7bh/lib/python3.10/site-packages/gunicorn/arbiter.py in spawn_workers(641)
  self.spawn_worker()

/home/youser/.local/share/virtualenvs/news-site-columnist-8tsXn7bh/lib/python3.10/site-packages/gunicorn/arbiter.py in spawn_worker(608)
  worker.init_process()

/home/youser/.local/share/virtualenvs/news-site-columnist-8tsXn7bh/lib/python3.10/site-packages/gunicorn/workers/base.py in init_process(143)
  self.run()

/home/youser/.local/share/virtualenvs/news-site-columnist-8tsXn7bh/lib/python3.10/site-packages/gunicorn/workers/sync.py in run(125)
  self.run_for_one(timeout)

/home/youser/.local/share/virtualenvs/news-site-columnist-8tsXn7bh/lib/python3.10/site-packages/gunicorn/workers/sync.py in run_for_one(69)
  self.accept(listener)

/home/youser/.local/share/virtualenvs/news-site-columnist-8tsXn7bh/lib/python3.10/site-packages/gunicorn/workers/sync.py in accept(31)
  self.handle(listener, client, addr)

/home/youser/.local/share/virtualenvs/news-site-columnist-8tsXn7bh/lib/python3.10/site-packages/gunicorn/workers/sync.py in handle(134)
  self.handle_request(listener, req, client, addr)

/home/youser/.local/share/virtualenvs/news-site-columnist-8tsXn7bh/lib/python3.10/site-packages/gunicorn/workers/sync.py in handle_request(177)
  respiter = self.wsgi(environ, resp.start_response)

/home/youser/.local/share/virtualenvs/news-site-columnist-8tsXn7bh/lib/python3.10/site-packages/sentry_sdk/utils.py in runner(1864)
  return sentry_patched_function(*args, **kwargs)

/home/youser/.local/share/virtualenvs/news-site-columnist-8tsXn7bh/lib/python3.10/site-packages/sentry_sdk/integrations/django/__init__.py in sentry_patched_wsgi_handler(191)
  return middleware(environ, start_response)

/home/youser/.local/share/virtualenvs/news-site-columnist-8tsXn7bh/lib/python3.10/site-packages/sentry_sdk/integrations/wsgi.py in __call__(132)
  response = self.app(

/home/youser/.local/share/virtualenvs/news-site-columnist-8tsXn7bh/lib/python3.10/site-packages/sentry_sdk/integrations/django/__init__.py in sentry_patched_get_response(478)
  rv = old_get_response(self, request)

/home/youser/.local/share/virtualenvs/news-site-columnist-8tsXn7bh/lib/python3.10/site-packages/sentry_sdk/integrations/django/middleware.py in __call__(177)
  return f(*args, **kwargs)

/home/youser/.local/share/virtualenvs/news-site-columnist-8tsXn7bh/lib/python3.10/site-packages/sentry_sdk/integrations/django/middleware.py in __call__(177)
  return f(*args, **kwargs)

/var/www/news-site-columnist/redirects/middleware/redirect_middleware.py in __call__(17)
  return self.get_response(request)

/home/youser/.local/share/virtualenvs/news-site-columnist-8tsXn7bh/lib/python3.10/site-packages/sentry_sdk/integrations/django/middleware.py in __call__(177)
  return f(*args, **kwargs)

/home/youser/.local/share/virtualenvs/news-site-columnist-8tsXn7bh/lib/python3.10/site-packages/sentry_sdk/integrations/django/middleware.py in __call__(177)
  return f(*args, **kwargs)

/home/youser/.local/share/virtualenvs/news-site-columnist-8tsXn7bh/lib/python3.10/site-packages/sentry_sdk/integrations/django/middleware.py in __call__(177)
  return f(*args, **kwargs)

/home/youser/.local/share/virtualenvs/news-site-columnist-8tsXn7bh/lib/python3.10/site-packages/sentry_sdk/integrations/django/middleware.py in __call__(177)
  return f(*args, **kwargs)

/home/youser/.local/share/virtualenvs/news-site-columnist-8tsXn7bh/lib/python3.10/site-packages/corsheaders/middleware.py in __call__(53)
  result = self.get_response(request)

/home/youser/.local/share/virtualenvs/news-site-columnist-8tsXn7bh/lib/python3.10/site-packages/sentry_sdk/integrations/django/middleware.py in __call__(177)
  return f(*args, **kwargs)

/home/youser/.local/share/virtualenvs/news-site-columnist-8tsXn7bh/lib/python3.10/site-packages/django_user_agents/middleware.py in __call__(14)
  return self.get_response(request)

/home/youser/.local/share/virtualenvs/news-site-columnist-8tsXn7bh/lib/python3.10/site-packages/sentry_sdk/integrations/django/middleware.py in __call__(177)
  return f(*args, **kwargs)

/home/youser/.local/share/virtualenvs/news-site-columnist-8tsXn7bh/lib/python3.10/site-packages/sentry_sdk/integrations/django/middleware.py in __call__(177)
  return f(*args, **kwargs)

/home/youser/.local/share/virtualenvs/news-site-columnist-8tsXn7bh/lib/python3.10/site-packages/sentry_sdk/integrations/django/middleware.py in __call__(177)
  return f(*args, **kwargs)

/home/youser/.local/share/virtualenvs/news-site-columnist-8tsXn7bh/lib/python3.10/site-packages/sentry_sdk/integrations/django/middleware.py in __call__(177)
  return f(*args, **kwargs)

/home/youser/.local/share/virtualenvs/news-site-columnist-8tsXn7bh/lib/python3.10/site-packages/sentry_sdk/integrations/django/middleware.py in __call__(177)
  return f(*args, **kwargs)

/home/youser/.local/share/virtualenvs/news-site-columnist-8tsXn7bh/lib/python3.10/site-packages/sentry_sdk/integrations/django/middleware.py in __call__(177)
  return f(*args, **kwargs)

/home/youser/.local/share/virtualenvs/news-site-columnist-8tsXn7bh/lib/python3.10/site-packages/sentry_sdk/integrations/django/middleware.py in __call__(177)
  return f(*args, **kwargs)

/home/youser/.local/share/virtualenvs/news-site-columnist-8tsXn7bh/lib/python3.10/site-packages/sentry_sdk/integrations/django/middleware.py in __call__(177)
  return f(*args, **kwargs)

/var/www/news-site-columnist/news/middleware/subdomain_middleare.py in __call__(22)
  response = self.get_response(request)

/home/youser/.local/share/virtualenvs/news-site-columnist-8tsXn7bh/lib/python3.10/site-packages/sentry_sdk/integrations/django/views.py in sentry_patched_render(41)
  return old_render(self)

/home/youser/.local/share/virtualenvs/news-site-columnist-8tsXn7bh/lib/python3.10/site-packages/django/template/response.py in render(114)
  self.content = self.rendered_content

/home/youser/.local/share/virtualenvs/news-site-columnist-8tsXn7bh/lib/python3.10/site-packages/sentry_sdk/utils.py in runner(1864)
  return sentry_patched_function(*args, **kwargs)

/home/youser/.local/share/virtualenvs/news-site-columnist-8tsXn7bh/lib/python3.10/site-packages/sentry_sdk/integrations/django/templates.py in rendered_content(77)
  return real_rendered_content.fget(self)

/home/youser/.local/share/virtualenvs/news-site-columnist-8tsXn7bh/lib/python3.10/site-packages/django/template/response.py in rendered_content(92)
  return template.render(context, self._request)

/home/youser/.local/share/virtualenvs/news-site-columnist-8tsXn7bh/lib/python3.10/site-packages/django/template/backends/django.py in render(61)
  return self.template.render(context)

/home/youser/.local/share/virtualenvs/news-site-columnist-8tsXn7bh/lib/python3.10/site-packages/template_timings_panel/panels/TemplateTimings.py in timing_hook(139)
  result = func(self, *args, **kwargs)

/home/youser/.local/share/virtualenvs/news-site-columnist-8tsXn7bh/lib/python3.10/site-packages/django/template/base.py in render(175)
  return self._render(context)

/home/youser/.local/share/virtualenvs/news-site-columnist-8tsXn7bh/lib/python3.10/site-packages/django/test/utils.py in instrumented_test_render(112)
  return self.nodelist.render(context)

/home/youser/.local/share/virtualenvs/news-site-columnist-8tsXn7bh/lib/python3.10/site-packages/django/template/base.py in render(1005)
  return SafeString("".join([node.render_annotated(context) for node in self]))

/home/youser/.local/share/virtualenvs/news-site-columnist-8tsXn7bh/lib/python3.10/site-packages/django/template/base.py in <listcomp>(1005)
  return SafeString("".join([node.render_annotated(context) for node in self]))

/home/youser/.local/share/virtualenvs/news-site-columnist-8tsXn7bh/lib/python3.10/site-packages/django/template/base.py in render_annotated(966)
  return self.render(context)

/home/youser/.local/share/virtualenvs/news-site-columnist-8tsXn7bh/lib/python3.10/site-packages/django/template/loader_tags.py in render(157)
  return compiled_parent._render(context)

/home/youser/.local/share/virtualenvs/news-site-columnist-8tsXn7bh/lib/python3.10/site-packages/django/test/utils.py in instrumented_test_render(112)
  return self.nodelist.render(context)

/home/youser/.local/share/virtualenvs/news-site-columnist-8tsXn7bh/lib/python3.10/site-packages/django/template/base.py in render(1005)
  return SafeString("".join([node.render_annotated(context) for node in self]))

/home/youser/.local/share/virtualenvs/news-site-columnist-8tsXn7bh/lib/python3.10/site-packages/django/template/base.py in <listcomp>(1005)
  return SafeString("".join([node.render_annotated(context) for node in self]))

/home/youser/.local/share/virtualenvs/news-site-columnist-8tsXn7bh/lib/python3.10/site-packages/django/template/base.py in render_annotated(966)
  return self.render(context)

/home/youser/.local/share/virtualenvs/news-site-columnist-8tsXn7bh/lib/python3.10/site-packages/template_timings_panel/panels/TemplateTimings.py in timing_hook(139)
  result = func(self, *args, **kwargs)

/home/youser/.local/share/virtualenvs/news-site-columnist-8tsXn7bh/lib/python3.10/site-packages/django/template/loader_tags.py in render(63)
  result = block.nodelist.render(context)

/home/youser/.local/share/virtualenvs/news-site-columnist-8tsXn7bh/lib/python3.10/site-packages/django/template/base.py in render(1005)
  return SafeString("".join([node.render_annotated(context) for node in self]))

/home/youser/.local/share/virtualenvs/news-site-columnist-8tsXn7bh/lib/python3.10/site-packages/django/template/base.py in <listcomp>(1005)
  return SafeString("".join([node.render_annotated(context) for node in self]))

/home/youser/.local/share/virtualenvs/news-site-columnist-8tsXn7bh/lib/python3.10/site-packages/django/template/base.py in render_annotated(966)
  return self.render(context)

/home/youser/.local/share/virtualenvs/news-site-columnist-8tsXn7bh/lib/python3.10/site-packages/template_timings_panel/panels/TemplateTimings.py in timing_hook(139)
  result = func(self, *args, **kwargs)

/home/youser/.local/share/virtualenvs/news-site-columnist-8tsXn7bh/lib/python3.10/site-packages/django/template/loader_tags.py in render(63)
  result = block.nodelist.render(context)

/home/youser/.local/share/virtualenvs/news-site-columnist-8tsXn7bh/lib/python3.10/site-packages/django/template/base.py in render(1005)
  return SafeString("".join([node.render_annotated(context) for node in self]))

/home/youser/.local/share/virtualenvs/news-site-columnist-8tsXn7bh/lib/python3.10/site-packages/django/template/base.py in <listcomp>(1005)
  return SafeString("".join([node.render_annotated(context) for node in self]))

/home/youser/.local/share/virtualenvs/news-site-columnist-8tsXn7bh/lib/python3.10/site-packages/django/template/base.py in render_annotated(966)
  return self.render(context)

/home/youser/.local/share/virtualenvs/news-site-columnist-8tsXn7bh/lib/python3.10/site-packages/django/template/loader_tags.py in render(208)
  return template.render(context)

/home/youser/.local/share/virtualenvs/news-site-columnist-8tsXn7bh/lib/python3.10/site-packages/template_timings_panel/panels/TemplateTimings.py in timing_hook(139)
  result = func(self, *args, **kwargs)

/home/youser/.local/share/virtualenvs/news-site-columnist-8tsXn7bh/lib/python3.10/site-packages/django/template/base.py in render(177)
  return self._render(context)

/home/youser/.local/share/virtualenvs/news-site-columnist-8tsXn7bh/lib/python3.10/site-packages/django/test/utils.py in instrumented_test_render(112)
  return self.nodelist.render(context)

/home/youser/.local/share/virtualenvs/news-site-columnist-8tsXn7bh/lib/python3.10/site-packages/django/template/base.py in render(1005)
  return SafeString("".join([node.render_annotated(context) for node in self]))

/home/youser/.local/share/virtualenvs/news-site-columnist-8tsXn7bh/lib/python3.10/site-packages/django/template/base.py in <listcomp>(1005)
  return SafeString("".join([node.render_annotated(context) for node in self]))

/home/youser/.local/share/virtualenvs/news-site-columnist-8tsXn7bh/lib/python3.10/site-packages/django/template/base.py in render_annotated(966)
  return self.render(context)

/home/youser/.local/share/virtualenvs/news-site-columnist-8tsXn7bh/lib/python3.10/site-packages/django/template/defaulttags.py in render(321)
  return nodelist.render(context)

/home/youser/.local/share/virtualenvs/news-site-columnist-8tsXn7bh/lib/python3.10/site-packages/django/template/base.py in render(1005)
  return SafeString("".join([node.render_annotated(context) for node in self]))

/home/youser/.local/share/virtualenvs/news-site-columnist-8tsXn7bh/lib/python3.10/site-packages/django/template/base.py in <listcomp>(1005)
  return SafeString("".join([node.render_annotated(context) for node in self]))

/home/youser/.local/share/virtualenvs/news-site-columnist-8tsXn7bh/lib/python3.10/site-packages/django/template/base.py in render_annotated(966)
  return self.render(context)

/home/youser/.local/share/virtualenvs/news-site-columnist-8tsXn7bh/lib/python3.10/site-packages/django/template/loader_tags.py in render(208)
  return template.render(context)

/home/youser/.local/share/virtualenvs/news-site-columnist-8tsXn7bh/lib/python3.10/site-packages/template_timings_panel/panels/TemplateTimings.py in timing_hook(139)
  result = func(self, *args, **kwargs)

/home/youser/.local/share/virtualenvs/news-site-columnist-8tsXn7bh/lib/python3.10/site-packages/django/template/base.py in render(177)
  return self._render(context)

/home/youser/.local/share/virtualenvs/news-site-columnist-8tsXn7bh/lib/python3.10/site-packages/django/test/utils.py in instrumented_test_render(112)
  return self.nodelist.render(context)

/home/youser/.local/share/virtualenvs/news-site-columnist-8tsXn7bh/lib/python3.10/site-packages/django/template/base.py in render(1005)
  return SafeString("".join([node.render_annotated(context) for node in self]))

/home/youser/.local/share/virtualenvs/news-site-columnist-8tsXn7bh/lib/python3.10/site-packages/django/template/base.py in <listcomp>(1005)
  return SafeString("".join([node.render_annotated(context) for node in self]))

/home/youser/.local/share/virtualenvs/news-site-columnist-8tsXn7bh/lib/python3.10/site-packages/django/template/base.py in render_annotated(966)
  return self.render(context)

/home/youser/.local/share/virtualenvs/news-site-columnist-8tsXn7bh/lib/python3.10/site-packages/django/template/defaulttags.py in render(321)
  return nodelist.render(context)

/home/youser/.local/share/virtualenvs/news-site-columnist-8tsXn7bh/lib/python3.10/site-packages/django/template/base.py in render(1005)
  return SafeString("".join([node.render_annotated(context) for node in self]))

/home/youser/.local/share/virtualenvs/news-site-columnist-8tsXn7bh/lib/python3.10/site-packages/django/template/base.py in <listcomp>(1005)
  return SafeString("".join([node.render_annotated(context) for node in self]))

/home/youser/.local/share/virtualenvs/news-site-columnist-8tsXn7bh/lib/python3.10/site-packages/django/template/base.py in render_annotated(966)
  return self.render(context)

/home/youser/.local/share/virtualenvs/news-site-columnist-8tsXn7bh/lib/python3.10/site-packages/django/template/defaulttags.py in render(321)
  return nodelist.render(context)

/home/youser/.local/share/virtualenvs/news-site-columnist-8tsXn7bh/lib/python3.10/site-packages/django/template/base.py in render(1005)
  return SafeString("".join([node.render_annotated(context) for node in self]))

/home/youser/.local/share/virtualenvs/news-site-columnist-8tsXn7bh/lib/python3.10/site-packages/django/template/base.py in <listcomp>(1005)
  return SafeString("".join([node.render_annotated(context) for node in self]))

/home/youser/.local/share/virtualenvs/news-site-columnist-8tsXn7bh/lib/python3.10/site-packages/django/template/base.py in render_annotated(966)
  return self.render(context)

/home/youser/.local/share/virtualenvs/news-site-columnist-8tsXn7bh/lib/python3.10/site-packages/template_timings_panel/panels/TemplateTimings.py in timing_hook(139)
  result = func(self, *args, **kwargs)

/home/youser/.local/share/virtualenvs/news-site-columnist-8tsXn7bh/lib/python3.10/site-packages/django/template/loader_tags.py in render(54)
  result = self.nodelist.render(context)

/home/youser/.local/share/virtualenvs/news-site-columnist-8tsXn7bh/lib/python3.10/site-packages/django/template/base.py in render(1005)
  return SafeString("".join([node.render_annotated(context) for node in self]))

/home/youser/.local/share/virtualenvs/news-site-columnist-8tsXn7bh/lib/python3.10/site-packages/django/template/base.py in <listcomp>(1005)
  return SafeString("".join([node.render_annotated(context) for node in self]))

/home/youser/.local/share/virtualenvs/news-site-columnist-8tsXn7bh/lib/python3.10/site-packages/django/template/base.py in render_annotated(966)
  return self.render(context)

/home/youser/.local/share/virtualenvs/news-site-columnist-8tsXn7bh/lib/python3.10/site-packages/django/template/library.py in render(237)
  output = self.func(*resolved_args, **resolved_kwargs)

/var/www/news-site-columnist/news/templatetags/component_tags.py in news_sidebar(216)
  return base_sidebar(

/var/www/news-site-columnist/news/templatetags/component_tags.py in base_sidebar(202)
  return loader.render_to_string(template, context_data)

/home/youser/.local/share/virtualenvs/news-site-columnist-8tsXn7bh/lib/python3.10/site-packages/django/template/loader.py in render_to_string(62)
  return template.render(context, request)

/home/youser/.local/share/virtualenvs/news-site-columnist-8tsXn7bh/lib/python3.10/site-packages/django/template/backends/django.py in render(61)
  return self.template.render(context)

/home/youser/.local/share/virtualenvs/news-site-columnist-8tsXn7bh/lib/python3.10/site-packages/template_timings_panel/panels/TemplateTimings.py in timing_hook(139)
  result = func(self, *args, **kwargs)

/home/youser/.local/share/virtualenvs/news-site-columnist-8tsXn7bh/lib/python3.10/site-packages/django/template/base.py in render(175)
  return self._render(context)

/home/youser/.local/share/virtualenvs/news-site-columnist-8tsXn7bh/lib/python3.10/site-packages/django/test/utils.py in instrumented_test_render(112)
  return self.nodelist.render(context)

/home/youser/.local/share/virtualenvs/news-site-columnist-8tsXn7bh/lib/python3.10/site-packages/django/template/base.py in render(1005)
  return SafeString("".join([node.render_annotated(context) for node in self]))

/home/youser/.local/share/virtualenvs/news-site-columnist-8tsXn7bh/lib/python3.10/site-packages/django/template/base.py in <listcomp>(1005)
  return SafeString("".join([node.render_annotated(context) for node in self]))

/home/youser/.local/share/virtualenvs/news-site-columnist-8tsXn7bh/lib/python3.10/site-packages/django/template/base.py in render_annotated(966)
  return self.render(context)

/home/youser/.local/share/virtualenvs/news-site-columnist-8tsXn7bh/lib/python3.10/site-packages/django/template/defaulttags.py in render(321)
  return nodelist.render(context)

/home/youser/.local/share/virtualenvs/news-site-columnist-8tsXn7bh/lib/python3.10/site-packages/django/template/base.py in render(1005)
  return SafeString("".join([node.render_annotated(context) for node in self]))

/home/youser/.local/share/virtualenvs/news-site-columnist-8tsXn7bh/lib/python3.10/site-packages/django/template/base.py in <listcomp>(1005)
  return SafeString("".join([node.render_annotated(context) for node in self]))

/home/youser/.local/share/virtualenvs/news-site-columnist-8tsXn7bh/lib/python3.10/site-packages/django/template/base.py in render_annotated(966)
  return self.render(context)

/home/youser/.local/share/virtualenvs/news-site-columnist-8tsXn7bh/lib/python3.10/site-packages/django/template/loader_tags.py in render(208)
  return template.render(context)

/home/youser/.local/share/virtualenvs/news-site-columnist-8tsXn7bh/lib/python3.10/site-packages/template_timings_panel/panels/TemplateTimings.py in timing_hook(139)
  result = func(self, *args, **kwargs)

/home/youser/.local/share/virtualenvs/news-site-columnist-8tsXn7bh/lib/python3.10/site-packages/django/template/base.py in render(177)
  return self._render(context)

/home/youser/.local/share/virtualenvs/news-site-columnist-8tsXn7bh/lib/python3.10/site-packages/django/test/utils.py in instrumented_test_render(112)
  return self.nodelist.render(context)

/home/youser/.local/share/virtualenvs/news-site-columnist-8tsXn7bh/lib/python3.10/site-packages/django/template/base.py in render(1005)
  return SafeString("".join([node.render_annotated(context) for node in self]))

/home/youser/.local/share/virtualenvs/news-site-columnist-8tsXn7bh/lib/python3.10/site-packages/django/template/base.py in <listcomp>(1005)
  return SafeString("".join([node.render_annotated(context) for node in self]))

/home/youser/.local/share/virtualenvs/news-site-columnist-8tsXn7bh/lib/python3.10/site-packages/django/template/base.py in render_annotated(966)
  return self.render(context)

/home/youser/.local/share/virtualenvs/news-site-columnist-8tsXn7bh/lib/python3.10/site-packages/django/template/defaulttags.py in render(238)
  nodelist.append(node.render_annotated(context))

/home/youser/.local/share/virtualenvs/news-site-columnist-8tsXn7bh/lib/python3.10/site-packages/django/template/base.py in render_annotated(966)
  return self.render(context)

/home/youser/.local/share/virtualenvs/news-site-columnist-8tsXn7bh/lib/python3.10/site-packages/django/template/defaulttags.py in render(238)
  nodelist.append(node.render_annotated(context))

/home/youser/.local/share/virtualenvs/news-site-columnist-8tsXn7bh/lib/python3.10/site-packages/django/template/base.py in render_annotated(966)
  return self.render(context)

/home/youser/.local/share/virtualenvs/news-site-columnist-8tsXn7bh/lib/python3.10/site-packages/django/template/defaulttags.py in render(321)
  return nodelist.render(context)

/home/youser/.local/share/virtualenvs/news-site-columnist-8tsXn7bh/lib/python3.10/site-packages/django/template/base.py in render(1005)
  return SafeString("".join([node.render_annotated(context) for node in self]))

/home/youser/.local/share/virtualenvs/news-site-columnist-8tsXn7bh/lib/python3.10/site-packages/django/template/base.py in <listcomp>(1005)
  return SafeString("".join([node.render_annotated(context) for node in self]))

/home/youser/.local/share/virtualenvs/news-site-columnist-8tsXn7bh/lib/python3.10/site-packages/django/template/base.py in render_annotated(966)
  return self.render(context)

/home/youser/.local/share/virtualenvs/news-site-columnist-8tsXn7bh/lib/python3.10/site-packages/django/template/defaulttags.py in render(321)
  return nodelist.render(context)

/home/youser/.local/share/virtualenvs/news-site-columnist-8tsXn7bh/lib/python3.10/site-packages/django/template/base.py in render(1005)
  return SafeString("".join([node.render_annotated(context) for node in self]))

/home/youser/.local/share/virtualenvs/news-site-columnist-8tsXn7bh/lib/python3.10/site-packages/django/template/base.py in <listcomp>(1005)
  return SafeString("".join([node.render_annotated(context) for node in self]))

/home/youser/.local/share/virtualenvs/news-site-columnist-8tsXn7bh/lib/python3.10/site-packages/django/template/base.py in render_annotated(966)
  return self.render(context)

/home/youser/.local/share/virtualenvs/news-site-columnist-8tsXn7bh/lib/python3.10/site-packages/django/template/base.py in render(1064)
  output = self.filter_expression.resolve(context)

/home/youser/.local/share/virtualenvs/news-site-columnist-8tsXn7bh/lib/python3.10/site-packages/django/template/base.py in resolve(715)
  obj = self.var.resolve(context)

/home/youser/.local/share/virtualenvs/news-site-columnist-8tsXn7bh/lib/python3.10/site-packages/django/template/base.py in resolve(847)
  value = self._resolve_lookup(context)

/home/youser/.local/share/virtualenvs/news-site-columnist-8tsXn7bh/lib/python3.10/site-packages/django/template/base.py in _resolve_lookup(914)
  current = current()

/var/www/news-site-columnist/news/models/video_news.py in get_absolute_url(178)
  if self.category:

78 {% include "context_section/components/column-item-bg.html" with post=post %}
79 {% else %}
80 {% if post.is_videopost %}
81 <a href="{{ post.get_absolute_url }}" class="video-item__link">
82 <img src="{% get_video_post_image post 'maxresdefault' %}" alt="Text"/>
83 {% if not post.is_icon_hidden %}
84 <span class="video-item__play">
85 <svg width="18" height="21" viewBox="0 0 18 21" fill="none" xmlns="http://www.w3.org/2000/svg">

/var/www/news-site-columnist/news/templates/new-design/includes/news_sidebars/post_list_quick.html

SELECT "category"."id",
       "category"."created_at",
       "category"."updated_at",
       "category"."seo_title",
       "category"."seo_title_uk",
       "category"."seo_title_en",
       "category"."seo_title_ru",
       "category"."seo_description",
       "category"."seo_description_uk",
       "category"."seo_description_en",
       "category"."seo_description_ru",
       "category"."seo_keywords",
       "category"."seo_keywords_uk",
       "category"."seo_keywords_en",
       "category"."seo_keywords_ru",
       "category"."seo_header_one",
       "category"."seo_header_one_uk",
       "category"."seo_header_one_en",
       "category"."seo_header_one_ru",
       "category"."seo_news_title",
       "category"."seo_news_title_uk",
       "category"."seo_news_title_en",
       "category"."seo_news_title_ru",
       "category"."seo_news_description",
       "category"."seo_news_description_uk",
       "category"."seo_news_description_en",
       "category"."seo_news_description_ru",
       "category"."subdomain",
       "category"."parent_id",
       "category"."image",
       "category"."is_active",
       "category"."is_rss_active",
       "category"."is_interesting",
       "category"."ticker_rss_active",
       "category"."show_home",
       "category"."show_home_en",
       "category"."show_video",
       "category"."show_menu",
       "category"."show_menu_uk",
       "category"."show_menu_en",
       "category"."show_menu_ru",
       "category"."show_footer",
       "category"."show_menu_in_en",
       "category"."show_footer_in_en",
       "category"."show_in_search",
       "category"."show_in_header",
       "category"."show_in_header_uk",
       "category"."show_in_header_en",
       "category"."show_in_header_ru",
       "category"."seo_tag_id",
       "category"."sort_weight",
       "category"."sort_weight_en",
       "category"."header_sort_weight",
       "category"."header_sort_weight_uk",
       "category"."header_sort_weight_en",
       "category"."header_sort_weight_ru",
       "category"."footer_sort_weight",
       "category"."menu_sort_weight",
       "category"."name",
       "category"."name_uk",
       "category"."name_en",
       "category"."name_ru",
       "category"."slug",
       "category"."description",
       "category"."description_uk",
       "category"."description_en",
       "category"."description_ru",
       "category"."fb_link",
       "category"."tg_link",
       "category"."show_banner",
       "category"."uk_has_translation",
       "category"."ru_has_translation",
       "category"."en_has_translation",
       "category"."has_infinite_scroll",
       "category"."_show_home_without_subdomain",
       "category"."_show_home_without_subdomain_en",
       "category"."background_id",
       "category"."use_old_design",
       "category"."use_old_design_for_posts",
       "category"."is_context_category",
       "category"."show_stories_on_main",
       "category"."show_posts_table_of_contents",
       "category"."svg_icon"
  FROM "category"
 WHERE "category"."id" = 78466
 LIMIT 21
SELECT ••• FROM "category" WHERE "category"."id" = 78466 LIMIT 21
9 similar queries. Duplicated 4 times.
1,16

Соединение: default

Статус транзакции: Ожидание

/home/youser/.local/share/virtualenvs/news-site-columnist-8tsXn7bh/bin/gunicorn in <module>(8)
  sys.exit(run())

/home/youser/.local/share/virtualenvs/news-site-columnist-8tsXn7bh/lib/python3.10/site-packages/gunicorn/app/wsgiapp.py in run(66)
  WSGIApplication("%(prog)s [OPTIONS] [APP_MODULE]", prog=prog).run()

/home/youser/.local/share/virtualenvs/news-site-columnist-8tsXn7bh/lib/python3.10/site-packages/gunicorn/app/base.py in run(235)
  super().run()

/home/youser/.local/share/virtualenvs/news-site-columnist-8tsXn7bh/lib/python3.10/site-packages/gunicorn/app/base.py in run(71)
  Arbiter(self).run()

/home/youser/.local/share/virtualenvs/news-site-columnist-8tsXn7bh/lib/python3.10/site-packages/gunicorn/arbiter.py in run(210)
  self.manage_workers()

/home/youser/.local/share/virtualenvs/news-site-columnist-8tsXn7bh/lib/python3.10/site-packages/gunicorn/arbiter.py in manage_workers(570)
  self.spawn_workers()

/home/youser/.local/share/virtualenvs/news-site-columnist-8tsXn7bh/lib/python3.10/site-packages/gunicorn/arbiter.py in spawn_workers(641)
  self.spawn_worker()

/home/youser/.local/share/virtualenvs/news-site-columnist-8tsXn7bh/lib/python3.10/site-packages/gunicorn/arbiter.py in spawn_worker(608)
  worker.init_process()

/home/youser/.local/share/virtualenvs/news-site-columnist-8tsXn7bh/lib/python3.10/site-packages/gunicorn/workers/base.py in init_process(143)
  self.run()

/home/youser/.local/share/virtualenvs/news-site-columnist-8tsXn7bh/lib/python3.10/site-packages/gunicorn/workers/sync.py in run(125)
  self.run_for_one(timeout)

/home/youser/.local/share/virtualenvs/news-site-columnist-8tsXn7bh/lib/python3.10/site-packages/gunicorn/workers/sync.py in run_for_one(69)
  self.accept(listener)

/home/youser/.local/share/virtualenvs/news-site-columnist-8tsXn7bh/lib/python3.10/site-packages/gunicorn/workers/sync.py in accept(31)
  self.handle(listener, client, addr)

/home/youser/.local/share/virtualenvs/news-site-columnist-8tsXn7bh/lib/python3.10/site-packages/gunicorn/workers/sync.py in handle(134)
  self.handle_request(listener, req, client, addr)

/home/youser/.local/share/virtualenvs/news-site-columnist-8tsXn7bh/lib/python3.10/site-packages/gunicorn/workers/sync.py in handle_request(177)
  respiter = self.wsgi(environ, resp.start_response)

/home/youser/.local/share/virtualenvs/news-site-columnist-8tsXn7bh/lib/python3.10/site-packages/sentry_sdk/utils.py in runner(1864)
  return sentry_patched_function(*args, **kwargs)

/home/youser/.local/share/virtualenvs/news-site-columnist-8tsXn7bh/lib/python3.10/site-packages/sentry_sdk/integrations/django/__init__.py in sentry_patched_wsgi_handler(191)
  return middleware(environ, start_response)

/home/youser/.local/share/virtualenvs/news-site-columnist-8tsXn7bh/lib/python3.10/site-packages/sentry_sdk/integrations/wsgi.py in __call__(132)
  response = self.app(

/home/youser/.local/share/virtualenvs/news-site-columnist-8tsXn7bh/lib/python3.10/site-packages/sentry_sdk/integrations/django/__init__.py in sentry_patched_get_response(478)
  rv = old_get_response(self, request)

/home/youser/.local/share/virtualenvs/news-site-columnist-8tsXn7bh/lib/python3.10/site-packages/sentry_sdk/integrations/django/middleware.py in __call__(177)
  return f(*args, **kwargs)

/home/youser/.local/share/virtualenvs/news-site-columnist-8tsXn7bh/lib/python3.10/site-packages/sentry_sdk/integrations/django/middleware.py in __call__(177)
  return f(*args, **kwargs)

/var/www/news-site-columnist/redirects/middleware/redirect_middleware.py in __call__(17)
  return self.get_response(request)

/home/youser/.local/share/virtualenvs/news-site-columnist-8tsXn7bh/lib/python3.10/site-packages/sentry_sdk/integrations/django/middleware.py in __call__(177)
  return f(*args, **kwargs)

/home/youser/.local/share/virtualenvs/news-site-columnist-8tsXn7bh/lib/python3.10/site-packages/sentry_sdk/integrations/django/middleware.py in __call__(177)
  return f(*args, **kwargs)

/home/youser/.local/share/virtualenvs/news-site-columnist-8tsXn7bh/lib/python3.10/site-packages/sentry_sdk/integrations/django/middleware.py in __call__(177)
  return f(*args, **kwargs)

/home/youser/.local/share/virtualenvs/news-site-columnist-8tsXn7bh/lib/python3.10/site-packages/sentry_sdk/integrations/django/middleware.py in __call__(177)
  return f(*args, **kwargs)

/home/youser/.local/share/virtualenvs/news-site-columnist-8tsXn7bh/lib/python3.10/site-packages/corsheaders/middleware.py in __call__(53)
  result = self.get_response(request)

/home/youser/.local/share/virtualenvs/news-site-columnist-8tsXn7bh/lib/python3.10/site-packages/sentry_sdk/integrations/django/middleware.py in __call__(177)
  return f(*args, **kwargs)

/home/youser/.local/share/virtualenvs/news-site-columnist-8tsXn7bh/lib/python3.10/site-packages/django_user_agents/middleware.py in __call__(14)
  return self.get_response(request)

/home/youser/.local/share/virtualenvs/news-site-columnist-8tsXn7bh/lib/python3.10/site-packages/sentry_sdk/integrations/django/middleware.py in __call__(177)
  return f(*args, **kwargs)

/home/youser/.local/share/virtualenvs/news-site-columnist-8tsXn7bh/lib/python3.10/site-packages/sentry_sdk/integrations/django/middleware.py in __call__(177)
  return f(*args, **kwargs)

/home/youser/.local/share/virtualenvs/news-site-columnist-8tsXn7bh/lib/python3.10/site-packages/sentry_sdk/integrations/django/middleware.py in __call__(177)
  return f(*args, **kwargs)

/home/youser/.local/share/virtualenvs/news-site-columnist-8tsXn7bh/lib/python3.10/site-packages/sentry_sdk/integrations/django/middleware.py in __call__(177)
  return f(*args, **kwargs)

/home/youser/.local/share/virtualenvs/news-site-columnist-8tsXn7bh/lib/python3.10/site-packages/sentry_sdk/integrations/django/middleware.py in __call__(177)
  return f(*args, **kwargs)

/home/youser/.local/share/virtualenvs/news-site-columnist-8tsXn7bh/lib/python3.10/site-packages/sentry_sdk/integrations/django/middleware.py in __call__(177)
  return f(*args, **kwargs)

/home/youser/.local/share/virtualenvs/news-site-columnist-8tsXn7bh/lib/python3.10/site-packages/sentry_sdk/integrations/django/middleware.py in __call__(177)
  return f(*args, **kwargs)

/home/youser/.local/share/virtualenvs/news-site-columnist-8tsXn7bh/lib/python3.10/site-packages/sentry_sdk/integrations/django/middleware.py in __call__(177)
  return f(*args, **kwargs)

/var/www/news-site-columnist/news/middleware/subdomain_middleare.py in __call__(22)
  response = self.get_response(request)

/home/youser/.local/share/virtualenvs/news-site-columnist-8tsXn7bh/lib/python3.10/site-packages/sentry_sdk/integrations/django/views.py in sentry_patched_render(41)
  return old_render(self)

/home/youser/.local/share/virtualenvs/news-site-columnist-8tsXn7bh/lib/python3.10/site-packages/django/template/response.py in render(114)
  self.content = self.rendered_content

/home/youser/.local/share/virtualenvs/news-site-columnist-8tsXn7bh/lib/python3.10/site-packages/sentry_sdk/utils.py in runner(1864)
  return sentry_patched_function(*args, **kwargs)

/home/youser/.local/share/virtualenvs/news-site-columnist-8tsXn7bh/lib/python3.10/site-packages/sentry_sdk/integrations/django/templates.py in rendered_content(77)
  return real_rendered_content.fget(self)

/home/youser/.local/share/virtualenvs/news-site-columnist-8tsXn7bh/lib/python3.10/site-packages/django/template/response.py in rendered_content(92)
  return template.render(context, self._request)

/home/youser/.local/share/virtualenvs/news-site-columnist-8tsXn7bh/lib/python3.10/site-packages/django/template/backends/django.py in render(61)
  return self.template.render(context)

/home/youser/.local/share/virtualenvs/news-site-columnist-8tsXn7bh/lib/python3.10/site-packages/template_timings_panel/panels/TemplateTimings.py in timing_hook(139)
  result = func(self, *args, **kwargs)

/home/youser/.local/share/virtualenvs/news-site-columnist-8tsXn7bh/lib/python3.10/site-packages/django/template/base.py in render(175)
  return self._render(context)

/home/youser/.local/share/virtualenvs/news-site-columnist-8tsXn7bh/lib/python3.10/site-packages/django/test/utils.py in instrumented_test_render(112)
  return self.nodelist.render(context)

/home/youser/.local/share/virtualenvs/news-site-columnist-8tsXn7bh/lib/python3.10/site-packages/django/template/base.py in render(1005)
  return SafeString("".join([node.render_annotated(context) for node in self]))

/home/youser/.local/share/virtualenvs/news-site-columnist-8tsXn7bh/lib/python3.10/site-packages/django/template/base.py in <listcomp>(1005)
  return SafeString("".join([node.render_annotated(context) for node in self]))

/home/youser/.local/share/virtualenvs/news-site-columnist-8tsXn7bh/lib/python3.10/site-packages/django/template/base.py in render_annotated(966)
  return self.render(context)

/home/youser/.local/share/virtualenvs/news-site-columnist-8tsXn7bh/lib/python3.10/site-packages/django/template/loader_tags.py in render(157)
  return compiled_parent._render(context)

/home/youser/.local/share/virtualenvs/news-site-columnist-8tsXn7bh/lib/python3.10/site-packages/django/test/utils.py in instrumented_test_render(112)
  return self.nodelist.render(context)

/home/youser/.local/share/virtualenvs/news-site-columnist-8tsXn7bh/lib/python3.10/site-packages/django/template/base.py in render(1005)
  return SafeString("".join([node.render_annotated(context) for node in self]))

/home/youser/.local/share/virtualenvs/news-site-columnist-8tsXn7bh/lib/python3.10/site-packages/django/template/base.py in <listcomp>(1005)
  return SafeString("".join([node.render_annotated(context) for node in self]))

/home/youser/.local/share/virtualenvs/news-site-columnist-8tsXn7bh/lib/python3.10/site-packages/django/template/base.py in render_annotated(966)
  return self.render(context)

/home/youser/.local/share/virtualenvs/news-site-columnist-8tsXn7bh/lib/python3.10/site-packages/template_timings_panel/panels/TemplateTimings.py in timing_hook(139)
  result = func(self, *args, **kwargs)

/home/youser/.local/share/virtualenvs/news-site-columnist-8tsXn7bh/lib/python3.10/site-packages/django/template/loader_tags.py in render(63)
  result = block.nodelist.render(context)

/home/youser/.local/share/virtualenvs/news-site-columnist-8tsXn7bh/lib/python3.10/site-packages/django/template/base.py in render(1005)
  return SafeString("".join([node.render_annotated(context) for node in self]))

/home/youser/.local/share/virtualenvs/news-site-columnist-8tsXn7bh/lib/python3.10/site-packages/django/template/base.py in <listcomp>(1005)
  return SafeString("".join([node.render_annotated(context) for node in self]))

/home/youser/.local/share/virtualenvs/news-site-columnist-8tsXn7bh/lib/python3.10/site-packages/django/template/base.py in render_annotated(966)
  return self.render(context)

/home/youser/.local/share/virtualenvs/news-site-columnist-8tsXn7bh/lib/python3.10/site-packages/template_timings_panel/panels/TemplateTimings.py in timing_hook(139)
  result = func(self, *args, **kwargs)

/home/youser/.local/share/virtualenvs/news-site-columnist-8tsXn7bh/lib/python3.10/site-packages/django/template/loader_tags.py in render(63)
  result = block.nodelist.render(context)

/home/youser/.local/share/virtualenvs/news-site-columnist-8tsXn7bh/lib/python3.10/site-packages/django/template/base.py in render(1005)
  return SafeString("".join([node.render_annotated(context) for node in self]))

/home/youser/.local/share/virtualenvs/news-site-columnist-8tsXn7bh/lib/python3.10/site-packages/django/template/base.py in <listcomp>(1005)
  return SafeString("".join([node.render_annotated(context) for node in self]))

/home/youser/.local/share/virtualenvs/news-site-columnist-8tsXn7bh/lib/python3.10/site-packages/django/template/base.py in render_annotated(966)
  return self.render(context)

/home/youser/.local/share/virtualenvs/news-site-columnist-8tsXn7bh/lib/python3.10/site-packages/django/template/loader_tags.py in render(208)
  return template.render(context)

/home/youser/.local/share/virtualenvs/news-site-columnist-8tsXn7bh/lib/python3.10/site-packages/template_timings_panel/panels/TemplateTimings.py in timing_hook(139)
  result = func(self, *args, **kwargs)

/home/youser/.local/share/virtualenvs/news-site-columnist-8tsXn7bh/lib/python3.10/site-packages/django/template/base.py in render(177)
  return self._render(context)

/home/youser/.local/share/virtualenvs/news-site-columnist-8tsXn7bh/lib/python3.10/site-packages/django/test/utils.py in instrumented_test_render(112)
  return self.nodelist.render(context)

/home/youser/.local/share/virtualenvs/news-site-columnist-8tsXn7bh/lib/python3.10/site-packages/django/template/base.py in render(1005)
  return SafeString("".join([node.render_annotated(context) for node in self]))

/home/youser/.local/share/virtualenvs/news-site-columnist-8tsXn7bh/lib/python3.10/site-packages/django/template/base.py in <listcomp>(1005)
  return SafeString("".join([node.render_annotated(context) for node in self]))

/home/youser/.local/share/virtualenvs/news-site-columnist-8tsXn7bh/lib/python3.10/site-packages/django/template/base.py in render_annotated(966)
  return self.render(context)

/home/youser/.local/share/virtualenvs/news-site-columnist-8tsXn7bh/lib/python3.10/site-packages/django/template/defaulttags.py in render(321)
  return nodelist.render(context)

/home/youser/.local/share/virtualenvs/news-site-columnist-8tsXn7bh/lib/python3.10/site-packages/django/template/base.py in render(1005)
  return SafeString("".join([node.render_annotated(context) for node in self]))

/home/youser/.local/share/virtualenvs/news-site-columnist-8tsXn7bh/lib/python3.10/site-packages/django/template/base.py in <listcomp>(1005)
  return SafeString("".join([node.render_annotated(context) for node in self]))

/home/youser/.local/share/virtualenvs/news-site-columnist-8tsXn7bh/lib/python3.10/site-packages/django/template/base.py in render_annotated(966)
  return self.render(context)

/home/youser/.local/share/virtualenvs/news-site-columnist-8tsXn7bh/lib/python3.10/site-packages/django/template/loader_tags.py in render(208)
  return template.render(context)

/home/youser/.local/share/virtualenvs/news-site-columnist-8tsXn7bh/lib/python3.10/site-packages/template_timings_panel/panels/TemplateTimings.py in timing_hook(139)
  result = func(self, *args, **kwargs)

/home/youser/.local/share/virtualenvs/news-site-columnist-8tsXn7bh/lib/python3.10/site-packages/django/template/base.py in render(177)
  return self._render(context)

/home/youser/.local/share/virtualenvs/news-site-columnist-8tsXn7bh/lib/python3.10/site-packages/django/test/utils.py in instrumented_test_render(112)
  return self.nodelist.render(context)

/home/youser/.local/share/virtualenvs/news-site-columnist-8tsXn7bh/lib/python3.10/site-packages/django/template/base.py in render(1005)
  return SafeString("".join([node.render_annotated(context) for node in self]))

/home/youser/.local/share/virtualenvs/news-site-columnist-8tsXn7bh/lib/python3.10/site-packages/django/template/base.py in <listcomp>(1005)
  return SafeString("".join([node.render_annotated(context) for node in self]))

/home/youser/.local/share/virtualenvs/news-site-columnist-8tsXn7bh/lib/python3.10/site-packages/django/template/base.py in render_annotated(966)
  return self.render(context)

/home/youser/.local/share/virtualenvs/news-site-columnist-8tsXn7bh/lib/python3.10/site-packages/django/template/defaulttags.py in render(321)
  return nodelist.render(context)

/home/youser/.local/share/virtualenvs/news-site-columnist-8tsXn7bh/lib/python3.10/site-packages/django/template/base.py in render(1005)
  return SafeString("".join([node.render_annotated(context) for node in self]))

/home/youser/.local/share/virtualenvs/news-site-columnist-8tsXn7bh/lib/python3.10/site-packages/django/template/base.py in <listcomp>(1005)
  return SafeString("".join([node.render_annotated(context) for node in self]))

/home/youser/.local/share/virtualenvs/news-site-columnist-8tsXn7bh/lib/python3.10/site-packages/django/template/base.py in render_annotated(966)
  return self.render(context)

/home/youser/.local/share/virtualenvs/news-site-columnist-8tsXn7bh/lib/python3.10/site-packages/django/template/defaulttags.py in render(321)
  return nodelist.render(context)

/home/youser/.local/share/virtualenvs/news-site-columnist-8tsXn7bh/lib/python3.10/site-packages/django/template/base.py in render(1005)
  return SafeString("".join([node.render_annotated(context) for node in self]))

/home/youser/.local/share/virtualenvs/news-site-columnist-8tsXn7bh/lib/python3.10/site-packages/django/template/base.py in <listcomp>(1005)
  return SafeString("".join([node.render_annotated(context) for node in self]))

/home/youser/.local/share/virtualenvs/news-site-columnist-8tsXn7bh/lib/python3.10/site-packages/django/template/base.py in render_annotated(966)
  return self.render(context)

/home/youser/.local/share/virtualenvs/news-site-columnist-8tsXn7bh/lib/python3.10/site-packages/template_timings_panel/panels/TemplateTimings.py in timing_hook(139)
  result = func(self, *args, **kwargs)

/home/youser/.local/share/virtualenvs/news-site-columnist-8tsXn7bh/lib/python3.10/site-packages/django/template/loader_tags.py in render(54)
  result = self.nodelist.render(context)

/home/youser/.local/share/virtualenvs/news-site-columnist-8tsXn7bh/lib/python3.10/site-packages/django/template/base.py in render(1005)
  return SafeString("".join([node.render_annotated(context) for node in self]))

/home/youser/.local/share/virtualenvs/news-site-columnist-8tsXn7bh/lib/python3.10/site-packages/django/template/base.py in <listcomp>(1005)
  return SafeString("".join([node.render_annotated(context) for node in self]))

/home/youser/.local/share/virtualenvs/news-site-columnist-8tsXn7bh/lib/python3.10/site-packages/django/template/base.py in render_annotated(966)
  return self.render(context)

/home/youser/.local/share/virtualenvs/news-site-columnist-8tsXn7bh/lib/python3.10/site-packages/django/template/library.py in render(237)
  output = self.func(*resolved_args, **resolved_kwargs)

/var/www/news-site-columnist/news/templatetags/component_tags.py in news_sidebar(216)
  return base_sidebar(

/var/www/news-site-columnist/news/templatetags/component_tags.py in base_sidebar(202)
  return loader.render_to_string(template, context_data)

/home/youser/.local/share/virtualenvs/news-site-columnist-8tsXn7bh/lib/python3.10/site-packages/django/template/loader.py in render_to_string(62)
  return template.render(context, request)

/home/youser/.local/share/virtualenvs/news-site-columnist-8tsXn7bh/lib/python3.10/site-packages/django/template/backends/django.py in render(61)
  return self.template.render(context)

/home/youser/.local/share/virtualenvs/news-site-columnist-8tsXn7bh/lib/python3.10/site-packages/template_timings_panel/panels/TemplateTimings.py in timing_hook(139)
  result = func(self, *args, **kwargs)

/home/youser/.local/share/virtualenvs/news-site-columnist-8tsXn7bh/lib/python3.10/site-packages/django/template/base.py in render(175)
  return self._render(context)

/home/youser/.local/share/virtualenvs/news-site-columnist-8tsXn7bh/lib/python3.10/site-packages/django/test/utils.py in instrumented_test_render(112)
  return self.nodelist.render(context)

/home/youser/.local/share/virtualenvs/news-site-columnist-8tsXn7bh/lib/python3.10/site-packages/django/template/base.py in render(1005)
  return SafeString("".join([node.render_annotated(context) for node in self]))

/home/youser/.local/share/virtualenvs/news-site-columnist-8tsXn7bh/lib/python3.10/site-packages/django/template/base.py in <listcomp>(1005)
  return SafeString("".join([node.render_annotated(context) for node in self]))

/home/youser/.local/share/virtualenvs/news-site-columnist-8tsXn7bh/lib/python3.10/site-packages/django/template/base.py in render_annotated(966)
  return self.render(context)

/home/youser/.local/share/virtualenvs/news-site-columnist-8tsXn7bh/lib/python3.10/site-packages/django/template/defaulttags.py in render(321)
  return nodelist.render(context)

/home/youser/.local/share/virtualenvs/news-site-columnist-8tsXn7bh/lib/python3.10/site-packages/django/template/base.py in render(1005)
  return SafeString("".join([node.render_annotated(context) for node in self]))

/home/youser/.local/share/virtualenvs/news-site-columnist-8tsXn7bh/lib/python3.10/site-packages/django/template/base.py in <listcomp>(1005)
  return SafeString("".join([node.render_annotated(context) for node in self]))

/home/youser/.local/share/virtualenvs/news-site-columnist-8tsXn7bh/lib/python3.10/site-packages/django/template/base.py in render_annotated(966)
  return self.render(context)

/home/youser/.local/share/virtualenvs/news-site-columnist-8tsXn7bh/lib/python3.10/site-packages/django/template/loader_tags.py in render(208)
  return template.render(context)

/home/youser/.local/share/virtualenvs/news-site-columnist-8tsXn7bh/lib/python3.10/site-packages/template_timings_panel/panels/TemplateTimings.py in timing_hook(139)
  result = func(self, *args, **kwargs)

/home/youser/.local/share/virtualenvs/news-site-columnist-8tsXn7bh/lib/python3.10/site-packages/django/template/base.py in render(177)
  return self._render(context)

/home/youser/.local/share/virtualenvs/news-site-columnist-8tsXn7bh/lib/python3.10/site-packages/django/test/utils.py in instrumented_test_render(112)
  return self.nodelist.render(context)

/home/youser/.local/share/virtualenvs/news-site-columnist-8tsXn7bh/lib/python3.10/site-packages/django/template/base.py in render(1005)
  return SafeString("".join([node.render_annotated(context) for node in self]))

/home/youser/.local/share/virtualenvs/news-site-columnist-8tsXn7bh/lib/python3.10/site-packages/django/template/base.py in <listcomp>(1005)
  return SafeString("".join([node.render_annotated(context) for node in self]))

/home/youser/.local/share/virtualenvs/news-site-columnist-8tsXn7bh/lib/python3.10/site-packages/django/template/base.py in render_annotated(966)
  return self.render(context)

/home/youser/.local/share/virtualenvs/news-site-columnist-8tsXn7bh/lib/python3.10/site-packages/django/template/defaulttags.py in render(238)
  nodelist.append(node.render_annotated(context))

/home/youser/.local/share/virtualenvs/news-site-columnist-8tsXn7bh/lib/python3.10/site-packages/django/template/base.py in render_annotated(966)
  return self.render(context)

/home/youser/.local/share/virtualenvs/news-site-columnist-8tsXn7bh/lib/python3.10/site-packages/django/template/defaulttags.py in render(238)
  nodelist.append(node.render_annotated(context))

/home/youser/.local/share/virtualenvs/news-site-columnist-8tsXn7bh/lib/python3.10/site-packages/django/template/base.py in render_annotated(966)
  return self.render(context)

/home/youser/.local/share/virtualenvs/news-site-columnist-8tsXn7bh/lib/python3.10/site-packages/django/template/defaulttags.py in render(321)
  return nodelist.render(context)

/home/youser/.local/share/virtualenvs/news-site-columnist-8tsXn7bh/lib/python3.10/site-packages/django/template/base.py in render(1005)
  return SafeString("".join([node.render_annotated(context) for node in self]))

/home/youser/.local/share/virtualenvs/news-site-columnist-8tsXn7bh/lib/python3.10/site-packages/django/template/base.py in <listcomp>(1005)
  return SafeString("".join([node.render_annotated(context) for node in self]))

/home/youser/.local/share/virtualenvs/news-site-columnist-8tsXn7bh/lib/python3.10/site-packages/django/template/base.py in render_annotated(966)
  return self.render(context)

/home/youser/.local/share/virtualenvs/news-site-columnist-8tsXn7bh/lib/python3.10/site-packages/django/template/defaulttags.py in render(321)
  return nodelist.render(context)

/home/youser/.local/share/virtualenvs/news-site-columnist-8tsXn7bh/lib/python3.10/site-packages/django/template/base.py in render(1005)
  return SafeString("".join([node.render_annotated(context) for node in self]))

/home/youser/.local/share/virtualenvs/news-site-columnist-8tsXn7bh/lib/python3.10/site-packages/django/template/base.py in <listcomp>(1005)
  return SafeString("".join([node.render_annotated(context) for node in self]))

/home/youser/.local/share/virtualenvs/news-site-columnist-8tsXn7bh/lib/python3.10/site-packages/django/template/base.py in render_annotated(966)
  return self.render(context)

/home/youser/.local/share/virtualenvs/news-site-columnist-8tsXn7bh/lib/python3.10/site-packages/django/template/base.py in render(1064)
  output = self.filter_expression.resolve(context)

/home/youser/.local/share/virtualenvs/news-site-columnist-8tsXn7bh/lib/python3.10/site-packages/django/template/base.py in resolve(715)
  obj = self.var.resolve(context)

/home/youser/.local/share/virtualenvs/news-site-columnist-8tsXn7bh/lib/python3.10/site-packages/django/template/base.py in resolve(847)
  value = self._resolve_lookup(context)

/home/youser/.local/share/virtualenvs/news-site-columnist-8tsXn7bh/lib/python3.10/site-packages/django/template/base.py in _resolve_lookup(914)
  current = current()

/var/www/news-site-columnist/news/models/video_news.py in get_absolute_url(178)
  if self.category:

78 {% include "context_section/components/column-item-bg.html" with post=post %}
79 {% else %}
80 {% if post.is_videopost %}
81 <a href="{{ post.get_absolute_url }}" class="video-item__link">
82 <img src="{% get_video_post_image post 'maxresdefault' %}" alt="Text"/>
83 {% if not post.is_icon_hidden %}
84 <span class="video-item__play">
85 <svg width="18" height="21" viewBox="0 0 18 21" fill="none" xmlns="http://www.w3.org/2000/svg">

/var/www/news-site-columnist/news/templates/new-design/includes/news_sidebars/post_list_quick.html

SELECT "category"."id",
       "category"."created_at",
       "category"."updated_at",
       "category"."seo_title",
       "category"."seo_title_uk",
       "category"."seo_title_en",
       "category"."seo_title_ru",
       "category"."seo_description",
       "category"."seo_description_uk",
       "category"."seo_description_en",
       "category"."seo_description_ru",
       "category"."seo_keywords",
       "category"."seo_keywords_uk",
       "category"."seo_keywords_en",
       "category"."seo_keywords_ru",
       "category"."seo_header_one",
       "category"."seo_header_one_uk",
       "category"."seo_header_one_en",
       "category"."seo_header_one_ru",
       "category"."seo_news_title",
       "category"."seo_news_title_uk",
       "category"."seo_news_title_en",
       "category"."seo_news_title_ru",
       "category"."seo_news_description",
       "category"."seo_news_description_uk",
       "category"."seo_news_description_en",
       "category"."seo_news_description_ru",
       "category"."subdomain",
       "category"."parent_id",
       "category"."image",
       "category"."is_active",
       "category"."is_rss_active",
       "category"."is_interesting",
       "category"."ticker_rss_active",
       "category"."show_home",
       "category"."show_home_en",
       "category"."show_video",
       "category"."show_menu",
       "category"."show_menu_uk",
       "category"."show_menu_en",
       "category"."show_menu_ru",
       "category"."show_footer",
       "category"."show_menu_in_en",
       "category"."show_footer_in_en",
       "category"."show_in_search",
       "category"."show_in_header",
       "category"."show_in_header_uk",
       "category"."show_in_header_en",
       "category"."show_in_header_ru",
       "category"."seo_tag_id",
       "category"."sort_weight",
       "category"."sort_weight_en",
       "category"."header_sort_weight",
       "category"."header_sort_weight_uk",
       "category"."header_sort_weight_en",
       "category"."header_sort_weight_ru",
       "category"."footer_sort_weight",
       "category"."menu_sort_weight",
       "category"."name",
       "category"."name_uk",
       "category"."name_en",
       "category"."name_ru",
       "category"."slug",
       "category"."description",
       "category"."description_uk",
       "category"."description_en",
       "category"."description_ru",
       "category"."fb_link",
       "category"."tg_link",
       "category"."show_banner",
       "category"."uk_has_translation",
       "category"."ru_has_translation",
       "category"."en_has_translation",
       "category"."has_infinite_scroll",
       "category"."_show_home_without_subdomain",
       "category"."_show_home_without_subdomain_en",
       "category"."background_id",
       "category"."use_old_design",
       "category"."use_old_design_for_posts",
       "category"."is_context_category",
       "category"."show_stories_on_main",
       "category"."show_posts_table_of_contents",
       "category"."svg_icon"
  FROM "category"
 WHERE "category"."id" = 78466
 LIMIT 21
SELECT ••• FROM "category" WHERE "category"."id" = 78466 LIMIT 21
9 similar queries. Duplicated 4 times.
0,98

Соединение: default

Статус транзакции: Ожидание

/home/youser/.local/share/virtualenvs/news-site-columnist-8tsXn7bh/bin/gunicorn in <module>(8)
  sys.exit(run())

/home/youser/.local/share/virtualenvs/news-site-columnist-8tsXn7bh/lib/python3.10/site-packages/gunicorn/app/wsgiapp.py in run(66)
  WSGIApplication("%(prog)s [OPTIONS] [APP_MODULE]", prog=prog).run()

/home/youser/.local/share/virtualenvs/news-site-columnist-8tsXn7bh/lib/python3.10/site-packages/gunicorn/app/base.py in run(235)
  super().run()

/home/youser/.local/share/virtualenvs/news-site-columnist-8tsXn7bh/lib/python3.10/site-packages/gunicorn/app/base.py in run(71)
  Arbiter(self).run()

/home/youser/.local/share/virtualenvs/news-site-columnist-8tsXn7bh/lib/python3.10/site-packages/gunicorn/arbiter.py in run(210)
  self.manage_workers()

/home/youser/.local/share/virtualenvs/news-site-columnist-8tsXn7bh/lib/python3.10/site-packages/gunicorn/arbiter.py in manage_workers(570)
  self.spawn_workers()

/home/youser/.local/share/virtualenvs/news-site-columnist-8tsXn7bh/lib/python3.10/site-packages/gunicorn/arbiter.py in spawn_workers(641)
  self.spawn_worker()

/home/youser/.local/share/virtualenvs/news-site-columnist-8tsXn7bh/lib/python3.10/site-packages/gunicorn/arbiter.py in spawn_worker(608)
  worker.init_process()

/home/youser/.local/share/virtualenvs/news-site-columnist-8tsXn7bh/lib/python3.10/site-packages/gunicorn/workers/base.py in init_process(143)
  self.run()

/home/youser/.local/share/virtualenvs/news-site-columnist-8tsXn7bh/lib/python3.10/site-packages/gunicorn/workers/sync.py in run(125)
  self.run_for_one(timeout)

/home/youser/.local/share/virtualenvs/news-site-columnist-8tsXn7bh/lib/python3.10/site-packages/gunicorn/workers/sync.py in run_for_one(69)
  self.accept(listener)

/home/youser/.local/share/virtualenvs/news-site-columnist-8tsXn7bh/lib/python3.10/site-packages/gunicorn/workers/sync.py in accept(31)
  self.handle(listener, client, addr)

/home/youser/.local/share/virtualenvs/news-site-columnist-8tsXn7bh/lib/python3.10/site-packages/gunicorn/workers/sync.py in handle(134)
  self.handle_request(listener, req, client, addr)

/home/youser/.local/share/virtualenvs/news-site-columnist-8tsXn7bh/lib/python3.10/site-packages/gunicorn/workers/sync.py in handle_request(177)
  respiter = self.wsgi(environ, resp.start_response)

/home/youser/.local/share/virtualenvs/news-site-columnist-8tsXn7bh/lib/python3.10/site-packages/sentry_sdk/utils.py in runner(1864)
  return sentry_patched_function(*args, **kwargs)

/home/youser/.local/share/virtualenvs/news-site-columnist-8tsXn7bh/lib/python3.10/site-packages/sentry_sdk/integrations/django/__init__.py in sentry_patched_wsgi_handler(191)
  return middleware(environ, start_response)

/home/youser/.local/share/virtualenvs/news-site-columnist-8tsXn7bh/lib/python3.10/site-packages/sentry_sdk/integrations/wsgi.py in __call__(132)
  response = self.app(

/home/youser/.local/share/virtualenvs/news-site-columnist-8tsXn7bh/lib/python3.10/site-packages/sentry_sdk/integrations/django/__init__.py in sentry_patched_get_response(478)
  rv = old_get_response(self, request)

/home/youser/.local/share/virtualenvs/news-site-columnist-8tsXn7bh/lib/python3.10/site-packages/sentry_sdk/integrations/django/middleware.py in __call__(177)
  return f(*args, **kwargs)

/home/youser/.local/share/virtualenvs/news-site-columnist-8tsXn7bh/lib/python3.10/site-packages/sentry_sdk/integrations/django/middleware.py in __call__(177)
  return f(*args, **kwargs)

/var/www/news-site-columnist/redirects/middleware/redirect_middleware.py in __call__(17)
  return self.get_response(request)

/home/youser/.local/share/virtualenvs/news-site-columnist-8tsXn7bh/lib/python3.10/site-packages/sentry_sdk/integrations/django/middleware.py in __call__(177)
  return f(*args, **kwargs)

/home/youser/.local/share/virtualenvs/news-site-columnist-8tsXn7bh/lib/python3.10/site-packages/sentry_sdk/integrations/django/middleware.py in __call__(177)
  return f(*args, **kwargs)

/home/youser/.local/share/virtualenvs/news-site-columnist-8tsXn7bh/lib/python3.10/site-packages/sentry_sdk/integrations/django/middleware.py in __call__(177)
  return f(*args, **kwargs)

/home/youser/.local/share/virtualenvs/news-site-columnist-8tsXn7bh/lib/python3.10/site-packages/sentry_sdk/integrations/django/middleware.py in __call__(177)
  return f(*args, **kwargs)

/home/youser/.local/share/virtualenvs/news-site-columnist-8tsXn7bh/lib/python3.10/site-packages/corsheaders/middleware.py in __call__(53)
  result = self.get_response(request)

/home/youser/.local/share/virtualenvs/news-site-columnist-8tsXn7bh/lib/python3.10/site-packages/sentry_sdk/integrations/django/middleware.py in __call__(177)
  return f(*args, **kwargs)

/home/youser/.local/share/virtualenvs/news-site-columnist-8tsXn7bh/lib/python3.10/site-packages/django_user_agents/middleware.py in __call__(14)
  return self.get_response(request)

/home/youser/.local/share/virtualenvs/news-site-columnist-8tsXn7bh/lib/python3.10/site-packages/sentry_sdk/integrations/django/middleware.py in __call__(177)
  return f(*args, **kwargs)

/home/youser/.local/share/virtualenvs/news-site-columnist-8tsXn7bh/lib/python3.10/site-packages/sentry_sdk/integrations/django/middleware.py in __call__(177)
  return f(*args, **kwargs)

/home/youser/.local/share/virtualenvs/news-site-columnist-8tsXn7bh/lib/python3.10/site-packages/sentry_sdk/integrations/django/middleware.py in __call__(177)
  return f(*args, **kwargs)

/home/youser/.local/share/virtualenvs/news-site-columnist-8tsXn7bh/lib/python3.10/site-packages/sentry_sdk/integrations/django/middleware.py in __call__(177)
  return f(*args, **kwargs)

/home/youser/.local/share/virtualenvs/news-site-columnist-8tsXn7bh/lib/python3.10/site-packages/sentry_sdk/integrations/django/middleware.py in __call__(177)
  return f(*args, **kwargs)

/home/youser/.local/share/virtualenvs/news-site-columnist-8tsXn7bh/lib/python3.10/site-packages/sentry_sdk/integrations/django/middleware.py in __call__(177)
  return f(*args, **kwargs)

/home/youser/.local/share/virtualenvs/news-site-columnist-8tsXn7bh/lib/python3.10/site-packages/sentry_sdk/integrations/django/middleware.py in __call__(177)
  return f(*args, **kwargs)

/home/youser/.local/share/virtualenvs/news-site-columnist-8tsXn7bh/lib/python3.10/site-packages/sentry_sdk/integrations/django/middleware.py in __call__(177)
  return f(*args, **kwargs)

/var/www/news-site-columnist/news/middleware/subdomain_middleare.py in __call__(22)
  response = self.get_response(request)

/home/youser/.local/share/virtualenvs/news-site-columnist-8tsXn7bh/lib/python3.10/site-packages/sentry_sdk/integrations/django/views.py in sentry_patched_render(41)
  return old_render(self)

/home/youser/.local/share/virtualenvs/news-site-columnist-8tsXn7bh/lib/python3.10/site-packages/django/template/response.py in render(114)
  self.content = self.rendered_content

/home/youser/.local/share/virtualenvs/news-site-columnist-8tsXn7bh/lib/python3.10/site-packages/sentry_sdk/utils.py in runner(1864)
  return sentry_patched_function(*args, **kwargs)

/home/youser/.local/share/virtualenvs/news-site-columnist-8tsXn7bh/lib/python3.10/site-packages/sentry_sdk/integrations/django/templates.py in rendered_content(77)
  return real_rendered_content.fget(self)

/home/youser/.local/share/virtualenvs/news-site-columnist-8tsXn7bh/lib/python3.10/site-packages/django/template/response.py in rendered_content(92)
  return template.render(context, self._request)

/home/youser/.local/share/virtualenvs/news-site-columnist-8tsXn7bh/lib/python3.10/site-packages/django/template/backends/django.py in render(61)
  return self.template.render(context)

/home/youser/.local/share/virtualenvs/news-site-columnist-8tsXn7bh/lib/python3.10/site-packages/template_timings_panel/panels/TemplateTimings.py in timing_hook(139)
  result = func(self, *args, **kwargs)

/home/youser/.local/share/virtualenvs/news-site-columnist-8tsXn7bh/lib/python3.10/site-packages/django/template/base.py in render(175)
  return self._render(context)

/home/youser/.local/share/virtualenvs/news-site-columnist-8tsXn7bh/lib/python3.10/site-packages/django/test/utils.py in instrumented_test_render(112)
  return self.nodelist.render(context)

/home/youser/.local/share/virtualenvs/news-site-columnist-8tsXn7bh/lib/python3.10/site-packages/django/template/base.py in render(1005)
  return SafeString("".join([node.render_annotated(context) for node in self]))

/home/youser/.local/share/virtualenvs/news-site-columnist-8tsXn7bh/lib/python3.10/site-packages/django/template/base.py in <listcomp>(1005)
  return SafeString("".join([node.render_annotated(context) for node in self]))

/home/youser/.local/share/virtualenvs/news-site-columnist-8tsXn7bh/lib/python3.10/site-packages/django/template/base.py in render_annotated(966)
  return self.render(context)

/home/youser/.local/share/virtualenvs/news-site-columnist-8tsXn7bh/lib/python3.10/site-packages/django/template/loader_tags.py in render(157)
  return compiled_parent._render(context)

/home/youser/.local/share/virtualenvs/news-site-columnist-8tsXn7bh/lib/python3.10/site-packages/django/test/utils.py in instrumented_test_render(112)
  return self.nodelist.render(context)

/home/youser/.local/share/virtualenvs/news-site-columnist-8tsXn7bh/lib/python3.10/site-packages/django/template/base.py in render(1005)
  return SafeString("".join([node.render_annotated(context) for node in self]))

/home/youser/.local/share/virtualenvs/news-site-columnist-8tsXn7bh/lib/python3.10/site-packages/django/template/base.py in <listcomp>(1005)
  return SafeString("".join([node.render_annotated(context) for node in self]))

/home/youser/.local/share/virtualenvs/news-site-columnist-8tsXn7bh/lib/python3.10/site-packages/django/template/base.py in render_annotated(966)
  return self.render(context)

/home/youser/.local/share/virtualenvs/news-site-columnist-8tsXn7bh/lib/python3.10/site-packages/template_timings_panel/panels/TemplateTimings.py in timing_hook(139)
  result = func(self, *args, **kwargs)

/home/youser/.local/share/virtualenvs/news-site-columnist-8tsXn7bh/lib/python3.10/site-packages/django/template/loader_tags.py in render(63)
  result = block.nodelist.render(context)

/home/youser/.local/share/virtualenvs/news-site-columnist-8tsXn7bh/lib/python3.10/site-packages/django/template/base.py in render(1005)
  return SafeString("".join([node.render_annotated(context) for node in self]))

/home/youser/.local/share/virtualenvs/news-site-columnist-8tsXn7bh/lib/python3.10/site-packages/django/template/base.py in <listcomp>(1005)
  return SafeString("".join([node.render_annotated(context) for node in self]))

/home/youser/.local/share/virtualenvs/news-site-columnist-8tsXn7bh/lib/python3.10/site-packages/django/template/base.py in render_annotated(966)
  return self.render(context)

/home/youser/.local/share/virtualenvs/news-site-columnist-8tsXn7bh/lib/python3.10/site-packages/template_timings_panel/panels/TemplateTimings.py in timing_hook(139)
  result = func(self, *args, **kwargs)

/home/youser/.local/share/virtualenvs/news-site-columnist-8tsXn7bh/lib/python3.10/site-packages/django/template/loader_tags.py in render(63)
  result = block.nodelist.render(context)

/home/youser/.local/share/virtualenvs/news-site-columnist-8tsXn7bh/lib/python3.10/site-packages/django/template/base.py in render(1005)
  return SafeString("".join([node.render_annotated(context) for node in self]))

/home/youser/.local/share/virtualenvs/news-site-columnist-8tsXn7bh/lib/python3.10/site-packages/django/template/base.py in <listcomp>(1005)
  return SafeString("".join([node.render_annotated(context) for node in self]))

/home/youser/.local/share/virtualenvs/news-site-columnist-8tsXn7bh/lib/python3.10/site-packages/django/template/base.py in render_annotated(966)
  return self.render(context)

/home/youser/.local/share/virtualenvs/news-site-columnist-8tsXn7bh/lib/python3.10/site-packages/django/template/loader_tags.py in render(208)
  return template.render(context)

/home/youser/.local/share/virtualenvs/news-site-columnist-8tsXn7bh/lib/python3.10/site-packages/template_timings_panel/panels/TemplateTimings.py in timing_hook(139)
  result = func(self, *args, **kwargs)

/home/youser/.local/share/virtualenvs/news-site-columnist-8tsXn7bh/lib/python3.10/site-packages/django/template/base.py in render(177)
  return self._render(context)

/home/youser/.local/share/virtualenvs/news-site-columnist-8tsXn7bh/lib/python3.10/site-packages/django/test/utils.py in instrumented_test_render(112)
  return self.nodelist.render(context)

/home/youser/.local/share/virtualenvs/news-site-columnist-8tsXn7bh/lib/python3.10/site-packages/django/template/base.py in render(1005)
  return SafeString("".join([node.render_annotated(context) for node in self]))

/home/youser/.local/share/virtualenvs/news-site-columnist-8tsXn7bh/lib/python3.10/site-packages/django/template/base.py in <listcomp>(1005)
  return SafeString("".join([node.render_annotated(context) for node in self]))

/home/youser/.local/share/virtualenvs/news-site-columnist-8tsXn7bh/lib/python3.10/site-packages/django/template/base.py in render_annotated(966)
  return self.render(context)

/home/youser/.local/share/virtualenvs/news-site-columnist-8tsXn7bh/lib/python3.10/site-packages/django/template/defaulttags.py in render(321)
  return nodelist.render(context)

/home/youser/.local/share/virtualenvs/news-site-columnist-8tsXn7bh/lib/python3.10/site-packages/django/template/base.py in render(1005)
  return SafeString("".join([node.render_annotated(context) for node in self]))

/home/youser/.local/share/virtualenvs/news-site-columnist-8tsXn7bh/lib/python3.10/site-packages/django/template/base.py in <listcomp>(1005)
  return SafeString("".join([node.render_annotated(context) for node in self]))

/home/youser/.local/share/virtualenvs/news-site-columnist-8tsXn7bh/lib/python3.10/site-packages/django/template/base.py in render_annotated(966)
  return self.render(context)

/home/youser/.local/share/virtualenvs/news-site-columnist-8tsXn7bh/lib/python3.10/site-packages/django/template/loader_tags.py in render(208)
  return template.render(context)

/home/youser/.local/share/virtualenvs/news-site-columnist-8tsXn7bh/lib/python3.10/site-packages/template_timings_panel/panels/TemplateTimings.py in timing_hook(139)
  result = func(self, *args, **kwargs)

/home/youser/.local/share/virtualenvs/news-site-columnist-8tsXn7bh/lib/python3.10/site-packages/django/template/base.py in render(177)
  return self._render(context)

/home/youser/.local/share/virtualenvs/news-site-columnist-8tsXn7bh/lib/python3.10/site-packages/django/test/utils.py in instrumented_test_render(112)
  return self.nodelist.render(context)

/home/youser/.local/share/virtualenvs/news-site-columnist-8tsXn7bh/lib/python3.10/site-packages/django/template/base.py in render(1005)
  return SafeString("".join([node.render_annotated(context) for node in self]))

/home/youser/.local/share/virtualenvs/news-site-columnist-8tsXn7bh/lib/python3.10/site-packages/django/template/base.py in <listcomp>(1005)
  return SafeString("".join([node.render_annotated(context) for node in self]))

/home/youser/.local/share/virtualenvs/news-site-columnist-8tsXn7bh/lib/python3.10/site-packages/django/template/base.py in render_annotated(966)
  return self.render(context)

/home/youser/.local/share/virtualenvs/news-site-columnist-8tsXn7bh/lib/python3.10/site-packages/django/template/defaulttags.py in render(321)
  return nodelist.render(context)

/home/youser/.local/share/virtualenvs/news-site-columnist-8tsXn7bh/lib/python3.10/site-packages/django/template/base.py in render(1005)
  return SafeString("".join([node.render_annotated(context) for node in self]))

/home/youser/.local/share/virtualenvs/news-site-columnist-8tsXn7bh/lib/python3.10/site-packages/django/template/base.py in <listcomp>(1005)
  return SafeString("".join([node.render_annotated(context) for node in self]))

/home/youser/.local/share/virtualenvs/news-site-columnist-8tsXn7bh/lib/python3.10/site-packages/django/template/base.py in render_annotated(966)
  return self.render(context)

/home/youser/.local/share/virtualenvs/news-site-columnist-8tsXn7bh/lib/python3.10/site-packages/django/template/defaulttags.py in render(321)
  return nodelist.render(context)

/home/youser/.local/share/virtualenvs/news-site-columnist-8tsXn7bh/lib/python3.10/site-packages/django/template/base.py in render(1005)
  return SafeString("".join([node.render_annotated(context) for node in self]))

/home/youser/.local/share/virtualenvs/news-site-columnist-8tsXn7bh/lib/python3.10/site-packages/django/template/base.py in <listcomp>(1005)
  return SafeString("".join([node.render_annotated(context) for node in self]))

/home/youser/.local/share/virtualenvs/news-site-columnist-8tsXn7bh/lib/python3.10/site-packages/django/template/base.py in render_annotated(966)
  return self.render(context)

/home/youser/.local/share/virtualenvs/news-site-columnist-8tsXn7bh/lib/python3.10/site-packages/template_timings_panel/panels/TemplateTimings.py in timing_hook(139)
  result = func(self, *args, **kwargs)

/home/youser/.local/share/virtualenvs/news-site-columnist-8tsXn7bh/lib/python3.10/site-packages/django/template/loader_tags.py in render(54)
  result = self.nodelist.render(context)

/home/youser/.local/share/virtualenvs/news-site-columnist-8tsXn7bh/lib/python3.10/site-packages/django/template/base.py in render(1005)
  return SafeString("".join([node.render_annotated(context) for node in self]))

/home/youser/.local/share/virtualenvs/news-site-columnist-8tsXn7bh/lib/python3.10/site-packages/django/template/base.py in <listcomp>(1005)
  return SafeString("".join([node.render_annotated(context) for node in self]))

/home/youser/.local/share/virtualenvs/news-site-columnist-8tsXn7bh/lib/python3.10/site-packages/django/template/base.py in render_annotated(966)
  return self.render(context)

/home/youser/.local/share/virtualenvs/news-site-columnist-8tsXn7bh/lib/python3.10/site-packages/django/template/library.py in render(237)
  output = self.func(*resolved_args, **resolved_kwargs)

/var/www/news-site-columnist/news/templatetags/component_tags.py in news_sidebar(216)
  return base_sidebar(

/var/www/news-site-columnist/news/templatetags/component_tags.py in base_sidebar(202)
  return loader.render_to_string(template, context_data)

/home/youser/.local/share/virtualenvs/news-site-columnist-8tsXn7bh/lib/python3.10/site-packages/django/template/loader.py in render_to_string(62)
  return template.render(context, request)

/home/youser/.local/share/virtualenvs/news-site-columnist-8tsXn7bh/lib/python3.10/site-packages/django/template/backends/django.py in render(61)
  return self.template.render(context)

/home/youser/.local/share/virtualenvs/news-site-columnist-8tsXn7bh/lib/python3.10/site-packages/template_timings_panel/panels/TemplateTimings.py in timing_hook(139)
  result = func(self, *args, **kwargs)

/home/youser/.local/share/virtualenvs/news-site-columnist-8tsXn7bh/lib/python3.10/site-packages/django/template/base.py in render(175)
  return self._render(context)

/home/youser/.local/share/virtualenvs/news-site-columnist-8tsXn7bh/lib/python3.10/site-packages/django/test/utils.py in instrumented_test_render(112)
  return self.nodelist.render(context)

/home/youser/.local/share/virtualenvs/news-site-columnist-8tsXn7bh/lib/python3.10/site-packages/django/template/base.py in render(1005)
  return SafeString("".join([node.render_annotated(context) for node in self]))

/home/youser/.local/share/virtualenvs/news-site-columnist-8tsXn7bh/lib/python3.10/site-packages/django/template/base.py in <listcomp>(1005)
  return SafeString("".join([node.render_annotated(context) for node in self]))

/home/youser/.local/share/virtualenvs/news-site-columnist-8tsXn7bh/lib/python3.10/site-packages/django/template/base.py in render_annotated(966)
  return self.render(context)

/home/youser/.local/share/virtualenvs/news-site-columnist-8tsXn7bh/lib/python3.10/site-packages/django/template/defaulttags.py in render(321)
  return nodelist.render(context)

/home/youser/.local/share/virtualenvs/news-site-columnist-8tsXn7bh/lib/python3.10/site-packages/django/template/base.py in render(1005)
  return SafeString("".join([node.render_annotated(context) for node in self]))

/home/youser/.local/share/virtualenvs/news-site-columnist-8tsXn7bh/lib/python3.10/site-packages/django/template/base.py in <listcomp>(1005)
  return SafeString("".join([node.render_annotated(context) for node in self]))

/home/youser/.local/share/virtualenvs/news-site-columnist-8tsXn7bh/lib/python3.10/site-packages/django/template/base.py in render_annotated(966)
  return self.render(context)

/home/youser/.local/share/virtualenvs/news-site-columnist-8tsXn7bh/lib/python3.10/site-packages/django/template/loader_tags.py in render(208)
  return template.render(context)

/home/youser/.local/share/virtualenvs/news-site-columnist-8tsXn7bh/lib/python3.10/site-packages/template_timings_panel/panels/TemplateTimings.py in timing_hook(139)
  result = func(self, *args, **kwargs)

/home/youser/.local/share/virtualenvs/news-site-columnist-8tsXn7bh/lib/python3.10/site-packages/django/template/base.py in render(177)
  return self._render(context)

/home/youser/.local/share/virtualenvs/news-site-columnist-8tsXn7bh/lib/python3.10/site-packages/django/test/utils.py in instrumented_test_render(112)
  return self.nodelist.render(context)

/home/youser/.local/share/virtualenvs/news-site-columnist-8tsXn7bh/lib/python3.10/site-packages/django/template/base.py in render(1005)
  return SafeString("".join([node.render_annotated(context) for node in self]))

/home/youser/.local/share/virtualenvs/news-site-columnist-8tsXn7bh/lib/python3.10/site-packages/django/template/base.py in <listcomp>(1005)
  return SafeString("".join([node.render_annotated(context) for node in self]))

/home/youser/.local/share/virtualenvs/news-site-columnist-8tsXn7bh/lib/python3.10/site-packages/django/template/base.py in render_annotated(966)
  return self.render(context)

/home/youser/.local/share/virtualenvs/news-site-columnist-8tsXn7bh/lib/python3.10/site-packages/django/template/defaulttags.py in render(238)
  nodelist.append(node.render_annotated(context))

/home/youser/.local/share/virtualenvs/news-site-columnist-8tsXn7bh/lib/python3.10/site-packages/django/template/base.py in render_annotated(966)
  return self.render(context)

/home/youser/.local/share/virtualenvs/news-site-columnist-8tsXn7bh/lib/python3.10/site-packages/django/template/defaulttags.py in render(238)
  nodelist.append(node.render_annotated(context))

/home/youser/.local/share/virtualenvs/news-site-columnist-8tsXn7bh/lib/python3.10/site-packages/django/template/base.py in render_annotated(966)
  return self.render(context)

/home/youser/.local/share/virtualenvs/news-site-columnist-8tsXn7bh/lib/python3.10/site-packages/django/template/defaulttags.py in render(321)
  return nodelist.render(context)

/home/youser/.local/share/virtualenvs/news-site-columnist-8tsXn7bh/lib/python3.10/site-packages/django/template/base.py in render(1005)
  return SafeString("".join([node.render_annotated(context) for node in self]))

/home/youser/.local/share/virtualenvs/news-site-columnist-8tsXn7bh/lib/python3.10/site-packages/django/template/base.py in <listcomp>(1005)
  return SafeString("".join([node.render_annotated(context) for node in self]))

/home/youser/.local/share/virtualenvs/news-site-columnist-8tsXn7bh/lib/python3.10/site-packages/django/template/base.py in render_annotated(966)
  return self.render(context)

/home/youser/.local/share/virtualenvs/news-site-columnist-8tsXn7bh/lib/python3.10/site-packages/django/template/defaulttags.py in render(321)
  return nodelist.render(context)

/home/youser/.local/share/virtualenvs/news-site-columnist-8tsXn7bh/lib/python3.10/site-packages/django/template/base.py in render(1005)
  return SafeString("".join([node.render_annotated(context) for node in self]))

/home/youser/.local/share/virtualenvs/news-site-columnist-8tsXn7bh/lib/python3.10/site-packages/django/template/base.py in <listcomp>(1005)
  return SafeString("".join([node.render_annotated(context) for node in self]))

/home/youser/.local/share/virtualenvs/news-site-columnist-8tsXn7bh/lib/python3.10/site-packages/django/template/base.py in render_annotated(966)
  return self.render(context)

/home/youser/.local/share/virtualenvs/news-site-columnist-8tsXn7bh/lib/python3.10/site-packages/django/template/base.py in render(1064)
  output = self.filter_expression.resolve(context)

/home/youser/.local/share/virtualenvs/news-site-columnist-8tsXn7bh/lib/python3.10/site-packages/django/template/base.py in resolve(715)
  obj = self.var.resolve(context)

/home/youser/.local/share/virtualenvs/news-site-columnist-8tsXn7bh/lib/python3.10/site-packages/django/template/base.py in resolve(847)
  value = self._resolve_lookup(context)

/home/youser/.local/share/virtualenvs/news-site-columnist-8tsXn7bh/lib/python3.10/site-packages/django/template/base.py in _resolve_lookup(914)
  current = current()

/var/www/news-site-columnist/news/models/video_news.py in get_absolute_url(178)
  if self.category:

78 {% include "context_section/components/column-item-bg.html" with post=post %}
79 {% else %}
80 {% if post.is_videopost %}
81 <a href="{{ post.get_absolute_url }}" class="video-item__link">
82 <img src="{% get_video_post_image post 'maxresdefault' %}" alt="Text"/>
83 {% if not post.is_icon_hidden %}
84 <span class="video-item__play">
85 <svg width="18" height="21" viewBox="0 0 18 21" fill="none" xmlns="http://www.w3.org/2000/svg">

/var/www/news-site-columnist/news/templates/new-design/includes/news_sidebars/post_list_quick.html

SELECT "category"."id",
       "category"."created_at",
       "category"."updated_at",
       "category"."seo_title",
       "category"."seo_title_uk",
       "category"."seo_title_en",
       "category"."seo_title_ru",
       "category"."seo_description",
       "category"."seo_description_uk",
       "category"."seo_description_en",
       "category"."seo_description_ru",
       "category"."seo_keywords",
       "category"."seo_keywords_uk",
       "category"."seo_keywords_en",
       "category"."seo_keywords_ru",
       "category"."seo_header_one",
       "category"."seo_header_one_uk",
       "category"."seo_header_one_en",
       "category"."seo_header_one_ru",
       "category"."seo_news_title",
       "category"."seo_news_title_uk",
       "category"."seo_news_title_en",
       "category"."seo_news_title_ru",
       "category"."seo_news_description",
       "category"."seo_news_description_uk",
       "category"."seo_news_description_en",
       "category"."seo_news_description_ru",
       "category"."subdomain",
       "category"."parent_id",
       "category"."image",
       "category"."is_active",
       "category"."is_rss_active",
       "category"."is_interesting",
       "category"."ticker_rss_active",
       "category"."show_home",
       "category"."show_home_en",
       "category"."show_video",
       "category"."show_menu",
       "category"."show_menu_uk",
       "category"."show_menu_en",
       "category"."show_menu_ru",
       "category"."show_footer",
       "category"."show_menu_in_en",
       "category"."show_footer_in_en",
       "category"."show_in_search",
       "category"."show_in_header",
       "category"."show_in_header_uk",
       "category"."show_in_header_en",
       "category"."show_in_header_ru",
       "category"."seo_tag_id",
       "category"."sort_weight",
       "category"."sort_weight_en",
       "category"."header_sort_weight",
       "category"."header_sort_weight_uk",
       "category"."header_sort_weight_en",
       "category"."header_sort_weight_ru",
       "category"."footer_sort_weight",
       "category"."menu_sort_weight",
       "category"."name",
       "category"."name_uk",
       "category"."name_en",
       "category"."name_ru",
       "category"."slug",
       "category"."description",
       "category"."description_uk",
       "category"."description_en",
       "category"."description_ru",
       "category"."fb_link",
       "category"."tg_link",
       "category"."show_banner",
       "category"."uk_has_translation",
       "category"."ru_has_translation",
       "category"."en_has_translation",
       "category"."has_infinite_scroll",
       "category"."_show_home_without_subdomain",
       "category"."_show_home_without_subdomain_en",
       "category"."background_id",
       "category"."use_old_design",
       "category"."use_old_design_for_posts",
       "category"."is_context_category",
       "category"."show_stories_on_main",
       "category"."show_posts_table_of_contents",
       "category"."svg_icon"
  FROM "category"
 WHERE "category"."id" = 78466
 LIMIT 21
SELECT ••• FROM "category" WHERE "category"."id" = 78466 LIMIT 21
9 similar queries. Duplicated 4 times.
0,95

Соединение: default

Статус транзакции: Ожидание

/home/youser/.local/share/virtualenvs/news-site-columnist-8tsXn7bh/bin/gunicorn in <module>(8)
  sys.exit(run())

/home/youser/.local/share/virtualenvs/news-site-columnist-8tsXn7bh/lib/python3.10/site-packages/gunicorn/app/wsgiapp.py in run(66)
  WSGIApplication("%(prog)s [OPTIONS] [APP_MODULE]", prog=prog).run()

/home/youser/.local/share/virtualenvs/news-site-columnist-8tsXn7bh/lib/python3.10/site-packages/gunicorn/app/base.py in run(235)
  super().run()

/home/youser/.local/share/virtualenvs/news-site-columnist-8tsXn7bh/lib/python3.10/site-packages/gunicorn/app/base.py in run(71)
  Arbiter(self).run()

/home/youser/.local/share/virtualenvs/news-site-columnist-8tsXn7bh/lib/python3.10/site-packages/gunicorn/arbiter.py in run(210)
  self.manage_workers()

/home/youser/.local/share/virtualenvs/news-site-columnist-8tsXn7bh/lib/python3.10/site-packages/gunicorn/arbiter.py in manage_workers(570)
  self.spawn_workers()

/home/youser/.local/share/virtualenvs/news-site-columnist-8tsXn7bh/lib/python3.10/site-packages/gunicorn/arbiter.py in spawn_workers(641)
  self.spawn_worker()

/home/youser/.local/share/virtualenvs/news-site-columnist-8tsXn7bh/lib/python3.10/site-packages/gunicorn/arbiter.py in spawn_worker(608)
  worker.init_process()

/home/youser/.local/share/virtualenvs/news-site-columnist-8tsXn7bh/lib/python3.10/site-packages/gunicorn/workers/base.py in init_process(143)
  self.run()

/home/youser/.local/share/virtualenvs/news-site-columnist-8tsXn7bh/lib/python3.10/site-packages/gunicorn/workers/sync.py in run(125)
  self.run_for_one(timeout)

/home/youser/.local/share/virtualenvs/news-site-columnist-8tsXn7bh/lib/python3.10/site-packages/gunicorn/workers/sync.py in run_for_one(69)
  self.accept(listener)

/home/youser/.local/share/virtualenvs/news-site-columnist-8tsXn7bh/lib/python3.10/site-packages/gunicorn/workers/sync.py in accept(31)
  self.handle(listener, client, addr)

/home/youser/.local/share/virtualenvs/news-site-columnist-8tsXn7bh/lib/python3.10/site-packages/gunicorn/workers/sync.py in handle(134)
  self.handle_request(listener, req, client, addr)

/home/youser/.local/share/virtualenvs/news-site-columnist-8tsXn7bh/lib/python3.10/site-packages/gunicorn/workers/sync.py in handle_request(177)
  respiter = self.wsgi(environ, resp.start_response)

/home/youser/.local/share/virtualenvs/news-site-columnist-8tsXn7bh/lib/python3.10/site-packages/sentry_sdk/utils.py in runner(1864)
  return sentry_patched_function(*args, **kwargs)

/home/youser/.local/share/virtualenvs/news-site-columnist-8tsXn7bh/lib/python3.10/site-packages/sentry_sdk/integrations/django/__init__.py in sentry_patched_wsgi_handler(191)
  return middleware(environ, start_response)

/home/youser/.local/share/virtualenvs/news-site-columnist-8tsXn7bh/lib/python3.10/site-packages/sentry_sdk/integrations/wsgi.py in __call__(132)
  response = self.app(

/home/youser/.local/share/virtualenvs/news-site-columnist-8tsXn7bh/lib/python3.10/site-packages/sentry_sdk/integrations/django/__init__.py in sentry_patched_get_response(478)
  rv = old_get_response(self, request)

/home/youser/.local/share/virtualenvs/news-site-columnist-8tsXn7bh/lib/python3.10/site-packages/sentry_sdk/integrations/django/middleware.py in __call__(177)
  return f(*args, **kwargs)

/home/youser/.local/share/virtualenvs/news-site-columnist-8tsXn7bh/lib/python3.10/site-packages/sentry_sdk/integrations/django/middleware.py in __call__(177)
  return f(*args, **kwargs)

/var/www/news-site-columnist/redirects/middleware/redirect_middleware.py in __call__(17)
  return self.get_response(request)

/home/youser/.local/share/virtualenvs/news-site-columnist-8tsXn7bh/lib/python3.10/site-packages/sentry_sdk/integrations/django/middleware.py in __call__(177)
  return f(*args, **kwargs)

/home/youser/.local/share/virtualenvs/news-site-columnist-8tsXn7bh/lib/python3.10/site-packages/sentry_sdk/integrations/django/middleware.py in __call__(177)
  return f(*args, **kwargs)

/home/youser/.local/share/virtualenvs/news-site-columnist-8tsXn7bh/lib/python3.10/site-packages/sentry_sdk/integrations/django/middleware.py in __call__(177)
  return f(*args, **kwargs)

/home/youser/.local/share/virtualenvs/news-site-columnist-8tsXn7bh/lib/python3.10/site-packages/sentry_sdk/integrations/django/middleware.py in __call__(177)
  return f(*args, **kwargs)

/home/youser/.local/share/virtualenvs/news-site-columnist-8tsXn7bh/lib/python3.10/site-packages/corsheaders/middleware.py in __call__(53)
  result = self.get_response(request)

/home/youser/.local/share/virtualenvs/news-site-columnist-8tsXn7bh/lib/python3.10/site-packages/sentry_sdk/integrations/django/middleware.py in __call__(177)
  return f(*args, **kwargs)

/home/youser/.local/share/virtualenvs/news-site-columnist-8tsXn7bh/lib/python3.10/site-packages/django_user_agents/middleware.py in __call__(14)
  return self.get_response(request)

/home/youser/.local/share/virtualenvs/news-site-columnist-8tsXn7bh/lib/python3.10/site-packages/sentry_sdk/integrations/django/middleware.py in __call__(177)
  return f(*args, **kwargs)

/home/youser/.local/share/virtualenvs/news-site-columnist-8tsXn7bh/lib/python3.10/site-packages/sentry_sdk/integrations/django/middleware.py in __call__(177)
  return f(*args, **kwargs)

/home/youser/.local/share/virtualenvs/news-site-columnist-8tsXn7bh/lib/python3.10/site-packages/sentry_sdk/integrations/django/middleware.py in __call__(177)
  return f(*args, **kwargs)

/home/youser/.local/share/virtualenvs/news-site-columnist-8tsXn7bh/lib/python3.10/site-packages/sentry_sdk/integrations/django/middleware.py in __call__(177)
  return f(*args, **kwargs)

/home/youser/.local/share/virtualenvs/news-site-columnist-8tsXn7bh/lib/python3.10/site-packages/sentry_sdk/integrations/django/middleware.py in __call__(177)
  return f(*args, **kwargs)

/home/youser/.local/share/virtualenvs/news-site-columnist-8tsXn7bh/lib/python3.10/site-packages/sentry_sdk/integrations/django/middleware.py in __call__(177)
  return f(*args, **kwargs)

/home/youser/.local/share/virtualenvs/news-site-columnist-8tsXn7bh/lib/python3.10/site-packages/sentry_sdk/integrations/django/middleware.py in __call__(177)
  return f(*args, **kwargs)

/home/youser/.local/share/virtualenvs/news-site-columnist-8tsXn7bh/lib/python3.10/site-packages/sentry_sdk/integrations/django/middleware.py in __call__(177)
  return f(*args, **kwargs)

/var/www/news-site-columnist/news/middleware/subdomain_middleare.py in __call__(22)
  response = self.get_response(request)

/home/youser/.local/share/virtualenvs/news-site-columnist-8tsXn7bh/lib/python3.10/site-packages/sentry_sdk/integrations/django/views.py in sentry_patched_render(41)
  return old_render(self)

/home/youser/.local/share/virtualenvs/news-site-columnist-8tsXn7bh/lib/python3.10/site-packages/django/template/response.py in render(114)
  self.content = self.rendered_content

/home/youser/.local/share/virtualenvs/news-site-columnist-8tsXn7bh/lib/python3.10/site-packages/sentry_sdk/utils.py in runner(1864)
  return sentry_patched_function(*args, **kwargs)

/home/youser/.local/share/virtualenvs/news-site-columnist-8tsXn7bh/lib/python3.10/site-packages/sentry_sdk/integrations/django/templates.py in rendered_content(77)
  return real_rendered_content.fget(self)

/home/youser/.local/share/virtualenvs/news-site-columnist-8tsXn7bh/lib/python3.10/site-packages/django/template/response.py in rendered_content(92)
  return template.render(context, self._request)

/home/youser/.local/share/virtualenvs/news-site-columnist-8tsXn7bh/lib/python3.10/site-packages/django/template/backends/django.py in render(61)
  return self.template.render(context)

/home/youser/.local/share/virtualenvs/news-site-columnist-8tsXn7bh/lib/python3.10/site-packages/template_timings_panel/panels/TemplateTimings.py in timing_hook(139)
  result = func(self, *args, **kwargs)

/home/youser/.local/share/virtualenvs/news-site-columnist-8tsXn7bh/lib/python3.10/site-packages/django/template/base.py in render(175)
  return self._render(context)

/home/youser/.local/share/virtualenvs/news-site-columnist-8tsXn7bh/lib/python3.10/site-packages/django/test/utils.py in instrumented_test_render(112)
  return self.nodelist.render(context)

/home/youser/.local/share/virtualenvs/news-site-columnist-8tsXn7bh/lib/python3.10/site-packages/django/template/base.py in render(1005)
  return SafeString("".join([node.render_annotated(context) for node in self]))

/home/youser/.local/share/virtualenvs/news-site-columnist-8tsXn7bh/lib/python3.10/site-packages/django/template/base.py in <listcomp>(1005)
  return SafeString("".join([node.render_annotated(context) for node in self]))

/home/youser/.local/share/virtualenvs/news-site-columnist-8tsXn7bh/lib/python3.10/site-packages/django/template/base.py in render_annotated(966)
  return self.render(context)

/home/youser/.local/share/virtualenvs/news-site-columnist-8tsXn7bh/lib/python3.10/site-packages/django/template/loader_tags.py in render(157)
  return compiled_parent._render(context)

/home/youser/.local/share/virtualenvs/news-site-columnist-8tsXn7bh/lib/python3.10/site-packages/django/test/utils.py in instrumented_test_render(112)
  return self.nodelist.render(context)

/home/youser/.local/share/virtualenvs/news-site-columnist-8tsXn7bh/lib/python3.10/site-packages/django/template/base.py in render(1005)
  return SafeString("".join([node.render_annotated(context) for node in self]))

/home/youser/.local/share/virtualenvs/news-site-columnist-8tsXn7bh/lib/python3.10/site-packages/django/template/base.py in <listcomp>(1005)
  return SafeString("".join([node.render_annotated(context) for node in self]))

/home/youser/.local/share/virtualenvs/news-site-columnist-8tsXn7bh/lib/python3.10/site-packages/django/template/base.py in render_annotated(966)
  return self.render(context)

/home/youser/.local/share/virtualenvs/news-site-columnist-8tsXn7bh/lib/python3.10/site-packages/template_timings_panel/panels/TemplateTimings.py in timing_hook(139)
  result = func(self, *args, **kwargs)

/home/youser/.local/share/virtualenvs/news-site-columnist-8tsXn7bh/lib/python3.10/site-packages/django/template/loader_tags.py in render(63)
  result = block.nodelist.render(context)

/home/youser/.local/share/virtualenvs/news-site-columnist-8tsXn7bh/lib/python3.10/site-packages/django/template/base.py in render(1005)
  return SafeString("".join([node.render_annotated(context) for node in self]))

/home/youser/.local/share/virtualenvs/news-site-columnist-8tsXn7bh/lib/python3.10/site-packages/django/template/base.py in <listcomp>(1005)
  return SafeString("".join([node.render_annotated(context) for node in self]))

/home/youser/.local/share/virtualenvs/news-site-columnist-8tsXn7bh/lib/python3.10/site-packages/django/template/base.py in render_annotated(966)
  return self.render(context)

/home/youser/.local/share/virtualenvs/news-site-columnist-8tsXn7bh/lib/python3.10/site-packages/template_timings_panel/panels/TemplateTimings.py in timing_hook(139)
  result = func(self, *args, **kwargs)

/home/youser/.local/share/virtualenvs/news-site-columnist-8tsXn7bh/lib/python3.10/site-packages/django/template/loader_tags.py in render(63)
  result = block.nodelist.render(context)

/home/youser/.local/share/virtualenvs/news-site-columnist-8tsXn7bh/lib/python3.10/site-packages/django/template/base.py in render(1005)
  return SafeString("".join([node.render_annotated(context) for node in self]))

/home/youser/.local/share/virtualenvs/news-site-columnist-8tsXn7bh/lib/python3.10/site-packages/django/template/base.py in <listcomp>(1005)
  return SafeString("".join([node.render_annotated(context) for node in self]))

/home/youser/.local/share/virtualenvs/news-site-columnist-8tsXn7bh/lib/python3.10/site-packages/django/template/base.py in render_annotated(966)
  return self.render(context)

/home/youser/.local/share/virtualenvs/news-site-columnist-8tsXn7bh/lib/python3.10/site-packages/django/template/loader_tags.py in render(208)
  return template.render(context)

/home/youser/.local/share/virtualenvs/news-site-columnist-8tsXn7bh/lib/python3.10/site-packages/template_timings_panel/panels/TemplateTimings.py in timing_hook(139)
  result = func(self, *args, **kwargs)

/home/youser/.local/share/virtualenvs/news-site-columnist-8tsXn7bh/lib/python3.10/site-packages/django/template/base.py in render(177)
  return self._render(context)

/home/youser/.local/share/virtualenvs/news-site-columnist-8tsXn7bh/lib/python3.10/site-packages/django/test/utils.py in instrumented_test_render(112)
  return self.nodelist.render(context)

/home/youser/.local/share/virtualenvs/news-site-columnist-8tsXn7bh/lib/python3.10/site-packages/django/template/base.py in render(1005)
  return SafeString("".join([node.render_annotated(context) for node in self]))

/home/youser/.local/share/virtualenvs/news-site-columnist-8tsXn7bh/lib/python3.10/site-packages/django/template/base.py in <listcomp>(1005)
  return SafeString("".join([node.render_annotated(context) for node in self]))

/home/youser/.local/share/virtualenvs/news-site-columnist-8tsXn7bh/lib/python3.10/site-packages/django/template/base.py in render_annotated(966)
  return self.render(context)

/home/youser/.local/share/virtualenvs/news-site-columnist-8tsXn7bh/lib/python3.10/site-packages/django/template/defaulttags.py in render(321)
  return nodelist.render(context)

/home/youser/.local/share/virtualenvs/news-site-columnist-8tsXn7bh/lib/python3.10/site-packages/django/template/base.py in render(1005)
  return SafeString("".join([node.render_annotated(context) for node in self]))

/home/youser/.local/share/virtualenvs/news-site-columnist-8tsXn7bh/lib/python3.10/site-packages/django/template/base.py in <listcomp>(1005)
  return SafeString("".join([node.render_annotated(context) for node in self]))

/home/youser/.local/share/virtualenvs/news-site-columnist-8tsXn7bh/lib/python3.10/site-packages/django/template/base.py in render_annotated(966)
  return self.render(context)

/home/youser/.local/share/virtualenvs/news-site-columnist-8tsXn7bh/lib/python3.10/site-packages/django/template/loader_tags.py in render(208)
  return template.render(context)

/home/youser/.local/share/virtualenvs/news-site-columnist-8tsXn7bh/lib/python3.10/site-packages/template_timings_panel/panels/TemplateTimings.py in timing_hook(139)
  result = func(self, *args, **kwargs)

/home/youser/.local/share/virtualenvs/news-site-columnist-8tsXn7bh/lib/python3.10/site-packages/django/template/base.py in render(177)
  return self._render(context)

/home/youser/.local/share/virtualenvs/news-site-columnist-8tsXn7bh/lib/python3.10/site-packages/django/test/utils.py in instrumented_test_render(112)
  return self.nodelist.render(context)

/home/youser/.local/share/virtualenvs/news-site-columnist-8tsXn7bh/lib/python3.10/site-packages/django/template/base.py in render(1005)
  return SafeString("".join([node.render_annotated(context) for node in self]))

/home/youser/.local/share/virtualenvs/news-site-columnist-8tsXn7bh/lib/python3.10/site-packages/django/template/base.py in <listcomp>(1005)
  return SafeString("".join([node.render_annotated(context) for node in self]))

/home/youser/.local/share/virtualenvs/news-site-columnist-8tsXn7bh/lib/python3.10/site-packages/django/template/base.py in render_annotated(966)
  return self.render(context)

/home/youser/.local/share/virtualenvs/news-site-columnist-8tsXn7bh/lib/python3.10/site-packages/django/template/defaulttags.py in render(321)
  return nodelist.render(context)

/home/youser/.local/share/virtualenvs/news-site-columnist-8tsXn7bh/lib/python3.10/site-packages/django/template/base.py in render(1005)
  return SafeString("".join([node.render_annotated(context) for node in self]))

/home/youser/.local/share/virtualenvs/news-site-columnist-8tsXn7bh/lib/python3.10/site-packages/django/template/base.py in <listcomp>(1005)
  return SafeString("".join([node.render_annotated(context) for node in self]))

/home/youser/.local/share/virtualenvs/news-site-columnist-8tsXn7bh/lib/python3.10/site-packages/django/template/base.py in render_annotated(966)
  return self.render(context)

/home/youser/.local/share/virtualenvs/news-site-columnist-8tsXn7bh/lib/python3.10/site-packages/django/template/defaulttags.py in render(321)
  return nodelist.render(context)

/home/youser/.local/share/virtualenvs/news-site-columnist-8tsXn7bh/lib/python3.10/site-packages/django/template/base.py in render(1005)
  return SafeString("".join([node.render_annotated(context) for node in self]))

/home/youser/.local/share/virtualenvs/news-site-columnist-8tsXn7bh/lib/python3.10/site-packages/django/template/base.py in <listcomp>(1005)
  return SafeString("".join([node.render_annotated(context) for node in self]))

/home/youser/.local/share/virtualenvs/news-site-columnist-8tsXn7bh/lib/python3.10/site-packages/django/template/base.py in render_annotated(966)
  return self.render(context)

/home/youser/.local/share/virtualenvs/news-site-columnist-8tsXn7bh/lib/python3.10/site-packages/template_timings_panel/panels/TemplateTimings.py in timing_hook(139)
  result = func(self, *args, **kwargs)

/home/youser/.local/share/virtualenvs/news-site-columnist-8tsXn7bh/lib/python3.10/site-packages/django/template/loader_tags.py in render(54)
  result = self.nodelist.render(context)

/home/youser/.local/share/virtualenvs/news-site-columnist-8tsXn7bh/lib/python3.10/site-packages/django/template/base.py in render(1005)
  return SafeString("".join([node.render_annotated(context) for node in self]))

/home/youser/.local/share/virtualenvs/news-site-columnist-8tsXn7bh/lib/python3.10/site-packages/django/template/base.py in <listcomp>(1005)
  return SafeString("".join([node.render_annotated(context) for node in self]))

/home/youser/.local/share/virtualenvs/news-site-columnist-8tsXn7bh/lib/python3.10/site-packages/django/template/base.py in render_annotated(966)
  return self.render(context)

/home/youser/.local/share/virtualenvs/news-site-columnist-8tsXn7bh/lib/python3.10/site-packages/django/template/library.py in render(237)
  output = self.func(*resolved_args, **resolved_kwargs)

/var/www/news-site-columnist/news/templatetags/component_tags.py in news_sidebar(216)
  return base_sidebar(

/var/www/news-site-columnist/news/templatetags/component_tags.py in base_sidebar(202)
  return loader.render_to_string(template, context_data)

/home/youser/.local/share/virtualenvs/news-site-columnist-8tsXn7bh/lib/python3.10/site-packages/django/template/loader.py in render_to_string(62)
  return template.render(context, request)

/home/youser/.local/share/virtualenvs/news-site-columnist-8tsXn7bh/lib/python3.10/site-packages/django/template/backends/django.py in render(61)
  return self.template.render(context)

/home/youser/.local/share/virtualenvs/news-site-columnist-8tsXn7bh/lib/python3.10/site-packages/template_timings_panel/panels/TemplateTimings.py in timing_hook(139)
  result = func(self, *args, **kwargs)

/home/youser/.local/share/virtualenvs/news-site-columnist-8tsXn7bh/lib/python3.10/site-packages/django/template/base.py in render(175)
  return self._render(context)

/home/youser/.local/share/virtualenvs/news-site-columnist-8tsXn7bh/lib/python3.10/site-packages/django/test/utils.py in instrumented_test_render(112)
  return self.nodelist.render(context)

/home/youser/.local/share/virtualenvs/news-site-columnist-8tsXn7bh/lib/python3.10/site-packages/django/template/base.py in render(1005)
  return SafeString("".join([node.render_annotated(context) for node in self]))

/home/youser/.local/share/virtualenvs/news-site-columnist-8tsXn7bh/lib/python3.10/site-packages/django/template/base.py in <listcomp>(1005)
  return SafeString("".join([node.render_annotated(context) for node in self]))

/home/youser/.local/share/virtualenvs/news-site-columnist-8tsXn7bh/lib/python3.10/site-packages/django/template/base.py in render_annotated(966)
  return self.render(context)

/home/youser/.local/share/virtualenvs/news-site-columnist-8tsXn7bh/lib/python3.10/site-packages/django/template/defaulttags.py in render(321)
  return nodelist.render(context)

/home/youser/.local/share/virtualenvs/news-site-columnist-8tsXn7bh/lib/python3.10/site-packages/django/template/base.py in render(1005)
  return SafeString("".join([node.render_annotated(context) for node in self]))

/home/youser/.local/share/virtualenvs/news-site-columnist-8tsXn7bh/lib/python3.10/site-packages/django/template/base.py in <listcomp>(1005)
  return SafeString("".join([node.render_annotated(context) for node in self]))

/home/youser/.local/share/virtualenvs/news-site-columnist-8tsXn7bh/lib/python3.10/site-packages/django/template/base.py in render_annotated(966)
  return self.render(context)

/home/youser/.local/share/virtualenvs/news-site-columnist-8tsXn7bh/lib/python3.10/site-packages/django/template/loader_tags.py in render(208)
  return template.render(context)

/home/youser/.local/share/virtualenvs/news-site-columnist-8tsXn7bh/lib/python3.10/site-packages/template_timings_panel/panels/TemplateTimings.py in timing_hook(139)
  result = func(self, *args, **kwargs)

/home/youser/.local/share/virtualenvs/news-site-columnist-8tsXn7bh/lib/python3.10/site-packages/django/template/base.py in render(177)
  return self._render(context)

/home/youser/.local/share/virtualenvs/news-site-columnist-8tsXn7bh/lib/python3.10/site-packages/django/test/utils.py in instrumented_test_render(112)
  return self.nodelist.render(context)

/home/youser/.local/share/virtualenvs/news-site-columnist-8tsXn7bh/lib/python3.10/site-packages/django/template/base.py in render(1005)
  return SafeString("".join([node.render_annotated(context) for node in self]))

/home/youser/.local/share/virtualenvs/news-site-columnist-8tsXn7bh/lib/python3.10/site-packages/django/template/base.py in <listcomp>(1005)
  return SafeString("".join([node.render_annotated(context) for node in self]))

/home/youser/.local/share/virtualenvs/news-site-columnist-8tsXn7bh/lib/python3.10/site-packages/django/template/base.py in render_annotated(966)
  return self.render(context)

/home/youser/.local/share/virtualenvs/news-site-columnist-8tsXn7bh/lib/python3.10/site-packages/django/template/defaulttags.py in render(238)
  nodelist.append(node.render_annotated(context))

/home/youser/.local/share/virtualenvs/news-site-columnist-8tsXn7bh/lib/python3.10/site-packages/django/template/base.py in render_annotated(966)
  return self.render(context)

/home/youser/.local/share/virtualenvs/news-site-columnist-8tsXn7bh/lib/python3.10/site-packages/django/template/defaulttags.py in render(238)
  nodelist.append(node.render_annotated(context))

/home/youser/.local/share/virtualenvs/news-site-columnist-8tsXn7bh/lib/python3.10/site-packages/django/template/base.py in render_annotated(966)
  return self.render(context)

/home/youser/.local/share/virtualenvs/news-site-columnist-8tsXn7bh/lib/python3.10/site-packages/django/template/defaulttags.py in render(321)
  return nodelist.render(context)

/home/youser/.local/share/virtualenvs/news-site-columnist-8tsXn7bh/lib/python3.10/site-packages/django/template/base.py in render(1005)
  return SafeString("".join([node.render_annotated(context) for node in self]))

/home/youser/.local/share/virtualenvs/news-site-columnist-8tsXn7bh/lib/python3.10/site-packages/django/template/base.py in <listcomp>(1005)
  return SafeString("".join([node.render_annotated(context) for node in self]))

/home/youser/.local/share/virtualenvs/news-site-columnist-8tsXn7bh/lib/python3.10/site-packages/django/template/base.py in render_annotated(966)
  return self.render(context)

/home/youser/.local/share/virtualenvs/news-site-columnist-8tsXn7bh/lib/python3.10/site-packages/django/template/defaulttags.py in render(321)
  return nodelist.render(context)

/home/youser/.local/share/virtualenvs/news-site-columnist-8tsXn7bh/lib/python3.10/site-packages/django/template/base.py in render(1005)
  return SafeString("".join([node.render_annotated(context) for node in self]))

/home/youser/.local/share/virtualenvs/news-site-columnist-8tsXn7bh/lib/python3.10/site-packages/django/template/base.py in <listcomp>(1005)
  return SafeString("".join([node.render_annotated(context) for node in self]))

/home/youser/.local/share/virtualenvs/news-site-columnist-8tsXn7bh/lib/python3.10/site-packages/django/template/base.py in render_annotated(966)
  return self.render(context)

/home/youser/.local/share/virtualenvs/news-site-columnist-8tsXn7bh/lib/python3.10/site-packages/django/template/base.py in render(1064)
  output = self.filter_expression.resolve(context)

/home/youser/.local/share/virtualenvs/news-site-columnist-8tsXn7bh/lib/python3.10/site-packages/django/template/base.py in resolve(715)
  obj = self.var.resolve(context)

/home/youser/.local/share/virtualenvs/news-site-columnist-8tsXn7bh/lib/python3.10/site-packages/django/template/base.py in resolve(847)
  value = self._resolve_lookup(context)

/home/youser/.local/share/virtualenvs/news-site-columnist-8tsXn7bh/lib/python3.10/site-packages/django/template/base.py in _resolve_lookup(914)
  current = current()

/var/www/news-site-columnist/news/models/video_news.py in get_absolute_url(178)
  if self.category:

78 {% include "context_section/components/column-item-bg.html" with post=post %}
79 {% else %}
80 {% if post.is_videopost %}
81 <a href="{{ post.get_absolute_url }}" class="video-item__link">
82 <img src="{% get_video_post_image post 'maxresdefault' %}" alt="Text"/>
83 {% if not post.is_icon_hidden %}
84 <span class="video-item__play">
85 <svg width="18" height="21" viewBox="0 0 18 21" fill="none" xmlns="http://www.w3.org/2000/svg">

/var/www/news-site-columnist/news/templates/new-design/includes/news_sidebars/post_list_quick.html

SELECT "post"."created_at",
       "post"."seo_title",
       "post"."seo_title_uk",
       "post"."seo_title_en",
       "post"."seo_title_ru",
       "post"."seo_description",
       "post"."seo_description_uk",
       "post"."seo_description_en",
       "post"."seo_description_ru",
       "post"."seo_keywords",
       "post"."seo_keywords_uk",
       "post"."seo_keywords_en",
       "post"."seo_keywords_ru",
       "post"."seo_header_one",
       "post"."seo_header_one_uk",
       "post"."seo_header_one_en",
       "post"."seo_header_one_ru",
       "post"."created_by",
       "post"."updated_by",
       "post"."polymorphic_ctype_id",
       "post"."id",
       "post"."head",
       "post"."head_uk",
       "post"."head_en",
       "post"."head_ru",
       "post"."sub_head",
       "post"."sub_head_uk",
       "post"."sub_head_en",
       "post"."sub_head_ru",
       "post"."content",
       "post"."content_uk",
       "post"."content_en",
       "post"."content_ru",
       "post"."author_id",
       "post"."seo_tag_id",
       "post"."publish_at",
       "post"."translated_at",
       "post"."updated_at",
       "post"."show_updated_at",
       "post"."slug",
       "post"."slug_uk",
       "post"."slug_en",
       "post"."slug_ru",
       "post"."aplication_type",
       "post"."last_editor_id",
       "post"."status",
       "post"."show_at_homepage",
       "post"."show_at_news_feed",
       "post"."show_on_broadcast_page",
       "post"."is_category_top",
       "post"."is_homepage_top",
       "post"."is_homepage_top_uk",
       "post"."is_homepage_top_en",
       "post"."is_homepage_top_ru",
       "post"."id_sponsored",
       "post"."is_lightning",
       "post"."is_exclusive",
       "post"."is_photo_report",
       "post"."is_post",
       "post"."is_article",
       "post"."main_page_img_full_width",
       "post"."need_hires",
       "post"."has_photo",
       "post"."has_video",
       "post"."is_editors_choise",
       "post"."show_in_sidebar",
       "post"."category_id",
       "post"."old_category_id",
       "post"."past_region",
       "post"."year_of_war",
       "post"."breaking_news",
       "post"."without_img",
       "post"."show_stories_block",
       "post"."display_type",
       "post"."image",
       "post"."image_alt",
       "post"."image_alt_uk",
       "post"."image_alt_en",
       "post"."image_alt_ru",
       "post"."seo_image",
       "post"."text_under_image",
       "post"."text_under_image_uk",
       "post"."text_under_image_en",
       "post"."text_under_image_ru",
       "post"."image_source",
       "post"."image_source_uk",
       "post"."image_source_en",
       "post"."image_source_ru",
       "post"."theme_id",
       "post"."is_nofollow_disabled",
       "post"."audio_content_id",
       "post"."audio_content_uk_id",
       "post"."audio_content_en_id",
       "post"."audio_content_ru_id",
       "post"."views",
       "post"."views_uk",
       "post"."views_ru",
       "post"."views_analytics",
       "post"."views_analytics_ru",
       "post"."views_analytics_uk",
       "post"."views_analytics_at",
       "post"."busy_by_id",
       "post"."image_editor_id",
       "post"."release_editor_id",
       "post"."special_type",
       "post"."head_longer_than_100",
       "post"."uk_has_translation",
       "post"."ru_has_translation",
       "post"."en_has_translation",
       "post"."homepage_slider_text",
       "post"."homepage_slider_text_uk",
       "post"."homepage_slider_text_en",
       "post"."homepage_slider_text_ru"
  FROM "post"
 WHERE (NOT ("post"."polymorphic_ctype_id" = 64 AND "post"."polymorphic_ctype_id" IS NOT NULL) AND NOT ("post"."polymorphic_ctype_id" = 81 AND "post"."polymorphic_ctype_id" IS NOT NULL) AND "post"."ru_has_translation" AND "post"."publish_at" BETWEEN '2026-01-29T09:55:40.875068+00:00'::timestamptz AND '2026-02-12T09:55:40.875074+00:00'::timestamptz AND "post"."status" = 2)
 ORDER BY "post"."views" DESC
 LIMIT 10
SELECT ••• FROM "post" WHERE (NOT ("post"."polymorphic_ctype_id" = 64 AND "post"."polymorphic_ctype_id" IS NOT NULL) AND NOT ("post"."polymorphic_ctype_id" = 81 AND "post"."polymorphic_ctype_id" IS NOT NULL) AND "post"."ru_has_translation" AND "post"."publish_at" BETWEEN '2026-01-29T09:55:40.875068+00:00'::timestamptz AND '2026-02-12T09:55:40.875074+00:00'::timestamptz AND "post"."status" = 2) ORDER BY "post"."views" DESC LIMIT 10
1,85

Соединение: default

Статус транзакции: Ожидание

/home/youser/.local/share/virtualenvs/news-site-columnist-8tsXn7bh/bin/gunicorn in <module>(8)
  sys.exit(run())

/home/youser/.local/share/virtualenvs/news-site-columnist-8tsXn7bh/lib/python3.10/site-packages/gunicorn/app/wsgiapp.py in run(66)
  WSGIApplication("%(prog)s [OPTIONS] [APP_MODULE]", prog=prog).run()

/home/youser/.local/share/virtualenvs/news-site-columnist-8tsXn7bh/lib/python3.10/site-packages/gunicorn/app/base.py in run(235)
  super().run()

/home/youser/.local/share/virtualenvs/news-site-columnist-8tsXn7bh/lib/python3.10/site-packages/gunicorn/app/base.py in run(71)
  Arbiter(self).run()

/home/youser/.local/share/virtualenvs/news-site-columnist-8tsXn7bh/lib/python3.10/site-packages/gunicorn/arbiter.py in run(210)
  self.manage_workers()

/home/youser/.local/share/virtualenvs/news-site-columnist-8tsXn7bh/lib/python3.10/site-packages/gunicorn/arbiter.py in manage_workers(570)
  self.spawn_workers()

/home/youser/.local/share/virtualenvs/news-site-columnist-8tsXn7bh/lib/python3.10/site-packages/gunicorn/arbiter.py in spawn_workers(641)
  self.spawn_worker()

/home/youser/.local/share/virtualenvs/news-site-columnist-8tsXn7bh/lib/python3.10/site-packages/gunicorn/arbiter.py in spawn_worker(608)
  worker.init_process()

/home/youser/.local/share/virtualenvs/news-site-columnist-8tsXn7bh/lib/python3.10/site-packages/gunicorn/workers/base.py in init_process(143)
  self.run()

/home/youser/.local/share/virtualenvs/news-site-columnist-8tsXn7bh/lib/python3.10/site-packages/gunicorn/workers/sync.py in run(125)
  self.run_for_one(timeout)

/home/youser/.local/share/virtualenvs/news-site-columnist-8tsXn7bh/lib/python3.10/site-packages/gunicorn/workers/sync.py in run_for_one(69)
  self.accept(listener)

/home/youser/.local/share/virtualenvs/news-site-columnist-8tsXn7bh/lib/python3.10/site-packages/gunicorn/workers/sync.py in accept(31)
  self.handle(listener, client, addr)

/home/youser/.local/share/virtualenvs/news-site-columnist-8tsXn7bh/lib/python3.10/site-packages/gunicorn/workers/sync.py in handle(134)
  self.handle_request(listener, req, client, addr)

/home/youser/.local/share/virtualenvs/news-site-columnist-8tsXn7bh/lib/python3.10/site-packages/gunicorn/workers/sync.py in handle_request(177)
  respiter = self.wsgi(environ, resp.start_response)

/home/youser/.local/share/virtualenvs/news-site-columnist-8tsXn7bh/lib/python3.10/site-packages/sentry_sdk/utils.py in runner(1864)
  return sentry_patched_function(*args, **kwargs)

/home/youser/.local/share/virtualenvs/news-site-columnist-8tsXn7bh/lib/python3.10/site-packages/sentry_sdk/integrations/django/__init__.py in sentry_patched_wsgi_handler(191)
  return middleware(environ, start_response)

/home/youser/.local/share/virtualenvs/news-site-columnist-8tsXn7bh/lib/python3.10/site-packages/sentry_sdk/integrations/wsgi.py in __call__(132)
  response = self.app(

/home/youser/.local/share/virtualenvs/news-site-columnist-8tsXn7bh/lib/python3.10/site-packages/sentry_sdk/integrations/django/__init__.py in sentry_patched_get_response(478)
  rv = old_get_response(self, request)

/home/youser/.local/share/virtualenvs/news-site-columnist-8tsXn7bh/lib/python3.10/site-packages/sentry_sdk/integrations/django/middleware.py in __call__(177)
  return f(*args, **kwargs)

/home/youser/.local/share/virtualenvs/news-site-columnist-8tsXn7bh/lib/python3.10/site-packages/sentry_sdk/integrations/django/middleware.py in __call__(177)
  return f(*args, **kwargs)

/var/www/news-site-columnist/redirects/middleware/redirect_middleware.py in __call__(17)
  return self.get_response(request)

/home/youser/.local/share/virtualenvs/news-site-columnist-8tsXn7bh/lib/python3.10/site-packages/sentry_sdk/integrations/django/middleware.py in __call__(177)
  return f(*args, **kwargs)

/home/youser/.local/share/virtualenvs/news-site-columnist-8tsXn7bh/lib/python3.10/site-packages/sentry_sdk/integrations/django/middleware.py in __call__(177)
  return f(*args, **kwargs)

/home/youser/.local/share/virtualenvs/news-site-columnist-8tsXn7bh/lib/python3.10/site-packages/sentry_sdk/integrations/django/middleware.py in __call__(177)
  return f(*args, **kwargs)

/home/youser/.local/share/virtualenvs/news-site-columnist-8tsXn7bh/lib/python3.10/site-packages/sentry_sdk/integrations/django/middleware.py in __call__(177)
  return f(*args, **kwargs)

/home/youser/.local/share/virtualenvs/news-site-columnist-8tsXn7bh/lib/python3.10/site-packages/corsheaders/middleware.py in __call__(53)
  result = self.get_response(request)

/home/youser/.local/share/virtualenvs/news-site-columnist-8tsXn7bh/lib/python3.10/site-packages/sentry_sdk/integrations/django/middleware.py in __call__(177)
  return f(*args, **kwargs)

/home/youser/.local/share/virtualenvs/news-site-columnist-8tsXn7bh/lib/python3.10/site-packages/django_user_agents/middleware.py in __call__(14)
  return self.get_response(request)

/home/youser/.local/share/virtualenvs/news-site-columnist-8tsXn7bh/lib/python3.10/site-packages/sentry_sdk/integrations/django/middleware.py in __call__(177)
  return f(*args, **kwargs)

/home/youser/.local/share/virtualenvs/news-site-columnist-8tsXn7bh/lib/python3.10/site-packages/sentry_sdk/integrations/django/middleware.py in __call__(177)
  return f(*args, **kwargs)

/home/youser/.local/share/virtualenvs/news-site-columnist-8tsXn7bh/lib/python3.10/site-packages/sentry_sdk/integrations/django/middleware.py in __call__(177)
  return f(*args, **kwargs)

/home/youser/.local/share/virtualenvs/news-site-columnist-8tsXn7bh/lib/python3.10/site-packages/sentry_sdk/integrations/django/middleware.py in __call__(177)
  return f(*args, **kwargs)

/home/youser/.local/share/virtualenvs/news-site-columnist-8tsXn7bh/lib/python3.10/site-packages/sentry_sdk/integrations/django/middleware.py in __call__(177)
  return f(*args, **kwargs)

/home/youser/.local/share/virtualenvs/news-site-columnist-8tsXn7bh/lib/python3.10/site-packages/sentry_sdk/integrations/django/middleware.py in __call__(177)
  return f(*args, **kwargs)

/home/youser/.local/share/virtualenvs/news-site-columnist-8tsXn7bh/lib/python3.10/site-packages/sentry_sdk/integrations/django/middleware.py in __call__(177)
  return f(*args, **kwargs)

/home/youser/.local/share/virtualenvs/news-site-columnist-8tsXn7bh/lib/python3.10/site-packages/sentry_sdk/integrations/django/middleware.py in __call__(177)
  return f(*args, **kwargs)

/var/www/news-site-columnist/news/middleware/subdomain_middleare.py in __call__(22)
  response = self.get_response(request)

/home/youser/.local/share/virtualenvs/news-site-columnist-8tsXn7bh/lib/python3.10/site-packages/sentry_sdk/integrations/django/views.py in sentry_patched_render(41)
  return old_render(self)

/home/youser/.local/share/virtualenvs/news-site-columnist-8tsXn7bh/lib/python3.10/site-packages/django/template/response.py in render(114)
  self.content = self.rendered_content

/home/youser/.local/share/virtualenvs/news-site-columnist-8tsXn7bh/lib/python3.10/site-packages/sentry_sdk/utils.py in runner(1864)
  return sentry_patched_function(*args, **kwargs)

/home/youser/.local/share/virtualenvs/news-site-columnist-8tsXn7bh/lib/python3.10/site-packages/sentry_sdk/integrations/django/templates.py in rendered_content(77)
  return real_rendered_content.fget(self)

/home/youser/.local/share/virtualenvs/news-site-columnist-8tsXn7bh/lib/python3.10/site-packages/django/template/response.py in rendered_content(92)
  return template.render(context, self._request)

/home/youser/.local/share/virtualenvs/news-site-columnist-8tsXn7bh/lib/python3.10/site-packages/django/template/backends/django.py in render(61)
  return self.template.render(context)

/home/youser/.local/share/virtualenvs/news-site-columnist-8tsXn7bh/lib/python3.10/site-packages/template_timings_panel/panels/TemplateTimings.py in timing_hook(139)
  result = func(self, *args, **kwargs)

/home/youser/.local/share/virtualenvs/news-site-columnist-8tsXn7bh/lib/python3.10/site-packages/django/template/base.py in render(175)
  return self._render(context)

/home/youser/.local/share/virtualenvs/news-site-columnist-8tsXn7bh/lib/python3.10/site-packages/django/test/utils.py in instrumented_test_render(112)
  return self.nodelist.render(context)

/home/youser/.local/share/virtualenvs/news-site-columnist-8tsXn7bh/lib/python3.10/site-packages/django/template/base.py in render(1005)
  return SafeString("".join([node.render_annotated(context) for node in self]))

/home/youser/.local/share/virtualenvs/news-site-columnist-8tsXn7bh/lib/python3.10/site-packages/django/template/base.py in <listcomp>(1005)
  return SafeString("".join([node.render_annotated(context) for node in self]))

/home/youser/.local/share/virtualenvs/news-site-columnist-8tsXn7bh/lib/python3.10/site-packages/django/template/base.py in render_annotated(966)
  return self.render(context)

/home/youser/.local/share/virtualenvs/news-site-columnist-8tsXn7bh/lib/python3.10/site-packages/django/template/loader_tags.py in render(157)
  return compiled_parent._render(context)

/home/youser/.local/share/virtualenvs/news-site-columnist-8tsXn7bh/lib/python3.10/site-packages/django/test/utils.py in instrumented_test_render(112)
  return self.nodelist.render(context)

/home/youser/.local/share/virtualenvs/news-site-columnist-8tsXn7bh/lib/python3.10/site-packages/django/template/base.py in render(1005)
  return SafeString("".join([node.render_annotated(context) for node in self]))

/home/youser/.local/share/virtualenvs/news-site-columnist-8tsXn7bh/lib/python3.10/site-packages/django/template/base.py in <listcomp>(1005)
  return SafeString("".join([node.render_annotated(context) for node in self]))

/home/youser/.local/share/virtualenvs/news-site-columnist-8tsXn7bh/lib/python3.10/site-packages/django/template/base.py in render_annotated(966)
  return self.render(context)

/home/youser/.local/share/virtualenvs/news-site-columnist-8tsXn7bh/lib/python3.10/site-packages/template_timings_panel/panels/TemplateTimings.py in timing_hook(139)
  result = func(self, *args, **kwargs)

/home/youser/.local/share/virtualenvs/news-site-columnist-8tsXn7bh/lib/python3.10/site-packages/django/template/loader_tags.py in render(63)
  result = block.nodelist.render(context)

/home/youser/.local/share/virtualenvs/news-site-columnist-8tsXn7bh/lib/python3.10/site-packages/django/template/base.py in render(1005)
  return SafeString("".join([node.render_annotated(context) for node in self]))

/home/youser/.local/share/virtualenvs/news-site-columnist-8tsXn7bh/lib/python3.10/site-packages/django/template/base.py in <listcomp>(1005)
  return SafeString("".join([node.render_annotated(context) for node in self]))

/home/youser/.local/share/virtualenvs/news-site-columnist-8tsXn7bh/lib/python3.10/site-packages/django/template/base.py in render_annotated(966)
  return self.render(context)

/home/youser/.local/share/virtualenvs/news-site-columnist-8tsXn7bh/lib/python3.10/site-packages/template_timings_panel/panels/TemplateTimings.py in timing_hook(139)
  result = func(self, *args, **kwargs)

/home/youser/.local/share/virtualenvs/news-site-columnist-8tsXn7bh/lib/python3.10/site-packages/django/template/loader_tags.py in render(63)
  result = block.nodelist.render(context)

/home/youser/.local/share/virtualenvs/news-site-columnist-8tsXn7bh/lib/python3.10/site-packages/django/template/base.py in render(1005)
  return SafeString("".join([node.render_annotated(context) for node in self]))

/home/youser/.local/share/virtualenvs/news-site-columnist-8tsXn7bh/lib/python3.10/site-packages/django/template/base.py in <listcomp>(1005)
  return SafeString("".join([node.render_annotated(context) for node in self]))

/home/youser/.local/share/virtualenvs/news-site-columnist-8tsXn7bh/lib/python3.10/site-packages/django/template/base.py in render_annotated(966)
  return self.render(context)

/home/youser/.local/share/virtualenvs/news-site-columnist-8tsXn7bh/lib/python3.10/site-packages/django/template/loader_tags.py in render(208)
  return template.render(context)

/home/youser/.local/share/virtualenvs/news-site-columnist-8tsXn7bh/lib/python3.10/site-packages/template_timings_panel/panels/TemplateTimings.py in timing_hook(139)
  result = func(self, *args, **kwargs)

/home/youser/.local/share/virtualenvs/news-site-columnist-8tsXn7bh/lib/python3.10/site-packages/django/template/base.py in render(177)
  return self._render(context)

/home/youser/.local/share/virtualenvs/news-site-columnist-8tsXn7bh/lib/python3.10/site-packages/django/test/utils.py in instrumented_test_render(112)
  return self.nodelist.render(context)

/home/youser/.local/share/virtualenvs/news-site-columnist-8tsXn7bh/lib/python3.10/site-packages/django/template/base.py in render(1005)
  return SafeString("".join([node.render_annotated(context) for node in self]))

/home/youser/.local/share/virtualenvs/news-site-columnist-8tsXn7bh/lib/python3.10/site-packages/django/template/base.py in <listcomp>(1005)
  return SafeString("".join([node.render_annotated(context) for node in self]))

/home/youser/.local/share/virtualenvs/news-site-columnist-8tsXn7bh/lib/python3.10/site-packages/django/template/base.py in render_annotated(966)
  return self.render(context)

/home/youser/.local/share/virtualenvs/news-site-columnist-8tsXn7bh/lib/python3.10/site-packages/django/template/defaulttags.py in render(321)
  return nodelist.render(context)

/home/youser/.local/share/virtualenvs/news-site-columnist-8tsXn7bh/lib/python3.10/site-packages/django/template/base.py in render(1005)
  return SafeString("".join([node.render_annotated(context) for node in self]))

/home/youser/.local/share/virtualenvs/news-site-columnist-8tsXn7bh/lib/python3.10/site-packages/django/template/base.py in <listcomp>(1005)
  return SafeString("".join([node.render_annotated(context) for node in self]))

/home/youser/.local/share/virtualenvs/news-site-columnist-8tsXn7bh/lib/python3.10/site-packages/django/template/base.py in render_annotated(966)
  return self.render(context)

/home/youser/.local/share/virtualenvs/news-site-columnist-8tsXn7bh/lib/python3.10/site-packages/django/template/loader_tags.py in render(208)
  return template.render(context)

/home/youser/.local/share/virtualenvs/news-site-columnist-8tsXn7bh/lib/python3.10/site-packages/template_timings_panel/panels/TemplateTimings.py in timing_hook(139)
  result = func(self, *args, **kwargs)

/home/youser/.local/share/virtualenvs/news-site-columnist-8tsXn7bh/lib/python3.10/site-packages/django/template/base.py in render(177)
  return self._render(context)

/home/youser/.local/share/virtualenvs/news-site-columnist-8tsXn7bh/lib/python3.10/site-packages/django/test/utils.py in instrumented_test_render(112)
  return self.nodelist.render(context)

/home/youser/.local/share/virtualenvs/news-site-columnist-8tsXn7bh/lib/python3.10/site-packages/django/template/base.py in render(1005)
  return SafeString("".join([node.render_annotated(context) for node in self]))

/home/youser/.local/share/virtualenvs/news-site-columnist-8tsXn7bh/lib/python3.10/site-packages/django/template/base.py in <listcomp>(1005)
  return SafeString("".join([node.render_annotated(context) for node in self]))

/home/youser/.local/share/virtualenvs/news-site-columnist-8tsXn7bh/lib/python3.10/site-packages/django/template/base.py in render_annotated(966)
  return self.render(context)

/home/youser/.local/share/virtualenvs/news-site-columnist-8tsXn7bh/lib/python3.10/site-packages/django/template/defaulttags.py in render(321)
  return nodelist.render(context)

/home/youser/.local/share/virtualenvs/news-site-columnist-8tsXn7bh/lib/python3.10/site-packages/django/template/base.py in render(1005)
  return SafeString("".join([node.render_annotated(context) for node in self]))

/home/youser/.local/share/virtualenvs/news-site-columnist-8tsXn7bh/lib/python3.10/site-packages/django/template/base.py in <listcomp>(1005)
  return SafeString("".join([node.render_annotated(context) for node in self]))

/home/youser/.local/share/virtualenvs/news-site-columnist-8tsXn7bh/lib/python3.10/site-packages/django/template/base.py in render_annotated(966)
  return self.render(context)

/home/youser/.local/share/virtualenvs/news-site-columnist-8tsXn7bh/lib/python3.10/site-packages/django/template/defaulttags.py in render(321)
  return nodelist.render(context)

/home/youser/.local/share/virtualenvs/news-site-columnist-8tsXn7bh/lib/python3.10/site-packages/django/template/base.py in render(1005)
  return SafeString("".join([node.render_annotated(context) for node in self]))

/home/youser/.local/share/virtualenvs/news-site-columnist-8tsXn7bh/lib/python3.10/site-packages/django/template/base.py in <listcomp>(1005)
  return SafeString("".join([node.render_annotated(context) for node in self]))

/home/youser/.local/share/virtualenvs/news-site-columnist-8tsXn7bh/lib/python3.10/site-packages/django/template/base.py in render_annotated(966)
  return self.render(context)

/home/youser/.local/share/virtualenvs/news-site-columnist-8tsXn7bh/lib/python3.10/site-packages/template_timings_panel/panels/TemplateTimings.py in timing_hook(139)
  result = func(self, *args, **kwargs)

/home/youser/.local/share/virtualenvs/news-site-columnist-8tsXn7bh/lib/python3.10/site-packages/django/template/loader_tags.py in render(54)
  result = self.nodelist.render(context)

/home/youser/.local/share/virtualenvs/news-site-columnist-8tsXn7bh/lib/python3.10/site-packages/django/template/base.py in render(1005)
  return SafeString("".join([node.render_annotated(context) for node in self]))

/home/youser/.local/share/virtualenvs/news-site-columnist-8tsXn7bh/lib/python3.10/site-packages/django/template/base.py in <listcomp>(1005)
  return SafeString("".join([node.render_annotated(context) for node in self]))

/home/youser/.local/share/virtualenvs/news-site-columnist-8tsXn7bh/lib/python3.10/site-packages/django/template/base.py in render_annotated(966)
  return self.render(context)

/home/youser/.local/share/virtualenvs/news-site-columnist-8tsXn7bh/lib/python3.10/site-packages/django/template/loader_tags.py in render(208)
  return template.render(context)

/home/youser/.local/share/virtualenvs/news-site-columnist-8tsXn7bh/lib/python3.10/site-packages/template_timings_panel/panels/TemplateTimings.py in timing_hook(139)
  result = func(self, *args, **kwargs)

/home/youser/.local/share/virtualenvs/news-site-columnist-8tsXn7bh/lib/python3.10/site-packages/django/template/base.py in render(177)
  return self._render(context)

/home/youser/.local/share/virtualenvs/news-site-columnist-8tsXn7bh/lib/python3.10/site-packages/django/test/utils.py in instrumented_test_render(112)
  return self.nodelist.render(context)

/home/youser/.local/share/virtualenvs/news-site-columnist-8tsXn7bh/lib/python3.10/site-packages/django/template/base.py in render(1005)
  return SafeString("".join([node.render_annotated(context) for node in self]))

/home/youser/.local/share/virtualenvs/news-site-columnist-8tsXn7bh/lib/python3.10/site-packages/django/template/base.py in <listcomp>(1005)
  return SafeString("".join([node.render_annotated(context) for node in self]))

/home/youser/.local/share/virtualenvs/news-site-columnist-8tsXn7bh/lib/python3.10/site-packages/django/template/base.py in render_annotated(966)
  return self.render(context)

/home/youser/.local/share/virtualenvs/news-site-columnist-8tsXn7bh/lib/python3.10/site-packages/django/template/defaulttags.py in render(321)
  return nodelist.render(context)

/home/youser/.local/share/virtualenvs/news-site-columnist-8tsXn7bh/lib/python3.10/site-packages/django/template/base.py in render(1005)
  return SafeString("".join([node.render_annotated(context) for node in self]))

/home/youser/.local/share/virtualenvs/news-site-columnist-8tsXn7bh/lib/python3.10/site-packages/django/template/base.py in <listcomp>(1005)
  return SafeString("".join([node.render_annotated(context) for node in self]))

/home/youser/.local/share/virtualenvs/news-site-columnist-8tsXn7bh/lib/python3.10/site-packages/django/template/base.py in render_annotated(966)
  return self.render(context)

/home/youser/.local/share/virtualenvs/news-site-columnist-8tsXn7bh/lib/python3.10/site-packages/django/template/defaulttags.py in render(368)
  for key, val in groupby(

/home/youser/.local/share/virtualenvs/news-site-columnist-8tsXn7bh/lib/python3.10/site-packages/polymorphic/query.py in _polymorphic_iterator(57)
  o = next(base_iter)

4 {% if LANGUAGE_CODE == 'en' %}
5 {% regroup object_list by translated_at|my_datetime:'d MMMM yyyy' as newslist %}
6 {% else %}
7 {% regroup object_list by publish_at|my_datetime:'d MMMM yyyy' as newslist %}
8 {% endif %}
9
10 {% for page in newslist %}
11 {% if forloop.counter != 1 or show_first_date_header %}

/var/www/news-site-columnist/news/templates/news/includes/post_list.html

SELECT "category"."id",
       "category"."created_at",
       "category"."updated_at",
       "category"."seo_title",
       "category"."seo_title_uk",
       "category"."seo_title_en",
       "category"."seo_title_ru",
       "category"."seo_description",
       "category"."seo_description_uk",
       "category"."seo_description_en",
       "category"."seo_description_ru",
       "category"."seo_keywords",
       "category"."seo_keywords_uk",
       "category"."seo_keywords_en",
       "category"."seo_keywords_ru",
       "category"."seo_header_one",
       "category"."seo_header_one_uk",
       "category"."seo_header_one_en",
       "category"."seo_header_one_ru",
       "category"."seo_news_title",
       "category"."seo_news_title_uk",
       "category"."seo_news_title_en",
       "category"."seo_news_title_ru",
       "category"."seo_news_description",
       "category"."seo_news_description_uk",
       "category"."seo_news_description_en",
       "category"."seo_news_description_ru",
       "category"."subdomain",
       "category"."parent_id",
       "category"."image",
       "category"."is_active",
       "category"."is_rss_active",
       "category"."is_interesting",
       "category"."ticker_rss_active",
       "category"."show_home",
       "category"."show_home_en",
       "category"."show_video",
       "category"."show_menu",
       "category"."show_menu_uk",
       "category"."show_menu_en",
       "category"."show_menu_ru",
       "category"."show_footer",
       "category"."show_menu_in_en",
       "category"."show_footer_in_en",
       "category"."show_in_search",
       "category"."show_in_header",
       "category"."show_in_header_uk",
       "category"."show_in_header_en",
       "category"."show_in_header_ru",
       "category"."seo_tag_id",
       "category"."sort_weight",
       "category"."sort_weight_en",
       "category"."header_sort_weight",
       "category"."header_sort_weight_uk",
       "category"."header_sort_weight_en",
       "category"."header_sort_weight_ru",
       "category"."footer_sort_weight",
       "category"."menu_sort_weight",
       "category"."name",
       "category"."name_uk",
       "category"."name_en",
       "category"."name_ru",
       "category"."slug",
       "category"."description",
       "category"."description_uk",
       "category"."description_en",
       "category"."description_ru",
       "category"."fb_link",
       "category"."tg_link",
       "category"."show_banner",
       "category"."uk_has_translation",
       "category"."ru_has_translation",
       "category"."en_has_translation",
       "category"."has_infinite_scroll",
       "category"."_show_home_without_subdomain",
       "category"."_show_home_without_subdomain_en",
       "category"."background_id",
       "category"."use_old_design",
       "category"."use_old_design_for_posts",
       "category"."is_context_category",
       "category"."show_stories_on_main",
       "category"."show_posts_table_of_contents",
       "category"."svg_icon"
  FROM "category"
 WHERE ("category"."ru_has_translation" AND NOT "category"."is_context_category" AND "category"."is_active" AND "category"."parent_id" IS NULL AND "category"."show_footer")
 ORDER BY "category"."footer_sort_weight" DESC,
          "category"."name_ru" ASC
SELECT ••• FROM "category" WHERE ("category"."ru_has_translation" AND NOT "category"."is_context_category" AND "category"."is_active" AND "category"."parent_id" IS NULL AND "category"."show_footer") ORDER BY "category"."footer_sort_weight" DESC, "category"."name_ru" ASC
1,80

Соединение: default

Статус транзакции: Ожидание

/home/youser/.local/share/virtualenvs/news-site-columnist-8tsXn7bh/bin/gunicorn in <module>(8)
  sys.exit(run())

/home/youser/.local/share/virtualenvs/news-site-columnist-8tsXn7bh/lib/python3.10/site-packages/gunicorn/app/wsgiapp.py in run(66)
  WSGIApplication("%(prog)s [OPTIONS] [APP_MODULE]", prog=prog).run()

/home/youser/.local/share/virtualenvs/news-site-columnist-8tsXn7bh/lib/python3.10/site-packages/gunicorn/app/base.py in run(235)
  super().run()

/home/youser/.local/share/virtualenvs/news-site-columnist-8tsXn7bh/lib/python3.10/site-packages/gunicorn/app/base.py in run(71)
  Arbiter(self).run()

/home/youser/.local/share/virtualenvs/news-site-columnist-8tsXn7bh/lib/python3.10/site-packages/gunicorn/arbiter.py in run(210)
  self.manage_workers()

/home/youser/.local/share/virtualenvs/news-site-columnist-8tsXn7bh/lib/python3.10/site-packages/gunicorn/arbiter.py in manage_workers(570)
  self.spawn_workers()

/home/youser/.local/share/virtualenvs/news-site-columnist-8tsXn7bh/lib/python3.10/site-packages/gunicorn/arbiter.py in spawn_workers(641)
  self.spawn_worker()

/home/youser/.local/share/virtualenvs/news-site-columnist-8tsXn7bh/lib/python3.10/site-packages/gunicorn/arbiter.py in spawn_worker(608)
  worker.init_process()

/home/youser/.local/share/virtualenvs/news-site-columnist-8tsXn7bh/lib/python3.10/site-packages/gunicorn/workers/base.py in init_process(143)
  self.run()

/home/youser/.local/share/virtualenvs/news-site-columnist-8tsXn7bh/lib/python3.10/site-packages/gunicorn/workers/sync.py in run(125)
  self.run_for_one(timeout)

/home/youser/.local/share/virtualenvs/news-site-columnist-8tsXn7bh/lib/python3.10/site-packages/gunicorn/workers/sync.py in run_for_one(69)
  self.accept(listener)

/home/youser/.local/share/virtualenvs/news-site-columnist-8tsXn7bh/lib/python3.10/site-packages/gunicorn/workers/sync.py in accept(31)
  self.handle(listener, client, addr)

/home/youser/.local/share/virtualenvs/news-site-columnist-8tsXn7bh/lib/python3.10/site-packages/gunicorn/workers/sync.py in handle(134)
  self.handle_request(listener, req, client, addr)

/home/youser/.local/share/virtualenvs/news-site-columnist-8tsXn7bh/lib/python3.10/site-packages/gunicorn/workers/sync.py in handle_request(177)
  respiter = self.wsgi(environ, resp.start_response)

/home/youser/.local/share/virtualenvs/news-site-columnist-8tsXn7bh/lib/python3.10/site-packages/sentry_sdk/utils.py in runner(1864)
  return sentry_patched_function(*args, **kwargs)

/home/youser/.local/share/virtualenvs/news-site-columnist-8tsXn7bh/lib/python3.10/site-packages/sentry_sdk/integrations/django/__init__.py in sentry_patched_wsgi_handler(191)
  return middleware(environ, start_response)

/home/youser/.local/share/virtualenvs/news-site-columnist-8tsXn7bh/lib/python3.10/site-packages/sentry_sdk/integrations/wsgi.py in __call__(132)
  response = self.app(

/home/youser/.local/share/virtualenvs/news-site-columnist-8tsXn7bh/lib/python3.10/site-packages/sentry_sdk/integrations/django/__init__.py in sentry_patched_get_response(478)
  rv = old_get_response(self, request)

/home/youser/.local/share/virtualenvs/news-site-columnist-8tsXn7bh/lib/python3.10/site-packages/sentry_sdk/integrations/django/middleware.py in __call__(177)
  return f(*args, **kwargs)

/home/youser/.local/share/virtualenvs/news-site-columnist-8tsXn7bh/lib/python3.10/site-packages/sentry_sdk/integrations/django/middleware.py in __call__(177)
  return f(*args, **kwargs)

/var/www/news-site-columnist/redirects/middleware/redirect_middleware.py in __call__(17)
  return self.get_response(request)

/home/youser/.local/share/virtualenvs/news-site-columnist-8tsXn7bh/lib/python3.10/site-packages/sentry_sdk/integrations/django/middleware.py in __call__(177)
  return f(*args, **kwargs)

/home/youser/.local/share/virtualenvs/news-site-columnist-8tsXn7bh/lib/python3.10/site-packages/sentry_sdk/integrations/django/middleware.py in __call__(177)
  return f(*args, **kwargs)

/home/youser/.local/share/virtualenvs/news-site-columnist-8tsXn7bh/lib/python3.10/site-packages/sentry_sdk/integrations/django/middleware.py in __call__(177)
  return f(*args, **kwargs)

/home/youser/.local/share/virtualenvs/news-site-columnist-8tsXn7bh/lib/python3.10/site-packages/sentry_sdk/integrations/django/middleware.py in __call__(177)
  return f(*args, **kwargs)

/home/youser/.local/share/virtualenvs/news-site-columnist-8tsXn7bh/lib/python3.10/site-packages/corsheaders/middleware.py in __call__(53)
  result = self.get_response(request)

/home/youser/.local/share/virtualenvs/news-site-columnist-8tsXn7bh/lib/python3.10/site-packages/sentry_sdk/integrations/django/middleware.py in __call__(177)
  return f(*args, **kwargs)

/home/youser/.local/share/virtualenvs/news-site-columnist-8tsXn7bh/lib/python3.10/site-packages/django_user_agents/middleware.py in __call__(14)
  return self.get_response(request)

/home/youser/.local/share/virtualenvs/news-site-columnist-8tsXn7bh/lib/python3.10/site-packages/sentry_sdk/integrations/django/middleware.py in __call__(177)
  return f(*args, **kwargs)

/home/youser/.local/share/virtualenvs/news-site-columnist-8tsXn7bh/lib/python3.10/site-packages/sentry_sdk/integrations/django/middleware.py in __call__(177)
  return f(*args, **kwargs)

/home/youser/.local/share/virtualenvs/news-site-columnist-8tsXn7bh/lib/python3.10/site-packages/sentry_sdk/integrations/django/middleware.py in __call__(177)
  return f(*args, **kwargs)

/home/youser/.local/share/virtualenvs/news-site-columnist-8tsXn7bh/lib/python3.10/site-packages/sentry_sdk/integrations/django/middleware.py in __call__(177)
  return f(*args, **kwargs)

/home/youser/.local/share/virtualenvs/news-site-columnist-8tsXn7bh/lib/python3.10/site-packages/sentry_sdk/integrations/django/middleware.py in __call__(177)
  return f(*args, **kwargs)

/home/youser/.local/share/virtualenvs/news-site-columnist-8tsXn7bh/lib/python3.10/site-packages/sentry_sdk/integrations/django/middleware.py in __call__(177)
  return f(*args, **kwargs)

/home/youser/.local/share/virtualenvs/news-site-columnist-8tsXn7bh/lib/python3.10/site-packages/sentry_sdk/integrations/django/middleware.py in __call__(177)
  return f(*args, **kwargs)

/home/youser/.local/share/virtualenvs/news-site-columnist-8tsXn7bh/lib/python3.10/site-packages/sentry_sdk/integrations/django/middleware.py in __call__(177)
  return f(*args, **kwargs)

/var/www/news-site-columnist/news/middleware/subdomain_middleare.py in __call__(22)
  response = self.get_response(request)

/home/youser/.local/share/virtualenvs/news-site-columnist-8tsXn7bh/lib/python3.10/site-packages/sentry_sdk/integrations/django/views.py in sentry_patched_render(41)
  return old_render(self)

/home/youser/.local/share/virtualenvs/news-site-columnist-8tsXn7bh/lib/python3.10/site-packages/django/template/response.py in render(114)
  self.content = self.rendered_content

/home/youser/.local/share/virtualenvs/news-site-columnist-8tsXn7bh/lib/python3.10/site-packages/sentry_sdk/utils.py in runner(1864)
  return sentry_patched_function(*args, **kwargs)

/home/youser/.local/share/virtualenvs/news-site-columnist-8tsXn7bh/lib/python3.10/site-packages/sentry_sdk/integrations/django/templates.py in rendered_content(77)
  return real_rendered_content.fget(self)

/home/youser/.local/share/virtualenvs/news-site-columnist-8tsXn7bh/lib/python3.10/site-packages/django/template/response.py in rendered_content(92)
  return template.render(context, self._request)

/home/youser/.local/share/virtualenvs/news-site-columnist-8tsXn7bh/lib/python3.10/site-packages/django/template/backends/django.py in render(61)
  return self.template.render(context)

/home/youser/.local/share/virtualenvs/news-site-columnist-8tsXn7bh/lib/python3.10/site-packages/template_timings_panel/panels/TemplateTimings.py in timing_hook(139)
  result = func(self, *args, **kwargs)

/home/youser/.local/share/virtualenvs/news-site-columnist-8tsXn7bh/lib/python3.10/site-packages/django/template/base.py in render(175)
  return self._render(context)

/home/youser/.local/share/virtualenvs/news-site-columnist-8tsXn7bh/lib/python3.10/site-packages/django/test/utils.py in instrumented_test_render(112)
  return self.nodelist.render(context)

/home/youser/.local/share/virtualenvs/news-site-columnist-8tsXn7bh/lib/python3.10/site-packages/django/template/base.py in render(1005)
  return SafeString("".join([node.render_annotated(context) for node in self]))

/home/youser/.local/share/virtualenvs/news-site-columnist-8tsXn7bh/lib/python3.10/site-packages/django/template/base.py in <listcomp>(1005)
  return SafeString("".join([node.render_annotated(context) for node in self]))

/home/youser/.local/share/virtualenvs/news-site-columnist-8tsXn7bh/lib/python3.10/site-packages/django/template/base.py in render_annotated(966)
  return self.render(context)

/home/youser/.local/share/virtualenvs/news-site-columnist-8tsXn7bh/lib/python3.10/site-packages/django/template/loader_tags.py in render(157)
  return compiled_parent._render(context)

/home/youser/.local/share/virtualenvs/news-site-columnist-8tsXn7bh/lib/python3.10/site-packages/django/test/utils.py in instrumented_test_render(112)
  return self.nodelist.render(context)

/home/youser/.local/share/virtualenvs/news-site-columnist-8tsXn7bh/lib/python3.10/site-packages/django/template/base.py in render(1005)
  return SafeString("".join([node.render_annotated(context) for node in self]))

/home/youser/.local/share/virtualenvs/news-site-columnist-8tsXn7bh/lib/python3.10/site-packages/django/template/base.py in <listcomp>(1005)
  return SafeString("".join([node.render_annotated(context) for node in self]))

/home/youser/.local/share/virtualenvs/news-site-columnist-8tsXn7bh/lib/python3.10/site-packages/django/template/base.py in render_annotated(966)
  return self.render(context)

/home/youser/.local/share/virtualenvs/news-site-columnist-8tsXn7bh/lib/python3.10/site-packages/django/template/loader_tags.py in render(208)
  return template.render(context)

/home/youser/.local/share/virtualenvs/news-site-columnist-8tsXn7bh/lib/python3.10/site-packages/template_timings_panel/panels/TemplateTimings.py in timing_hook(139)
  result = func(self, *args, **kwargs)

/home/youser/.local/share/virtualenvs/news-site-columnist-8tsXn7bh/lib/python3.10/site-packages/django/template/base.py in render(177)
  return self._render(context)

/home/youser/.local/share/virtualenvs/news-site-columnist-8tsXn7bh/lib/python3.10/site-packages/django/test/utils.py in instrumented_test_render(112)
  return self.nodelist.render(context)

/home/youser/.local/share/virtualenvs/news-site-columnist-8tsXn7bh/lib/python3.10/site-packages/django/template/base.py in render(1005)
  return SafeString("".join([node.render_annotated(context) for node in self]))

/home/youser/.local/share/virtualenvs/news-site-columnist-8tsXn7bh/lib/python3.10/site-packages/django/template/base.py in <listcomp>(1005)
  return SafeString("".join([node.render_annotated(context) for node in self]))

/home/youser/.local/share/virtualenvs/news-site-columnist-8tsXn7bh/lib/python3.10/site-packages/django/template/base.py in render_annotated(966)
  return self.render(context)

/home/youser/.local/share/virtualenvs/news-site-columnist-8tsXn7bh/lib/python3.10/site-packages/django/template/defaulttags.py in render(194)
  len_values = len(values)

4 <div class="footer__firstBlock">
5 <div class="container">
6 <div class="footer__grid footer__grid_bordered footer-show-more">
7 {% for p_category in parent_categories %}
8 <div class="footer__grid-col">
9 <a href="{{ p_category.get_absolute_url }}" class="footer__title hover-dark-text">{{ p_category.name }}</a>
10 {% if p_category.subcategories.all|length > 0 %}
11 <div class="footer__subitems">

/var/www/news-site-columnist/news/templates/new-design/components/footer.html

SELECT "category"."id",
       "category"."created_at",
       "category"."updated_at",
       "category"."seo_title",
       "category"."seo_title_uk",
       "category"."seo_title_en",
       "category"."seo_title_ru",
       "category"."seo_description",
       "category"."seo_description_uk",
       "category"."seo_description_en",
       "category"."seo_description_ru",
       "category"."seo_keywords",
       "category"."seo_keywords_uk",
       "category"."seo_keywords_en",
       "category"."seo_keywords_ru",
       "category"."seo_header_one",
       "category"."seo_header_one_uk",
       "category"."seo_header_one_en",
       "category"."seo_header_one_ru",
       "category"."seo_news_title",
       "category"."seo_news_title_uk",
       "category"."seo_news_title_en",
       "category"."seo_news_title_ru",
       "category"."seo_news_description",
       "category"."seo_news_description_uk",
       "category"."seo_news_description_en",
       "category"."seo_news_description_ru",
       "category"."subdomain",
       "category"."parent_id",
       "category"."image",
       "category"."is_active",
       "category"."is_rss_active",
       "category"."is_interesting",
       "category"."ticker_rss_active",
       "category"."show_home",
       "category"."show_home_en",
       "category"."show_video",
       "category"."show_menu",
       "category"."show_menu_uk",
       "category"."show_menu_en",
       "category"."show_menu_ru",
       "category"."show_footer",
       "category"."show_menu_in_en",
       "category"."show_footer_in_en",
       "category"."show_in_search",
       "category"."show_in_header",
       "category"."show_in_header_uk",
       "category"."show_in_header_en",
       "category"."show_in_header_ru",
       "category"."seo_tag_id",
       "category"."sort_weight",
       "category"."sort_weight_en",
       "category"."header_sort_weight",
       "category"."header_sort_weight_uk",
       "category"."header_sort_weight_en",
       "category"."header_sort_weight_ru",
       "category"."footer_sort_weight",
       "category"."menu_sort_weight",
       "category"."name",
       "category"."name_uk",
       "category"."name_en",
       "category"."name_ru",
       "category"."slug",
       "category"."description",
       "category"."description_uk",
       "category"."description_en",
       "category"."description_ru",
       "category"."fb_link",
       "category"."tg_link",
       "category"."show_banner",
       "category"."uk_has_translation",
       "category"."ru_has_translation",
       "category"."en_has_translation",
       "category"."has_infinite_scroll",
       "category"."_show_home_without_subdomain",
       "category"."_show_home_without_subdomain_en",
       "category"."background_id",
       "category"."use_old_design",
       "category"."use_old_design_for_posts",
       "category"."is_context_category",
       "category"."show_stories_on_main",
       "category"."show_posts_table_of_contents",
       "category"."svg_icon"
  FROM "category"
 WHERE ("category"."ru_has_translation" AND NOT "category"."is_context_category" AND "category"."show_footer" AND "category"."is_active" AND "category"."parent_id" IN (78465, 78468, 78445, 78501, 78506, 78514, 78519, 78516, 78504, 78456, 78517, 78466, 78508, 43, 78521, 78522, 78515, 78510, 78518, 78505, 78472, 78523, 78483))
 ORDER BY "category"."footer_sort_weight" DESC
SELECT ••• FROM "category" WHERE ("category"."ru_has_translation" AND NOT "category"."is_context_category" AND "category"."show_footer" AND "category"."is_active" AND "category"."parent_id" IN (78465, 78468, 78445, 78501, 78506, 78514, 78519, 78516, 78504, 78456, 78517, 78466, 78508, 43, 78521, 78522, 78515, 78510, 78518, 78505, 78472, 78523, 78483)) ORDER BY "category"."footer_sort_weight" DESC
0,75

Соединение: default

Статус транзакции: Ожидание

/home/youser/.local/share/virtualenvs/news-site-columnist-8tsXn7bh/bin/gunicorn in <module>(8)
  sys.exit(run())

/home/youser/.local/share/virtualenvs/news-site-columnist-8tsXn7bh/lib/python3.10/site-packages/gunicorn/app/wsgiapp.py in run(66)
  WSGIApplication("%(prog)s [OPTIONS] [APP_MODULE]", prog=prog).run()

/home/youser/.local/share/virtualenvs/news-site-columnist-8tsXn7bh/lib/python3.10/site-packages/gunicorn/app/base.py in run(235)
  super().run()

/home/youser/.local/share/virtualenvs/news-site-columnist-8tsXn7bh/lib/python3.10/site-packages/gunicorn/app/base.py in run(71)
  Arbiter(self).run()

/home/youser/.local/share/virtualenvs/news-site-columnist-8tsXn7bh/lib/python3.10/site-packages/gunicorn/arbiter.py in run(210)
  self.manage_workers()

/home/youser/.local/share/virtualenvs/news-site-columnist-8tsXn7bh/lib/python3.10/site-packages/gunicorn/arbiter.py in manage_workers(570)
  self.spawn_workers()

/home/youser/.local/share/virtualenvs/news-site-columnist-8tsXn7bh/lib/python3.10/site-packages/gunicorn/arbiter.py in spawn_workers(641)
  self.spawn_worker()

/home/youser/.local/share/virtualenvs/news-site-columnist-8tsXn7bh/lib/python3.10/site-packages/gunicorn/arbiter.py in spawn_worker(608)
  worker.init_process()

/home/youser/.local/share/virtualenvs/news-site-columnist-8tsXn7bh/lib/python3.10/site-packages/gunicorn/workers/base.py in init_process(143)
  self.run()

/home/youser/.local/share/virtualenvs/news-site-columnist-8tsXn7bh/lib/python3.10/site-packages/gunicorn/workers/sync.py in run(125)
  self.run_for_one(timeout)

/home/youser/.local/share/virtualenvs/news-site-columnist-8tsXn7bh/lib/python3.10/site-packages/gunicorn/workers/sync.py in run_for_one(69)
  self.accept(listener)

/home/youser/.local/share/virtualenvs/news-site-columnist-8tsXn7bh/lib/python3.10/site-packages/gunicorn/workers/sync.py in accept(31)
  self.handle(listener, client, addr)

/home/youser/.local/share/virtualenvs/news-site-columnist-8tsXn7bh/lib/python3.10/site-packages/gunicorn/workers/sync.py in handle(134)
  self.handle_request(listener, req, client, addr)

/home/youser/.local/share/virtualenvs/news-site-columnist-8tsXn7bh/lib/python3.10/site-packages/gunicorn/workers/sync.py in handle_request(177)
  respiter = self.wsgi(environ, resp.start_response)

/home/youser/.local/share/virtualenvs/news-site-columnist-8tsXn7bh/lib/python3.10/site-packages/sentry_sdk/utils.py in runner(1864)
  return sentry_patched_function(*args, **kwargs)

/home/youser/.local/share/virtualenvs/news-site-columnist-8tsXn7bh/lib/python3.10/site-packages/sentry_sdk/integrations/django/__init__.py in sentry_patched_wsgi_handler(191)
  return middleware(environ, start_response)

/home/youser/.local/share/virtualenvs/news-site-columnist-8tsXn7bh/lib/python3.10/site-packages/sentry_sdk/integrations/wsgi.py in __call__(132)
  response = self.app(

/home/youser/.local/share/virtualenvs/news-site-columnist-8tsXn7bh/lib/python3.10/site-packages/sentry_sdk/integrations/django/__init__.py in sentry_patched_get_response(478)
  rv = old_get_response(self, request)

/home/youser/.local/share/virtualenvs/news-site-columnist-8tsXn7bh/lib/python3.10/site-packages/sentry_sdk/integrations/django/middleware.py in __call__(177)
  return f(*args, **kwargs)

/home/youser/.local/share/virtualenvs/news-site-columnist-8tsXn7bh/lib/python3.10/site-packages/sentry_sdk/integrations/django/middleware.py in __call__(177)
  return f(*args, **kwargs)

/var/www/news-site-columnist/redirects/middleware/redirect_middleware.py in __call__(17)
  return self.get_response(request)

/home/youser/.local/share/virtualenvs/news-site-columnist-8tsXn7bh/lib/python3.10/site-packages/sentry_sdk/integrations/django/middleware.py in __call__(177)
  return f(*args, **kwargs)

/home/youser/.local/share/virtualenvs/news-site-columnist-8tsXn7bh/lib/python3.10/site-packages/sentry_sdk/integrations/django/middleware.py in __call__(177)
  return f(*args, **kwargs)

/home/youser/.local/share/virtualenvs/news-site-columnist-8tsXn7bh/lib/python3.10/site-packages/sentry_sdk/integrations/django/middleware.py in __call__(177)
  return f(*args, **kwargs)

/home/youser/.local/share/virtualenvs/news-site-columnist-8tsXn7bh/lib/python3.10/site-packages/sentry_sdk/integrations/django/middleware.py in __call__(177)
  return f(*args, **kwargs)

/home/youser/.local/share/virtualenvs/news-site-columnist-8tsXn7bh/lib/python3.10/site-packages/corsheaders/middleware.py in __call__(53)
  result = self.get_response(request)

/home/youser/.local/share/virtualenvs/news-site-columnist-8tsXn7bh/lib/python3.10/site-packages/sentry_sdk/integrations/django/middleware.py in __call__(177)
  return f(*args, **kwargs)

/home/youser/.local/share/virtualenvs/news-site-columnist-8tsXn7bh/lib/python3.10/site-packages/django_user_agents/middleware.py in __call__(14)
  return self.get_response(request)

/home/youser/.local/share/virtualenvs/news-site-columnist-8tsXn7bh/lib/python3.10/site-packages/sentry_sdk/integrations/django/middleware.py in __call__(177)
  return f(*args, **kwargs)

/home/youser/.local/share/virtualenvs/news-site-columnist-8tsXn7bh/lib/python3.10/site-packages/sentry_sdk/integrations/django/middleware.py in __call__(177)
  return f(*args, **kwargs)

/home/youser/.local/share/virtualenvs/news-site-columnist-8tsXn7bh/lib/python3.10/site-packages/sentry_sdk/integrations/django/middleware.py in __call__(177)
  return f(*args, **kwargs)

/home/youser/.local/share/virtualenvs/news-site-columnist-8tsXn7bh/lib/python3.10/site-packages/sentry_sdk/integrations/django/middleware.py in __call__(177)
  return f(*args, **kwargs)

/home/youser/.local/share/virtualenvs/news-site-columnist-8tsXn7bh/lib/python3.10/site-packages/sentry_sdk/integrations/django/middleware.py in __call__(177)
  return f(*args, **kwargs)

/home/youser/.local/share/virtualenvs/news-site-columnist-8tsXn7bh/lib/python3.10/site-packages/sentry_sdk/integrations/django/middleware.py in __call__(177)
  return f(*args, **kwargs)

/home/youser/.local/share/virtualenvs/news-site-columnist-8tsXn7bh/lib/python3.10/site-packages/sentry_sdk/integrations/django/middleware.py in __call__(177)
  return f(*args, **kwargs)

/home/youser/.local/share/virtualenvs/news-site-columnist-8tsXn7bh/lib/python3.10/site-packages/sentry_sdk/integrations/django/middleware.py in __call__(177)
  return f(*args, **kwargs)

/var/www/news-site-columnist/news/middleware/subdomain_middleare.py in __call__(22)
  response = self.get_response(request)

/home/youser/.local/share/virtualenvs/news-site-columnist-8tsXn7bh/lib/python3.10/site-packages/sentry_sdk/integrations/django/views.py in sentry_patched_render(41)
  return old_render(self)

/home/youser/.local/share/virtualenvs/news-site-columnist-8tsXn7bh/lib/python3.10/site-packages/django/template/response.py in render(114)
  self.content = self.rendered_content

/home/youser/.local/share/virtualenvs/news-site-columnist-8tsXn7bh/lib/python3.10/site-packages/sentry_sdk/utils.py in runner(1864)
  return sentry_patched_function(*args, **kwargs)

/home/youser/.local/share/virtualenvs/news-site-columnist-8tsXn7bh/lib/python3.10/site-packages/sentry_sdk/integrations/django/templates.py in rendered_content(77)
  return real_rendered_content.fget(self)

/home/youser/.local/share/virtualenvs/news-site-columnist-8tsXn7bh/lib/python3.10/site-packages/django/template/response.py in rendered_content(92)
  return template.render(context, self._request)

/home/youser/.local/share/virtualenvs/news-site-columnist-8tsXn7bh/lib/python3.10/site-packages/django/template/backends/django.py in render(61)
  return self.template.render(context)

/home/youser/.local/share/virtualenvs/news-site-columnist-8tsXn7bh/lib/python3.10/site-packages/template_timings_panel/panels/TemplateTimings.py in timing_hook(139)
  result = func(self, *args, **kwargs)

/home/youser/.local/share/virtualenvs/news-site-columnist-8tsXn7bh/lib/python3.10/site-packages/django/template/base.py in render(175)
  return self._render(context)

/home/youser/.local/share/virtualenvs/news-site-columnist-8tsXn7bh/lib/python3.10/site-packages/django/test/utils.py in instrumented_test_render(112)
  return self.nodelist.render(context)

/home/youser/.local/share/virtualenvs/news-site-columnist-8tsXn7bh/lib/python3.10/site-packages/django/template/base.py in render(1005)
  return SafeString("".join([node.render_annotated(context) for node in self]))

/home/youser/.local/share/virtualenvs/news-site-columnist-8tsXn7bh/lib/python3.10/site-packages/django/template/base.py in <listcomp>(1005)
  return SafeString("".join([node.render_annotated(context) for node in self]))

/home/youser/.local/share/virtualenvs/news-site-columnist-8tsXn7bh/lib/python3.10/site-packages/django/template/base.py in render_annotated(966)
  return self.render(context)

/home/youser/.local/share/virtualenvs/news-site-columnist-8tsXn7bh/lib/python3.10/site-packages/django/template/loader_tags.py in render(157)
  return compiled_parent._render(context)

/home/youser/.local/share/virtualenvs/news-site-columnist-8tsXn7bh/lib/python3.10/site-packages/django/test/utils.py in instrumented_test_render(112)
  return self.nodelist.render(context)

/home/youser/.local/share/virtualenvs/news-site-columnist-8tsXn7bh/lib/python3.10/site-packages/django/template/base.py in render(1005)
  return SafeString("".join([node.render_annotated(context) for node in self]))

/home/youser/.local/share/virtualenvs/news-site-columnist-8tsXn7bh/lib/python3.10/site-packages/django/template/base.py in <listcomp>(1005)
  return SafeString("".join([node.render_annotated(context) for node in self]))

/home/youser/.local/share/virtualenvs/news-site-columnist-8tsXn7bh/lib/python3.10/site-packages/django/template/base.py in render_annotated(966)
  return self.render(context)

/home/youser/.local/share/virtualenvs/news-site-columnist-8tsXn7bh/lib/python3.10/site-packages/django/template/loader_tags.py in render(208)
  return template.render(context)

/home/youser/.local/share/virtualenvs/news-site-columnist-8tsXn7bh/lib/python3.10/site-packages/template_timings_panel/panels/TemplateTimings.py in timing_hook(139)
  result = func(self, *args, **kwargs)

/home/youser/.local/share/virtualenvs/news-site-columnist-8tsXn7bh/lib/python3.10/site-packages/django/template/base.py in render(177)
  return self._render(context)

/home/youser/.local/share/virtualenvs/news-site-columnist-8tsXn7bh/lib/python3.10/site-packages/django/test/utils.py in instrumented_test_render(112)
  return self.nodelist.render(context)

/home/youser/.local/share/virtualenvs/news-site-columnist-8tsXn7bh/lib/python3.10/site-packages/django/template/base.py in render(1005)
  return SafeString("".join([node.render_annotated(context) for node in self]))

/home/youser/.local/share/virtualenvs/news-site-columnist-8tsXn7bh/lib/python3.10/site-packages/django/template/base.py in <listcomp>(1005)
  return SafeString("".join([node.render_annotated(context) for node in self]))

/home/youser/.local/share/virtualenvs/news-site-columnist-8tsXn7bh/lib/python3.10/site-packages/django/template/base.py in render_annotated(966)
  return self.render(context)

/home/youser/.local/share/virtualenvs/news-site-columnist-8tsXn7bh/lib/python3.10/site-packages/django/template/defaulttags.py in render(194)
  len_values = len(values)

4 <div class="footer__firstBlock">
5 <div class="container">
6 <div class="footer__grid footer__grid_bordered footer-show-more">
7 {% for p_category in parent_categories %}
8 <div class="footer__grid-col">
9 <a href="{{ p_category.get_absolute_url }}" class="footer__title hover-dark-text">{{ p_category.name }}</a>
10 {% if p_category.subcategories.all|length > 0 %}
11 <div class="footer__subitems">

/var/www/news-site-columnist/news/templates/new-design/components/footer.html

Шаблоны (обработано 27)

Путь к шаблонам

  1. /var/www/news-site-columnist/templates

Шаблоны

news/single_post.html
/var/www/news-site-columnist/news/templates/news/single_post.html
Контекст {'False': False, 'None': None, 'True': True} {'DEFAULT_MESSAGE_LEVELS': {'DEBUG': 10, 'ERROR': 40, 'INFO': 20, 'SUCCESS': 25, 'WARNING': 30}, 'csrf_token': '<SimpleLazyObject: <function csrf.<locals>._get_val at ' '0x7f289e136ef0>>', 'debug': True, 'messages': <SessionStorage: request=<WSGIRequest: GET '/ru/v-kieve-zhestoko-izbili-izvestnogo-prodiusera-i-avtora-khitov-kazka-chto-proizoshlo-foto-22135.html'>>, 'perms': PermWrapper(<SimpleLazyObject: <function AuthenticationMiddleware.process_request.<locals>.<lambda> at 0x7f289e137eb0>>), 'request': '<<request>>', 'sql_queries': <function debug.<locals>.<lambda> at 0x7f289e1348b0>, 'user': '<SimpleLazyObject: <function ' 'AuthenticationMiddleware.process_request.<locals>.<lambda> at ' '0x7f289e137eb0>>'} {'LANGUAGES': [('uk', 'Украинский'), ('en', 'Английский'), ('ru', 'Русский')], 'LANGUAGE_CODE': 'ru', 'SELECTED_LANG': 'ru', 'all_posts': '<<multilinguallanguagefilteredpostqueryset of news.Post>>', 'author_email': '[email protected]', 'languages': [{'bidi': False, 'code': 'uk', 'name': 'Ukrainian', 'name_local': 'Українська', 'name_translated': 'Украинский'}, {'bidi': False, 'code': 'en', 'name': 'English', 'name_local': 'English', 'name_translated': 'Английский'}, {'bidi': False, 'code': 'ru', 'name': 'Russian', 'name_local': 'Русский', 'name_translated': 'Русский'}], 'object': <Post: В Киеве жестоко избили известного продюсера и автора хитов KAZKA: что произошло. Фото>, 'parent_categories': '<<multilingualqueryset of news.Category>>', 'parent_categories_menu': '<<multilingualqueryset of news.Category>>', 'post': <Post: В Киеве жестоко избили известного продюсера и автора хитов KAZKA: что произошло. Фото>, 'show_banner': False, 'table_of_contents': '<<queryset of news.PostContentHeading>>', 'tags': '<<multilingualqueryset of news.Tag>>', 'tlp': <VideoPost: Кислица жестко высказался относительно переговоров в Стамбуле>, 'use_old_design': True, 'view': <news.views.post.GetPost object at 0x7f289d04f490>}
news/base.html
/var/www/news-site-columnist/news/templates/news/base.html
Контекст {'False': False, 'None': None, 'True': True} {'DEFAULT_MESSAGE_LEVELS': {'DEBUG': 10, 'ERROR': 40, 'INFO': 20, 'SUCCESS': 25, 'WARNING': 30}, 'csrf_token': '<SimpleLazyObject: <function csrf.<locals>._get_val at ' '0x7f289e136ef0>>', 'debug': True, 'messages': <SessionStorage: request=<WSGIRequest: GET '/ru/v-kieve-zhestoko-izbili-izvestnogo-prodiusera-i-avtora-khitov-kazka-chto-proizoshlo-foto-22135.html'>>, 'perms': PermWrapper(<SimpleLazyObject: <function AuthenticationMiddleware.process_request.<locals>.<lambda> at 0x7f289e137eb0>>), 'request': '<<request>>', 'sql_queries': <function debug.<locals>.<lambda> at 0x7f289e1348b0>, 'user': '<SimpleLazyObject: <function ' 'AuthenticationMiddleware.process_request.<locals>.<lambda> at ' '0x7f289e137eb0>>'} {'LANGUAGES': [('uk', 'Украинский'), ('en', 'Английский'), ('ru', 'Русский')], 'LANGUAGE_CODE': 'ru', 'SELECTED_LANG': 'ru', 'all_posts': '<<multilinguallanguagefilteredpostqueryset of news.Post>>', 'author_email': '[email protected]', 'languages': [{'bidi': False, 'code': 'uk', 'name': 'Ukrainian', 'name_local': 'Українська', 'name_translated': 'Украинский'}, {'bidi': False, 'code': 'en', 'name': 'English', 'name_local': 'English', 'name_translated': 'Английский'}, {'bidi': False, 'code': 'ru', 'name': 'Russian', 'name_local': 'Русский', 'name_translated': 'Русский'}], 'object': <Post: В Киеве жестоко избили известного продюсера и автора хитов KAZKA: что произошло. Фото>, 'parent_categories': '<<multilingualqueryset of news.Category>>', 'parent_categories_menu': '<<multilingualqueryset of news.Category>>', 'post': <Post: В Киеве жестоко избили известного продюсера и автора хитов KAZKA: что произошло. Фото>, 'show_banner': False, 'table_of_contents': '<<queryset of news.PostContentHeading>>', 'tags': '<<multilingualqueryset of news.Tag>>', 'tlp': <VideoPost: Кислица жестко высказался относительно переговоров в Стамбуле>, 'use_old_design': True, 'view': <news.views.post.GetPost object at 0x7f289d04f490>}
news/includes/structured_data.html
/var/www/news-site-columnist/news/templates/news/includes/structured_data.html
Контекст {'False': False, 'None': None, 'True': True} {'DEFAULT_MESSAGE_LEVELS': {'DEBUG': 10, 'ERROR': 40, 'INFO': 20, 'SUCCESS': 25, 'WARNING': 30}, 'csrf_token': '<SimpleLazyObject: <function csrf.<locals>._get_val at ' '0x7f289e136ef0>>', 'debug': True, 'messages': <SessionStorage: request=<WSGIRequest: GET '/ru/v-kieve-zhestoko-izbili-izvestnogo-prodiusera-i-avtora-khitov-kazka-chto-proizoshlo-foto-22135.html'>>, 'perms': PermWrapper(<SimpleLazyObject: <function AuthenticationMiddleware.process_request.<locals>.<lambda> at 0x7f289e137eb0>>), 'request': '<<request>>', 'sql_queries': <function debug.<locals>.<lambda> at 0x7f289e1348b0>, 'user': '<SimpleLazyObject: <function ' 'AuthenticationMiddleware.process_request.<locals>.<lambda> at ' '0x7f289e137eb0>>'} {'LANGUAGES': [('uk', 'Украинский'), ('en', 'Английский'), ('ru', 'Русский')], 'LANGUAGE_CODE': 'ru', 'SELECTED_LANG': 'ru', 'all_posts': '<<multilinguallanguagefilteredpostqueryset of news.Post>>', 'author_email': '[email protected]', 'languages': [{'bidi': False, 'code': 'uk', 'name': 'Ukrainian', 'name_local': 'Українська', 'name_translated': 'Украинский'}, {'bidi': False, 'code': 'en', 'name': 'English', 'name_local': 'English', 'name_translated': 'Английский'}, {'bidi': False, 'code': 'ru', 'name': 'Russian', 'name_local': 'Русский', 'name_translated': 'Русский'}], 'object': <Post: В Киеве жестоко избили известного продюсера и автора хитов KAZKA: что произошло. Фото>, 'parent_categories': '<<multilingualqueryset of news.Category>>', 'parent_categories_menu': '<<multilingualqueryset of news.Category>>', 'post': <Post: В Киеве жестоко избили известного продюсера и автора хитов KAZKA: что произошло. Фото>, 'show_banner': False, 'table_of_contents': '<<queryset of news.PostContentHeading>>', 'tags': '<<multilingualqueryset of news.Tag>>', 'tlp': <VideoPost: Кислица жестко высказался относительно переговоров в Стамбуле>, 'use_old_design': True, 'view': <news.views.post.GetPost object at 0x7f289d04f490>} {'LANGUAGE_CODE': 'ru', 'block': <Block Node: extrahead. Contents: [<TextNode: '\n '>, <IfNode>, <TextNode: '\n '>, <django.templatetags.i18n.GetCurrentLanguageNode object at 0x7f289e4991b0>, <TextNode: '\n '>, <django.template.library.SimpleNode object at 0x7f289e499270>, <TextNode: '\n <meta property="og:i'>, <Variable Node: post.image.url>, <TextNode: '">\n <meta name="twitte'>, <Variable Node: post.image.url>, <TextNode: '">\n\n <link rel="amphtm'>, <Variable Node: request.build_absolute_uri|remove_query_params>, <TextNode: '/amp">\n\n '>, <Block Node: og_tags. Contents: [<TextNode: '\n <meta property="'>, <Variable Node: post_url>, <TextNode: '"/>\n <meta name="t'>, <Variable Node: post_url>, <TextNode: '">\n\n <meta propert'>, <IfNode>, <TextNode: '"/>\n\n <meta proper'>, <django.template.defaulttags.SpacelessNode object at 0x7f289e499ba0>, <TextNode: '"/>\n <meta name="t'>, <django.template.defaulttags.SpacelessNode object at 0x7f289e499e70>, <TextNode: '"/>\n\n <meta proper'>, <Variable Node: post.get_seo_image>, <TextNode: '"/>\n <meta name="t'>, <Variable Node: post.get_seo_image>, <TextNode: '"/>\n\n <meta proper'>, <Variable Node: request.LANGUAGE_CODE>, <TextNode: '"/>\n\n <meta proper'>, <Variable Node: post.publish_at|date:'Y-m-d H:i:s'>, <TextNode: '"/>\n <meta propert'>, <Variable Node: post.updated_at|date:'Y-m-d H:i:s'>, <TextNode: '"/>\n\n <meta proper'>, <IncludeNode: template=<FilterExpression '"news/includes/structured_data.html"'>>, <TextNode: '\n\n '>]>, <TextNode: '\n '>, <Block Node: extra_css_slider_style. Contents: []>, <TextNode: '\n\n\n <script id="onthe_'>, <Variable Node: post.id>, <TextNode: '"] = {\n page_u'>, <Variable Node: request.build_absolute_uri|remove_query_params>, <TextNode: '",\n page_title'>, <IfNode>, <TextNode: '",\n page_type:'>, <Variable Node: request.LANGUAGE_CODE>, <TextNode: '",\n language_t'>, <Variable Node: request.LANGUAGE_CODE>, <TextNode: '",\n article_pu'>, <Variable Node: post.publish_at|date:'Y-m-d H:i:s'>, <TextNode: '",\n article_au'>, <django.template.defaulttags.SpacelessNode object at 0x7f289e49ac50>, <TextNode: '\n article_cate'>, <Variable Node: post.category>, <TextNode: '"]\n };\n\n wi'>, <Variable Node: post.id>, <TextNode: '"]);\n </script>\n\n\n '>, <IfNode>, <TextNode: '\n\n'>]>, 'post_url': 'https://stars.novunu.live/ru/v-kieve-zhestoko-izbili-izvestnogo-prodiusera-i-avtora-khitov-kazka-chto-proizoshlo-foto-22135.html'} {'block': <Block Node: og_tags. Contents: [<TextNode: '\n <meta property="'>, <Variable Node: post_url>, <TextNode: '"/>\n <meta name="t'>, <Variable Node: post_url>, <TextNode: '">\n\n <meta propert'>, <IfNode>, <TextNode: '"/>\n\n <meta proper'>, <django.template.defaulttags.SpacelessNode object at 0x7f289e499ba0>, <TextNode: '"/>\n <meta name="t'>, <django.template.defaulttags.SpacelessNode object at 0x7f289e499e70>, <TextNode: '"/>\n\n <meta proper'>, <Variable Node: post.get_seo_image>, <TextNode: '"/>\n <meta name="t'>, <Variable Node: post.get_seo_image>, <TextNode: '"/>\n\n <meta proper'>, <Variable Node: request.LANGUAGE_CODE>, <TextNode: '"/>\n\n <meta proper'>, <Variable Node: post.publish_at|date:'Y-m-d H:i:s'>, <TextNode: '"/>\n <meta propert'>, <Variable Node: post.updated_at|date:'Y-m-d H:i:s'>, <TextNode: '"/>\n\n <meta proper'>, <IncludeNode: template=<FilterExpression '"news/includes/structured_data.html"'>>, <TextNode: '\n\n '>]>} {'post_url': 'https://stars.novunu.live/ru/v-kieve-zhestoko-izbili-izvestnogo-prodiusera-i-avtora-khitov-kazka-chto-proizoshlo-foto-22135.html'}
new-design/components/header.html
/var/www/news-site-columnist/news/templates/new-design/components/header.html
Контекст {'False': False, 'None': None, 'True': True} {'DEFAULT_MESSAGE_LEVELS': {'DEBUG': 10, 'ERROR': 40, 'INFO': 20, 'SUCCESS': 25, 'WARNING': 30}, 'csrf_token': '<SimpleLazyObject: <function csrf.<locals>._get_val at ' '0x7f289e136ef0>>', 'debug': True, 'messages': <SessionStorage: request=<WSGIRequest: GET '/ru/v-kieve-zhestoko-izbili-izvestnogo-prodiusera-i-avtora-khitov-kazka-chto-proizoshlo-foto-22135.html'>>, 'perms': PermWrapper(<SimpleLazyObject: <function AuthenticationMiddleware.process_request.<locals>.<lambda> at 0x7f289e137eb0>>), 'request': '<<request>>', 'sql_queries': <function debug.<locals>.<lambda> at 0x7f289e1348b0>, 'user': '<SimpleLazyObject: <function ' 'AuthenticationMiddleware.process_request.<locals>.<lambda> at ' '0x7f289e137eb0>>'} {'LANGUAGES': [('uk', 'Украинский'), ('en', 'Английский'), ('ru', 'Русский')], 'LANGUAGE_CODE': 'ru', 'SELECTED_LANG': 'ru', 'all_posts': '<<multilinguallanguagefilteredpostqueryset of news.Post>>', 'author_email': '[email protected]', 'languages': [{'bidi': False, 'code': 'uk', 'name': 'Ukrainian', 'name_local': 'Українська', 'name_translated': 'Украинский'}, {'bidi': False, 'code': 'en', 'name': 'English', 'name_local': 'English', 'name_translated': 'Английский'}, {'bidi': False, 'code': 'ru', 'name': 'Russian', 'name_local': 'Русский', 'name_translated': 'Русский'}], 'object': <Post: В Киеве жестоко избили известного продюсера и автора хитов KAZKA: что произошло. Фото>, 'parent_categories': '<<multilingualqueryset of news.Category>>', 'parent_categories_menu': '<<multilingualqueryset of news.Category>>', 'post': <Post: В Киеве жестоко избили известного продюсера и автора хитов KAZKA: что произошло. Фото>, 'show_banner': False, 'table_of_contents': '<<queryset of news.PostContentHeading>>', 'tags': '<<multilingualqueryset of news.Tag>>', 'tlp': <VideoPost: Кислица жестко высказался относительно переговоров в Стамбуле>, 'use_old_design': True, 'view': <news.views.post.GetPost object at 0x7f289d04f490>} {'available_languages': ['uk', 'ru'], 'block': <Block Node: custom_header. Contents: [<TextNode: '\n'>, <django.template.library.SimpleNode object at 0x7f289e49b460>, <TextNode: '\n'>, <IncludeNode: template=<FilterExpression '"new-design/components/header.html"'>>, <TextNode: '\n'>, <IncludeNode: template=<FilterExpression '"new-design/components/hot-line.html"'>>, <TextNode: '\n'>]>} {'LANGUAGE_CODE': 'ru', 'available_languages': ['uk', 'ru'], 'navigation_items': [{'is_region': True, 'link': 'https://ukrayina.novunu.live/ru/', 'name': 'Україна'}, {'link': '/ru/news/', 'name': 'Новости'}, {'link': 'https://novunu.live/ru/context/', 'name': 'Контекст'}], 'support_button_link': 'https://t.me/SlipioCkUa/4132'}
new-design/components/header-popup.html
/var/www/news-site-columnist/news/templates/new-design/components/header-popup.html
Контекст {'False': False, 'None': None, 'True': True} {'DEFAULT_MESSAGE_LEVELS': {'DEBUG': 10, 'ERROR': 40, 'INFO': 20, 'SUCCESS': 25, 'WARNING': 30}, 'csrf_token': '<SimpleLazyObject: <function csrf.<locals>._get_val at ' '0x7f289e136ef0>>', 'debug': True, 'messages': <SessionStorage: request=<WSGIRequest: GET '/ru/v-kieve-zhestoko-izbili-izvestnogo-prodiusera-i-avtora-khitov-kazka-chto-proizoshlo-foto-22135.html'>>, 'perms': PermWrapper(<SimpleLazyObject: <function AuthenticationMiddleware.process_request.<locals>.<lambda> at 0x7f289e137eb0>>), 'request': '<<request>>', 'sql_queries': <function debug.<locals>.<lambda> at 0x7f289e1348b0>, 'user': '<SimpleLazyObject: <function ' 'AuthenticationMiddleware.process_request.<locals>.<lambda> at ' '0x7f289e137eb0>>'} {'LANGUAGES': [('uk', 'Украинский'), ('en', 'Английский'), ('ru', 'Русский')], 'LANGUAGE_CODE': 'ru', 'SELECTED_LANG': 'ru', 'all_posts': '<<multilinguallanguagefilteredpostqueryset of news.Post>>', 'author_email': '[email protected]', 'languages': [{'bidi': False, 'code': 'uk', 'name': 'Ukrainian', 'name_local': 'Українська', 'name_translated': 'Украинский'}, {'bidi': False, 'code': 'en', 'name': 'English', 'name_local': 'English', 'name_translated': 'Английский'}, {'bidi': False, 'code': 'ru', 'name': 'Russian', 'name_local': 'Русский', 'name_translated': 'Русский'}], 'object': <Post: В Киеве жестоко избили известного продюсера и автора хитов KAZKA: что произошло. Фото>, 'parent_categories': '<<multilingualqueryset of news.Category>>', 'parent_categories_menu': '<<multilingualqueryset of news.Category>>', 'post': <Post: В Киеве жестоко избили известного продюсера и автора хитов KAZKA: что произошло. Фото>, 'show_banner': False, 'table_of_contents': '<<queryset of news.PostContentHeading>>', 'tags': '<<multilingualqueryset of news.Tag>>', 'tlp': <VideoPost: Кислица жестко высказался относительно переговоров в Стамбуле>, 'use_old_design': True, 'view': <news.views.post.GetPost object at 0x7f289d04f490>} {'available_languages': ['uk', 'ru'], 'block': <Block Node: custom_header. Contents: [<TextNode: '\n'>, <django.template.library.SimpleNode object at 0x7f289e49b460>, <TextNode: '\n'>, <IncludeNode: template=<FilterExpression '"new-design/components/header.html"'>>, <TextNode: '\n'>, <IncludeNode: template=<FilterExpression '"new-design/components/hot-line.html"'>>, <TextNode: '\n'>]>} {'LANGUAGE_CODE': 'ru', 'available_languages': ['uk', 'ru'], 'navigation_items': [{'is_region': True, 'link': 'https://ukrayina.novunu.live/ru/', 'name': 'Україна'}, {'link': '/ru/news/', 'name': 'Новости'}, {'link': 'https://novunu.live/ru/context/', 'name': 'Контекст'}], 'support_button_link': 'https://t.me/SlipioCkUa/4132'}
new-design/components/search/popular-searches.html
/var/www/news-site-columnist/news/templates/new-design/components/search/popular-searches.html
Контекст {'False': False, 'None': None, 'True': True} {'DEFAULT_MESSAGE_LEVELS': {'DEBUG': 10, 'ERROR': 40, 'INFO': 20, 'SUCCESS': 25, 'WARNING': 30}, 'csrf_token': '<SimpleLazyObject: <function csrf.<locals>._get_val at ' '0x7f289e136ef0>>', 'debug': True, 'messages': <SessionStorage: request=<WSGIRequest: GET '/ru/v-kieve-zhestoko-izbili-izvestnogo-prodiusera-i-avtora-khitov-kazka-chto-proizoshlo-foto-22135.html'>>, 'perms': PermWrapper(<SimpleLazyObject: <function AuthenticationMiddleware.process_request.<locals>.<lambda> at 0x7f289e137eb0>>), 'request': '<<request>>', 'sql_queries': <function debug.<locals>.<lambda> at 0x7f289e1348b0>, 'user': '<SimpleLazyObject: <function ' 'AuthenticationMiddleware.process_request.<locals>.<lambda> at ' '0x7f289e137eb0>>'} {'LANGUAGES': [('uk', 'Украинский'), ('en', 'Английский'), ('ru', 'Русский')], 'LANGUAGE_CODE': 'ru', 'SELECTED_LANG': 'ru', 'all_posts': '<<multilinguallanguagefilteredpostqueryset of news.Post>>', 'author_email': '[email protected]', 'languages': [{'bidi': False, 'code': 'uk', 'name': 'Ukrainian', 'name_local': 'Українська', 'name_translated': 'Украинский'}, {'bidi': False, 'code': 'en', 'name': 'English', 'name_local': 'English', 'name_translated': 'Английский'}, {'bidi': False, 'code': 'ru', 'name': 'Russian', 'name_local': 'Русский', 'name_translated': 'Русский'}], 'object': <Post: В Киеве жестоко избили известного продюсера и автора хитов KAZKA: что произошло. Фото>, 'parent_categories': '<<multilingualqueryset of news.Category>>', 'parent_categories_menu': '<<multilingualqueryset of news.Category>>', 'post': <Post: В Киеве жестоко избили известного продюсера и автора хитов KAZKA: что произошло. Фото>, 'show_banner': False, 'table_of_contents': '<<queryset of news.PostContentHeading>>', 'tags': '<<multilingualqueryset of news.Tag>>', 'tlp': <VideoPost: Кислица жестко высказался относительно переговоров в Стамбуле>, 'use_old_design': True, 'view': <news.views.post.GetPost object at 0x7f289d04f490>} {'available_languages': ['uk', 'ru'], 'block': <Block Node: custom_header. Contents: [<TextNode: '\n'>, <django.template.library.SimpleNode object at 0x7f289e49b460>, <TextNode: '\n'>, <IncludeNode: template=<FilterExpression '"new-design/components/header.html"'>>, <TextNode: '\n'>, <IncludeNode: template=<FilterExpression '"new-design/components/hot-line.html"'>>, <TextNode: '\n'>]>} {'LANGUAGE_CODE': 'ru', 'available_languages': ['uk', 'ru'], 'navigation_items': [{'is_region': True, 'link': 'https://ukrayina.novunu.live/ru/', 'name': 'Україна'}, {'link': '/ru/news/', 'name': 'Новости'}, {'link': 'https://novunu.live/ru/context/', 'name': 'Контекст'}], 'support_button_link': 'https://t.me/SlipioCkUa/4132'} {'categories': '<<multilingualqueryset of news.Category>>', 'navigation_items': [{'is_region': True, 'link': 'https://ukrayina.novunu.live/ru/', 'name': 'Україна'}, {'link': '/ru/news/', 'name': 'Новости'}, {'link': 'https://novunu.live/ru/context/', 'name': 'Контекст'}]} {'chunked_searches': <itertools.zip_longest object at 0x7f289fbb5e90>, 'class': 'header-popup__searches'}
new-design/components/socials-list.html
/var/www/news-site-columnist/news/templates/new-design/components/socials-list.html
Контекст {'False': False, 'None': None, 'True': True} {'DEFAULT_MESSAGE_LEVELS': {'DEBUG': 10, 'ERROR': 40, 'INFO': 20, 'SUCCESS': 25, 'WARNING': 30}, 'csrf_token': '<SimpleLazyObject: <function csrf.<locals>._get_val at ' '0x7f289e136ef0>>', 'debug': True, 'messages': <SessionStorage: request=<WSGIRequest: GET '/ru/v-kieve-zhestoko-izbili-izvestnogo-prodiusera-i-avtora-khitov-kazka-chto-proizoshlo-foto-22135.html'>>, 'perms': PermWrapper(<SimpleLazyObject: <function AuthenticationMiddleware.process_request.<locals>.<lambda> at 0x7f289e137eb0>>), 'request': '<<request>>', 'sql_queries': <function debug.<locals>.<lambda> at 0x7f289e1348b0>, 'user': '<SimpleLazyObject: <function ' 'AuthenticationMiddleware.process_request.<locals>.<lambda> at ' '0x7f289e137eb0>>'} {'LANGUAGES': [('uk', 'Украинский'), ('en', 'Английский'), ('ru', 'Русский')], 'LANGUAGE_CODE': 'ru', 'SELECTED_LANG': 'ru', 'all_posts': '<<multilinguallanguagefilteredpostqueryset of news.Post>>', 'author_email': '[email protected]', 'languages': [{'bidi': False, 'code': 'uk', 'name': 'Ukrainian', 'name_local': 'Українська', 'name_translated': 'Украинский'}, {'bidi': False, 'code': 'en', 'name': 'English', 'name_local': 'English', 'name_translated': 'Английский'}, {'bidi': False, 'code': 'ru', 'name': 'Russian', 'name_local': 'Русский', 'name_translated': 'Русский'}], 'object': <Post: В Киеве жестоко избили известного продюсера и автора хитов KAZKA: что произошло. Фото>, 'parent_categories': '<<multilingualqueryset of news.Category>>', 'parent_categories_menu': '<<multilingualqueryset of news.Category>>', 'post': <Post: В Киеве жестоко избили известного продюсера и автора хитов KAZKA: что произошло. Фото>, 'show_banner': False, 'table_of_contents': '<<queryset of news.PostContentHeading>>', 'tags': '<<multilingualqueryset of news.Tag>>', 'tlp': <VideoPost: Кислица жестко высказался относительно переговоров в Стамбуле>, 'use_old_design': True, 'view': <news.views.post.GetPost object at 0x7f289d04f490>} {'available_languages': ['uk', 'ru'], 'block': <Block Node: custom_header. Contents: [<TextNode: '\n'>, <django.template.library.SimpleNode object at 0x7f289e49b460>, <TextNode: '\n'>, <IncludeNode: template=<FilterExpression '"new-design/components/header.html"'>>, <TextNode: '\n'>, <IncludeNode: template=<FilterExpression '"new-design/components/hot-line.html"'>>, <TextNode: '\n'>]>} {'LANGUAGE_CODE': 'ru', 'available_languages': ['uk', 'ru'], 'navigation_items': [{'is_region': True, 'link': 'https://ukrayina.novunu.live/ru/', 'name': 'Україна'}, {'link': '/ru/news/', 'name': 'Новости'}, {'link': 'https://novunu.live/ru/context/', 'name': 'Контекст'}], 'support_button_link': 'https://t.me/SlipioCkUa/4132'} {'categories': '<<multilingualqueryset of news.Category>>', 'navigation_items': [{'is_region': True, 'link': 'https://ukrayina.novunu.live/ru/', 'name': 'Україна'}, {'link': '/ru/news/', 'name': 'Новости'}, {'link': 'https://novunu.live/ru/context/', 'name': 'Контекст'}]}
new-design/components/hot-line.html
/var/www/news-site-columnist/news/templates/new-design/components/hot-line.html
Контекст {'False': False, 'None': None, 'True': True} {'DEFAULT_MESSAGE_LEVELS': {'DEBUG': 10, 'ERROR': 40, 'INFO': 20, 'SUCCESS': 25, 'WARNING': 30}, 'csrf_token': '<SimpleLazyObject: <function csrf.<locals>._get_val at ' '0x7f289e136ef0>>', 'debug': True, 'messages': <SessionStorage: request=<WSGIRequest: GET '/ru/v-kieve-zhestoko-izbili-izvestnogo-prodiusera-i-avtora-khitov-kazka-chto-proizoshlo-foto-22135.html'>>, 'perms': PermWrapper(<SimpleLazyObject: <function AuthenticationMiddleware.process_request.<locals>.<lambda> at 0x7f289e137eb0>>), 'request': '<<request>>', 'sql_queries': <function debug.<locals>.<lambda> at 0x7f289e1348b0>, 'user': '<SimpleLazyObject: <function ' 'AuthenticationMiddleware.process_request.<locals>.<lambda> at ' '0x7f289e137eb0>>'} {'LANGUAGES': [('uk', 'Украинский'), ('en', 'Английский'), ('ru', 'Русский')], 'LANGUAGE_CODE': 'ru', 'SELECTED_LANG': 'ru', 'all_posts': '<<multilinguallanguagefilteredpostqueryset of news.Post>>', 'author_email': '[email protected]', 'languages': [{'bidi': False, 'code': 'uk', 'name': 'Ukrainian', 'name_local': 'Українська', 'name_translated': 'Украинский'}, {'bidi': False, 'code': 'en', 'name': 'English', 'name_local': 'English', 'name_translated': 'Английский'}, {'bidi': False, 'code': 'ru', 'name': 'Russian', 'name_local': 'Русский', 'name_translated': 'Русский'}], 'object': <Post: В Киеве жестоко избили известного продюсера и автора хитов KAZKA: что произошло. Фото>, 'parent_categories': '<<multilingualqueryset of news.Category>>', 'parent_categories_menu': '<<multilingualqueryset of news.Category>>', 'post': <Post: В Киеве жестоко избили известного продюсера и автора хитов KAZKA: что произошло. Фото>, 'show_banner': False, 'table_of_contents': '<<queryset of news.PostContentHeading>>', 'tags': '<<multilingualqueryset of news.Tag>>', 'tlp': <VideoPost: Кислица жестко высказался относительно переговоров в Стамбуле>, 'use_old_design': True, 'view': <news.views.post.GetPost object at 0x7f289d04f490>} {'available_languages': ['uk', 'ru'], 'block': <Block Node: custom_header. Contents: [<TextNode: '\n'>, <django.template.library.SimpleNode object at 0x7f289e49b460>, <TextNode: '\n'>, <IncludeNode: template=<FilterExpression '"new-design/components/header.html"'>>, <TextNode: '\n'>, <IncludeNode: template=<FilterExpression '"new-design/components/hot-line.html"'>>, <TextNode: '\n'>]>}
news/includes/post_content.html
/var/www/news-site-columnist/news/templates/news/includes/post_content.html
Контекст {'False': False, 'None': None, 'True': True} {'DEFAULT_MESSAGE_LEVELS': {'DEBUG': 10, 'ERROR': 40, 'INFO': 20, 'SUCCESS': 25, 'WARNING': 30}, 'csrf_token': '<SimpleLazyObject: <function csrf.<locals>._get_val at ' '0x7f289e136ef0>>', 'debug': True, 'messages': <SessionStorage: request=<WSGIRequest: GET '/ru/v-kieve-zhestoko-izbili-izvestnogo-prodiusera-i-avtora-khitov-kazka-chto-proizoshlo-foto-22135.html'>>, 'perms': PermWrapper(<SimpleLazyObject: <function AuthenticationMiddleware.process_request.<locals>.<lambda> at 0x7f289e137eb0>>), 'request': '<<request>>', 'sql_queries': <function debug.<locals>.<lambda> at 0x7f289e1348b0>, 'user': '<SimpleLazyObject: <function ' 'AuthenticationMiddleware.process_request.<locals>.<lambda> at ' '0x7f289e137eb0>>'} {'LANGUAGES': [('uk', 'Украинский'), ('en', 'Английский'), ('ru', 'Русский')], 'LANGUAGE_CODE': 'ru', 'SELECTED_LANG': 'ru', 'all_posts': '<<multilinguallanguagefilteredpostqueryset of news.Post>>', 'author_email': '[email protected]', 'languages': [{'bidi': False, 'code': 'uk', 'name': 'Ukrainian', 'name_local': 'Українська', 'name_translated': 'Украинский'}, {'bidi': False, 'code': 'en', 'name': 'English', 'name_local': 'English', 'name_translated': 'Английский'}, {'bidi': False, 'code': 'ru', 'name': 'Russian', 'name_local': 'Русский', 'name_translated': 'Русский'}], 'object': <Post: В Киеве жестоко избили известного продюсера и автора хитов KAZKA: что произошло. Фото>, 'parent_categories': '<<multilingualqueryset of news.Category>>', 'parent_categories_menu': '<<multilingualqueryset of news.Category>>', 'post': <Post: В Киеве жестоко избили известного продюсера и автора хитов KAZKA: что произошло. Фото>, 'show_banner': False, 'table_of_contents': '<<queryset of news.PostContentHeading>>', 'tags': '<<multilingualqueryset of news.Tag>>', 'tlp': <VideoPost: Кислица жестко высказался относительно переговоров в Стамбуле>, 'use_old_design': True, 'view': <news.views.post.GetPost object at 0x7f289d04f490>} {'LANGUAGE_CODE': 'ru', 'block': <Block Node: content. Contents: [<TextNode: '\n <div class="containe'>, <django.templatetags.i18n.GetCurrentLanguageNode object at 0x7f289e49b7f0>, <TextNode: '\n '>, <IfNode>, <TextNode: '\n '>, <django.templatetags.i18n.TranslateNode object at 0x7f289e49bc40>, <TextNode: '\n <img src'>, StaticNode(varname=None, path=<FilterExpression "'/news/img/base/arrow.svg'">), <TextNode: '"\n al'>, <IfNode>, <TextNode: '\n <span class='>, <Variable Node: post.fhead>, <TextNode: '\n <img src="'>, StaticNode(varname=None, path=<FilterExpression "'/news/img/base/arrow.svg'">), <TextNode: '" alt="arrow"\n '>, <Variable Node: request.build_absolute_uri|remove_query_params>, <TextNode: '">\n '>, <Block Node: post_content. Contents: [<TextNode: '\n '>, <IncludeNode: template=<FilterExpression "'news/includes/post_content.html'">>, <TextNode: '\n '>]>, <TextNode: '\n </div>\n <'>, <django.template.defaulttags.CommentNode object at 0x7f289e4945e0>, <TextNode: '\n\n<script type="text/java'>]>} {'block': <Block Node: post_content. Contents: [<TextNode: '\n '>, <IncludeNode: template=<FilterExpression "'news/includes/post_content.html'">>, <TextNode: '\n '>]>} {'LANGUAGE_CODE': 'ru', 'only_post': False, 'post': <Post: В Киеве жестоко избили известного продюсера и автора хитов KAZKA: что произошло. Фото>}
news/includes/read_more-ajax.html
/var/www/news-site-columnist/news/templates/news/includes/read_more-ajax.html
Контекст {'False': False, 'None': None, 'True': True} {'post': <Post: В Киеве жестоко избили известного продюсера и автора хитов KAZKA: что произошло. Фото>, 'read_more_posts': ''}
news/includes/adsense/posts/post_p3_desktop.html
/var/www/news-site-columnist/news/templates/news/includes/adsense/posts/post_p3_desktop.html
Контекст {'False': False, 'None': None, 'True': True}
news/includes/external_scripts/idealmedia.html
/var/www/news-site-columnist/news/templates/news/includes/external_scripts/idealmedia.html
Контекст {'False': False, 'None': None, 'True': True} {'DEFAULT_MESSAGE_LEVELS': {'DEBUG': 10, 'ERROR': 40, 'INFO': 20, 'SUCCESS': 25, 'WARNING': 30}, 'csrf_token': '<SimpleLazyObject: <function csrf.<locals>._get_val at ' '0x7f289e136ef0>>', 'debug': True, 'messages': <SessionStorage: request=<WSGIRequest: GET '/ru/v-kieve-zhestoko-izbili-izvestnogo-prodiusera-i-avtora-khitov-kazka-chto-proizoshlo-foto-22135.html'>>, 'perms': PermWrapper(<SimpleLazyObject: <function AuthenticationMiddleware.process_request.<locals>.<lambda> at 0x7f289e137eb0>>), 'request': '<<request>>', 'sql_queries': <function debug.<locals>.<lambda> at 0x7f289e1348b0>, 'user': '<SimpleLazyObject: <function ' 'AuthenticationMiddleware.process_request.<locals>.<lambda> at ' '0x7f289e137eb0>>'} {'LANGUAGES': [('uk', 'Украинский'), ('en', 'Английский'), ('ru', 'Русский')], 'LANGUAGE_CODE': 'ru', 'SELECTED_LANG': 'ru', 'all_posts': '<<multilinguallanguagefilteredpostqueryset of news.Post>>', 'author_email': '[email protected]', 'languages': [{'bidi': False, 'code': 'uk', 'name': 'Ukrainian', 'name_local': 'Українська', 'name_translated': 'Украинский'}, {'bidi': False, 'code': 'en', 'name': 'English', 'name_local': 'English', 'name_translated': 'Английский'}, {'bidi': False, 'code': 'ru', 'name': 'Russian', 'name_local': 'Русский', 'name_translated': 'Русский'}], 'object': <Post: В Киеве жестоко избили известного продюсера и автора хитов KAZKA: что произошло. Фото>, 'parent_categories': '<<multilingualqueryset of news.Category>>', 'parent_categories_menu': '<<multilingualqueryset of news.Category>>', 'post': <Post: В Киеве жестоко избили известного продюсера и автора хитов KAZKA: что произошло. Фото>, 'show_banner': False, 'table_of_contents': '<<queryset of news.PostContentHeading>>', 'tags': '<<multilingualqueryset of news.Tag>>', 'tlp': <VideoPost: Кислица жестко высказался относительно переговоров в Стамбуле>, 'use_old_design': True, 'view': <news.views.post.GetPost object at 0x7f289d04f490>} {'LANGUAGE_CODE': 'ru', 'block': <Block Node: content. Contents: [<TextNode: '\n <div class="containe'>, <django.templatetags.i18n.GetCurrentLanguageNode object at 0x7f289e49b7f0>, <TextNode: '\n '>, <IfNode>, <TextNode: '\n '>, <django.templatetags.i18n.TranslateNode object at 0x7f289e49bc40>, <TextNode: '\n <img src'>, StaticNode(varname=None, path=<FilterExpression "'/news/img/base/arrow.svg'">), <TextNode: '"\n al'>, <IfNode>, <TextNode: '\n <span class='>, <Variable Node: post.fhead>, <TextNode: '\n <img src="'>, StaticNode(varname=None, path=<FilterExpression "'/news/img/base/arrow.svg'">), <TextNode: '" alt="arrow"\n '>, <Variable Node: request.build_absolute_uri|remove_query_params>, <TextNode: '">\n '>, <Block Node: post_content. Contents: [<TextNode: '\n '>, <IncludeNode: template=<FilterExpression "'news/includes/post_content.html'">>, <TextNode: '\n '>]>, <TextNode: '\n </div>\n <'>, <django.template.defaulttags.CommentNode object at 0x7f289e4945e0>, <TextNode: '\n\n<script type="text/java'>]>} {'block': <Block Node: post_content. Contents: [<TextNode: '\n '>, <IncludeNode: template=<FilterExpression "'news/includes/post_content.html'">>, <TextNode: '\n '>]>} {'LANGUAGE_CODE': 'ru', 'only_post': False, 'post': <Post: В Киеве жестоко избили известного продюсера и автора хитов KAZKA: что произошло. Фото>}
news/includes/adsense/posts/post_beforeend_desktop.html
/var/www/news-site-columnist/news/templates/news/includes/adsense/posts/post_beforeend_desktop.html
Контекст {'False': False, 'None': None, 'True': True} {'DEFAULT_MESSAGE_LEVELS': {'DEBUG': 10, 'ERROR': 40, 'INFO': 20, 'SUCCESS': 25, 'WARNING': 30}, 'csrf_token': '<SimpleLazyObject: <function csrf.<locals>._get_val at ' '0x7f289e136ef0>>', 'debug': True, 'messages': <SessionStorage: request=<WSGIRequest: GET '/ru/v-kieve-zhestoko-izbili-izvestnogo-prodiusera-i-avtora-khitov-kazka-chto-proizoshlo-foto-22135.html'>>, 'perms': PermWrapper(<SimpleLazyObject: <function AuthenticationMiddleware.process_request.<locals>.<lambda> at 0x7f289e137eb0>>), 'request': '<<request>>', 'sql_queries': <function debug.<locals>.<lambda> at 0x7f289e1348b0>, 'user': '<SimpleLazyObject: <function ' 'AuthenticationMiddleware.process_request.<locals>.<lambda> at ' '0x7f289e137eb0>>'} {'LANGUAGES': [('uk', 'Украинский'), ('en', 'Английский'), ('ru', 'Русский')], 'LANGUAGE_CODE': 'ru', 'SELECTED_LANG': 'ru', 'all_posts': '<<multilinguallanguagefilteredpostqueryset of news.Post>>', 'author_email': '[email protected]', 'languages': [{'bidi': False, 'code': 'uk', 'name': 'Ukrainian', 'name_local': 'Українська', 'name_translated': 'Украинский'}, {'bidi': False, 'code': 'en', 'name': 'English', 'name_local': 'English', 'name_translated': 'Английский'}, {'bidi': False, 'code': 'ru', 'name': 'Russian', 'name_local': 'Русский', 'name_translated': 'Русский'}], 'object': <Post: В Киеве жестоко избили известного продюсера и автора хитов KAZKA: что произошло. Фото>, 'parent_categories': '<<multilingualqueryset of news.Category>>', 'parent_categories_menu': '<<multilingualqueryset of news.Category>>', 'post': <Post: В Киеве жестоко избили известного продюсера и автора хитов KAZKA: что произошло. Фото>, 'show_banner': False, 'table_of_contents': '<<queryset of news.PostContentHeading>>', 'tags': '<<multilingualqueryset of news.Tag>>', 'tlp': <VideoPost: Кислица жестко высказался относительно переговоров в Стамбуле>, 'use_old_design': True, 'view': <news.views.post.GetPost object at 0x7f289d04f490>} {'LANGUAGE_CODE': 'ru', 'block': <Block Node: content. Contents: [<TextNode: '\n <div class="containe'>, <django.templatetags.i18n.GetCurrentLanguageNode object at 0x7f289e49b7f0>, <TextNode: '\n '>, <IfNode>, <TextNode: '\n '>, <django.templatetags.i18n.TranslateNode object at 0x7f289e49bc40>, <TextNode: '\n <img src'>, StaticNode(varname=None, path=<FilterExpression "'/news/img/base/arrow.svg'">), <TextNode: '"\n al'>, <IfNode>, <TextNode: '\n <span class='>, <Variable Node: post.fhead>, <TextNode: '\n <img src="'>, StaticNode(varname=None, path=<FilterExpression "'/news/img/base/arrow.svg'">), <TextNode: '" alt="arrow"\n '>, <Variable Node: request.build_absolute_uri|remove_query_params>, <TextNode: '">\n '>, <Block Node: post_content. Contents: [<TextNode: '\n '>, <IncludeNode: template=<FilterExpression "'news/includes/post_content.html'">>, <TextNode: '\n '>]>, <TextNode: '\n </div>\n <'>, <django.template.defaulttags.CommentNode object at 0x7f289e4945e0>, <TextNode: '\n\n<script type="text/java'>]>} {'block': <Block Node: post_content. Contents: [<TextNode: '\n '>, <IncludeNode: template=<FilterExpression "'news/includes/post_content.html'">>, <TextNode: '\n '>]>} {'LANGUAGE_CODE': 'ru', 'only_post': False, 'post': <Post: В Киеве жестоко избили известного продюсера и автора хитов KAZKA: что произошло. Фото>}
news/article-right-sidebar.html
/var/www/news-site-columnist/news/templates/news/article-right-sidebar.html
Контекст {'False': False, 'None': None, 'True': True} {'DEFAULT_MESSAGE_LEVELS': {'DEBUG': 10, 'ERROR': 40, 'INFO': 20, 'SUCCESS': 25, 'WARNING': 30}, 'csrf_token': '<SimpleLazyObject: <function csrf.<locals>._get_val at ' '0x7f289e136ef0>>', 'debug': True, 'messages': <SessionStorage: request=<WSGIRequest: GET '/ru/v-kieve-zhestoko-izbili-izvestnogo-prodiusera-i-avtora-khitov-kazka-chto-proizoshlo-foto-22135.html'>>, 'perms': PermWrapper(<SimpleLazyObject: <function AuthenticationMiddleware.process_request.<locals>.<lambda> at 0x7f289e137eb0>>), 'request': '<<request>>', 'sql_queries': <function debug.<locals>.<lambda> at 0x7f289e1348b0>, 'user': '<SimpleLazyObject: <function ' 'AuthenticationMiddleware.process_request.<locals>.<lambda> at ' '0x7f289e137eb0>>'} {'LANGUAGES': [('uk', 'Украинский'), ('en', 'Английский'), ('ru', 'Русский')], 'LANGUAGE_CODE': 'ru', 'SELECTED_LANG': 'ru', 'all_posts': '<<multilinguallanguagefilteredpostqueryset of news.Post>>', 'author_email': '[email protected]', 'languages': [{'bidi': False, 'code': 'uk', 'name': 'Ukrainian', 'name_local': 'Українська', 'name_translated': 'Украинский'}, {'bidi': False, 'code': 'en', 'name': 'English', 'name_local': 'English', 'name_translated': 'Английский'}, {'bidi': False, 'code': 'ru', 'name': 'Russian', 'name_local': 'Русский', 'name_translated': 'Русский'}], 'object': <Post: В Киеве жестоко избили известного продюсера и автора хитов KAZKA: что произошло. Фото>, 'parent_categories': '<<multilingualqueryset of news.Category>>', 'parent_categories_menu': '<<multilingualqueryset of news.Category>>', 'post': <Post: В Киеве жестоко избили известного продюсера и автора хитов KAZKA: что произошло. Фото>, 'show_banner': False, 'table_of_contents': '<<queryset of news.PostContentHeading>>', 'tags': '<<multilingualqueryset of news.Tag>>', 'tlp': <VideoPost: Кислица жестко высказался относительно переговоров в Стамбуле>, 'use_old_design': True, 'view': <news.views.post.GetPost object at 0x7f289d04f490>} {'LANGUAGE_CODE': 'ru', 'block': <Block Node: content. Contents: [<TextNode: '\n <div class="containe'>, <django.templatetags.i18n.GetCurrentLanguageNode object at 0x7f289e49b7f0>, <TextNode: '\n '>, <IfNode>, <TextNode: '\n '>, <django.templatetags.i18n.TranslateNode object at 0x7f289e49bc40>, <TextNode: '\n <img src'>, StaticNode(varname=None, path=<FilterExpression "'/news/img/base/arrow.svg'">), <TextNode: '"\n al'>, <IfNode>, <TextNode: '\n <span class='>, <Variable Node: post.fhead>, <TextNode: '\n <img src="'>, StaticNode(varname=None, path=<FilterExpression "'/news/img/base/arrow.svg'">), <TextNode: '" alt="arrow"\n '>, <Variable Node: request.build_absolute_uri|remove_query_params>, <TextNode: '">\n '>, <Block Node: post_content. Contents: [<TextNode: '\n '>, <IncludeNode: template=<FilterExpression "'news/includes/post_content.html'">>, <TextNode: '\n '>]>, <TextNode: '\n </div>\n <'>, <django.template.defaulttags.CommentNode object at 0x7f289e4945e0>, <TextNode: '\n\n<script type="text/java'>]>} {'block': <Block Node: post_content. Contents: [<TextNode: '\n '>, <IncludeNode: template=<FilterExpression "'news/includes/post_content.html'">>, <TextNode: '\n '>]>} {'LANGUAGE_CODE': 'ru', 'only_post': False, 'post': <Post: В Киеве жестоко избили известного продюсера и автора хитов KAZKA: что произошло. Фото>}
news/includes/adsense/sidebar.html
/var/www/news-site-columnist/news/templates/news/includes/adsense/sidebar.html
Контекст {'False': False, 'None': None, 'True': True} {'DEFAULT_MESSAGE_LEVELS': {'DEBUG': 10, 'ERROR': 40, 'INFO': 20, 'SUCCESS': 25, 'WARNING': 30}, 'csrf_token': '<SimpleLazyObject: <function csrf.<locals>._get_val at ' '0x7f289e136ef0>>', 'debug': True, 'messages': <SessionStorage: request=<WSGIRequest: GET '/ru/v-kieve-zhestoko-izbili-izvestnogo-prodiusera-i-avtora-khitov-kazka-chto-proizoshlo-foto-22135.html'>>, 'perms': PermWrapper(<SimpleLazyObject: <function AuthenticationMiddleware.process_request.<locals>.<lambda> at 0x7f289e137eb0>>), 'request': '<<request>>', 'sql_queries': <function debug.<locals>.<lambda> at 0x7f289e1348b0>, 'user': '<SimpleLazyObject: <function ' 'AuthenticationMiddleware.process_request.<locals>.<lambda> at ' '0x7f289e137eb0>>'} {'LANGUAGES': [('uk', 'Украинский'), ('en', 'Английский'), ('ru', 'Русский')], 'LANGUAGE_CODE': 'ru', 'SELECTED_LANG': 'ru', 'all_posts': '<<multilinguallanguagefilteredpostqueryset of news.Post>>', 'author_email': '[email protected]', 'languages': [{'bidi': False, 'code': 'uk', 'name': 'Ukrainian', 'name_local': 'Українська', 'name_translated': 'Украинский'}, {'bidi': False, 'code': 'en', 'name': 'English', 'name_local': 'English', 'name_translated': 'Английский'}, {'bidi': False, 'code': 'ru', 'name': 'Russian', 'name_local': 'Русский', 'name_translated': 'Русский'}], 'object': <Post: В Киеве жестоко избили известного продюсера и автора хитов KAZKA: что произошло. Фото>, 'parent_categories': '<<multilingualqueryset of news.Category>>', 'parent_categories_menu': '<<multilingualqueryset of news.Category>>', 'post': <Post: В Киеве жестоко избили известного продюсера и автора хитов KAZKA: что произошло. Фото>, 'show_banner': False, 'table_of_contents': '<<queryset of news.PostContentHeading>>', 'tags': '<<multilingualqueryset of news.Tag>>', 'tlp': <VideoPost: Кислица жестко высказался относительно переговоров в Стамбуле>, 'use_old_design': True, 'view': <news.views.post.GetPost object at 0x7f289d04f490>} {'LANGUAGE_CODE': 'ru', 'block': <Block Node: content. Contents: [<TextNode: '\n <div class="containe'>, <django.templatetags.i18n.GetCurrentLanguageNode object at 0x7f289e49b7f0>, <TextNode: '\n '>, <IfNode>, <TextNode: '\n '>, <django.templatetags.i18n.TranslateNode object at 0x7f289e49bc40>, <TextNode: '\n <img src'>, StaticNode(varname=None, path=<FilterExpression "'/news/img/base/arrow.svg'">), <TextNode: '"\n al'>, <IfNode>, <TextNode: '\n <span class='>, <Variable Node: post.fhead>, <TextNode: '\n <img src="'>, StaticNode(varname=None, path=<FilterExpression "'/news/img/base/arrow.svg'">), <TextNode: '" alt="arrow"\n '>, <Variable Node: request.build_absolute_uri|remove_query_params>, <TextNode: '">\n '>, <Block Node: post_content. Contents: [<TextNode: '\n '>, <IncludeNode: template=<FilterExpression "'news/includes/post_content.html'">>, <TextNode: '\n '>]>, <TextNode: '\n </div>\n <'>, <django.template.defaulttags.CommentNode object at 0x7f289e4945e0>, <TextNode: '\n\n<script type="text/java'>]>} {'block': <Block Node: post_content. Contents: [<TextNode: '\n '>, <IncludeNode: template=<FilterExpression "'news/includes/post_content.html'">>, <TextNode: '\n '>]>} {'LANGUAGE_CODE': 'ru', 'only_post': False, 'post': <Post: В Киеве жестоко избили известного продюсера и автора хитов KAZKA: что произошло. Фото>} {'block': <Block Node: sidebar. Contents: [<TextNode: '\n <div class="side'>, <IfNode>, <TextNode: '">\n <div class="si'>, <IncludeNode: template=<FilterExpression "'news/includes/adsense/sidebar.html'">>, <TextNode: '\n '>, <IfNode>, <TextNode: '\n </div>\n <'>, <django.template.library.SimpleNode object at 0x7f289e2bd900>, <TextNode: '\n <div class="si'>, <django.templatetags.i18n.TranslateNode object at 0x7f289e2bd990>, <TextNode: '</h3>\n </div'>, <django.templatetags.i18n.TranslateNode object at 0x7f289e2bda50>, <TextNode: '</span>\n <'>, <django.templatetags.i18n.TranslateNode object at 0x7f289e2bdae0>, <TextNode: '</span>\n <'>, <django.templatetags.i18n.TranslateNode object at 0x7f289e2bdb70>, <TextNode: '</span>\n <'>, <django.templatetags.i18n.TranslateNode object at 0x7f289e2bdc00>, <TextNode: '</span>\n </d'>, <Variable Node: post.theme.id>, <TextNode: '"\n data'>, <IncludeNode: template=<FilterExpression "'news/includes/post_list.html'">>, <TextNode: '</div>\n <div'>, <Variable Node: post.theme.id>, <TextNode: '"\n data'>, <IncludeNode: template=<FilterExpression "'news/includes/post_list.html'">>, <TextNode: '</div>\n <div'>, <Variable Node: post.theme.id>, <TextNode: '"\n data'>, <IncludeNode: template=<FilterExpression "'news/includes/post_list.html'">>, <TextNode: '</div>\n <div'>, <Variable Node: post.theme.id>, <TextNode: '"\n data'>, <IncludeNode: template=<FilterExpression "'news/includes/post_list.html'">>, <TextNode: '</div>\n <but'>, <django.templatetags.i18n.TranslateNode object at 0x7f289e2be290>, <TextNode: '</span>\n </b'>, <TextNode: '\n </div>\n </d'>]>}
news/includes/news_sidebars/sidebar.html
/var/www/news-site-columnist/news/templates/news/includes/news_sidebars/sidebar.html
Контекст {'False': False, 'None': None, 'True': True} {'SELECTED_LANG': 'ru', 'all_posts': '<<multilinguallanguagefilteredpostqueryset of news.Post>>', 'articles': '<<multilinguallanguagefilteredpostqueryset of news.Post>>', 'at_news_feed_filter': True, 'banner': True, 'is_video': False, 'news': '<<multilinguallanguagefilteredpostqueryset of news.Post>>', 'sidebar_class': 'sidebar-last', 'tlp': <VideoPost: Кислица жестко высказался относительно переговоров в Стамбуле>, 'videoNews': '<<multilingualpostqueryset of news.VideoPost>>'}
new-design/includes/news_sidebars/post_list_quick.html
/var/www/news-site-columnist/news/templates/new-design/includes/news_sidebars/post_list_quick.html
Контекст {'False': False, 'None': None, 'True': True} {'SELECTED_LANG': 'ru', 'all_posts': '<<multilinguallanguagefilteredpostqueryset of news.Post>>', 'articles': '<<multilinguallanguagefilteredpostqueryset of news.Post>>', 'at_news_feed_filter': True, 'banner': True, 'is_video': False, 'news': '<<multilinguallanguagefilteredpostqueryset of news.Post>>', 'sidebar_class': 'sidebar-last', 'tlp': <VideoPost: Кислица жестко высказался относительно переговоров в Стамбуле>, 'videoNews': '<<multilingualpostqueryset of news.VideoPost>>'} {'LANGUAGE_CODE': 'ru', 'class': 'sidebar-last', 'hasTelegram': True, 'newslist': [GroupedResult(grouper='11 сентября 2025', list=[<Post: Украинцы зарабатывают на ломе металлов — взимают ли с них налоги>, <Post: Не все украинцы должны платить туристический сбор — у кого льготы>, <Post: Некоторые украинцы могут выйти на пенсию в 55 лет — кто льготники>, <Post: Будущие пенсии военных — в ПФУ уточнили правила по стажу>, <Post: Россияне застряли в Анталии — причину им не говорят>]), GroupedResult(grouper='10 сентября 2025', list=[<Post: Цены на мобильную связь — к чему готовиться абонентам lifecell>, <Post: Евро старого образца — какого года купюры уже недействительны>, <Post: Правила пересечения границы с валютой — что знают не все украинцы>, <Post: ВР хочет изменить правила недвижимости — что ждет украинцев>, <Post: Карманные для подростка — какую сумму давать ребенку в 15 лет>])], 'object_list': '<<multilinguallanguagefilteredpostqueryset of news.Post>>'}
new-design/includes/news_sidebars/post_list_quick.html
/var/www/news-site-columnist/news/templates/new-design/includes/news_sidebars/post_list_quick.html
Контекст {'False': False, 'None': None, 'True': True} {'SELECTED_LANG': 'ru', 'all_posts': '<<multilinguallanguagefilteredpostqueryset of news.Post>>', 'articles': '<<multilinguallanguagefilteredpostqueryset of news.Post>>', 'at_news_feed_filter': True, 'banner': True, 'is_video': False, 'news': '<<multilinguallanguagefilteredpostqueryset of news.Post>>', 'sidebar_class': 'sidebar-last', 'tlp': <VideoPost: Кислица жестко высказался относительно переговоров в Стамбуле>, 'videoNews': '<<multilingualpostqueryset of news.VideoPost>>'} {'LANGUAGE_CODE': 'ru', 'class': 'sidebar-last', 'hasTelegram': True, 'newslist': [GroupedResult(grouper='11 сентября 2025', list=[<Post: Украинцы зарабатывают на ломе металлов — взимают ли с них налоги>, <Post: Не все украинцы должны платить туристический сбор — у кого льготы>, <Post: Некоторые украинцы могут выйти на пенсию в 55 лет — кто льготники>, <Post: Будущие пенсии военных — в ПФУ уточнили правила по стажу>, <Post: Россияне застряли в Анталии — причину им не говорят>]), GroupedResult(grouper='10 сентября 2025', list=[<Post: Цены на мобильную связь — к чему готовиться абонентам lifecell>, <Post: Евро старого образца — какого года купюры уже недействительны>, <Post: Правила пересечения границы с валютой — что знают не все украинцы>, <Post: ВР хочет изменить правила недвижимости — что ждет украинцев>, <Post: Карманные для подростка — какую сумму давать ребенку в 15 лет>])], 'object_list': '<<multilinguallanguagefilteredpostqueryset of news.Post>>'}
new-design/includes/news_sidebars/post_list_quick.html
/var/www/news-site-columnist/news/templates/new-design/includes/news_sidebars/post_list_quick.html
Контекст {'False': False, 'None': None, 'True': True} {'SELECTED_LANG': 'ru', 'all_posts': '<<multilinguallanguagefilteredpostqueryset of news.Post>>', 'articles': '<<multilinguallanguagefilteredpostqueryset of news.Post>>', 'at_news_feed_filter': True, 'banner': True, 'is_video': False, 'news': '<<multilinguallanguagefilteredpostqueryset of news.Post>>', 'sidebar_class': 'sidebar-last', 'tlp': <VideoPost: Кислица жестко высказался относительно переговоров в Стамбуле>, 'videoNews': '<<multilingualpostqueryset of news.VideoPost>>'} {'LANGUAGE_CODE': 'ru', 'class': 'sidebar-last', 'hasTelegram': True, 'newslist': [GroupedResult(grouper='8 сентября 2025', list=[<Post: За что любят Одессу и как сделать ее привлекательной уже сегодня>]), GroupedResult(grouper='7 сентября 2025', list=[<Post: Подготовка пляжей и отелей — каким будет лето в Одессе 2025>, <Post: Свежие овощи и фрукты — как изменились цены на одесском базаре>]), GroupedResult(grouper='6 сентября 2025', list=[<Post: Ситуация на полях — будет ли Одесская область с зерном и овощами>]), GroupedResult(grouper='5 сентября 2025', list=[<Post: Переговоры в Турции — каких результатов стоит ожидать>, <Post: Выборы в Польше — почему не стоит паниковать в Украине>]), GroupedResult(grouper='4 сентября 2025', list=[<Post: Нужно ли Украине ядерное оружие — что думают об этом одесситы>]), GroupedResult(grouper='1 сентября 2025', list=[<Post: Отдых во время войны — что планируют одесситы>]), GroupedResult(grouper='31 августа 2025', list=[<Post: Фрукты и овощи дешевеют — актуальные цены на одесском рынке>]), GroupedResult(grouper='30 августа 2025', list=[<Post: Лето в Одессе 2025 — безопасно ли ехать на отдых к морю>])], 'object_list': '<<multilinguallanguagefilteredpostqueryset of news.Post>>'}
new-design/includes/news_sidebars/post_list_quick.html
/var/www/news-site-columnist/news/templates/new-design/includes/news_sidebars/post_list_quick.html
Контекст {'False': False, 'None': None, 'True': True} {'SELECTED_LANG': 'ru', 'all_posts': '<<multilinguallanguagefilteredpostqueryset of news.Post>>', 'articles': '<<multilinguallanguagefilteredpostqueryset of news.Post>>', 'at_news_feed_filter': True, 'banner': True, 'is_video': False, 'news': '<<multilinguallanguagefilteredpostqueryset of news.Post>>', 'sidebar_class': 'sidebar-last', 'tlp': <VideoPost: Кислица жестко высказался относительно переговоров в Стамбуле>, 'videoNews': '<<multilingualpostqueryset of news.VideoPost>>'} {'LANGUAGE_CODE': 'ru', 'class': 'sidebar-last', 'hasTelegram': True, 'newslist': [GroupedResult(grouper='9 сентября 2025', list=[<VideoPost: Кислица жестко высказался относительно переговоров в Стамбуле>]), GroupedResult(grouper='8 сентября 2025', list=[<VideoPost: Завышенные цены в тендерах и бюджет Киева — эфир Наша справа>, <VideoPost: Мерц сделал заявление после разговора с Трампом — эфир Вечер.LIVE>, <VideoPost: РФ осуществила рекордный удар по Украине — эфир День.LIVE>, <VideoPost: В Раде ответили, планируется ли восстановление Каховской ГЭС>])], 'object_list': '<<multilingualpostqueryset of news.VideoPost>>'}
news/includes/post_list.html
/var/www/news-site-columnist/news/templates/news/includes/post_list.html
Контекст {'False': False, 'None': None, 'True': True} {'DEFAULT_MESSAGE_LEVELS': {'DEBUG': 10, 'ERROR': 40, 'INFO': 20, 'SUCCESS': 25, 'WARNING': 30}, 'csrf_token': '<SimpleLazyObject: <function csrf.<locals>._get_val at ' '0x7f289e136ef0>>', 'debug': True, 'messages': <SessionStorage: request=<WSGIRequest: GET '/ru/v-kieve-zhestoko-izbili-izvestnogo-prodiusera-i-avtora-khitov-kazka-chto-proizoshlo-foto-22135.html'>>, 'perms': PermWrapper(<SimpleLazyObject: <function AuthenticationMiddleware.process_request.<locals>.<lambda> at 0x7f289e137eb0>>), 'request': '<<request>>', 'sql_queries': <function debug.<locals>.<lambda> at 0x7f289e1348b0>, 'user': '<SimpleLazyObject: <function ' 'AuthenticationMiddleware.process_request.<locals>.<lambda> at ' '0x7f289e137eb0>>'} {'LANGUAGES': [('uk', 'Украинский'), ('en', 'Английский'), ('ru', 'Русский')], 'LANGUAGE_CODE': 'ru', 'SELECTED_LANG': 'ru', 'all_posts': '<<multilinguallanguagefilteredpostqueryset of news.Post>>', 'author_email': '[email protected]', 'languages': [{'bidi': False, 'code': 'uk', 'name': 'Ukrainian', 'name_local': 'Українська', 'name_translated': 'Украинский'}, {'bidi': False, 'code': 'en', 'name': 'English', 'name_local': 'English', 'name_translated': 'Английский'}, {'bidi': False, 'code': 'ru', 'name': 'Russian', 'name_local': 'Русский', 'name_translated': 'Русский'}], 'object': <Post: В Киеве жестоко избили известного продюсера и автора хитов KAZKA: что произошло. Фото>, 'parent_categories': '<<multilingualqueryset of news.Category>>', 'parent_categories_menu': '<<multilingualqueryset of news.Category>>', 'post': <Post: В Киеве жестоко избили известного продюсера и автора хитов KAZKA: что произошло. Фото>, 'show_banner': False, 'table_of_contents': '<<queryset of news.PostContentHeading>>', 'tags': '<<multilingualqueryset of news.Tag>>', 'tlp': <VideoPost: Кислица жестко высказался относительно переговоров в Стамбуле>, 'use_old_design': True, 'view': <news.views.post.GetPost object at 0x7f289d04f490>} {'LANGUAGE_CODE': 'ru', 'block': <Block Node: content. Contents: [<TextNode: '\n <div class="containe'>, <django.templatetags.i18n.GetCurrentLanguageNode object at 0x7f289e49b7f0>, <TextNode: '\n '>, <IfNode>, <TextNode: '\n '>, <django.templatetags.i18n.TranslateNode object at 0x7f289e49bc40>, <TextNode: '\n <img src'>, StaticNode(varname=None, path=<FilterExpression "'/news/img/base/arrow.svg'">), <TextNode: '"\n al'>, <IfNode>, <TextNode: '\n <span class='>, <Variable Node: post.fhead>, <TextNode: '\n <img src="'>, StaticNode(varname=None, path=<FilterExpression "'/news/img/base/arrow.svg'">), <TextNode: '" alt="arrow"\n '>, <Variable Node: request.build_absolute_uri|remove_query_params>, <TextNode: '">\n '>, <Block Node: post_content. Contents: [<TextNode: '\n '>, <IncludeNode: template=<FilterExpression "'news/includes/post_content.html'">>, <TextNode: '\n '>]>, <TextNode: '\n </div>\n <'>, <django.template.defaulttags.CommentNode object at 0x7f289e4945e0>, <TextNode: '\n\n<script type="text/java'>]>} {'block': <Block Node: post_content. Contents: [<TextNode: '\n '>, <IncludeNode: template=<FilterExpression "'news/includes/post_content.html'">>, <TextNode: '\n '>]>} {'LANGUAGE_CODE': 'ru', 'only_post': False, 'post': <Post: В Киеве жестоко избили известного продюсера и автора хитов KAZKA: что произошло. Фото>} {'block': <Block Node: sidebar. Contents: [<TextNode: '\n <div class="side'>, <IfNode>, <TextNode: '">\n <div class="si'>, <IncludeNode: template=<FilterExpression "'news/includes/adsense/sidebar.html'">>, <TextNode: '\n '>, <IfNode>, <TextNode: '\n </div>\n <'>, <django.template.library.SimpleNode object at 0x7f289e2bd900>, <TextNode: '\n <div class="si'>, <django.templatetags.i18n.TranslateNode object at 0x7f289e2bd990>, <TextNode: '</h3>\n </div'>, <django.templatetags.i18n.TranslateNode object at 0x7f289e2bda50>, <TextNode: '</span>\n <'>, <django.templatetags.i18n.TranslateNode object at 0x7f289e2bdae0>, <TextNode: '</span>\n <'>, <django.templatetags.i18n.TranslateNode object at 0x7f289e2bdb70>, <TextNode: '</span>\n <'>, <django.templatetags.i18n.TranslateNode object at 0x7f289e2bdc00>, <TextNode: '</span>\n </d'>, <Variable Node: post.theme.id>, <TextNode: '"\n data'>, <IncludeNode: template=<FilterExpression "'news/includes/post_list.html'">>, <TextNode: '</div>\n <div'>, <Variable Node: post.theme.id>, <TextNode: '"\n data'>, <IncludeNode: template=<FilterExpression "'news/includes/post_list.html'">>, <TextNode: '</div>\n <div'>, <Variable Node: post.theme.id>, <TextNode: '"\n data'>, <IncludeNode: template=<FilterExpression "'news/includes/post_list.html'">>, <TextNode: '</div>\n <div'>, <Variable Node: post.theme.id>, <TextNode: '"\n data'>, <IncludeNode: template=<FilterExpression "'news/includes/post_list.html'">>, <TextNode: '</div>\n <but'>, <django.templatetags.i18n.TranslateNode object at 0x7f289e2be290>, <TextNode: '</span>\n </b'>, <TextNode: '\n </div>\n </d'>]>} {'LANGUAGE_CODE': 'ru', 'newslist': [], 'object_list': '<<multilinguallanguagefilteredpostqueryset of news.Post>>'}
news/includes/post_list.html
/var/www/news-site-columnist/news/templates/news/includes/post_list.html
Контекст {'False': False, 'None': None, 'True': True} {'DEFAULT_MESSAGE_LEVELS': {'DEBUG': 10, 'ERROR': 40, 'INFO': 20, 'SUCCESS': 25, 'WARNING': 30}, 'csrf_token': '<SimpleLazyObject: <function csrf.<locals>._get_val at ' '0x7f289e136ef0>>', 'debug': True, 'messages': <SessionStorage: request=<WSGIRequest: GET '/ru/v-kieve-zhestoko-izbili-izvestnogo-prodiusera-i-avtora-khitov-kazka-chto-proizoshlo-foto-22135.html'>>, 'perms': PermWrapper(<SimpleLazyObject: <function AuthenticationMiddleware.process_request.<locals>.<lambda> at 0x7f289e137eb0>>), 'request': '<<request>>', 'sql_queries': <function debug.<locals>.<lambda> at 0x7f289e1348b0>, 'user': '<SimpleLazyObject: <function ' 'AuthenticationMiddleware.process_request.<locals>.<lambda> at ' '0x7f289e137eb0>>'} {'LANGUAGES': [('uk', 'Украинский'), ('en', 'Английский'), ('ru', 'Русский')], 'LANGUAGE_CODE': 'ru', 'SELECTED_LANG': 'ru', 'all_posts': '<<multilinguallanguagefilteredpostqueryset of news.Post>>', 'author_email': '[email protected]', 'languages': [{'bidi': False, 'code': 'uk', 'name': 'Ukrainian', 'name_local': 'Українська', 'name_translated': 'Украинский'}, {'bidi': False, 'code': 'en', 'name': 'English', 'name_local': 'English', 'name_translated': 'Английский'}, {'bidi': False, 'code': 'ru', 'name': 'Russian', 'name_local': 'Русский', 'name_translated': 'Русский'}], 'object': <Post: В Киеве жестоко избили известного продюсера и автора хитов KAZKA: что произошло. Фото>, 'parent_categories': '<<multilingualqueryset of news.Category>>', 'parent_categories_menu': '<<multilingualqueryset of news.Category>>', 'post': <Post: В Киеве жестоко избили известного продюсера и автора хитов KAZKA: что произошло. Фото>, 'show_banner': False, 'table_of_contents': '<<queryset of news.PostContentHeading>>', 'tags': '<<multilingualqueryset of news.Tag>>', 'tlp': <VideoPost: Кислица жестко высказался относительно переговоров в Стамбуле>, 'use_old_design': True, 'view': <news.views.post.GetPost object at 0x7f289d04f490>} {'LANGUAGE_CODE': 'ru', 'block': <Block Node: content. Contents: [<TextNode: '\n <div class="containe'>, <django.templatetags.i18n.GetCurrentLanguageNode object at 0x7f289e49b7f0>, <TextNode: '\n '>, <IfNode>, <TextNode: '\n '>, <django.templatetags.i18n.TranslateNode object at 0x7f289e49bc40>, <TextNode: '\n <img src'>, StaticNode(varname=None, path=<FilterExpression "'/news/img/base/arrow.svg'">), <TextNode: '"\n al'>, <IfNode>, <TextNode: '\n <span class='>, <Variable Node: post.fhead>, <TextNode: '\n <img src="'>, StaticNode(varname=None, path=<FilterExpression "'/news/img/base/arrow.svg'">), <TextNode: '" alt="arrow"\n '>, <Variable Node: request.build_absolute_uri|remove_query_params>, <TextNode: '">\n '>, <Block Node: post_content. Contents: [<TextNode: '\n '>, <IncludeNode: template=<FilterExpression "'news/includes/post_content.html'">>, <TextNode: '\n '>]>, <TextNode: '\n </div>\n <'>, <django.template.defaulttags.CommentNode object at 0x7f289e4945e0>, <TextNode: '\n\n<script type="text/java'>]>} {'block': <Block Node: post_content. Contents: [<TextNode: '\n '>, <IncludeNode: template=<FilterExpression "'news/includes/post_content.html'">>, <TextNode: '\n '>]>} {'LANGUAGE_CODE': 'ru', 'only_post': False, 'post': <Post: В Киеве жестоко избили известного продюсера и автора хитов KAZKA: что произошло. Фото>} {'block': <Block Node: sidebar. Contents: [<TextNode: '\n <div class="side'>, <IfNode>, <TextNode: '">\n <div class="si'>, <IncludeNode: template=<FilterExpression "'news/includes/adsense/sidebar.html'">>, <TextNode: '\n '>, <IfNode>, <TextNode: '\n </div>\n <'>, <django.template.library.SimpleNode object at 0x7f289e2bd900>, <TextNode: '\n <div class="si'>, <django.templatetags.i18n.TranslateNode object at 0x7f289e2bd990>, <TextNode: '</h3>\n </div'>, <django.templatetags.i18n.TranslateNode object at 0x7f289e2bda50>, <TextNode: '</span>\n <'>, <django.templatetags.i18n.TranslateNode object at 0x7f289e2bdae0>, <TextNode: '</span>\n <'>, <django.templatetags.i18n.TranslateNode object at 0x7f289e2bdb70>, <TextNode: '</span>\n <'>, <django.templatetags.i18n.TranslateNode object at 0x7f289e2bdc00>, <TextNode: '</span>\n </d'>, <Variable Node: post.theme.id>, <TextNode: '"\n data'>, <IncludeNode: template=<FilterExpression "'news/includes/post_list.html'">>, <TextNode: '</div>\n <div'>, <Variable Node: post.theme.id>, <TextNode: '"\n data'>, <IncludeNode: template=<FilterExpression "'news/includes/post_list.html'">>, <TextNode: '</div>\n <div'>, <Variable Node: post.theme.id>, <TextNode: '"\n data'>, <IncludeNode: template=<FilterExpression "'news/includes/post_list.html'">>, <TextNode: '</div>\n <div'>, <Variable Node: post.theme.id>, <TextNode: '"\n data'>, <IncludeNode: template=<FilterExpression "'news/includes/post_list.html'">>, <TextNode: '</div>\n <but'>, <django.templatetags.i18n.TranslateNode object at 0x7f289e2be290>, <TextNode: '</span>\n </b'>, <TextNode: '\n </div>\n </d'>]>} {'LANGUAGE_CODE': 'ru', 'newslist': [], 'object_list': ''}
news/includes/post_list.html
/var/www/news-site-columnist/news/templates/news/includes/post_list.html
Контекст {'False': False, 'None': None, 'True': True} {'DEFAULT_MESSAGE_LEVELS': {'DEBUG': 10, 'ERROR': 40, 'INFO': 20, 'SUCCESS': 25, 'WARNING': 30}, 'csrf_token': '<SimpleLazyObject: <function csrf.<locals>._get_val at ' '0x7f289e136ef0>>', 'debug': True, 'messages': <SessionStorage: request=<WSGIRequest: GET '/ru/v-kieve-zhestoko-izbili-izvestnogo-prodiusera-i-avtora-khitov-kazka-chto-proizoshlo-foto-22135.html'>>, 'perms': PermWrapper(<SimpleLazyObject: <function AuthenticationMiddleware.process_request.<locals>.<lambda> at 0x7f289e137eb0>>), 'request': '<<request>>', 'sql_queries': <function debug.<locals>.<lambda> at 0x7f289e1348b0>, 'user': '<SimpleLazyObject: <function ' 'AuthenticationMiddleware.process_request.<locals>.<lambda> at ' '0x7f289e137eb0>>'} {'LANGUAGES': [('uk', 'Украинский'), ('en', 'Английский'), ('ru', 'Русский')], 'LANGUAGE_CODE': 'ru', 'SELECTED_LANG': 'ru', 'all_posts': '<<multilinguallanguagefilteredpostqueryset of news.Post>>', 'author_email': '[email protected]', 'languages': [{'bidi': False, 'code': 'uk', 'name': 'Ukrainian', 'name_local': 'Українська', 'name_translated': 'Украинский'}, {'bidi': False, 'code': 'en', 'name': 'English', 'name_local': 'English', 'name_translated': 'Английский'}, {'bidi': False, 'code': 'ru', 'name': 'Russian', 'name_local': 'Русский', 'name_translated': 'Русский'}], 'object': <Post: В Киеве жестоко избили известного продюсера и автора хитов KAZKA: что произошло. Фото>, 'parent_categories': '<<multilingualqueryset of news.Category>>', 'parent_categories_menu': '<<multilingualqueryset of news.Category>>', 'post': <Post: В Киеве жестоко избили известного продюсера и автора хитов KAZKA: что произошло. Фото>, 'show_banner': False, 'table_of_contents': '<<queryset of news.PostContentHeading>>', 'tags': '<<multilingualqueryset of news.Tag>>', 'tlp': <VideoPost: Кислица жестко высказался относительно переговоров в Стамбуле>, 'use_old_design': True, 'view': <news.views.post.GetPost object at 0x7f289d04f490>} {'LANGUAGE_CODE': 'ru', 'block': <Block Node: content. Contents: [<TextNode: '\n <div class="containe'>, <django.templatetags.i18n.GetCurrentLanguageNode object at 0x7f289e49b7f0>, <TextNode: '\n '>, <IfNode>, <TextNode: '\n '>, <django.templatetags.i18n.TranslateNode object at 0x7f289e49bc40>, <TextNode: '\n <img src'>, StaticNode(varname=None, path=<FilterExpression "'/news/img/base/arrow.svg'">), <TextNode: '"\n al'>, <IfNode>, <TextNode: '\n <span class='>, <Variable Node: post.fhead>, <TextNode: '\n <img src="'>, StaticNode(varname=None, path=<FilterExpression "'/news/img/base/arrow.svg'">), <TextNode: '" alt="arrow"\n '>, <Variable Node: request.build_absolute_uri|remove_query_params>, <TextNode: '">\n '>, <Block Node: post_content. Contents: [<TextNode: '\n '>, <IncludeNode: template=<FilterExpression "'news/includes/post_content.html'">>, <TextNode: '\n '>]>, <TextNode: '\n </div>\n <'>, <django.template.defaulttags.CommentNode object at 0x7f289e4945e0>, <TextNode: '\n\n<script type="text/java'>]>} {'block': <Block Node: post_content. Contents: [<TextNode: '\n '>, <IncludeNode: template=<FilterExpression "'news/includes/post_content.html'">>, <TextNode: '\n '>]>} {'LANGUAGE_CODE': 'ru', 'only_post': False, 'post': <Post: В Киеве жестоко избили известного продюсера и автора хитов KAZKA: что произошло. Фото>} {'block': <Block Node: sidebar. Contents: [<TextNode: '\n <div class="side'>, <IfNode>, <TextNode: '">\n <div class="si'>, <IncludeNode: template=<FilterExpression "'news/includes/adsense/sidebar.html'">>, <TextNode: '\n '>, <IfNode>, <TextNode: '\n </div>\n <'>, <django.template.library.SimpleNode object at 0x7f289e2bd900>, <TextNode: '\n <div class="si'>, <django.templatetags.i18n.TranslateNode object at 0x7f289e2bd990>, <TextNode: '</h3>\n </div'>, <django.templatetags.i18n.TranslateNode object at 0x7f289e2bda50>, <TextNode: '</span>\n <'>, <django.templatetags.i18n.TranslateNode object at 0x7f289e2bdae0>, <TextNode: '</span>\n <'>, <django.templatetags.i18n.TranslateNode object at 0x7f289e2bdb70>, <TextNode: '</span>\n <'>, <django.templatetags.i18n.TranslateNode object at 0x7f289e2bdc00>, <TextNode: '</span>\n </d'>, <Variable Node: post.theme.id>, <TextNode: '"\n data'>, <IncludeNode: template=<FilterExpression "'news/includes/post_list.html'">>, <TextNode: '</div>\n <div'>, <Variable Node: post.theme.id>, <TextNode: '"\n data'>, <IncludeNode: template=<FilterExpression "'news/includes/post_list.html'">>, <TextNode: '</div>\n <div'>, <Variable Node: post.theme.id>, <TextNode: '"\n data'>, <IncludeNode: template=<FilterExpression "'news/includes/post_list.html'">>, <TextNode: '</div>\n <div'>, <Variable Node: post.theme.id>, <TextNode: '"\n data'>, <IncludeNode: template=<FilterExpression "'news/includes/post_list.html'">>, <TextNode: '</div>\n <but'>, <django.templatetags.i18n.TranslateNode object at 0x7f289e2be290>, <TextNode: '</span>\n </b'>, <TextNode: '\n </div>\n </d'>]>} {'LANGUAGE_CODE': 'ru', 'newslist': [], 'object_list': ''}
news/includes/post_list.html
/var/www/news-site-columnist/news/templates/news/includes/post_list.html
Контекст {'False': False, 'None': None, 'True': True} {'DEFAULT_MESSAGE_LEVELS': {'DEBUG': 10, 'ERROR': 40, 'INFO': 20, 'SUCCESS': 25, 'WARNING': 30}, 'csrf_token': '<SimpleLazyObject: <function csrf.<locals>._get_val at ' '0x7f289e136ef0>>', 'debug': True, 'messages': <SessionStorage: request=<WSGIRequest: GET '/ru/v-kieve-zhestoko-izbili-izvestnogo-prodiusera-i-avtora-khitov-kazka-chto-proizoshlo-foto-22135.html'>>, 'perms': PermWrapper(<SimpleLazyObject: <function AuthenticationMiddleware.process_request.<locals>.<lambda> at 0x7f289e137eb0>>), 'request': '<<request>>', 'sql_queries': <function debug.<locals>.<lambda> at 0x7f289e1348b0>, 'user': '<SimpleLazyObject: <function ' 'AuthenticationMiddleware.process_request.<locals>.<lambda> at ' '0x7f289e137eb0>>'} {'LANGUAGES': [('uk', 'Украинский'), ('en', 'Английский'), ('ru', 'Русский')], 'LANGUAGE_CODE': 'ru', 'SELECTED_LANG': 'ru', 'all_posts': '<<multilinguallanguagefilteredpostqueryset of news.Post>>', 'author_email': '[email protected]', 'languages': [{'bidi': False, 'code': 'uk', 'name': 'Ukrainian', 'name_local': 'Українська', 'name_translated': 'Украинский'}, {'bidi': False, 'code': 'en', 'name': 'English', 'name_local': 'English', 'name_translated': 'Английский'}, {'bidi': False, 'code': 'ru', 'name': 'Russian', 'name_local': 'Русский', 'name_translated': 'Русский'}], 'object': <Post: В Киеве жестоко избили известного продюсера и автора хитов KAZKA: что произошло. Фото>, 'parent_categories': '<<multilingualqueryset of news.Category>>', 'parent_categories_menu': '<<multilingualqueryset of news.Category>>', 'post': <Post: В Киеве жестоко избили известного продюсера и автора хитов KAZKA: что произошло. Фото>, 'show_banner': False, 'table_of_contents': '<<queryset of news.PostContentHeading>>', 'tags': '<<multilingualqueryset of news.Tag>>', 'tlp': <VideoPost: Кислица жестко высказался относительно переговоров в Стамбуле>, 'use_old_design': True, 'view': <news.views.post.GetPost object at 0x7f289d04f490>} {'LANGUAGE_CODE': 'ru', 'block': <Block Node: content. Contents: [<TextNode: '\n <div class="containe'>, <django.templatetags.i18n.GetCurrentLanguageNode object at 0x7f289e49b7f0>, <TextNode: '\n '>, <IfNode>, <TextNode: '\n '>, <django.templatetags.i18n.TranslateNode object at 0x7f289e49bc40>, <TextNode: '\n <img src'>, StaticNode(varname=None, path=<FilterExpression "'/news/img/base/arrow.svg'">), <TextNode: '"\n al'>, <IfNode>, <TextNode: '\n <span class='>, <Variable Node: post.fhead>, <TextNode: '\n <img src="'>, StaticNode(varname=None, path=<FilterExpression "'/news/img/base/arrow.svg'">), <TextNode: '" alt="arrow"\n '>, <Variable Node: request.build_absolute_uri|remove_query_params>, <TextNode: '">\n '>, <Block Node: post_content. Contents: [<TextNode: '\n '>, <IncludeNode: template=<FilterExpression "'news/includes/post_content.html'">>, <TextNode: '\n '>]>, <TextNode: '\n </div>\n <'>, <django.template.defaulttags.CommentNode object at 0x7f289e4945e0>, <TextNode: '\n\n<script type="text/java'>]>} {'block': <Block Node: post_content. Contents: [<TextNode: '\n '>, <IncludeNode: template=<FilterExpression "'news/includes/post_content.html'">>, <TextNode: '\n '>]>} {'LANGUAGE_CODE': 'ru', 'only_post': False, 'post': <Post: В Киеве жестоко избили известного продюсера и автора хитов KAZKA: что произошло. Фото>} {'block': <Block Node: sidebar. Contents: [<TextNode: '\n <div class="side'>, <IfNode>, <TextNode: '">\n <div class="si'>, <IncludeNode: template=<FilterExpression "'news/includes/adsense/sidebar.html'">>, <TextNode: '\n '>, <IfNode>, <TextNode: '\n </div>\n <'>, <django.template.library.SimpleNode object at 0x7f289e2bd900>, <TextNode: '\n <div class="si'>, <django.templatetags.i18n.TranslateNode object at 0x7f289e2bd990>, <TextNode: '</h3>\n </div'>, <django.templatetags.i18n.TranslateNode object at 0x7f289e2bda50>, <TextNode: '</span>\n <'>, <django.templatetags.i18n.TranslateNode object at 0x7f289e2bdae0>, <TextNode: '</span>\n <'>, <django.templatetags.i18n.TranslateNode object at 0x7f289e2bdb70>, <TextNode: '</span>\n <'>, <django.templatetags.i18n.TranslateNode object at 0x7f289e2bdc00>, <TextNode: '</span>\n </d'>, <Variable Node: post.theme.id>, <TextNode: '"\n data'>, <IncludeNode: template=<FilterExpression "'news/includes/post_list.html'">>, <TextNode: '</div>\n <div'>, <Variable Node: post.theme.id>, <TextNode: '"\n data'>, <IncludeNode: template=<FilterExpression "'news/includes/post_list.html'">>, <TextNode: '</div>\n <div'>, <Variable Node: post.theme.id>, <TextNode: '"\n data'>, <IncludeNode: template=<FilterExpression "'news/includes/post_list.html'">>, <TextNode: '</div>\n <div'>, <Variable Node: post.theme.id>, <TextNode: '"\n data'>, <IncludeNode: template=<FilterExpression "'news/includes/post_list.html'">>, <TextNode: '</div>\n <but'>, <django.templatetags.i18n.TranslateNode object at 0x7f289e2be290>, <TextNode: '</span>\n </b'>, <TextNode: '\n </div>\n </d'>]>} {'LANGUAGE_CODE': 'ru', 'newslist': [], 'object_list': ''}
new-design/components/footer.html
/var/www/news-site-columnist/news/templates/new-design/components/footer.html
Контекст {'False': False, 'None': None, 'True': True} {'DEFAULT_MESSAGE_LEVELS': {'DEBUG': 10, 'ERROR': 40, 'INFO': 20, 'SUCCESS': 25, 'WARNING': 30}, 'csrf_token': '<SimpleLazyObject: <function csrf.<locals>._get_val at ' '0x7f289e136ef0>>', 'debug': True, 'messages': <SessionStorage: request=<WSGIRequest: GET '/ru/v-kieve-zhestoko-izbili-izvestnogo-prodiusera-i-avtora-khitov-kazka-chto-proizoshlo-foto-22135.html'>>, 'perms': PermWrapper(<SimpleLazyObject: <function AuthenticationMiddleware.process_request.<locals>.<lambda> at 0x7f289e137eb0>>), 'request': '<<request>>', 'sql_queries': <function debug.<locals>.<lambda> at 0x7f289e1348b0>, 'user': '<SimpleLazyObject: <function ' 'AuthenticationMiddleware.process_request.<locals>.<lambda> at ' '0x7f289e137eb0>>'} {'LANGUAGES': [('uk', 'Украинский'), ('en', 'Английский'), ('ru', 'Русский')], 'LANGUAGE_CODE': 'ru', 'SELECTED_LANG': 'ru', 'all_posts': '<<multilinguallanguagefilteredpostqueryset of news.Post>>', 'author_email': '[email protected]', 'languages': [{'bidi': False, 'code': 'uk', 'name': 'Ukrainian', 'name_local': 'Українська', 'name_translated': 'Украинский'}, {'bidi': False, 'code': 'en', 'name': 'English', 'name_local': 'English', 'name_translated': 'Английский'}, {'bidi': False, 'code': 'ru', 'name': 'Russian', 'name_local': 'Русский', 'name_translated': 'Русский'}], 'object': <Post: В Киеве жестоко избили известного продюсера и автора хитов KAZKA: что произошло. Фото>, 'parent_categories': '<<multilingualqueryset of news.Category>>', 'parent_categories_menu': '<<multilingualqueryset of news.Category>>', 'post': <Post: В Киеве жестоко избили известного продюсера и автора хитов KAZKA: что произошло. Фото>, 'show_banner': False, 'table_of_contents': '<<queryset of news.PostContentHeading>>', 'tags': '<<multilingualqueryset of news.Tag>>', 'tlp': <VideoPost: Кислица жестко высказался относительно переговоров в Стамбуле>, 'use_old_design': True, 'view': <news.views.post.GetPost object at 0x7f289d04f490>}
new-design/components/socials-list.html
/var/www/news-site-columnist/news/templates/new-design/components/socials-list.html
Контекст {'False': False, 'None': None, 'True': True} {'DEFAULT_MESSAGE_LEVELS': {'DEBUG': 10, 'ERROR': 40, 'INFO': 20, 'SUCCESS': 25, 'WARNING': 30}, 'csrf_token': '<SimpleLazyObject: <function csrf.<locals>._get_val at ' '0x7f289e136ef0>>', 'debug': True, 'messages': <SessionStorage: request=<WSGIRequest: GET '/ru/v-kieve-zhestoko-izbili-izvestnogo-prodiusera-i-avtora-khitov-kazka-chto-proizoshlo-foto-22135.html'>>, 'perms': PermWrapper(<SimpleLazyObject: <function AuthenticationMiddleware.process_request.<locals>.<lambda> at 0x7f289e137eb0>>), 'request': '<<request>>', 'sql_queries': <function debug.<locals>.<lambda> at 0x7f289e1348b0>, 'user': '<SimpleLazyObject: <function ' 'AuthenticationMiddleware.process_request.<locals>.<lambda> at ' '0x7f289e137eb0>>'} {'LANGUAGES': [('uk', 'Украинский'), ('en', 'Английский'), ('ru', 'Русский')], 'LANGUAGE_CODE': 'ru', 'SELECTED_LANG': 'ru', 'all_posts': '<<multilinguallanguagefilteredpostqueryset of news.Post>>', 'author_email': '[email protected]', 'languages': [{'bidi': False, 'code': 'uk', 'name': 'Ukrainian', 'name_local': 'Українська', 'name_translated': 'Украинский'}, {'bidi': False, 'code': 'en', 'name': 'English', 'name_local': 'English', 'name_translated': 'Английский'}, {'bidi': False, 'code': 'ru', 'name': 'Russian', 'name_local': 'Русский', 'name_translated': 'Русский'}], 'object': <Post: В Киеве жестоко избили известного продюсера и автора хитов KAZKA: что произошло. Фото>, 'parent_categories': '<<multilingualqueryset of news.Category>>', 'parent_categories_menu': '<<multilingualqueryset of news.Category>>', 'post': <Post: В Киеве жестоко избили известного продюсера и автора хитов KAZKA: что произошло. Фото>, 'show_banner': False, 'table_of_contents': '<<queryset of news.PostContentHeading>>', 'tags': '<<multilingualqueryset of news.Tag>>', 'tlp': <VideoPost: Кислица жестко высказался относительно переговоров в Стамбуле>, 'use_old_design': True, 'view': <news.views.post.GetPost object at 0x7f289d04f490>} {'LANGUAGE_CODE': 'ru'} {'LANGUAGE_CODE': 'ru', 'footer': 1}
news/includes/views_counter.html
/var/www/news-site-columnist/news/templates/news/includes/views_counter.html
Контекст {'False': False, 'None': None, 'True': True} {'DEFAULT_MESSAGE_LEVELS': {'DEBUG': 10, 'ERROR': 40, 'INFO': 20, 'SUCCESS': 25, 'WARNING': 30}, 'csrf_token': '<SimpleLazyObject: <function csrf.<locals>._get_val at ' '0x7f289e136ef0>>', 'debug': True, 'messages': <SessionStorage: request=<WSGIRequest: GET '/ru/v-kieve-zhestoko-izbili-izvestnogo-prodiusera-i-avtora-khitov-kazka-chto-proizoshlo-foto-22135.html'>>, 'perms': PermWrapper(<SimpleLazyObject: <function AuthenticationMiddleware.process_request.<locals>.<lambda> at 0x7f289e137eb0>>), 'request': '<<request>>', 'sql_queries': <function debug.<locals>.<lambda> at 0x7f289e1348b0>, 'user': '<SimpleLazyObject: <function ' 'AuthenticationMiddleware.process_request.<locals>.<lambda> at ' '0x7f289e137eb0>>'} {'LANGUAGES': [('uk', 'Украинский'), ('en', 'Английский'), ('ru', 'Русский')], 'LANGUAGE_CODE': 'ru', 'SELECTED_LANG': 'ru', 'all_posts': '<<multilinguallanguagefilteredpostqueryset of news.Post>>', 'author_email': '[email protected]', 'languages': [{'bidi': False, 'code': 'uk', 'name': 'Ukrainian', 'name_local': 'Українська', 'name_translated': 'Украинский'}, {'bidi': False, 'code': 'en', 'name': 'English', 'name_local': 'English', 'name_translated': 'Английский'}, {'bidi': False, 'code': 'ru', 'name': 'Russian', 'name_local': 'Русский', 'name_translated': 'Русский'}], 'object': <Post: В Киеве жестоко избили известного продюсера и автора хитов KAZKA: что произошло. Фото>, 'parent_categories': '<<multilingualqueryset of news.Category>>', 'parent_categories_menu': '<<multilingualqueryset of news.Category>>', 'post': <Post: В Киеве жестоко избили известного продюсера и автора хитов KAZKA: что произошло. Фото>, 'show_banner': False, 'table_of_contents': '<<queryset of news.PostContentHeading>>', 'tags': '<<multilingualqueryset of news.Tag>>', 'tlp': <VideoPost: Кислица жестко высказался относительно переговоров в Стамбуле>, 'use_old_design': True, 'view': <news.views.post.GetPost object at 0x7f289d04f490>} {'LANGUAGE_CODE': 'ru', 'block': <Block Node: extrajs. Contents: [<TextNode: '\n <!-- iframely script'>, <django.template.library.SimpleNode object at 0x7f289e494790>, <TextNode: '\n '>, <django.template.library.SimpleNode object at 0x7f289e494880>, <TextNode: '\n '>, <django.template.library.SimpleNode object at 0x7f289e494940>, <TextNode: '\n <script src="'>, StaticNode(varname=None, path=<FilterExpression "'news/js/single.js'">), <TextNode: '?ver=1.0.1" defer></scrip'>, <django.templatetags.i18n.GetCurrentLanguageNode object at 0x7f289e494a90>, <TextNode: '\n window.postData = '>, <Variable Node: post.id>, <TextNode: '", theme: "'>, <Variable Node: post.theme>, <TextNode: '", lang: "'>, <Variable Node: LANGUAGE_CODE>, <TextNode: '"};\n </script>\n <sc'>, <Variable Node: post.id>, <TextNode: ';\n const LANG = "'>, <Variable Node: LANGUAGE_CODE>, <TextNode: '";\n </script>\n <scr'>, StaticNode(varname=None, path=<FilterExpression "'news/js/tags_news.js'">), <TextNode: '" defer></script>\n\n '>, <IfNode>, <TextNode: '\n\n '>, <IncludeNode: template=<FilterExpression "'news/includes/views_counter.html'">>, <TextNode: '\n'>]>} {'object': <Post: В Киеве жестоко избили известного продюсера и автора хитов KAZKA: что произошло. Фото>}

Контекст процессоры

django.template.context_processors.csrf
Контекст {'csrf_token': <SimpleLazyObject: <function csrf.<locals>._get_val at 0x7f289e136ef0>>}
django.template.context_processors.debug
Контекст {'debug': True, 'sql_queries': <function debug.<locals>.<lambda> at 0x7f289e1348b0>}
django.template.context_processors.request
Контекст {'request': <WSGIRequest: GET '/ru/v-kieve-zhestoko-izbili-izvestnogo-prodiusera-i-avtora-khitov-kazka-chto-proizoshlo-foto-22135.html'>}
django.contrib.auth.context_processors.auth
Контекст {'user': <SimpleLazyObject: <function AuthenticationMiddleware.process_request.<locals>.<lambda> at 0x7f289e137eb0>>, 'perms': PermWrapper(<SimpleLazyObject: <function AuthenticationMiddleware.process_request.<locals>.<lambda> at 0x7f289e137eb0>>)}
django.contrib.messages.context_processors.messages
Контекст {'messages': <SessionStorage: request=<WSGIRequest: GET '/ru/v-kieve-zhestoko-izbili-izvestnogo-prodiusera-i-avtora-khitov-kazka-chto-proizoshlo-foto-22135.html'>>, 'DEFAULT_MESSAGE_LEVELS': {'DEBUG': 10, 'INFO': 20, 'SUCCESS': 25, 'WARNING': 30, 'ERROR': 40}}

Обращения к кэшу от 2 бэкендов

Краткая статистика

Всего вызовов Общее время Cache хитов Промахи кэша
7 3,293014131486416 ms 7 0

Команды

add get set get_or_set touch delete clear get_many set_many delete_many has_key incr decr incr_version decr_version
0 7 0 0 0 0 0 0 0 0 0 0 0 0 0

Вызовы

Время (мс) Тип Аргументы Именованные аргументы Бэкенд
0,4228 get ('django_user_agents.fac378ac3b3d3886829021b3309d4fd1',) {} <django.core.cache.backends.redis.RedisCache object at 0x7f28a55b5450>
/home/youser/.local/share/virtualenvs/news-site-columnist-8tsXn7bh/bin/gunicorn in <module>(8)
  sys.exit(run())

/home/youser/.local/share/virtualenvs/news-site-columnist-8tsXn7bh/lib/python3.10/site-packages/gunicorn/app/wsgiapp.py in run(66)
  WSGIApplication("%(prog)s [OPTIONS] [APP_MODULE]", prog=prog).run()

/home/youser/.local/share/virtualenvs/news-site-columnist-8tsXn7bh/lib/python3.10/site-packages/gunicorn/app/base.py in run(235)
  super().run()

/home/youser/.local/share/virtualenvs/news-site-columnist-8tsXn7bh/lib/python3.10/site-packages/gunicorn/app/base.py in run(71)
  Arbiter(self).run()

/home/youser/.local/share/virtualenvs/news-site-columnist-8tsXn7bh/lib/python3.10/site-packages/gunicorn/arbiter.py in run(210)
  self.manage_workers()

/home/youser/.local/share/virtualenvs/news-site-columnist-8tsXn7bh/lib/python3.10/site-packages/gunicorn/arbiter.py in manage_workers(570)
  self.spawn_workers()

/home/youser/.local/share/virtualenvs/news-site-columnist-8tsXn7bh/lib/python3.10/site-packages/gunicorn/arbiter.py in spawn_workers(641)
  self.spawn_worker()

/home/youser/.local/share/virtualenvs/news-site-columnist-8tsXn7bh/lib/python3.10/site-packages/gunicorn/arbiter.py in spawn_worker(608)
  worker.init_process()

/home/youser/.local/share/virtualenvs/news-site-columnist-8tsXn7bh/lib/python3.10/site-packages/gunicorn/workers/base.py in init_process(143)
  self.run()

/home/youser/.local/share/virtualenvs/news-site-columnist-8tsXn7bh/lib/python3.10/site-packages/gunicorn/workers/sync.py in run(125)
  self.run_for_one(timeout)

/home/youser/.local/share/virtualenvs/news-site-columnist-8tsXn7bh/lib/python3.10/site-packages/gunicorn/workers/sync.py in run_for_one(69)
  self.accept(listener)

/home/youser/.local/share/virtualenvs/news-site-columnist-8tsXn7bh/lib/python3.10/site-packages/gunicorn/workers/sync.py in accept(31)
  self.handle(listener, client, addr)

/home/youser/.local/share/virtualenvs/news-site-columnist-8tsXn7bh/lib/python3.10/site-packages/gunicorn/workers/sync.py in handle(134)
  self.handle_request(listener, req, client, addr)

/home/youser/.local/share/virtualenvs/news-site-columnist-8tsXn7bh/lib/python3.10/site-packages/gunicorn/workers/sync.py in handle_request(177)
  respiter = self.wsgi(environ, resp.start_response)

/home/youser/.local/share/virtualenvs/news-site-columnist-8tsXn7bh/lib/python3.10/site-packages/sentry_sdk/utils.py in runner(1864)
  return sentry_patched_function(*args, **kwargs)

/home/youser/.local/share/virtualenvs/news-site-columnist-8tsXn7bh/lib/python3.10/site-packages/sentry_sdk/integrations/django/__init__.py in sentry_patched_wsgi_handler(191)
  return middleware(environ, start_response)

/home/youser/.local/share/virtualenvs/news-site-columnist-8tsXn7bh/lib/python3.10/site-packages/sentry_sdk/integrations/wsgi.py in __call__(132)
  response = self.app(

/home/youser/.local/share/virtualenvs/news-site-columnist-8tsXn7bh/lib/python3.10/site-packages/sentry_sdk/integrations/django/__init__.py in sentry_patched_get_response(478)
  rv = old_get_response(self, request)

/home/youser/.local/share/virtualenvs/news-site-columnist-8tsXn7bh/lib/python3.10/site-packages/sentry_sdk/integrations/django/middleware.py in __call__(177)
  return f(*args, **kwargs)

/home/youser/.local/share/virtualenvs/news-site-columnist-8tsXn7bh/lib/python3.10/site-packages/sentry_sdk/integrations/django/middleware.py in __call__(177)
  return f(*args, **kwargs)

/var/www/news-site-columnist/redirects/middleware/redirect_middleware.py in __call__(17)
  return self.get_response(request)

/home/youser/.local/share/virtualenvs/news-site-columnist-8tsXn7bh/lib/python3.10/site-packages/sentry_sdk/integrations/django/middleware.py in __call__(177)
  return f(*args, **kwargs)

/home/youser/.local/share/virtualenvs/news-site-columnist-8tsXn7bh/lib/python3.10/site-packages/sentry_sdk/integrations/django/middleware.py in __call__(177)
  return f(*args, **kwargs)

/home/youser/.local/share/virtualenvs/news-site-columnist-8tsXn7bh/lib/python3.10/site-packages/sentry_sdk/integrations/django/middleware.py in __call__(177)
  return f(*args, **kwargs)

/home/youser/.local/share/virtualenvs/news-site-columnist-8tsXn7bh/lib/python3.10/site-packages/sentry_sdk/integrations/django/middleware.py in __call__(177)
  return f(*args, **kwargs)

/home/youser/.local/share/virtualenvs/news-site-columnist-8tsXn7bh/lib/python3.10/site-packages/corsheaders/middleware.py in __call__(53)
  result = self.get_response(request)

/home/youser/.local/share/virtualenvs/news-site-columnist-8tsXn7bh/lib/python3.10/site-packages/sentry_sdk/integrations/django/middleware.py in __call__(177)
  return f(*args, **kwargs)

/home/youser/.local/share/virtualenvs/news-site-columnist-8tsXn7bh/lib/python3.10/site-packages/django_user_agents/middleware.py in __call__(14)
  return self.get_response(request)

/home/youser/.local/share/virtualenvs/news-site-columnist-8tsXn7bh/lib/python3.10/site-packages/sentry_sdk/integrations/django/middleware.py in __call__(177)
  return f(*args, **kwargs)

/home/youser/.local/share/virtualenvs/news-site-columnist-8tsXn7bh/lib/python3.10/site-packages/sentry_sdk/integrations/django/middleware.py in __call__(177)
  return f(*args, **kwargs)

/home/youser/.local/share/virtualenvs/news-site-columnist-8tsXn7bh/lib/python3.10/site-packages/sentry_sdk/integrations/django/middleware.py in __call__(177)
  return f(*args, **kwargs)

/home/youser/.local/share/virtualenvs/news-site-columnist-8tsXn7bh/lib/python3.10/site-packages/sentry_sdk/integrations/django/middleware.py in __call__(177)
  return f(*args, **kwargs)

/home/youser/.local/share/virtualenvs/news-site-columnist-8tsXn7bh/lib/python3.10/site-packages/sentry_sdk/integrations/django/middleware.py in __call__(177)
  return f(*args, **kwargs)

/home/youser/.local/share/virtualenvs/news-site-columnist-8tsXn7bh/lib/python3.10/site-packages/sentry_sdk/integrations/django/middleware.py in __call__(177)
  return f(*args, **kwargs)

/home/youser/.local/share/virtualenvs/news-site-columnist-8tsXn7bh/lib/python3.10/site-packages/sentry_sdk/integrations/django/middleware.py in __call__(177)
  return f(*args, **kwargs)

/home/youser/.local/share/virtualenvs/news-site-columnist-8tsXn7bh/lib/python3.10/site-packages/sentry_sdk/integrations/django/middleware.py in __call__(177)
  return f(*args, **kwargs)

/var/www/news-site-columnist/news/middleware/subdomain_middleare.py in __call__(22)
  response = self.get_response(request)

/home/youser/.local/share/virtualenvs/news-site-columnist-8tsXn7bh/lib/python3.10/site-packages/sentry_sdk/integrations/django/views.py in sentry_wrapped_callback(94)
  return callback(request, *args, **kwargs)

/var/www/news-site-columnist/news/views/post.py in subdomain_view_post(923)
  return GetPost.as_view()(

/home/youser/.local/share/virtualenvs/news-site-columnist-8tsXn7bh/lib/python3.10/site-packages/django/views/generic/base.py in view(104)
  return self.dispatch(request, *args, **kwargs)

/home/youser/.local/share/virtualenvs/news-site-columnist-8tsXn7bh/lib/python3.10/site-packages/django/views/generic/base.py in dispatch(143)
  return handler(request, *args, **kwargs)

/var/www/news-site-columnist/news/views/post.py in get(187)
  return super().get(request, *args, **kwargs)

/var/www/news-site-columnist/news/views/base.py in get(155)
  return super().get(request, *args, **kwargs)

/var/www/news-site-columnist/news/views/base.py in get(182)
  resp = super().get(request, *args, **kwargs)

/home/youser/.local/share/virtualenvs/news-site-columnist-8tsXn7bh/lib/python3.10/site-packages/django/views/generic/detail.py in get(109)
  context = self.get_context_data(object=self.object)

/var/www/news-site-columnist/news/views/post.py in get_context_data(127)
  user_agent = get_user_agent(self.request)

/home/youser/.local/share/virtualenvs/news-site-columnist-8tsXn7bh/lib/python3.10/site-packages/django_user_agents/utils.py in get_user_agent(54)
  user_agent = cache.get(key)

0,4072 get ('TelegramLinkReplacement',) {} <django.core.cache.backends.redis.RedisCache object at 0x7f28a55b5450>
/home/youser/.local/share/virtualenvs/news-site-columnist-8tsXn7bh/bin/gunicorn in <module>(8)
  sys.exit(run())

/home/youser/.local/share/virtualenvs/news-site-columnist-8tsXn7bh/lib/python3.10/site-packages/gunicorn/app/wsgiapp.py in run(66)
  WSGIApplication("%(prog)s [OPTIONS] [APP_MODULE]", prog=prog).run()

/home/youser/.local/share/virtualenvs/news-site-columnist-8tsXn7bh/lib/python3.10/site-packages/gunicorn/app/base.py in run(235)
  super().run()

/home/youser/.local/share/virtualenvs/news-site-columnist-8tsXn7bh/lib/python3.10/site-packages/gunicorn/app/base.py in run(71)
  Arbiter(self).run()

/home/youser/.local/share/virtualenvs/news-site-columnist-8tsXn7bh/lib/python3.10/site-packages/gunicorn/arbiter.py in run(210)
  self.manage_workers()

/home/youser/.local/share/virtualenvs/news-site-columnist-8tsXn7bh/lib/python3.10/site-packages/gunicorn/arbiter.py in manage_workers(570)
  self.spawn_workers()

/home/youser/.local/share/virtualenvs/news-site-columnist-8tsXn7bh/lib/python3.10/site-packages/gunicorn/arbiter.py in spawn_workers(641)
  self.spawn_worker()

/home/youser/.local/share/virtualenvs/news-site-columnist-8tsXn7bh/lib/python3.10/site-packages/gunicorn/arbiter.py in spawn_worker(608)
  worker.init_process()

/home/youser/.local/share/virtualenvs/news-site-columnist-8tsXn7bh/lib/python3.10/site-packages/gunicorn/workers/base.py in init_process(143)
  self.run()

/home/youser/.local/share/virtualenvs/news-site-columnist-8tsXn7bh/lib/python3.10/site-packages/gunicorn/workers/sync.py in run(125)
  self.run_for_one(timeout)

/home/youser/.local/share/virtualenvs/news-site-columnist-8tsXn7bh/lib/python3.10/site-packages/gunicorn/workers/sync.py in run_for_one(69)
  self.accept(listener)

/home/youser/.local/share/virtualenvs/news-site-columnist-8tsXn7bh/lib/python3.10/site-packages/gunicorn/workers/sync.py in accept(31)
  self.handle(listener, client, addr)

/home/youser/.local/share/virtualenvs/news-site-columnist-8tsXn7bh/lib/python3.10/site-packages/gunicorn/workers/sync.py in handle(134)
  self.handle_request(listener, req, client, addr)

/home/youser/.local/share/virtualenvs/news-site-columnist-8tsXn7bh/lib/python3.10/site-packages/gunicorn/workers/sync.py in handle_request(177)
  respiter = self.wsgi(environ, resp.start_response)

/home/youser/.local/share/virtualenvs/news-site-columnist-8tsXn7bh/lib/python3.10/site-packages/sentry_sdk/utils.py in runner(1864)
  return sentry_patched_function(*args, **kwargs)

/home/youser/.local/share/virtualenvs/news-site-columnist-8tsXn7bh/lib/python3.10/site-packages/sentry_sdk/integrations/django/__init__.py in sentry_patched_wsgi_handler(191)
  return middleware(environ, start_response)

/home/youser/.local/share/virtualenvs/news-site-columnist-8tsXn7bh/lib/python3.10/site-packages/sentry_sdk/integrations/wsgi.py in __call__(132)
  response = self.app(

/home/youser/.local/share/virtualenvs/news-site-columnist-8tsXn7bh/lib/python3.10/site-packages/sentry_sdk/integrations/django/__init__.py in sentry_patched_get_response(478)
  rv = old_get_response(self, request)

/home/youser/.local/share/virtualenvs/news-site-columnist-8tsXn7bh/lib/python3.10/site-packages/sentry_sdk/integrations/django/middleware.py in __call__(177)
  return f(*args, **kwargs)

/home/youser/.local/share/virtualenvs/news-site-columnist-8tsXn7bh/lib/python3.10/site-packages/sentry_sdk/integrations/django/middleware.py in __call__(177)
  return f(*args, **kwargs)

/var/www/news-site-columnist/redirects/middleware/redirect_middleware.py in __call__(17)
  return self.get_response(request)

/home/youser/.local/share/virtualenvs/news-site-columnist-8tsXn7bh/lib/python3.10/site-packages/sentry_sdk/integrations/django/middleware.py in __call__(177)
  return f(*args, **kwargs)

/home/youser/.local/share/virtualenvs/news-site-columnist-8tsXn7bh/lib/python3.10/site-packages/sentry_sdk/integrations/django/middleware.py in __call__(177)
  return f(*args, **kwargs)

/home/youser/.local/share/virtualenvs/news-site-columnist-8tsXn7bh/lib/python3.10/site-packages/sentry_sdk/integrations/django/middleware.py in __call__(177)
  return f(*args, **kwargs)

/home/youser/.local/share/virtualenvs/news-site-columnist-8tsXn7bh/lib/python3.10/site-packages/sentry_sdk/integrations/django/middleware.py in __call__(177)
  return f(*args, **kwargs)

/home/youser/.local/share/virtualenvs/news-site-columnist-8tsXn7bh/lib/python3.10/site-packages/corsheaders/middleware.py in __call__(53)
  result = self.get_response(request)

/home/youser/.local/share/virtualenvs/news-site-columnist-8tsXn7bh/lib/python3.10/site-packages/sentry_sdk/integrations/django/middleware.py in __call__(177)
  return f(*args, **kwargs)

/home/youser/.local/share/virtualenvs/news-site-columnist-8tsXn7bh/lib/python3.10/site-packages/django_user_agents/middleware.py in __call__(14)
  return self.get_response(request)

/home/youser/.local/share/virtualenvs/news-site-columnist-8tsXn7bh/lib/python3.10/site-packages/sentry_sdk/integrations/django/middleware.py in __call__(177)
  return f(*args, **kwargs)

/home/youser/.local/share/virtualenvs/news-site-columnist-8tsXn7bh/lib/python3.10/site-packages/sentry_sdk/integrations/django/middleware.py in __call__(177)
  return f(*args, **kwargs)

/home/youser/.local/share/virtualenvs/news-site-columnist-8tsXn7bh/lib/python3.10/site-packages/sentry_sdk/integrations/django/middleware.py in __call__(177)
  return f(*args, **kwargs)

/home/youser/.local/share/virtualenvs/news-site-columnist-8tsXn7bh/lib/python3.10/site-packages/sentry_sdk/integrations/django/middleware.py in __call__(177)
  return f(*args, **kwargs)

/home/youser/.local/share/virtualenvs/news-site-columnist-8tsXn7bh/lib/python3.10/site-packages/sentry_sdk/integrations/django/middleware.py in __call__(177)
  return f(*args, **kwargs)

/home/youser/.local/share/virtualenvs/news-site-columnist-8tsXn7bh/lib/python3.10/site-packages/sentry_sdk/integrations/django/middleware.py in __call__(177)
  return f(*args, **kwargs)

/home/youser/.local/share/virtualenvs/news-site-columnist-8tsXn7bh/lib/python3.10/site-packages/sentry_sdk/integrations/django/middleware.py in __call__(177)
  return f(*args, **kwargs)

/home/youser/.local/share/virtualenvs/news-site-columnist-8tsXn7bh/lib/python3.10/site-packages/sentry_sdk/integrations/django/middleware.py in __call__(177)
  return f(*args, **kwargs)

/var/www/news-site-columnist/news/middleware/subdomain_middleare.py in __call__(22)
  response = self.get_response(request)

/home/youser/.local/share/virtualenvs/news-site-columnist-8tsXn7bh/lib/python3.10/site-packages/sentry_sdk/integrations/django/views.py in sentry_wrapped_callback(94)
  return callback(request, *args, **kwargs)

/var/www/news-site-columnist/news/views/post.py in subdomain_view_post(923)
  return GetPost.as_view()(

/home/youser/.local/share/virtualenvs/news-site-columnist-8tsXn7bh/lib/python3.10/site-packages/django/views/generic/base.py in view(104)
  return self.dispatch(request, *args, **kwargs)

/home/youser/.local/share/virtualenvs/news-site-columnist-8tsXn7bh/lib/python3.10/site-packages/django/views/generic/base.py in dispatch(143)
  return handler(request, *args, **kwargs)

/var/www/news-site-columnist/news/views/post.py in get(187)
  return super().get(request, *args, **kwargs)

/var/www/news-site-columnist/news/views/base.py in get(155)
  return super().get(request, *args, **kwargs)

/var/www/news-site-columnist/news/views/base.py in get(182)
  resp = super().get(request, *args, **kwargs)

/home/youser/.local/share/virtualenvs/news-site-columnist-8tsXn7bh/lib/python3.10/site-packages/django/views/generic/detail.py in get(109)
  context = self.get_context_data(object=self.object)

/var/www/news-site-columnist/news/views/post.py in get_context_data(148)
  data["tlp"] = get_telegram_link_replacement()

/var/www/news-site-columnist/news/utils.py in get_telegram_link_replacement(144)
  tlp = TelegramLinkReplacement.load()

/var/www/news-site-columnist/novyny_live/models.py in load(26)
  if cache.get(cls.__name__) is None:

0,3147 get ('TelegramLinkReplacement',) {} <django.core.cache.backends.redis.RedisCache object at 0x7f28a55b5450>
/home/youser/.local/share/virtualenvs/news-site-columnist-8tsXn7bh/bin/gunicorn in <module>(8)
  sys.exit(run())

/home/youser/.local/share/virtualenvs/news-site-columnist-8tsXn7bh/lib/python3.10/site-packages/gunicorn/app/wsgiapp.py in run(66)
  WSGIApplication("%(prog)s [OPTIONS] [APP_MODULE]", prog=prog).run()

/home/youser/.local/share/virtualenvs/news-site-columnist-8tsXn7bh/lib/python3.10/site-packages/gunicorn/app/base.py in run(235)
  super().run()

/home/youser/.local/share/virtualenvs/news-site-columnist-8tsXn7bh/lib/python3.10/site-packages/gunicorn/app/base.py in run(71)
  Arbiter(self).run()

/home/youser/.local/share/virtualenvs/news-site-columnist-8tsXn7bh/lib/python3.10/site-packages/gunicorn/arbiter.py in run(210)
  self.manage_workers()

/home/youser/.local/share/virtualenvs/news-site-columnist-8tsXn7bh/lib/python3.10/site-packages/gunicorn/arbiter.py in manage_workers(570)
  self.spawn_workers()

/home/youser/.local/share/virtualenvs/news-site-columnist-8tsXn7bh/lib/python3.10/site-packages/gunicorn/arbiter.py in spawn_workers(641)
  self.spawn_worker()

/home/youser/.local/share/virtualenvs/news-site-columnist-8tsXn7bh/lib/python3.10/site-packages/gunicorn/arbiter.py in spawn_worker(608)
  worker.init_process()

/home/youser/.local/share/virtualenvs/news-site-columnist-8tsXn7bh/lib/python3.10/site-packages/gunicorn/workers/base.py in init_process(143)
  self.run()

/home/youser/.local/share/virtualenvs/news-site-columnist-8tsXn7bh/lib/python3.10/site-packages/gunicorn/workers/sync.py in run(125)
  self.run_for_one(timeout)

/home/youser/.local/share/virtualenvs/news-site-columnist-8tsXn7bh/lib/python3.10/site-packages/gunicorn/workers/sync.py in run_for_one(69)
  self.accept(listener)

/home/youser/.local/share/virtualenvs/news-site-columnist-8tsXn7bh/lib/python3.10/site-packages/gunicorn/workers/sync.py in accept(31)
  self.handle(listener, client, addr)

/home/youser/.local/share/virtualenvs/news-site-columnist-8tsXn7bh/lib/python3.10/site-packages/gunicorn/workers/sync.py in handle(134)
  self.handle_request(listener, req, client, addr)

/home/youser/.local/share/virtualenvs/news-site-columnist-8tsXn7bh/lib/python3.10/site-packages/gunicorn/workers/sync.py in handle_request(177)
  respiter = self.wsgi(environ, resp.start_response)

/home/youser/.local/share/virtualenvs/news-site-columnist-8tsXn7bh/lib/python3.10/site-packages/sentry_sdk/utils.py in runner(1864)
  return sentry_patched_function(*args, **kwargs)

/home/youser/.local/share/virtualenvs/news-site-columnist-8tsXn7bh/lib/python3.10/site-packages/sentry_sdk/integrations/django/__init__.py in sentry_patched_wsgi_handler(191)
  return middleware(environ, start_response)

/home/youser/.local/share/virtualenvs/news-site-columnist-8tsXn7bh/lib/python3.10/site-packages/sentry_sdk/integrations/wsgi.py in __call__(132)
  response = self.app(

/home/youser/.local/share/virtualenvs/news-site-columnist-8tsXn7bh/lib/python3.10/site-packages/sentry_sdk/integrations/django/__init__.py in sentry_patched_get_response(478)
  rv = old_get_response(self, request)

/home/youser/.local/share/virtualenvs/news-site-columnist-8tsXn7bh/lib/python3.10/site-packages/sentry_sdk/integrations/django/middleware.py in __call__(177)
  return f(*args, **kwargs)

/home/youser/.local/share/virtualenvs/news-site-columnist-8tsXn7bh/lib/python3.10/site-packages/sentry_sdk/integrations/django/middleware.py in __call__(177)
  return f(*args, **kwargs)

/var/www/news-site-columnist/redirects/middleware/redirect_middleware.py in __call__(17)
  return self.get_response(request)

/home/youser/.local/share/virtualenvs/news-site-columnist-8tsXn7bh/lib/python3.10/site-packages/sentry_sdk/integrations/django/middleware.py in __call__(177)
  return f(*args, **kwargs)

/home/youser/.local/share/virtualenvs/news-site-columnist-8tsXn7bh/lib/python3.10/site-packages/sentry_sdk/integrations/django/middleware.py in __call__(177)
  return f(*args, **kwargs)

/home/youser/.local/share/virtualenvs/news-site-columnist-8tsXn7bh/lib/python3.10/site-packages/sentry_sdk/integrations/django/middleware.py in __call__(177)
  return f(*args, **kwargs)

/home/youser/.local/share/virtualenvs/news-site-columnist-8tsXn7bh/lib/python3.10/site-packages/sentry_sdk/integrations/django/middleware.py in __call__(177)
  return f(*args, **kwargs)

/home/youser/.local/share/virtualenvs/news-site-columnist-8tsXn7bh/lib/python3.10/site-packages/corsheaders/middleware.py in __call__(53)
  result = self.get_response(request)

/home/youser/.local/share/virtualenvs/news-site-columnist-8tsXn7bh/lib/python3.10/site-packages/sentry_sdk/integrations/django/middleware.py in __call__(177)
  return f(*args, **kwargs)

/home/youser/.local/share/virtualenvs/news-site-columnist-8tsXn7bh/lib/python3.10/site-packages/django_user_agents/middleware.py in __call__(14)
  return self.get_response(request)

/home/youser/.local/share/virtualenvs/news-site-columnist-8tsXn7bh/lib/python3.10/site-packages/sentry_sdk/integrations/django/middleware.py in __call__(177)
  return f(*args, **kwargs)

/home/youser/.local/share/virtualenvs/news-site-columnist-8tsXn7bh/lib/python3.10/site-packages/sentry_sdk/integrations/django/middleware.py in __call__(177)
  return f(*args, **kwargs)

/home/youser/.local/share/virtualenvs/news-site-columnist-8tsXn7bh/lib/python3.10/site-packages/sentry_sdk/integrations/django/middleware.py in __call__(177)
  return f(*args, **kwargs)

/home/youser/.local/share/virtualenvs/news-site-columnist-8tsXn7bh/lib/python3.10/site-packages/sentry_sdk/integrations/django/middleware.py in __call__(177)
  return f(*args, **kwargs)

/home/youser/.local/share/virtualenvs/news-site-columnist-8tsXn7bh/lib/python3.10/site-packages/sentry_sdk/integrations/django/middleware.py in __call__(177)
  return f(*args, **kwargs)

/home/youser/.local/share/virtualenvs/news-site-columnist-8tsXn7bh/lib/python3.10/site-packages/sentry_sdk/integrations/django/middleware.py in __call__(177)
  return f(*args, **kwargs)

/home/youser/.local/share/virtualenvs/news-site-columnist-8tsXn7bh/lib/python3.10/site-packages/sentry_sdk/integrations/django/middleware.py in __call__(177)
  return f(*args, **kwargs)

/home/youser/.local/share/virtualenvs/news-site-columnist-8tsXn7bh/lib/python3.10/site-packages/sentry_sdk/integrations/django/middleware.py in __call__(177)
  return f(*args, **kwargs)

/var/www/news-site-columnist/news/middleware/subdomain_middleare.py in __call__(22)
  response = self.get_response(request)

/home/youser/.local/share/virtualenvs/news-site-columnist-8tsXn7bh/lib/python3.10/site-packages/sentry_sdk/integrations/django/views.py in sentry_wrapped_callback(94)
  return callback(request, *args, **kwargs)

/var/www/news-site-columnist/news/views/post.py in subdomain_view_post(923)
  return GetPost.as_view()(

/home/youser/.local/share/virtualenvs/news-site-columnist-8tsXn7bh/lib/python3.10/site-packages/django/views/generic/base.py in view(104)
  return self.dispatch(request, *args, **kwargs)

/home/youser/.local/share/virtualenvs/news-site-columnist-8tsXn7bh/lib/python3.10/site-packages/django/views/generic/base.py in dispatch(143)
  return handler(request, *args, **kwargs)

/var/www/news-site-columnist/news/views/post.py in get(187)
  return super().get(request, *args, **kwargs)

/var/www/news-site-columnist/news/views/base.py in get(155)
  return super().get(request, *args, **kwargs)

/var/www/news-site-columnist/news/views/base.py in get(182)
  resp = super().get(request, *args, **kwargs)

/home/youser/.local/share/virtualenvs/news-site-columnist-8tsXn7bh/lib/python3.10/site-packages/django/views/generic/detail.py in get(109)
  context = self.get_context_data(object=self.object)

/var/www/news-site-columnist/news/views/post.py in get_context_data(148)
  data["tlp"] = get_telegram_link_replacement()

/var/www/news-site-columnist/news/utils.py in get_telegram_link_replacement(144)
  tlp = TelegramLinkReplacement.load()

/var/www/news-site-columnist/novyny_live/models.py in load(30)
  return cache.get(cls.__name__)

0,4634 get ('django_user_agents.fac378ac3b3d3886829021b3309d4fd1',) {} <django.core.cache.backends.redis.RedisCache object at 0x7f28a55b5450>
/home/youser/.local/share/virtualenvs/news-site-columnist-8tsXn7bh/bin/gunicorn in <module>(8)
  sys.exit(run())

/home/youser/.local/share/virtualenvs/news-site-columnist-8tsXn7bh/lib/python3.10/site-packages/gunicorn/app/wsgiapp.py in run(66)
  WSGIApplication("%(prog)s [OPTIONS] [APP_MODULE]", prog=prog).run()

/home/youser/.local/share/virtualenvs/news-site-columnist-8tsXn7bh/lib/python3.10/site-packages/gunicorn/app/base.py in run(235)
  super().run()

/home/youser/.local/share/virtualenvs/news-site-columnist-8tsXn7bh/lib/python3.10/site-packages/gunicorn/app/base.py in run(71)
  Arbiter(self).run()

/home/youser/.local/share/virtualenvs/news-site-columnist-8tsXn7bh/lib/python3.10/site-packages/gunicorn/arbiter.py in run(210)
  self.manage_workers()

/home/youser/.local/share/virtualenvs/news-site-columnist-8tsXn7bh/lib/python3.10/site-packages/gunicorn/arbiter.py in manage_workers(570)
  self.spawn_workers()

/home/youser/.local/share/virtualenvs/news-site-columnist-8tsXn7bh/lib/python3.10/site-packages/gunicorn/arbiter.py in spawn_workers(641)
  self.spawn_worker()

/home/youser/.local/share/virtualenvs/news-site-columnist-8tsXn7bh/lib/python3.10/site-packages/gunicorn/arbiter.py in spawn_worker(608)
  worker.init_process()

/home/youser/.local/share/virtualenvs/news-site-columnist-8tsXn7bh/lib/python3.10/site-packages/gunicorn/workers/base.py in init_process(143)
  self.run()

/home/youser/.local/share/virtualenvs/news-site-columnist-8tsXn7bh/lib/python3.10/site-packages/gunicorn/workers/sync.py in run(125)
  self.run_for_one(timeout)

/home/youser/.local/share/virtualenvs/news-site-columnist-8tsXn7bh/lib/python3.10/site-packages/gunicorn/workers/sync.py in run_for_one(69)
  self.accept(listener)

/home/youser/.local/share/virtualenvs/news-site-columnist-8tsXn7bh/lib/python3.10/site-packages/gunicorn/workers/sync.py in accept(31)
  self.handle(listener, client, addr)

/home/youser/.local/share/virtualenvs/news-site-columnist-8tsXn7bh/lib/python3.10/site-packages/gunicorn/workers/sync.py in handle(134)
  self.handle_request(listener, req, client, addr)

/home/youser/.local/share/virtualenvs/news-site-columnist-8tsXn7bh/lib/python3.10/site-packages/gunicorn/workers/sync.py in handle_request(177)
  respiter = self.wsgi(environ, resp.start_response)

/home/youser/.local/share/virtualenvs/news-site-columnist-8tsXn7bh/lib/python3.10/site-packages/sentry_sdk/utils.py in runner(1864)
  return sentry_patched_function(*args, **kwargs)

/home/youser/.local/share/virtualenvs/news-site-columnist-8tsXn7bh/lib/python3.10/site-packages/sentry_sdk/integrations/django/__init__.py in sentry_patched_wsgi_handler(191)
  return middleware(environ, start_response)

/home/youser/.local/share/virtualenvs/news-site-columnist-8tsXn7bh/lib/python3.10/site-packages/sentry_sdk/integrations/wsgi.py in __call__(132)
  response = self.app(

/home/youser/.local/share/virtualenvs/news-site-columnist-8tsXn7bh/lib/python3.10/site-packages/sentry_sdk/integrations/django/__init__.py in sentry_patched_get_response(478)
  rv = old_get_response(self, request)

/home/youser/.local/share/virtualenvs/news-site-columnist-8tsXn7bh/lib/python3.10/site-packages/sentry_sdk/integrations/django/middleware.py in __call__(177)
  return f(*args, **kwargs)

/home/youser/.local/share/virtualenvs/news-site-columnist-8tsXn7bh/lib/python3.10/site-packages/sentry_sdk/integrations/django/middleware.py in __call__(177)
  return f(*args, **kwargs)

/var/www/news-site-columnist/redirects/middleware/redirect_middleware.py in __call__(17)
  return self.get_response(request)

/home/youser/.local/share/virtualenvs/news-site-columnist-8tsXn7bh/lib/python3.10/site-packages/sentry_sdk/integrations/django/middleware.py in __call__(177)
  return f(*args, **kwargs)

/home/youser/.local/share/virtualenvs/news-site-columnist-8tsXn7bh/lib/python3.10/site-packages/sentry_sdk/integrations/django/middleware.py in __call__(177)
  return f(*args, **kwargs)

/home/youser/.local/share/virtualenvs/news-site-columnist-8tsXn7bh/lib/python3.10/site-packages/sentry_sdk/integrations/django/middleware.py in __call__(177)
  return f(*args, **kwargs)

/home/youser/.local/share/virtualenvs/news-site-columnist-8tsXn7bh/lib/python3.10/site-packages/sentry_sdk/integrations/django/middleware.py in __call__(177)
  return f(*args, **kwargs)

/home/youser/.local/share/virtualenvs/news-site-columnist-8tsXn7bh/lib/python3.10/site-packages/corsheaders/middleware.py in __call__(53)
  result = self.get_response(request)

/home/youser/.local/share/virtualenvs/news-site-columnist-8tsXn7bh/lib/python3.10/site-packages/sentry_sdk/integrations/django/middleware.py in __call__(177)
  return f(*args, **kwargs)

/home/youser/.local/share/virtualenvs/news-site-columnist-8tsXn7bh/lib/python3.10/site-packages/django_user_agents/middleware.py in __call__(14)
  return self.get_response(request)

/home/youser/.local/share/virtualenvs/news-site-columnist-8tsXn7bh/lib/python3.10/site-packages/sentry_sdk/integrations/django/middleware.py in __call__(177)
  return f(*args, **kwargs)

/home/youser/.local/share/virtualenvs/news-site-columnist-8tsXn7bh/lib/python3.10/site-packages/sentry_sdk/integrations/django/middleware.py in __call__(177)
  return f(*args, **kwargs)

/home/youser/.local/share/virtualenvs/news-site-columnist-8tsXn7bh/lib/python3.10/site-packages/sentry_sdk/integrations/django/middleware.py in __call__(177)
  return f(*args, **kwargs)

/home/youser/.local/share/virtualenvs/news-site-columnist-8tsXn7bh/lib/python3.10/site-packages/sentry_sdk/integrations/django/middleware.py in __call__(177)
  return f(*args, **kwargs)

/home/youser/.local/share/virtualenvs/news-site-columnist-8tsXn7bh/lib/python3.10/site-packages/sentry_sdk/integrations/django/middleware.py in __call__(177)
  return f(*args, **kwargs)

/home/youser/.local/share/virtualenvs/news-site-columnist-8tsXn7bh/lib/python3.10/site-packages/sentry_sdk/integrations/django/middleware.py in __call__(177)
  return f(*args, **kwargs)

/home/youser/.local/share/virtualenvs/news-site-columnist-8tsXn7bh/lib/python3.10/site-packages/sentry_sdk/integrations/django/middleware.py in __call__(177)
  return f(*args, **kwargs)

/home/youser/.local/share/virtualenvs/news-site-columnist-8tsXn7bh/lib/python3.10/site-packages/sentry_sdk/integrations/django/middleware.py in __call__(177)
  return f(*args, **kwargs)

/var/www/news-site-columnist/news/middleware/subdomain_middleare.py in __call__(22)
  response = self.get_response(request)

/home/youser/.local/share/virtualenvs/news-site-columnist-8tsXn7bh/lib/python3.10/site-packages/sentry_sdk/integrations/django/views.py in sentry_patched_render(41)
  return old_render(self)

/home/youser/.local/share/virtualenvs/news-site-columnist-8tsXn7bh/lib/python3.10/site-packages/django/template/response.py in render(114)
  self.content = self.rendered_content

/home/youser/.local/share/virtualenvs/news-site-columnist-8tsXn7bh/lib/python3.10/site-packages/sentry_sdk/utils.py in runner(1864)
  return sentry_patched_function(*args, **kwargs)

/home/youser/.local/share/virtualenvs/news-site-columnist-8tsXn7bh/lib/python3.10/site-packages/sentry_sdk/integrations/django/templates.py in rendered_content(77)
  return real_rendered_content.fget(self)

/home/youser/.local/share/virtualenvs/news-site-columnist-8tsXn7bh/lib/python3.10/site-packages/django/template/response.py in rendered_content(92)
  return template.render(context, self._request)

/home/youser/.local/share/virtualenvs/news-site-columnist-8tsXn7bh/lib/python3.10/site-packages/django/template/backends/django.py in render(61)
  return self.template.render(context)

/home/youser/.local/share/virtualenvs/news-site-columnist-8tsXn7bh/lib/python3.10/site-packages/template_timings_panel/panels/TemplateTimings.py in timing_hook(139)
  result = func(self, *args, **kwargs)

/home/youser/.local/share/virtualenvs/news-site-columnist-8tsXn7bh/lib/python3.10/site-packages/django/template/base.py in render(175)
  return self._render(context)

/home/youser/.local/share/virtualenvs/news-site-columnist-8tsXn7bh/lib/python3.10/site-packages/django/test/utils.py in instrumented_test_render(112)
  return self.nodelist.render(context)

/home/youser/.local/share/virtualenvs/news-site-columnist-8tsXn7bh/lib/python3.10/site-packages/django/template/base.py in render(1005)
  return SafeString("".join([node.render_annotated(context) for node in self]))

/home/youser/.local/share/virtualenvs/news-site-columnist-8tsXn7bh/lib/python3.10/site-packages/django/template/base.py in <listcomp>(1005)
  return SafeString("".join([node.render_annotated(context) for node in self]))

/home/youser/.local/share/virtualenvs/news-site-columnist-8tsXn7bh/lib/python3.10/site-packages/django/template/base.py in render_annotated(966)
  return self.render(context)

/home/youser/.local/share/virtualenvs/news-site-columnist-8tsXn7bh/lib/python3.10/site-packages/django/template/loader_tags.py in render(157)
  return compiled_parent._render(context)

/home/youser/.local/share/virtualenvs/news-site-columnist-8tsXn7bh/lib/python3.10/site-packages/django/test/utils.py in instrumented_test_render(112)
  return self.nodelist.render(context)

/home/youser/.local/share/virtualenvs/news-site-columnist-8tsXn7bh/lib/python3.10/site-packages/django/template/base.py in render(1005)
  return SafeString("".join([node.render_annotated(context) for node in self]))

/home/youser/.local/share/virtualenvs/news-site-columnist-8tsXn7bh/lib/python3.10/site-packages/django/template/base.py in <listcomp>(1005)
  return SafeString("".join([node.render_annotated(context) for node in self]))

/home/youser/.local/share/virtualenvs/news-site-columnist-8tsXn7bh/lib/python3.10/site-packages/django/template/base.py in render_annotated(966)
  return self.render(context)

/home/youser/.local/share/virtualenvs/news-site-columnist-8tsXn7bh/lib/python3.10/site-packages/template_timings_panel/panels/TemplateTimings.py in timing_hook(139)
  result = func(self, *args, **kwargs)

/home/youser/.local/share/virtualenvs/news-site-columnist-8tsXn7bh/lib/python3.10/site-packages/django/template/loader_tags.py in render(63)
  result = block.nodelist.render(context)

/home/youser/.local/share/virtualenvs/news-site-columnist-8tsXn7bh/lib/python3.10/site-packages/django/template/base.py in render(1005)
  return SafeString("".join([node.render_annotated(context) for node in self]))

/home/youser/.local/share/virtualenvs/news-site-columnist-8tsXn7bh/lib/python3.10/site-packages/django/template/base.py in <listcomp>(1005)
  return SafeString("".join([node.render_annotated(context) for node in self]))

/home/youser/.local/share/virtualenvs/news-site-columnist-8tsXn7bh/lib/python3.10/site-packages/django/template/base.py in render_annotated(966)
  return self.render(context)

/home/youser/.local/share/virtualenvs/news-site-columnist-8tsXn7bh/lib/python3.10/site-packages/django/template/defaulttags.py in render(314)
  match = condition.eval(context)

/home/youser/.local/share/virtualenvs/news-site-columnist-8tsXn7bh/lib/python3.10/site-packages/django/template/smartif.py in eval(60)
  return func(context, self.first, self.second)

/home/youser/.local/share/virtualenvs/news-site-columnist-8tsXn7bh/lib/python3.10/site-packages/django/template/smartif.py in <lambda>(97)
  "or": infix(6, lambda context, x, y: x.eval(context) or y.eval(context)),

/home/youser/.local/share/virtualenvs/news-site-columnist-8tsXn7bh/lib/python3.10/site-packages/django/template/defaulttags.py in eval(877)
  return self.value.resolve(context, ignore_failures=True)

/home/youser/.local/share/virtualenvs/news-site-columnist-8tsXn7bh/lib/python3.10/site-packages/django/template/base.py in resolve(715)
  obj = self.var.resolve(context)

/home/youser/.local/share/virtualenvs/news-site-columnist-8tsXn7bh/lib/python3.10/site-packages/django/template/base.py in resolve(847)
  value = self._resolve_lookup(context)

/home/youser/.local/share/virtualenvs/news-site-columnist-8tsXn7bh/lib/python3.10/site-packages/django/template/base.py in _resolve_lookup(880)
  current = current[bit]

/home/youser/.local/share/virtualenvs/news-site-columnist-8tsXn7bh/lib/python3.10/site-packages/django_user_agents/middleware.py in <lambda>(17)
  request.user_agent = SimpleLazyObject(lambda: get_user_agent(request))

/home/youser/.local/share/virtualenvs/news-site-columnist-8tsXn7bh/lib/python3.10/site-packages/django_user_agents/utils.py in get_user_agent(54)
  user_agent = cache.get(key)

0,6826 get ('SiteElements',) {} <django.core.cache.backends.redis.RedisCache object at 0x7f28a55b5450>
/home/youser/.local/share/virtualenvs/news-site-columnist-8tsXn7bh/bin/gunicorn in <module>(8)
  sys.exit(run())

/home/youser/.local/share/virtualenvs/news-site-columnist-8tsXn7bh/lib/python3.10/site-packages/gunicorn/app/wsgiapp.py in run(66)
  WSGIApplication("%(prog)s [OPTIONS] [APP_MODULE]", prog=prog).run()

/home/youser/.local/share/virtualenvs/news-site-columnist-8tsXn7bh/lib/python3.10/site-packages/gunicorn/app/base.py in run(235)
  super().run()

/home/youser/.local/share/virtualenvs/news-site-columnist-8tsXn7bh/lib/python3.10/site-packages/gunicorn/app/base.py in run(71)
  Arbiter(self).run()

/home/youser/.local/share/virtualenvs/news-site-columnist-8tsXn7bh/lib/python3.10/site-packages/gunicorn/arbiter.py in run(210)
  self.manage_workers()

/home/youser/.local/share/virtualenvs/news-site-columnist-8tsXn7bh/lib/python3.10/site-packages/gunicorn/arbiter.py in manage_workers(570)
  self.spawn_workers()

/home/youser/.local/share/virtualenvs/news-site-columnist-8tsXn7bh/lib/python3.10/site-packages/gunicorn/arbiter.py in spawn_workers(641)
  self.spawn_worker()

/home/youser/.local/share/virtualenvs/news-site-columnist-8tsXn7bh/lib/python3.10/site-packages/gunicorn/arbiter.py in spawn_worker(608)
  worker.init_process()

/home/youser/.local/share/virtualenvs/news-site-columnist-8tsXn7bh/lib/python3.10/site-packages/gunicorn/workers/base.py in init_process(143)
  self.run()

/home/youser/.local/share/virtualenvs/news-site-columnist-8tsXn7bh/lib/python3.10/site-packages/gunicorn/workers/sync.py in run(125)
  self.run_for_one(timeout)

/home/youser/.local/share/virtualenvs/news-site-columnist-8tsXn7bh/lib/python3.10/site-packages/gunicorn/workers/sync.py in run_for_one(69)
  self.accept(listener)

/home/youser/.local/share/virtualenvs/news-site-columnist-8tsXn7bh/lib/python3.10/site-packages/gunicorn/workers/sync.py in accept(31)
  self.handle(listener, client, addr)

/home/youser/.local/share/virtualenvs/news-site-columnist-8tsXn7bh/lib/python3.10/site-packages/gunicorn/workers/sync.py in handle(134)
  self.handle_request(listener, req, client, addr)

/home/youser/.local/share/virtualenvs/news-site-columnist-8tsXn7bh/lib/python3.10/site-packages/gunicorn/workers/sync.py in handle_request(177)
  respiter = self.wsgi(environ, resp.start_response)

/home/youser/.local/share/virtualenvs/news-site-columnist-8tsXn7bh/lib/python3.10/site-packages/sentry_sdk/utils.py in runner(1864)
  return sentry_patched_function(*args, **kwargs)

/home/youser/.local/share/virtualenvs/news-site-columnist-8tsXn7bh/lib/python3.10/site-packages/sentry_sdk/integrations/django/__init__.py in sentry_patched_wsgi_handler(191)
  return middleware(environ, start_response)

/home/youser/.local/share/virtualenvs/news-site-columnist-8tsXn7bh/lib/python3.10/site-packages/sentry_sdk/integrations/wsgi.py in __call__(132)
  response = self.app(

/home/youser/.local/share/virtualenvs/news-site-columnist-8tsXn7bh/lib/python3.10/site-packages/sentry_sdk/integrations/django/__init__.py in sentry_patched_get_response(478)
  rv = old_get_response(self, request)

/home/youser/.local/share/virtualenvs/news-site-columnist-8tsXn7bh/lib/python3.10/site-packages/sentry_sdk/integrations/django/middleware.py in __call__(177)
  return f(*args, **kwargs)

/home/youser/.local/share/virtualenvs/news-site-columnist-8tsXn7bh/lib/python3.10/site-packages/sentry_sdk/integrations/django/middleware.py in __call__(177)
  return f(*args, **kwargs)

/var/www/news-site-columnist/redirects/middleware/redirect_middleware.py in __call__(17)
  return self.get_response(request)

/home/youser/.local/share/virtualenvs/news-site-columnist-8tsXn7bh/lib/python3.10/site-packages/sentry_sdk/integrations/django/middleware.py in __call__(177)
  return f(*args, **kwargs)

/home/youser/.local/share/virtualenvs/news-site-columnist-8tsXn7bh/lib/python3.10/site-packages/sentry_sdk/integrations/django/middleware.py in __call__(177)
  return f(*args, **kwargs)

/home/youser/.local/share/virtualenvs/news-site-columnist-8tsXn7bh/lib/python3.10/site-packages/sentry_sdk/integrations/django/middleware.py in __call__(177)
  return f(*args, **kwargs)

/home/youser/.local/share/virtualenvs/news-site-columnist-8tsXn7bh/lib/python3.10/site-packages/sentry_sdk/integrations/django/middleware.py in __call__(177)
  return f(*args, **kwargs)

/home/youser/.local/share/virtualenvs/news-site-columnist-8tsXn7bh/lib/python3.10/site-packages/corsheaders/middleware.py in __call__(53)
  result = self.get_response(request)

/home/youser/.local/share/virtualenvs/news-site-columnist-8tsXn7bh/lib/python3.10/site-packages/sentry_sdk/integrations/django/middleware.py in __call__(177)
  return f(*args, **kwargs)

/home/youser/.local/share/virtualenvs/news-site-columnist-8tsXn7bh/lib/python3.10/site-packages/django_user_agents/middleware.py in __call__(14)
  return self.get_response(request)

/home/youser/.local/share/virtualenvs/news-site-columnist-8tsXn7bh/lib/python3.10/site-packages/sentry_sdk/integrations/django/middleware.py in __call__(177)
  return f(*args, **kwargs)

/home/youser/.local/share/virtualenvs/news-site-columnist-8tsXn7bh/lib/python3.10/site-packages/sentry_sdk/integrations/django/middleware.py in __call__(177)
  return f(*args, **kwargs)

/home/youser/.local/share/virtualenvs/news-site-columnist-8tsXn7bh/lib/python3.10/site-packages/sentry_sdk/integrations/django/middleware.py in __call__(177)
  return f(*args, **kwargs)

/home/youser/.local/share/virtualenvs/news-site-columnist-8tsXn7bh/lib/python3.10/site-packages/sentry_sdk/integrations/django/middleware.py in __call__(177)
  return f(*args, **kwargs)

/home/youser/.local/share/virtualenvs/news-site-columnist-8tsXn7bh/lib/python3.10/site-packages/sentry_sdk/integrations/django/middleware.py in __call__(177)
  return f(*args, **kwargs)

/home/youser/.local/share/virtualenvs/news-site-columnist-8tsXn7bh/lib/python3.10/site-packages/sentry_sdk/integrations/django/middleware.py in __call__(177)
  return f(*args, **kwargs)

/home/youser/.local/share/virtualenvs/news-site-columnist-8tsXn7bh/lib/python3.10/site-packages/sentry_sdk/integrations/django/middleware.py in __call__(177)
  return f(*args, **kwargs)

/home/youser/.local/share/virtualenvs/news-site-columnist-8tsXn7bh/lib/python3.10/site-packages/sentry_sdk/integrations/django/middleware.py in __call__(177)
  return f(*args, **kwargs)

/var/www/news-site-columnist/news/middleware/subdomain_middleare.py in __call__(22)
  response = self.get_response(request)

/home/youser/.local/share/virtualenvs/news-site-columnist-8tsXn7bh/lib/python3.10/site-packages/sentry_sdk/integrations/django/views.py in sentry_patched_render(41)
  return old_render(self)

/home/youser/.local/share/virtualenvs/news-site-columnist-8tsXn7bh/lib/python3.10/site-packages/django/template/response.py in render(114)
  self.content = self.rendered_content

/home/youser/.local/share/virtualenvs/news-site-columnist-8tsXn7bh/lib/python3.10/site-packages/sentry_sdk/utils.py in runner(1864)
  return sentry_patched_function(*args, **kwargs)

/home/youser/.local/share/virtualenvs/news-site-columnist-8tsXn7bh/lib/python3.10/site-packages/sentry_sdk/integrations/django/templates.py in rendered_content(77)
  return real_rendered_content.fget(self)

/home/youser/.local/share/virtualenvs/news-site-columnist-8tsXn7bh/lib/python3.10/site-packages/django/template/response.py in rendered_content(92)
  return template.render(context, self._request)

/home/youser/.local/share/virtualenvs/news-site-columnist-8tsXn7bh/lib/python3.10/site-packages/django/template/backends/django.py in render(61)
  return self.template.render(context)

/home/youser/.local/share/virtualenvs/news-site-columnist-8tsXn7bh/lib/python3.10/site-packages/template_timings_panel/panels/TemplateTimings.py in timing_hook(139)
  result = func(self, *args, **kwargs)

/home/youser/.local/share/virtualenvs/news-site-columnist-8tsXn7bh/lib/python3.10/site-packages/django/template/base.py in render(175)
  return self._render(context)

/home/youser/.local/share/virtualenvs/news-site-columnist-8tsXn7bh/lib/python3.10/site-packages/django/test/utils.py in instrumented_test_render(112)
  return self.nodelist.render(context)

/home/youser/.local/share/virtualenvs/news-site-columnist-8tsXn7bh/lib/python3.10/site-packages/django/template/base.py in render(1005)
  return SafeString("".join([node.render_annotated(context) for node in self]))

/home/youser/.local/share/virtualenvs/news-site-columnist-8tsXn7bh/lib/python3.10/site-packages/django/template/base.py in <listcomp>(1005)
  return SafeString("".join([node.render_annotated(context) for node in self]))

/home/youser/.local/share/virtualenvs/news-site-columnist-8tsXn7bh/lib/python3.10/site-packages/django/template/base.py in render_annotated(966)
  return self.render(context)

/home/youser/.local/share/virtualenvs/news-site-columnist-8tsXn7bh/lib/python3.10/site-packages/django/template/loader_tags.py in render(157)
  return compiled_parent._render(context)

/home/youser/.local/share/virtualenvs/news-site-columnist-8tsXn7bh/lib/python3.10/site-packages/django/test/utils.py in instrumented_test_render(112)
  return self.nodelist.render(context)

/home/youser/.local/share/virtualenvs/news-site-columnist-8tsXn7bh/lib/python3.10/site-packages/django/template/base.py in render(1005)
  return SafeString("".join([node.render_annotated(context) for node in self]))

/home/youser/.local/share/virtualenvs/news-site-columnist-8tsXn7bh/lib/python3.10/site-packages/django/template/base.py in <listcomp>(1005)
  return SafeString("".join([node.render_annotated(context) for node in self]))

/home/youser/.local/share/virtualenvs/news-site-columnist-8tsXn7bh/lib/python3.10/site-packages/django/template/base.py in render_annotated(966)
  return self.render(context)

/home/youser/.local/share/virtualenvs/news-site-columnist-8tsXn7bh/lib/python3.10/site-packages/template_timings_panel/panels/TemplateTimings.py in timing_hook(139)
  result = func(self, *args, **kwargs)

/home/youser/.local/share/virtualenvs/news-site-columnist-8tsXn7bh/lib/python3.10/site-packages/django/template/loader_tags.py in render(63)
  result = block.nodelist.render(context)

/home/youser/.local/share/virtualenvs/news-site-columnist-8tsXn7bh/lib/python3.10/site-packages/django/template/base.py in render(1005)
  return SafeString("".join([node.render_annotated(context) for node in self]))

/home/youser/.local/share/virtualenvs/news-site-columnist-8tsXn7bh/lib/python3.10/site-packages/django/template/base.py in <listcomp>(1005)
  return SafeString("".join([node.render_annotated(context) for node in self]))

/home/youser/.local/share/virtualenvs/news-site-columnist-8tsXn7bh/lib/python3.10/site-packages/django/template/base.py in render_annotated(966)
  return self.render(context)

/home/youser/.local/share/virtualenvs/news-site-columnist-8tsXn7bh/lib/python3.10/site-packages/django/template/loader_tags.py in render(208)
  return template.render(context)

/home/youser/.local/share/virtualenvs/news-site-columnist-8tsXn7bh/lib/python3.10/site-packages/template_timings_panel/panels/TemplateTimings.py in timing_hook(139)
  result = func(self, *args, **kwargs)

/home/youser/.local/share/virtualenvs/news-site-columnist-8tsXn7bh/lib/python3.10/site-packages/django/template/base.py in render(177)
  return self._render(context)

/home/youser/.local/share/virtualenvs/news-site-columnist-8tsXn7bh/lib/python3.10/site-packages/django/test/utils.py in instrumented_test_render(112)
  return self.nodelist.render(context)

/home/youser/.local/share/virtualenvs/news-site-columnist-8tsXn7bh/lib/python3.10/site-packages/django/template/base.py in render(1005)
  return SafeString("".join([node.render_annotated(context) for node in self]))

/home/youser/.local/share/virtualenvs/news-site-columnist-8tsXn7bh/lib/python3.10/site-packages/django/template/base.py in <listcomp>(1005)
  return SafeString("".join([node.render_annotated(context) for node in self]))

/home/youser/.local/share/virtualenvs/news-site-columnist-8tsXn7bh/lib/python3.10/site-packages/django/template/base.py in render_annotated(966)
  return self.render(context)

/home/youser/.local/share/virtualenvs/news-site-columnist-8tsXn7bh/lib/python3.10/site-packages/django/template/library.py in render(237)
  output = self.func(*resolved_args, **resolved_kwargs)

/var/www/news-site-columnist/news/templatetags/custom_tags.py in get_site_elements(528)
  return SiteElements.load()

/var/www/news-site-columnist/novyny_live/models.py in load(26)
  if cache.get(cls.__name__) is None:

0,5632 get ('SiteElements',) {} <django.core.cache.backends.redis.RedisCache object at 0x7f28a55b5450>
/home/youser/.local/share/virtualenvs/news-site-columnist-8tsXn7bh/bin/gunicorn in <module>(8)
  sys.exit(run())

/home/youser/.local/share/virtualenvs/news-site-columnist-8tsXn7bh/lib/python3.10/site-packages/gunicorn/app/wsgiapp.py in run(66)
  WSGIApplication("%(prog)s [OPTIONS] [APP_MODULE]", prog=prog).run()

/home/youser/.local/share/virtualenvs/news-site-columnist-8tsXn7bh/lib/python3.10/site-packages/gunicorn/app/base.py in run(235)
  super().run()

/home/youser/.local/share/virtualenvs/news-site-columnist-8tsXn7bh/lib/python3.10/site-packages/gunicorn/app/base.py in run(71)
  Arbiter(self).run()

/home/youser/.local/share/virtualenvs/news-site-columnist-8tsXn7bh/lib/python3.10/site-packages/gunicorn/arbiter.py in run(210)
  self.manage_workers()

/home/youser/.local/share/virtualenvs/news-site-columnist-8tsXn7bh/lib/python3.10/site-packages/gunicorn/arbiter.py in manage_workers(570)
  self.spawn_workers()

/home/youser/.local/share/virtualenvs/news-site-columnist-8tsXn7bh/lib/python3.10/site-packages/gunicorn/arbiter.py in spawn_workers(641)
  self.spawn_worker()

/home/youser/.local/share/virtualenvs/news-site-columnist-8tsXn7bh/lib/python3.10/site-packages/gunicorn/arbiter.py in spawn_worker(608)
  worker.init_process()

/home/youser/.local/share/virtualenvs/news-site-columnist-8tsXn7bh/lib/python3.10/site-packages/gunicorn/workers/base.py in init_process(143)
  self.run()

/home/youser/.local/share/virtualenvs/news-site-columnist-8tsXn7bh/lib/python3.10/site-packages/gunicorn/workers/sync.py in run(125)
  self.run_for_one(timeout)

/home/youser/.local/share/virtualenvs/news-site-columnist-8tsXn7bh/lib/python3.10/site-packages/gunicorn/workers/sync.py in run_for_one(69)
  self.accept(listener)

/home/youser/.local/share/virtualenvs/news-site-columnist-8tsXn7bh/lib/python3.10/site-packages/gunicorn/workers/sync.py in accept(31)
  self.handle(listener, client, addr)

/home/youser/.local/share/virtualenvs/news-site-columnist-8tsXn7bh/lib/python3.10/site-packages/gunicorn/workers/sync.py in handle(134)
  self.handle_request(listener, req, client, addr)

/home/youser/.local/share/virtualenvs/news-site-columnist-8tsXn7bh/lib/python3.10/site-packages/gunicorn/workers/sync.py in handle_request(177)
  respiter = self.wsgi(environ, resp.start_response)

/home/youser/.local/share/virtualenvs/news-site-columnist-8tsXn7bh/lib/python3.10/site-packages/sentry_sdk/utils.py in runner(1864)
  return sentry_patched_function(*args, **kwargs)

/home/youser/.local/share/virtualenvs/news-site-columnist-8tsXn7bh/lib/python3.10/site-packages/sentry_sdk/integrations/django/__init__.py in sentry_patched_wsgi_handler(191)
  return middleware(environ, start_response)

/home/youser/.local/share/virtualenvs/news-site-columnist-8tsXn7bh/lib/python3.10/site-packages/sentry_sdk/integrations/wsgi.py in __call__(132)
  response = self.app(

/home/youser/.local/share/virtualenvs/news-site-columnist-8tsXn7bh/lib/python3.10/site-packages/sentry_sdk/integrations/django/__init__.py in sentry_patched_get_response(478)
  rv = old_get_response(self, request)

/home/youser/.local/share/virtualenvs/news-site-columnist-8tsXn7bh/lib/python3.10/site-packages/sentry_sdk/integrations/django/middleware.py in __call__(177)
  return f(*args, **kwargs)

/home/youser/.local/share/virtualenvs/news-site-columnist-8tsXn7bh/lib/python3.10/site-packages/sentry_sdk/integrations/django/middleware.py in __call__(177)
  return f(*args, **kwargs)

/var/www/news-site-columnist/redirects/middleware/redirect_middleware.py in __call__(17)
  return self.get_response(request)

/home/youser/.local/share/virtualenvs/news-site-columnist-8tsXn7bh/lib/python3.10/site-packages/sentry_sdk/integrations/django/middleware.py in __call__(177)
  return f(*args, **kwargs)

/home/youser/.local/share/virtualenvs/news-site-columnist-8tsXn7bh/lib/python3.10/site-packages/sentry_sdk/integrations/django/middleware.py in __call__(177)
  return f(*args, **kwargs)

/home/youser/.local/share/virtualenvs/news-site-columnist-8tsXn7bh/lib/python3.10/site-packages/sentry_sdk/integrations/django/middleware.py in __call__(177)
  return f(*args, **kwargs)

/home/youser/.local/share/virtualenvs/news-site-columnist-8tsXn7bh/lib/python3.10/site-packages/sentry_sdk/integrations/django/middleware.py in __call__(177)
  return f(*args, **kwargs)

/home/youser/.local/share/virtualenvs/news-site-columnist-8tsXn7bh/lib/python3.10/site-packages/corsheaders/middleware.py in __call__(53)
  result = self.get_response(request)

/home/youser/.local/share/virtualenvs/news-site-columnist-8tsXn7bh/lib/python3.10/site-packages/sentry_sdk/integrations/django/middleware.py in __call__(177)
  return f(*args, **kwargs)

/home/youser/.local/share/virtualenvs/news-site-columnist-8tsXn7bh/lib/python3.10/site-packages/django_user_agents/middleware.py in __call__(14)
  return self.get_response(request)

/home/youser/.local/share/virtualenvs/news-site-columnist-8tsXn7bh/lib/python3.10/site-packages/sentry_sdk/integrations/django/middleware.py in __call__(177)
  return f(*args, **kwargs)

/home/youser/.local/share/virtualenvs/news-site-columnist-8tsXn7bh/lib/python3.10/site-packages/sentry_sdk/integrations/django/middleware.py in __call__(177)
  return f(*args, **kwargs)

/home/youser/.local/share/virtualenvs/news-site-columnist-8tsXn7bh/lib/python3.10/site-packages/sentry_sdk/integrations/django/middleware.py in __call__(177)
  return f(*args, **kwargs)

/home/youser/.local/share/virtualenvs/news-site-columnist-8tsXn7bh/lib/python3.10/site-packages/sentry_sdk/integrations/django/middleware.py in __call__(177)
  return f(*args, **kwargs)

/home/youser/.local/share/virtualenvs/news-site-columnist-8tsXn7bh/lib/python3.10/site-packages/sentry_sdk/integrations/django/middleware.py in __call__(177)
  return f(*args, **kwargs)

/home/youser/.local/share/virtualenvs/news-site-columnist-8tsXn7bh/lib/python3.10/site-packages/sentry_sdk/integrations/django/middleware.py in __call__(177)
  return f(*args, **kwargs)

/home/youser/.local/share/virtualenvs/news-site-columnist-8tsXn7bh/lib/python3.10/site-packages/sentry_sdk/integrations/django/middleware.py in __call__(177)
  return f(*args, **kwargs)

/home/youser/.local/share/virtualenvs/news-site-columnist-8tsXn7bh/lib/python3.10/site-packages/sentry_sdk/integrations/django/middleware.py in __call__(177)
  return f(*args, **kwargs)

/var/www/news-site-columnist/news/middleware/subdomain_middleare.py in __call__(22)
  response = self.get_response(request)

/home/youser/.local/share/virtualenvs/news-site-columnist-8tsXn7bh/lib/python3.10/site-packages/sentry_sdk/integrations/django/views.py in sentry_patched_render(41)
  return old_render(self)

/home/youser/.local/share/virtualenvs/news-site-columnist-8tsXn7bh/lib/python3.10/site-packages/django/template/response.py in render(114)
  self.content = self.rendered_content

/home/youser/.local/share/virtualenvs/news-site-columnist-8tsXn7bh/lib/python3.10/site-packages/sentry_sdk/utils.py in runner(1864)
  return sentry_patched_function(*args, **kwargs)

/home/youser/.local/share/virtualenvs/news-site-columnist-8tsXn7bh/lib/python3.10/site-packages/sentry_sdk/integrations/django/templates.py in rendered_content(77)
  return real_rendered_content.fget(self)

/home/youser/.local/share/virtualenvs/news-site-columnist-8tsXn7bh/lib/python3.10/site-packages/django/template/response.py in rendered_content(92)
  return template.render(context, self._request)

/home/youser/.local/share/virtualenvs/news-site-columnist-8tsXn7bh/lib/python3.10/site-packages/django/template/backends/django.py in render(61)
  return self.template.render(context)

/home/youser/.local/share/virtualenvs/news-site-columnist-8tsXn7bh/lib/python3.10/site-packages/template_timings_panel/panels/TemplateTimings.py in timing_hook(139)
  result = func(self, *args, **kwargs)

/home/youser/.local/share/virtualenvs/news-site-columnist-8tsXn7bh/lib/python3.10/site-packages/django/template/base.py in render(175)
  return self._render(context)

/home/youser/.local/share/virtualenvs/news-site-columnist-8tsXn7bh/lib/python3.10/site-packages/django/test/utils.py in instrumented_test_render(112)
  return self.nodelist.render(context)

/home/youser/.local/share/virtualenvs/news-site-columnist-8tsXn7bh/lib/python3.10/site-packages/django/template/base.py in render(1005)
  return SafeString("".join([node.render_annotated(context) for node in self]))

/home/youser/.local/share/virtualenvs/news-site-columnist-8tsXn7bh/lib/python3.10/site-packages/django/template/base.py in <listcomp>(1005)
  return SafeString("".join([node.render_annotated(context) for node in self]))

/home/youser/.local/share/virtualenvs/news-site-columnist-8tsXn7bh/lib/python3.10/site-packages/django/template/base.py in render_annotated(966)
  return self.render(context)

/home/youser/.local/share/virtualenvs/news-site-columnist-8tsXn7bh/lib/python3.10/site-packages/django/template/loader_tags.py in render(157)
  return compiled_parent._render(context)

/home/youser/.local/share/virtualenvs/news-site-columnist-8tsXn7bh/lib/python3.10/site-packages/django/test/utils.py in instrumented_test_render(112)
  return self.nodelist.render(context)

/home/youser/.local/share/virtualenvs/news-site-columnist-8tsXn7bh/lib/python3.10/site-packages/django/template/base.py in render(1005)
  return SafeString("".join([node.render_annotated(context) for node in self]))

/home/youser/.local/share/virtualenvs/news-site-columnist-8tsXn7bh/lib/python3.10/site-packages/django/template/base.py in <listcomp>(1005)
  return SafeString("".join([node.render_annotated(context) for node in self]))

/home/youser/.local/share/virtualenvs/news-site-columnist-8tsXn7bh/lib/python3.10/site-packages/django/template/base.py in render_annotated(966)
  return self.render(context)

/home/youser/.local/share/virtualenvs/news-site-columnist-8tsXn7bh/lib/python3.10/site-packages/template_timings_panel/panels/TemplateTimings.py in timing_hook(139)
  result = func(self, *args, **kwargs)

/home/youser/.local/share/virtualenvs/news-site-columnist-8tsXn7bh/lib/python3.10/site-packages/django/template/loader_tags.py in render(63)
  result = block.nodelist.render(context)

/home/youser/.local/share/virtualenvs/news-site-columnist-8tsXn7bh/lib/python3.10/site-packages/django/template/base.py in render(1005)
  return SafeString("".join([node.render_annotated(context) for node in self]))

/home/youser/.local/share/virtualenvs/news-site-columnist-8tsXn7bh/lib/python3.10/site-packages/django/template/base.py in <listcomp>(1005)
  return SafeString("".join([node.render_annotated(context) for node in self]))

/home/youser/.local/share/virtualenvs/news-site-columnist-8tsXn7bh/lib/python3.10/site-packages/django/template/base.py in render_annotated(966)
  return self.render(context)

/home/youser/.local/share/virtualenvs/news-site-columnist-8tsXn7bh/lib/python3.10/site-packages/django/template/loader_tags.py in render(208)
  return template.render(context)

/home/youser/.local/share/virtualenvs/news-site-columnist-8tsXn7bh/lib/python3.10/site-packages/template_timings_panel/panels/TemplateTimings.py in timing_hook(139)
  result = func(self, *args, **kwargs)

/home/youser/.local/share/virtualenvs/news-site-columnist-8tsXn7bh/lib/python3.10/site-packages/django/template/base.py in render(177)
  return self._render(context)

/home/youser/.local/share/virtualenvs/news-site-columnist-8tsXn7bh/lib/python3.10/site-packages/django/test/utils.py in instrumented_test_render(112)
  return self.nodelist.render(context)

/home/youser/.local/share/virtualenvs/news-site-columnist-8tsXn7bh/lib/python3.10/site-packages/django/template/base.py in render(1005)
  return SafeString("".join([node.render_annotated(context) for node in self]))

/home/youser/.local/share/virtualenvs/news-site-columnist-8tsXn7bh/lib/python3.10/site-packages/django/template/base.py in <listcomp>(1005)
  return SafeString("".join([node.render_annotated(context) for node in self]))

/home/youser/.local/share/virtualenvs/news-site-columnist-8tsXn7bh/lib/python3.10/site-packages/django/template/base.py in render_annotated(966)
  return self.render(context)

/home/youser/.local/share/virtualenvs/news-site-columnist-8tsXn7bh/lib/python3.10/site-packages/django/template/library.py in render(237)
  output = self.func(*resolved_args, **resolved_kwargs)

/var/www/news-site-columnist/news/templatetags/custom_tags.py in get_site_elements(528)
  return SiteElements.load()

/var/www/news-site-columnist/novyny_live/models.py in load(30)
  return cache.get(cls.__name__)

0,4391 get ('django_user_agents.fac378ac3b3d3886829021b3309d4fd1',) {} <django.core.cache.backends.redis.RedisCache object at 0x7f28a55b5450>
/home/youser/.local/share/virtualenvs/news-site-columnist-8tsXn7bh/bin/gunicorn in <module>(8)
  sys.exit(run())

/home/youser/.local/share/virtualenvs/news-site-columnist-8tsXn7bh/lib/python3.10/site-packages/gunicorn/app/wsgiapp.py in run(66)
  WSGIApplication("%(prog)s [OPTIONS] [APP_MODULE]", prog=prog).run()

/home/youser/.local/share/virtualenvs/news-site-columnist-8tsXn7bh/lib/python3.10/site-packages/gunicorn/app/base.py in run(235)
  super().run()

/home/youser/.local/share/virtualenvs/news-site-columnist-8tsXn7bh/lib/python3.10/site-packages/gunicorn/app/base.py in run(71)
  Arbiter(self).run()

/home/youser/.local/share/virtualenvs/news-site-columnist-8tsXn7bh/lib/python3.10/site-packages/gunicorn/arbiter.py in run(210)
  self.manage_workers()

/home/youser/.local/share/virtualenvs/news-site-columnist-8tsXn7bh/lib/python3.10/site-packages/gunicorn/arbiter.py in manage_workers(570)
  self.spawn_workers()

/home/youser/.local/share/virtualenvs/news-site-columnist-8tsXn7bh/lib/python3.10/site-packages/gunicorn/arbiter.py in spawn_workers(641)
  self.spawn_worker()

/home/youser/.local/share/virtualenvs/news-site-columnist-8tsXn7bh/lib/python3.10/site-packages/gunicorn/arbiter.py in spawn_worker(608)
  worker.init_process()

/home/youser/.local/share/virtualenvs/news-site-columnist-8tsXn7bh/lib/python3.10/site-packages/gunicorn/workers/base.py in init_process(143)
  self.run()

/home/youser/.local/share/virtualenvs/news-site-columnist-8tsXn7bh/lib/python3.10/site-packages/gunicorn/workers/sync.py in run(125)
  self.run_for_one(timeout)

/home/youser/.local/share/virtualenvs/news-site-columnist-8tsXn7bh/lib/python3.10/site-packages/gunicorn/workers/sync.py in run_for_one(69)
  self.accept(listener)

/home/youser/.local/share/virtualenvs/news-site-columnist-8tsXn7bh/lib/python3.10/site-packages/gunicorn/workers/sync.py in accept(31)
  self.handle(listener, client, addr)

/home/youser/.local/share/virtualenvs/news-site-columnist-8tsXn7bh/lib/python3.10/site-packages/gunicorn/workers/sync.py in handle(134)
  self.handle_request(listener, req, client, addr)

/home/youser/.local/share/virtualenvs/news-site-columnist-8tsXn7bh/lib/python3.10/site-packages/gunicorn/workers/sync.py in handle_request(177)
  respiter = self.wsgi(environ, resp.start_response)

/home/youser/.local/share/virtualenvs/news-site-columnist-8tsXn7bh/lib/python3.10/site-packages/sentry_sdk/utils.py in runner(1864)
  return sentry_patched_function(*args, **kwargs)

/home/youser/.local/share/virtualenvs/news-site-columnist-8tsXn7bh/lib/python3.10/site-packages/sentry_sdk/integrations/django/__init__.py in sentry_patched_wsgi_handler(191)
  return middleware(environ, start_response)

/home/youser/.local/share/virtualenvs/news-site-columnist-8tsXn7bh/lib/python3.10/site-packages/sentry_sdk/integrations/wsgi.py in __call__(132)
  response = self.app(

/home/youser/.local/share/virtualenvs/news-site-columnist-8tsXn7bh/lib/python3.10/site-packages/sentry_sdk/integrations/django/__init__.py in sentry_patched_get_response(478)
  rv = old_get_response(self, request)

/home/youser/.local/share/virtualenvs/news-site-columnist-8tsXn7bh/lib/python3.10/site-packages/sentry_sdk/integrations/django/middleware.py in __call__(177)
  return f(*args, **kwargs)

/home/youser/.local/share/virtualenvs/news-site-columnist-8tsXn7bh/lib/python3.10/site-packages/sentry_sdk/integrations/django/middleware.py in __call__(177)
  return f(*args, **kwargs)

/var/www/news-site-columnist/redirects/middleware/redirect_middleware.py in __call__(17)
  return self.get_response(request)

/home/youser/.local/share/virtualenvs/news-site-columnist-8tsXn7bh/lib/python3.10/site-packages/sentry_sdk/integrations/django/middleware.py in __call__(177)
  return f(*args, **kwargs)

/home/youser/.local/share/virtualenvs/news-site-columnist-8tsXn7bh/lib/python3.10/site-packages/sentry_sdk/integrations/django/middleware.py in __call__(177)
  return f(*args, **kwargs)

/home/youser/.local/share/virtualenvs/news-site-columnist-8tsXn7bh/lib/python3.10/site-packages/sentry_sdk/integrations/django/middleware.py in __call__(177)
  return f(*args, **kwargs)

/home/youser/.local/share/virtualenvs/news-site-columnist-8tsXn7bh/lib/python3.10/site-packages/sentry_sdk/integrations/django/middleware.py in __call__(177)
  return f(*args, **kwargs)

/home/youser/.local/share/virtualenvs/news-site-columnist-8tsXn7bh/lib/python3.10/site-packages/corsheaders/middleware.py in __call__(53)
  result = self.get_response(request)

/home/youser/.local/share/virtualenvs/news-site-columnist-8tsXn7bh/lib/python3.10/site-packages/sentry_sdk/integrations/django/middleware.py in __call__(177)
  return f(*args, **kwargs)

/home/youser/.local/share/virtualenvs/news-site-columnist-8tsXn7bh/lib/python3.10/site-packages/django_user_agents/middleware.py in __call__(14)
  return self.get_response(request)

/home/youser/.local/share/virtualenvs/news-site-columnist-8tsXn7bh/lib/python3.10/site-packages/sentry_sdk/integrations/django/middleware.py in __call__(177)
  return f(*args, **kwargs)

/home/youser/.local/share/virtualenvs/news-site-columnist-8tsXn7bh/lib/python3.10/site-packages/sentry_sdk/integrations/django/middleware.py in __call__(177)
  return f(*args, **kwargs)

/home/youser/.local/share/virtualenvs/news-site-columnist-8tsXn7bh/lib/python3.10/site-packages/sentry_sdk/integrations/django/middleware.py in __call__(177)
  return f(*args, **kwargs)

/home/youser/.local/share/virtualenvs/news-site-columnist-8tsXn7bh/lib/python3.10/site-packages/sentry_sdk/integrations/django/middleware.py in __call__(177)
  return f(*args, **kwargs)

/home/youser/.local/share/virtualenvs/news-site-columnist-8tsXn7bh/lib/python3.10/site-packages/sentry_sdk/integrations/django/middleware.py in __call__(177)
  return f(*args, **kwargs)

/home/youser/.local/share/virtualenvs/news-site-columnist-8tsXn7bh/lib/python3.10/site-packages/sentry_sdk/integrations/django/middleware.py in __call__(177)
  return f(*args, **kwargs)

/home/youser/.local/share/virtualenvs/news-site-columnist-8tsXn7bh/lib/python3.10/site-packages/sentry_sdk/integrations/django/middleware.py in __call__(177)
  return f(*args, **kwargs)

/home/youser/.local/share/virtualenvs/news-site-columnist-8tsXn7bh/lib/python3.10/site-packages/sentry_sdk/integrations/django/middleware.py in __call__(177)
  return f(*args, **kwargs)

/var/www/news-site-columnist/news/middleware/subdomain_middleare.py in __call__(22)
  response = self.get_response(request)

/home/youser/.local/share/virtualenvs/news-site-columnist-8tsXn7bh/lib/python3.10/site-packages/sentry_sdk/integrations/django/views.py in sentry_patched_render(41)
  return old_render(self)

/home/youser/.local/share/virtualenvs/news-site-columnist-8tsXn7bh/lib/python3.10/site-packages/django/template/response.py in render(114)
  self.content = self.rendered_content

/home/youser/.local/share/virtualenvs/news-site-columnist-8tsXn7bh/lib/python3.10/site-packages/sentry_sdk/utils.py in runner(1864)
  return sentry_patched_function(*args, **kwargs)

/home/youser/.local/share/virtualenvs/news-site-columnist-8tsXn7bh/lib/python3.10/site-packages/sentry_sdk/integrations/django/templates.py in rendered_content(77)
  return real_rendered_content.fget(self)

/home/youser/.local/share/virtualenvs/news-site-columnist-8tsXn7bh/lib/python3.10/site-packages/django/template/response.py in rendered_content(92)
  return template.render(context, self._request)

/home/youser/.local/share/virtualenvs/news-site-columnist-8tsXn7bh/lib/python3.10/site-packages/django/template/backends/django.py in render(61)
  return self.template.render(context)

/home/youser/.local/share/virtualenvs/news-site-columnist-8tsXn7bh/lib/python3.10/site-packages/template_timings_panel/panels/TemplateTimings.py in timing_hook(139)
  result = func(self, *args, **kwargs)

/home/youser/.local/share/virtualenvs/news-site-columnist-8tsXn7bh/lib/python3.10/site-packages/django/template/base.py in render(175)
  return self._render(context)

/home/youser/.local/share/virtualenvs/news-site-columnist-8tsXn7bh/lib/python3.10/site-packages/django/test/utils.py in instrumented_test_render(112)
  return self.nodelist.render(context)

/home/youser/.local/share/virtualenvs/news-site-columnist-8tsXn7bh/lib/python3.10/site-packages/django/template/base.py in render(1005)
  return SafeString("".join([node.render_annotated(context) for node in self]))

/home/youser/.local/share/virtualenvs/news-site-columnist-8tsXn7bh/lib/python3.10/site-packages/django/template/base.py in <listcomp>(1005)
  return SafeString("".join([node.render_annotated(context) for node in self]))

/home/youser/.local/share/virtualenvs/news-site-columnist-8tsXn7bh/lib/python3.10/site-packages/django/template/base.py in render_annotated(966)
  return self.render(context)

/home/youser/.local/share/virtualenvs/news-site-columnist-8tsXn7bh/lib/python3.10/site-packages/django/template/loader_tags.py in render(157)
  return compiled_parent._render(context)

/home/youser/.local/share/virtualenvs/news-site-columnist-8tsXn7bh/lib/python3.10/site-packages/django/test/utils.py in instrumented_test_render(112)
  return self.nodelist.render(context)

/home/youser/.local/share/virtualenvs/news-site-columnist-8tsXn7bh/lib/python3.10/site-packages/django/template/base.py in render(1005)
  return SafeString("".join([node.render_annotated(context) for node in self]))

/home/youser/.local/share/virtualenvs/news-site-columnist-8tsXn7bh/lib/python3.10/site-packages/django/template/base.py in <listcomp>(1005)
  return SafeString("".join([node.render_annotated(context) for node in self]))

/home/youser/.local/share/virtualenvs/news-site-columnist-8tsXn7bh/lib/python3.10/site-packages/django/template/base.py in render_annotated(966)
  return self.render(context)

/home/youser/.local/share/virtualenvs/news-site-columnist-8tsXn7bh/lib/python3.10/site-packages/template_timings_panel/panels/TemplateTimings.py in timing_hook(139)
  result = func(self, *args, **kwargs)

/home/youser/.local/share/virtualenvs/news-site-columnist-8tsXn7bh/lib/python3.10/site-packages/django/template/loader_tags.py in render(63)
  result = block.nodelist.render(context)

/home/youser/.local/share/virtualenvs/news-site-columnist-8tsXn7bh/lib/python3.10/site-packages/django/template/base.py in render(1005)
  return SafeString("".join([node.render_annotated(context) for node in self]))

/home/youser/.local/share/virtualenvs/news-site-columnist-8tsXn7bh/lib/python3.10/site-packages/django/template/base.py in <listcomp>(1005)
  return SafeString("".join([node.render_annotated(context) for node in self]))

/home/youser/.local/share/virtualenvs/news-site-columnist-8tsXn7bh/lib/python3.10/site-packages/django/template/base.py in render_annotated(966)
  return self.render(context)

/home/youser/.local/share/virtualenvs/news-site-columnist-8tsXn7bh/lib/python3.10/site-packages/template_timings_panel/panels/TemplateTimings.py in timing_hook(139)
  result = func(self, *args, **kwargs)

/home/youser/.local/share/virtualenvs/news-site-columnist-8tsXn7bh/lib/python3.10/site-packages/django/template/loader_tags.py in render(63)
  result = block.nodelist.render(context)

/home/youser/.local/share/virtualenvs/news-site-columnist-8tsXn7bh/lib/python3.10/site-packages/django/template/base.py in render(1005)
  return SafeString("".join([node.render_annotated(context) for node in self]))

/home/youser/.local/share/virtualenvs/news-site-columnist-8tsXn7bh/lib/python3.10/site-packages/django/template/base.py in <listcomp>(1005)
  return SafeString("".join([node.render_annotated(context) for node in self]))

/home/youser/.local/share/virtualenvs/news-site-columnist-8tsXn7bh/lib/python3.10/site-packages/django/template/base.py in render_annotated(966)
  return self.render(context)

/home/youser/.local/share/virtualenvs/news-site-columnist-8tsXn7bh/lib/python3.10/site-packages/django/template/loader_tags.py in render(208)
  return template.render(context)

/home/youser/.local/share/virtualenvs/news-site-columnist-8tsXn7bh/lib/python3.10/site-packages/template_timings_panel/panels/TemplateTimings.py in timing_hook(139)
  result = func(self, *args, **kwargs)

/home/youser/.local/share/virtualenvs/news-site-columnist-8tsXn7bh/lib/python3.10/site-packages/django/template/base.py in render(177)
  return self._render(context)

/home/youser/.local/share/virtualenvs/news-site-columnist-8tsXn7bh/lib/python3.10/site-packages/django/test/utils.py in instrumented_test_render(112)
  return self.nodelist.render(context)

/home/youser/.local/share/virtualenvs/news-site-columnist-8tsXn7bh/lib/python3.10/site-packages/django/template/base.py in render(1005)
  return SafeString("".join([node.render_annotated(context) for node in self]))

/home/youser/.local/share/virtualenvs/news-site-columnist-8tsXn7bh/lib/python3.10/site-packages/django/template/base.py in <listcomp>(1005)
  return SafeString("".join([node.render_annotated(context) for node in self]))

/home/youser/.local/share/virtualenvs/news-site-columnist-8tsXn7bh/lib/python3.10/site-packages/django/template/base.py in render_annotated(966)
  return self.render(context)

/home/youser/.local/share/virtualenvs/news-site-columnist-8tsXn7bh/lib/python3.10/site-packages/template_timings_panel/panels/TemplateTimings.py in timing_hook(139)
  result = func(self, *args, **kwargs)

/home/youser/.local/share/virtualenvs/news-site-columnist-8tsXn7bh/lib/python3.10/site-packages/django/template/loader_tags.py in render(54)
  result = self.nodelist.render(context)

/home/youser/.local/share/virtualenvs/news-site-columnist-8tsXn7bh/lib/python3.10/site-packages/django/template/base.py in render(1005)
  return SafeString("".join([node.render_annotated(context) for node in self]))

/home/youser/.local/share/virtualenvs/news-site-columnist-8tsXn7bh/lib/python3.10/site-packages/django/template/base.py in <listcomp>(1005)
  return SafeString("".join([node.render_annotated(context) for node in self]))

/home/youser/.local/share/virtualenvs/news-site-columnist-8tsXn7bh/lib/python3.10/site-packages/django/template/base.py in render_annotated(966)
  return self.render(context)

/home/youser/.local/share/virtualenvs/news-site-columnist-8tsXn7bh/lib/python3.10/site-packages/django/template/defaulttags.py in render(52)
  output = self.nodelist.render(context)

/home/youser/.local/share/virtualenvs/news-site-columnist-8tsXn7bh/lib/python3.10/site-packages/django/template/base.py in render(1005)
  return SafeString("".join([node.render_annotated(context) for node in self]))

/home/youser/.local/share/virtualenvs/news-site-columnist-8tsXn7bh/lib/python3.10/site-packages/django/template/base.py in <listcomp>(1005)
  return SafeString("".join([node.render_annotated(context) for node in self]))

/home/youser/.local/share/virtualenvs/news-site-columnist-8tsXn7bh/lib/python3.10/site-packages/django/template/base.py in render_annotated(966)
  return self.render(context)

/home/youser/.local/share/virtualenvs/news-site-columnist-8tsXn7bh/lib/python3.10/site-packages/django/template/defaulttags.py in render(321)
  return nodelist.render(context)

/home/youser/.local/share/virtualenvs/news-site-columnist-8tsXn7bh/lib/python3.10/site-packages/django/template/base.py in render(1005)
  return SafeString("".join([node.render_annotated(context) for node in self]))

/home/youser/.local/share/virtualenvs/news-site-columnist-8tsXn7bh/lib/python3.10/site-packages/django/template/base.py in <listcomp>(1005)
  return SafeString("".join([node.render_annotated(context) for node in self]))

/home/youser/.local/share/virtualenvs/news-site-columnist-8tsXn7bh/lib/python3.10/site-packages/django/template/base.py in render_annotated(966)
  return self.render(context)

/home/youser/.local/share/virtualenvs/news-site-columnist-8tsXn7bh/lib/python3.10/site-packages/django/template/library.py in render(237)
  output = self.func(*resolved_args, **resolved_kwargs)

/var/www/news-site-columnist/news/templatetags/component_tags.py in post_content_read_more(389)
  user_agent = get_user_agent(context["request"])

/home/youser/.local/share/virtualenvs/news-site-columnist-8tsXn7bh/lib/python3.10/site-packages/django_user_agents/utils.py in get_user_agent(54)
  user_agent = cache.get(key)

Сигналы

Сигнал Получатели сигнала
class_prepared
connection_created register_type_handlers
got_request_exception _got_request_exception
m2m_changed
post_delete ModelBase.update_changed, ModelBase.update_changed, ModelBase.update_changed, HistoricalRecords.post_delete, HistoricalRecords.post_delete, HistoricalRecords.post_delete
post_init ImageField.update_dimension_fields, ImageField.update_dimension_fields, ImageField.update_dimension_fields, ImageField.update_dimension_fields, ImageField.update_dimension_fields, CloudflareImagesField.update_dimension_fields, CloudflareImagesField.update_dimension_fields, ImageField.update_dimension_fields, ImageField.update_dimension_fields, ImageField.update_dimension_fields, CloudflareImagesField.update_dimension_fields, CloudflareImagesField.update_dimension_fields, ImageField.update_dimension_fields, ImageField.update_dimension_fields, ImageField.update_dimension_fields, ImageField.update_dimension_fields, CloudflareImagesField.update_dimension_fields, CloudflareImagesField.update_dimension_fields, CloudflareImagesField.update_dimension_fields, ImageField.update_dimension_fields, ImageField.update_dimension_fields, ImageField.update_dimension_fields, ImageField.update_dimension_fields, delete_mt_init, delete_mt_init, delete_mt_init, delete_mt_init, delete_mt_init, delete_mt_init, delete_mt_init, delete_mt_init, delete_mt_init, delete_mt_init, delete_mt_init, delete_mt_init, delete_mt_init, delete_mt_init, delete_mt_init, delete_mt_init, delete_mt_init, delete_mt_init, delete_mt_init, delete_mt_init, delete_mt_init, delete_mt_init, delete_mt_init, delete_mt_init, delete_mt_init, delete_mt_init, delete_mt_init, delete_mt_init, delete_mt_init, delete_mt_init, delete_mt_init, delete_mt_init, delete_mt_init, delete_mt_init, delete_mt_init, delete_mt_init, delete_mt_init, delete_mt_init, delete_mt_init, delete_mt_init, CloudflareImagesField.update_dimension_fields
post_migrate change_site_domain, create_permissions, create_contenttypes, create_default_site
post_save call_hook, sitemap_ping_google, save_youtube_data, ModelBase.update_changed, ModelBase.update_changed, ModelBase.update_changed, ModelBase.update_changed, HistoricalRecords.post_save, HistoricalRecords.post_save, HistoricalRecords.post_save
pre_delete clear_site_cache, ModelBase.changed, ModelBase.update_changed, HistoricalRecords.pre_delete, HistoricalRecords.pre_delete, HistoricalRecords.pre_delete
pre_init
pre_migrate inject_rename_contenttypes_operations
pre_save clear_site_cache, ModelBase.changed
request_finished close_old_connections, close_caches, reset_urlconf
request_started reset_queries, close_old_connections
setting_changed reset_cache, setting_changed_receiver, clear_cache_handlers, update_installed_apps, update_connections_time_zone, clear_routers_cache, reset_template_engines, storages_changed, clear_serializers_cache, language_changed, localize_settings_changed, file_storage_changed, complex_setting_changed, root_urlconf_changed, static_storage_changed, static_finders_changed, auth_password_validators_changed, user_model_swapped, update_toolbar_config, reset_hashers, SitemapStorage._clear_cached_properties, SitemapStorage._clear_cached_properties, SitemapStorage._clear_cached_properties, ChannelLayerManager._reset_backends, reload_api_settings, update_level_tags, uninstall_if_needed, clear_caches, StaticFilesStorage._clear_cached_properties

Template Timings